A Man with Pulmonary and Bilateral Adrenal Lesions
CC BY-NC-ND 4.0 · Indian J Med Paediatr Oncol 2019; 40(03): 432-433
DOI: DOI: 10.4103/ijmpo.ijmpo_231_19
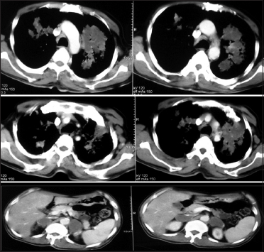
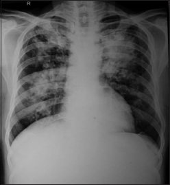
A 65-year-old male, smoker presented with complaints of dry cough, chest pain, and low-grade fever for the last 3 months in the pulmonary department. Multifocal dense consolidations involving bilateral lungs fields were discovered on simple chest X-rays [Figure 1]. His vital signs on admission were normal and laboratory results were white blood cells 5400/mm3, hemoglobin 15.2 g/dL, hematocrit 39.2%, platelet 188 k/mm3, and erythrocyte sedimentation rate 5 mm/h. A serology test and culture for mycoplasma and tuberculosis were all negative. Chest and abdomen computed tomography showed multifocal dense consolidations involving bilateral lungs with perihilar predominance and hypodense bilateral adrenal masses [Figure 2]. Bronchoscopic findings were nonspecific.
| Figure 1 Chest X-ray posteroanterior view
| Figure 2 Chest and abdomen computed tomography
Publication History
Received: 12 November 2019
Accepted: 18 November 2019
Article published online:
03 June 2021
© 2019. Indian Society of Medical and Paediatric Oncology. This is an open access article published by Thieme under the terms of the Creative Commons Attribution-NonDerivative-NonCommercial-License, permitting copying and reproduction so long as the original work is given appropriate credit. Contents may not be used for commercial purposes, or adapted, remixed, transformed or built upon. (https://creativecommons.org/licenses/by-nc-nd/4.0/).
Thieme Medical and Scientific Publishers Pvt. Ltd.
A-12, 2nd Floor, Sector 2, Noida-201301 UP, India
A 65-year-old male, smoker presented with complaints of dry cough, chest pain, and low-grade fever for the last 3 months in the pulmonary department. Multifocal dense consolidations involving bilateral lungs fields were discovered on simple chest X-rays [Figure 1]. His vital signs on admission were normal and laboratory results were white blood cells 5400/mm3, hemoglobin 15.2 g/dL, hematocrit 39.2%, platelet 188 k/mm3, and erythrocyte sedimentation rate 5 mm/h. A serology test and culture for mycoplasma and tuberculosis were all negative. Chest and abdomen computed tomography showed multifocal dense consolidations involving bilateral lungs with perihilar predominance and hypodense bilateral adrenal masses [Figure 2]. Bronchoscopic findings were nonspecific.
| Figure 1 Chest X-ray posteroanterior view
| Figure 2 Chest and abdomen computed tomography
What Is the Diagnosis?
Carcinoma lung with Mets
Infective causes
Answer
Histoplasmosis.
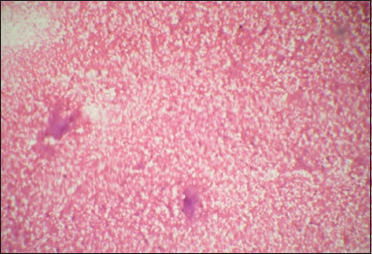
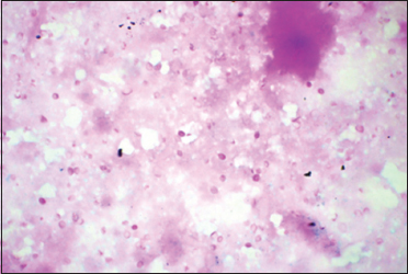
Fine needle aspiration cytology from both lung and adrenal glands showed uniform round-to-ovoid budding yeast surrounded by clear ring of space are seen intracellularly (in macrophages) as well as extracellularly. Background also shows chronic inflammatory cells. On periodic acid schiff (PAS) staining [Figure 3] and hematoxylin and eosin (H and E) staining [Figure 4], numerous capsulated yeasts such as fungal organism with budding were evident morphologically Histoplasma species.
| Figure 3 H and E, ×20
| Figure 4 PAS, ×40
Conflict of Interest
There are no conflicts of interest.
Address for correspondence
Publication History
Received: 12 November 2019
Accepted: 18 November 2019
Article published online:
03 June 2021
© 2019. Indian Society of Medical and Paediatric Oncology. This is an open access article published by Thieme under the terms of the Creative Commons Attribution-NonDerivative-NonCommercial-License, permitting copying and reproduction so long as the original work is given appropriate credit. Contents may not be used for commercial purposes, or adapted, remixed, transformed or built upon. (https://creativecommons.org/licenses/by-nc-nd/4.0/).
Thieme Medical and Scientific Publishers Pvt. Ltd.
A-12, 2nd Floor, Sector 2, Noida-201301 UP, India
| Figure 1 Chest X-ray posteroanterior view
| Figure 2 Chest and abdomen computed tomography
| Figure 3 H and E, ×20
| Figure 4 PAS, ×40
PDF
Views
Share

