Clinicopathological spectrum of BCR-ABL-Negative myeloproliferative neoplasms with correlation with janus-associated kinase 2 mutation
CC BY-NC-ND 4.0 · Indian J Med Paediatr Oncol 2019; 40(01): 35-40
DOI: DOI: 10.4103/ijmpo.ijmpo_192_17
Abstract
Background: Non chronic myelogenous leukemia (non-CML)/BCR-ABL-negative myeloproliferative neoplasms (MPNs) include essential thrombocythemia (ET), polycythemia vera (PV), and primary myelofibrosis (PMF) (apart from chronic neutrophilic leukemia and chronic eosinophilic leukemia, which are rare). They are uncommon clonal disorders of adults, with an incidence ranging from 0.5 to 3/100,000 persons, BCR-ABL negative, and characterized by the activation of Janus-associated kinase 2 (JAK2). Very few studies have been reported from India. Aims and Objectives: The aims and objectives of this study were to analyze the clinicopathological spectrum and to determine the frequency of JAK2 mutation in patients of non-CML/BCR-ABL negative MPNs. Materials and Methods: Clinical and morphological features and frequency of JAK2 mutation in patients with PV, ET, and PMF were studied at a tertiary care hospital. The material was retrieved from the hematopathology records and reviewed. Results: JAK2V617F mutation was found in 10 of 14 cases (71%) of MPNs, 100% in PV, 50% in ET, and 71% of idiopathic myelofibrosis. The presence of JAK2V617F mutation was associated with a higher hemoglobin level (P < 0 class="i" xss=removed>P < 0 class="i" xss=removed>P < 0 class="b" xss=removed>Conclusion: The JAK2 V617F mutation was detected in 71% of patients with MPN disorders. Peripheral blood mutation screening for JAK2 V617F should be incorporated into the initial evaluation of patients suspected to have MPNs. Differences in megakaryocytic morphology provide the histomorphological hallmark of BCR-ABL-negative MPN subtypes.
Publication History
Article published online:
08 June 2021
© 2019. Indian Society of Medical and Paediatric Oncology. This is an open access article published by Thieme under the terms of the Creative Commons Attribution-NonDerivative-NonCommercial-License, permitting copying and reproduction so long as the original work is given appropriate credit. Contents may not be used for commercial purposes, or adapted, remixed, transformed or built upon. (https://creativecommons.org/licenses/by-nc-nd/4.0/).
Thieme Medical and Scientific Publishers Pvt. Ltd.
A-12, 2nd Floor, Sector 2, Noida-201301 UP, India
Abstract
Background: Non chronic myelogenous leukemia (non-CML)/BCR-ABL-negative myeloproliferative neoplasms (MPNs) include essential thrombocythemia (ET), polycythemia vera (PV), and primary myelofibrosis (PMF) (apart from chronic neutrophilic leukemia and chronic eosinophilic leukemia, which are rare). They are uncommon clonal disorders of adults, with an incidence ranging from 0.5 to 3/100,000 persons, BCR-ABL negative, and characterized by the activation of Janus-associated kinase 2 (JAK2). Very few studies have been reported from India. Aims and Objectives: The aims and objectives of this study were to analyze the clinicopathological spectrum and to determine the frequency of JAK2 mutation in patients of non-CML/BCR-ABL negative MPNs. Materials and Methods: Clinical and morphological features and frequency of JAK2 mutation in patients with PV, ET, and PMF were studied at a tertiary care hospital. The material was retrieved from the hematopathology records and reviewed. Results: JAK2V617F mutation was found in 10 of 14 cases (71%) of MPNs, 100% in PV, 50% in ET, and 71% of idiopathic myelofibrosis. The presence of JAK2V617F mutation was associated with a higher hemoglobin level (P < 0 class="i" xss=removed>P < 0 class="i" xss=removed>P < 0 class="b" xss=removed>Conclusion: The JAK2 V617F mutation was detected in 71% of patients with MPN disorders. Peripheral blood mutation screening for JAK2 V617F should be incorporated into the initial evaluation of patients suspected to have MPNs. Differences in megakaryocytic morphology provide the histomorphological hallmark of BCR-ABL-negative MPN subtypes.
Introduction
Non chronic myelogenous leukemia (non-CML) or BCR-ABL-negative myeloproliferative neoplasms (MPNs) represent a range of clonal hematological stem cell disorders with overlapping clinicopathological features. The most common BCR-ABL-negative MPNs include polycythemia vera (PV), essential thrombocythemia (ET), and primary myelofibrosis (PMF).[1],[2] They are distinguished from one another on the basis of effects of cell lineages and fibrosis in the bone marrow compartment.[3] These are uncommon hematological malignancies with worldwide incidence of 2–3/100,000, 1.5–2 per 100,000, and 0.5–1.5/100,000, respectively.[4]
At present, the mutation which is found most commonly in classical BCR-ABL-negative MPNs is Janus-associated kinase 2 (JAK2) V617F5. In 2005, the JAK2V617F mutation[5],[6],[7] was shown in 95% of patients with PV and in just more than half of those with ET and PMF.[5],[8] In 2008, the WHO diagnostic criteria for PV, ET, and PMF were revised by incorporating molecular markers (JAK2 and MPL mutations) in the diagnostic criteria and also underscoring the role of histology in differentiating clonal from nonclonal myeloproliferation.[1]
Atypical megakaryocytes are the histomorphological hallmark of all BCR-ABL-negative MPNs. Since there are very few studies published from India, this study aims to look for the frequency of JAK2 V617F mutations along with clinical and morphologic features in an attempt to identify histologic findings, helping to differentiate these distinct clinicopathological entities.
Materials and Methods
This was a retrospective and prospective study in which all the non-CML, BCR-ABL-negative MPN patients presenting to a tertiary care hospital from January 2015 to May 2016 were included. CML and other myelodysplastic/MPNs were excluded from the study. All cases diagnosed to have reactive causes of polycythemia, leukocytosis, and thrombocytosis were excluded along with cases where secondary myelofibrosis was diagnosed. Both newly diagnosed cases (n = 46) and previously diagnosed cases on follow-up (n = 8) were included in this study.
Janus-associated kinase 2 mutation analysis
Screening of JAK2 mutation was done by PCR in 14/54 patients of MPNs. Although the other patients were requested to submit samples for JAK2 mutation analysis, it was not done due to financial constraints. Comparison of hematological parameters between JAK2-positive and JAK2-negative cases was done using independent samples' t-test/Mann–Whitney U-test where appropriate. P < 0>
Morphologic analysis
All slides were reviewed and classified according to the current 2008 WHO criteria.[1] Clinical details and laboratory parameters were extracted from the medical records. Bone marrow morphologic variables that were evaluated included were as follows: absolute cellularity (percentage), age-adjusted cellularity (classified as decreased, normal, or increased), myeloid/erythroid ratio, and percentage of blasts in the biopsy. We defined megakaryocytes as “PV like” or “PMF-like” or “ET-like” according to the description given in the 2008 WHO classification of the typical megakaryocytes, characterizing these three myeloproliferative neoplasms.
Results
A total of 54 non-CML MPN cases were retrieved during this period and reviewed. Out of which, 28 cases (51.85%) were diagnosed as PMF, 14 cases (25.92%) as ET, and 12 cases (22.22%) as PV. Of the 54 cases, 33 (61%) of them were male and 21 (38%) were female. Their ages ranged from 25 to 81 years, with a mean age of 56 years. Most of the patients of PMF, ET, and PV presented with varying degrees of splenomegaly. Thrombotic events were seen in nine patients (16.98%), and bleeding episodes were observed in three patients (5%) of PV and ET. The mean Hb of PMF was low 8.7 ± 2.9 gm/dl, compared to ET (14.7 ± 2.8 g/dl) and PV (16.7 ± 2.42 g/dl). The median WBC count was high in all the three MPN subtypes. The median platelet count was high in ET, and in PMF and PV, it was within the normal range [Table 1].
|
PMF |
ET |
PV |
|
|---|---|---|---|
|
SD – Standard deviation; PMF – Primary myelofibrosis; ET – Essential thrombocythemia; PV – Polycythemia vera; WBC – White blood cell; Hb – Hemoglobin; JAK2 – Janus‑associated kinase 2 |
|||
|
Number of patients |
28 |
14 |
12 |
|
Sex (male/female) |
18/10 |
8/6 |
7/5 |
|
Age (year), mean±SD |
53±14.7 |
46±13.2 |
52±14.7 |
|
Splenomegaly (%) |
82 |
71 |
72 |
|
Thrombosis/hemorrhage |
0/0 |
4/5 |
5/2 |
|
WBC (×109/l), median |
11.7 (1100‑64,000) |
15.2 (7.5‑40.0) |
22.8 (8.6‑33.5) |
|
Hb (g/dl), mean±SD |
8.7±2.9 |
14.7±2.8 |
16.7±2.42 |
|
Platelet (×109/l), median |
150.5 (10-1310) |
970.5 (650-1610) |
370.5 (180-980) |
|
JAK2 V617F (+), n/N (%) |
5/7 (71) |
2/4 (50) |
3/3 (100) |
|
JAK2 positive (n=10) |
JAK2 negative (n=4) |
P |
|
|---|---|---|---|
|
SD – Standard deviation; WBC – White blood cell; Hb – Hemoglobin; JAK2 – Janus‑associated kinase 2 |
|||
|
Age (year), mean±SD |
52±10.2 |
46±15.1 |
<0> |
|
Hb (g/dl), mean±SD |
13.8±3.59 |
10.2±2.33 |
<0> |
|
WBC (×109/l), median |
16.7 |
10.1 |
<0> |
|
Platelets (×109/l), median |
5.6 |
5.4 |
<0> |
|
Prefibrotic/early |
Fibrotic |
Blast transformation |
|
|---|---|---|---|
|
SD – Standard deviation; WBC – White blood cell; Hb – Hemoglobin; JAK2 – Janus-associated kinase 2 |
|||
|
Number of patients |
3 |
21 |
4 |
|
Age (year), mean±SD |
59±24.4 |
52±14.2 |
56±11.1 |
|
Sex (male/female) |
2/1 |
12/9 |
4/0 |
|
Hb (g/dl), mean±SD |
11.4±2.37 |
8.7±2.70 |
6.4±3.37 |
|
WBC (×109/l), median |
40,200 (38,900-48,100) |
9400 (1100-64,000) |
17,600 (1600-40,600) |
|
Platelet (×109/l), median |
500.1 (150-550) |
150.0 (10-1310) |
150.1 (22-420) |
|
Leukoerythroblastic picture, (%) |
0 |
100 |
50 |
|
JAK2 V617F (+) |
2/2 |
2/3 |
1/2 |
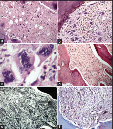
| Figure. 1 Primary myelofibrosis trephine histology. (a) Early stage (H and E, ×40). (b) Paratrabecular megakaryocytes (H and E, ×400). (c) Megakaryocytes with “cloud-like” nuclei (H and E, ×1000). (d) Fibrotic stage (e) Reticulin Grade 3‑4 (Reticulin, ×400). (f) Coarse collagen fibers (Masson Trichrome, ×400)
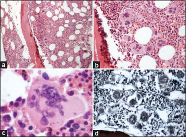
| Figure. 2 Essential thrombocytopenia trephine histology (a) Normocellular marrow with increased giant megakaryocytes (H and E, ×40). (b) Hyperlobated megakaryocytes (H and E, ×400). (c) A large, staghorn megakaryocyte (H and E, ×1000). (d) Reticulin fibers, Grade I condensation (Reticulin stain, ×400)
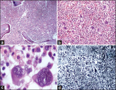
| Figure. 3 Polycythemia vera trephine histology. (a) Hypercellular marrow with large megakaryocytes (H and E, ×40). (b) Panmyelosis (H and E, ×400). (c) Megakaryocytes with deeply lobulated and bulbous nuclei (H and E, ×1000). (d) Reticulin fibers, Grade 1–2 (Reticulin stain, ×400)
Discussion
In the present study, we analyzed the clinicopathological spectrum of the most common BCR-ABL-negative MPNs-PMF, essential thrombocythemia, and PV, along with JAK2 mutation correlation.
In the study, the incidence of PMF was higher than ET and PV, and there were more males than females. An Indian study also showed male preponderance.[9] The mean age of presentation was slightly higher in PMF patients, followed by PV and ET. Splenomegaly was found in 82% of PMF patients, whereas ET and PV had 71% and 72%, respectively, comparable to other studies.[9],[10],[11]
Thrombotic events were seen in patients of PV (41%) and ET (28%), in concordance with other studies.[12],[13],[14] None of the idiopathic myelofibrosis (IMF) patient showed thrombosis/hemorrhage. Hence, basic investigations should be done for the consideration of MPNs in all patients presenting with thrombotic events. The median leukocyte count was high in all the three MPNs, marked in PV, and mild in PMF, whereas median platelet count was much higher in ET, followed by PV and PMF. These findings are in line with other studies.[11],[15]
In this study, the overall JAK2 V617F mutation was detected in 71% of BCR-ABL-negative MPNs. This is comparable to studies done by Sazawal et al. in the Indian population and by Suksomyos et al.in Thai patients. They reported 68% and 68.8% prevalence of JAK2V617F mutation in BCR-ABL-negative MPNs, respectively.[11],[16] In this study, JAKV617F mutations in PV, ET, and PMF was 100%, 50%, and 71%, respectively. It was interesting to note that in our study the frequency of JAK2 mutation in IMF was higher, which is different from that reported in Western literature; however, the frequency of JAK2 in patients with PV and ET was comparable with other studies.[5],[6] In this study, JAK2-positive group was associated with higher age, higher hemoglobin, and higher white blood cell count than JAK2-negative group, similar to other studies.[9],[11],[15] [Table 5].
|
Parameter |
Present study |
Muhammad Arif et al.[9] |
Sazawal et al.[11] |
|||
|---|---|---|---|---|---|---|
|
JAK2 positive |
JAK2 negative |
JAK2 positive |
JAK2 negative |
JAK2 positive |
JAK2 negative |
|
|
SD – Standard deviation; WBC – White blood cell; Hb – Hemoglobin; JAK2 – Janus-associated kinase 2 |
||||||
|
n (%) |
10 (71) |
4 (29) |
64 (69) |
29 (31) |
51 (68) |
24 (32) |
|
Age (mean±SD) |
52±10.2 |
6±15.1 |
54.2±15.5 |
41.2±13.7 |
53±11.4 |
44±17.3 |
|
Hb (g/dl), mean±SD |
13.8±3.59 |
10.2±2.33 |
14.8±3.9 |
11.2±2.6 |
13.9±4.6 |
11.4±5.2 |
|
WBC (×109/l), median |
16.7 |
10.1 |
18.7 |
14.5 |
24.8 |
12.5 |
|
Platelet (×109/l), median |
5.6 |
5.4 |
8.2 |
7.9 |
3.6 |
2.5 |
- Tefferi A, Vardiman JW. Classification and diagnosis of myeloproliferative neoplasms: The 2008 World Health Organization criteria and point-of-care diagnostic algorithms. Leukemia 2008; 22: 14-22
- Campbell PJ, Green AR. Myeloproliferative disorders. In: Hoffbrand AV, Catovsky D, Tuddenham EG, Green AR, editors. Postgraduate Haematology. 6th ed. London: Wiley-Blackwell A John Wiley & Sons, Ltd., Publication; 2011. p. 686.
- Campo E, Swerdlow SH, Harris NL, Pileri S, Stein H, Jaffe ES. et al. The 2008 WHO classification of lymphoid neoplasms and beyond: Evolving concepts and practical applications. Blood 2011; 117: 5019-32
- Vassiliou G, Green AR. Myeloproliferative disorders (46). In: Hoffbrand AV, Catovsky D, Tuddenham D, editors. Postgraduate Haematology. 5th ed. Oxford: Blackwell Ltd.; 2006. p. 761-70.
- Levine RL, Loriaux M, Huntly BJ, Loh ML, Beran M, Stoffregen E. et al. The JAK2V617F activating mutation occurs in chronic myelomonocytic leukemia and acute myeloid leukemia, but not in acute lymphoblastic leukemia or chronic lymphocytic leukemia. Blood 2005; 106: 3377-9
- Baxter EJ, Scott LM, Campbell PJ, East C, Fourouclas N, Swanton S. et al. Acquired mutation of the tyrosine kinase JAK2 in human myeloproliferative disorders. Lancet 2005; 365: 1054-61
- Kralovics R, Passamonti F, Buser AS, Teo SS, Tiedt R, Passweg JR. et al. A gain-of-function mutation of JAK2 in myeloproliferative disorders. N Engl J Med 2005; 352: 1779-90
- Levine RL, Belisle C, Wadleigh M, Zahrieh D, Lee S, Chagnon P. et al. X-inactivation-based clonality analysis and quantitative JAK2V617F assessment reveal a strong association between clonality and JAK2V617F in PV but not ET/MMM, and identifies a subset of JAK2V617F-negative ET and MMM patients with clonal hematopoiesis. Blood 2006; 107: 4139-41
- Muhammad Arif S, Suhaib A, Nadir A. Frequency of Janus associated kinase 2 (JAK2) mutation inpatients of BCR-ABL negative myeloproliferative neoplasms. PAFMJ. 2013:63(2)
- Boiocchi L, Mathew S, Gianelli U, Iurlo A, Radice T, Barouk-Fox S. et al. Morphologic and cytogenetic differences between post-polycythemic myelofibrosis and primary myelofibrosis in fibrotic stage. Mod Pathol 2013; 26: 1577-85
- Sazawal S, Bajaj J, Chikkara S, Jain S, Bhargava R, Mahapatra M. et al. Prevalence of JAK2 V617F mutation in Indian patients with chronic myeloproliferative disorders. Indian J Med Res 2010; 132: 423-7
- Kaifie A, Kirschner M, Wolf D, Maintz C, Hänel M, Gattermann N. et al. Bleeding, thrombosis, and anticoagulation in myeloproliferative neoplasms (MPN): Analysis from the German SAL-MPN-registry. J Hematol Oncol 2016; 9: 18
- Alvarez-Larrán A, Cervantes F, Bellosillo B, Giralt M, Juliá A, Hernández-Boluda JC. et al. Essential thrombocythemia in young individuals: Frequency and risk factors for vascular events and evolution to myelofibrosis in 126 patients. Leukemia 2007; 21: 1218-23
- Spivak JG, Barosi G, Tognoni G, Barbui T, Finazzi G, Marchioli R. et al. Chronic myeloproliferative disorders Hematology. Am Soc Hematol Educ Program 2003; 2003: 200-24
- Ross C, Navya Vanamala, Rameshkumar K. et al. Polycythemia vera and essential thombocythemia – A single institution experience. Clin Indian J Med Paediatr Oncol 2008; 29: 4
- Suksomyos N, Supantitra C, Chuanchom M, Rojnuckarin P. et al. Prevalence of JAK2V617F mutation and its clinical correlation in Thais with myeloproliferative neoplasm. Int J Biol Med Res 2012; 3: 1801-5
- Cervantes F, Tassies D, Salgado C, Rovira M, Rozman C. et al. Acute transformation in nonleukemic chronic myeloproliferative disorders: Actuarial probability and main characteristics in a series of 218 patients. Acta Haematol 2013; 2: 4-7
- Mesa RA, Li CY, Ketterling RP, Schroeder GS, Knudson RA, Tefferi A. et al. Leukemic transformation in myelofibrosis with myeloid metaplasia: A single-institution experience with 91 cases. Blood 2005; 105: 973-7
- Haferlach T, Bacher U, Kern W, Schnittger S, Haferlach C. et al. The diagnosis of BCR/ABL-negative chronic myeloproliferative diseases (CMPD): A comprehensive approach based on morphology, cytogenetics, and molecular markers. Ann Hematol 2008; 87: 1-0
- Jan Jacques M, Fibo W, Hendrik D, Alain G. et al. Bone marrow features and natural history of BCR/ABL-positive thrombocythemia and chronic myeloid leukemia compared to BCR/ABL negative thrombocythemia in essential thrombocythemia and polycythemia vera. J Hematol Thromboembolic Dis 2015; 3: 2
- Wilkins BS, Erber WN, Bareford D, Buck G, Wheatley K, East CL. et al. Neonatal. Neonat 2013; 2: 4-7
Address for correspondence
Publication History
Article published online:
08 June 2021
© 2019. Indian Society of Medical and Paediatric Oncology. This is an open access article published by Thieme under the terms of the Creative Commons Attribution-NonDerivative-NonCommercial-License, permitting copying and reproduction so long as the original work is given appropriate credit. Contents may not be used for commercial purposes, or adapted, remixed, transformed or built upon. (https://creativecommons.org/licenses/by-nc-nd/4.0/).
Thieme Medical and Scientific Publishers Pvt. Ltd.
A-12, 2nd Floor, Sector 2, Noida-201301 UP, India
References
- Tefferi A, Vardiman JW. Classification and diagnosis of myeloproliferative neoplasms: The 2008 World Health Organization criteria and point-of-care diagnostic algorithms. Leukemia 2008; 22: 14-22
- Campbell PJ, Green AR. Myeloproliferative disorders. In: Hoffbrand AV, Catovsky D, Tuddenham EG, Green AR, editors. Postgraduate Haematology. 6th ed. London: Wiley-Blackwell A John Wiley & Sons, Ltd., Publication; 2011. p. 686.
- Campo E, Swerdlow SH, Harris NL, Pileri S, Stein H, Jaffe ES. et al. The 2008 WHO classification of lymphoid neoplasms and beyond: Evolving concepts and practical applications. Blood 2011; 117: 5019-32
- Vassiliou G, Green AR. Myeloproliferative disorders (46). In: Hoffbrand AV, Catovsky D, Tuddenham D, editors. Postgraduate Haematology. 5th ed. Oxford: Blackwell Ltd.; 2006. p. 761-70.
- Levine RL, Loriaux M, Huntly BJ, Loh ML, Beran M, Stoffregen E. et al. The JAK2V617F activating mutation occurs in chronic myelomonocytic leukemia and acute myeloid leukemia, but not in acute lymphoblastic leukemia or chronic lymphocytic leukemia. Blood 2005; 106: 3377-9
- Baxter EJ, Scott LM, Campbell PJ, East C, Fourouclas N, Swanton S. et al. Acquired mutation of the tyrosine kinase JAK2 in human myeloproliferative disorders. Lancet 2005; 365: 1054-61
- Kralovics R, Passamonti F, Buser AS, Teo SS, Tiedt R, Passweg JR. et al. A gain-of-function mutation of JAK2 in myeloproliferative disorders. N Engl J Med 2005; 352: 1779-90
- Levine RL, Belisle C, Wadleigh M, Zahrieh D, Lee S, Chagnon P. et al. X-inactivation-based clonality analysis and quantitative JAK2V617F assessment reveal a strong association between clonality and JAK2V617F in PV but not ET/MMM, and identifies a subset of JAK2V617F-negative ET and MMM patients with clonal hematopoiesis. Blood 2006; 107: 4139-41
- Muhammad Arif S, Suhaib A, Nadir A. Frequency of Janus associated kinase 2 (JAK2) mutation inpatients of BCR-ABL negative myeloproliferative neoplasms. PAFMJ. 2013:63(2)
- Boiocchi L, Mathew S, Gianelli U, Iurlo A, Radice T, Barouk-Fox S. et al. Morphologic and cytogenetic differences between post-polycythemic myelofibrosis and primary myelofibrosis in fibrotic stage. Mod Pathol 2013; 26: 1577-85
- Sazawal S, Bajaj J, Chikkara S, Jain S, Bhargava R, Mahapatra M. et al. Prevalence of JAK2 V617F mutation in Indian patients with chronic myeloproliferative disorders. Indian J Med Res 2010; 132: 423-7
- Kaifie A, Kirschner M, Wolf D, Maintz C, Hänel M, Gattermann N. et al. Bleeding, thrombosis, and anticoagulation in myeloproliferative neoplasms (MPN): Analysis from the German SAL-MPN-registry. J Hematol Oncol 2016; 9: 18
- Alvarez-Larrán A, Cervantes F, Bellosillo B, Giralt M, Juliá A, Hernández-Boluda JC. et al. Essential thrombocythemia in young individuals: Frequency and risk factors for vascular events and evolution to myelofibrosis in 126 patients. Leukemia 2007; 21: 1218-23
- Spivak JG, Barosi G, Tognoni G, Barbui T, Finazzi G, Marchioli R. et al. Chronic myeloproliferative disorders Hematology. Am Soc Hematol Educ Program 2003; 2003: 200-24
- Ross C, Navya Vanamala, Rameshkumar K. et al. Polycythemia vera and essential thombocythemia – A single institution experience. Clin Indian J Med Paediatr Oncol 2008; 29: 4
- Suksomyos N, Supantitra C, Chuanchom M, Rojnuckarin P. et al. Prevalence of JAK2V617F mutation and its clinical correlation in Thais with myeloproliferative neoplasm. Int J Biol Med Res 2012; 3: 1801-5
- Cervantes F, Tassies D, Salgado C, Rovira M, Rozman C. et al. Acute transformation in nonleukemic chronic myeloproliferative disorders: Actuarial probability and main characteristics in a series of 218 patients. Acta Haematol 2013; 2: 4-7
- Mesa RA, Li CY, Ketterling RP, Schroeder GS, Knudson RA, Tefferi A. et al. Leukemic transformation in myelofibrosis with myeloid metaplasia: A single-institution experience with 91 cases. Blood 2005; 105: 973-7
- Haferlach T, Bacher U, Kern W, Schnittger S, Haferlach C. et al. The diagnosis of BCR/ABL-negative chronic myeloproliferative diseases (CMPD): A comprehensive approach based on morphology, cytogenetics, and molecular markers. Ann Hematol 2008; 87: 1-0
- Jan Jacques M, Fibo W, Hendrik D, Alain G. et al. Bone marrow features and natural history of BCR/ABL-positive thrombocythemia and chronic myeloid leukemia compared to BCR/ABL negative thrombocythemia in essential thrombocythemia and polycythemia vera. J Hematol Thromboembolic Dis 2015; 3: 2
- Wilkins BS, Erber WN, Bareford D, Buck G, Wheatley K, East CL. et al. Neonatal. Neonat 2013; 2: 4-7
PDF
Views
Share

