Eosinophil Density in Common Benign and Malignant Salivary Gland Tumors with Congo Red Staining
CC BY-NC-ND 4.0 · Indian J Med Paediatr Oncol 2019; 40(02): 212-216
DOI: DOI: 10.4103/ijmpo.ijmpo_217_17
Abstract
Purpose: Eosinophils are multifunctional leukocytes with unknown mechanisms in salivary gland tumors. Some researchers associate eosinophils with tumor progression and others have proposed them as antitumoral. The present study was conducted to compare the density of eosinophils in common salivary gland tumors and its relationship with the degree of differentiation in malignant salivary gland tumors. Materials and Methods: In this present descriptive-analytical, cross-sectional study, 15 cases of pleomorphic adenoma, 15 cases of adenoid cystic carcinoma (ACC), 30 cases of mucoepidermoid carcinoma (MEC), and 5 cases of normal salivary glands were extracted. Sections were prepared of these cases for Congo red staining. The malignant salivary gland tumors were classified as high-grade and low-grade malignancies. The slides were observed under ×10, and the highest-density areas were selected and counted in ten microscopic fields under ×40. Results: The density of the eosinophils was 4.5 ± 5.6 in the pleomorphic adenoma, 16.2 ± 6.01 in the low-grade MEC, 1.05 ± 1.1 in the high-grade MEC (Grade III), and the ACC, and 0.4 ± 0.89 in the normal salivary gland. Eosinophil density was significantly higher in low-grade malignancies compared to in benign or high-grade malignant neoplasms and normal salivary gland (P < 0 class="b" xss=removed>Conclusion: This is suggested which the density of eosinophils is associated with the process of tumorigenesis and the degree of malignancy in malignant salivary gland tumors.
Keywords
Adenoid cystic - carcinoma - Congo red - eosinophil - mucoepidermoid carcinoma - pleomorphic adenomaPublication History
Article published online:
03 June 2021
© 2019. Indian Society of Medical and Paediatric Oncology. This is an open access article published by Thieme under the terms of the Creative Commons Attribution-NonDerivative-NonCommercial-License, permitting copying and reproduction so long as the original work is given appropriate credit. Contents may not be used for commercial purposes, or adapted, remixed, transformed or built upon. (https://creativecommons.org/licenses/by-nc-nd/4.0/).
Thieme Medical and Scientific Publishers Pvt. Ltd.
A-12, 2nd Floor, Sector 2, Noida-201301 UP, India
Abstract
Purpose: Eosinophils are multifunctional leukocytes with unknown mechanisms in salivary gland tumors. Some researchers associate eosinophils with tumor progression and others have proposed them as antitumoral. The present study was conducted to compare the density of eosinophils in common salivary gland tumors and its relationship with the degree of differentiation in malignant salivary gland tumors. Materials and Methods: In this present descriptive-analytical, cross-sectional study, 15 cases of pleomorphic adenoma, 15 cases of adenoid cystic carcinoma (ACC), 30 cases of mucoepidermoid carcinoma (MEC), and 5 cases of normal salivary glands were extracted. Sections were prepared of these cases for Congo red staining. The malignant salivary gland tumors were classified as high-grade and low-grade malignancies. The slides were observed under ×10, and the highest-density areas were selected and counted in ten microscopic fields under ×40. Results: The density of the eosinophils was 4.5 ± 5.6 in the pleomorphic adenoma, 16.2 ± 6.01 in the low-grade MEC, 1.05 ± 1.1 in the high-grade MEC (Grade III), and the ACC, and 0.4 ± 0.89 in the normal salivary gland. Eosinophil density was significantly higher in low-grade malignancies compared to in benign or high-grade malignant neoplasms and normal salivary gland (P < 0 class="b" xss=removed>Conclusion: This is suggested which the density of eosinophils is associated with the process of tumorigenesis and the degree of malignancy in malignant salivary gland tumors.
Keywords
Adenoid cystic - carcinoma - Congo red - eosinophil - mucoepidermoid carcinoma - pleomorphic adenomaIntroduction
Salivary gland tumors are heterogeneous and rare neoplasms that make up a major part of oral and maxillofacial pathologies. Salivary gland tumors are mostly benign and pleomorphic adenoma is their most common benign type, which is best treated by surgery and has an excellent prognosis.[1] [2]
Salivary gland tumors are usually developed in major salivary glands. Malignant salivary gland neoplasms comprise 5% of all head and neck cancers and are developed in women in the 5th and 6th decades of life.[3] The most prevalent malignant salivary gland tumors in most studies are mucoepidermoid carcinoma (MEC) and adenoid cystic carcinoma (ACC). MEC has three histopathological types, while ACC can be solid, tubular, or cribriform. According to Atu-Ali,[3] squamous cell carcinoma is the most prevalent salivary gland malignancy. Studies differ in terms of the reported prevalence of salivary gland tumors, probably due to differences in the study sample size, race, geography, and sex of individuals. Most studies report the parotid gland as the most common site involved with malignant salivary gland tumors. Due to the heterogeneous nature and complex clinicopathological behavior of these tumors, it is difficult to predict the patient's survival.[3] [4] [5] Some studies introduce factors such as metastasis, stage, nerve invasion, tumor size and histological grade, involvement of lymph nodes, and marginal involvement as important factors in the prediction of patient's survival.[4] On average, however, the chance of a 5-year disease-free survival has been reported at approximately 52.5%. For stage I of salivary gland tumors, patients are treated with surgery alone, while those in more advanced stages (intermediate- or high-grades) having marginal involvement are treated with a combination of surgery, radiotherapy, and chemotherapy.[3]
Eosinophils are multifunctional leukocytes originating in the bone marrow that are able to release eosinophilic cationic protein (ECP), major basic protein, eosinophil-derived neurotoxin, peroxidase, interleukin 1, 2, 4, 8, 10, 13, and 18, tumor growth factor-beta, tumour necrosis factor-alpha, Cysteinyl-leukoterin4 (LTC4), and neuromediators with stimuli such as infection or tumor.[6] Congo red staining is one of the best, easiest, cheapest, and most available staining methods used for identifying eosinophils.[7]
There are contradictory results regarding eosinophils' function in tumors. Some researchers consider eosinophils as the cause of tumor progression and poor disease prognosis, and some believe that they contribute to a favorable prognosis and a high survival in patients.[8] [9]
Many studies have examined their density in oral squamous cell carcinoma,[10] but few have assessed their density and arrangement in salivary gland tumors, and none have compared their density in common benign and malignant salivary gland tumors. The present study was therefore conducted to examine this issue and investigate the relationship between eosinophil density and the degree of malignancy in malignant salivary gland tumors.
Materials and Methods
With the approval of the ethics committee of our University of Medical Sciences, this descriptive-analytical study reviewed all the archived pathology files of two schools of dentistry and selected 15 cases of pleomorphic adenoma, 30 cases of MEC, 15 cases of ACC, and 5 cases of normal salivary glands around the mucocele. The clinical details of the samples, including age, gender, and lesion site, were extracted and tabulated. To confirm the histological diagnosis and select suitable blocks and decide the degree of differentiation for the MEC, 5-micron sections were prepared from paraffin blocks for H and E staining and the degree of differentiation of MEC was determined according to the Brandwein criterion.[11] Cases were deleted with severe inflammation.
The salivary gland neoplasms were classified based on their biological behavior into a high-malignant group (including MEC Grade III and ACC) and a low-malignant group (including MEC Grade I).[12] The eosinophil density was then determined using Congo red staining on suitable blocks in the following steps. First, tissue sections were paraffin-embedded, hydrated in varying degrees of alcohol, placed in Congo red solution 1% for 8 min, rinsed with water and then submerged once in KoH 2.5% solution; the sections were then stained with hematoxylin for 8 min and then rinsed with water. In the next step, they were submerged once in acid-alcohol 1%. The sections were ultimately dehydrated in alcohol, cleaned with xylol and then mounted.[13] The stained slides were examined by the pathologist using a Olympus optical microscope (Olympus Bx41, Olympus Japan Co., Tokyo, JapanTokyo, Japan) with a magnification of ×400. Only the nucleated cells with intensely red cytoplasmic granules were accepted as eosinophils.[10] The eosinophil count was performed on the slides in the following steps:First, the microscopic slides were viewed under a microscope (×10) and the areas with the highest eosinophil density were selected. A ×40 microscope was then used to count the eosinophils' density. The count was performed in ten microscopic fields by the oral and maxillofacial pathologist using an optical microscope.[4] The density of the eosinophils was assessed in different degrees of differentiation of malignant tumors. The data obtained were analyzed in (SPSS-version 20, IBM SPSS Statics, USA) using the t-test and the ANOVA, and the level of statistical significance was set at P < 0>
Results
The frequency distribution of the study samples by age, gender, and lesion site is summarized in [Table 1].
|
Sample type |
Quantity |
Mean age |
Gender |
Lesion site |
||
|---|---|---|---|---|---|---|
|
Male |
Female |
Main salivary glands |
Minor salivary glands |
|||
|
Pleomorphic adenoma |
15 |
39.6±7.8 |
10 |
5 |
6 |
9 |
|
Mucoepidermoid carcinoma |
30 |
53.5±8.2 |
14 |
16 |
20 |
10 |
|
Adenoid cystic carcinoma |
15 |
60.6±10.7 |
11 |
4 |
4 |
11 |
|
Normal salivary gland |
5 |
14.2±22 |
2 |
3 |
- |
5 |
|
Sample type |
Eosinophil density (mean±SD) |
|---|---|
|
SD - Standard deviation |
|
|
Pleomorphic adenoma |
4.5±5.6 |
|
Mucoepidermoid carcinoma |
9.4±8.74 |
|
Adenoid cystic carcinoma |
0.82±0.88 |
|
Normal salivary gland |
0.4±0.89 |
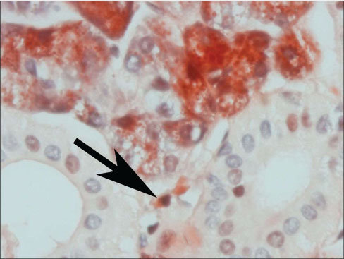
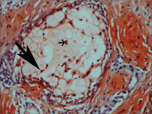
| Figure 1 Congo red staining in pleomorphic adenoma (×100)-positively stained eosinophils
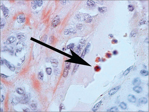
| Figure 2 Congo red staining in mucoepidermoid carcinoma Grade I (×100)-positively stained eosinophils
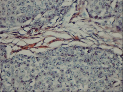
| Figure 3 Congo red staining in mucoepidermoid carcinoma Grade III (×100)-negatively stained eosinophils
| Figure 4 Congo red staining in mucoepidermoid carcinoma Grade I (×40)-positively stained eosinophils
| Figure 5 Congo red staining in adenoid cystic carcinoma (×100)-no staining of eosinophils
| Figure 6 Congo red staining in minor salivary gland (×100)-positively stained eosinophils
Discussion
According to the results of the present study, eosinophil density was associated with tumorigenesis process in salivary gland tumors. The higher eosinophil density in benign salivary gland tumors compared to normal salivary glands can be indicative of the increased activity and reaction of the host immune system to the released free radicals. Radhi et al. examined eosinophil density in different breast carcinomas and benign and metastatic breast tumors, and contrary to the present findings, found a higher eosinophil density in different inflammatory breast diseases compared to breast carcinoma.[14]
Several staining methods are used for identifying eosinophils in tissues, including immunohistochemical, Congo red and h and e staining.[15] Congo red staining, however, is one of the easiest and most inexpensive methods with a relatively high accuracy.[7]
The higher eosinophil density in low-grade malignant MEC compared to the benign type observed in this study may suggest that eosinophils may guide the early stages of the development of malignant salivary gland neoplasms.
The majority of studies on the subject have examined eosinophil density in esophageal, nasopharyngeal, lung, and bladder carcinomas.[15] [16] Most researchers have found a link between tumor-associated tissue eosinophilia (TATE) and a better tumor prognosis;[17] however, there are conflicting results about cervical cancer and oral squamous cell carcinoma.[18] Some researchers consider the presence of eosinophils and their increased density in tumoral stroma as initiating invasive behaviors and malignancy progression while some others propose a link between eosinophil density and a good prognosis in oral cancer.[19] Given the few studies on the subject, the role of eosinophils need to be further studied in salivary gland tumors.
Eosinophils are multifunctional leukocytes that play a role in innate immunity and tissue repair responses and exhibit cytotoxic functions in asthma and allergic diseases and produce ECP, peroxidase, neurotoxin, inflammatory and anti-inflammatory cytokines, and vascular endothelial growth factor under the influence of environmental stimuli and can affect the invasive behavior of malignant tumors by releasing oxygen-free radicals.[20] [21]
In malignant salivary gland tumors, tumor grade, neural and vascular invasion, the histopathology of the tumor, and the level of dysmoplasia often help determine the prognosis,[13] but when a small section of the tumor is examined in the biopsy, other morphological factors such as eosinophil density may also play a role in getting an invasive prognosis.[1] [13]
The present findings revealed a relationship between eosinophil density and the grade of malignancy. Eosinophil density increases early in the salivary gland tumor malignancy process and declines in high-grade malignancies or a low differentiation. Joshi and Kaijkarfound no relationships between eosinophil density and tumor differentiation grade in squamous cell carcinoma.[18] Yellapurkar et al. argued that eosinophil density is a highly valuable marker for the prognosis of survival in patients with squamous cell carcinoma.[10] Tadbir et al. investigated the relationship between TATE and histopathologic parameters of oral squamous cell carcinoma and found no relationship between TATE and prognosis of this type of oral cancer.[22] The present findings disagree with the results obtained by Jain et al.[6] and Sahni et al.[8]
This disparity of findings may be attributed to the different types of tumor tissue, and stroma examined, the different types of staining used (H and E, Congo red, and immunohistochemical) and the different sample sizes and study methods adopted (the classic method or the density method), which may have affected the results.
Eosinophil density in tumoral stroma appears to be associated with the level and type of tumoral stroma, as the higher is stroma, the higher will be eosinophil density.
Alkhabuli and High used two eosinophil density counting methods in 81 cases of esophageal squamous cell carcinoma, namely the classic method and the count in ten microscopic fields method; the density method (in which the count was performed in areas with the highest eosinophil density) was reported as superior to the classic method and as more applicable.[23]
The secondary reduction in the eosinophil count in this study was associated with an increased malignancy grade, which may have been due to the following three reasons:
The prolonged exposure of eosinophils to tumoral stroma, which may have caused a kind of adaptation and the loss of sensitivity to the tumor antigensDuring the progression of malignancy, large numbers of eosinophils may have de-granulated, and their release of angiogenic or cytotoxic mediators may have made their identification with Congo red staining impossible, thereby necessitating immunohistochemical staining with EMRi, which is a more sensitive and accurate method for the identification of granulated eosinophilsThe disruption in eosinophil migration and their recall by mast cells at the onset of malignancy may be due to the complex changes created in their stroma and the reduced expression of certain related proteins.
Conclusion
The present study demonstrated eosinophil density is associated with tumorigenesis and malignancy grade in malignant salivary gland tumors.
Conflict of Interest
There are no conflicts of interest.
Acknowledgment
The authors would like to especially thank to Mr. Noori for the paraffin block sections and staining.
- Sando Z, Fokouo JV, Mebada AO, Djomou F, NDjolo A, Oyono JL. et al. Epidemiological and histopathological patterns of salivary gland tumors in cameroon. Pan Afr Med J 2016; 23: 66
- Nagamine K, Kitamura T, Yanagawa-Matsuda A, Ohiro Y, Tei K, Hida K. et al. Expression of parathyroid hormone-related protein confers malignant potential to mucoepidermoid carcinoma. Oncol Rep 2013; 29: 2114-8
- Ata-Ali J, Zurriaga O, Alberich C. Incidence and survival rates for malignant salivary gland tumors. J Oral Sci 2016; 58: 67-73
- Pires FR, Pringle GA, de Almeida OP, Chen SY. Intra-oral minor salivary gland tumors: A clinicopathological study of 546 cases. Oral Oncol 2007; 43: 463-70
- Boukheris H, Curtis RE, Land CE, Dores GM. Incidence of carcinoma of the major salivary glands according to the WHO classification, 1992 to 2006: A population-based study in the United States. Cancer Epidemiol Biomarkers Prev 2009; 18: 2899-906
- Jain M, Kasetty S, Sudheendra US, Tijare M, Khan S, Desai A. et al. Assessment of tissue eosinophilia as a prognosticator in oral epithelial dysplasia and oral squamous cell carcinoma-an image analysis study. Patholog Res Int 2014; 2014: 507512
- Gomes P, Torres SM, Plager DA, Jessen CR, Lee JJ. Comparison of three staining methods to identify eosinophils in formalin-fixed canine skin. Vet Dermatol 2013; 24: 323-8, e71-2
- Sahni P, Patel A, Md S, Hallur J, Gujjar PK. Tumor associated tissue eosinophilia in oral squamous cell carcinoma: A histo-chemical analysis. Malays J Med Sci 2015; 22: 21-5
- Saravani SH, Kadeh H, Derakhshanfar GH. Tumor-associated tissue eosinophilia in squamous cell carcinoma of head and neck. Dent Clin Exp 2015; 1: e5634
- Yellapurkar S, Natarajan S, Boaz K, Baliga M, Shetty P, Manaktala N. et al. Tumour-associated tissue eosinophilia in oral squamous cell carcinoma – A boon or a bane?. J Clin Diagn Res 2016; 10: ZC65-8
- Brandwein MS, Ferlito A, Bradley PJ, Hille JJ, Rinaldo A. Diagnosis and classification of salivary neoplasms: Pathologic challenges and relevance to clinical outcomes. Acta Otolaryngol 2002; 122: 758-64
- Regezi J, Sciubba J, Gordan CK. Oral Pathology, Clinical Pathology Correlations. California: W.B. Saunders Co.; 2008
- Jain M, Kasetty S, Khan S, Jain NK. Tissue eosinophilia in head and neck squamous neoplasia: An update. Exp Oncol 2014; 36: 157-61
- Radhi J, Otero C, Reid S. Significant eosinophilic infiltrate of the breast. Int J Pathol 2008; 9: 1-5
- Lorena SC, Dorta RG, Landman G, Nonogaki S, Oliveira DT. Morphometric analysis of the tumor associated tissue eosinophilia in the oral squamous cell carcinoma using different staining techniques. Histol Histopathol 2003; 18: 709-13
- Davis BP, Rothenberg ME. Eosinophils and cancer. Cancer Immunol Res 2014; 2: 1-8
- Gatault S, Legrand F, Delbeke M, Loiseau S, Capron M. Involvement of eosinophils in the anti-tumor response. Cancer Immunol Immunother 2012; 61: 1527-34
- Joshi PS, Kaijkar MS. A histochemical study of tissue eosinophilia in oral squamous cell carcinoma using Congo red staining. Dent Res J (Isfahan) 2013; 10: 784-9
- Costello R, O'Callaghan T, Sébahoun G. Eosinophils and antitumour response. Rev Med Interne 2005; 26: 479-84
- Martinelli-Kläy CP, Mendis BR, Lombardi T. Eosinophils and oral squamous cell carcinoma: A short review. J Oncol 2009; 2009: 310132
- Muniz VS, Weller PF, Neves JS. Eosinophil crystalloid granules: Structure, function, and beyond. J Leukoc Biol 2012; 92: 281-8
- Tadbir AA, Ashraf MJ, Sardari Y. Prognostic significance of stromal eosinophilic infiltration in oral squamous cell carcinoma. J Craniofac Surg 2009; 20: 287-9
- Alkhabuli JO, High AS. Significance of eosinophil counting in tumor associated tissue eosinophilia (TATE). Oral Oncol 2006; 42: 849-50
Address for correspondence
Publication History
Article published online:
03 June 2021
© 2019. Indian Society of Medical and Paediatric Oncology. This is an open access article published by Thieme under the terms of the Creative Commons Attribution-NonDerivative-NonCommercial-License, permitting copying and reproduction so long as the original work is given appropriate credit. Contents may not be used for commercial purposes, or adapted, remixed, transformed or built upon. (https://creativecommons.org/licenses/by-nc-nd/4.0/).
Thieme Medical and Scientific Publishers Pvt. Ltd.
A-12, 2nd Floor, Sector 2, Noida-201301 UP, India
| Figure 1 Congo red staining in pleomorphic adenoma (×100)-positively stained eosinophils
| Figure 2 Congo red staining in mucoepidermoid carcinoma Grade I (×100)-positively stained eosinophils
| Figure 3 Congo red staining in mucoepidermoid carcinoma Grade III (×100)-negatively stained eosinophils
| Figure 4 Congo red staining in mucoepidermoid carcinoma Grade I (×40)-positively stained eosinophils
| Figure 5 Congo red staining in adenoid cystic carcinoma (×100)-no staining of eosinophils
| Figure 6 Congo red staining in minor salivary gland (×100)-positively stained eosinophils
References
- Sando Z, Fokouo JV, Mebada AO, Djomou F, NDjolo A, Oyono JL. et al. Epidemiological and histopathological patterns of salivary gland tumors in cameroon. Pan Afr Med J 2016; 23: 66
- Nagamine K, Kitamura T, Yanagawa-Matsuda A, Ohiro Y, Tei K, Hida K. et al. Expression of parathyroid hormone-related protein confers malignant potential to mucoepidermoid carcinoma. Oncol Rep 2013; 29: 2114-8
- Ata-Ali J, Zurriaga O, Alberich C. Incidence and survival rates for malignant salivary gland tumors. J Oral Sci 2016; 58: 67-73
- Pires FR, Pringle GA, de Almeida OP, Chen SY. Intra-oral minor salivary gland tumors: A clinicopathological study of 546 cases. Oral Oncol 2007; 43: 463-70
- Boukheris H, Curtis RE, Land CE, Dores GM. Incidence of carcinoma of the major salivary glands according to the WHO classification, 1992 to 2006: A population-based study in the United States. Cancer Epidemiol Biomarkers Prev 2009; 18: 2899-906
- Jain M, Kasetty S, Sudheendra US, Tijare M, Khan S, Desai A. et al. Assessment of tissue eosinophilia as a prognosticator in oral epithelial dysplasia and oral squamous cell carcinoma-an image analysis study. Patholog Res Int 2014; 2014: 507512
- Gomes P, Torres SM, Plager DA, Jessen CR, Lee JJ. Comparison of three staining methods to identify eosinophils in formalin-fixed canine skin. Vet Dermatol 2013; 24: 323-8, e71-2
- Sahni P, Patel A, Md S, Hallur J, Gujjar PK. Tumor associated tissue eosinophilia in oral squamous cell carcinoma: A histo-chemical analysis. Malays J Med Sci 2015; 22: 21-5
- Saravani SH, Kadeh H, Derakhshanfar GH. Tumor-associated tissue eosinophilia in squamous cell carcinoma of head and neck. Dent Clin Exp 2015; 1: e5634
- Yellapurkar S, Natarajan S, Boaz K, Baliga M, Shetty P, Manaktala N. et al. Tumour-associated tissue eosinophilia in oral squamous cell carcinoma – A boon or a bane?. J Clin Diagn Res 2016; 10: ZC65-8
- Brandwein MS, Ferlito A, Bradley PJ, Hille JJ, Rinaldo A. Diagnosis and classification of salivary neoplasms: Pathologic challenges and relevance to clinical outcomes. Acta Otolaryngol 2002; 122: 758-64
- Regezi J, Sciubba J, Gordan CK. Oral Pathology, Clinical Pathology Correlations. California: W.B. Saunders Co.; 2008
- Jain M, Kasetty S, Khan S, Jain NK. Tissue eosinophilia in head and neck squamous neoplasia: An update. Exp Oncol 2014; 36: 157-61
- Radhi J, Otero C, Reid S. Significant eosinophilic infiltrate of the breast. Int J Pathol 2008; 9: 1-5
- Lorena SC, Dorta RG, Landman G, Nonogaki S, Oliveira DT. Morphometric analysis of the tumor associated tissue eosinophilia in the oral squamous cell carcinoma using different staining techniques. Histol Histopathol 2003; 18: 709-13
- Davis BP, Rothenberg ME. Eosinophils and cancer. Cancer Immunol Res 2014; 2: 1-8
- Gatault S, Legrand F, Delbeke M, Loiseau S, Capron M. Involvement of eosinophils in the anti-tumor response. Cancer Immunol Immunother 2012; 61: 1527-34
- Joshi PS, Kaijkar MS. A histochemical study of tissue eosinophilia in oral squamous cell carcinoma using Congo red staining. Dent Res J (Isfahan) 2013; 10: 784-9
- Costello R, O'Callaghan T, Sébahoun G. Eosinophils and antitumour response. Rev Med Interne 2005; 26: 479-84
- Martinelli-Kläy CP, Mendis BR, Lombardi T. Eosinophils and oral squamous cell carcinoma: A short review. J Oncol 2009; 2009: 310132
- Muniz VS, Weller PF, Neves JS. Eosinophil crystalloid granules: Structure, function, and beyond. J Leukoc Biol 2012; 92: 281-8
- Tadbir AA, Ashraf MJ, Sardari Y. Prognostic significance of stromal eosinophilic infiltration in oral squamous cell carcinoma. J Craniofac Surg 2009; 20: 287-9
- Alkhabuli JO, High AS. Significance of eosinophil counting in tumor associated tissue eosinophilia (TATE). Oral Oncol 2006; 42: 849-50
PDF
Views
Share

