Myroides odoratus Central Nervous Infection in a Postneurosurgery Patient
CC BY-NC-ND 4.0 · Indian J Med Paediatr Oncol 2019; 40(02): 291-293
DOI: DOI: 10.4103/ijmpo.ijmpo_190_18
Abstract
The organisms belonging to the genus Myroides are ubiquitously present in the environment and have been implicated in infections in immunocompromised patients. We report the recent isolation of Myroides odoratus from the cerebrospinal fluid (CSF) of a patient with anaplastic astrocytoma in the right frontal lobe who had undergone a supratentorial craniectomy for a recurrent right frontal tumor. The organism was identified by the VITEK-2 automated identification system (BioMérieux, Marcy-l'Étoile, France) in addition to microscopic morphology, cultural characteristics, and biochemical tests. The recovery of pure culture of M. odoratus from CSF culture and the patient's clinical response to treatment with cefoperazone–sulbactam support its potential etiological role. M. odoratus can be a causative agent of postneurosurgery central nervous system infection and is amenable to treatment with appropriate antibiotics.
Publication History
Article published online:
03 June 2021
© 2019. Indian Society of Medical and Paediatric Oncology. This is an open access article published by Thieme under the terms of the Creative Commons Attribution-NonDerivative-NonCommercial-License, permitting copying and reproduction so long as the original work is given appropriate credit. Contents may not be used for commercial purposes, or adapted, remixed, transformed or built upon. (https://creativecommons.org/licenses/by-nc-nd/4.0/).
Thieme Medical and Scientific Publishers Pvt. Ltd.
A-12, 2nd Floor, Sector 2, Noida-201301 UP, India
Abstract
The organisms belonging to the genus Myroides are ubiquitously present in the environment and have been implicated in infections in immunocompromised patients. We report the recent isolation of Myroides odoratus from the cerebrospinal fluid (CSF) of a patient with anaplastic astrocytoma in the right frontal lobe who had undergone a supratentorial craniectomy for a recurrent right frontal tumor. The organism was identified by the VITEK-2 automated identification system (BioMérieux, Marcy-l'Étoile, France) in addition to microscopic morphology, cultural characteristics, and biochemical tests. The recovery of pure culture of M. odoratus from CSF culture and the patient's clinical response to treatment with cefoperazone–sulbactam support its potential etiological role. M. odoratus can be a causative agent of postneurosurgery central nervous system infection and is amenable to treatment with appropriate antibiotics.
Introduction
The bacteria belonging to the genus Myroides are nonmotile, nonfermenting, Gram negative, and rod shaped characterized by fruity odor during growth and produce yellow-pigmented colonies on nutrient agar.[1] Bacteria of the genus Myroides are not a part of the regular human microbial flora.[2] They cause opportunistic infections in immunocompromised patients. Myroides are ubiquitous and were found in soil and water, with M. odoratus and Myroides odoratimimus being the clinically relevant species.[3] M. odoratus is a very rare human pathogen. Myroides spp. have been reported as a cause of cellulitis, urinary tract infection, pericardial effusion, sepsis, and endocarditis.[2] Central nervous system (CNS) infection due to these organisms has been rarely reported in the literature.[4] To the best of our knowledge, this is the first case report of M. odoratus-associated CNS infection in a patient with solid tumors postneurosurgery.
Case Report
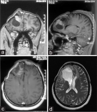
A 37-year-old female with anaplastic astrocytoma in the right frontal lobe underwent supratentorial craniectomy for a recurrent right frontal tumor in the neurosurgery department and was discharged uneventfully [Figure 1a], [b], [c], [d]. She had a history of undergoing surgery and radiotherapy for the same disease. She was planned for reradiation and rechallenge with temozolomide; however, after about a month (post-2nd surgery), she complained of fever, headache, vomiting, and neck rigidity. Her Glasgow Coma Scale = 15/15 and Karnofsky Performance Status = 70. She had a cerebrospinal fluid (CSF) leak from the operative site and a fever of 39.4°C. Laboratory investigations from peripheral blood indicated increased white blood cell (WBC) count of 14.91 × 109/L (4.0–10.0); increased absolute neutrophil count of 10.74 × 109/L (2.0–7.0) at 88.6% (40.0–80.0); decreased lymphocyte count of 0.87 × 109/L (1.0–3.0) at 5.9% (20.0–40.0); increased CSF protein = 449 mg/dL (normal: 15–45 mg/dl); lactic dehydrogenase = 250 U/L (normal: 100–190 U/L); C-reactive protein = 10.8 mg/dl (reference range: 0–0.33); and decreased CSF sugar level = 36 mg/dl (corresponding random blood sugar = 78 mg/dL). She had received day 1 of salvage temozolomide before the symptoms appeared, following which it was discontinued. Her lumbar CSF sample was sent to the microbiology laboratory for bacterial culture and drug sensitivity, blood sample for routine viral markers, malaria antigen testing, and the patient was empirically started with injection vancomycin (500 mg 6 hourly) and cefoperazone–sulbactam (2 g 12 hourly). The tests for malaria antigen detection by immune chromatographic assay were negative; dengue-NS1 antigen, IgM, and IgG antibodies were not detected. The viral markers for hepatitis B surface antigen, human immunodeficiency virus, and anti-hepatitis C virus antibodies were also nonreactive. Gram staining of CSF showed polymorphonuclear cells and Gram-negative bacilli. On culturing the CSF on blood agar and nutrient agar for 24 h, yellow-pigmented colonies with fruity odor were obtained [Figure 2a] and [b]. MacConkey agar did not show any growth. Gram staining of the colonies on blood agar suggested a pure culture of Gram-negative bacilli. Identification of the isolate was also performed on the VITEK-2 (BioMérieux, Marcy-l'Etoile, France) automated identification system, which reported Myroides spp. and its AST MIC pattern. M. odoratus was presumptively identified by performing the desferrioxamine (250 μg-disc) susceptibility testing; M. odoratus being desferrioxamine susceptible while the other species M. odoratimimus being nonsusceptible.[5] The minimum inhibitory concentrations (MICs) (μg/ml) were found to be ≥64, ≥16, ≥4, ≤4, 8, ≤8, ≤0.25, ≤0.25 μg/ml for amikacin, gentamicin, ciprofloxacin, piperacillin/tazobactam, ceftazidime, cefoperazone-sulbactam, imipenem, and meropenem, respectively. However, susceptibility interpretation is not possible due to lack of standard Clinical and Laboratory Standards Institute (CLSI) or EUCAST interpretive breakpoints for Myroides spp. These MICs and interpretation were provided by the VITEK-2 using GN AST-N 281-NLF cards. The VITEK-2 identification and susceptibility testing system has been used for non-glucose-fermenting Gram-negative bacilli (including Myroides), and the results have been found to be acceptable in a study conducted by Hsieh et al. in 2009, which reported a 100% (n = 7) concordance of GN AST-N 281-NLF cards for reporting Myroides spp. with that of conventional identification methods.[6]
| Figure 1 Contrast-enhanced coronal, sagittal, and axial view of preoperative magnetic resonance imaging showing the tumor. (d) T2 axial image of the postoperative magnetic resonance imaging showing tumor excision
| Figure 2 Colonies of Myroides spp. seen on (a) sheep blood agar and (b) nutrient agar
Based on the culture and susceptibility results, injection vancomycin was discontinued and the patient was treated with injection cefoperazone–sulbactam for 10 days, after which she made a good clinical recovery and was planned for reradiation.
Discussion
Postoperative CNS infection after neurosurgery with an incidence of 0.5%–8 % carries substantial morbidity and also mortality.[7] The associated risk factors for postcraniotomy meningitis include diabetes, advanced age, GCS <12 href="https://www.thieme-connect.com/products/ejournals/html/10.4103/ijmpo.ijmpo_190_18#JR_8" xss=removed>8] Aseptic meningitis comprises 60%–75% of all cases of postoperative meningitis. However, it is very important to promptly diagnose and treat meningitis aggressively, when the etiology is bacterial. We used the conventional definitions to suspect bacterial meningitis (clinical signs and symptoms, increased WBC count and protein, and reduced glucose in CSF), which was confirmed by CSF culture. A wide range of organisms have been implicated in postneurosurgery meningitis. Acinetobacter was the most common organism in one study.[8] The study by Srinivas et al. found Pseudomonas and other nonfermenting Gram-negative bacilli followed by Klebsiella pneumonia e to be more common.[7] Other organisms such as Staphylococcus aureus (including MRSA), Escherichia coli, Citrobacter spp., Proteus spp., Enterococcus spp., and Streptococcus agalactiae have also been reported.[9] [10] A study conducted in the West Indies reported the isolation of M. odoratus in ventricular fluid of a 6-week-old infant with hydrocephalus who developed ventriculitis and was managed with intraventricular cefotaxime.[4] However, Myroides spp. as a cause of postneurosurgical meningitis has rarely been reported in the literature and this is the first time we encountered this microorganism in our setting. The source of the organism and the mode of entry into the CSF is unknown and difficult to determine; however, it has been hypothesized that repeated sampling of the ventricles may introduce the infection. Myroides spp. have been reported to be among the more resistant organisms in literature, with strains that harbor KPC-2 carbapenemase and metallo-beta-lactamases, making them resistant to beta-lactam drugs and also carbapenems.[11] The CLSI and the The European Committee on Antimicrobial Susceptibility Testing (EUCAST) does not provide interpretive breakpoints for Myroides spp. against antibacterials. Multidrug-resistant Myroides infection at other sites (wound, blood, bile, respiratory, etc.,) has been treated with the few antibiotics they were susceptible to, which included meropenem, ceftazidime, piperacillin–tazobactam, and cefoperazone.[12] The MICs for various antibiotics against our isolate were obtained by the VITEK-2 automated identification and susceptibility instrument and were found to be susceptible to piperacillin–tazobactam, ceftazidime, cefoperazone–sulbactam, imipenem, and meropenem. The patient was treated with intravenous cefoperazone–sulbactam and vancomycin for 10 days, after which she made a good clinical recovery and was planned for radiation. CSF culture performed subsequently was sterile demonstrating microbiological clearance of the organism.
M. odoratus has a role to play in the etiology of postoperative infection after neurosurgery. Although reported to be multidrug resistant in literature, it can be treated effectively by the use of appropriate antibiotics.
Declaration of patient consent
The authors certify that they have obtained all appropriate patient consent forms. In the form the patient(s) has/have given his/her/their consent for his/her/their images and other clinical information to be reported in the journal. The patients understand that their names and initials will not be published and due efforts will be made to conceal their identity, but anonymity cannot be guaranteed.
- Holmes B, Snell JJ, Lapage SP. Revised description, from clinical isolates, of Flavobacterium odoratum. Stutzer and Kwaschnina 1929, and designation of the neotype strain. Int J Syst Bacteriol 1977; 27: 330-6
- Beharrysingh R. Myroides bacteremia: A case report and concise review. IDCases 2017; 8: 34-6
- Ktari S, Mnif B, Koubaa M, Mahjoubi F, Ben Jemaa M, Mhiri MN. Nosocomial outbreak of Myroides odoratimimus urinary tract infection in a Tunisian hospital. J Hosp Infect 2012; 80: 77-81
- Macfarlane DE, Baum-Thureen P, Crandon I. Flavobacterium odoratum ventriculitis treated with intraventricular cefotaxime. J Infect 1985; 11: 233-8
- Laffineur K, Janssens M, Charlier J, Avesani V, Wauters G, Delmée M. Biochemical and susceptibility tests useful for identification of nonfermenting gram-negative rods. J Clin Microbiol 2002; 40: 1085-7
- Hsieh WS, Sung LL, Tsai KC, Ho HT. Evaluation of the VITEK 2 cards for identification and antimicrobial susceptibility testing of non-glucose-fermenting gram-negative bacilli. APMIS 2009; 117: 241-7
- Srinivas D, Veena Kumari HB, Somanna S, Bhagavatula I, Anandappa CB. The incidence of postoperative meningitis in neurosurgery: An institutional experience. Neurol India 2011; 59: 195-8
- Chen C, Zhang B, Yu S, Sun F, Ruan Q, Zhang W. et al. The incidence and risk factors of meningitis after major craniotomy in China: A retrospective cohort study. PLoS One 2014; 9: e101961
- McClelland 3rd S, Hall WA. Postoperative central nervous system infection: Incidence and associated factors in 2111 neurosurgical procedures. Clin Infect Dis 2007; 45: 55-9
- Soavi L, Rosina M, Stefini R, Fratianni A, Cadeo B, Magri S. et al. Post-neurosurgical meningitis: Management of cerebrospinal fluid drainage catheters influences the evolution of infection. Surg Neurol Int 2016; 7: S927-34
- Elantamilan D, Lyngdoh VW, Choudhury B, Khyriem AB, Rajbongshi J. Septicaemia caused by Myroides spp.: A case report. JMM Case Rep 2015; 2: 1-4
- Hu SH, Yuan SX, Qu H, Jiang T, Zhou YJ, Wang MX. Antibiotic resistance mechanisms of Myroides sp. J Zhejiang Univ Sci B 2016; 17: 188-99
Address for correspondence
Publication History
Article published online:
03 June 2021
© 2019. Indian Society of Medical and Paediatric Oncology. This is an open access article published by Thieme under the terms of the Creative Commons Attribution-NonDerivative-NonCommercial-License, permitting copying and reproduction so long as the original work is given appropriate credit. Contents may not be used for commercial purposes, or adapted, remixed, transformed or built upon. (https://creativecommons.org/licenses/by-nc-nd/4.0/).
Thieme Medical and Scientific Publishers Pvt. Ltd.
A-12, 2nd Floor, Sector 2, Noida-201301 UP, India
| Figure 1 Contrast-enhanced coronal, sagittal, and axial view of preoperative magnetic resonance imaging showing the tumor. (d) T2 axial image of the postoperative magnetic resonance imaging showing tumor excision
| Figure 2 Colonies of Myroides spp. seen on (a) sheep blood agar and (b) nutrient agar
- Holmes B, Snell JJ, Lapage SP. Revised description, from clinical isolates, of Flavobacterium odoratum. Stutzer and Kwaschnina 1929, and designation of the neotype strain. Int J Syst Bacteriol 1977; 27: 330-6
- Beharrysingh R. Myroides bacteremia: A case report and concise review. IDCases 2017; 8: 34-6
- Ktari S, Mnif B, Koubaa M, Mahjoubi F, Ben Jemaa M, Mhiri MN. Nosocomial outbreak of Myroides odoratimimus urinary tract infection in a Tunisian hospital. J Hosp Infect 2012; 80: 77-81
- Macfarlane DE, Baum-Thureen P, Crandon I. Flavobacterium odoratum ventriculitis treated with intraventricular cefotaxime. J Infect 1985; 11: 233-8
- Laffineur K, Janssens M, Charlier J, Avesani V, Wauters G, Delmée M. Biochemical and susceptibility tests useful for identification of nonfermenting gram-negative rods. J Clin Microbiol 2002; 40: 1085-7
- Hsieh WS, Sung LL, Tsai KC, Ho HT. Evaluation of the VITEK 2 cards for identification and antimicrobial susceptibility testing of non-glucose-fermenting gram-negative bacilli. APMIS 2009; 117: 241-7
- Srinivas D, Veena Kumari HB, Somanna S, Bhagavatula I, Anandappa CB. The incidence of postoperative meningitis in neurosurgery: An institutional experience. Neurol India 2011; 59: 195-8
- Chen C, Zhang B, Yu S, Sun F, Ruan Q, Zhang W. et al. The incidence and risk factors of meningitis after major craniotomy in China: A retrospective cohort study. PLoS One 2014; 9: e101961
- McClelland 3rd S, Hall WA. Postoperative central nervous system infection: Incidence and associated factors in 2111 neurosurgical procedures. Clin Infect Dis 2007; 45: 55-9
- Soavi L, Rosina M, Stefini R, Fratianni A, Cadeo B, Magri S. et al. Post-neurosurgical meningitis: Management of cerebrospinal fluid drainage catheters influences the evolution of infection. Surg Neurol Int 2016; 7: S927-34
- Elantamilan D, Lyngdoh VW, Choudhury B, Khyriem AB, Rajbongshi J. Septicaemia caused by Myroides spp.: A case report. JMM Case Rep 2015; 2: 1-4
- Hu SH, Yuan SX, Qu H, Jiang T, Zhou YJ, Wang MX. Antibiotic resistance mechanisms of Myroides sp. J Zhejiang Univ Sci B 2016; 17: 188-99
PDF
Views
Share

