Neurocognitive and Neuroanatomical Changes in Children with Acute Lymphoblastic Leukemia Treated with the Modified BFM-95 Protocol
CC BY-NC-ND 4.0 · Indian J Med Paediatr Oncol 2019; 40(02): 222-231
DOI: DOI: 10.4103/ijmpo.ijmpo_138_18
Abstract
Background: The use of cranial radiotherapy for central nervous system (CNS) prophylaxis in children with acute lymphoblastic leukemia (ALL) is debated owing to its effect on neurocognitive functioning, as only <30 class="b" xss=removed>Methods: Children (n = 44) with ALL who received CRT, intrathecal methotrexate (IT-MTX), and high-dose methotrexate (HD-MTX) for CNS prophylaxis as part of the modified Berlin-Frankfurt-Munster 95 protocol were included. Neurocognitive assessments and magnetic resonance image were performed to assess neurocognitive functioning and neuroanatomical structures, respectively. Five assessments were performed during the induction, end of re-induction I and II, commencement of maintenance, and end of maintenance phases of the modified BFM-95 protocol. Neurocognitive data of children with ALL were compared with those of healthy children (n = 60) at the baseline and after the final assessment. Results: A significant deterioration was observed in the performance intelligence, visuospatial ability, processing speed, and verbal retention domains after the completion of CNS prophylaxis. Three children had white matter changes on magnetic resonance imaging and showed reduced functioning in performance intelligence quotient, working memory, visual immediate and delayed memory, processing speed, verbal retention, visuospatial ability, processing speed, attention, planning and fine motor skills, and verbal comprehension. Children with ALL had poorer neuropsychological functioning when compared with healthy children. Conclusion: CNS prophylactic therapy as part of the BFM-95 protocol had an adverse effect on the neuropsychological functioning of children with ALL, and the effect was more pronounced when CRT was added to the treatment.
Keywords
Acute lymphoblastic leukemia - BFM-95 protocol - central nervous system prophylactic treatment - chemotherapy - childhood cancer - cranial irradiation - neuropsychological functioningPublication History
Article published online:
03 June 2021
© 2019. Indian Society of Medical and Paediatric Oncology. This is an open access article published by Thieme under the terms of the Creative Commons Attribution-NonDerivative-NonCommercial-License, permitting copying and reproduction so long as the original work is given appropriate credit. Contents may not be used for commercial purposes, or adapted, remixed, transformed or built upon. (https://creativecommons.org/licenses/by-nc-nd/4.0/).
Thieme Medical and Scientific Publishers Pvt. Ltd.
A-12, 2nd Floor, Sector 2, Noida-201301 UP, India
Abstract
Background: The use of cranial radiotherapy for central nervous system (CNS) prophylaxis in children with acute lymphoblastic leukemia (ALL) is debated owing to its effect on neurocognitive functioning, as only <30 class="b" xss=removed>Methods: Children (n = 44) with ALL who received CRT, intrathecal methotrexate (IT-MTX), and high-dose methotrexate (HD-MTX) for CNS prophylaxis as part of the modified Berlin-Frankfurt-Munster 95 protocol were included. Neurocognitive assessments and magnetic resonance image were performed to assess neurocognitive functioning and neuroanatomical structures, respectively. Five assessments were performed during the induction, end of re-induction I and II, commencement of maintenance, and end of maintenance phases of the modified BFM-95 protocol. Neurocognitive data of children with ALL were compared with those of healthy children (n = 60) at the baseline and after the final assessment. Results: A significant deterioration was observed in the performance intelligence, visuospatial ability, processing speed, and verbal retention domains after the completion of CNS prophylaxis. Three children had white matter changes on magnetic resonance imaging and showed reduced functioning in performance intelligence quotient, working memory, visual immediate and delayed memory, processing speed, verbal retention, visuospatial ability, processing speed, attention, planning and fine motor skills, and verbal comprehension. Children with ALL had poorer neuropsychological functioning when compared with healthy children. Conclusion: CNS prophylactic therapy as part of the BFM-95 protocol had an adverse effect on the neuropsychological functioning of children with ALL, and the effect was more pronounced when CRT was added to the treatment.
Keywords
Acute lymphoblastic leukemia - BFM-95 protocol - central nervous system prophylactic treatment - chemotherapy - childhood cancer - cranial irradiation - neuropsychological functioningIntroduction
Leukemia is the most common childhood cancer in India, with a relative proportion of 25%–40% of all cancers.[1] [2] Acute lymphoblastic leukemia (ALL) accounts for 65%–85% of all leukemia cases reported.[1] [3] Cure rates of childhood ALL have improved from virtually 0 in the 1950s to 90% currently in Western countries.[4] Overall survival outcomes at tertiary cancer centers in India (Mumbai, Chennai, and Bangalore) range from 65% to 70%.[5] Central nervous system (CNS) prophylaxis is a vital part of ALL treatment as it decreases the risk of CNS relapse and is greatly responsible for the remarkable increase in survival rates.[5] [6] [7] [8] [9] Intrathecal methotrexate (IT-MTX), intravenous high-dose methotrexate (HD-MTX), cranial radiation therapy (CRT), triple IT chemotherapy, or a combination of these modalities is commonly used to treat ALL.[10] [11] The use of CRT, HD-MTX, or IT-MTX is based on patient risk stratification. At present, HD-MTX is only administered to patients with T-cell ALL or high-risk patients with B-cell ALL, and CRT is reserved for patients with overt CNS disease.[11] [12] [13] In the past, most patients in India received CRT as the treatment was not risk stratified; however, most centers have now moved toward risk-adapted therapy.[5] [6] [7] [8] [9] [14]
With the rate of ALL survivors increasing in India, the need to study the effects of ALL treatment protocol including CRT on neurocognitive functioning is increasing. The modified BFM-95 protocol is used at the Cancer Institute (Chennai) which includes a combination of intravenous MTX, IT-MTX, and CRT. No prospective studies on the effect of any of these protocols have been conducted in India. Therefore, this prospective study was conducted to evaluate the effect of the modified BFM-95 protocol on neurocognitive functioning in children with ALL.
Methods
The study was conducted between 2011 and 2015. Ethical clearance was obtained before the initiation of the study. Children aged 6–15 years, who received the diagnosis of ALL- and CNS-directed therapy including HD-MTX, IT-MTX, and CRT, were included in the study. Furthermore, the children had to be attending regular school for inclusion in the study. Children with a history of any neurological disorder, psychiatric disorder, severe head injuries, disease relapse, and secondary malignancy at the time of assessment were excluded from the study. The control group included healthy children from local communities who attended regular school and matched the patients with ALL in age, sex, and socioeconomic status. The details of the sample recruited are presented in [Figure 1]. Children with ALL were from different geographical locations of Tamil Nadu and Andhra Pradesh, and healthy children were from Chennai.
| Figure 1 Flowchart of sample recruitment --
Procedures and tools used
Written informed consent was obtained from the parents of children aged <12>
The details of the tools used in the study are summarized in [Table 1]. Briefly, for the battery of tests used to assess neurocognitive function, higher scores indicated better performance. Some tests considered processing time and evaluated the performance level. T2-weighted, axial three-dimensional, spoiled gradient, and high-resolution MR images were collected using a 1.5 T MRI scanner to examine the neuroanatomical structures.
|
Tools name |
Author and year |
Functions assessed |
|---|---|---|
|
MISC - Malin’s Intelligence Scale for Indian Children; MRI - Magnetic resonance image; WISC - Wechsler Intelligence Scale for Children; NIMHANS - National Institute of Mental Health and Neurosciences; PIQ - Performance intelligence quotient; CT - Color Trails Test |
||
|
MISC - An Indian adaptation of the WISC |
Malin (1969)[15] |
PIQ |
|
Sub tests of MISC |
||
|
Picture completion |
Visuo-conceptual |
|
|
Block design |
Visuospatial |
|
|
Coding |
Processing speed |
|
|
Object assembly |
Perceptual organization |
|
|
Maze |
Planning and fine motor |
|
|
The NIMHANS neuropsychological battery for children |
Kar et al, (2004)[16] |
|
|
Sub tests of the NIMHANS battery |
||
|
Finger tapping test |
Motor speed |
|
|
Color cancellation test |
Sustained attention |
|
|
CT |
Focused attention |
|
|
Token test |
Verbal comprehension |
|
|
Verbal n-back test |
Verbal working memory |
|
|
Visuospatial span test |
Visuospatial working memory |
|
|
Auditory verbal learning test |
Verbal learning and Memory |
|
|
Memory for design test |
Visual learning and Memory |
|
|
MRI |
Neuroanatomical structure |
|
| Figure 2 Assessment interval between the different phases of the modified BFM-95 protocol
All the patients included in the study who presented for the fourth assessment (n = 25) underwent a contrast-enhanced MRI (brain) scan. Only eight children with ALL who were suspected to have neurotoxicity underwent MRI during the induction phase. MRI was not performed for other patients.
Baseline assessment for the healthy children was completed at the time of recruitment of the children with ALL, and postassessment was completed during the fifth assessment period of children with ALL, which was 2 years from the baseline assessment. The assessments were carried out by the researcher who has trained in neuropsychological assessments at the National Institute of Mental Health and Neuroscience, Bangalore. The total duration of the assessments was approximately 3–4 h. To overcome the effect of fatigue, the tests were administered in 1.5-h sessions with at least one 5–15 min break.
Statistical analysis
Descriptive statistics were used to summarize demographic variables and clinical variables. Chi-square and independent sample t-tests were performed to find the difference in the demographic variables and neurocognitive functions between children with ALL and healthy children. General linear model one-way repeated measures analysis of variance (ANOVA) used to test for change over time (baseline, intensive phase treatments, and maintenance) in performance on the neurocognitive measures. Pairwise comparisons were calculated using the Bonferroni correction to evaluate whether differences in outcome scores at different measurements were significant. Statistical analyses were performed with the IBM Corporation. Released 2010. IBM SPSS Statistics for Windows, Version 19.0. (Armonk, New York: IBM Corporation) with the alpha level set to 0.05 for all analyses.
Results
Demographic and clinical characteristics of children with ALL and demographic characteristics of healthy children included in the study are summarized in [Table 2]. There was no significant difference based on age, sex, education, socioeconomic status, family type, and parents' literacy and occupation between children with ALL and healthy children. In the experimental group, 52% of the children born to parents from a consanguineous marriage, whereas it was 10.9% in the control group, and the difference was statistically significant. The mean age at the time of baseline assessment was 8.76 ± 2.26 years for children with ALL and 9.42 ± 2.07 years for healthy children. The mean age of children at the time of final assessment was 10.76 ± 2.26 years for children with ALL and 11.42 ± 2.07 years for healthy children. Of the children with ALL, 64% were male, and of the healthy children, 56.4% were male. Clinical evaluation showed that most children with ALL were presented with high risk (56%) or intermediate risk (40%). Most children (76%) had T-cell immunophenotype. Neurotoxicity was observed in 24% of the children with ALL.
|
Variables |
Children with ALL (n=25), n (%) |
Healthy children (n=55), n (%) |
t/χ2 |
P |
|---|---|---|---|---|
|
*t-test. Significance level at 0.05. χ2 - Chi-square test; ALL - Acute lymphoblastic leukemia; SD - Standard deviation; CVT - Cerebral venous thrombosis |
||||
|
Age in years at the time of first assessment (baseline) |
||||
|
Mean±SD |
8.76±2.26 |
9.42±2.07 |
1.28* |
0.20 |
|
Range |
6-13 |
6-13 |
||
|
Age in years at the time of final assessment (final) |
||||
|
Mean±SD |
10.76±2.26 |
11.42±2.07 |
1.25* |
0.21 |
|
Range |
8-15 |
8-15 |
||
|
6-10 years |
20 (80) |
32 (58.2) |
||
|
11-15 years |
5 (20) |
23 (41.8) |
||
|
Gender |
||||
|
Male |
16 (64) |
31 (56.4) |
0.41 |
0.52 |
|
Female |
9 (36) |
24 (43.6) |
||
|
Education in years (baseline) |
||||
|
Mean±SD |
3.92±2.21 |
4.58±2.32 |
1.42* |
0.16 |
|
Range |
1-8 |
1-8 |
||
|
Handedness |
||||
|
Right hand |
25 |
55 |
||
|
Mother tongue |
||||
|
Tamil |
18(72) |
55 |
||
|
Income (monthly income in Rupees) (INR) |
||||
|
<5000> |
18(72) |
36 (65.5) |
1.40 |
0.49 |
|
5000-10,000 |
5 (20) |
17 (30.9) |
||
|
>10,000 |
2 (8) |
2 (3.6) |
||
|
Family type |
||||
|
Joint family |
12 (48) |
17 (30.9) |
2.80 |
2.46 |
|
Nuclear family |
13(52) |
38 (69.1) |
||
|
Consanguineous marriage |
||||
|
Yes |
13(52) |
6 (10.9) |
16.02 |
0.00* |
|
Literacy |
||||
|
Father |
||||
|
Schooling |
16 (64) |
41 (74.5) |
3.79 |
0.15 |
|
Graduate |
5 (20) |
12 (21.8) |
||
|
Illiterate |
4 (16) |
2 (3.6) |
||
|
Mother |
||||
|
Primary |
17 (68) |
49 (89.1) |
5.29 |
0.07 |
|
Graduate |
4 (16) |
3 (5.5) |
||
|
Illiterate |
4 (16) |
3 (5.5) |
||
|
Occupation |
||||
|
Father |
||||
|
Unskilled |
11 (44) |
20 (36.4) |
0.55 |
0.75 |
|
Semiskilled |
6 (24) |
13 (23.6) |
||
|
Skilled |
8 (32) |
22 (40) |
||
|
Mother |
||||
|
Homemaker |
17 (68) |
29 (52.7) |
5.91 |
0.11 |
|
Unskilled |
5 (20) |
20 (36.4) |
||
|
Semiskilled |
3 (12) |
2 (3.6) |
||
|
Skilled |
- |
4 (7.3) |
||
|
Risk stratification |
||||
|
Low |
1 (4) |
|||
|
Intermediate |
10 (40) |
|||
|
High |
14 (56) |
|||
|
Immunophenotype |
||||
|
T-cell |
19(76) |
|||
|
B-cell |
6 (24) |
|||
|
Neurotoxicity |
||||
|
Seizure |
2 (8) |
|||
|
CVT |
1 (4) |
|||
|
Meningitis |
1 (4) |
|||
|
Headache |
2 (8) |
|||
|
No neurotoxicity |
19(76) |
|||
|
Neurocognitive functions |
Mean±SD |
F |
P |
η 2 |
||||
|---|---|---|---|---|---|---|---|---|
|
First assessment |
Second assessment |
Third assessment |
Fourth assessment |
Fifth assessment |
||||
|
#Score indicates time in seconds (as lesser the time, better the performance); *P<0 class="i">P<0> |
||||||||
|
Overall PIQ |
108.93±12.66 |
111.27±12.04 |
108.60±12.45 |
104.44±11.90 |
97.63±10.18 |
13.85 |
0.01** |
0.74 |
|
Visuo-conceptual |
111.00±21.13 |
110.24±17.68 |
108.68±17.68 |
108.04±12.48 |
103.40±16.34 |
1.58 |
0.84 |
0.15 |
|
Visuospatial |
116.16±24.63 |
117.56±20.53 |
112.44±22.78 |
105.88±20.93 |
103.24±22.59 |
4.60 |
0.01** |
0.37 |
|
Processing speed |
111.24±21.72 |
113.32±20.31 |
112.68±18.57 |
107.40±16.61 |
92.92±15.12 |
10.61 |
0.01** |
0.56 |
|
Perceptual organization |
98.04±24.03 |
100.04±24.88 |
93.72±18.33 |
94.88±22.10 |
89.12±16.14 |
1.40 |
0.23 |
0.16 |
|
Planning and fine motor |
110.00±10.41 |
115.36±17.93 |
110.72±19.61 |
109.76±18.55 |
105.80±20.07 |
1.32 |
0.26 |
0.19 |
|
Verbal retention |
103.55±16.47 |
91.30±14.55 |
96.74±12.13 |
90.73±10.82 |
92.10±11.44 |
4.31 |
0.01** |
0.30 |
|
Motor speed (RH) |
32.22±5.62 |
34.45±6.17 |
35.13±5.74 |
37.24±5.66 |
40.10±8.79 |
23.59 |
0.01** |
0.75 |
|
Motor speed (LH) |
27.06±5.55 |
29.44±6.50 |
29.70±5.75 |
31.31±6.13 |
33.48±6.76 |
16.15 |
0.01** |
0.72 |
|
Verbal learning |
49.92±8.21 |
51.96±9.74 |
52.64±9.06 |
54.24±10.29 |
58.32±8.55 |
10.46 |
0.01** |
0.58 |
|
Verbal immediate memory |
10.76±2.52 |
10.80±2.54 |
11.28±2.03 |
11.48±2.20 |
11.64±1.97 |
1.41 |
0.23 |
0.18 |
|
Verbal delayed memory |
11.44±2.27 |
10.84±2.46 |
11.60±2.25 |
11.92±2.08 |
12.00±2.36 |
1.86 |
1.22 |
0.26 |
|
Visual learning |
69.20±11.78 |
69.72±11.98 |
70.16±12.08 |
72.48±10.82 |
74.24±7.49 |
4.26 |
0.01** |
0.30 |
|
Visual immediate memory |
9.84±3.21 |
10.56±2.73 |
10.80±2.91 |
10.68±2.49 |
11.24±3.12 |
2.66 |
0.03* |
0.30 |
|
Visual delayed memory |
9.76±3.16 |
9.88±3.05 |
10.28±2.82 |
10.52±2.38 |
11.72±3.00 |
9.07 |
0.01** |
0.62 |
|
Sustained attention# |
91.20±36.72 |
82.52±36.93 |
78.80±23.79 |
75.88±21.64 |
77.56±24.77 |
2.31 |
0.06 |
0.21 |
|
Focused attention (CT-A)# |
121.96±71.70 |
101.84±56.39 |
92.88±51.79 |
85.52±48.60 |
79.32±32.81 |
7.30 |
0.01** |
0.39 |
|
Focused attention (CT-B)# |
240.08±137.42 |
212.64±130.36 |
193.12±72.96 |
160.24±51.66 |
160.68±71.88 |
6.52 |
0.01** |
0.65 |
|
VW memory (NB 1) |
8.28±0.97 |
8.20±1.00 |
8.04±1.05 |
8.16±0.74 |
8.16±1.34 |
0.27 |
0.89 |
0.05 |
|
VW memory (NB 2) |
10.48±2.48 |
10.24±2.52 |
10.12±2.4 |
9.80±2.17 |
10.20±1.84 |
0.47 |
0.75 |
0.10 |
|
VSWM-F |
4.24±0.83 |
4.08±0.99 |
4.08±1.07 |
4.52±0.50 |
4.64±0.70 |
3.78 |
0.01** |
0.32 |
|
VSWM-B |
2.56±1.66 |
2.48±1.71 |
2.32±1.54 |
2.42±1.55 |
2.56±1.50 |
0.28 |
0.88 |
0.05 |
|
Verbal comprehension |
31.86±5.05 |
31.86±4.26 |
31.58±3.33 |
31.52±3.27 |
32.02±3.53 |
0.15 |
0.96 |
0.01 |
|
Functions Neurocognitive functions |
First versus second |
First versus third |
First versus fourth |
First versus fifth |
Second versus third |
Second versus fourth |
Second versus fifth |
Third versus fourth |
Third versus fifth |
Fourth versus fifth |
|---|---|---|---|---|---|---|---|---|---|---|
|
#Score indicates time in seconds (as time taken reduces performance increases). Significant level at 0.05. PIQ - Performance intelligence quotient; RH - Right hand; LH - Left hand; CT-A - Color Trails Test A; CT-B - Color trails test B |
||||||||||
|
Overall PIQ |
0.001 |
0.005 |
0.001 |
0.001 |
0.008 |
|||||
|
Visuospatial |
0.041 |
0.031 |
||||||||
|
Processing speed |
0.005 |
0.001 |
0.001 |
0.002 |
||||||
|
Verbal retention |
0.051 |
|||||||||
|
Motor speed (RH) |
0.001 |
0.001 |
0.001 |
0.001 |
0.004 |
0.001 |
0.003 |
|||
|
Motor speed (LH) |
0.001 |
0.047 |
0.001 |
0.001 |
0.004 |
0.009 |
||||
|
Verbal learning |
0.001 |
0.002 |
0.011 |
|||||||
|
Visual delayed memory |
0.001 |
0.002 |
0.014 |
|||||||
|
Focused attention (CT-A)# |
0.023 |
0.011 |
||||||||
|
Focused attention (CT-B)# |
0.023 |
0.012 |
0.009 |
0.002 |
||||||
|
Neurocognitive functions |
Baseline assessment |
Postassessment |
||||||
|---|---|---|---|---|---|---|---|---|
|
Mean±SD |
t |
P |
Mean±SD |
t |
P |
|||
|
Children with ALL |
Healthy children |
Children with ALL |
Healthy children |
|||||
|
#Score indicates time in seconds (as time taken reduces performance increases); *P<0 class="i">P<0> |
||||||||
|
Overall PIQ |
108.93±12.66 |
110.95±10.80 |
0.73 |
0.46 |
97.63±10.18 |
118.32±5.85 |
11.5 |
0.01* |
|
Visuo-conceptual |
111.00±21.32 |
113.80±15.47 |
0.66 |
0.50 |
103.40±16.34 |
123.40±10.15 |
6.69 |
0.01* |
|
Visuospatial |
116.16±24.63 |
115.50±19.69 |
0.12 |
0.90 |
103.24±22.59 |
116.21±6.92 |
3.90 |
0.01* |
|
Processing speed |
111.24±21.72 |
115.72±21.69 |
0.85 |
0.39 |
92.92±15.12 |
119.29±10.47 |
9.03 |
0.01* |
|
Perceptual organization |
98.04±24.03 |
100.76±18.95 |
0.52 |
0.59 |
89.12±16.14 |
111.67±8.98 |
8.01 |
0.01* |
|
Planning and fine motor |
110.00±10.41 |
112.34±12.04 |
0.84 |
0.40 |
105.80±20.07 |
120.00±12.08 |
3.92 |
0.01* |
|
Verbal retention |
103.55±16.47 |
102.63±8.58 |
0.33 |
0.74 |
92.10±11.44 |
98.61±4.94 |
3.36 |
0.01* |
|
Motor speed (RH) |
32.22±5.62 |
34.64±5.24 |
1.87 |
0.06 |
40.10±8.79 |
37.58±4.34 |
2.48 |
0.01* |
|
Motor speed (LH) |
27.06±5.55 |
28.87±5.54 |
1.35 |
0.18 |
33.48±6.76 |
33.74±6.00 |
0.17 |
0.86 |
|
Verbal learning |
49.92±8.21 |
51.16±8.14 |
0.63 |
0.53 |
58.32±8.55 |
55.98±6.15 |
1.38 |
0.16 |
|
Verbal immediate memory |
10.76±2.52 |
11.94±2.39 |
2.01 |
0.04* |
11.64±1.97 |
13.20±1.26 |
4.25 |
0.01* |
|
Verbal delayed memory |
11.44±2.27 |
12.01±2.23 |
1.06 |
0.28 |
12.00±2.36 |
13.56±1.16 |
3.97 |
0.01* |
|
Visual learning |
69.20±11.78 |
70.27±13.80 |
0.33 |
0.73 |
74.24±7.49 |
76.52±12.74 |
0.83 |
0.40 |
|
Visual immediate memory |
9.84±3.21 |
10.83±3.36 |
1.24 |
0.21 |
11.24±3.12 |
12.90±1.19 |
3.46 |
0.00** |
|
Visual delayed memory |
9.76±3.16 |
11.41±3.31 |
2.10 |
0.03* |
11.72±3.00 |
12.56±0.87 |
1.92 |
0.10 |
|
Sustained attention# |
91.20±36.72 |
82.34±36.37 |
1.00 |
0.31 |
77.56±24.77 |
69.58±24.02 |
1.36 |
0.17 |
|
Focused attention (CT-A)# |
121.96±71.70 |
113.54±61.70 |
0.53 |
0.59 |
79.32±32.81 |
92.87±39.26 |
1.50 |
0.13 |
|
Focused attention (CT-B)# |
240.08±137.42 |
235.70±120.12 |
0.14 |
0.88 |
160.68±71.88 |
131.29±39.19 |
2.36 |
0.02* |
|
VW memory (NB 1) |
8.28±0.97 |
8.47±0.74 |
0.97 |
0.33 |
8.16±1.34 |
8.83±0.37 |
3.47 |
0.01* |
|
VW memory (NB 2) |
10.48±2.48 |
11.36±1.82 |
1.78 |
0.07 |
10.20±1.84 |
12.85±1.40 |
7.07 |
0.01* |
|
VSWM-F |
4.24±0.83 |
4.29±0.80 |
0.25 |
0.79 |
4.64±0.70 |
3.52±1.10 |
4.62 |
0.01* |
|
VSWM-B |
2.56±1.66 |
2.69±1.69 |
0.32 |
0.74 |
2.56±1.50 |
3.52±1.10 |
3.23 |
0.01* |
|
Verbal comprehension |
31.86±5.05 |
33.15±4.38 |
1.15 |
0.25 |
32.02±3.53 |
35.34±0.798 |
6.66 |
0.01* |
|
Variables |
Baseline MRI |
Post-MRI |
|---|---|---|
|
MRI - Magnetic resonance image; SD - Standard deviation |
||
|
Number of patients assessed, n |
8 |
25 |
|
Male/female |
4/4 |
16/9 |
|
Age (years), mean±SD |
8.76±2.26 |
10.76±2.26 |
|
Time between diagnosis and |
76.20±49.63 |
502.79±63.36 |
|
MRI (days), mean±SD |
||
|
Changes observed in MRI, n (%) |
- |
3 (12) |
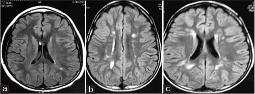
| Figure 3 Images of T2-weighted MRI (brain) for three children with acute lymphoblastic leukemia who showed abnormalities. (a) Grade I: 13-year-old female. (b) Grade II: 8-year-old male. (c) Grade II: 6-year-old male
The white matter areas that were affected are associated with memory, executive functions, and processing speed. Analysis of postassessment data of the three patients revealed a reduced mean score for PIQ, working memory, visual immediate and delayed memory, processing speed, verbal retention, visuospatial ability, attention, planning and fine motor skills, and verbal comprehension, with further decrease in the fourth and fifth assessments as compared to the baseline.
Discussion
This study assessed the neurocognitive functioning of children with ALL treated with the BFM-95 protocol in comparison with that of healthy controls. The results showed that the combination of CRT and IT-MTX along with HD-MTX as part of the modified BFM-95 protocol (CNS prophylaxis) affected the neurocognitive functioning of children with ALL. Mild changes in neurocognitive functioning, following the intensive phase of chemotherapy, were observed (IT-, HD-MTX); however, a significant effect was observed with the addition of CRT. Children with ALL had poorer neurocognitive functioning when compared to healthy children. Children with ALL who had MRI abnormalities performed poorly on most of the neurocognitive tests. Significant effects in four specific domains of neurocognitive functioning, namely PIQ, processing speed, visuospatial ability, and verbal retention functioning, were observed.
We also evaluated PIQ using the Malin's Intelligence Scale for Indian Children (MISIC) test. Across the five assessments, among children with ALL, PIQ significantly decreased at the fourth and fifth assessments, as compared to the first, second, and third assessments after receiving CNS prophylactic therapy along with HD-MTX.[17] Although a difference in the mean was noted, PIQ fell within the average range of 90–109 as per Wechsler IQ classification in all the five assessments for all the children except two children with ALL (80–89).[15] The mean score was the highest at the second assessment. This could be explained by the fact that the first assessment was performed immediately after the diagnosis and during the induction period, when the child was coping with the diagnosis, the new environment, and the treatment procedures. Both children with ALL and healthy children performed similarly at the baseline, whereas children with ALL performed significantly poorer in the postassessment. These results are consistent with the findings of two previous Indian studies assessing the effect of CNS prophylaxis on intellectual functioning of children with ALL. A study conducted by Jain et al. included 35 ALL children and 20 healthy children aged 5–15 years showed that children with ALL performed significantly poorer in IQ tests when compared to the healthy children. The difference in their mean scores was 13.6, where the children with ALL received a CRT dosage of 20 Gy.[18] In this study, the mean PIQ score among ALL patients significantly decreased from the first assessment to the fifth assessment (mean difference = 11.3). In their prospective and longitudinal study, Abraham and Appaji reported that 19 children with ALL treated with CNS prophylactic therapy in the age group of 6–12 years had a significant decline in their IQ.[19] Another comparative Indian study conducted by Bhattacharya et al. revealed that the mean verbal intelligence quotient, PIQ, and full intelligence quotient were comparable between the children who received CNS prophylactic treatment and children with solid tumors who received chemotherapy alone, with the differences not being statistically significant. However, the study reported that the dispersion of IQ scores was greater in the children who received CNS prophylactic treatment with a larger number of patients having scores of <80 href="https://www.thieme-connect.com/products/ejournals/html/10.4103/ijmpo.ijmpo_138_18#JR_20" xss=removed>20] Similarly, in this study, only a few children had scores below the average (80–89) across the five assessments, which indicated the difference in intellectual functions between the different phases of treatment protocol. Furthermore, children with ALL did not show significant differences in mean PIQ scores after undergoing the intensive phase of chemotherapy (induction and consolidation phase). However, after the consolidation phase, and CRT, a decline in the mean PIQ scores was observed. This finding is in line with that of Brown et al. and Anderson et al. who did not find any immediate effect in the intellectual abilities of the children with ALL treated with CNS-directed chemotherapy only.[21] [22] Ochs et al. conducted a prospective longitudinal study with 43 children with ALL who received CNS prophylactic treatment, and they observed significant deficits in IQ.[23] In line with these results, cross-sectional studies conducted by Anderson et al. showed that children receiving CRT and IT-MTX performed very poorly than those in the nonirradiated groups on intellectual abilities.[22] However, CNS prophylactic therapy effects surfaced 1 year after diagnosis (mean days = 510.23) in the present study. Similarly, a review study conducted by Copeland concluded that neuropsychological impairments usually manifest within 1–3 years after cranial irradiation and that deficits are progressive.[17] [24]
On the MISIC subtests, when comparing the five assessments, we found that visuospatial ability and processing speed of children with ALL significantly declined at the fourth and fifth assessments when compared to the first and second assessments, after receiving CNS prophylaxis along with HD-MTX. The results showed that the performance of children with ALL was poorer in all five subtests of MISIC at postassessment, as compared with healthy children: visuo-conceptual ability, visuospatial ability, processing speed, perceptual organization, and planning. The performance scores of children with ALL decreased from baseline to postassessment, and the scores of healthy children increased from baseline to postassessment. These results, corroborated by those of many previous studies, reveal that CNS prophylaxis is associated with decline in processing speed.[17] [18] [19] [24] [25] [26] In addition to these functions, nonverbal functions such as visuo-conceptual ability, planning and fine motor skills, and perceptual organization are also affected. Previous reports indicate that children with ALL treated with CNS prophylactic treatment tend to show impairments, as documented by Anderson et al.[17] [18] [21]
In this study, verbal learning, memory, and retention were assessed using the Rey Auditory Verbal Learning and Memory Test (RAVLT). Using RAVLT, we found that verbal retention declined from baseline to postassessment in children with ALL who had received CNS prophylaxis therapy along with HD-MTX. This decline in verbal retention was progressive after the commencement of treatment. It is possible that both CRT and chemotherapy affected performance in this domain. This finding was in accordance with that of Précourt et al. and Krull et al. who attributed the decline to IT-MTX and CRT.[27] [28]
Furthermore, other neurocognitive functions such as motor speed (right and left hand), attention (sustained and focused attention), learning and memory (immediate, delayed, and retention for visual and verbal), visuospatial ability and verbal working memory, and verbal comprehension were not significantly affected in this study. Of interest, improvements were observed in motor speed, focused attention, verbal and visual learning, and visual immediate memory across the five assessments. Similar findings were noted in a previous study, with no significant decline in motor speed,[29] attention,[30] [31] verbal and visual learning, visual memory,[32] visuospatial working memory,[29] [30] verbal comprehension,[32] verbal short-term memory,[30] and verbal memory and visual memory.[32]
In this study, compared with the healthy children, the children with ALL had significantly poorer neurocognitive functions such as PIQ, visuo-conceptual ability, visuospatial ability, processing speed, perceptual organization, planning and fine motor skills, verbal comprehension, verbal working memory, visuospatial working memory, verbal immediate memory, verbal delayed memory, and visual immediate memory. In line with these results, Giralt et al. reported significant differences between patients with ALL and controls in all domains of neurocognitive functions.[33] Another report described that children with ALL treated with cranial irradiation experienced problems in cognitive and educational abilities compared with healthy controls or children treated with chemotherapy alone.[21] [34]
Neuroanatomical deficits, common among childhood ALL survivors, include white matter abnormalities, which may result from the disruption of the myelinization process occurring during childhood because of HD-MTX, which is worsened by whole-brain irradiation. Microangiopathy has also been reported in associated with this treatment. MRI scans performed in this study also revealed abnormalities in brain structure for three children with ALL, and these children had poor performance in PIQ, working memory, visual immediate and delayed memory, processing speed, verbal retention, visuospatial ability, attention, planning and fine motor skills, and verbal comprehension.[35] [36] [37] [38] [39] This could be because of white matter changes in the brain.
Although deficits in few of the neurocognitive domains were observed in children with ALL treated with the BFM-95 protocol and the scores were poorer in many of the domains as compared to those of the healthy controls, these deficits could also be because of several other factors. For instance, these patients missed long durations of regular schooling, an academic, environment, and intellectual stimulation during their treatment. We observed that parents of most patients were overprotective; this might have limited the patient's learning opportunities. Further investigation is needed to understand the effect of these aspects on neurocognitive functioning of children with ALL. Long-term investigation or regular follow-up of children with ALL after they resume schooling and comparing their academic performance will provide insight into whether these functions can be resumed to normal (before treatment) over a longer period of time or if the changes are permanent and progressive.
Conclusion
The study results show that treatment with the BFM-95 protocol, which includes CNS prophylaxis along with HD-MTX, affects neurocognitive functions in children with ALL. This protocol had impacted neurocognitive domains such as performance intelligence, processing speed, visuospatial functions, and verbal retention. However, children with ALL had poorer neurocognitive functioning when compared to healthy children. These findings highlight the need for effective, less toxic treatment for patients with ALL and cognitive retraining for patients receiving CNS prophylaxis.
Conflict of Interest
There are no conflicts of interest.
Acknowledgments
We would like to acknowledge Dr. K. Niraimathi for reviewing the manuscript and giving critical comments. We thank Ms. S. Revathy for her technical editing. We acknowledge Dr. V Surendran for providing the guidance on assessment tools.
- Arora RS, Eden TO, Kapoor G. Epidemiology of childhood cancer in India. Indian J Cancer 2009; 46: 264-73
- Ribera JM, Oriol A. Acute lymphoblastic leukemia in adolescents and young adults. Hematol Oncol Clin North Am 2009; 23: 1033-42, vi
- Amare P, Gladstone B, Varghese C, Pai S, Advani S. Clinical significance of cytogenetic findings at diagnosis and in remission in childhood and adult acute lymphoblastic leukemia: Experience from India. Cancer Genet Cytogenet 1999; 110: 44-53
- Margolin JF, Rabin KR, Steuber CP, Poplack DG. Acute lymphoblastic leukemia. In: Pizzo PA, Poplack DG. editors Principles and Practice of Pediatric Oncology. 6th ed. Philadelphia: Lippincott Williams & Wilkins; 2015
- Arora B, Kanwar V. Childhood cancers in India: Burden, barriers, and breakthroughs. Indian J Cancer 2009; 46: 257-9
- Bajel A, George B, Mathews V, Viswabandya A, Kavitha ML, Srivastava A. et al. Treatment of children with acute lymphoblastic leukemia in India using a BFM protocol. Pediatr Blood Cancer 2008; 51: 621-5
- Arya LS, Kotikanyadanam SP, Bhargava M, Saxena R, Sazawal S, Bakhshi S. et al. Pattern of relapse in childhood ALL: Challenges and lessons from a uniform treatment protocol. J Pediatr Hematol Oncol 2010; 32: 370-5
- Kulkarni KP, Arora RS, Marwaha RK. Survival outcome of childhood acute lymphoblastic leukemia in India: A resource-limited perspective of more than 40 years. J Pediatr Hematol Oncol 2011; 33: 475-9
- Radhakrishnan V, Gupta S, Ganesan P, Rajendranath R, Ganesan TS, Rajalekshmy KR. et al. Acute lymphoblastic leukemia: A single center experience with berlin, Frankfurt, and munster-95 protocol. Indian J Med Paediatr Oncol 2015; 36: 261-4
- Pui CH, Howard SC. Current management and challenges of malignant disease in the CNS in paediatric leukaemia. Lancet Oncol 2008; 9: 257-68
- Richards S, Pui CH, Gayon P. Childhood Acute Lymphoblastic Leukemia Collaborative Group (CALLCG). Systematic review and meta-analysis of randomized trials of central nervous system directed therapy for childhood acute lymphoblastic leukemia. Pediatr Blood Cancer 2013; 60: 185-95
- Arora RS, Arora B. Acute leukemia in children: A review of the current Indian data. South Asian J Cancer 2016; 5: 155-60
- Abboud MR, Ghanem K, Muwakkit S. Acute lymphoblastic leukemia in low and middle-income countries: Disease characteristics and treatment results. Curr Opin Oncol 2014; 26: 650-5
- Mukhopadhyay A, Gangopadhyay S, Dasgupta S, Paul S, Mukhopadhyay S, Ray UK. Surveillance and expected outcome of acute lymphoblastic leukemia in children and adolescents: An experience from Eastern India. Indian J Med Paediatr Oncol 2013; 34: 280-2
- Malin AJ. Manual for Malin's Intelligence Scale for Indian Children (MISIC). Lucknow: Indian Psychological Corporation; 1969
- Kar BR, Rao SL, Chandramouli BA, Thennarasu K. NIMHANS Neuropsychological Battery for Children-Manual. Bangalore: NIMHANS Publication Division; 2004
- Chidambaram S, Seshachalam A, Elangovan V, Rajendranath R. Immediate treatment effects of high-dose methotrexate and cranial irradiation on neuropsychological functions of children treated for acute lymphoblastic leukemia at a regional cancer center. Indian J Med Paediatr Oncol 2014; 35: 281-7
- Jain Y, Choudhry VP, Arya LS, Mehta M. Neuropsychological abnormalities following CNS prophylaxis in children with acute lymphatic leukemia. Indian J Pediatr 1993; 60: 675-81
- Abraham A, Appaji L. Cognitive assessment of children with acute lymphoblastic leukemia: Preliminary findings. Indian J Med Paediatr Oncol 2009; 30: 14-9
- Bhattacharya B, Marwaha RK, Malhotra S, Pershad D. Intellectual functions in childhood malignant disorders. Indian Pediatr 1995; 32: 869-75
- Brown RT, Madan-Swain A, Pais R, Lambert RG, Baldwin K, Casey R. et al. Cognitive status of children treated with central nervous system prophylactic chemotherapy for acute lymphocytic leukemia. Arch Clin Neuropsychol 1992; 7: 481-97
- Anderson V, Smibert E, Ekert H, Godber T. Intellectual, educational, and behavioural sequelae after cranial irradiation and chemotherapy. Arch Dis Child 1994; 70: 476-83
- Ochs J, Mulhern R, Fairclough D, Parvey L, Whitaker J, Ch'ien L. et al. Comparison of neuropsychologic functioning and clinical indicators of neurotoxicity in long-term survivors of childhood leukemia given cranial radiation or parenteral methotrexate: A prospective study. J Clin Oncol 1991; 9: 145-51
- Copeland DR, Dowell Jr. RE, Fletcher JM, Bordeaux JD, Sullivan MP, Jaffe N. et al. Neuropsychological effects of childhood cancer treatment. J Child Neurol 1988; 3: 53-62
- Kahalley LS, Conklin HM, Tyc VL, Hudson MM, Wilson SJ, Wu S. et al. Slower processing speed after treatment for pediatric brain tumor and acute lymphoblastic leukemia. Psychooncology 2013; 22: 1979-86
- Moleski M. Neuropsychological, neuroanatomical, and neurophysiological consequences of CNS chemotherapy for acute lymphoblastic leukemia. Arch Clin Neuropsychol 2000; 15: 603-30
- Précourt S, Robaey P, Lamothe I, Lassonde M, Sauerwein HC, Moghrabi A. Verbal cognitive functioning and learning in girls treated for acute lymphoblastic leukemia by chemotherapy with or without cranial irradiation. Dev Neuropsychol 2002; 21: 173-95
- Krull KR, Brinkman TM, Li C, Armstrong GT, Ness KK, Srivastava DK. et al. Neurocognitive outcomes decades after treatment for childhood acute lymphoblastic leukemia: A report from the St. Jude lifetime cohort study. J Clin Oncol 2013; 31: 4407-15
- Dibenedetto SP, Ragusa R, Vaccaro A, Ippolito AM, Miraglia V, DAmico S. et al. Neurocognitive function in children with acute lymphoblastic leukemia according to central nervous system treatment type and age. Int J Pediatr Hematol Oncol 1997; 4: 385-91
- Kingma A, Van Dommelen RI, Mooyaart EL, Wilmink JT, Deelman BG, Kamps WA. No major cognitive impairment in young children with acute lymphoblastic leukemia using chemotherapy only: A prospective longitudinal study. J Pediatr Hematol Oncol 2002; 24: 106-14
- Kunin-Batson A, Kadan-Lottick N, Neglia JP. The contribution of neurocognitive functioning to quality of life after childhood acute lymphoblastic leukemia. Psychooncology 2014; 23: 692-9
- Rodgers J, Marckus R, Kearns P, Windebank K. Attentional ability among survivors of leukaemia treated without cranial irradiation. Arch Dis Child 2003; 88: 147-50
- Waber DP, Turek J, Catania L, Stevenson K, Robaey P, Romero I. et al. Neuropsychological outcomes from a randomized trial of triple intrathecal chemotherapy compared with 18 Gy cranial radiation as CNS treatment in acute lymphoblastic leukemia: Findings from Dana-Farber cancer institute ALL consortium protocol 95-01. J Clin Oncol 2007; 25: 4914-21
- Giralt J, Ortega JJ, Olive T, Verges R, Forio I, Salvador L. Long-term neuropsychologic sequelae of childhood leukemia: Comparison of two CNS prophylactic regimens. Int J Radiat Oncol Biol Phys 1992; 24: 49-53
- Anderson VA, Godber T, Smibert E, Weiskop S, Ekert H. Cognitive and academic outcome following cranial irradiation and chemotherapy in children: A longitudinal study. Br J Cancer 2000; 82: 255-62
- Robinson KE, Livesay KL, Campbell LK, Scaduto M, Cannistraci CJ, Anderson AW. et al. Working memory in survivors of childhood acute lymphocytic leukemia: Functional neuroimaging analyses. Pediatr Blood Cancer 2010; 54: 585-90
- Kesler SR, Tanaka H, Koovakkattu D. Cognitive reserve and brain volumes in pediatric acute lymphoblastic leukemia. Brain Imaging Behav 2010; 4: 256-69
- Reddick WE, Shan ZY, Glass JO, Helton S, Xiong X, Wu S. et al. Smaller white-matter volumes are associated with larger deficits in attention and learning among long-term survivors of acute lymphoblastic leukemia. Cancer 2006; 106: 941-9
- Fisher MJ, Khademian ZP, Simon EM, Zimmerman RA, Bilaniuk LT. Diffusion-weighted MR imaging of early methotrexate-related neurotoxicity in children. AJNR Am J Neuroradiol 2005; 26: 1686-9
Address for correspondence
Publication History
Article published online:
03 June 2021
© 2019. Indian Society of Medical and Paediatric Oncology. This is an open access article published by Thieme under the terms of the Creative Commons Attribution-NonDerivative-NonCommercial-License, permitting copying and reproduction so long as the original work is given appropriate credit. Contents may not be used for commercial purposes, or adapted, remixed, transformed or built upon. (https://creativecommons.org/licenses/by-nc-nd/4.0/).
Thieme Medical and Scientific Publishers Pvt. Ltd.
A-12, 2nd Floor, Sector 2, Noida-201301 UP, India
| Figure 1 Flowchart of sample recruitment -------------------------------------------------------------
| Figure 2 Assessment interval between the different phases of the modified BFM-95 protocol
- Arora RS, Eden TO, Kapoor G. Epidemiology of childhood cancer in India. Indian J Cancer 2009; 46: 264-73
- Ribera JM, Oriol A. Acute lymphoblastic leukemia in adolescents and young adults. Hematol Oncol Clin North Am 2009; 23: 1033-42, vi
- Amare P, Gladstone B, Varghese C, Pai S, Advani S. Clinical significance of cytogenetic findings at diagnosis and in remission in childhood and adult acute lymphoblastic leukemia: Experience from India. Cancer Genet Cytogenet 1999; 110: 44-53
- Margolin JF, Rabin KR, Steuber CP, Poplack DG. Acute lymphoblastic leukemia. In: Pizzo PA, Poplack DG. editors Principles and Practice of Pediatric Oncology. 6th ed. Philadelphia: Lippincott Williams & Wilkins; 2015
- Arora B, Kanwar V. Childhood cancers in India: Burden, barriers, and breakthroughs. Indian J Cancer 2009; 46: 257-9
- Bajel A, George B, Mathews V, Viswabandya A, Kavitha ML, Srivastava A. et al. Treatment of children with acute lymphoblastic leukemia in India using a BFM protocol. Pediatr Blood Cancer 2008; 51: 621-5
- Arya LS, Kotikanyadanam SP, Bhargava M, Saxena R, Sazawal S, Bakhshi S. et al. Pattern of relapse in childhood ALL: Challenges and lessons from a uniform treatment protocol. J Pediatr Hematol Oncol 2010; 32: 370-5
- Kulkarni KP, Arora RS, Marwaha RK. Survival outcome of childhood acute lymphoblastic leukemia in India: A resource-limited perspective of more than 40 years. J Pediatr Hematol Oncol 2011; 33: 475-9
- Radhakrishnan V, Gupta S, Ganesan P, Rajendranath R, Ganesan TS, Rajalekshmy KR. et al. Acute lymphoblastic leukemia: A single center experience with berlin, Frankfurt, and munster-95 protocol. Indian J Med Paediatr Oncol 2015; 36: 261-4
- Pui CH, Howard SC. Current management and challenges of malignant disease in the CNS in paediatric leukaemia. Lancet Oncol 2008; 9: 257-68
- Richards S, Pui CH, Gayon P. Childhood Acute Lymphoblastic Leukemia Collaborative Group (CALLCG). Systematic review and meta-analysis of randomized trials of central nervous system directed therapy for childhood acute lymphoblastic leukemia. Pediatr Blood Cancer 2013; 60: 185-95
- Arora RS, Arora B. Acute leukemia in children: A review of the current Indian data. South Asian J Cancer 2016; 5: 155-60
- Abboud MR, Ghanem K, Muwakkit S. Acute lymphoblastic leukemia in low and middle-income countries: Disease characteristics and treatment results. Curr Opin Oncol 2014; 26: 650-5
- Mukhopadhyay A, Gangopadhyay S, Dasgupta S, Paul S, Mukhopadhyay S, Ray UK. Surveillance and expected outcome of acute lymphoblastic leukemia in children and adolescents: An experience from Eastern India. Indian J Med Paediatr Oncol 2013; 34: 280-2
- Malin AJ. Manual for Malin's Intelligence Scale for Indian Children (MISIC). Lucknow: Indian Psychological Corporation; 1969
- Kar BR, Rao SL, Chandramouli BA, Thennarasu K. NIMHANS Neuropsychological Battery for Children-Manual. Bangalore: NIMHANS Publication Division; 2004
- Chidambaram S, Seshachalam A, Elangovan V, Rajendranath R. Immediate treatment effects of high-dose methotrexate and cranial irradiation on neuropsychological functions of children treated for acute lymphoblastic leukemia at a regional cancer center. Indian J Med Paediatr Oncol 2014; 35: 281-7
- Jain Y, Choudhry VP, Arya LS, Mehta M. Neuropsychological abnormalities following CNS prophylaxis in children with acute lymphatic leukemia. Indian J Pediatr 1993; 60: 675-81
- Abraham A, Appaji L. Cognitive assessment of children with acute lymphoblastic leukemia: Preliminary findings. Indian J Med Paediatr Oncol 2009; 30: 14-9
- Bhattacharya B, Marwaha RK, Malhotra S, Pershad D. Intellectual functions in childhood malignant disorders. Indian Pediatr 1995; 32: 869-75
- Brown RT, Madan-Swain A, Pais R, Lambert RG, Baldwin K, Casey R. et al. Cognitive status of children treated with central nervous system prophylactic chemotherapy for acute lymphocytic leukemia. Arch Clin Neuropsychol 1992; 7: 481-97
- Anderson V, Smibert E, Ekert H, Godber T. Intellectual, educational, and behavioural sequelae after cranial irradiation and chemotherapy. Arch Dis Child 1994; 70: 476-83
- Ochs J, Mulhern R, Fairclough D, Parvey L, Whitaker J, Ch'ien L. et al. Comparison of neuropsychologic functioning and clinical indicators of neurotoxicity in long-term survivors of childhood leukemia given cranial radiation or parenteral methotrexate: A prospective study. J Clin Oncol 1991; 9: 145-51
- Copeland DR, Dowell Jr. RE, Fletcher JM, Bordeaux JD, Sullivan MP, Jaffe N. et al. Neuropsychological effects of childhood cancer treatment. J Child Neurol 1988; 3: 53-62
- Kahalley LS, Conklin HM, Tyc VL, Hudson MM, Wilson SJ, Wu S. et al. Slower processing speed after treatment for pediatric brain tumor and acute lymphoblastic leukemia. Psychooncology 2013; 22: 1979-86
- Moleski M. Neuropsychological, neuroanatomical, and neurophysiological consequences of CNS chemotherapy for acute lymphoblastic leukemia. Arch Clin Neuropsychol 2000; 15: 603-30
- Précourt S, Robaey P, Lamothe I, Lassonde M, Sauerwein HC, Moghrabi A. Verbal cognitive functioning and learning in girls treated for acute lymphoblastic leukemia by chemotherapy with or without cranial irradiation. Dev Neuropsychol 2002; 21: 173-95
- Krull KR, Brinkman TM, Li C, Armstrong GT, Ness KK, Srivastava DK. et al. Neurocognitive outcomes decades after treatment for childhood acute lymphoblastic leukemia: A report from the St. Jude lifetime cohort study. J Clin Oncol 2013; 31: 4407-15
- Dibenedetto SP, Ragusa R, Vaccaro A, Ippolito AM, Miraglia V, DAmico S. et al. Neurocognitive function in children with acute lymphoblastic leukemia according to central nervous system treatment type and age. Int J Pediatr Hematol Oncol 1997; 4: 385-91
- Kingma A, Van Dommelen RI, Mooyaart EL, Wilmink JT, Deelman BG, Kamps WA. No major cognitive impairment in young children with acute lymphoblastic leukemia using chemotherapy only: A prospective longitudinal study. J Pediatr Hematol Oncol 2002; 24: 106-14
- Kunin-Batson A, Kadan-Lottick N, Neglia JP. The contribution of neurocognitive functioning to quality of life after childhood acute lymphoblastic leukemia. Psychooncology 2014; 23: 692-9
- Rodgers J, Marckus R, Kearns P, Windebank K. Attentional ability among survivors of leukaemia treated without cranial irradiation. Arch Dis Child 2003; 88: 147-50
- Waber DP, Turek J, Catania L, Stevenson K, Robaey P, Romero I. et al. Neuropsychological outcomes from a randomized trial of triple intrathecal chemotherapy compared with 18 Gy cranial radiation as CNS treatment in acute lymphoblastic leukemia: Findings from Dana-Farber cancer institute ALL consortium protocol 95-01. J Clin Oncol 2007; 25: 4914-21
- Giralt J, Ortega JJ, Olive T, Verges R, Forio I, Salvador L. Long-term neuropsychologic sequelae of childhood leukemia: Comparison of two CNS prophylactic regimens. Int J Radiat Oncol Biol Phys 1992; 24: 49-53
- Anderson VA, Godber T, Smibert E, Weiskop S, Ekert H. Cognitive and academic outcome following cranial irradiation and chemotherapy in children: A longitudinal study. Br J Cancer 2000; 82: 255-62
- Robinson KE, Livesay KL, Campbell LK, Scaduto M, Cannistraci CJ, Anderson AW. et al. Working memory in survivors of childhood acute lymphocytic leukemia: Functional neuroimaging analyses. Pediatr Blood Cancer 2010; 54: 585-90
- Kesler SR, Tanaka H, Koovakkattu D. Cognitive reserve and brain volumes in pediatric acute lymphoblastic leukemia. Brain Imaging Behav 2010; 4: 256-69
- Reddick WE, Shan ZY, Glass JO, Helton S, Xiong X, Wu S. et al. Smaller white-matter volumes are associated with larger deficits in attention and learning among long-term survivors of acute lymphoblastic leukemia. Cancer 2006; 106: 941-9
- Fisher MJ, Khademian ZP, Simon EM, Zimmerman RA, Bilaniuk LT. Diffusion-weighted MR imaging of early methotrexate-related neurotoxicity in children. AJNR Am J Neuroradiol 2005; 26: 1686-9
PDF
Views
Share

