Primary mammary small-cell carcinoma: A case report and review of the literature
CC BY-NC-ND 4.0 · Indian J Med Paediatr Oncol 2009; 30(01): 31-34
DOI: DOI: 10.4103/0971-5851.56334
Abstract
Only a few cases of primary small-cell carcinoma of the breast have been documented in the current medical literature. A confident diagnosis can only be made if a nonmammary site is excluded or if an in-situ component can be demonstrated histologically. These criteria have been met only in a very few of the published cases, including this case report. We describe a case of a 68-year-old lady with left breast lump, which was diagnosed as breast cancer on fine-needle aspiration and core biopsy. Metastatic workup was negative for disease elsewhere, and she received 3 cycles of neoadjuvant chemotherapy followed by surgery (modified radical mastectomy). However, the disease behaved very aggressively in the postoperative period. There is a lack of consensus regarding the management of the primary tumor. Present surgical treatment options are similar to those in cases of invasive ductal breast cancer, as appropriate for the size and stage of the lesion. A review of current literature on his rare entity is also presented.
Publication History
Article published online:
19 November 2021
© 2009. Indian Society of Medical and Paediatric Oncology. This is an open access article published by Thieme under the terms of the Creative Commons Attribution-NonDerivative-NonCommercial-License, permitting copying and reproduction so long as the original work is given appropriate credit. Contents may not be used for commercial purposes, or adapted, remixed, transformed or built upon. (https://creativecommons.org/licenses/by-nc-nd/4.0/.)
Thieme Medical and Scientific Publishers Pvt. Ltd.
A-12, 2nd Floor, Sector 2, Noida-201301 UP, India
Abstract
Only a few cases of primary small-cell carcinoma of the breast have been documented in the current medical literature. A confident diagnosis can only be made if a nonmammary site is excluded or if an in-situ component can be demonstrated histologically. These criteria have been met only in a very few of the published cases, including this case report. We describe a case of a 68-year-old lady with left breast lump, which was diagnosed as breast cancer on fine-needle aspiration and core biopsy. Metastatic workup was negative for disease elsewhere, and she received 3 cycles of neoadjuvant chemotherapy followed by surgery (modified radical mastectomy). However, the disease behaved very aggressively in the postoperative period. There is a lack of consensus regarding the management of the primary tumor. Present surgical treatment options are similar to those in cases of invasive ductal breast cancer, as appropriate for the size and stage of the lesion. A review of current literature on his rare entity is also presented.
INTRODUCTION
Small-cell carcinoma, although most commonly encountered in the lung, can occur in many extrapulmonary sites, including the salivary glands, upper respiratory mucosa, intestinal tract, pancreas, urinary tract and other organs.[1] Despite a histologically undifferentiated appearance, these tumors are notable for variable expression of neuroendocrine (NE) markers.[2]
Primary mammary small-cell carcinoma (PMSCC) is an uncommon entity and has been documented infrequently in the current medical literature.[2–14] The diagnosis of PMSCC can be made with confidence only if a nonmammary site is excluded clinically and radiologically or if an in-situ component can be demonstrated histologically.[4] These criteria have not been met in all of the published descriptions of this rare neoplasm. It is important to differentiate between small-cell carcinoma originating primarily in breast and metastatic disease to the breast.
CASE REPORT
A 68-year-old woman presented with a left breast lump that had gradually increased in size over the last 3 months. She had no other significant local or systemic symptoms or any other significant medical history. Physical examination revealed a 5.8 × 4.3 cm lump in the upper outer quadrant of left breast with multiple significantly enlarged left axillary nodes. Fine-needle aspiration and core biopsy were suggestive of infiltrating ductal carcinoma (IDC). Metastatic workup [including computed tomography (CT) chest, ultrasound abdomen and bone scans] excluded any obvious metastatic focus, and she was then started on Docetaxel and Epirubicin as a part of neoadjuvant chemotherapy protocol, with good clinical response (>50% reduction in the sum of two dimensions) after 6 cycles of chemotherapy. She then underwent modified radical mastectomy.
The gross primary tumor size at the time of surgery was 2.8 × 2.2 cm, with 13 lymph nodes dissected out during axillary dissection. In the final histopathology report, the resection margins were free of tumor and 1 (out of 13) lymph node showed metastatic tumor. Routine immunohistochemistry for Estrogen receptor (ER), Progesterone receptor (PR) and Her-2neu was reported as negative.
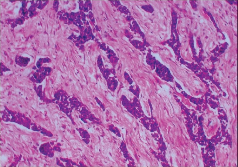
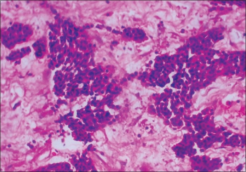
Microscopically, the majority of cells were small with scanty cytoplasm and hyperchromatic nuclei, admixed with occasional nucleoli arranged in nests with a focal cribriform pattern and trabeculae separated by desmoplastic stroma. Mitosis was scanty and necrosis was absent [Figures [Figures11 and and2].2]. No lymphovascular or perineural invasion was seen. Two areas of in-situ component were also noted showing cells of similar morphology. Immunohistochemistry was negative for neuron-specific enolase, chromogranin and synaptophysin, while it was positive for cytokeratin.
| Figure 1 Low-power view of primary mammary cell carcinoma —H and E stain, (magnification ×100): Photomicrograph of the lesion inthe breast showing monomorphic small cells with scanty cytoplasm arranged in cribriform and trabecular pattern
| Figure 2 High-power view of primary mammary cell carcinoma — H and E stain, (magnification ×200): High-power magnification photomicrograph showing small cells with prominent hyperchromatic nuclei with evenly distributed chromatin, scanty cytoplasm and occasional mitosis
A thorough evaluation to search for the extra-mammary primary site was carried out, including a CT scan of the abdomen, cervical smear and a review of the CT scan chest in the postoperative period. Surprisingly, this time the abdominal scan showed several metastatic liver deposits, mainly in segments V and VI. Results of other investigations were normal. The patient died as a result of the disease a month after surgery.
Discussions with pathologist and review of the initial core biopsy and comparison with final histopathology were done, which revealed similar morphology of the cells. Possible reason for initial diagnosis of IDC, postulated during this discussion and review, was the first reported FNAC, clinical history and nature and site of biopsy.
DISCUSSION
Few cases of PMSCC have been described in the available literature, which consists largely of case reports; [4–11]and 4 series: One each with nine,[3] seven,[12] three[13] and four patients.[14] The absence of a primary small-cell carcinoma elsewhere and the presence of an in-situ component favor the diagnosis of a primary small-cell lesion originating in the breast.[4]
Table 1 presents the clinico-pathological findings of all published cases of primary mammary small-cell carcinoma.
| Author | Ref.no | Age | TNM | Size(cm) | LN | IS | VI | ER | Treatment | F-U | Status |
|---|---|---|---|---|---|---|---|---|---|---|---|
| Jundt | 2 | 52 | TxN1M0 | NS | NS | NS | NS | NS | CT/RT | 14 | DOD |
| Shin | 3 | 43 | T1NxM0 | 1.3 | NA | NS | NS | NS | TE/RT | 30 | NED |
| 44 | T1N0M0 | 2 | 0/21 | NS | * | Pos | TE/CT/RT | 27 | NED | ||
| 46 | T2N1M0 | 3.4 | 2/26 | NS | * | Pos | TE/CT | 11 | AWD | ||
| 50 | T2NxM0 | 2.2 | + / ? | NS | * | Pos | TE/CT/HT | 35 | NED | ||
| 51 | T1N0M0 | 1.5 | 0/10 | NS | * | Pos | TE/RT | 25 | NED | ||
| 57 | T2N0M0 | 2.5 | 0/19 | NS | * | Pos | MRM/CT | 10 | NED | ||
| 62 | T2N1M0 | 5 | 2/17 | NS | * | Pos | NACT/MRM | 32 | AWD | ||
| 64 | T1N0M0 | 1.8 | 0/15 | NS | * | Pos | TE/CT | 10 | NED | ||
| 70 | T2NxM0 | 4 | + / ? | NS | * | Pos | TE/CT/RT | 3 | NED | ||
| 67a | T1NxM0 | 2 | + / ? | Yes | NS | Neg | TE/? | ? | ? | ||
| Jochems | 4 | 71 | T2N0M0 | 3 | 0/10 | No | No | Pos | MRM/HT | 12 | NED |
| Chua | 5 | 45 | T2N0M0 | 4.5 | NS | NS | NS | Neg | TE | <1> | NED |
| Yamasaki | 6 | 41 | T2N0M0 | 4.5 | 0/5 | Yes | Yes | Neg | MRM/CT | 16 | NED |
| Francois | 7 | 68 | T2N0M0 | 4 | 0/20 | No | Yes | Neg | MRM/RT | 21 | DOD |
| Fukunaga | 8 | 56 | T4NxMx | 10.5 | 1/11 | Yes | Yes | Neg | RM | 48 | NED |
| Wade | 9 | 52 | T4N1M1 | 10 | 25/25 | No | Yes | Ns | MRM/CT | 9 | DOD |
| Sridhar | 10 | 58 | T1N1M0 | 2 | 1/9 | NS | NS | NS | BCS/CT/RT | 18 | NED |
| Mariscal | 11 | 53 | T2N2M0 | 5 | + / ? | NS | NS | NS | NACT/MRM | 6 | NED |
| Yamamoto | 12 | 53 | T3N2M0 | 6.5 | + / ? | NS | NS | NA | Surg@ | 34 | NED |
| 75 | T2N1M0 | 2.5 | + / ? | NS | NS | NA | Surg@ | 43 | NED | ||
| 58 | T2N0M0 | 2.3 | NS | NS | NS | NA | Surg@ | 23 | NED | ||
| 65 | T1N0M0 | 0.7 | NS | NS | NS | NA | Surg@ | 28 | NED | ||
| 70 | T3N0M0 | 6.6 | NS | NS | NS | NA | Surg@ | 24 | NED | ||
| 50 | T3N0M0 | 6.0 | NS | NS | NS | NA | surg@ | 34 | NED | ||
| 50 | T1N0M0 | 0.5 | NS | NS | NS | NA | surg@ | 35 | NED | ||
| Jablon | 13 | 72 | T2N0M0 | 2.5 | 0/14 | NS | NS | Pos | MRM | 84 | NED |
| 71 | T1N0M0 | 2 | 0/21 | NS | NS | Pos | MRM | 60 | NED | ||
| 54 | T1N0M0 | 1.3 | 0 / ? | NS | NS | Neg | MRM | 15 | NED | ||
| Papotti | 14 | 64 | T1N0M0 | 2 | 0/10 | Yes | Yes | Neg | RM | 44 | NED |
| 41 | T2N3M0 | 3.5 | 7/14 | Yes | Yes | Neg | RM/CT | 15 | DOD | ||
| 50 | T2N1M0 | 3 | 3/18 | Yes | Yes | Neg | RM/CT | 14 | DOD | ||
| 69 | T3N1M0 | 5 | 3/10 | Yes | Yes | Pos | MRM/HT | 9 | DOD | ||
| Present | 68 | T3N1M0 | 5.8 | 1/13 | No | Yes | Pos | MRM | 1 | DOD |
- Ibrahim NBN, Briggs JC, Corbishley CM. Extrapulmonary oat cell carcinoma. Cancer 1984;54:1645-61.
- Jundt G, Schulz A, Heitz P, Osborn M. Small cell neuroendocrine (oat cell) carcinoma of the male breast: Immunocytochemical and ultrastructural investigations. Virchows Arch A Pathol Pathol Anat 1984;404:213-21.
- Shin SJ, DeLellis RA, Ying L, Rosen PP. Small cell carcinoma of the breast: A clinicopathologic and immunohistochemical study of nine patients. Am J Surg Pathol 2000;24:1231-8.
- Jochems L, Tjalma WA. Primary small cell neuroendocrine tumor of the breast. Eur J Obstet Gynecol Reprod Biol 2004;115:213-33.
- Chua RS, Torno RB, Vuletine JC. Fine needle aspiration cytology of small cell neuroendocrine carcinoma of the breast: A case report. Acta Cytol 1997;41:1341-4.
- Yamasaki T, Shimazaki H, Aia S, Tamai S, Tamaki K, Hiraide H, et al. Primary small cell (oat cell) carcinoma of the breast: Report of a case and review of literature. Pathol Int 2000;50:914-8.
- Francois A, Chatikhine VA, Chevallier B, Ren GS, Berry M, Chevrier A, et al. Neuroendocrine primary small cell carcinoma of the breast: Report of a case and review of the literature. Am J Clin Oncol 1995;18:133-8.
- Fukunaga M, Ushigome S. Small cell (oat cell) carcinoma of the breast. Pathol Int 1998;48:744-8.
- Wade PM Jr, Mills SE, Read M, Cloud W, Lambert MJ 3 rd , Smith RE. Small cell neuroendocrine (oat cell) carcinoma of the breast. Cancer 1983;52:121-5.
- Sridhar P, Matey P, Aluwihare N. Primary carcinoma of breast with small-cell differentiation. Breast 2004;13:149-51.
- Mariscal A, Balliu E, Dνaz R, Casas JD, Gallart AM. Primary oat cell carcinoma of the breast: Imaging features. Am J Radiol 2004;183:1169-71.
- Yamamoto J, Ohshima K, Nabeshima K, Ikeda S, Iwasaki H, Kikuchi M. Comparative study of primary mammary small cell carcinoma, carcinoma with endocrine features and invasive ductal carcinoma. Oncol Rep 2004;11:825-31.
- Jablon LK, Somers RG, Kim PY. Carcinoid tumor of the breast: Treatment with breast conservation in three patients. Ann Surg Oncol 1998;5:261-4.
- Papotti M, Gherardi G, Eusebi V, Pagani A, Bussolati G. Primary oat cell (neuroendocrine) carcinoma of the breast: Report of four cases. Virchows Arch A Pathol Pathol Anat 1992;420:103-8.
- Rosen PP. Mammary carcinomas with endocrine features. In: Rosen′s Breast Pathology. Philadelphia, PA: Lippincott-Raven; 1997. p. 431-6.
- Hoang MP, Maitra A, Gazdar AF, Albores-Saavedra J. Primary mammary small-cell carcinoma: A molecular analysis of 2 cases. Hum Pathol 2001;32:753-7.
- Upalakalin JN, Collins LC, Tawa N, Parangi S. Carcinoid tumors in the breast. Am J Surg 2006;191:799-805.
| Figure 1 Low-power view of primary mammary cell carcinoma —H and E stain, (magnification ×100): Photomicrograph of the lesion inthe breast showing monomorphic small cells with scanty cytoplasm arranged in cribriform and trabecular pattern
| Figure 2 High-power view of primary mammary cell carcinoma — H and E stain, (magnification ×200): High-power magnification photomicrograph showing small cells with prominent hyperchromatic nuclei with evenly distributed chromatin, scanty cytoplasm and occasional mitosis
- Ibrahim NBN, Briggs JC, Corbishley CM. Extrapulmonary oat cell carcinoma. Cancer 1984;54:1645-61.
- Jundt G, Schulz A, Heitz P, Osborn M. Small cell neuroendocrine (oat cell) carcinoma of the male breast: Immunocytochemical and ultrastructural investigations. Virchows Arch A Pathol Pathol Anat 1984;404:213-21.
- Shin SJ, DeLellis RA, Ying L, Rosen PP. Small cell carcinoma of the breast: A clinicopathologic and immunohistochemical study of nine patients. Am J Surg Pathol 2000;24:1231-8.
- Jochems L, Tjalma WA. Primary small cell neuroendocrine tumor of the breast. Eur J Obstet Gynecol Reprod Biol 2004;115:213-33.
- Chua RS, Torno RB, Vuletine JC. Fine needle aspiration cytology of small cell neuroendocrine carcinoma of the breast: A case report. Acta Cytol 1997;41:1341-4.
- Yamasaki T, Shimazaki H, Aia S, Tamai S, Tamaki K, Hiraide H, et al. Primary small cell (oat cell) carcinoma of the breast: Report of a case and review of literature. Pathol Int 2000;50:914-8.
- Francois A, Chatikhine VA, Chevallier B, Ren GS, Berry M, Chevrier A, et al. Neuroendocrine primary small cell carcinoma of the breast: Report of a case and review of the literature. Am J Clin Oncol 1995;18:133-8.
- Fukunaga M, Ushigome S. Small cell (oat cell) carcinoma of the breast. Pathol Int 1998;48:744-8.
- Wade PM Jr, Mills SE, Read M, Cloud W, Lambert MJ 3 rd , Smith RE. Small cell neuroendocrine (oat cell) carcinoma of the breast. Cancer 1983;52:121-5.
- Sridhar P, Matey P, Aluwihare N. Primary carcinoma of breast with small-cell differentiation. Breast 2004;13:149-51.
- Mariscal A, Balliu E, Dνaz R, Casas JD, Gallart AM. Primary oat cell carcinoma of the breast: Imaging features. Am J Radiol 2004;183:1169-71.
- Yamamoto J, Ohshima K, Nabeshima K, Ikeda S, Iwasaki H, Kikuchi M. Comparative study of primary mammary small cell carcinoma, carcinoma with endocrine features and invasive ductal carcinoma. Oncol Rep 2004;11:825-31.
- Jablon LK, Somers RG, Kim PY. Carcinoid tumor of the breast: Treatment with breast conservation in three patients. Ann Surg Oncol 1998;5:261-4.
- Papotti M, Gherardi G, Eusebi V, Pagani A, Bussolati G. Primary oat cell (neuroendocrine) carcinoma of the breast: Report of four cases. Virchows Arch A Pathol Pathol Anat 1992;420:103-8.
- Rosen PP. Mammary carcinomas with endocrine features. In: Rosen′s Breast Pathology. Philadelphia, PA: Lippincott-Raven; 1997. p. 431-6.
- Hoang MP, Maitra A, Gazdar AF, Albores-Saavedra J. Primary mammary small-cell carcinoma: A molecular analysis of 2 cases. Hum Pathol 2001;32:753-7.
- Upalakalin JN, Collins LC, Tawa N, Parangi S. Carcinoid tumors in the breast. Am J Surg 2006;191:799-805.
PDF
Views
Share

