Resolution of Cytomegalovirus Pneumonia in a Child with Acute Leukemia Without Antiviral Pharmacotherapy; The Need to Tailor your Approach
CC BY-NC-ND 4.0 · Indian J Med Paediatr Oncol 2019; 40(02): 295-297
DOI: DOI: 10.4103/ijmpo.ijmpo_9_18
Cytomegalovirus (CMV) pneumonia is one of the most common causes of respiratory distress in immunocompromised settings, including acute leukemia. Attributing a viral etiology to pneumonitis is difficult and is rarely attempted by clinicians outside the hematopoietic stem cell transplantation (HSCT) settings, especially in low and middle-income countries. This is mainly because of the nonspecific clinical picture, the absence of typical X-ray findings in viral pneumonia, and difficulty in demonstrating the virus in culture or doing a viral CMV polymerase chain reaction (PCR). The vital role played by the host immunity in determining the progress of CMV pneumonia cannot be neglected. There is a great need to tailor the approach towards the management of CMV pneumonia outside a HSCT setting, especially in cases with recovering immunity.
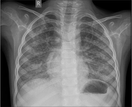
A 4-year-old boy with B-acute lymphoblastic leukemia on maintenance chemotherapy presented with acute-onset respiratory distress along with a fever of 2 days duration. At the time of admission, he was tachypneic with a respiratory rate of 56/min and hypoxic with a room air saturation of 77%. His chest X-ray was suggestive of bilateral pneumonitis [Figure 1] and his blood investigations revealed a total white blood cell (WBC) count of 0.9 × 109 cells/L with an absolute neutrophil count (ANC) of 0.2 × 109 cells/L. He was diagnosed as having febrile neutropenia with pneumonia and started on piperacillin-tazobactam, azithromycin, cotrimoxazole, and vancomycin, to provide coverage for the Gram-negative, Gram-positive, and atypical microorganisms including Pneumocystis jirovecii. Oseltamivir was also added considering the epidemic of H1N1 Infuenza virus in the community. The chemotherapy medications (6 mercaptopurine and methotrexate) were withheld. With oxygen supplementation at 2 L/min, he maintained a SpO2 of 98%. Considering the hypoxia, methylprednisolone was also started. As the fever persisted even after 96 h of admission, conventional amphotericin B was also added. On the 4th day of admission, his WBC count increased to 2.4 × 109 cells/L (ANC 1.5 × 109 cells/L), without the use of granulocyte colony-stimulating factors. His blood cultures never grew any organisms. His symptoms progressed in the form of worsening tachypnea and hypoxia requiring oxygen flow at 4 L/min. His repeat chest X-ray showed a diffuse infiltrative pattern with ground glassing. At this point, CMV quantitative real-time PCR was sent, and antibiotics were upgraded to meropenem. However, it was decided to withhold adding intravenous (IV) ganciclovir until disease confirmation or further deterioration. In the next 2 days, the child became afebrile and his general condition improved, except for minimal tachypnea and persistent hypoxia. We were unable to withdraw his oxygen support, even though he maintained a saturation of 98% with 1 L/min oxygen support. By the 14th day of admission, his CMV quantitative real-time PCR was reported as high positive (9.2 × 105 IU/ml, normal value <363 xss=removed>th day of admission after restarting his maintenance chemotherapy. Awaiting the repeat CMV DNA PCR report and fearing for worsening of pneumonia, he was discharged on oral valganciclovir. At follow up after two weeks, valganciclovir was stopped as his CMV DNA PCR was reported to be normal (< 363>
| Figure 1 Pneumonitis noted with involvement of both lungs in the form of diffuse reticular shadowing and patchy infiltrates|
Children with acute leukemia presenting to the emergency room with an acute respiratory distress are very common. Making a diagnosis of viral pneumonia is difficult, considering the lack of typical symptoms or signs. CMV is a common pathogen attributable to a viral pneumonitis in immunocompromised settings, especially in HSCT recipients, in whom there is a high risk of mortality. In one Italian series, all untreated patients succumbed to the pneumonitis and its complications.[1] Detection of viral antigen (pp65 antigenemia assay), viral DNA and mRNA are commonly used to confirm the diagnosis of CMV infection. Quantitative DNA detection techniques are highly sensitive and provide viral load measurements that can give important prognostic information. In the HSCT setting, intravenous gancyclovir along with immunoglobulins are used for treating CMV pneumonia. Although ganciclovir reduced viral load by 99% in the lungs of patients with CMV pneumonitis, there is no considerable reduction in mortality.[2] The addition of immunoglobulins to IV ganciclovir has helped in reducing the mortality of CMV pneumonia considerably.[3] [4]
Although drugs are important in controlling CMV infection, the role played by the host immune system in combating CMV cannot be sidelined. CMV infection is controlled by virus-specific CD4 + and CD8 + cytotoxic T-lymphocytes through coordinated cytokine production and degranulation. CMV-specific immune reconstitution may be enhanced in children compared with adult HSCT patients due to improved posttransplant thymic function and faster T-lymphocyte recovery.[5] Spontaneous resolution of CMV has been reported in adult patients with immunosuppression.[6] Several studies show that the return of CMV-specific T-cell immunity leads to the control of and/or cessation of recurrences of CMV infection.[7] [8] Detecting the CMV-specific responses, Radha et al.[7] noted that seropositive patients with substantial T-cell responses cleared CMV DNA rapidly along with antiviral therapy. Adoptive immunotherapy involving the transfer of CMV-specific T-cells into the patient has also shown promising results.[9] [10] Hence, in the management of CMV infection and disease, consideration should always be given to restoration of immunity, whenever possible.
The child in this report presented with febrile neutropenia and pneumonitis. He had continuous fever spikes initially and symptoms worsened by the end of the 1st week as his total WBC counts improved to to 2.4 × 109 cells/L (ANC 1.5 × 109 cells/L) indicating an immune reconstitution inflammatory response. Although he recovered in a matter of few days, he was still oxygen dependent, indicating severe alveolar injury. It was exactly after 2 weeks of his start of symptoms that he could be weaned off oxygen support. By the time the quantitative CMV PCR was reported, the child had been weaned off oxygen support and had significant clinical improvement. We deferred adding IV immunoglobulin or IV ganciclovir at this point seeing his clinical improvement and also taking into account the natural course of CMV pneumonia. Addition of these drugs would not have benefitted the child as he had already improved significantly. The role played by the body's immune system is clinically well appreciated in this case scenario, where the child had recovered without any specific antiviral pharmacotherapy.
The recognition and management of CMV pneumonia in immunocompromised patients, especially outside the HSCT settings are one of the most challenging situations to face. Tailoring your approach to the clinical situation and condition of the patient is pivotal in managing a case of CMV pneumonia rather than going for expensive diagnostic and treatment options, which, in many situations, are not really warranted.
Declaration of patient consent
The authors certify that they have obtained all appropriate patient consent forms. In the form the patient(s) has/have given his/her/their consent for his/her/their images and other clinical information to be reported in the journal. The patients understand that their names and initials will not be published and due efforts will be made to conceal their identity, but anonymity cannot be guaranteed.
Publication History
Article published online:
03 June 2021
© 2019. Indian Society of Medical and Paediatric Oncology. This is an open access article published by Thieme under the terms of the Creative Commons Attribution-NonDerivative-NonCommercial-License, permitting copying and reproduction so long as the original work is given appropriate credit. Contents may not be used for commercial purposes, or adapted, remixed, transformed or built upon. (https://creativecommons.org/licenses/by-nc-nd/4.0/).
Thieme Medical and Scientific Publishers Pvt. Ltd.
A-12, 2nd Floor, Sector 2, Noida-201301 UP, India
Cytomegalovirus (CMV) pneumonia is one of the most common causes of respiratory distress in immunocompromised settings, including acute leukemia. Attributing a viral etiology to pneumonitis is difficult and is rarely attempted by clinicians outside the hematopoietic stem cell transplantation (HSCT) settings, especially in low and middle-income countries. This is mainly because of the nonspecific clinical picture, the absence of typical X-ray findings in viral pneumonia, and difficulty in demonstrating the virus in culture or doing a viral CMV polymerase chain reaction (PCR). The vital role played by the host immunity in determining the progress of CMV pneumonia cannot be neglected. There is a great need to tailor the approach towards the management of CMV pneumonia outside a HSCT setting, especially in cases with recovering immunity.
A 4-year-old boy with B-acute lymphoblastic leukemia on maintenance chemotherapy presented with acute-onset respiratory distress along with a fever of 2 days duration. At the time of admission, he was tachypneic with a respiratory rate of 56/min and hypoxic with a room air saturation of 77%. His chest X-ray was suggestive of bilateral pneumonitis [Figure 1] and his blood investigations revealed a total white blood cell (WBC) count of 0.9 × 109 cells/L with an absolute neutrophil count (ANC) of 0.2 × 109 cells/L. He was diagnosed as having febrile neutropenia with pneumonia and started on piperacillin-tazobactam, azithromycin, cotrimoxazole, and vancomycin, to provide coverage for the Gram-negative, Gram-positive, and atypical microorganisms including Pneumocystis jirovecii. Oseltamivir was also added considering the epidemic of H1N1 Infuenza virus in the community. The chemotherapy medications (6 mercaptopurine and methotrexate) were withheld. With oxygen supplementation at 2 L/min, he maintained a SpO2 of 98%. Considering the hypoxia, methylprednisolone was also started. As the fever persisted even after 96 h of admission, conventional amphotericin B was also added. On the 4th day of admission, his WBC count increased to 2.4 × 109 cells/L (ANC 1.5 × 109 cells/L), without the use of granulocyte colony-stimulating factors. His blood cultures never grew any organisms. His symptoms progressed in the form of worsening tachypnea and hypoxia requiring oxygen flow at 4 L/min. His repeat chest X-ray showed a diffuse infiltrative pattern with ground glassing. At this point, CMV quantitative real-time PCR was sent, and antibiotics were upgraded to meropenem. However, it was decided to withhold adding intravenous (IV) ganciclovir until disease confirmation or further deterioration. In the next 2 days, the child became afebrile and his general condition improved, except for minimal tachypnea and persistent hypoxia. We were unable to withdraw his oxygen support, even though he maintained a saturation of 98% with 1 L/min oxygen support. By the 14th day of admission, his CMV quantitative real-time PCR was reported as high positive (9.2 × 105 IU/ml, normal value <363 xss=removed>th day of admission after restarting his maintenance chemotherapy. Awaiting the repeat CMV DNA PCR report and fearing for worsening of pneumonia, he was discharged on oral valganciclovir. At follow up after two weeks, valganciclovir was stopped as his CMV DNA PCR was reported to be normal (< 363>
| Figure 1 Pneumonitis noted with involvement of both lungs in the form of diffuse reticular shadowing and patchy infiltrates|
Children with acute leukemia presenting to the emergency room with an acute respiratory distress are very common. Making a diagnosis of viral pneumonia is difficult, considering the lack of typical symptoms or signs. CMV is a common pathogen attributable to a viral pneumonitis in immunocompromised settings, especially in HSCT recipients, in whom there is a high risk of mortality. In one Italian series, all untreated patients succumbed to the pneumonitis and its complications.[1] Detection of viral antigen (pp65 antigenemia assay), viral DNA and mRNA are commonly used to confirm the diagnosis of CMV infection. Quantitative DNA detection techniques are highly sensitive and provide viral load measurements that can give important prognostic information. In the HSCT setting, intravenous gancyclovir along with immunoglobulins are used for treating CMV pneumonia. Although ganciclovir reduced viral load by 99% in the lungs of patients with CMV pneumonitis, there is no considerable reduction in mortality.[2] The addition of immunoglobulins to IV ganciclovir has helped in reducing the mortality of CMV pneumonia considerably.[3] [4]
Although drugs are important in controlling CMV infection, the role played by the host immune system in combating CMV cannot be sidelined. CMV infection is controlled by virus-specific CD4 + and CD8 + cytotoxic T-lymphocytes through coordinated cytokine production and degranulation. CMV-specific immune reconstitution may be enhanced in children compared with adult HSCT patients due to improved posttransplant thymic function and faster T-lymphocyte recovery.[5] Spontaneous resolution of CMV has been reported in adult patients with immunosuppression.[6] Several studies show that the return of CMV-specific T-cell immunity leads to the control of and/or cessation of recurrences of CMV infection.[7] [8] Detecting the CMV-specific responses, Radha et al.[7] noted that seropositive patients with substantial T-cell responses cleared CMV DNA rapidly along with antiviral therapy. Adoptive immunotherapy involving the transfer of CMV-specific T-cells into the patient has also shown promising results.[9] [10] Hence, in the management of CMV infection and disease, consideration should always be given to restoration of immunity, whenever possible.
The child in this report presented with febrile neutropenia and pneumonitis. He had continuous fever spikes initially and symptoms worsened by the end of the 1st week as his total WBC counts improved to to 2.4 × 109 cells/L (ANC 1.5 × 109 cells/L) indicating an immune reconstitution inflammatory response. Although he recovered in a matter of few days, he was still oxygen dependent, indicating severe alveolar injury. It was exactly after 2 weeks of his start of symptoms that he could be weaned off oxygen support. By the time the quantitative CMV PCR was reported, the child had been weaned off oxygen support and had significant clinical improvement. We deferred adding IV immunoglobulin or IV ganciclovir at this point seeing his clinical improvement and also taking into account the natural course of CMV pneumonia. Addition of these drugs would not have benefitted the child as he had already improved significantly. The role played by the body's immune system is clinically well appreciated in this case scenario, where the child had recovered without any specific antiviral pharmacotherapy.
The recognition and management of CMV pneumonia in immunocompromised patients, especially outside the HSCT settings are one of the most challenging situations to face. Tailoring your approach to the clinical situation and condition of the patient is pivotal in managing a case of CMV pneumonia rather than going for expensive diagnostic and treatment options, which, in many situations, are not really warranted.
Declaration of patient consent
The authors certify that they have obtained all appropriate patient consent forms. In the form the patient(s) has/have given his/her/their consent for his/her/their images and other clinical information to be reported in the journal. The patients understand that their names and initials will not be published and due efforts will be made to conceal their identity, but anonymity cannot be guaranteed.
Conflict of Interest
There are no conflicts of interest.
Acknowledgments
We would like to thank Dr. Kusumakumary P, Former Professor and Head, Department of Pediatric Oncology, Regional Cancer Centre, Trivandrum and Dr. Ramachandran K, Professor and Head, Department of Imageology, Regional Cancer Centre, Trivandrum, for their guidance and support. We extend our gratitude to The Rajiv Gandhi Centre for Biotechnology, Trivandrum for conducting the Viral DNA PCR tests.
References
- Gentile G, Donati PP, Capobianchi A, Rolli M, Iori AP, Martino P. et al. Evaluation of a score system for the severity and outcome of cytomegalovirus interstitial pneumonia in allogeneic bone marrow recipients. J Infect 1997; 35: 117-23
- Shepp DH, Dandliker PS, de Miranda P, Burnette TC, Cederberg DM, Kirk LE. et al. Activity of 9-[2-hydroxy-1-(hydroxymethyl) ethoxymethyl] guanine in the treatment of cytomegalovirus pneumonia. Ann Intern Med 1985; 103: 368-73
- Reed EC, Bowden RA, Dandliker PS, Lilleby KE, Meyers JD. Treatment of cytomegalovirus pneumonia with ganciclovir and intravenous cytomegalovirus immunoglobulin in patients with bone marrow transplants. Ann Intern Med 1988; 109: 783-8
- Schmidt GM, Kovacs A, Zaia JA, Horak DA, Blume KG, Nademanee AP. et al. Ganciclovir/immunoglobulin combination therapy for the treatment of human cytomegalovirus-associated interstitial pneumonia in bone marrow allograft recipients. Transplantation 1988; 46: 905-7
- Patel SR, Ridwan RU, Ortín M. Cytomegalovirus reactivation in pediatric hemopoietic progenitors transplant: A retrospective study on the risk factors and the efficacy of treatment. J Pediatr Hematol Oncol 2005; 27: 411-5
- Matsuki H, Kuwano K, Yoshimi M, Nomoto Y, Kunitake R, Hagimoto N. et al. Spontaneous recovery from cytomegalovirus pneumonia. Nihon Kyobu Shikkan Gakkai Zasshi 1997; 35: 67-71
- Radha R, Jordan S, Puliyanda D, Bunnapradist S, Petrosyan A, Amet N. et al. Cellular immune responses to cytomegalovirus in renal transplant recipients. Am J Transplant 2005; 5: 110-7
- Manuel O, Husain S, Kumar D, Zayas C, Mawhorter S, Levi ME. et al. Assessment of cytomegalovirus-specific cell-mediated immunity for the prediction of cytomegalovirus disease in high-risk solid-organ transplant recipients: A multicenter cohort study. Clin Infect Dis 2013; 56: 817-24
- Mackinnon S, Thomson K, Verfuerth S, Peggs K, Lowdell M. Adoptive cellular therapy for cytomegalovirus infection following allogeneic stem cell transplantation using virus-specific T cells. Blood Cells Mol Dis 2008; 40: 63-7
- Cobbold M, Khan N, Pourgheysari B, Tauro S, McDonald D, Osman H. et al. Adoptive transfer of cytomegalovirus-specific CTL to stem cell transplant patients after selection by HLA-peptide tetramers. J Exp Med 2005; 202: 379-86
Address for correspondence
Publication History
Article published online:
03 June 2021
© 2019. Indian Society of Medical and Paediatric Oncology. This is an open access article published by Thieme under the terms of the Creative Commons Attribution-NonDerivative-NonCommercial-License, permitting copying and reproduction so long as the original work is given appropriate credit. Contents may not be used for commercial purposes, or adapted, remixed, transformed or built upon. (https://creativecommons.org/licenses/by-nc-nd/4.0/).
Thieme Medical and Scientific Publishers Pvt. Ltd.
A-12, 2nd Floor, Sector 2, Noida-201301 UP, India
| Figure 1 Pneumonitis noted with involvement of both lungs in the form of diffuse reticular shadowing and patchy infiltrates|
- Gentile G, Donati PP, Capobianchi A, Rolli M, Iori AP, Martino P. et al. Evaluation of a score system for the severity and outcome of cytomegalovirus interstitial pneumonia in allogeneic bone marrow recipients. J Infect 1997; 35: 117-23
- Shepp DH, Dandliker PS, de Miranda P, Burnette TC, Cederberg DM, Kirk LE. et al. Activity of 9-[2-hydroxy-1-(hydroxymethyl) ethoxymethyl] guanine in the treatment of cytomegalovirus pneumonia. Ann Intern Med 1985; 103: 368-73
- Reed EC, Bowden RA, Dandliker PS, Lilleby KE, Meyers JD. Treatment of cytomegalovirus pneumonia with ganciclovir and intravenous cytomegalovirus immunoglobulin in patients with bone marrow transplants. Ann Intern Med 1988; 109: 783-8
- Schmidt GM, Kovacs A, Zaia JA, Horak DA, Blume KG, Nademanee AP. et al. Ganciclovir/immunoglobulin combination therapy for the treatment of human cytomegalovirus-associated interstitial pneumonia in bone marrow allograft recipients. Transplantation 1988; 46: 905-7
- Patel SR, Ridwan RU, Ortín M. Cytomegalovirus reactivation in pediatric hemopoietic progenitors transplant: A retrospective study on the risk factors and the efficacy of treatment. J Pediatr Hematol Oncol 2005; 27: 411-5
- Matsuki H, Kuwano K, Yoshimi M, Nomoto Y, Kunitake R, Hagimoto N. et al. Spontaneous recovery from cytomegalovirus pneumonia. Nihon Kyobu Shikkan Gakkai Zasshi 1997; 35: 67-71
- Radha R, Jordan S, Puliyanda D, Bunnapradist S, Petrosyan A, Amet N. et al. Cellular immune responses to cytomegalovirus in renal transplant recipients. Am J Transplant 2005; 5: 110-7
- Manuel O, Husain S, Kumar D, Zayas C, Mawhorter S, Levi ME. et al. Assessment of cytomegalovirus-specific cell-mediated immunity for the prediction of cytomegalovirus disease in high-risk solid-organ transplant recipients: A multicenter cohort study. Clin Infect Dis 2013; 56: 817-24
- Mackinnon S, Thomson K, Verfuerth S, Peggs K, Lowdell M. Adoptive cellular therapy for cytomegalovirus infection following allogeneic stem cell transplantation using virus-specific T cells. Blood Cells Mol Dis 2008; 40: 63-7
- Cobbold M, Khan N, Pourgheysari B, Tauro S, McDonald D, Osman H. et al. Adoptive transfer of cytomegalovirus-specific CTL to stem cell transplant patients after selection by HLA-peptide tetramers. J Exp Med 2005; 202: 379-86
PDF
Views
Share

