Retroperitoneal Ganglioneuroblastoma Presenting as Chronic Diarrhea and Refractory Hypokalemia in a Child
CC BY-NC-ND 4.0 · Indian J Med Paediatr Oncol 2019; 40(03): 451-452
DOI: DOI: 10.4103/ijmpo.ijmpo_15_18
Abstract
Neuroblastoma is the most common extracranial solid tumor in children. Neuroblastoma presenting with diarrhea as the predominant symptom is rare and can be a diagnostic challenge to the paediatrician. We present a twenty months old child with Retroperitoneal Ganglioneuroblastoma who presented with chronic diarrhea and refractory hypokalemia. Tumor removal resulted in cessation of diarrhea and correction of hypokalemia.
Publication History
Received: 17 January 2018
Accepted: 27 April 2018
Article published online:
03 June 2021
© 2019. Indian Society of Medical and Paediatric Oncology. This is an open access article published by Thieme under the terms of the Creative Commons Attribution-NonDerivative-NonCommercial-License, permitting copying and reproduction so long as the original work is given appropriate credit. Contents may not be used for commercial purposes, or adapted, remixed, transformed or built upon. (https://creativecommons.org/licenses/by-nc-nd/4.0/).
Thieme Medical and Scientific Publishers Pvt. Ltd.
A-12, 2nd Floor, Sector 2, Noida-201301 UP, India
Abstract
Neuroblastoma is the most common extracranial solid tumor in children. Neuroblastoma presenting with diarrhea as the predominant symptom is rare and can be a diagnostic challenge to the paediatrician. We present a twenty months old child with Retroperitoneal Ganglioneuroblastoma who presented with chronic diarrhea and refractory hypokalemia. Tumor removal resulted in cessation of diarrhea and correction of hypokalemia.
Introduction
Neuroblastoma may develop at any site of sympathetic nervous system tissue. The signs and symptoms of neuroblastoma reflect the tumor site and the extent of disease. The symptoms may mimic many other disorders, a fact that can result in a delayed diagnosis.[1] Intractable diarrhea due to tumor secretion of vasoactive intestinal peptide (VIP) is one of the paraneoplastic syndromes associated with neuroblastoma. We present a child in whom a detailed evaluation for intractable diarrhea and hypokalemia led to the diagnosis of a retroperitoneal ganglioneuroblastoma.
Case Report
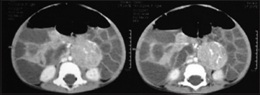
A 20-month-old girl child was admitted with complaints of watery diarrhea of 3-month duration. Diarrhea was associated with abdominal distension and documented weight loss. The loose stools were watery, 5–6 times a day, not associated with blood or mucus. As there was an increase in the frequency of loose stools associated with decreased urine output and lethargy for 1 day, she was brought to us. On examination, the child was hypotonic, undernourished, and weighing 7.8 kg. Signs of some dehydration were present, and the abdomen was distended. Laboratories done at admission showed severe hypokalemia (1.8 mEq/dl), metabolic acidosis (11 mEq/dl), and normal chloride (100 mEq/dl). The child's dehydration was corrected with isotonic saline, and potassium infusion was given under cardiac monitoring. Serial monitoring of serum electrolytes was done. During the hospital stay, diarrhea persisted and serial laboratories showed persisting hypokalemia (<2 href="https://www.thieme-connect.com/products/ejournals/html/10.4103/ijmpo.ijmpo_15_18#FI90451-1" xss=removed>Figure 1] confirmed a 37 mm × 38 mm × 49 mm heterogeneous mass lesion in the left para-aortic region below the left renal vessels. Bone marrow biopsy showed trilineage hematopoiesis. Laparotomy and in toto excision of tumor mass were done. Histopathology of the tumor mass was consistent with ganglioneuroblastoma-mixed nodularity of Schwannian stroma-poor type. N-Myc amplification was negative. After tumor removal, diarrhea settled, hypokalemia and acidosis improved, and there was documented weight gain.
| Figure 1 Computed tomography abdomen showing heterogeneous mass lesion with calcification in the left para-aortic region
Discussion
Neurological symptoms such as opsoclonus myoclonus are the most common paraneoplastic syndrome in patients with neuroblastoma.[2] Watery diarrhea, hypokalemia, and achlorhydria syndrome was first described by Verner and Morrison as a rare cause of chronic secretory diarrhea secondary to a VIP-secreting tumor.[3] Diarrhea can be a symptom of paraneoplastic syndrome of neuroblastoma. There is evidence that this symptom is related to VIP production in tumor cells stimulating intestinal aberrant secretions.[4] In a review by Zhang et al., out of 9 children who presented exclusively with symptoms of paraneoplastic syndrome, ganglioneuroblastoma was found to present predominantly with GI symptoms as a paraneoplastic syndrome.[5] CT and MRI are the recommended imaging modality for diagnosis and staging of tumor.[6] In our child, the tumor was not identified on USG abdomen. The presence of dilated bowel loops could have interfered with the imaging of the retroperitoneal mass. In view of strong clinical suspicion, we proceeded with PET scan which identified the tumor mass in the abdomen. Tumors, which present with diarrhea as paraneoplastic syndrome, are generally biologically favorable. The prognosis is good following appropriate treatment.[7] In our child, excision of the tumor mass resulted in complete recovery.
Conclusion
In any child who presents with chronic secretory diarrhea, hypokalemia, and failure to thrive, the possibility of an underlying VIP-secreting tumor should be considered. A high index of clinical suspicion is needed as early diagnosis results in good clinical outcome.
Declaration of patient consent
The authors certify that they have obtained all appropriate patient consent forms. In the form the patient(s) has/have given his/her/their consent for his/her/their images and other clinical information to be reported in the journal. The patients understand that their names and initials will not be published and due efforts will be made to conceal their identity, but anonymity cannot be guaranteed.
Conflict of Interest
There are no conflicts of interest.
Acknowledgment
We would like to acknowledge Dr. Lakshmi Sundararajan, consultant pediatric surgeon, and Dr. Julius Xavier Scott, consultant pediatric oncologist, for their valuable contribution in the management of this child.
- Zage PE, Alter JL. Neuroblastoma. In Kliegman RM, Stanton BF, St Gema JW, Schor NF, Behrman RE. editors Nelson Textbook of Pediatrics. 20th ed. Philadelphia: W. B. Saunders Co.; 2016: 2461-4
- Brunklaus A, Pohl K, Zuberi SM, de Sousa C. Outcome and prognostic features in opsoclonus-myoclonus syndrome from infancy to adult life. Pediatrics 2011; 128: e388-94
- Verner JV, Morrison A. Islet cell tumour and a syndrome of refractory watery diarrhea and hypokalemia. Am J Med 1958; 29: 529
- Iida Y, Nose O, Kai H, Okada A, Mori T, Lee PK. et al. Watery diarrhoea with a vasoactive intestinal peptide-producing ganglioneuroblastoma. Arch Dis Child 1980; 55: 929-36
- Zhang YT, Feng LH, Zhang Z, Zhong XD, Chang J. Different kinds of paraneoplastic syndromes in childhood neuroblastoma. Iran J Pediatr 2015; 25: e266
- Chu CM, Rasalkar DD, Hu YJ, Cheng FW, Li CK, Chu WC. et al. Clinical presentations and imaging findings of neuroblastoma beyond abdominal mass and a review of imaging algorithm. Br J Radiol 2011; 84: 81-91
- Han W, Wang HM. Refractory diarrhea: A paraneoplastic syndrome of neuroblastoma. World J Gastroenterol 2015; 21: 7929-32
Address for correspondence
Publication History
Received: 17 January 2018
Accepted: 27 April 2018
Article published online:
03 June 2021
© 2019. Indian Society of Medical and Paediatric Oncology. This is an open access article published by Thieme under the terms of the Creative Commons Attribution-NonDerivative-NonCommercial-License, permitting copying and reproduction so long as the original work is given appropriate credit. Contents may not be used for commercial purposes, or adapted, remixed, transformed or built upon. (https://creativecommons.org/licenses/by-nc-nd/4.0/).
Thieme Medical and Scientific Publishers Pvt. Ltd.
A-12, 2nd Floor, Sector 2, Noida-201301 UP, India
| Figure 1 Computed tomography abdomen showing heterogeneous mass lesion with calcification in the left para-aortic region
- Zage PE, Alter JL. Neuroblastoma. In Kliegman RM, Stanton BF, St Gema JW, Schor NF, Behrman RE. editors Nelson Textbook of Pediatrics. 20th ed. Philadelphia: W. B. Saunders Co.; 2016: 2461-4
- Brunklaus A, Pohl K, Zuberi SM, de Sousa C. Outcome and prognostic features in opsoclonus-myoclonus syndrome from infancy to adult life. Pediatrics 2011; 128: e388-94
- Verner JV, Morrison A. Islet cell tumour and a syndrome of refractory watery diarrhea and hypokalemia. Am J Med 1958; 29: 529
- Iida Y, Nose O, Kai H, Okada A, Mori T, Lee PK. et al. Watery diarrhoea with a vasoactive intestinal peptide-producing ganglioneuroblastoma. Arch Dis Child 1980; 55: 929-36
- Zhang YT, Feng LH, Zhang Z, Zhong XD, Chang J. Different kinds of paraneoplastic syndromes in childhood neuroblastoma. Iran J Pediatr 2015; 25: e266
- Chu CM, Rasalkar DD, Hu YJ, Cheng FW, Li CK, Chu WC. et al. Clinical presentations and imaging findings of neuroblastoma beyond abdominal mass and a review of imaging algorithm. Br J Radiol 2011; 84: 81-91
- Han W, Wang HM. Refractory diarrhea: A paraneoplastic syndrome of neuroblastoma. World J Gastroenterol 2015; 21: 7929-32
PDF
Views
Share

