Squamous Cell Carcinoma Developing De Novo in an Untreated, Nonsun-Exposed Psoriatic Plaque
CC BY-NC-ND 4.0 · Indian J Med Paediatr Oncol 2019; 40(S 01): S166-S168
DOI: DOI: 10.4103/ijmpo.ijmpo_224_17
Abstract
Psoriasis is a chronic inflammatory dermatosis, which causes hyperproliferation of skin. Patients afflicted with psoriasis are also at a risk of developing nonmelanoma skin cancers, with the risk of such a possibility being attributed to the administration of systemic immunosuppressive agents, phototherapy, and biological agents. We present a case of psoriasis with de novo development of squamous cell carcinoma, in a photoprotected site, with no history of administration of systemic immunosuppressive agents, phototherapy, or biological agents.
Publication History
Article published online:
24 May 2021
© 2019. Indian Society of Medical and Paediatric Oncology. This is an open access article published by Thieme under the terms of the Creative Commons Attribution-NonDerivative-NonCommercial-License, permitting copying and reproduction so long as the original work is given appropriate credit. Contents may not be used for commercial purposes, or adapted, remixed, transformed or built upon. (https://creativecommons.org/licenses/by-nc-nd/4.0/).
Thieme Medical and Scientific Publishers Pvt. Ltd.
A-12, 2nd Floor, Sector 2, Noida-201301 UP, India
Abstract
Psoriasis is a chronic inflammatory dermatosis, which causes hyperproliferation of skin. Patients afflicted with psoriasis are also at a risk of developing nonmelanoma skin cancers, with the risk of such a possibility being attributed to the administration of systemic immunosuppressive agents, phototherapy, and biological agents. We present a case of psoriasis with de novo development of squamous cell carcinoma, in a photoprotected site, with no history of administration of systemic immunosuppressive agents, phototherapy, or biological agents.
Introduction
Psoriasis is a chronic inflammatory cutaneous disorder characterized by epidermal hyperproliferation and joint involvement. There are a multitude of comorbidities associated with psoriasis such as metabolic syndrome, chronic obstructive pulmonary disease, nonalcoholic steatohepatitis, and malignancies, to name a few. There is an increased risk of lymphomas and nonmelanoma skin cancers, which is probably due to the systemic therapies received by the patient.
Case Report
A 55-year-old male presented with red-colored scaly plaques for 3 years. The lesions were initially present on the forearms and gradually spread to involve the abdomen and back in about 3–4 months. About 3 months back, he developed dull-aching pain in his lower back around the gluteal cleft, on the plaque, and noticed a small growth which ulcerated and thereafter spread to the adjacent areas and emanated foul smell and blood-stained discharge. The patient had received various topical and homeopathic treatments, but there was no history of taking methotrexate, cyclosporine, or psoralen plus ultraviolet A (PUVA) therapy.
Cutaneous examination revealed discrete and coalescent erythematous scaly plaques of variable size and shape, with areas of hyperpigmentation and peripheral scaling, involving the chest, anterior abdominal wall, lower back, and buttocks [Figure 1]. Auspitz sign was positive. Nails were coarse with irregular pits and positive oil drop sign. A clinical diagnosis of plaque psoriasis was made. Two adjacent reddish, polypoidal growths with areas of ulceration and yellowish slough, of size 10 cm × 8 cm and 3 cm × 2 cm, respectively, were present on the healing pigmented psoriatic plaque on the upper left buttock extending onto the intergluteal fold and right buttock. The whole of this lesion and the surrounding of 3 cm were firm to hard in consistency and, besides this, there were multiple ulcers of various sizes in the surrounding skin [Figure 2]. No enlarged lymph nodes could be noticed. Rest of the systemic examination was within normal limits.
| Figure. 1 Erythematous scaly plaques present over the anterior chest and abdomen
| Figure. 2 Polypoidal growths with areas of ulceration and yellowish slough present over a healed psoriatic plaque, present over the left buttock, extending onto the intergluteal cleft and right buttock
Investigations
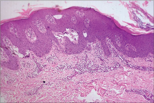
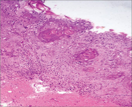
His hemoglobin was 13.5 g/dl with a total leukocyte count of 17,000 cells/mm3 and erythrocyte sedimentation rate was 87 mm in the 1st h. Liver and kidney function tests were within normal limits. Repeated swabs from the ulcerated site for culture revealed a mixture of organisms. The histopathology of the wedge biopsy from the edge of the ulcerated growth showed dysplastic squamous epithelium and tumor cells arranged in nests and cords, oval to polygonal in shape with eosinophilic cytoplasm and keratin pearls, favoring the diagnosis of a well-differentiated squamous cell carcinoma (SCC) [Figure 3]. A punch biopsy from the adjacent erythematous scaly plaque confirmed the diagnosis of psoriasis [Figure 4]. Fine-needle aspiration cytology from the inguinal lymph nodes was free from tumor cells.
| Figure. 3 Hematoxylin and eosin stain under ×10 magnification shows dysplastic squamous epithelium and tumor cells arranged in nests and cords with oval to polygonal shape and eosinophilic cytoplasm along with keratin pearls, suggestive of a well-differentiated squamous cell carcinoma
| Figure. 4 Hematoxylin and eosin stain under ×10 magnification shows epidermal parakeratosis, hypogranulosis, elongation of rete ridges, and dilatation of dermal papillae, suggestive of psoriasis
A wide local excision with reconstruction of the left gluteus maximus turnover flap with right V-Y advancement flap was performed by the plastic surgeon.
Discussion
Psoriasis belongs to a group of common chronic and proliferative inflammatory skin diseases, which is also associated with the involvement of other organ systems.[1] There is a role of both genetic and environmental factors in the etiology of the disease. Psoriasis is characterized by a complex alteration in the epidermal growth and differentiation. It is associated with immunologic, vascular, and multiple biochemical abnormalities.[1]
An overall risk of nonmelanoma skin cancer in psoriatic patients has been reported to be 14.1%. The standardized incidence ratio for SCC was found to be 3.9 for men and 4.7 for women with psoriasis.[2] The risk of getting nonmelanoma skin cancers remains high even after 15 years of stopping PUVA therapy in psoriatic patients.[3]
Immunosuppressive drugs used per se for psoriasis, such as cyclosporine, methotrexate, tumor necrosis factor-α inhibitors, and possibly high-dose ultraviolet B, are also known to increase the incidence of nonmelanoma skin cancers.[4]
SCC is an epidermal keratinocyte tumor, which predominantly affects Caucasians residing in regions of high-ambient sun exposure. It is more common among males. SCC commonly affects the sun-exposed sites such as back of the hands and forearm and upper part of the face, lips, and pinna. The etiological factors responsible for SCC are multifactorial. Ultraviolet light exposure, ionizing radiations, trauma, chronic inflammation, chronic discoid lupus erythematosus, albinism, xeroderma pigmentosa, human papillomavirus, immunosuppressed individuals, chronic granulomas, chronic ulcers, and scarring dermatoses such as poikiloderma congenitale, porokeratosis of Mibelli, and dystrophic epidermolysis bullosa. The presence of premalignant lesions such as Bowen’s disease, actinic keratosis, and leukoplakia also provide a fertile ground for the development of SCC.[5]
There are various factors present in psoriatic skin that are conducive to the development of SCC including an increased expression of proliferative regulators such as Keratin 16, WNT 5A, defensin B4, SERPIN B3, and STAT-1.[6] No such tests could be done in our case. A persistent activation of SRC family tyrosine kinases, which are known regulators of keratinocyte growth and proliferation, has been found in both psoriatic and SCC biopsy specimens, with the level of activation being higher in SCC as compared with psoriatic skin.[7] The epidermal growth factor receptors (EGFRs) over keratinocytes in psoriatic skin are overactivated as a result of the presence of growth factors and cytokines in the psoriatic skin. The tyrosine kinases are linked to the EGFR and the activation of the latter leads to the former being activated.[7] Furthermore, SRC family tyrosine kinases exert an inhibitory effect on p53-mediated cell apoptosis.[8] The development of malignancy, thus, is a multifactorial process, the prerequisite being activation of oncogenes and loss of tumor suppressor genes. Thus, p53 and other tumor suppressor genes act as the checkpoints in the development of malignancy which can be overcome by ultraviolet light exposure (PUVA therapy and excessive sunlight exposure) or systemic immunosuppressives, but this patient developed SCC without any of these provocating factors in the most sun-protected area (buttocks and lower back).
The rate of mitosis in psoriasis is high [9] (>6/hpf) and is comparable with that of oral SCC [10] (mean mitotic figures/hpf – 6.3); thus, psoriasis, which is itself a hyperproliferative disorder, is probably regulated to some extent, so that it does not reach to a level of malignancy, though it can still go on to a stage of exfoliative dermatitis. What could be the responsible factors, which are at play in inhibiting this conversion, needs to be explored further.
This case highlights the fact that SCC can develop de novo, even in untreated, nonsun-exposed areas of plaque psoriasis of very short duration.
Declaration of patient consent
The authors certify that they have obtained all appropriate patient consent forms. In the form the patient(s) has/have given his/her/their consent for his/her/their images and other clinical information to be reported in the journal. The patients understand that their names and initials will not be published and due efforts will be made to conceal their identity, but anonymity cannot be guaranteed.
Conflict of Interest
There are no conflicts of interest.
- Burden AD, Kirby B. Psoriasis and related disorders. In: Griffiths C, Barker J, Bleiker T, Charmers R, Creamer D. editors Rook’s Textbook of Dermatology. 9th ed. U.K: Wiley Blackwell; 2016: 35.1
- Frentz G, Olsen JH. Malignant tumours and psoriasis: A follow-up study. Br J Dermatol 1999; 140: 237-42
- Paul CF, Ho VC, McGeown C, Christophers E, Schmidtmann B, Guillaume JC. et al. Risk of malignancies in psoriasis patients treated with cyclosporine: A 5 y cohort study. J Invest Dermatol 2003; 120: 211-6
- Burden AD, Kirby B. Psoriasis and related disorders. In: Griffiths C, Barker J, Bleiker T, Charmers R, Creamer D. editors Rook’s Textbook of Dermatology. 9th ed. U.K: Wiley Blackwell; 2016: 35.20
- Shulstad RM, Proper S. Squamous cell carcinoma: A review of etiology, pathogenesis, treatment, and variants. J Dermatol Nurs Assoc 2010; 2: 12-6
- Haider AS, Peters SB, Kaporis H, Cardinale I, Fei J, Ott J. et al. Genomic analysis defines a cancer-specific gene expression signature for human squamous cell carcinoma and distinguishes malignant hyperproliferation from benign hyperplasia. J Invest Dermatol 2006; 126: 869-81
- Ayli EE, Li W, Brown TT, Witkiewicz A, Elenitsas R, Seykora JT. et al. Activation of Src-family tyrosine kinases in hyperproliferative epidermal disorders. J Cutan Pathol 2008; 35: 273-7
- Gupta G, Madan V, Lear JT. Squamous cell carcinoma and its precursors. In: Griffiths C, Barker J, Bleiker T, Charmers R, Creamer D. editors Rook’s Textbook of Dermatology. 9th ed. U.K: Wiley Blackwell; 2016: 142.26
- Park JH, Park YJ, Kim SK, Kwon JE, Kang HY, Lee ES. et al. Histopathological differential diagnosis of psoriasis and seborrheic dermatitis of the scalp. Ann Dermatol 2016; 28: 427-32
- Tandon A, Singh NN, Brave VR, Sreedhar G. Image analysis assisted study of mitotic figures in oral epithelial dysplasia and squamous cell carcinoma using differential stains. J Oral Biol Craniofac Res 2016; 6: S18-23
Address for correspondence
Publication History
Article published online:
24 May 2021
© 2019. Indian Society of Medical and Paediatric Oncology. This is an open access article published by Thieme under the terms of the Creative Commons Attribution-NonDerivative-NonCommercial-License, permitting copying and reproduction so long as the original work is given appropriate credit. Contents may not be used for commercial purposes, or adapted, remixed, transformed or built upon. (https://creativecommons.org/licenses/by-nc-nd/4.0/).
Thieme Medical and Scientific Publishers Pvt. Ltd.
A-12, 2nd Floor, Sector 2, Noida-201301 UP, India
References
- Burden AD, Kirby B. Psoriasis and related disorders. In: Griffiths C, Barker J, Bleiker T, Charmers R, Creamer D. editors Rook’s Textbook of Dermatology. 9th ed. U.K: Wiley Blackwell; 2016: 35.1
- Frentz G, Olsen JH. Malignant tumours and psoriasis: A follow-up study. Br J Dermatol 1999; 140: 237-42
- Paul CF, Ho VC, McGeown C, Christophers E, Schmidtmann B, Guillaume JC. et al. Risk of malignancies in psoriasis patients treated with cyclosporine: A 5 y cohort study. J Invest Dermatol 2003; 120: 211-6
- Burden AD, Kirby B. Psoriasis and related disorders. In: Griffiths C, Barker J, Bleiker T, Charmers R, Creamer D. editors Rook’s Textbook of Dermatology. 9th ed. U.K: Wiley Blackwell; 2016: 35.20
- Shulstad RM, Proper S. Squamous cell carcinoma: A review of etiology, pathogenesis, treatment, and variants. J Dermatol Nurs Assoc 2010; 2: 12-6
- Haider AS, Peters SB, Kaporis H, Cardinale I, Fei J, Ott J. et al. Genomic analysis defines a cancer-specific gene expression signature for human squamous cell carcinoma and distinguishes malignant hyperproliferation from benign hyperplasia. J Invest Dermatol 2006; 126: 869-81
- Ayli EE, Li W, Brown TT, Witkiewicz A, Elenitsas R, Seykora JT. et al. Activation of Src-family tyrosine kinases in hyperproliferative epidermal disorders. J Cutan Pathol 2008; 35: 273-7
- Gupta G, Madan V, Lear JT. Squamous cell carcinoma and its precursors. In: Griffiths C, Barker J, Bleiker T, Charmers R, Creamer D. editors Rook’s Textbook of Dermatology. 9th ed. U.K: Wiley Blackwell; 2016: 142.26
- Park JH, Park YJ, Kim SK, Kwon JE, Kang HY, Lee ES. et al. Histopathological differential diagnosis of psoriasis and seborrheic dermatitis of the scalp. Ann Dermatol 2016; 28: 427-32
- Tandon A, Singh NN, Brave VR, Sreedhar G. Image analysis assisted study of mitotic figures in oral epithelial dysplasia and squamous cell carcinoma using differential stains. J Oral Biol Craniofac Res 2016; 6: S18-23
PDF
Views
Share

