A Lady with Hypogastric Mass
CC BY-NC-ND 4.0 · Indian J Med Paediatr Oncol 2019; 40(02): 277-278
DOI: DOI: 10.4103/ijmpo.ijmpo_170_19
A 56-year-old woman presented with bleeding from a mass in the hypogastric region of 2 months' duration. Clinical evaluation revealed a round, polypoid, irregular, friable mass in the hypogastric region [Figure 1], which also affected the clitoris and the labia majora. The lesion bled on palpation.
| Figure 1 Clinical photograph
Vagina and the external cervical os were recognized, though the external urethral meatus could not be clearly visualized. The left ureteral opening was clearly seen, but the right ureteral opening could not be well identified. Bilateral inguinal lymph nodes were not palpable.
Contrast-enhanced computed tomography of the abdomen and pelvis demonstrated marked widening of pubic symphysis with a lesion of 6.7 cm × 6.1 cm × 4 cm involving the undersurface (anteroinferior) of the urinary bladder extending up to the introitus [Figure 2]. Anterior vaginal wall appeared thickened with the involvement of its lower third with loss of fat plane with the anterior cervical wall as well. Both the ureters were well opacified in the delayed images and appeared dilated and tortuous throughout the entire course with inferiorly located ureterovesical junctions. The excreted contrast leaked through the posteroinferior and anterior aspects of the bladder [Figure 3].
| Figure 2 MRI
| Figure 3 Excretion of contrast
Positron emission tomography demonstrated a 4.8 cm × 2.5 cm lesion with standard uptake value of 29.57 in the region of urinary bladder. Hydroureter was noted on either side in lower part with no distal metastases [Figure 4].
| Figure 4 PET-CT
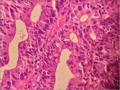
Biopsy of the mass showed well-differentiated adenocarcinoma. The tumor cells showed positivity for CK-7, CK-20, and CDX-2 and were negative for GATA3 and p63 [Figure 5]. Routine laboratory investigations were within normal limits.
| Figure 5 Histology H and E
What is the diagnosis? What is the primary treatment? What should be the adjuvant treatment?.
Answers
For answers to the above questions, please refer to [page no. 316].
Supplementary Material
Publication History
Article published online:
03 June 2021
© 2019. Indian Society of Medical and Paediatric Oncology. This is an open access article published by Thieme under the terms of the Creative Commons Attribution-NonDerivative-NonCommercial-License, permitting copying and reproduction so long as the original work is given appropriate credit. Contents may not be used for commercial purposes, or adapted, remixed, transformed or built upon. (https://creativecommons.org/licenses/by-nc-nd/4.0/).
Thieme Medical and Scientific Publishers Pvt. Ltd.
A-12, 2nd Floor, Sector 2, Noida-201301 UP, India
A 56-year-old woman presented with bleeding from a mass in the hypogastric region of 2 months' duration. Clinical evaluation revealed a round, polypoid, irregular, friable mass in the hypogastric region [Figure 1], which also affected the clitoris and the labia majora. The lesion bled on palpation.
| Figure 1 Clinical photograph
Vagina and the external cervical os were recognized, though the external urethral meatus could not be clearly visualized. The left ureteral opening was clearly seen, but the right ureteral opening could not be well identified. Bilateral inguinal lymph nodes were not palpable.
Contrast-enhanced computed tomography of the abdomen and pelvis demonstrated marked widening of pubic symphysis with a lesion of 6.7 cm × 6.1 cm × 4 cm involving the undersurface (anteroinferior) of the urinary bladder extending up to the introitus [Figure 2]. Anterior vaginal wall appeared thickened with the involvement of its lower third with loss of fat plane with the anterior cervical wall as well. Both the ureters were well opacified in the delayed images and appeared dilated and tortuous throughout the entire course with inferiorly located ureterovesical junctions. The excreted contrast leaked through the posteroinferior and anterior aspects of the bladder [Figure 3].
| Figure 2 MRI
| Figure 3 Excretion of contrast
Positron emission tomography demonstrated a 4.8 cm × 2.5 cm lesion with standard uptake value of 29.57 in the region of urinary bladder. Hydroureter was noted on either side in lower part with no distal metastases [Figure 4].
| Figure 4 PET-CT
Biopsy of the mass showed well-differentiated adenocarcinoma. The tumor cells showed positivity for CK-7, CK-20, and CDX-2 and were negative for GATA3 and p63 [Figure 5]. Routine laboratory investigations were within normal limits.
| Figure 5 Histology H and E
What is the diagnosis? What is the primary treatment? What should be the adjuvant treatment?.
Answers
For answers to the above questions, please refer to [page no. 316].
Supplementary Material
Publication History
Article published online:
03 June 2021
© 2019. Indian Society of Medical and Paediatric Oncology. This is an open access article published by Thieme under the terms of the Creative Commons Attribution-NonDerivative-NonCommercial-License, permitting copying and reproduction so long as the original work is given appropriate credit. Contents may not be used for commercial purposes, or adapted, remixed, transformed or built upon. (https://creativecommons.org/licenses/by-nc-nd/4.0/).
Thieme Medical and Scientific Publishers Pvt. Ltd.
A-12, 2nd Floor, Sector 2, Noida-201301 UP, India
| Figure 1 Clinical photograph
| Figure 2 MRI
| Figure 3 Excretion of contrast
| Figure 4 PET-CT
| Figure 5 Histology H and E
PDF
Views
Share

