A Rare Adverse Drug Reaction of Imatinib Mesylate
CC BY-NC-ND 4.0 · Indian J Med Paediatr Oncol 2019; 40(02): 305-306
DOI: DOI: 10.4103/ijmpo.ijmpo_56_18
Chronic myelogenous leukemia (CML) also known as chronic granulocytic leukemia, is characterized by the increased and unregulated growth of predominantly myeloid cells in the bone marrow and the accumulation of these cells in the blood. The standard treatment for chronic phase (CP) CML is a tyrosine kinase inhibitor such as imatinib, nilotinib, or dasatinib.[1]
The documented adverse effects of imatinib mesylate are nausea, vomiting, edema, tumor necrosis, muscle cramps, hematologic side effects, cardiovascular side effects, hepatic side effects, nephrotoxicity, and dermatologic side effects such as skin rash, pruritus, and petechiae. This case study is a rare adverse effect seen with imatinib mesylate, which has not been reported so far.
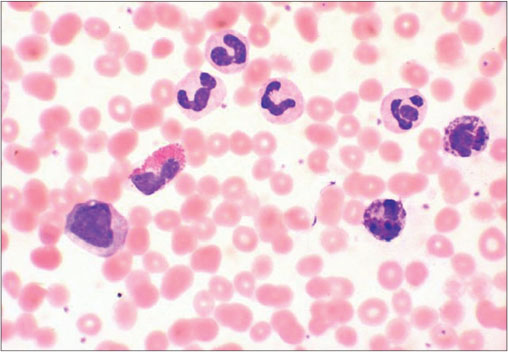
A 45-year-old postmenopausal female came to the outpatient department with the complaints of upper abdominal pain and weight loss of 2 months duration. On examination, she had splenomegaly (4 cm size from the costal margin). Complete blood examination showed increased leukocyte count including mature myeloid cells and myeloid precursors [Figure 1]. fluorescent in situ hybridization revealed the presence of philadelphia chromosome [t(9;22)]. She was diagnosed with a case of CML-CP and was started on imatinib mesylate 400 mg once daily orally.
| Figure 1 Peripheral blood smear of the patient showing myeloid precursor cells
After 5 months of treatment with imatinib mesylate, the patient symptomatically improved. Blood examination showed white blood cell count <10 href="https://www.thieme-connect.com/products/ejournals/abstract/10.4103/ijmpo.ijmpo_56_18#FI_2" xss=removed>Figure 2]. The patient was treated with oral and topical corticosteroids, and imatinib mesylate was withheld until the reaction subsided.
| Figure 2 Inflammation of the digits (dactylitis) involving the patient’s hands
Dactylitis has not been reported as an adverse effect of imatinib mesylate in the literature. This is one of the rarest adverse effects of imatinib mesylate. Based on Naranjo causality assessment scale, the adverse drug reaction (ADR) is categorized as possible.[2] The occurrence of ADRs causing loss of working days to the patient, which in turn is a loss to the community and the nation, is preventable. This case report also emphasizes that physicians should be aware of the occurrence of dactylitis with imatinib mesylate therapy. Since rational prescribing is a part of doctor ethics, awareness of such rare ADRs will enable the physicians to safely administer drugs to the patient community. In addition, the patients should be informed of such rare ADRs, to prevent further events. Reporting of ADRs should be encouraged among health professionals.
Declaration of patient consent
The authors certify that they have obtained all appropriate patient consent forms. In the form the patient(s) has/have given his/her/their consent for his/her/their images and other clinical information to be reported in the journal. The patients understand that their names and initials will not be published and due efforts will be made to conceal their identity, but anonymity cannot be guaranteed.
Publication History
Article published online:
03 June 2021
© 2019. Indian Society of Medical and Paediatric Oncology. This is an open access article published by Thieme under the terms of the Creative Commons Attribution-NonDerivative-NonCommercial-License, permitting copying and reproduction so long as the original work is given appropriate credit. Contents may not be used for commercial purposes, or adapted, remixed, transformed or built upon. (https://creativecommons.org/licenses/by-nc-nd/4.0/).
Thieme Medical and Scientific Publishers Pvt. Ltd.
A-12, 2nd Floor, Sector 2, Noida-201301 UP, India
Chronic myelogenous leukemia (CML) also known as chronic granulocytic leukemia, is characterized by the increased and unregulated growth of predominantly myeloid cells in the bone marrow and the accumulation of these cells in the blood. The standard treatment for chronic phase (CP) CML is a tyrosine kinase inhibitor such as imatinib, nilotinib, or dasatinib.[1]
The documented adverse effects of imatinib mesylate are nausea, vomiting, edema, tumor necrosis, muscle cramps, hematologic side effects, cardiovascular side effects, hepatic side effects, nephrotoxicity, and dermatologic side effects such as skin rash, pruritus, and petechiae. This case study is a rare adverse effect seen with imatinib mesylate, which has not been reported so far.
A 45-year-old postmenopausal female came to the outpatient department with the complaints of upper abdominal pain and weight loss of 2 months duration. On examination, she had splenomegaly (4 cm size from the costal margin). Complete blood examination showed increased leukocyte count including mature myeloid cells and myeloid precursors [Figure 1]. fluorescent in situ hybridization revealed the presence of philadelphia chromosome [t(9;22)]. She was diagnosed with a case of CML-CP and was started on imatinib mesylate 400 mg once daily orally.
| Figure 1 Peripheral blood smear of the patient showing myeloid precursor cells
After 5 months of treatment with imatinib mesylate, the patient symptomatically improved. Blood examination showed white blood cell count <10 href="https://www.thieme-connect.com/products/ejournals/abstract/10.4103/ijmpo.ijmpo_56_18#FI_2" xss=removed>Figure 2]. The patient was treated with oral and topical corticosteroids, and imatinib mesylate was withheld until the reaction subsided.
| Figure 2 Inflammation of the digits (dactylitis) involving the patient’s hands
Dactylitis has not been reported as an adverse effect of imatinib mesylate in the literature. This is one of the rarest adverse effects of imatinib mesylate. Based on Naranjo causality assessment scale, the adverse drug reaction (ADR) is categorized as possible.[2] The occurrence of ADRs causing loss of working days to the patient, which in turn is a loss to the community and the nation, is preventable. This case report also emphasizes that physicians should be aware of the occurrence of dactylitis with imatinib mesylate therapy. Since rational prescribing is a part of doctor ethics, awareness of such rare ADRs will enable the physicians to safely administer drugs to the patient community. In addition, the patients should be informed of such rare ADRs, to prevent further events. Reporting of ADRs should be encouraged among health professionals.
Declaration of patient consent
The authors certify that they have obtained all appropriate patient consent forms. In the form the patient(s) has/have given his/her/their consent for his/her/their images and other clinical information to be reported in the journal. The patients understand that their names and initials will not be published and due efforts will be made to conceal their identity, but anonymity cannot be guaranteed.
Conflict of Interest
There are no conflicts of interest.
References
- Pophali PA, Patnaik MM. The role of new tyrosine kinase inhibitors in chronic myeloid leukemia. Cancer J 2016; 22: 40-50
- Naranjo CA, Busto U, Sellers EM, Sandor P, Ruiz I, Roberts EA. et al. A method for estimating the probability of adverse drug reactions. Clin Pharmacol Ther 1981; 30: 239-45
Publication History
Article published online:
03 June 2021
© 2019. Indian Society of Medical and Paediatric Oncology. This is an open access article published by Thieme under the terms of the Creative Commons Attribution-NonDerivative-NonCommercial-License, permitting copying and reproduction so long as the original work is given appropriate credit. Contents may not be used for commercial purposes, or adapted, remixed, transformed or built upon. (https://creativecommons.org/licenses/by-nc-nd/4.0/).
Thieme Medical and Scientific Publishers Pvt. Ltd.
A-12, 2nd Floor, Sector 2, Noida-201301 UP, India
| Figure 1 Peripheral blood smear of the patient showing myeloid precursor cells
| Figure 2 Inflammation of the digits (dactylitis) involving the patient’s hands
- Pophali PA, Patnaik MM. The role of new tyrosine kinase inhibitors in chronic myeloid leukemia. Cancer J 2016; 22: 40-50
- Naranjo CA, Busto U, Sellers EM, Sandor P, Ruiz I, Roberts EA. et al. A method for estimating the probability of adverse drug reactions. Clin Pharmacol Ther 1981; 30: 239-45
PDF
Views
Share

