A Rare Case of Endobronchial Metastasis in a Case of Carcinoma Tongue
CC BY-NC-ND 4.0 · Indian J Med Paediatr Oncol 2019; 40(S 01): S181-S184
DOI: DOI: 10.4103/ijmpo.ijmpo_205_17
Abstract
Cancer of the tongue and other parts of the oral cavity are a leading cause of death in the worldwide population. The common sites of metastasis from oral cavity cancers are lung and bone. Endobronchial metastasis of an extra-thoracic malignancy is a rare phenomenon and such metastases from a malignancy of the tongue are almost unheard of. We present a case of carcinoma oral cavity with subsite tongue that after radical therapy of local site had an unusual site of distant metastasis in the right main bronchus, along with metastases to the lung parenchyma and right third rib.
Publication History
Article published online:
24 May 2021
© 2019. Indian Society of Medical and Paediatric Oncology. This is an open access article published by Thieme under the terms of the Creative Commons Attribution-NonDerivative-NonCommercial-License, permitting copying and reproduction so long as the original work is given appropriate credit. Contents may not be used for commercial purposes, or adapted, remixed, transformed or built upon. (https://creativecommons.org/licenses/by-nc-nd/4.0/).
Thieme Medical and Scientific Publishers Pvt. Ltd.
A-12, 2nd Floor, Sector 2, Noida-201301 UP, India
Abstract
Cancer of the tongue and other parts of the oral cavity are a leading cause of death in the worldwide population. The common sites of metastasis from oral cavity cancers are lung and bone. Endobronchial metastasis of an extra-thoracic malignancy is a rare phenomenon and such metastases from a malignancy of the tongue are almost unheard of. We present a case of carcinoma oral cavity with subsite tongue that after radical therapy of local site had an unusual site of distant metastasis in the right main bronchus, along with metastases to the lung parenchyma and right third rib.
Introduction
Endobronchial lesions can have a varying etiology ranging from primary malignant to benign to secondaries from extrapulmonary cancers. Primary endobronchial malignancies constitute the majority of these lesions, and the common histological variants include nonsmall and small cell lung carcinomas as well as neuroendocrine tumors of the lung.[1] Benign lesions are much rarer and include fungal diseases, hamartomas, papillomas, lipomas, and polyps.[2] Extra-thoracic malignancy with metastasis to bronchus is rare, accounting for <1 href="https://www.thieme-connect.com/products/ejournals/html/10.4103/ijmpo.ijmpo_205_17#JR_3" xss=removed>3] although, metastases to the lung parenchyma are seen often. Common primary malignancies, which are known to have metastasis to bronchus, are colorectal cancers, renal cell carcinoma, breast, and uterine cancers.[4] [5]
Oral carcinoma, commonly squamous cell variant in advanced stages, is known to metastasize to bone and pulmonary parenchyma, but endobronchial metastasis from these cancers are extremely uncommon. Cancer of the tongue, which is a subsite of the oral cavity, is an even rarer source of such metastases with only two such cases reported in the literature.[6] [7]
Endobronchial metastasis in a background of an extrapulmonary malignancy often raises the suspicion of a second primary, and it is difficult to distinguish between the two based on imaging alone. Here, we present a case of an oral cavity carcinoma that metastasized to the lung and the bronchus posing a diagnostic challenge in the management.
Case Report
A 38-year-old male patient presented in October 2015 to this oncology center with a nonhealing ulcer over the tongue for the past 6 months. Clinical examination revealed a 3 cm × 2 cm ulcer on the right lateral border of the tongue and biopsy of the same was suggestive of high grade keratinizing squamous cell carcinoma (SCC) with perineural invasion. Contrast-enhanced computed tomography of the face, neck, and chest showed an ill-defined lesion on the right side of the tongue with an enlarged lymph node in right cervical level Ib. He was clinico-radiologically staged as a case of carcinoma oral cavity, (subsite-oral tongue) cT2N1M0 as per the American Joint Committee on Cancer staging system (7th edition, 2010).
The patient was treated with surgery in the form of a hemiglossectomy with bilateral modified radical neck dissection. The postsurgery histopathology was suggestive of a well-differentiated SCC infiltrating the skeletal muscles, with the presence of perineural invasion. The depth of tumor invasion was 7 mm and two out of twenty dissected lymph nodes showed tumor deposits. The tumor was pathologically staged as pT4N2CM0. The patient was treated with adjuvant external beam radiotherapy to the face and neck to a dose of 60 Grays in 30 fractions on a telecobalt machine which was completed in January 2016. Posttreatment, he was kept on regular, 3-monthly follow-up and remained asymptomatic and disease-free for 18 months.
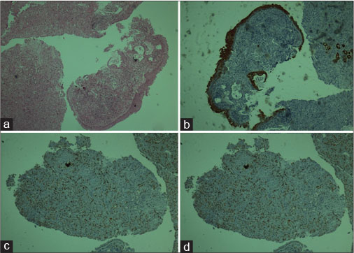
He presented in June of 2017 with a history of a progressive cough over the previous 2 weeks and a single episode of hemoptysis. He also gave a history of a hard swelling over the right side of his chest wall. On clinical examination, there was a 3 cm × 3 cm hard, fixed bony swelling over the chest wall on the right side. The chest auscultation was essentially normal with equal air entry bilaterally. He underwent a contrast enhanced CT scan of the chest, which was suggestive of cavitary lesion in the left upper lobe with a nodular lesion next to it and an osteolytic lesion in the right third rib [Figure 1]. A whole body positron emission tomography-computed tomography (PET-CT) scan showed metabolically active lesions in the left lung and right third rib [Figure 2]. With this clinico-radiological picture, he underwent a fiber-optic bronchoscopy, which was suggestive of an endobronchial growth in the right main bronchus, which bled on touch [Figure 3]. Biopsy taken from the above lesion showed poorly differentiated SCC with normal overlying mucosa. On immunohistochemistry, the tumor cells were positive for p63 and negative for TTF-1 and CK7 (with positive control in overlying epithelium) [Figure 4]. The final diagnosis was a poorly differentiated SCC likely to be metastatic rather than primary.
| Figure. 1 Contrast-enhanced computed tomography chest showing osteolytic lesion in right third rib (red arrow) and cavitary lesion with nodular component in left lung (green arrow)
| Figure. 2 Whole-body positron emission tomography-computed tomography showing metabolically active disease in left lung (red arrow) and right third rib (green arrow)
| Figure. 3 Fiber-optic bronchoscopy showing ulceroproliferative growth in right main bronchus which bleeds on touch
| Figure. 4 Histopathological examination of endobronchial lesion. (a) (×10); Low power view of hemotoxylin and eosin stained section showing normal overlying bronchial mucosa. The underlying stromal fragments show nests of squamous cell carcinoma. (b) Tumor showing diffuse nuclear positivity for p63 protein. (c) CK7 highlighting the overlying normal squamous mucosa and some stromal mucinous-glands. (d) High MIB1 (Ki 67) nuclear proliferation index seen in tumor cells
With the above investigation results, the patient was diagnosed as a case of carcinoma oral cavity with metastasis to the bronchus, lung, and rib. In view of metastatic disease, he was started on systemic therapy in the form of injection 5-Fluorouracil, injection cisplatin and injection cetuximab. He was treated with 3 cycles of above chemotherapy between July and August 2017. However, response assessment imaging done in the form of PET-CT was suggestive of further progression of disease with multiple skeletal and liver metastasis. Due to poor performance status of the patient, further systemic therapy was discontinued. The patient was treated with palliative radiotherapy to lumbosacral spine to a dose of 30 Gy/10 fractions and was subsequently placed on best supportive care.
Discussion
The detection of an endobronchial lesion in the presence of a previous malignancy is a diagnostic dilemma between metastasis and a second primary, especially in a case where the primary cancer is of upper aerodigestive tract origin. Clinical, radiological, bronchoscopic, and pathological co-relation are the key to a correct diagnosis. Histopathology is the primary tool in determining whether the origin of the tumor is primary or metastatic.[5] In this patient, the endobronchial lesion was histologically proven to be a metastasis from SCC of an oral tongue primary. Symptomatology of endobronchial disease includes cough, hemoptysis, and shortness of breath.[8] The patient presented with complaints of cough, hemoptysis, and chest wall swelling about 18 months after completion of treatment for oral cavity primary.
The radiological picture in a patient having endobronchial involvement is commonly with pulmonary nodules with hilar distension, the presence of a mass or atelectasis.[5] [8] [9] This might raise the suspicion of an infective etiology, but in case of an underlying malignancy, the possibility of metastasis should always be considered.
The presence of SCC in the lung of a patient with the head and neck SCC (HNSCC) is generally approached as a second primary tumor.[10] [11] This reiterates the concept of “field cancerization” and has established second primary cancers of the lung as a significant complication for patients with HNSCC. According to this concept, multiple cell groups independently undergo a neoplastic transformation under the stress of regional carcinogenic activity,[12] placing patients of head and neck malignancies at high risk for developing carcinomas throughout their respiratory tracts, commonly the lungs.[13] [14] [15]
Endobronchial metastasis in the presence of a primary tongue cancer is rare. Hematogeneous and lymphatic spread are suspected to be the probable cause of spread. Other methods mentioned are through bronchial arteries and aspiration of tumor cells.[16] [17] [18] The earliest changes are permeation of the mucosal lymphatics by malignant cells and distension of the lymph channels followed by coalescence of the swollen lymphatics to form solid tumor masses under the bronchial epithelium. Eventually, the entire mucosal lining is replaced by malignant tissue resulting in a stenosis of the bronchial lumen.[19]
The distressing airway symptoms caused by endobronchial metastasis may be relieved by the use of newer intrabronchial therapies, i.e., intraluminal brachytherapy (delivery of radiation from an endobronchial source), photodynamic therapy (involving intravenous administration of a photosensitizer with the subsequent endobronchial illumination of the lesion with the appropriate wavelength of light), laser evaporation, for example, using the neodymium-doped yttrium aluminium garnet laser, and tracheal or bronchial stenting. In our patient, there were no symptoms of respiratory distress. Hence, no local intervention for bronchial growth was offered, and the patient was started on palliative chemotherapy in view of metastatic disease.
In a study by Yang et al., it was seen that presence of endobronchial metastases from a subsite of head and neck cancer other than nasopharynx, was related with an average survival of 1 month, compared to average survival of 12 months for metastases from other primary cancers. Similarly, the study also showed that presence of lesion in the main bronchus is also associated with poorer prognosis with a survival of 1 month compared to 12 months for patients in whom the disease does not reach one of the main bronchi.[20] Both the above mentioned poor prognostic factors are present in our patient, namely a head and neck primary and involvement of the right main bronchus. Although the recorded survival till now is 3 months, the patient has progressive disease on chemotherapy and is planned for supportive care only. Thus, both of these factors may help us to prognosticate patients with endobronchial metastases.
The median time interval between detection of primary and endobronchial metastases given in literature is 36 months (0–160 months). The patient had a time interval of less than half the median, i.e., 18 months. This may be another indicator of the aggressive biology of the disease in our patient.
In conclusion, endobronchial metastasis from an extrapulmonary malignancy is rare with very few cases being reported, more so with tongue cancer as a primary. This case report highlights the importance of clinical radiological and histopathological co-relation in diagnosing the endobronchial disease as primary or metastatic.
Declaration of patient consent
The authors certify that they have obtained all appropriate patient consent forms. In the form the patient(s) has/have given his/her/their consent for his/her/their images and other clinical information to be reported in the journal. The patients understand that their names and initials will not be published and due efforts will be made to conceal their identity, but anonymity cannot be guaranteed.
Conflict of Interest
There are no conflicts of interest.
- Salud A, Porcel JM, Rovirosa A, Bellmunt J. Endobronchial metastatic disease: Analysis of 32 cases. J Surg Oncol 1996; 62: 249-52
- Ko JM, Jung JI, Park SH, Lee KY, Chung MH, Ahn MI. et al. Benign tumors of the tracheobronchial tree: CT-pathologic correlation. AJR Am J Roentgenol 2006; 186: 1304-13
- Kreisman H, Wolkove N, Finkelstein HS, Cohen C, Margolese R, Frank H. et al. Breast cancer and thoracic metastases: Review of 119 patients. Thora× 1983; 38: 175-9
- Sørensen JB. Endobronchial metastases from extrapulmonary solid tumors. Acta Oncol 2004; 43: 73-9
- Lee SH, Jung JY, Kim DH, Lee SK, Kim SY, Kim EY. et al. Endobronchial metastases from extrathoracic malignancy. Yonsei Med J 2013; 54: 403-9
- Tsukamoto T, Nagasawa M, Yamada K, Satoh T. Endoscopic endobronchial metastasis. Nihon Kyobu Shikkan Gakkai Zasshi 1992; 30: 609-13
- Başyiğit I, Boyaci H, Uçar EK, Yildiz K, Bariş SA, Yildiz F. et al. Tongue carcinoma with endobronchial metastasis: A rare case. Acta Clin Croat 2014; 53: 483-6
- Akoglu S, Uçan ES, Celik G, Sener G, Sevinç C, Kilinç O. et al. Endobronchial metastases from extrathoracic malignancies. Clin Exp Metastasis 2005; 22: 587-91
- Wu YT. Pulmonary metastases of malignant tumors of the oral and maxillofacial region. Analysis of 70 cases. Zhonghua Kou Qiang Yi Xue Za Zhi 1989; 24: 130-3, 190
- Askin FB. Something old? Something new? Second primary or pulmonary metastasis in the patient with known extrathoracic carcinoma. Am J Clin Pathol 1993; 100: 4-5
- Pogrebniak HW, Pass HI. Initial and reoperative pulmonary metastasectomy: Indications, technique, and results. Semin Surg Oncol 1993; 9: 142-9
- Slaughter DP, Southwick HW, Smejkal W. Field cancerization in oral stratified squamous epithelium; clinical implications of multicentric origin. Cancer 1953; 6: 963-8
- Jones AS, Morar P, Phillips DE, Field JK, Husband D, Helliwell TR. et al. Second primary tumors in patients with head and neck squamous cell carcinoma. Cancer 1995; 75: 1343-53
- Licciardello JT, Spitz MR, Hong WK. Multiple primary cancer in patients with cancer of the head and neck: Second cancer of the head and neck, esophagus, and lung. Int J Radiat Oncol Biol Phys 1989; 17: 467-76
- Tepperman BS, Fitzpatrick PJ. Second respiratory and upper digestive tract cancers after oral cancer. Lancet 1981; 2: 547-9
- DeBeer RA, Garcia RL, Alexander SC. Endobronchial metastasis from cancer of the breast. Chest 1978; 73: 94-6
- Kono M. Differential diagnosis of lung cancer and cancer with hilar metastasis: With special reference to diagnosis of subepithelial endobronchial metastasis simulating early hilar cancer in radiographic presentation. Rinsho Hoshasen 1976; 21: 969-77
- Furth J. Experiments on the spread of neoplastic cells through the respiratory passages. Am J Pathol 1946; 22: 1101-7
- Rosenblatt MB, Lisa JR, Trinidad S. Pitfalls in the clinical histologic diagnosis of bronchogenic carcinoma. Dis Chest 1966; 49: 396-404
- Wang YH, Wong SL, Lai YF, Lin AS, Chang HW. Endobronchial metastatic disease. Changgeng Yi Xue Za Zhi 1999; 22: 240-5
Address for correspondence
Publication History
Article published online:
24 May 2021
© 2019. Indian Society of Medical and Paediatric Oncology. This is an open access article published by Thieme under the terms of the Creative Commons Attribution-NonDerivative-NonCommercial-License, permitting copying and reproduction so long as the original work is given appropriate credit. Contents may not be used for commercial purposes, or adapted, remixed, transformed or built upon. (https://creativecommons.org/licenses/by-nc-nd/4.0/).
Thieme Medical and Scientific Publishers Pvt. Ltd.
A-12, 2nd Floor, Sector 2, Noida-201301 UP, India
| Figure. 1 Contrast-enhanced computed tomography chest showing osteolytic lesion in right third rib (red arrow) and cavitary lesion with nodular component in left lung (green arrow)
| Figure. 2 Whole-body positron emission tomography-computed tomography showing metabolically active disease in left lung (red arrow) and right third rib (green arrow)
| Figure. 3 Fiber-optic bronchoscopy showing ulceroproliferative growth in right main bronchus which bleeds on touch
References
- Salud A, Porcel JM, Rovirosa A, Bellmunt J. Endobronchial metastatic disease: Analysis of 32 cases. J Surg Oncol 1996; 62: 249-52
- Ko JM, Jung JI, Park SH, Lee KY, Chung MH, Ahn MI. et al. Benign tumors of the tracheobronchial tree: CT-pathologic correlation. AJR Am J Roentgenol 2006; 186: 1304-13
- Kreisman H, Wolkove N, Finkelstein HS, Cohen C, Margolese R, Frank H. et al. Breast cancer and thoracic metastases: Review of 119 patients. Thora× 1983; 38: 175-9
- Sørensen JB. Endobronchial metastases from extrapulmonary solid tumors. Acta Oncol 2004; 43: 73-9
- Lee SH, Jung JY, Kim DH, Lee SK, Kim SY, Kim EY. et al. Endobronchial metastases from extrathoracic malignancy. Yonsei Med J 2013; 54: 403-9
- Tsukamoto T, Nagasawa M, Yamada K, Satoh T. Endoscopic endobronchial metastasis. Nihon Kyobu Shikkan Gakkai Zasshi 1992; 30: 609-13
- Başyiğit I, Boyaci H, Uçar EK, Yildiz K, Bariş SA, Yildiz F. et al. Tongue carcinoma with endobronchial metastasis: A rare case. Acta Clin Croat 2014; 53: 483-6
- Akoglu S, Uçan ES, Celik G, Sener G, Sevinç C, Kilinç O. et al. Endobronchial metastases from extrathoracic malignancies. Clin Exp Metastasis 2005; 22: 587-91
- Wu YT. Pulmonary metastases of malignant tumors of the oral and maxillofacial region. Analysis of 70 cases. Zhonghua Kou Qiang Yi Xue Za Zhi 1989; 24: 130-3, 190
- Askin FB. Something old? Something new? Second primary or pulmonary metastasis in the patient with known extrathoracic carcinoma. Am J Clin Pathol 1993; 100: 4-5
- Pogrebniak HW, Pass HI. Initial and reoperative pulmonary metastasectomy: Indications, technique, and results. Semin Surg Oncol 1993; 9: 142-9
- Slaughter DP, Southwick HW, Smejkal W. Field cancerization in oral stratified squamous epithelium; clinical implications of multicentric origin. Cancer 1953; 6: 963-8
- Jones AS, Morar P, Phillips DE, Field JK, Husband D, Helliwell TR. et al. Second primary tumors in patients with head and neck squamous cell carcinoma. Cancer 1995; 75: 1343-53
- Licciardello JT, Spitz MR, Hong WK. Multiple primary cancer in patients with cancer of the head and neck: Second cancer of the head and neck, esophagus, and lung. Int J Radiat Oncol Biol Phys 1989; 17: 467-76
- Tepperman BS, Fitzpatrick PJ. Second respiratory and upper digestive tract cancers after oral cancer. Lancet 1981; 2: 547-9
- DeBeer RA, Garcia RL, Alexander SC. Endobronchial metastasis from cancer of the breast. Chest 1978; 73: 94-6
- Kono M. Differential diagnosis of lung cancer and cancer with hilar metastasis: With special reference to diagnosis of subepithelial endobronchial metastasis simulating early hilar cancer in radiographic presentation. Rinsho Hoshasen 1976; 21: 969-77
- Furth J. Experiments on the spread of neoplastic cells through the respiratory passages. Am J Pathol 1946; 22: 1101-7
- Rosenblatt MB, Lisa JR, Trinidad S. Pitfalls in the clinical histologic diagnosis of bronchogenic carcinoma. Dis Chest 1966; 49: 396-404
- Wang YH, Wong SL, Lai YF, Lin AS, Chang HW. Endobronchial metastatic disease. Changgeng Yi Xue Za Zhi 1999; 22: 240-5
PDF
Views
Share

