A Rare Case of Life-Threatening Extensive Mucocutaneous Adverse Reaction Induced by Docetaxel in a Breast Cancer Patient: Toxic Epidermal Necrolysis, a Case Report with Review of Literature
CC BY-NC-ND 4.0 · Indian J Med Paediatr Oncol 2022; 43(03): 318-321
DOI: DOI: 10.1055/s-0042-1743125
Abstract
Fever and extensive necrosis with 30% or more epidermal involvement along with mucous membrane is known as toxic epidermal necrolysis (TEN). It is a life-threatening mucocutaneous disease and is usually drug induced. We report a rare case of docetaxel-induced TEN. A patient with metastatic breast carcinoma received single agent docetaxel and developed severe skin and mucous membrane reaction involving more than 30% of the skin, and managed conservatively in intensive care unit but she succumbed to her illness. Although common toxicities reported with docetaxel include alopecia, nail damage, myelosuppression, and erythema multiforme major, TEN after docetaxel is very rare and can be a life-threatening complication as in our case.
Ethics
The authors certify that they have obtained an Ethics committee approval for publication (ECR/748/Inst/MP2015-EE/18, dated: 22 October 2021) from the institutional ethics committee of Sri Aurobindo Institute of Medical Sciences.
Publication History
Article published online:
28 June 2022
© 2022. Indian Society of Medical and Paediatric Oncology. This is an open access article published by Thieme under the terms of the Creative Commons Attribution-NonDerivative-NonCommercial License, permitting copying and reproduction so long as the original work is given appropriate credit. Contents may not be used for commercial purposes, or adapted, remixed, transformed or built upon. (https://creativecommons.org/licenses/by-nc-nd/4.0/)
Thieme Medical and Scientific Publishers Pvt. Ltd.
A-12, 2nd Floor, Sector 2, Noida-201301 UP, India
Abstract
Fever and extensive necrosis with 30% or more epidermal involvement along with mucous membrane is known as toxic epidermal necrolysis (TEN). It is a life-threatening mucocutaneous disease and is usually drug induced. We report a rare case of docetaxel-induced TEN. A patient with metastatic breast carcinoma received single agent docetaxel and developed severe skin and mucous membrane reaction involving more than 30% of the skin, and managed conservatively in intensive care unit but she succumbed to her illness. Although common toxicities reported with docetaxel include alopecia, nail damage, myelosuppression, and erythema multiforme major, TEN after docetaxel is very rare and can be a life-threatening complication as in our case.
Introduction
Docetaxel is derived from the needles Taxus baccata (European yew tree). It binds to microtubules and enhances tubulin polymerization leads to inhibition of mitosis and cell division. Reported cutaneous toxicities include alopecia, hypersensitivity with skin rash, pigmentation, onycholysis, palmar–plantar erythrodysesthesia, cutaneous lupus, and erythema multiforme. In our case, patient developed toxic epidermal necrolysis (TEN) following administration of docetaxel, which is a rare side effect of docetaxel.
Case Report
A 39-year-old woman was diagnosed with metastatic breast cancer (liver and lung metastasis). She was on palliative chemotherapy docetaxel 75 mg/m2 with trastuzumab (8 mg/kg in first cycle followed by 6 mg/kg in consecutive cycles) on a 3-weekly schedule. She tolerated two cycles of planned therapy. Nine days after third cycle of docetaxel and trastuzumab on August, 08, 2021, she presented with complaints of blisters that later ruptured with excoriation of skin over both hands, feet and back, oral mucositis with difficulty in swallowing, sticky eyelids with conjunctival redness, multiple episodes of vomiting, loose motions, shortness of breath, and low-grade intermittent fever.
On examination, her Eastern Cooperative Oncology Group performance status was 4, pulse rate 125/min, feeble, rhythmic, normovolumic, hypotension (90/60 mm Hg), tachypnea (respiratory rate >21/min), afebrile, saturation of peripheral oxygen 80%, and Grade III oral mucositis. Dermatological examination showed extensive erythematous desquamation with ruptured blisters involving skin of hands, lips, feet, vulva, perianal region, and lower back involving more than 30% of body surface was noted with mucosal involvement ([Fig. 1]). Crepitations was present in both lower zones of lung. Patient was admitted in intensive care unit. Laboratory evaluation showed hemoglobin of 9.4 g/dL (11–14), total leukocyte count 32.27 × 109/L (4–10 × 109) with 82% neutrophils, 11% lymphocytes, 7% monocytes, and platelets of 2.84 lakh/mm3, creatinine 1.1 mg/dL (0.5–1.5 mg/dL), and blood urea 102 mg/dL (15–40 mg/dL). Bilirubin of 4.11 mg/dL (0.5–1.5 mg/dL), serum glutamic oxaloacetic transaminase 54 U/L (0–40 U/L) and serum glutamic-pyruvic transaminase 40 U/L (0–45 U/L), random blood sugar 164 mg/dL, pH 7.20 (7.35–7.45), bicarbonate 16 mEq/L (22–26 mEq/L) and rest other investigations were within normal limits. Chest X-ray showed dense homogenous opacity in left hemithorax obscuring left costophrenic angle suggestive of left-sided pleural effusion.
| Fig. 1 (a) Photograph of erythematous bullous eruptions over feet. (b) Photograph of hand with skin excoriation with erythema after rupture bullous lesion. (c) Both eyelid skin excoriation. (d) Conjunctival hemorrhage. (e) Mucosal lesion of lips and tongue.
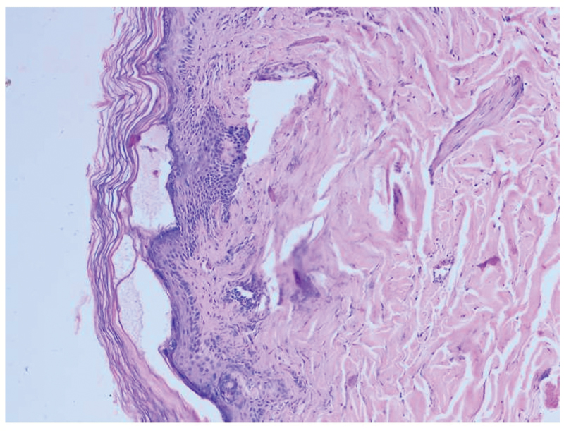
Punch biopsy taken from the lesions on the left forearm and left medial foot, on hematoxylin-eosin-stained specimen, light microscopy features suggested TEN ([Fig. 2]). Diagnosis of docetaxel-induced TEN was confirmed and managed with intravenous fluids, vasopressors, steroids, antibiotics, and total parenteral nutrition with hypothermia prevention. Secondary infection control and skin care were instituted. Unfortunately, patient died on the sixth day of hospitalization.
| Fig. 2 Biopsy images and pathology report: microscopic examination of the skin (hematoxylin and eosin stain) was performed. The punch biopsies from the edges of both lesions (left forearm and left medial foot) show similar morphologic features (1) orthokeratosis of epidermis, (2) follicular plugging, (3) subcorneal separation and small vesicle formation, (4) basal vacuolar changes, (5) superficial dermis shows perivascular lymphoplasmacytic infiltrate, (6) papillary dermis shows mild edematous changes, and (7) interstitium shows increased mast cells. The histologic features are consistent with toxic epidermal necrolysis/Stevens–Johnson's syndrome.
Discussion
Docetaxel a microtubule inhibitor got first approved in 1996 for the treatment of metastatic breast cancer patients who relapsed after anthracycline-based chemotherapy.[1] [2]
Side effects of docetaxel include neutropenia, anemia, thrombocytopenia, and minor rash to severe anaphylaxis reactions, which are reversible on stopping treatment. In literature, various skin reactions reported includes maculopapular drug rash, alopecia, nail hyperpigmentation and destruction, onycholysis, palmar–plantar erythrodysesthesia, cutaneous lupus and scleroderma,[3] photolichenoid eruption,[4] erythema multiforme major,[5] and persistent serpentine supravenous hyperpigmented eruption.[6]
Only a few cases of life-threatening TEN-like adverse reaction due to docetaxel have been reported till date.
As per Gell and Coombs system,[7] docetaxel causes delayed onset T-cell-mediated type IVc hypersensitivity reaction, and can occur days to weeks after exposure.
Immunophenotype study of lymphocytes in blister fluid of TEN lesions suggested a cell-mediated cytotoxic reaction against keratinocytes leading to apoptosis.[8] Further studies showed that cytotoxic T cells are drug specific, human leukocyte antigen (HLA) class I restricted, and directed against the native form of the drug rather than against a reactive metabolite.[8] [9] [10] [11] Drugs directly bind to major histocompatibility complex class I and the T cell receptor leading to stimulation the immune system, clonal expansion of drug-specific cytotoxic T cells, killing of keratinocytes via release of soluble death mediators, including granulysin.[12]
Drugs directly bind to the HLA class I peptide pouch,[13] and change the repertoire of peptides recognized as foreign[14] and make the HLA–drug complex recognized as foreign.
Medications are most common cause for TEN. TEN involves sloughing of more than 30% of the body surface area. It starts with malaise, fever, and involvement of mucous membranes in nearly all cases.[15] Toxic epidermal necrosis is distinguished from Stevens–Johnson's syndrome (SJS) by severity and percentage of involvement of body surface area.
The skin lesions, that is, erythematous macules, patches, and almost 50% of cases start with erythema lead to full-thickness epidermal necrosis and skin resembles that of extensive thermal injury as seen in our patient. TEN is a potential life-threatening adverse reaction with risk for complications such as secondary infections, dehydration renal, gastrointestinal involvement, and finally scarring with cosmetic and functional problems.
Anticancer medications reported to cause severe cutaneous adverse reactions (SJS and TEN), alkylating agents (treosulfan, chlorambucil, temozolomide, procarbazine), plant alkaloids (paclitaxel, docetaxel, etoposide), anthracyclines (doxorubicin), antimetabolites (methotrexate, cytarabine, fludarabine, gemcitabine), antitumor antibiotics (bleomycin), epidermal growth factor receptor inhibitor (afatinib, cetuximab, panitumumab), immune checkpoint inhibitors (nivolumab, pembrolizumab), etc.
Prevention of adverse effects can be with premedication, which can be started from a day before infusion up to 5 days. Once TEN is established, management involves multispecialty supportive care with critical care, skin specialist, plastic surgery, nutrition specialist and infectious disease physicians involved in fluid and electrolyte management, wound care, nutritional support, and treatment of superinfection. Data regarding use of corticosteroids are mixed, as their use may increase risk of sepsis in TEN.[16]
The Severity-of-Illness Score for Toxic Epidermal Necrolysis (SCORTEN) prognostic scoring system is applied to rapidly evaluate individual patient on admission. Overall mortality rates of 25 to 35% have been seen with TEN using SCORTEN prognostic scoring system which is used to determine prognosis on days 1 and 3 of hospitalization.[17]
Mortality rate (%) as follows:
0 to 1 = 3.2 % (confidence interval [CI]: 0.1–16.7)
2 = 12.1 % (CI: 5.4–22.5)
3 = 35.3 % (CI: 19.8–53.5)
4 = 58.3 % (CI: 36.6–77.9)
≥ 5 = > 90 % (CI: 55.5–99.8)
The SCORTEN score in our case was 5, which suggests > 90% risk of mortality. The occurrence of TEN after third cycle of docetaxel-based therapy in our case should caution us toward the rarity and unpredictability of this toxic reaction ([Table 1]).
- Sparano JA. Taxanes for breast cancer: an evidence-based review of randomized phase II and phase III trials. Clin Breast Cancer 2000; 1 (01) 32-40 , discussion 41–42
- Clarke SJ, Rivory LP. Clinical pharmacokinetics of docetaxel. Clin Pharmacokinet 1999; 36 (02) 99-114
- Chen M, Crowson AN, Woofter M, Luca MB, Magro CM. Docetaxel (Taxotere) induced subacute cutaneous lupus erythematosus: report of 4 cases. J Rheumatol 2004; 31 (04) 818-820
- Vasudevan B, Sawhney MP, Sharma N. Docetaxel-induced photolichenoid eruption. Indian J Pharmacol 2009; 41 (04) 203-204
- Moisidis C, Möbus V. Erythema multiforme major following docetaxel. Arch Gynecol Obstet 2005; 271 (03) 267-269
- Aydogan I, Kavak A, Parlak AH, Alper M, Annakkaya AN, Erbas M. Persistent serpentine supravenous hyperpigmented eruption associated with docetaxel. J Eur Acad Dermatol Venereol 2005; 19 (03) 345-347
- Pichler WJ. Delayed drug hypersensitivity reactions. Ann Intern Med 2003; 139 (08) 683-693
- Correia O, Delgado L, Ramos JP, Resende C, Torrinha JA. Cutaneous T-cell recruitment in toxic epidermal necrolysis. Further evidence of CD8+ lymphocyte involvement. Arch Dermatol 1993; 129 (04) 466-468
- Nassif A, Bensussan A, Boumsell L. et al. Toxic epidermal necrolysis: effector cells are drug-specific cytotoxic T cells. J Allergy Clin Immunol 2004; 114 (05) 1209-1215
- Wei CY, Chung WH, Huang HW, Chen YT, Hung SI. Direct interaction between HLA-B and carbamazepine activates T cells in patients with Stevens-Johnson syndrome. J Allergy Clin Immunol 2012; 129 (06) 1562-9.e5
- Roujeau JC, Bricard G, Nicolas JF. Drug-induced epidermal necrolysis: important new piece to end the puzzle. J Allergy Clin Immunol 2011; 128 (06) 1277-1278
- Ko TM, Chung WH, Wei CY. et al. Shared and restricted T-cell receptor use is crucial for carbamazepine-induced Stevens-Johnson syndrome. J Allergy Clin Immunol 2011; 128 (06) 1266-1276.e11
- Adam J, Wuillemin N, Watkins S. et al. Abacavir induced T cell reactivity from drug naïve individuals shares features of allo-immune responses. PLoS One 2014; 9 (04) e95339
- Ostrov DA, Grant BJ, Pompeu YA. et al. Drug hypersensitivity caused by alteration of the MHC-presented self-peptide repertoire. Proc Natl Acad Sci U S A 2012; 109 (25) 9959-9964
- Rasmussen JE. Toxic epidermal necrolysis. A review of 75 cases in children. Arch Dermatol 1975; 111 (09) 1135-1139
- Schneck J, Fagot JP, Sekula P, Sassolas B, Roujeau JC, Mockenhaupt M. Effects of treatments on the mortality of Stevens-Johnson syndrome and toxic epidermal necrolysis: a retrospective study on patients included in the prospective EuroSCAR Study. J Am Acad Dermatol 2008; 58 (01) 33-40
- Bastuji Garin S, Fouchard N, Bertocchi M, Roujeau JC, Revuz J, Wolkenstein P. SCORTEN: a severity-of-illness score for TEN. J Invest Dermatol 2000; 115: 149-153
Address for correspondence
Publication History
Article published online:
28 June 2022
© 2022. Indian Society of Medical and Paediatric Oncology. This is an open access article published by Thieme under the terms of the Creative Commons Attribution-NonDerivative-NonCommercial License, permitting copying and reproduction so long as the original work is given appropriate credit. Contents may not be used for commercial purposes, or adapted, remixed, transformed or built upon. (https://creativecommons.org/licenses/by-nc-nd/4.0/)
Thieme Medical and Scientific Publishers Pvt. Ltd.
A-12, 2nd Floor, Sector 2, Noida-201301 UP, India
| Fig. 1 (a) Photograph of erythematous bullous eruptions over feet. (b) Photograph of hand with skin excoriation with erythema after rupture bullous lesion. (c) Both eyelid skin excoriation. (d) Conjunctival hemorrhage. (e) Mucosal lesion of lips and tongue.
| Fig. 2 Biopsy images and pathology report: microscopic examination of the skin (hematoxylin and eosin stain) was performed. The punch biopsies from the edges of both lesions (left forearm and left medial foot) show similar morphologic features (1) orthokeratosis of epidermis, (2) follicular plugging, (3) subcorneal separation and small vesicle formation, (4) basal vacuolar changes, (5) superficial dermis shows perivascular lymphoplasmacytic infiltrate, (6) papillary dermis shows mild edematous changes, and (7) interstitium shows increased mast cells. The histologic features are consistent with toxic epidermal necrolysis/Stevens–Johnson's syndrome.
References
- Sparano JA. Taxanes for breast cancer: an evidence-based review of randomized phase II and phase III trials. Clin Breast Cancer 2000; 1 (01) 32-40 , discussion 41–42
- Clarke SJ, Rivory LP. Clinical pharmacokinetics of docetaxel. Clin Pharmacokinet 1999; 36 (02) 99-114
- Chen M, Crowson AN, Woofter M, Luca MB, Magro CM. Docetaxel (Taxotere) induced subacute cutaneous lupus erythematosus: report of 4 cases. J Rheumatol 2004; 31 (04) 818-820
- Vasudevan B, Sawhney MP, Sharma N. Docetaxel-induced photolichenoid eruption. Indian J Pharmacol 2009; 41 (04) 203-204
- Moisidis C, Möbus V. Erythema multiforme major following docetaxel. Arch Gynecol Obstet 2005; 271 (03) 267-269
- Aydogan I, Kavak A, Parlak AH, Alper M, Annakkaya AN, Erbas M. Persistent serpentine supravenous hyperpigmented eruption associated with docetaxel. J Eur Acad Dermatol Venereol 2005; 19 (03) 345-347
- Pichler WJ. Delayed drug hypersensitivity reactions. Ann Intern Med 2003; 139 (08) 683-693
- Correia O, Delgado L, Ramos JP, Resende C, Torrinha JA. Cutaneous T-cell recruitment in toxic epidermal necrolysis. Further evidence of CD8+ lymphocyte involvement. Arch Dermatol 1993; 129 (04) 466-468
- Nassif A, Bensussan A, Boumsell L. et al. Toxic epidermal necrolysis: effector cells are drug-specific cytotoxic T cells. J Allergy Clin Immunol 2004; 114 (05) 1209-1215
- Wei CY, Chung WH, Huang HW, Chen YT, Hung SI. Direct interaction between HLA-B and carbamazepine activates T cells in patients with Stevens-Johnson syndrome. J Allergy Clin Immunol 2012; 129 (06) 1562-9.e5
- Roujeau JC, Bricard G, Nicolas JF. Drug-induced epidermal necrolysis: important new piece to end the puzzle. J Allergy Clin Immunol 2011; 128 (06) 1277-1278
- Ko TM, Chung WH, Wei CY. et al. Shared and restricted T-cell receptor use is crucial for carbamazepine-induced Stevens-Johnson syndrome. J Allergy Clin Immunol 2011; 128 (06) 1266-1276.e11
- Adam J, Wuillemin N, Watkins S. et al. Abacavir induced T cell reactivity from drug naïve individuals shares features of allo-immune responses. PLoS One 2014; 9 (04) e95339
- Ostrov DA, Grant BJ, Pompeu YA. et al. Drug hypersensitivity caused by alteration of the MHC-presented self-peptide repertoire. Proc Natl Acad Sci U S A 2012; 109 (25) 9959-9964
- Rasmussen JE. Toxic epidermal necrolysis. A review of 75 cases in children. Arch Dermatol 1975; 111 (09) 1135-1139
- Schneck J, Fagot JP, Sekula P, Sassolas B, Roujeau JC, Mockenhaupt M. Effects of treatments on the mortality of Stevens-Johnson syndrome and toxic epidermal necrolysis: a retrospective study on patients included in the prospective EuroSCAR Study. J Am Acad Dermatol 2008; 58 (01) 33-40
- Bastuji Garin S, Fouchard N, Bertocchi M, Roujeau JC, Revuz J, Wolkenstein P. SCORTEN: a severity-of-illness score for TEN. J Invest Dermatol 2000; 115: 149-153
PDF
Views
Share

