A Rare Case Report of High-Grade Endometrial Stromal Sarcoma in a Seemingly Healthy Uterus of a Young Patient – Optimally Managed by Minimally Access Surgery
CC BY-NC-ND 4.0 ? Indian J Med Paediatr Oncol 2019; 40(S 01): S130-S132
DOI: DOI: 10.4103/ijmpo.ijmpo_184_17
Abstract
Endometrial stromal sarcomas (ESSs) are a rare entity, constituting 10% of all uterine sarcomas and 0.2% of all uterine malignancies. We report a very rare case of high-grade endometrial stromal sarcoma in a 34-year-old female with fibroids uterus diagnosed postlaparoscopic hysterectomy. Thereafter, laparoscopic paraaortic and pelvic lymphadenectomy and bilateral oophorectomy were done. The diagnosis of high-grade endometrial stromal sarcoma Stage 1A was made, with lymph nodes and ovaries free from the disease. The patient is undergoing chemoradiotherapy at present and is in a close follow-up with us. ESS should be included as differential diagnosis of abnormal uterine bleeding so that best possible management of the patient can be done.
Publication History
Article published online:
24 May 2021
? 2019. Indian Society of Medical and Paediatric Oncology. This is an open access article published by Thieme under the terms of the Creative Commons Attribution-NonDerivative-NonCommercial-License, permitting copying and reproduction so long as the original work is given appropriate credit. Contents may not be used for commercial purposes, or adapted, remixed, transformed or built upon. (https://creativecommons.org/licenses/by-nc-nd/4.0/).
Thieme Medical and Scientific Publishers Pvt. Ltd.
A-12, 2nd Floor, Sector 2, Noida-201301 UP, India
Abstract
Endometrial stromal sarcomas (ESSs) are a rare entity, constituting 10% of all uterine sarcomas and 0.2% of all uterine malignancies. We report a very rare case of high-grade endometrial stromal sarcoma in a 34-year-old female with fibroids uterus diagnosed postlaparoscopic hysterectomy. Thereafter, laparoscopic paraaortic and pelvic lymphadenectomy and bilateral oophorectomy were done. The diagnosis of high-grade endometrial stromal sarcoma Stage 1A was made, with lymph nodes and ovaries free from the disease. The patient is undergoing chemoradiotherapy at present and is in a close follow-up with us. ESS should be included as differential diagnosis of abnormal uterine bleeding so that best possible management of the patient can be done.
Introduction
Endometrial stromal tumors are divided into endometrial stromal nodule and endometrial stromal sarcomas (ESS), further divided into low-grade, high-grade, and undifferentiated stromal sarcomas. It is difficult to detect it preoperatively, and thus the diagnosis is usually, histopathological after the hysterectomy has been done for a clinically detected benign condition. The prognosis of the disease is largely based on the stage of the disease at presentation. However, ESS has a better life expectancy than other sarcomas. The treatment is surgical, and extent depends on the type and staging of the tumor. We, thus, report this case to highlight the incidental discovery of high-grade ESS in a young patient with a clinical of fibroids? uterus with abnormal uterine bleeding (AUB) and its optimal management laparoscopically.
Case Report
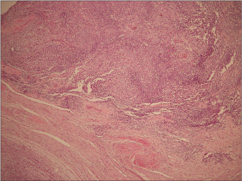
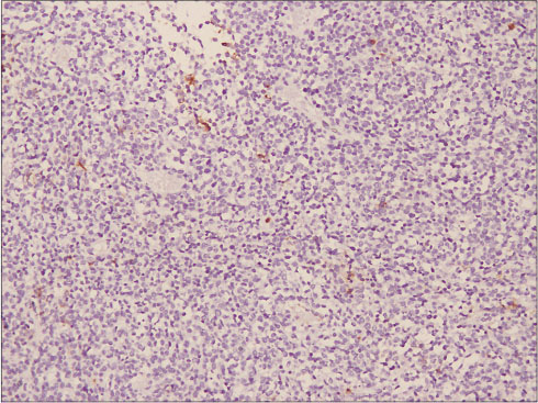
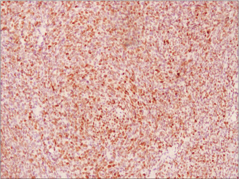
A 34-year-old female presented to us with increased bleeding per vaginum during her menstrual cycles associated with severe dysmenorrhea since 6 months. She was para 2, live 2, abortion 1. Her previous cycles were normal. She underwent endometrial biopsy outside 3 months back, and the histopathology reported as nonsecretory endometrium. She had failed medical management for AUB. On examination, her vitals were stable; general and systemic examination was within normal limits. Per abdomen examination revealed a soft abdomen with no mass or ascites. Speculum examination showed a healthy cervix and liquid-based cytology was reported as normal. On bimanual pelvic examination, uterus was anteverted, mobile, 12?14 weeks size. Ultrasound with Doppler flows revealed an anteverted bulky uterus of 10.2 cm ? 5.6 cm ? 4.1 cm with 14 mm ? 13 mm hypoechoic area suggestive of fibroid in the posterior wall of uterus not distorting the endometrial cavity. Endometrial thickness was 4 mm. Bilateral ovaries were normal. Doppler flows were within normal limits suggestive of benign lesion. The patient and her family were counseled and given various treatment options available for the management of her problem. They insisted on hysterectomy as a permanent treatment by laparoscopic approach. Patient was taken up for D/C followed by frozen section of endometrial curetting, total laparoscopic hysterectomy with bilateral salpingectomy with ovarian conservation. The frozen section revealed a benign endometrium. Intraoperative findings were a globular uterus, 14-week size with multiple seedling fibroids. On cut section of the specimen, cavity was regular. Myohyperplasia was present with multiple intramural small seedling fibroids with a single 2 cm ? 2 cm fibroid on the left posterior wall. Patient was discharged in a stable condition. Surprisingly, the histopathology report was suggestive of a single submucosal nodular lesion of 1.2 cm seen in the myometrium with infiltrative and focally permeative margins into myometrium [Figure 1]. Tumor showed discrete highly cellular high-grade round cell areas and hypocellular spindle cell component. The round cells had oval vesicular nuclei with irregular contours and focally prominent nucleoli with a moderate amount of eosinophilic cytoplasm. Hypocellular component showed fibromyxoid background with large bizarre cells with no increase in mitosis. Lymphovascular invasion was equivocal. On immunohistochemistry staining, the high-grade component was positive for Cyclin D1 and negative for CD10 [Figure 2] and [3]. Ki67 proliferation index was 15%?18%. The low-grade component was positive for CD10 and negative for Cyclin D1. Ki67 proliferation index was 1%?2%. HMB45 was negative for both the components.
|?Figure. 1? Low-power view showing intramyometrial cellular malignant neoplasm (H and E, ?40)
|?Figure. 2? Immunohistochemistry: photomicrograph showing tumor cells diffusely positive for Cyclin D1. (IHC, ?100)
|?Figure. 3? Immunohistochemistry: photomicrograph showing tumor cells to be negative for CD10 (IHC; ?100)
|?Figure. 4? Laparoscopic para-aortic lymphadenectomy
Hence, the diagnosis of high-grade ESS was made with endometrium in proliferative phase and chronic cervicitis with bilateral unremarkable fallopian tubes. The staging of tumor was pT1apNx0 pMx0. Patient and her relatives were informed about the diagnosis, and in consultation with oncologist, radical surgery was planned laparoscopically. Laparoscopic bilateral oophorectomy with pelvic and para-aortic lymph node excision [Figure 4] was done (total 28 lymph nodes were removed) after 4 weeks of primary surgery. The specimen was reported as free of tumor on histopathology. Patient is at present receiving chemoradiotherapy as advised by onco-physician, and till the time of reporting, patients are healthy and under close follow-up.{Figure 4}
Discussion
ESS is a rare mesenchymal tumor and is usually seen in the age group of 42?58 years.[1] Endometrial stromal nodule is a benign entity and can be cured by simple hysterectomy completely. Low-grade ESS has a metastatic potential. The mitosis in low-grade ESS is <3 href="https://www.thieme-connect.com/products/ejournals/html/10.4103/ijmpo.ijmpo_184_17#BR_2" xss=removed>2] The 5-year survival rate is <57 href="https://www.thieme-connect.com/products/ejournals/html/10.4103/ijmpo.ijmpo_184_17#JR_3" xss=removed>3] Undifferentiated ESS represents a high-grade sarcoma that lacks specific differentiation and has no histological resemblance to endometrial stroma. These are aggressive in nature with poor prognosis.
Hence, it is the need of the hour to report cases with ESS so that a proper management plan can be deciphered. About 90% of patients present with AUB and 70% present with uterine mass. In 40?ses, they present as an incidental finding similar to our case.[1]
The standard treatment for high-grade ESS is surgery. Total hysterectomy and bilateral salpingo-oophorectomy are recommended for all age groups.[4] There is a high rate of lymph node involvement in ESS. Almost 10% of those who underwent lymph node dissection had nodal metastasis, so lymphadenectomy is for both prognostic and therapeutic purpose.[5] Radiotherapy, chemotherapy, or tyrosine kinase inhibitors can be used as adjuvant therapy but shows limited relapse-free survival rate.[4]
In reviewing the literature, very few cases of high-grade ESS have been reported. Our case is unique in itself in many aspects.
Conclusion
ESS is considered rarely as a differential diagnosis in abnormal uterine bleeding in younger age due to the paucity of information in its diagnosis and management. Till now, laparotomy was considered as the only access to surgery in such cases, but a trained laparoscopic surgeon with expertise and adequate knowledge can easily manage such cases and ensure adequate clearance of the disease. Immunohistochemistry helps in definite diagnosis by expert pathologists so that the best possible management can be given to the patient.
Declaration of patient consent
The authors certify that they have obtained all appropriate patient consent forms. In the form the patient(s) has/have given his/her/their consent for his/her/their images and other clinical information to be reported in the journal. The patients understand that their names and initials will not be published and due efforts will be made to conceal their identity, but anonymity cannot be guaranteed.
Conflict of Interest
There are no conflicts of interest.
References
- Tavassoli FA, Devilee P. editors?Who Classification of Pathology and Genetics of Tumors of the Breast and Female Genital Organs. Lyon, France: IARC Press; 2003: 233-6
- Thway K, Fisher C.?Histopathological diagnostic discrepancies in soft tissue tumors referred to a specialist centre. Hindawi Publishing corporation; Sarcoma: 2009: 7
- Ducimeti?re F, Lurkin A, Ranch?re-Vince D, Decouvelaere AV, P?oc?h M, Istier L. et al.?Incidence of sarcoma histotypes and molecular subtypes in a prospective epidemiological study with central pathology review and molecular testing. PLoS One 2011; 6: e20294
- Uterine sarcoma treatment- health professional version. National cancer institute; 2015
- Chan JK, Kawar NM, Shin JY, Osann K, Chen LM, Powell CB. et al.?Endometrial stromal sarcoma: A population-based analysis. Br J Cancer 2008; 99: 1210-5
Address for correspondence
Publication History
Article published online:
24 May 2021
? 2019. Indian Society of Medical and Paediatric Oncology. This is an open access article published by Thieme under the terms of the Creative Commons Attribution-NonDerivative-NonCommercial-License, permitting copying and reproduction so long as the original work is given appropriate credit. Contents may not be used for commercial purposes, or adapted, remixed, transformed or built upon. (https://creativecommons.org/licenses/by-nc-nd/4.0/).
Thieme Medical and Scientific Publishers Pvt. Ltd.
A-12, 2nd Floor, Sector 2, Noida-201301 UP, India
|?Figure. 1? Low-power view showing intramyometrial cellular malignant neoplasm (H and E, ?40)
|?Figure. 2? Immunohistochemistry: photomicrograph showing tumor cells diffusely positive for Cyclin D1. (IHC, ?100)
|?Figure. 3? Immunohistochemistry: photomicrograph showing tumor cells to be negative for CD10 (IHC; ?100)
|?Figure. 4? Laparoscopic para-aortic lymphadenectomy
- Tavassoli FA, Devilee P. editors?Who Classification of Pathology and Genetics of Tumors of the Breast and Female Genital Organs. Lyon, France: IARC Press; 2003: 233-6
- Thway K, Fisher C.?Histopathological diagnostic discrepancies in soft tissue tumors referred to a specialist centre. Hindawi Publishing corporation; Sarcoma: 2009: 7
- Ducimeti?re F, Lurkin A, Ranch?re-Vince D, Decouvelaere AV, P?oc?h M, Istier L. et al.?Incidence of sarcoma histotypes and molecular subtypes in a prospective epidemiological study with central pathology review and molecular testing. PLoS One 2011; 6: e20294
- Uterine sarcoma treatment- health professional version. National cancer institute; 2015
- Chan JK, Kawar NM, Shin JY, Osann K, Chen LM, Powell CB. et al.?Endometrial stromal sarcoma: A population-based analysis. Br J Cancer 2008; 99: 1210-5
References
- Tavassoli FA, Devilee P. editors?Who Classification of Pathology and Genetics of Tumors of the Breast and Female Genital Organs. Lyon, France: IARC Press; 2003: 233-6
- Thway K, Fisher C.?Histopathological diagnostic discrepancies in soft tissue tumors referred to a specialist centre. Hindawi Publishing corporation; Sarcoma: 2009: 7
- Ducimeti?re F, Lurkin A, Ranch?re-Vince D, Decouvelaere AV, P?oc?h M, Istier L. et al.?Incidence of sarcoma histotypes and molecular subtypes in a prospective epidemiological study with central pathology review and molecular testing. PLoS One 2011; 6: e20294
- Uterine sarcoma treatment- health professional version. National cancer institute; 2015
- Chan JK, Kawar NM, Shin JY, Osann K, Chen LM, Powell CB. et al.?Endometrial stromal sarcoma: A population-based analysis. Br J Cancer 2008; 99: 1210-5
PDF
Views
Share

