Acute Pancreatitis Caused by Pemetrexed, Carboplatin, and Gemcitabine in a Patient with Lung Cancer: A Rare Case Report
CC BY-NC-ND 4.0 ? Indian J Med Paediatr Oncol 2019; 40(S 01): S133-S135
DOI: DOI: 10.4103/ijmpo.ijmpo_189_17
Abstract
Drug-induced pancreatitis is reported as one of the less common causes of acute pancreatitis. Many drugs such as sulfonamides, estrogens, tetracyclines, valproic acid, antiretroviral drugs, some chemotherapy drugs such as azathioprine, and 6 MP are known to cause acute pancreatitis. We report a case of acute pancreatitis following administration of chemotherapy for non-small cell lung cancer (NSCLC). The patient was diagnosed to have NSCLC (histologically proven adenocarcinoma). After thorough evaluation including radiological investigations consisting of a positron-emission tomography computed tomography scan, he was staged as a Stage III B NSCLC. As per protocol, he was started on combination chemotherapy with pemetrexed and carboplatin. After 2 weeks of chemotherapy, he developed acute pancreatitis which was managed conservatively. He was administered different drug combination during the next cycle involving gemcitabine and carboplatin. However, he developed recurrent acute pancreatitis which was managed conservatively. He was then referred to the radiotherapy department as it was deemed that he is at risk of recurrent episodes of pancreatitis if further cycles of chemotherapy are continued.
Publication History
Article published online:
24 May 2021
? 2019. Indian Society of Medical and Paediatric Oncology. This is an open access article published by Thieme under the terms of the Creative Commons Attribution-NonDerivative-NonCommercial-License, permitting copying and reproduction so long as the original work is given appropriate credit. Contents may not be used for commercial purposes, or adapted, remixed, transformed or built upon. (https://creativecommons.org/licenses/by-nc-nd/4.0/).
Thieme Medical and Scientific Publishers Pvt. Ltd.
A-12, 2nd Floor, Sector 2, Noida-201301 UP, India
Abstract
Drug-induced pancreatitis is reported as one of the less common causes of acute pancreatitis. Many drugs such as sulfonamides, estrogens, tetracyclines, valproic acid, antiretroviral drugs, some chemotherapy drugs such as azathioprine, and 6 MP are known to cause acute pancreatitis. We report a case of acute pancreatitis following administration of chemotherapy for non-small cell lung cancer (NSCLC). The patient was diagnosed to have NSCLC (histologically proven adenocarcinoma). After thorough evaluation including radiological investigations consisting of a positron-emission tomography computed tomography scan, he was staged as a Stage III B NSCLC. As per protocol, he was started on combination chemotherapy with pemetrexed and carboplatin. After 2 weeks of chemotherapy, he developed acute pancreatitis which was managed conservatively. He was administered different drug combination during the next cycle involving gemcitabine and carboplatin. However, he developed recurrent acute pancreatitis which was managed conservatively. He was then referred to the radiotherapy department as it was deemed that he is at risk of recurrent episodes of pancreatitis if further cycles of chemotherapy are continued.
Introduction
Acute pancreatitis is a common cause of acute abdomen, usually seen by the emergency physicians. The condition usually manifests with symptoms of severe upper abdominal pain radiating to back, nausea, vomiting, and fever. The most common causes of acute pancreatitis include alcoholism, gallstones, hypertriglyceridemia, and drugs. Drug-induced pancreatitis is one of the rarer causes of acute pancreatitis.[1] Many chemotherapy drugs are known to cause acute pancreatitis. Common causes include azathioprine 6 MP, capecitabine, paclitaxel, vinorelbine, and ifosfamide.[2] [3] [4] [5] [6] [7] Many other anticancer drugs have been found to produce acute pancreatitis including newer agents such as nivolumab and ipilimumab.[8]
Case Report
A 60-year-old male presented to HealthCare Global Hospital, Bengaluru, (India), with complaints of dry cough of 5-month duration. There was a gradual increase in the intensity of cough over 5 months. The patient was a known hypertensive and was on regular antihypertensive medications for the past 5 years. He had a performance status of 1/5 according to the Eastern Cooperative Oncology Group scale of performance status. A CT scan was performed elsewhere had revealed a mass in the anterior segment of left upper lobe of the lung. A PET-CT scan was performed our hospital revealed 6 cm ? 4.3 cm ? 4.1 cm metabolically active enhancing lesion in the anterior segment of left upper lobe infiltrating mediastinum, inferior vena cava, and anterior pleura. There were also enlarged left hilar, aortopulmonary window, subcarinal, and paratracheal lymph nodes. According to the TNM staging system, the patient was diagnosed to have IIIB disease. A lung biopsy was done and histopathological examination revealed features suggestive of non-small cell lung cancer favoring adenocarcinoma. Investigations to detect EGFR mutations were sent. A chemotherapy regimen consisting of Inj Pemetrexed 500 mg/m 2 and Inj Carboplatin AUC 5 Q 21 days for four cycles was planned. The patient received his first cycle of chemotherapy on June 29, 2017. After 2 weeks following the first cycle on July 13, 2017, the patient presented to emergency with severe upper abdominal pain radiating to back and several episodes of vomiting. Investigations revealed increased amylase levels (1807) and lipase levels (10719) [Table 1]. Causes of acute pancreatitis such as alcoholism, gallstones, hypertriglyceridemia, and biliary interventions were ruled out by detailed history, examination, and necessary investigations. He was treated with intravenous fluids, antacids, analgesics, and other supportive measures. He was treated conservatively. Necessary imaging studies were performed which revealed uncomplicated nature of acute pancreatitis. After about 5 days of treatment, the patient recovered symptomatically and also lipase levels reverted to normal levels. Since no etiology could be found despite extensive investigations, it was presumed that acute pancreatitis could have been secondary to chemotherapy. Hence, it was decided to exclude pemetrexed from subsequent cycles.
|
1st cycle |
3rd cycle |
|||
|---|---|---|---|---|
|
15st day |
20th day |
3rd day |
8th day |
|
|
Amylase |
1807 |
100 |
3108 |
96 |
|
Lipase |
10,719 |
218 |
37,872 |
196 |
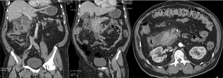
|?Figure. 1? The head of pancreas is bulky with moderate peripancreatic fat stranding, multiple heterogeneous attenuating peripancreatic, and paraduodenal areas with focal internal fat attenuation?suggestive of acute focal pancreatitis with multiple peripancreatic and paraduodenal necrotic collections. There was no evidence of ascites or vascular complications. The modified computed tomography severity index was four|
Discussion
Drug-induced acute pancreatitis is a well-known and well-documented entity. Usually, it is a diagnosis of exclusion and diagnosis is made after excluding all other causes of acute pancreatitis. Chemotherapy-induced acute pancreatitis is rare and has been documented with few drugs.
In our patient, the predisposing factors were obesity and male gender.[9] He developed acute pancreatitis after a latent period of about 2 weeks following chemotherapy in the first episode and about 3 days following chemotherapy in the second episode. This latency period is consistent with the published data regarding the same.[10] [11] The patient also had mild pancreatitis which resolved with conservative measures; however, he requires long-term follow-up to observe for development for complications such as pancreatic pseudocyst.
Pemetrexed has been shown cause acute pancreatitis in some postmarketing surveillance reports. There are few case reports and case series reporting acute pancreatitis with platinum agents. Oxaliplatin and cisplatin appeared to produce acute pancreatitis more than carboplatin. In fact, only one case of a patient with breast cancer treated with carboplatin developing acute pancreatitis has been reported.[12] There has been one case report of acute pancreatitis developing following administration of gemcitabine and cisplatin combination chemotherapy.[13] Our patient appeared to have developed acute pancreatitis following administration of all three agents, namely pemetrexed, carboplatin, and gemcitabine. Ours is the first reported case revealing acute pancreatitis following pemetrexed and the second reported case following carboplatin and gemcitabine.
Conclusions
Although some chemotherapy agents are implicated in the development of acute pancreatitis commonly such as capecitabine, paclitaxel, vinorelbine, azathioprine, and L-asparaginase, there are other agents which can rarely cause this dreaded condition. Pemetrexed, carboplatin, and gemcitabine are few such agents. There should be a high index of suspicion when diagnosing acute pancreatitis caused by these agents. Care should also be taken to rule out other major causes of acute pancreatitis before attributing the etiology to the chemotherapeutic agent.
Conflict of Interest
There are no conflicts of interest.
- McArthur KE.?Review article: Drug-induced pancreatitis. Aliment Pharmacol Ther 1996; 10: 23-38
- Jones KL, Valero V.?Capecitabine-induced pancreatitis. Pharmacotherapy 2003; 23: 1076-8
- Yucel H, Warmerdam LV.?Capecitabine-induced pancreatitis. J Oncol Pharm Pract 2010; 16: 133-4
- Kumar DM, Sundar S, Vasanthan S.?A case of paclitaxel-induced pancreatitis. Clin Oncol (R Coll Radiol) 2003; 15: 35
- Elouni B, Ben Salem C, Zamy M, Sakhri J, Bouraoui K, Biour M. et al.?Bortezomib-induced acute pancreatitis. JOP 2010; 11: 275-6
- Solakoglu T, Akyol P, Guney T, Dilek I, Atalay R, Koseoglu H. et al.?Acute pancreatitis caused by bortezomib. Pancreatology 2013; 13: 189-90
- Garg R, Agarwala S, Bhatnagar V.?Acute pancreatitis induced by ifosfamide therapy. J Pediatr Surg 2010; 45: 2071-3
- Banks PA, Bollen TL, Dervenis C, Gooszen HG, Johnson CD, Sarr MG. et al.?Classification of acute pancreatitis?2012: Revision of the Atlanta classification and definitions by international consensus. Gut 2013; 62: 102-11
- Mart?nez J, S?nchez-Pay? J, Palaz?n JM, Suazo-Barahona J, Robles-D?az G, P?rez-Mateo M. et al.?Is obesity a risk factor in acute pancreatitis? A meta-analysis. Pancreatology 2004; 4: 42-8
- Monami M, Dicembrini I, Martelli D, Mannucci E.?Safety of dipeptidyl peptidase-4 inhibitors: A meta-analysis of randomized clinical trials. Curr Med Res Opin 2011; 27 (03) Suppl 57-64
- Tenner S, Steinberg WM.?Acute pancreatitis. In: Feldman M, Friedman LS, Brandt LJ. editors Sleisenger and Fordtran?s Gastrointestinal and Liver Disease. 9th ed. St. Louis, MO: Saunders; 2010
- Nashwan AJ, Yassin MA, Nair SL.?Acute pancreatitis-induced by platinum compounds in patients with cancer: A review of the literature. Int J Basic Clin Pharmacol 2015; 4: 191-4
- Bilir C, Engin H, Ustun H, Ustundag Y.?Gemcitabine cisplatin induced acute pancreatitis: A case report. Health Med 2012; 6: 1863-4
Address for correspondence
Publication History
Article published online:
24 May 2021
? 2019. Indian Society of Medical and Paediatric Oncology. This is an open access article published by Thieme under the terms of the Creative Commons Attribution-NonDerivative-NonCommercial-License, permitting copying and reproduction so long as the original work is given appropriate credit. Contents may not be used for commercial purposes, or adapted, remixed, transformed or built upon. (https://creativecommons.org/licenses/by-nc-nd/4.0/).
Thieme Medical and Scientific Publishers Pvt. Ltd.
A-12, 2nd Floor, Sector 2, Noida-201301 UP, India
|?Figure. 1? The head of pancreas is bulky with moderate peripancreatic fat stranding, multiple heterogeneous attenuating peripancreatic, and paraduodenal areas with focal internal fat attenuation?suggestive of acute focal pancreatitis with multiple peripancreatic and paraduodenal necrotic collections. There was no evidence of ascites or vascular complications. The modified computed tomography severity index was four|
References
- McArthur KE.?Review article: Drug-induced pancreatitis. Aliment Pharmacol Ther 1996; 10: 23-38
- Jones KL, Valero V.?Capecitabine-induced pancreatitis. Pharmacotherapy 2003; 23: 1076-8
- Yucel H, Warmerdam LV.?Capecitabine-induced pancreatitis. J Oncol Pharm Pract 2010; 16: 133-4
- Kumar DM, Sundar S, Vasanthan S.?A case of paclitaxel-induced pancreatitis. Clin Oncol (R Coll Radiol) 2003; 15: 35
- Elouni B, Ben Salem C, Zamy M, Sakhri J, Bouraoui K, Biour M. et al.?Bortezomib-induced acute pancreatitis. JOP 2010; 11: 275-6
- Solakoglu T, Akyol P, Guney T, Dilek I, Atalay R, Koseoglu H. et al.?Acute pancreatitis caused by bortezomib. Pancreatology 2013; 13: 189-90
- Garg R, Agarwala S, Bhatnagar V.?Acute pancreatitis induced by ifosfamide therapy. J Pediatr Surg 2010; 45: 2071-3
- Banks PA, Bollen TL, Dervenis C, Gooszen HG, Johnson CD, Sarr MG. et al.?Classification of acute pancreatitis?2012: Revision of the Atlanta classification and definitions by international consensus. Gut 2013; 62: 102-11
- Mart?nez J, S?nchez-Pay? J, Palaz?n JM, Suazo-Barahona J, Robles-D?az G, P?rez-Mateo M. et al.?Is obesity a risk factor in acute pancreatitis? A meta-analysis. Pancreatology 2004; 4: 42-8
- Monami M, Dicembrini I, Martelli D, Mannucci E.?Safety of dipeptidyl peptidase-4 inhibitors: A meta-analysis of randomized clinical trials. Curr Med Res Opin 2011; 27 (03) Suppl 57-64
- Tenner S, Steinberg WM.?Acute pancreatitis. In: Feldman M, Friedman LS, Brandt LJ. editors Sleisenger and Fordtran?s Gastrointestinal and Liver Disease. 9th ed. St. Louis, MO: Saunders; 2010
- Nashwan AJ, Yassin MA, Nair SL.?Acute pancreatitis-induced by platinum compounds in patients with cancer: A review of the literature. Int J Basic Clin Pharmacol 2015; 4: 191-4
- Bilir C, Engin H, Ustun H, Ustundag Y.?Gemcitabine cisplatin induced acute pancreatitis: A case report. Health Med 2012; 6: 1863-4
PDF
Views
Share

