Alveolar Soft-part Sarcoma on the Abdominal Wall in an Adult: A Rare Presentation with Cytological and Histological Correlation
CC BY-NC-ND 4.0 · Indian J Med Paediatr Oncol 2019; 40(02): 309-310
DOI: DOI: 10.4103/ijmpo.ijmpo_95_18
Sir,
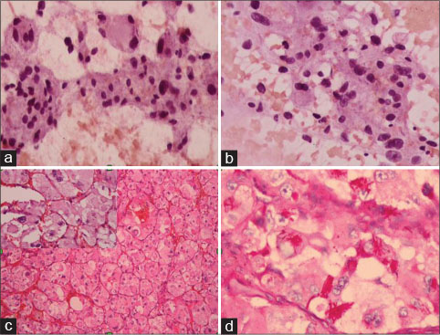
We report a case of a male patient who presented with a painless swelling in the abdomen noticed 6 months back, with sudden increase in size over the past 3 months. On examination, there was a firm swelling of size 8 cm × 6 cm in the left hypochondrium, in the intramuscular plane. Contrast-enhanced computed tomography revealed a well-defined solid mass lesion with central hypodensity and heterogeneously intense postcontrast enhancement within the rectus abdominis muscle in the supraumbilical region. Imaging features suggested the possibility of a neurogenic tumor. Fine-needle aspiration revealed loose aggregate and dispersed large cells with eccentric nuclei, prominent nucleoli, and abundant granular cytoplasm [Figure 1a] and [b]. Many bare nuclei were seen. With the differential diagnosis of alveolar soft-part sarcoma (ASPS) and granular cell tumor, a wide excision was done to remove the tumor.
| Figure 1 (a) Smear showing loose clusters of large cells with abundant granular cytoplasm (H and E, ×10). (b) High-power image showing frayed cytoplasm and large nuclei with nucleoli (H and E, ×40). (c) histology showing large cells in nests with delicate septa (H and E, ×10); inset showing granular cytoplasm, large nuclei, and prominent nucleoli (H and E, ×40). (d) Intracytoplasmic rod-like crystals (Periodic acid–Schiff with diastase, ×40)
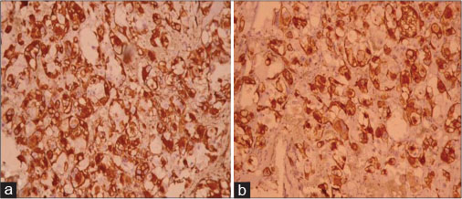
The specimen showed a circumscribed soft reddish-brown tumor of size 6.2 cm × 5.7 cm × 3.3 cm. Histology revealed large polygonal cells in nests and organoid pattern with delicate septa. The cells had abundant eosinophilic granular cytoplasm, eccentric round nuclei, and prominent nucleoli [Figure 1c]. Nuclear atypia, tumor giant cells, multinucleation, and extensive lymphovascular emboli were present. Periodic acid–Schiff (PAS) and PAS with diastase revealed tumor cells with intracellular crystalline material [Figure 1d]. The tumor sections were subjected to a panel of immunohistochemical markers including vimentin, desmin, pancytokeratin, chromogranin, CD10, myogenin, NSE, S-100, and Ki-67. The tumor cells were positive to vimentin [Figure 2a] and desmin [Figure 2b]. The other immunohistochemical markers were negative. These morphological and immunohistochemical features favored the diagnosis of ASPS.
| Figure 2 Tumor cells showing positivity to vimentin (×40). (b) Tumor cells with desmin positivity (×40)
Publication History
Article published online:
03 June 2021
© 2019. Indian Society of Medical and Paediatric Oncology. This is an open access article published by Thieme under the terms of the Creative Commons Attribution-NonDerivative-NonCommercial-License, permitting copying and reproduction so long as the original work is given appropriate credit. Contents may not be used for commercial purposes, or adapted, remixed, transformed or built upon. (https://creativecommons.org/licenses/by-nc-nd/4.0/).
Thieme Medical and Scientific Publishers Pvt. Ltd.
A-12, 2nd Floor, Sector 2, Noida-201301 UP, India
Sir,
We report a case of a male patient who presented with a painless swelling in the abdomen noticed 6 months back, with sudden increase in size over the past 3 months. On examination, there was a firm swelling of size 8 cm × 6 cm in the left hypochondrium, in the intramuscular plane. Contrast-enhanced computed tomography revealed a well-defined solid mass lesion with central hypodensity and heterogeneously intense postcontrast enhancement within the rectus abdominis muscle in the supraumbilical region. Imaging features suggested the possibility of a neurogenic tumor. Fine-needle aspiration revealed loose aggregate and dispersed large cells with eccentric nuclei, prominent nucleoli, and abundant granular cytoplasm [Figure 1a] and [b]. Many bare nuclei were seen. With the differential diagnosis of alveolar soft-part sarcoma (ASPS) and granular cell tumor, a wide excision was done to remove the tumor.
| Figure 1 (a) Smear showing loose clusters of large cells with abundant granular cytoplasm (H and E, ×10). (b) High-power image showing frayed cytoplasm and large nuclei with nucleoli (H and E, ×40). (c) histology showing large cells in nests with delicate septa (H and E, ×10); inset showing granular cytoplasm, large nuclei, and prominent nucleoli (H and E, ×40). (d) Intracytoplasmic rod-like crystals (Periodic acid–Schiff with diastase, ×40)
The specimen showed a circumscribed soft reddish-brown tumor of size 6.2 cm × 5.7 cm × 3.3 cm. Histology revealed large polygonal cells in nests and organoid pattern with delicate septa. The cells had abundant eosinophilic granular cytoplasm, eccentric round nuclei, and prominent nucleoli [Figure 1c]. Nuclear atypia, tumor giant cells, multinucleation, and extensive lymphovascular emboli were present. Periodic acid–Schiff (PAS) and PAS with diastase revealed tumor cells with intracellular crystalline material [Figure 1d]. The tumor sections were subjected to a panel of immunohistochemical markers including vimentin, desmin, pancytokeratin, chromogranin, CD10, myogenin, NSE, S-100, and Ki-67. The tumor cells were positive to vimentin [Figure 2a] and desmin [Figure 2b]. The other immunohistochemical markers were negative. These morphological and immunohistochemical features favored the diagnosis of ASPS.
| Figure 2 Tumor cells showing positivity to vimentin (×40). (b) Tumor cells with desmin positivity (×40)
Discussion
ASPS is a slow-growing malignant soft-tissue tumor of uncertain origin and usually occurs in young adults. It accounts for 1% of all soft-tissue sarcomas [1] [2] with female preponderance. It is seen in the deep soft tissues of thigh or buttock in adults and the head and neck region, especially tongue and orbit, in children.[1] [2] Jia et al. described ASPS on the abdominal wall in a 2-year-old child.[3]
Aspiration smears will show large dyscohesive monotonous cells, having abundant fine vacuolated to granular cytoplasm and round nuclei with prominent nucleoli. Stripped nuclei and fraying of the cytoplasmic margins are quite common. ASPS shows distinctive histomorphology of organoid or nesting pattern at low magnification, separated by delicate vasculature. Loss of cellular cohesion of the centrally located cells in nests results in pseudoalveolar pattern.[1] [4] The neoplastic cells show distinct cell borders, granular cytoplasm, and central nuclei with prominent nucleoli. Multinucleation and atypia can be seen. Faint intracytoplasmic rod-shaped inclusions and granules seen in hematoxylin and eosin stain; highlighted by PAS stain after diastase digestion as rod like crystals is very characteristic.[1] [2] [4] The differentials to be considered are granular cell tumor, metastatic renal cell carcinoma, and clear-cell sarcoma of soft parts [Table 1].[5] [6]
|
Alveolar soft-part sarcoma |
Clear cell sarcoma |
Renal cell carcinoma |
Granular cell tumor |
|
|---|---|---|---|---|
|
IHC - Immunohistochemistry; + - Positive; - - Negative; TFE3 - Transcription factor binding to IGHM enhancer3; HMB-45 - Human melanoma black; EMA - Epithelial membrane antigen |
||||
|
Histology |
Pseudo-alveolar pattern Granular cytoplasm |
Alveolar pattern Clear cytoplasm |
Alveolar pattern Clear cytoplasm |
Sheets and nests |
|
Dense granular cytoplasm |
||||
|
Periodic acid-Schiff stain |
Intracytoplasmic rod-like crystals |
Positive due to cytoplasmic glycogen |
Positive due to cytoplasmic glycogen |
Positive due to cytoplasmic phagolysosomes |
|
Electron microscopy |
Membrane bound rhomboid crystals |
Melanosomes with barrel stave internal structure |
Long microvilli and abundant cell junctions |
Autophagic vacuoles |
|
IHC |
||||
|
Vimentin |
++ |
++ |
++ |
++ |
|
Desmin |
+ |
- |
- |
- |
|
TFE3 |
++ |
- |
- |
- |
|
S-100 |
+/- |
++ |
+/- |
++ |
|
HMB-45 |
- |
++ |
- |
- |
|
CD68 |
- |
- |
- |
++ |
|
EMA |
- |
- |
++ |
- |
|
CD10 |
- |
- |
++ |
- |
|
Molecular studies |
der(17)t(X; 17)(p11;25) ASPSCR1-TFE3 fusion transcript |
t(12;22)(q13;q12) |
VHL gene mutation |
t(12;22)(q13;q12) |
- Ordonez NG, Ladanyi M. Alveolar soft part sarcoma. In: Fletcher CD, Bridge JA, Hogendoorn PC, Mertens F. editors WHO Classification of Tumours of Soft tissue and Bone. 4th ed. Lyon: International Agency for Research on Cancer; 2013: 218-20
- Weiss SW, Goldblum JR. editors Malignant soft tissue tumors of uncertain type. In: Enzinger and Weiss's Soft Tissue Tumors. 4th ed. St. Louis: Mosby; 2001: 1509-21
- Jia Y, Wu D, Shang C, Yu J, Zhang KR. Alveolar soft part sarcoma occurring on the abdominal wall of a 2-year-old child. J Pediatr Hematol Oncol 2011; 33: e80-2
- Folpe AL, Deyrup AT. Alveolar soft-part sarcoma: A review and update. J Clin Pathol 2006; 59: 1127-32
- Majumdar K, Saran R, Tyagi I, Jain A, Jagetia A, Sinha S. Cytodiagnosis of alveolar soft part sarcoma: Report of two cases with special emphasis on the first orbital lesion diagnosed by aspiration cytology. J Cytol 2013; 30: 58-61
- Wakely Jr. PE, McDermott JE, Ali SZ. Cytopathology of alveolar soft part sarcoma: A report of 10 cases. Cancer 2009; 117: 500-7
Address for correspondence
Publication History
Article published online:
03 June 2021
© 2019. Indian Society of Medical and Paediatric Oncology. This is an open access article published by Thieme under the terms of the Creative Commons Attribution-NonDerivative-NonCommercial-License, permitting copying and reproduction so long as the original work is given appropriate credit. Contents may not be used for commercial purposes, or adapted, remixed, transformed or built upon. (https://creativecommons.org/licenses/by-nc-nd/4.0/).
Thieme Medical and Scientific Publishers Pvt. Ltd.
A-12, 2nd Floor, Sector 2, Noida-201301 UP, India
| Figure 1 (a) Smear showing loose clusters of large cells with abundant granular cytoplasm (H and E, ×10). (b) High-power image showing frayed cytoplasm and large nuclei with nucleoli (H and E, ×40). (c) histology showing large cells in nests with delicate septa (H and E, ×10); inset showing granular cytoplasm, large nuclei, and prominent nucleoli (H and E, ×40). (d) Intracytoplasmic rod-like crystals (Periodic acid–Schiff with diastase, ×40)
| Figure 2 Tumor cells showing positivity to vimentin (×40). (b) Tumor cells with desmin positivity (×40)
- Ordonez NG, Ladanyi M. Alveolar soft part sarcoma. In: Fletcher CD, Bridge JA, Hogendoorn PC, Mertens F. editors WHO Classification of Tumours of Soft tissue and Bone. 4th ed. Lyon: International Agency for Research on Cancer; 2013: 218-20
- Weiss SW, Goldblum JR. editors Malignant soft tissue tumors of uncertain type. In: Enzinger and Weiss's Soft Tissue Tumors. 4th ed. St. Louis: Mosby; 2001: 1509-21
- Jia Y, Wu D, Shang C, Yu J, Zhang KR. Alveolar soft part sarcoma occurring on the abdominal wall of a 2-year-old child. J Pediatr Hematol Oncol 2011; 33: e80-2
- Folpe AL, Deyrup AT. Alveolar soft-part sarcoma: A review and update. J Clin Pathol 2006; 59: 1127-32
- Majumdar K, Saran R, Tyagi I, Jain A, Jagetia A, Sinha S. Cytodiagnosis of alveolar soft part sarcoma: Report of two cases with special emphasis on the first orbital lesion diagnosed by aspiration cytology. J Cytol 2013; 30: 58-61
- Wakely Jr. PE, McDermott JE, Ali SZ. Cytopathology of alveolar soft part sarcoma: A report of 10 cases. Cancer 2009; 117: 500-7
PDF
Views
Share

