An Approach to Nodal T- and NK-Cell Lymphomas—A Systemic Review
CC BY 4.0 · Indian J Med Paediatr Oncol 2023; 44(05): 534-542
DOI: DOI: 10.1055/s-0043-1772192
Abstract
T-cell lymphomas are rare neoplasms that have complex pathology. The multiparameter approach has been recommended by World Health Organization (WHO) for the classification of T-cell lymphomas taking into account morphology, immunophenotype, genetics, and clinical features. This also includes division established on the possible cell-of-origin (COO) from T regulatory or T-follicular helper (TFH) cells. The recent WHO-HAEM5 has classified entities as precursor T-lymphoblastic neoplasms, mature T-cell neoplasms, Epstein-Barr virus (EBV)-related T- and NK/T-cell lymphomas, and tumor-like lesions with T-cells predominance. Distinct entities have been recognized within the anaplastic large cell lymphoma (ALCL) family founded on the status of anaplastic lymphoma kinase (ALK) gene rearrangement: ALK-positive and molecularly heterogeneous ALK-negative. The family of lymphomas arising from TFH cells consists of three distinct nodal TFH cell lymphoma entities: angioimmunoblastic-type, follicular-type, and not otherwise specified. These three entities show significant clinical and immunophenotypic overlap. The cases that do not qualify for ALCL or nodal TFH cell lymphomas are labelled as peripheral T-cell lymphomas-not otherwise specified after ruling out nodal EBV-positive T- and NK- cell lymphoma. The new category termed tumor-like lesions with T cell predominance has a high chance to be misdiagnosed as lymphoma. This category includes entities such as Kikuchi-Fujimoto disease, indolent T-lymphoblastic proliferation, and autoimmune lymphoproliferative syndrome. For pathologists, diagnosing nodal T-cell lymphomas may be thought-provoking due to their broad histopathologic spectrum that mimics reactive as well as other neoplastic processes. This review provides a comprehensive diagnostic criterion of the most commonly encountered nodal T-cell and NK cell lymphomas in day-to-day training and an algorithmic approach.
Publication History
Article published online:
17 August 2023
© 2023. The Author(s). This is an open access article published by Thieme under the terms of the Creative Commons Attribution License, permitting unrestricted use, distribution, and reproduction so long as the original work is properly cited. (https://creativecommons.org/licenses/by/4.0/)
Thieme Medical and Scientific Publishers Pvt. Ltd.
A-12, 2nd Floor, Sector 2, Noida-201301 UP, India
Abstract
T-cell lymphomas are rare neoplasms that have complex pathology. The multiparameter approach has been recommended by World Health Organization (WHO) for the classification of T-cell lymphomas taking into account morphology, immunophenotype, genetics, and clinical features. This also includes division established on the possible cell-of-origin (COO) from T regulatory or T-follicular helper (TFH) cells. The recent WHO-HAEM5 has classified entities as precursor T-lymphoblastic neoplasms, mature T-cell neoplasms, Epstein-Barr virus (EBV)-related T- and NK/T-cell lymphomas, and tumor-like lesions with T-cells predominance. Distinct entities have been recognized within the anaplastic large cell lymphoma (ALCL) family founded on the status of anaplastic lymphoma kinase (ALK) gene rearrangement: ALK-positive and molecularly heterogeneous ALK-negative. The family of lymphomas arising from TFH cells consists of three distinct nodal TFH cell lymphoma entities: angioimmunoblastic-type, follicular-type, and not otherwise specified. These three entities show significant clinical and immunophenotypic overlap. The cases that do not qualify for ALCL or nodal TFH cell lymphomas are labelled as peripheral T-cell lymphomas-not otherwise specified after ruling out nodal EBV-positive T- and NK- cell lymphoma. The new category termed tumor-like lesions with T cell predominance has a high chance to be misdiagnosed as lymphoma. This category includes entities such as Kikuchi-Fujimoto disease, indolent T-lymphoblastic proliferation, and autoimmune lymphoproliferative syndrome. For pathologists, diagnosing nodal T-cell lymphomas may be thought-provoking due to their broad histopathologic spectrum that mimics reactive as well as other neoplastic processes. This review provides a comprehensive diagnostic criterion of the most commonly encountered nodal T-cell and NK cell lymphomas in day-to-day training and an algorithmic approach.
Keywords
pathology - T-cell lymphoma - NK cell lymphomas - T-follicular helper cells - WHO-HAEM5Introduction
The nodal T-cell lymphoma classification is difficult because of its rarity and broad spectrum of pathological aspects. T-cells are derived from their precursors in the bone marrow and attain maturation in the thymus.[1] The thymocytes mature in the medulla and acquire either surface CD4 or CD8. These mature thymocytes migrate to peripheral lymph nodes and extranodal regions (spleen, gastrointestinal tract, skin, etc.) and participate in adaptive and innate immune responses. Most nodal and extranodal T-cell lymphomas are derived from T cells of the adaptive and innate immune systems, respectively.[2] Mature T-cell lymphomas, both nodal and extranodal, comprise only 10-% of all non-Hodgkin lymphomas (NHLs).[3] Recently, a new World Health Organization (WHO) classification of lymphomas has listed many distinct entities derived from T-cells.[4] The focus of this review is to provide an inclusive approach to the diagnostic morphological features and clinicopathological features of the most commonly encountered nodal T-cell lymphomas ([Table 1]).
|
A) Mature T-cell lymphomas a) Anaplastic large cell lymphoma (ALCL): • Anaplastic lymphoma kinase (ALK)-positive ALCL • ALK-negative ALCL • Breast implant-associated ALCL b) Nodal T-follicular helper (TFH) cell lymphoma: • Nodal TFH cell lymphoma, angioimmunoblastic type • Nodal TFH cell lymphoma, follicular type • Nodal TFH cell lymphoma, not otherwise specified (NOS) c) Peripheral T-cell lymphoma, not otherwise specified d) Epstein-Barr virus (EBV)-positive nodal T- and natural killer (NK)-cell lymphoma B) Precursor T-cell neoplasms • T-cell lymphoblastic leukemia/lymphoma, NOS C) Tumor-like lesions with T-cell predominance • Kikuchi-Fujimoto disease • Indolent T-cell lymphoblastic proliferation • Autoimmune lymphoproliferative syndrome |
| Fig 1 :Anaplastic lymphoma kinase (ALK) positive, anaplastic large cell lymphoma—(A) Large hallmark cells with a pleomorphic, horseshoe, or wreath-shaped nucleus and abundant cytoplasm, (B) CD30 expression with a membranous and perinuclear (Golgi) pattern, (C) Nuclear and cytoplasmic ALK expression, (D) cytoplasmic ALK expression. ALK negative, anaplastic large cell lymphoma—(E) Hallmark cells along with doughnut cells, (F) negative for ALK expression. (G) On fluorescence in situ hybridization, the IRF4-DUSP22 dual color break apart probe shows one normal fused signal and one split green-orange signal indicating translocation affecting the DUSP22 locus, (H) ALK-ve ALCL showing nuclear expression for P63.
Immunophenotype: All ALCLs show expression for CD45 (variable) and CD30 (diffuse, strong, membranous, and perinuclear Golgi) ([Fig. 1B]). Sometimes, it is termed a “null” immunophenotype as the neoplastic cells show a defect in the TCR/ CD3 complex expression and lack expression for T cell antigens. Among pan T cell immunomarkers, more than 75-% of cases are negative for CD3. CD5 and CD7 immunostains are not expressed often, whereas CD2 and CD4 expression is noted in some cases. ALK rearrangement is pathognomonic for ALK-positive ALCL; 84-%-cases involve a fusion t(2;5)(p23;q35) NPM/ALK gene, followed by t(1;2)(q25;p23) with fusion of TPM3/ALK (13-%-cases).[9] [10] The rare fusion partners are PurH gene (ATIC), clathrin heavy chain (CLTC), TRK fused gene (TFG), myosin heavy chain 9 (MYH9), Moesin (MSN), Ring finger protein 213 (RNF213/ALO17), and tropomyosin 4 (TPM4).[6] The immunostaining pattern of ALK protein helps in determining its fusion partner such as nuclear and cytoplasmic ALK expression is seen in cases involving NPM/ALK fusion ([Fig. 1C]), strong cytoplasmic and membranous ALK expression corresponds to TPM3/ALK fusion ([Fig. 1D]), and the “membranous pattern” uses moesin as a partner. However, the variant translocations do not have prognostic implications.
ALK-negative ALCL: This entity represents 5.5 to 15-% of mature T cell neoplasms.[11] [12] It is similar to ALK-positive ALCL in terms of the hallmark cells, histological patterns, and uniform diffuse CD30 expression but lacks ALK protein expression or ALK rearrangement ([Fig. 1E] and [F]). In comparison to ALK-positive ALCL, it occurs more commonly in the elderly, has a more aggressive clinical behavior, and carries a dismal survival outcome.[11] This group is more heterogeneous at a molecular level and the next-generation sequencing analysis has revealed two subsets of ALK-negative ALCLs.[13] [14]
∘ DUSP22 rearrangements at chromosome 6p25.3 (∼30-% of-cases): most cases had a better prognosis, lack STAT3 activation, and LEF-1 expression, and showed characteristics of “doughnut cells” on morphology ([Fig. 1G])
∘ TP63 rearrangement (8-% of-cases): associated with aggressive behavior ([Fig. 1H])
∘ Activating mutations of JAK and/or STAT3 pathway in a subset of cases.[15] [16]
Differential diagnosis: Breast implant-associated anaplastic large cell lymphoma is present in association with breast implants and is a noninvasive neoplasm characterized by the presence of malignant cells infiltrating the periprosthetic capsule or as a periprosthetic seroma. The clinical behavior is indolent and has excellent outcomes; however, extension to the neighboring structures and contiguous lymph nodes deteriorates the prognosis and also needs to be differentiated from systemic ALCL.[17] Similarly, primary c-ALCL that shares the morphological and immunophenotypic features with the nodal ALCL but exhibits a superior prognosis (5-year overall survival of 90-%) needs to be differentiated from cutaneous involvement of systemic ALCL by thorough clinical and radiological examination.[18]
b) Nodal T-follicular helper cell lymphoma
Nodal T-follicular helper cell lymphoma (nTFH) cell family includes three distinct entities that show significant clinical, immunophenotypic, and TFH gene expression signatures.[19] [20] It consists of nTFH cell lymphoma, angioimmunoblastic type (nTFHL-AI), nTFH cell lymphoma, follicular type (nTFHL-F), and nTFH cell lymphoma, not otherwise specified (nTFHL-NOS).[4]
nTFH cell lymphoma, angioimmunoblastic type: It constitutes 15-20-% of peripheral T-cell lymphomas (PTCLs) and presents with a median age of 60 years.[21] [22] [23] [24] [25] This lymphoma has unique clinical characteristics of generalized lymphadenopathy, hepatosplenomegaly, polyclonal hypergammaglobulinemia, pruritic skin rash, and hematologic abnormalities like Coombs-positive hemolytic anemia.
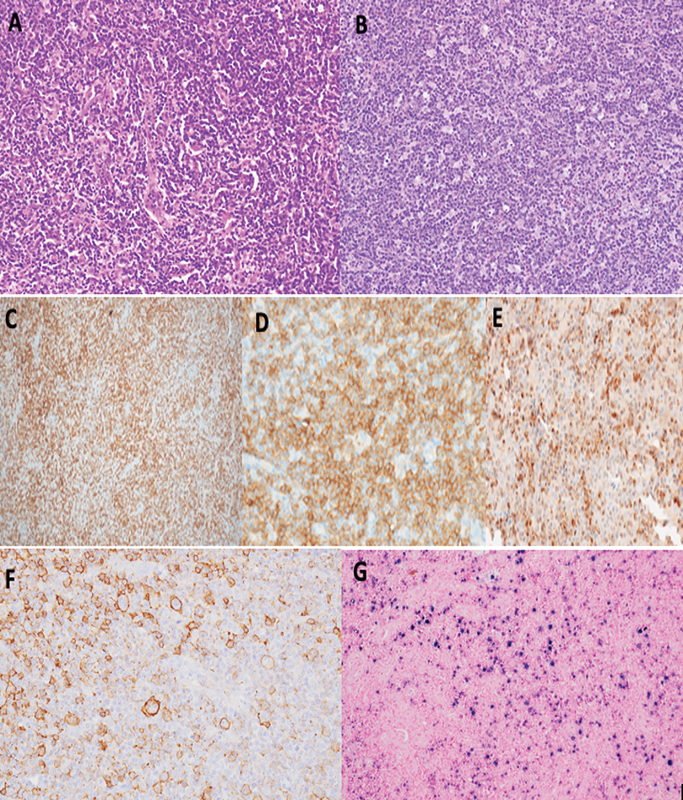
Morphology: Lymph node in nTFHL-AI usually shows pattern 3 where there is a complete loss of normal architecture with depleted follicles. There is an extensive prominence of arborizing high endothelial venules (HEV) and follicular dendritic cells (FDCs) with a diffuse collection of latter cells surrounding the small vessels ([Fig. 2A]).[26] The cellularity is variable and composed of small to intermediate neoplastic lymphocytes, clear cytoplasm, and minimal cytologic atypia ([Fig. 2B]). The background is polymorphous with the admixture of variable numbers of reactive lymphocytes, eosinophils, plasma cells, and histiocytes. The lymphoma cells cluster around HEV and as perifollicular collections. Scattered large B-cell immunoblasts mimicking HRS cells are commonly seen, but sometimes they are plentiful (B-cell-rich nTFHL-AI).[27] In addition, architectural patterns of hyperplastic follicles and depleted /regressive follicles can also be noted.[26] [28]
| Figure 2:Angioimmunoblastic T-cell lymphoma—(A) normal lymph node architecture is completely effaced with marked proliferation of arborizing high endothelial venules. (B) Neoplastic cells are composed of small to medium-sized lymphocytes, with clear to pale cytoplasm, and minimal cytologic atypia. (C–E) Neoplastic cells are positive for CD3, programmed cell death protein 1, and CXCL13. (F) CD20 highlights the residual follicle center cells as well as many of the large transformed immunoblasts. (G) Epstein-Barr encoding region in situ hybridization positivity in CD20-positive immunoblasts.
Immunophenotype: The neoplastic cells are CD3+ T cells, which show downregulation of CD7 and coexpress CD4 ([Fig. 2C]).[29] Neoplastic cells express characteristic TFH markers, such as CXCL13, programmed cell death protein 1 (PD1) (CD279), and CD10 ([Fig. 2D] and [E]). The expression of CD10, as compared to other PTCLs, is highly specific. CXCL13 expression is evident in both TFH cells and FDCs. Inducible T-cell costimulator (ICOS) is another sensitive TFH marker. The use of a minimum of two TFH markers is prudent for diagnosis.[30] To summarize, CXCL13 and CD10 are more specific and PD1 and ICOS are more sensitive markers in identifying the neoplastic TFH cells.[31] [32] The B-cell markers, such as CD20 and CD79a, highlight the residual follicles and largely transformed immunoblasts in the interfollicular areas ([Fig. 2F]). Epstein-Barr virus (EBV)-positive B-cells are noted due to reactivation of EBV in the background of a compromised immune system ([Fig. 2G]).[33] Expansion of the FDC meshworks is highlighted by CD23, especially around the paracortical small vessels.
Genetics: The mutational landscape includes hotspot mutations in RHOA, TET2, IDH1, IDH2 R172, and DNMT3A.[34] Of these IDH2R172 is specific for the nTFH-AI type, whereas others are also reported in other PTCLs.[35] Cases carrying RHOAG17V mutation have classic clinicopathological features, more FDC proliferation, high microvessel density, and pronounced TFH immunophenotype.[36] [37] The nTFH-AI type harboring IDH2 mutations have a distinct morphology in the form of intermediate-to-large sized cells, clear cytoplasm, enhanced TFH phenotype, and strong expression of CD10 and CXCL13.[38]
nTFH cell lymphoma, follicular type: Morphologically, it is typified by follicular pattern and lack of features of nTFHL-AI type, that is, extrafollicular proliferating FDC and HEV.[4] [12] [39] , CD3 and CD4 are expressed in the neoplastic cells, and also enhanced immunoexpression of TFH markers (PD1 + , CXCL13 + , ICOS + , BCL6 + , and CD10 +/− ) is also noted.
nTFHL-NOS: This terminology is used for lymphomas with TFH phenotype and is CD4+ but devoid of features that are characteristics of nTFHL-AI or nTFHL-F. In addition to CD4 positivity, the expression of at least two TFH markers in the neoplastic cells is mandatory for diagnosing nTFHL-NOS. The mere presence of TFH immunophenotype along with some AITL-like features warrants a diagnosis of nTFHL-NOS but not nTFHL-AI. Instead of nTFHL-NOS, the term nTFHL is recommended for small core biopsies to avoid miscategorization as a result of insufficient sampling.[4] [39]
Differential diagnosis: Due to diverse histopathologic features of nTFH cell lymphomas, they mimic both benign and malignant lymphoid proliferations.[26] For separating reactive paracortical hyperplasia from early AITL, immunohistochemical staining for PD1 is of utmost importance. In reactive lymph nodes, PD1-expressing cells are limited to the germinal centers, whereas a perifollicular staining pattern is noted in AITL. Prominent EBV-positive B cells, forming confluent foci of large transformed B cells, also pose diagnostic challenges and can mimic large B-cell lymphoma. However, the background of neoplastic T cells with TFH phenotype, FDC meshwork expansion, prominence of HEVs, and monoclonal TCR rearrangement favors the diagnosis of AITL.
c) Peripheral T-cell lymphoma, not otherwise specified (PTCL-NOS)
Heterogeneous entity comprising nodal and extranodal PTCLs that do not qualify for any specific PTCL subtypes and account for 30-% of all PTCLs.[40] The latest WHO edition recommends the omission of nodal PTCLs with a TFH phenotype, before labelling it PTCL-NOS.[4] The COO is activated T-cell, mainly CD4+ of the adaptive immune system.
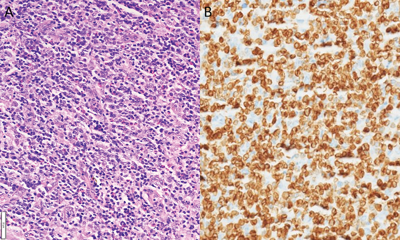
Morphology: Diffuse nodal architecture effacement or rare cases showing an interfollicular or para-cortical infiltrate can be noted. The cellular infiltrate is polymorphous, with varied cytological features. Most cases have medium-to-large-sized cells with irregular nuclei, prominent nucleoli, and many mitotic figures ([Fig. 3A]). The milieu shows non-neoplastic lymphocytes, plasma cells, eosinophils, and histiocytes. In the lymphoepithelial variant (Lennert's lymphoma), the atypical lymphoid cells are mainly buried under the confluent sheet of numerous epithelioid histiocytes, and this variant has a superior prognosis compared to other forms of PTCL.[41]
| Figure 3:Peripheral T-cell lymphoma, not otherwise specified—(A) shows diffuse effacement of the architecture by polymorphous lymphoid infiltrate with medium to large cells with irregular and hyperchromatic nuclei. (B) Lymphoma cells are positive for CD3.
Immunophenotype and genetics: PTCL-NOS generally shows the expression of pan-T-cell antigens (CD3, CD2, CD5, CD7); however, decreased or absent expression of one or more T-cell markers might be noted (commonly CD5 or CD7) ([Fig. 3B]). Most of them are CD4 +/CD8-, although certain cases particularly the lymphoepithelial variant are CD4-/CD8 + . Less often, double positive (CD4 +/CD8 + ) or double negative (CD4-/CD8-) can be seen. The immunoreactivity of TFH markers (CD10, PD1, CXCL13, or BCL6) is not noted. One or more cytotoxic markers (TIA-1, granzyme) can be expressed in 20 to 35-% of-cases. Most nodal cases have αβ TCRs, whereas few are either gamma/delta positive or both negative (TCR-silent). Gene expression profiling divides PTCL-NOS into subgroups based on the enhanced expression of GATA3 or TBX21 transcription factors that are chief regulators of T helper 1 (Th1) and 2 (Th2) cells, respectively.[42] In view of their clinical relevance, these subgroups are now considered under the WHO classification. In contrast to TBX21-positive PTCL-NOS with CXCR3, IL2RB, CCL3, and IFN-gamma as target genes, GATA-3-positive PTCL-NOS cases with target genes CXCR7, IL18RA, CCR4, IK carries a dismal outcome.[43] [44]
d) Nodal EBV-positive T- and NK-cell lymphoma
Nodal EBV-positive T- and natural killer (NK)-cell lymphoma, formerly clubbed with PTCL-NOS, is now a definite neoplasm in recent WHO-2022.[4] Patients exhibit advanced stage presentation with or without extranodal involvement. Morphologically, it appears high-grade and lacks classic histopathological findings of extranodal positive T- and NK-cell lymphomas, that is, angioinvasion and necrosis.[45] The cytotoxic immunophenotype is more of a T-cell lineage rather than NK-cell, and in the majority, EBV-encoded small RNA is seen by in situ hybridization.
[Fig. 4] illustrates the algorithm for diagnosing peripheral T-cell lymphomas.
| Figure 4:The algorithm for diagnosing nodal peripheral T-cell lymphomas. ALCL, Anaplastic large cell lymphoma; ALK, anaplastic lymphoma kinase; EBV, Epstein-Barr virus; NK, natural killer; NOS, not otherwise specified; PTCL, peripheral T-cell lymphomas; TFH, T-follicular helper.
B) Precursor T-cell Neoplasms
T-cell lymphoblastic leukemia/lymphoma, NOS: T-lymphoblastic leukemia/lymphoma, NOS, is a neoplasm arising from immature T-cells. It mainly develops in children and adolescents as an aggressive disease with extensive peripheral blood and bone marrow involvement (acute T- lymphoblastic leukemia T-ALL).[46] It is termed as T- lymphoblastic lymphoma (T-LBL) when primary involvement is the thymus, lymph node, or extranodal sites with blasts count in the marrow ≤25-%.
Morphology: Characterized by small-sized lymphoid cells, finely granular chromatin, and small pinpoint nucleoli in a diffuse growth pattern. Cells may sometimes expand only the interfollicular area in subtotally replaced lymphoid organs and occasionally may have prominent nucleoli (such as in the L2 subtype).
Immunophenotype: Lymphoma cells express markers of T-lineage (CD2, CD3, CD4, CD8, CD5, CD7) and markers of immaturity (CD34, CD99, HLA-DR, and TdT). Like normal cortical thymocytes, they often have a double-positive (CD4 + , CD8 + ) immunophenotype along with CD1a positivity or can express either CD4 or CD8 resembling medullary thymocytes.
C) Tumor-Like Lesions with T-cell Predominance
The fifth edition of WHO (WHO-HAEM-5) incorporated the new family of tumor-like lesions with T-cell predominance.[4] This includes Kikuchi-Fujimoto disease (KFD), autoimmune lymphoproliferative syndrome (ALPS) and indolent T-lymphoblastic proliferation (IT-LBP).
a) Kikuchi-Fujimoto disease
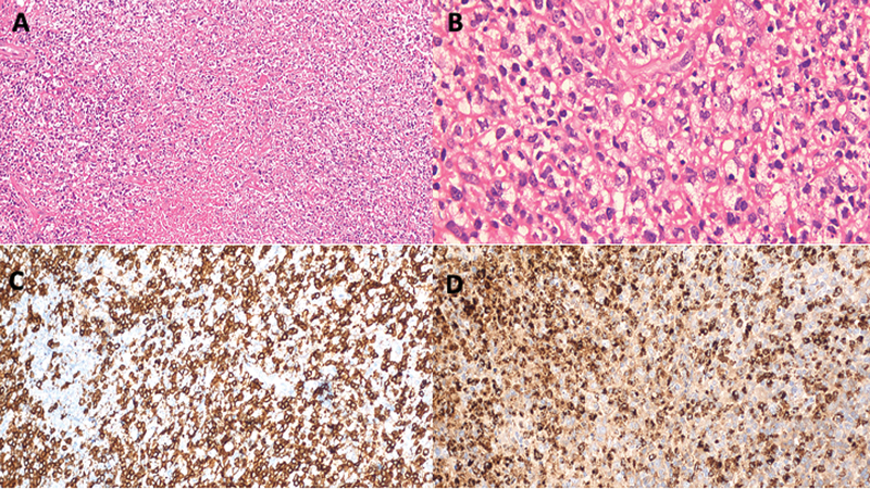
KFD comprises three phases: the proliferative, necrotizing, and xanthomatous phases. It is characterized by paracortical expansion of activated cytotoxic T cells that appear morphologically atypical along with histiocytes and apoptotic debris that may be confused with PTCL ([Fig. 5A-B]).[47] However, KFD in comparison to lymphoma shows preserved overall lymph node architecture and lacks the diffuse monotonous population of neoplastic cells. The myeloperoxidase-positive histiocytes with crescent-shaped nuclei are typical of KFD. KFD contains essentially CD8+ proliferating T-cells and may have numerous plasmacytoid dendritic cells, whereas PTCLs are CD3 +/CD4+ in most cases ([Fig. 5C–D]).
b) Indolent T-lymphoblastic Proliferation
Indolent T-lymphoblastic proliferation occurring as tiny clusters or confluent sheets of lymphoid cells morphologically consistent with thymocytes has been noted by itself or in association with other benign and malignant lesions.[4] [48] These thymocyte-like cells express TdT and may be misdiagnosed as T-lymphoblastic leukemia/lymphoma. However, IT-LBP does not obscure the architecture of nodes and is devoid of monoclonal TCR gene rearrangement.
c) Autoimmune Lymphoproliferative Syndrome
Autoimmune lymphoproliferative syndrome (ALPS) is a lymphoproliferative disorder with heterozygous mutations noted within the first apoptosis signal (FAS) receptor signaling pathway.[49] Clinically, it is characterized by cytopenia, splenomegaly, lymphadenopathy, and autoimmune disorders. Morphologically, it shows florid paracortical expansion by small proliferative lymphocytes that are double negative (CD4-/CD8-) T-cells, immunoblasts, and plasma cells. Overall, the preserved nodal architecture and expression of the pan–T-cell antigens (CD2, CD5, CD7) help to differentiate it from T-cell lymphoma.
| Figure 5:Kikuchi lymphadenitis—(A) showing partial preservation of the lymph node architecture with necrosis, apoptotic cells and nuclear debris; (B) admixed histiocytes and large transformed lymphocytes; (C) CD3 expression in large, transformed cells; (D) Myeloperoxidase expression in crescentic histiocytes.
Conflict of Interest
None declared.
References
- 1 Delves PJ, Roitt IM. The immune system. Second of two parts. N Engl J Med 2000; 343 (02) 108-117
- 2 Jaffe ES, Nicolae A, Pittaluga S. Peripheral T-cell and NK-cell lymphomas in the WHO classification: pearls and pitfalls. Mod Pathol 2013; 26 (Suppl. 01) S71-87
- 3 A clinical evaluation of the International Lymphoma Study Group classification of non-Hodgkin's lymphoma. The Non-Hodgkin's Lymphoma Classification Project. Blood 1997; 89 (11) 3909-3918
- 4 Alaggio R, Amador C, Anagnostopoulos I. et al. The 5th edition of the World Health Organization Classification of Haematolymphoid Tumours: Lymphoid Neoplasms. Leukemia 2022; 36 (07) 1720-1748
- 5 Stein H, Foss HD, Dürkop H. et al. CD30(+) anaplastic large cell lymphoma: a review of its histopathologic, genetic, and clinical features. Blood 2000; 96 (12) 3681-3695
- 6 de Leval L. Approach to nodal-based T-cell lymphomas. Pathology 2020; 52 (01) 78-99
- 7 Pinkerton R, Cairo MS, Cotter FE. Childhood, adolescent and young adult non-Hodgkin lymphoma: state of the science. Br J Haematol 2016; 173 (04) 503-504
- 8 Savage KJ, Harris NL, Vose JM. et al; International Peripheral T-Cell Lymphoma Project. ALK- anaplastic large-cell lymphoma is clinically and immunophenotypically different from both ALK+ ALCL and peripheral T-cell lymphoma, not otherwise specified: report from the International Peripheral T-Cell Lymphoma Project. Blood 2008; 111 (12) 5496-5504
- 9 Werner MT, Zhao C, Zhang Q, Wasik MA. Nucleophosmin-anaplastic lymphoma kinase: the ultimate oncogene and therapeutic target. Blood 2017; 129 (07) 823-831
- 10 Lamant L, Dastugue N, Pulford K, Delsol G, Mariamé B. A new fusion gene TPM3-ALK in anaplastic large cell lymphoma created by a (1;2)(q25;p23) translocation. Blood 1999; 93 (09) 3088-3095
- 11 Shustov A, Cabrera ME, Civallero M. et al. ALK-negative anaplastic large cell lymphoma: features and outcomes of 235 patients from the International T-Cell Project. Blood Adv 2021; 5 (03) 640-648
- 12 Yoon SE, Cho J, Kim YJ. et al. Comprehensive analysis of clinical, pathological, and genomic characteristics of follicular helper T-cell derived lymphomas. Exp Hematol Oncol 2021; 10 (01) 33
- 13 Parrilla Castellar ER, Jaffe ES, Said JW. et al. ALK-negative anaplastic large cell lymphoma is a genetically heterogeneous disease with widely disparate clinical outcomes. Blood 2014; 124 (09) 1473-1480
- 14 Pedersen MB, Hamilton-Dutoit SJ, Bendix K. et al. DUSP22 and TP63 rearrangements predict outcome of ALK-negative anaplastic large cell lymphoma: a Danish cohort study. Blood 2017; 130 (04) 554-557
- 15 Waldmann TA, Chen J. Disorders of the JAK/STAT pathway in t cell lymphoma pathogenesis: implications for immunotherapy. Annu Rev Immunol 2017; 35: 533-550
- 16 Parkhi M, Bal A, Das A. et al. ALK-negative anaplastic large cell lymphoma (ALCL): prognostic implications of molecular subtyping and JAK-STAT pathway. Appl Immunohistochem Mol Morphol 2021; 29 (09) 648-656
- 17 Oishi N, Brody GS, Ketterling RP. et al. Genetic subtyping of breast implant-associated anaplastic large cell lymphoma. Blood 2018; 132 (05) 544-547
- 18 Woo DK, Jones CR, Vanoli-Storz MN. et al. Prognostic factors in primary cutaneous anaplastic large cell lymphoma: characterization of clinical subset with worse outcome. Arch Dermatol 2009; 145 (06) 667-674
- 19 Breitfeld D, Ohl L, Kremmer E. et al. Follicular B helper T cells express CXC chemokine receptor 5, localize to B cell follicles, and support immunoglobulin production. J Exp Med 2000; 192 (11) 1545-1552
- 20 Kim CH, Lim HW, Kim JR, Rott L, Hillsamer P, Butcher EC. Unique gene expression program of human germinal center T helper cells. Blood 2004; 104 (07) 1952-1960
- 21 Petrich AM, Helenowski IB, Bryan LJ, Rozell SA, Galamaga R, Nabhan C. Factors predicting survival in peripheral T-cell lymphoma in the USA: a population-based analysis of 8802 patients in the modern era. Br J Haematol 2015; 168 (05) 708-718
- 22 de Leval L, Parrens M, Le Bras F. et al. Angioimmunoblastic T-cell lymphoma is the most common T-cell lymphoma in two distinct French information data sets. Haematologica 2015; 100 (09) e361-e364
- 23 Federico M, Rudiger T, Bellei M. et al. Clinicopathologic characteristics of angioimmunoblastic T-cell lymphoma: analysis of the international peripheral T-cell lymphoma project. J Clin Oncol 2013; 31 (02) 240-246
- 24 Alizadeh AA, Advani RH. Evaluation and management of angioimmunoblastic T-cell lymphoma: a review of current approaches and future strategies. Clin Adv Hematol Oncol 2008; 6 (12) 899-909
- 25 Vose J, Armitage J, Weisenburger D. International T-Cell Lymphoma Project. International peripheral T-cell and natural killer/T-cell lymphoma study: pathology findings and clinical outcomes. J Clin Oncol 2008; 26 (25) 4124-4130
- 26 Xie Y, Jaffe ES. How I diagnose angioimmunoblastic T-cell lymphoma. Am J Clin Pathol 2021; 156 (01) 1-14
- 27 Nicolae A, Pittaluga S, Venkataraman G. et al. Peripheral T-cell lymphomas of follicular T-helper cell derivation with Hodgkin/Reed-Sternberg cells of B-cell lineage: both EBV-positive and EBV-negative variants exist. Am J Surg Pathol 2013; 37 (06) 816-826
- 28 Rodriguez-Justo M, Attygalle AD, Munson P, Roncador G, Marafioti T, Piris MA. Angioimmunoblastic T-cell lymphoma with hyperplastic germinal centres: a neoplasia with origin in the outer zone of the germinal centre? Clinicopathological and immunohistochemical study of 10 cases with follicular T-cell markers. Mod Pathol 2009; 22 (06) 753-761
- 29 Mourad N, Mounier N, Brière J. et al; Groupe d'Etude des Lymphomes de l'Adulte. Clinical, biologic, and pathologic features in 157 patients with angioimmunoblastic T-cell lymphoma treated within the Groupe d'Etude des Lymphomes de l'Adulte (GELA) trials. Blood 2008; 111 (09) 4463-4470
- 30 Swerdlow SH, Campo E, Pileri SA. et al. The 2016 revision of the World Health Organization classification of lymphoid neoplasms. Blood 2016; 127 (20) 2375-2390
- 31 Basha BM, Bryant SC, Rech KL. et al. Application of a 5 marker panel to the routine diagnosis of peripheral T-cell lymphoma with T-follicular helper phenotype. Am J Surg Pathol 2019; 43 (09) 1282-1290
- 32 Gaulard P, de Leval L. Follicular helper T cells: implications in neoplastic hematopathology. Semin Diagn Pathol 2011; 28 (03) 202-213
- 33 Dunleavy K, Wilson WH, Jaffe ES. Angioimmunoblastic T cell lymphoma: pathobiological insights and clinical implications. Curr Opin Hematol 2007; 14 (04) 348-353
- 34 Odejide O, Weigert O, Lane AA. et al. A targeted mutational landscape of angioimmunoblastic T-cell lymphoma. Blood 2014; 123 (09) 1293-1296
- 35 Lemonnier F, Cairns RA, Inoue S. et al. The IDH2 R172K mutation associated with angioimmunoblastic T-cell lymphoma produces 2HG in T cells and impacts lymphoid development. Proc Natl Acad Sci U S A 2016; 113 (52) 15084-15089
- 36 Ondrejka SL, Grzywacz B, Bodo J. et al. Angioimmunoblastic T-cell lymphomas with the RHOA p.Gly17Val mutation have classic clinical and pathologic features. Am J Surg Pathol 2016; 40 (03) 335-341
- 37 Dobson R, Du PY, Rásó-Barnett L. et al. Early detection of T-cell lymphoma with T follicular helper phenotype by RHOA mutation analysis. Haematologica 2022; 107 (02) 489-499
- 38 Steinhilber J, Mederake M, Bonzheim I. et al. The pathological features of angioimmunoblastic T-cell lymphomas with IDH2R172 mutations. Mod Pathol 2019; 32 (08) 1123-1134
- 39 Dobay MP, Lemonnier F, Missiaglia E. et al. Integrative clinicopathological and molecular analyses of angioimmunoblastic T-cell lymphoma and other nodal lymphomas of follicular helper T-cell origin. Haematologica 2017; 102 (04) e148-e151
- 40 Weisenburger DD, Savage KJ, Harris NL. et al; International Peripheral T-cell Lymphoma Project. Peripheral T-cell lymphoma, not otherwise specified: a report of 340 cases from the International Peripheral T-cell Lymphoma Project. Blood 2011; 117 (12) 3402-3408
- 41 Kurita D, Miyoshi H, Yoshida N. et al. A clinicopathologic study of Lennert lymphoma and possible prognostic factors: the importance of follicular helper T-cell markers and the association with angioimmunoblastic T-cell lymphoma. Am J Surg Pathol 2016; 40 (09) 1249-1260
- 42 Heavican TB, Bouska A, Yu J. et al. Genetic drivers of oncogenic pathways in molecular subgroups of peripheral T-cell lymphoma. Blood 2019; 133 (15) 1664-1676
- 43 Iqbal J, Wright G, Wang C. et al; Lymphoma Leukemia Molecular Profiling Project and the International Peripheral T-cell Lymphoma Project. Gene expression signatures delineate biological and prognostic subgroups in peripheral T-cell lymphoma. Blood 2014; 123 (19) 2915-2923
- 44 Sakata-Yanagimoto M, Fukumoto K, Karube K, Chiba S. Molecular understanding of peripheral T-cell lymphomas, not otherwise specified (PTCL, NOS): a complex disease category. J Clin Exp Hematop 2021; 61 (02) 61-70
- 45 Jeon YK, Kim JH, Sung JY, Han JH, Ko YH. Hematopathology Study Group of the Korean Society of Pathologists. Epstein-Barr virus-positive nodal T/NK-cell lymphoma: an analysis of 15 cases with distinct clinicopathological features. Hum Pathol 2015; 46 (07) 981-990
- 46 You MJ, Medeiros LJ, Hsi ED. T-lymphoblastic leukemia/lymphoma. Am J Clin Pathol 2015; 144 (03) 411-422
- 47 Dumas G, Prendki V, Haroche J. et al. Kikuchi-Fujimoto disease: retrospective study of 91 cases and review of the literature. [published correction appears in Medicine (Baltimore). 2014 Nov;93(24):414] Medicine (Baltimore) 2014; 93 (24) 372-382
- 48 Saglam A, Singh K, Gollapudi S. et al. Indolent T-lymphoblastic proliferation: a systematic review of the literature analyzing the epidemiologic, clinical, and pathologic features of 45 cases. Int J Lab Hematol 2022; 44 (04) 700-711
- 49 Matson DR, Yang DT. Autoimmune lymphoproliferative syndrome: an overview. Arch Pathol Lab Med 2020; 144 (02) 245-251
Address for correspondence
Publication History
Article published online:
17 August 2023
© 2023. The Author(s). This is an open access article published by Thieme under the terms of the Creative Commons Attribution License, permitting unrestricted use, distribution, and reproduction so long as the original work is properly cited. (https://creativecommons.org/licenses/by/4.0/)
Thieme Medical and Scientific Publishers Pvt. Ltd.
A-12, 2nd Floor, Sector 2, Noida-201301 UP, India
| Fig 1 :Anaplastic lymphoma kinase (ALK) positive, anaplastic large cell lymphoma—(A) Large hallmark cells with a pleomorphic, horseshoe, or wreath-shaped nucleus and abundant cytoplasm, (B) CD30 expression with a membranous and perinuclear (Golgi) pattern, (C) Nuclear and cytoplasmic ALK expression, (D) cytoplasmic ALK expression. ALK negative, anaplastic large cell lymphoma—(E) Hallmark cells along with doughnut cells, (F) negative for ALK expression. (G) On fluorescence in situ hybridization, the IRF4-DUSP22 dual color break apart probe shows one normal fused signal and one split green-orange signal indicating translocation affecting the DUSP22 locus, (H) ALK-ve ALCL showing nuclear expression for P63.
| Figure 2:Angioimmunoblastic T-cell lymphoma—(A) normal lymph node architecture is completely effaced with marked proliferation of arborizing high endothelial venules. (B) Neoplastic cells are composed of small to medium-sized lymphocytes, with clear to pale cytoplasm, and minimal cytologic atypia. (C–E) Neoplastic cells are positive for CD3, programmed cell death protein 1, and CXCL13. (F) CD20 highlights the residual follicle center cells as well as many of the large transformed immunoblasts. (G) Epstein-Barr encoding region in situ hybridization positivity in CD20-positive immunoblasts.
| Figure 3:Peripheral T-cell lymphoma, not otherwise specified—(A) shows diffuse effacement of the architecture by polymorphous lymphoid infiltrate with medium to large cells with irregular and hyperchromatic nuclei. (B) Lymphoma cells are positive for CD3.
| Figure 4:The algorithm for diagnosing nodal peripheral T-cell lymphomas. ALCL, Anaplastic large cell lymphoma; ALK, anaplastic lymphoma kinase; EBV, Epstein-Barr virus; NK, natural killer; NOS, not otherwise specified; PTCL, peripheral T-cell lymphomas; TFH, T-follicular helper.
References
- 1 Delves PJ, Roitt IM. The immune system. Second of two parts. N Engl J Med 2000; 343 (02) 108-117
- 2 Jaffe ES, Nicolae A, Pittaluga S. Peripheral T-cell and NK-cell lymphomas in the WHO classification: pearls and pitfalls. Mod Pathol 2013; 26 (Suppl. 01) S71-87
- 3 A clinical evaluation of the International Lymphoma Study Group classification of non-Hodgkin's lymphoma. The Non-Hodgkin's Lymphoma Classification Project. Blood 1997; 89 (11) 3909-3918
- 4 Alaggio R, Amador C, Anagnostopoulos I. et al. The 5th edition of the World Health Organization Classification of Haematolymphoid Tumours: Lymphoid Neoplasms. Leukemia 2022; 36 (07) 1720-1748
- 5 Stein H, Foss HD, Dürkop H. et al. CD30(+) anaplastic large cell lymphoma: a review of its histopathologic, genetic, and clinical features. Blood 2000; 96 (12) 3681-3695
- 6 de Leval L. Approach to nodal-based T-cell lymphomas. Pathology 2020; 52 (01) 78-99
- 7 Pinkerton R, Cairo MS, Cotter FE. Childhood, adolescent and young adult non-Hodgkin lymphoma: state of the science. Br J Haematol 2016; 173 (04) 503-504
- 8 Savage KJ, Harris NL, Vose JM. et al; International Peripheral T-Cell Lymphoma Project. ALK- anaplastic large-cell lymphoma is clinically and immunophenotypically different from both ALK+ ALCL and peripheral T-cell lymphoma, not otherwise specified: report from the International Peripheral T-Cell Lymphoma Project. Blood 2008; 111 (12) 5496-5504
- 9 Werner MT, Zhao C, Zhang Q, Wasik MA. Nucleophosmin-anaplastic lymphoma kinase: the ultimate oncogene and therapeutic target. Blood 2017; 129 (07) 823-831
- 10 Lamant L, Dastugue N, Pulford K, Delsol G, Mariamé B. A new fusion gene TPM3-ALK in anaplastic large cell lymphoma created by a (1;2)(q25;p23) translocation. Blood 1999; 93 (09) 3088-3095
- 11 Shustov A, Cabrera ME, Civallero M. et al. ALK-negative anaplastic large cell lymphoma: features and outcomes of 235 patients from the International T-Cell Project. Blood Adv 2021; 5 (03) 640-648
- 12 Yoon SE, Cho J, Kim YJ. et al. Comprehensive analysis of clinical, pathological, and genomic characteristics of follicular helper T-cell derived lymphomas. Exp Hematol Oncol 2021; 10 (01) 33
- 13 Parrilla Castellar ER, Jaffe ES, Said JW. et al. ALK-negative anaplastic large cell lymphoma is a genetically heterogeneous disease with widely disparate clinical outcomes. Blood 2014; 124 (09) 1473-1480
- 14 Pedersen MB, Hamilton-Dutoit SJ, Bendix K. et al. DUSP22 and TP63 rearrangements predict outcome of ALK-negative anaplastic large cell lymphoma: a Danish cohort study. Blood 2017; 130 (04) 554-557
- 15 Waldmann TA, Chen J. Disorders of the JAK/STAT pathway in t cell lymphoma pathogenesis: implications for immunotherapy. Annu Rev Immunol 2017; 35: 533-550
- 16 Parkhi M, Bal A, Das A. et al. ALK-negative anaplastic large cell lymphoma (ALCL): prognostic implications of molecular subtyping and JAK-STAT pathway. Appl Immunohistochem Mol Morphol 2021; 29 (09) 648-656
- 17 Oishi N, Brody GS, Ketterling RP. et al. Genetic subtyping of breast implant-associated anaplastic large cell lymphoma. Blood 2018; 132 (05) 544-547
- 18 Woo DK, Jones CR, Vanoli-Storz MN. et al. Prognostic factors in primary cutaneous anaplastic large cell lymphoma: characterization of clinical subset with worse outcome. Arch Dermatol 2009; 145 (06) 667-674
- 19 Breitfeld D, Ohl L, Kremmer E. et al. Follicular B helper T cells express CXC chemokine receptor 5, localize to B cell follicles, and support immunoglobulin production. J Exp Med 2000; 192 (11) 1545-1552
- 20 Kim CH, Lim HW, Kim JR, Rott L, Hillsamer P, Butcher EC. Unique gene expression program of human germinal center T helper cells. Blood 2004; 104 (07) 1952-1960
- 21 Petrich AM, Helenowski IB, Bryan LJ, Rozell SA, Galamaga R, Nabhan C. Factors predicting survival in peripheral T-cell lymphoma in the USA: a population-based analysis of 8802 patients in the modern era. Br J Haematol 2015; 168 (05) 708-718
- 22 de Leval L, Parrens M, Le Bras F. et al. Angioimmunoblastic T-cell lymphoma is the most common T-cell lymphoma in two distinct French information data sets. Haematologica 2015; 100 (09) e361-e364
- 23 Federico M, Rudiger T, Bellei M. et al. Clinicopathologic characteristics of angioimmunoblastic T-cell lymphoma: analysis of the international peripheral T-cell lymphoma project. J Clin Oncol 2013; 31 (02) 240-246
- 24 Alizadeh AA, Advani RH. Evaluation and management of angioimmunoblastic T-cell lymphoma: a review of current approaches and future strategies. Clin Adv Hematol Oncol 2008; 6 (12) 899-909
- 25 Vose J, Armitage J, Weisenburger D. International T-Cell Lymphoma Project. International peripheral T-cell and natural killer/T-cell lymphoma study: pathology findings and clinical outcomes. J Clin Oncol 2008; 26 (25) 4124-4130
- 26 Xie Y, Jaffe ES. How I diagnose angioimmunoblastic T-cell lymphoma. Am J Clin Pathol 2021; 156 (01) 1-14
- 27 Nicolae A, Pittaluga S, Venkataraman G. et al. Peripheral T-cell lymphomas of follicular T-helper cell derivation with Hodgkin/Reed-Sternberg cells of B-cell lineage: both EBV-positive and EBV-negative variants exist. Am J Surg Pathol 2013; 37 (06) 816-826
- 28 Rodriguez-Justo M, Attygalle AD, Munson P, Roncador G, Marafioti T, Piris MA. Angioimmunoblastic T-cell lymphoma with hyperplastic germinal centres: a neoplasia with origin in the outer zone of the germinal centre? Clinicopathological and immunohistochemical study of 10 cases with follicular T-cell markers. Mod Pathol 2009; 22 (06) 753-761
- 29 Mourad N, Mounier N, Brière J. et al; Groupe d'Etude des Lymphomes de l'Adulte. Clinical, biologic, and pathologic features in 157 patients with angioimmunoblastic T-cell lymphoma treated within the Groupe d'Etude des Lymphomes de l'Adulte (GELA) trials. Blood 2008; 111 (09) 4463-4470
- 30 Swerdlow SH, Campo E, Pileri SA. et al. The 2016 revision of the World Health Organization classification of lymphoid neoplasms. Blood 2016; 127 (20) 2375-2390
- 31 Basha BM, Bryant SC, Rech KL. et al. Application of a 5 marker panel to the routine diagnosis of peripheral T-cell lymphoma with T-follicular helper phenotype. Am J Surg Pathol 2019; 43 (09) 1282-1290
- 32 Gaulard P, de Leval L. Follicular helper T cells: implications in neoplastic hematopathology. Semin Diagn Pathol 2011; 28 (03) 202-213
- 33 Dunleavy K, Wilson WH, Jaffe ES. Angioimmunoblastic T cell lymphoma: pathobiological insights and clinical implications. Curr Opin Hematol 2007; 14 (04) 348-353
- 34 Odejide O, Weigert O, Lane AA. et al. A targeted mutational landscape of angioimmunoblastic T-cell lymphoma. Blood 2014; 123 (09) 1293-1296
- 35 Lemonnier F, Cairns RA, Inoue S. et al. The IDH2 R172K mutation associated with angioimmunoblastic T-cell lymphoma produces 2HG in T cells and impacts lymphoid development. Proc Natl Acad Sci U S A 2016; 113 (52) 15084-15089
- 36 Ondrejka SL, Grzywacz B, Bodo J. et al. Angioimmunoblastic T-cell lymphomas with the RHOA p.Gly17Val mutation have classic clinical and pathologic features. Am J Surg Pathol 2016; 40 (03) 335-341
- 37 Dobson R, Du PY, Rásó-Barnett L. et al. Early detection of T-cell lymphoma with T follicular helper phenotype by RHOA mutation analysis. Haematologica 2022; 107 (02) 489-499
- 38 Steinhilber J, Mederake M, Bonzheim I. et al. The pathological features of angioimmunoblastic T-cell lymphomas with IDH2R172 mutations. Mod Pathol 2019; 32 (08) 1123-1134
- 39 Dobay MP, Lemonnier F, Missiaglia E. et al. Integrative clinicopathological and molecular analyses of angioimmunoblastic T-cell lymphoma and other nodal lymphomas of follicular helper T-cell origin. Haematologica 2017; 102 (04) e148-e151
- 40 Weisenburger DD, Savage KJ, Harris NL. et al; International Peripheral T-cell Lymphoma Project. Peripheral T-cell lymphoma, not otherwise specified: a report of 340 cases from the International Peripheral T-cell Lymphoma Project. Blood 2011; 117 (12) 3402-3408
- 41 Kurita D, Miyoshi H, Yoshida N. et al. A clinicopathologic study of Lennert lymphoma and possible prognostic factors: the importance of follicular helper T-cell markers and the association with angioimmunoblastic T-cell lymphoma. Am J Surg Pathol 2016; 40 (09) 1249-1260
- 42 Heavican TB, Bouska A, Yu J. et al. Genetic drivers of oncogenic pathways in molecular subgroups of peripheral T-cell lymphoma. Blood 2019; 133 (15) 1664-1676
- 43 Iqbal J, Wright G, Wang C. et al; Lymphoma Leukemia Molecular Profiling Project and the International Peripheral T-cell Lymphoma Project. Gene expression signatures delineate biological and prognostic subgroups in peripheral T-cell lymphoma. Blood 2014; 123 (19) 2915-2923
- 44 Sakata-Yanagimoto M, Fukumoto K, Karube K, Chiba S. Molecular understanding of peripheral T-cell lymphomas, not otherwise specified (PTCL, NOS): a complex disease category. J Clin Exp Hematop 2021; 61 (02) 61-70
- 45 Jeon YK, Kim JH, Sung JY, Han JH, Ko YH. Hematopathology Study Group of the Korean Society of Pathologists. Epstein-Barr virus-positive nodal T/NK-cell lymphoma: an analysis of 15 cases with distinct clinicopathological features. Hum Pathol 2015; 46 (07) 981-990
- 46 You MJ, Medeiros LJ, Hsi ED. T-lymphoblastic leukemia/lymphoma. Am J Clin Pathol 2015; 144 (03) 411-422
- 47 Dumas G, Prendki V, Haroche J. et al. Kikuchi-Fujimoto disease: retrospective study of 91 cases and review of the literature. [published correction appears in Medicine (Baltimore). 2014 Nov;93(24):414] Medicine (Baltimore) 2014; 93 (24) 372-382
- 48 Saglam A, Singh K, Gollapudi S. et al. Indolent T-lymphoblastic proliferation: a systematic review of the literature analyzing the epidemiologic, clinical, and pathologic features of 45 cases. Int J Lab Hematol 2022; 44 (04) 700-711
- 49 Matson DR, Yang DT. Autoimmune lymphoproliferative syndrome: an overview. Arch Pathol Lab Med 2020; 144 (02) 245-251
PDF
Views
Share

