An Unusual Tumor of the Vagina
CC BY-NC-ND 4.0 ? Indian J Med Paediatr Oncol 2019; 40(S 01): S123-S125
DOI: DOI: 10.4103/ijmpo.ijmpo_239_17
Abstract
A 28-year-old female came with complaints of swelling in the perineal area; examination revealed a nontender and fixed mass of approximately 4 cm ? 3 cm on the right vulvovaginal junction extending into the vaginal wall. Wide excision of the mass was performed; histopathological examination revealed features suggestive of Merkel cell carcinoma of vagina.
Publication History
Article published online:
24 May 2021
? 2019. Indian Society of Medical and Paediatric Oncology. This is an open access article published by Thieme under the terms of the Creative Commons Attribution-NonDerivative-NonCommercial-License, permitting copying and reproduction so long as the original work is given appropriate credit. Contents may not be used for commercial purposes, or adapted, remixed, transformed or built upon. (https://creativecommons.org/licenses/by-nc-nd/4.0/).
Thieme Medical and Scientific Publishers Pvt. Ltd.
A-12, 2nd Floor, Sector 2, Noida-201301 UP, India
Abstract
A 28-year-old female came with complaints of swelling in the perineal area; examination revealed a nontender and fixed mass of approximately 4 cm ? 3 cm on the right vulvovaginal junction extending into the vaginal wall. Wide excision of the mass was performed; histopathological examination revealed features suggestive of Merkel cell carcinoma of vagina.
Introduction
The common tumors in the vulvovaginal junction are squamous cell carcinoma, adenocarcinoma, melanoma, sarcoma, and basal cell carcinoma. In young patients, benign lesions are mostly seen, while carcinomas are more common in older age group. Vulval carcinomas are commonly secondary to human papillomavirus-related vulvar intraepithelial neoplasia. We present a very rare tumor of the vulvovaginal junction in a young patient.
Case Report
A 28-year-old female who was P2 L2 came to our Gynae clinic with complaints of swelling in the perineal area. On examination, a nontender mass of approximately 4 cm ? 3 cm was present on the right vulvovaginal junction extending into the lower part of vaginal wall. Wide excision was performed, the histopathological examination report showed the presence of tumor in which tumor cells were arranged in the form of nests and trabeculae [Figure 1]. The individual tumor cells had small round nuclei and stippled chromatin with high nuclear: Cytoplasmic ratio with scant or moderate cytoplasm [Figure 2]. The tumor cells showed mitotic activity including atypical mitosis and perinuclear dot-like positivity with Cytokeratin. They were also positive for synaptophysin and neuron-specific enolase (NSE) indicating neuroendocrine tumors [Figure 3a], [b], [c], but negative for MUC-1 and S-100 which are markers for squamous cell carcinoma and malignant melanoma, respectively. The final histological diagnosis was given as Merkel cell carcinoma of the vagina extending to the margins of excision. Metastatic workup was then carried out. MRI pelvis showed ill-defined heterogeneously enhancing lesion in the lower third of right vagina extending to right labia majora; there were no other metastases. She was therefore posted for repeat wide excision; there was no residual disease in the repeat specimen. She is well on follow-up at 3 months with no evidence of disease.
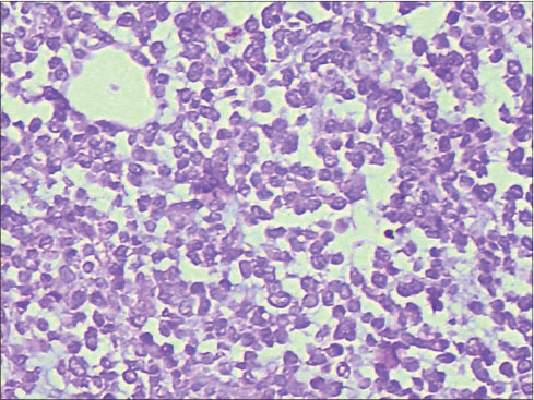
|?Figure. 1? Tumor cells arranged in the form of nests and trabeculae (H and E, ?200)
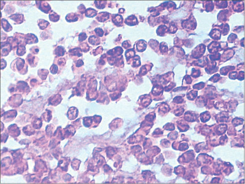
|?Figure. 2? Tumor cells with round nuclei with stippled chromatin and increased N: C ratio (H and E, ?400)
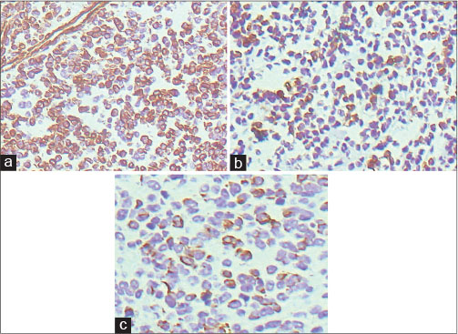
|?Figure. 3? Tumor cells showing positivity for synaptophysin. (b) Tumor cells showing positivity for neuron-specific enolase. (c) Tumor cells showing positivity for cytokeratin
Discussion
Merkel cells are components of the basal layer of the epidermis and follicular epithelium. They form clusters in areas of sensory perception, close to primary nerve endings.[1] The exact origin of the Merkel cells in the skin is unclear. The two proposed hypotheses are that they are either derived from cells in the epidermis with neuroendocrine differentiation or from the neural crest. In the human fetus, Merkel cells are first identified within the epidermis rather than the dermis. Merkel cells are not unique to skin. They are also present in the basal cell layers of normal squamous mucosa of the oral cavity in humans and other mammals.[2] In a study of the innervation of the human vagina, Hilliges?et al. described cells that morphologically resemble Merkel cells in the basal layer of the vaginal mucosa primarily near the introitus.[3] The cells stain positive for protein gene product 9.5, a general neuronal marker, and NSE.
Merkel cell carcinoma is a very uncommon cutaneous tumor. It is more common in head and neck and upper extremities and typically affects elderly patients in their sixth and seventh decades.[4] Ultraviolet radiation may be the main factor responsible for the development of tumors, but viral etiology has also been debated.
Merkel cell carcinoma rarely involves the female genital system. Only 18 cases of Merkel cell carcinoma of vulvovaginal area have been reported in the literature. As these tumors are extremely rare, extensive clinical workup of the patient and characterization of the tumor are necessary to rule out metastatic disease from a different primary site. The role of CK20 is very important in this regard. CK20, a low molecular weight cytokeratin, is found in a variety of normal tissues, including intestinal epithelium, gastric foveolar epithelium, urothelium, and Merkel cells.[5] Coexpression of CK20 and NSE has been shown to reliably distinguish Merkel cell carcinoma from other neuroendocrine tumors,[6] [7] [8]
There are limited data regarding the aggressive behavior and poor prognosis of this tumor with survival rates ranging from 31% at 3 years to 74% at 5 years.[9] Merkel cell carcinoma of the vulva seems to have a more aggressive behavior and poorer prognosis than other sites.[10]
Declaration of patient consent
The authors certify that they have obtained all appropriate patient consent forms. In the form the patient(s) has/have given his/her/their consent for his/her/their images and other clinical information to be reported in the journal. The patients understand that their names and initials will not be published and due efforts will be made to conceal their identity, but anonymity cannot be guaranteed.
Conflict of Interest
There are no conflicts of interest.
- Koljonen V.?Merkel cell carcinoma. World J Surg Oncol 2006; 4: 7
- Barrett AW, Cort EM, Patel P, Berkovitz BK.?An immunohistological study of cytokeratin 20 in human and mammalian oral epithelium. Arch Oral Biol 2000; 45: 879-87
- Hilliges M, Falconer C, Ekman-Ordeberg G, Johansson O.?Innervation of the human vaginal mucosa as revealed by PGP 9.5 immunohistochemistry. Cells Tissues Organs 1995; 153: 119-26
- Skelton HG, Smith KJ, Hitchcock CL, McCarthy WF, Lupton GP, Graham JH. et al.?Merkel cell carcinoma: Analysis of clinical, histologic, and immunohistologic features of 132 cases with relation to survival. J Am Acad Dermatol 1997; 37: 734-9
- Moll R, L?we A, Laufer J, Franke WW.?Cytokeratin 20 in human carcinomas. A new histodiagnostic marker detected by monoclonal antibodies. Am J Pathol 1992; 140: 427-47
- Chan JK, Suster S, Wenig BM, Tsang WY, Chan JB, Lau AL. et al.?Cytokeratin 20 immunoreactivity distinguishes merkel cell (primary cutaneous neuroendocrine) carcinomas and salivary gland small cell carcinomas from small cell carcinomas of various sites. Am J Surg Pathol 1997; 21: 226-34
- Devoe K, Weidner N.?Immunohistochemistry of small round-cell tumors. Semin Diagn Pathol 2000; 17: 216-24
- Nagao T, Gaffey TA, Olsen KD, Serizawa H, Lewis JE.?Small cell carcinoma of the major salivary glands: Clinicopathologic study with emphasis on cytokeratin 20 immunoreactivity and clinical outcome. Am J Surg Pathol 2004; 28: 762-70
- Finan MA, Barre G.?Bartholin?s gland carcinoma, malignant melanoma and other rare tumours of the vulva. Best Pract Res Clin Obstet Gynaecol 2003; 17: 609-33
- Iavazzo C, Terzi M, Arapantoni-Dadioti P, Dertimas V, Vorgias G.?Vulvar merkel carcinoma: A case report. Case Rep Med 2011; 2011: 546972
Address for correspondence
Publication History
Article published online:
24 May 2021
? 2019. Indian Society of Medical and Paediatric Oncology. This is an open access article published by Thieme under the terms of the Creative Commons Attribution-NonDerivative-NonCommercial-License, permitting copying and reproduction so long as the original work is given appropriate credit. Contents may not be used for commercial purposes, or adapted, remixed, transformed or built upon. (https://creativecommons.org/licenses/by-nc-nd/4.0/).
Thieme Medical and Scientific Publishers Pvt. Ltd.
A-12, 2nd Floor, Sector 2, Noida-201301 UP, India
|?Figure. 1? Tumor cells arranged in the form of nests and trabeculae (H and E, ?200)
|?Figure. 2? Tumor cells with round nuclei with stippled chromatin and increased N: C ratio (H and E, ?400)
|?Figure. 3? Tumor cells showing positivity for synaptophysin. (b) Tumor cells showing positivity for neuron-specific enolase. (c) Tumor cells showing positivity for cytokeratin
References
- Koljonen V.?Merkel cell carcinoma. World J Surg Oncol 2006; 4: 7
- Barrett AW, Cort EM, Patel P, Berkovitz BK.?An immunohistological study of cytokeratin 20 in human and mammalian oral epithelium. Arch Oral Biol 2000; 45: 879-87
- Hilliges M, Falconer C, Ekman-Ordeberg G, Johansson O.?Innervation of the human vaginal mucosa as revealed by PGP 9.5 immunohistochemistry. Cells Tissues Organs 1995; 153: 119-26
- Skelton HG, Smith KJ, Hitchcock CL, McCarthy WF, Lupton GP, Graham JH. et al.?Merkel cell carcinoma: Analysis of clinical, histologic, and immunohistologic features of 132 cases with relation to survival. J Am Acad Dermatol 1997; 37: 734-9
- Moll R, L?we A, Laufer J, Franke WW.?Cytokeratin 20 in human carcinomas. A new histodiagnostic marker detected by monoclonal antibodies. Am J Pathol 1992; 140: 427-47
- Chan JK, Suster S, Wenig BM, Tsang WY, Chan JB, Lau AL. et al.?Cytokeratin 20 immunoreactivity distinguishes merkel cell (primary cutaneous neuroendocrine) carcinomas and salivary gland small cell carcinomas from small cell carcinomas of various sites. Am J Surg Pathol 1997; 21: 226-34
- Devoe K, Weidner N.?Immunohistochemistry of small round-cell tumors. Semin Diagn Pathol 2000; 17: 216-24
- Nagao T, Gaffey TA, Olsen KD, Serizawa H, Lewis JE.?Small cell carcinoma of the major salivary glands: Clinicopathologic study with emphasis on cytokeratin 20 immunoreactivity and clinical outcome. Am J Surg Pathol 2004; 28: 762-70
- Finan MA, Barre G.?Bartholin?s gland carcinoma, malignant melanoma and other rare tumours of the vulva. Best Pract Res Clin Obstet Gynaecol 2003; 17: 609-33
- Iavazzo C, Terzi M, Arapantoni-Dadioti P, Dertimas V, Vorgias G.?Vulvar merkel carcinoma: A case report. Case Rep Med 2011; 2011: 546972
PDF
Views
Share

