Biological behavior of preneoplastic conditions of the endometrium: A retrospective 16-year study in south India
CC BY-NC-ND 4.0 · Indian J Med Paediatr Oncol 2009; 30(04): 131-135
DOI: DOI: 10.4103/0971-5851.65335
Abstract
Background:The biological behavior of endometrial carcinoma differs in epidemiology, presentation, and prognosis, suggesting that there are two fundamentally different pathogenic types of disease: type I (estrogen related, endometrioid type) and type II (non-estrogen related, non-endometrioid type). Untreated hyperplasia can develop into an endometrioid type of adenocarcinoma, hence, it is important to recognize the former type. In contrast to cervical cancers, there are limited studies with respect to the biology of hyperplastic lesions documented from India. This was a 16-year retrospective study, carried out to determine the nature and outcome of proliferative lesions of the endometrium in a referral center from south India.Materials and Methods:A histopathological diagnosis of the endometrial hyperplasia, polyp, and carcinoma, on endometrial biopsy and hysterectomy specimens, over a 16 year period (1983 to 1999), were recorded in a computer and the case slides were reviewed. Using the computer software Foxpro, the patients who had come more than once for a subsequent or previous biopsy were identified. An attempt was made to look for progression, regression or a static nature of the lesion in the follow-up cases.Results:A total of 1778 cases were studied, and only 74 patients with endometrial hyperplasia and five cases of benign endometrial polyp had follow-up endometrial histopathology. Hyperplasia cases included 59 cases of simple hyperplasia, 10 cases of complex hyperplasia without atypia, and five cases with atypia. The predominant age for patients with all types of hyperplasias was 41 - 50 years. Progression to a higher grade was seen in 8.10%, regression to a lower grade was seen in 9.45%, lesions reverted to a normal pattern in 10.81 % cases, and lesions persisted in 70.27% of the cases. A mixed pattern was seen in 54 cases, with predominant coexistent lesion being simple and complex hyperplasia without atypia.Conclusion:The fate of the hyperplastic lesion of the endometrium showed a varied pattern. Follow-up cases predominantly showed persistence of the lesion, possibly resulting from a fluctuating but higher level of estrogenic stimulus. Hence, it was not only the high levels of estrogen that influenced the biology, but its sustenance for a prolonged period.
Background:The biological behavior of endometrial carcinoma differs in epidemiology, presentation, and prognosis, suggesting that there are two fundamentally different pathogenic types of disease: type I (estrogen related, endometrioid type) and type II (non-estrogen related, non-endometrioid type). Untreated hyperplasia can develop into an endometrioid type of adenocarcinoma, hence, it is important to recognize the former type. In contrast to cervical cancers, there are limited studies with respect to the biology of hyperplastic lesions documented from India. This was a 16-year retrospective study, carried out to determine the nature and outcome of proliferative lesions of the endometrium in a referral center from south India.Materials and Methods:A histopathological diagnosis of the endometrial hyperplasia, polyp, and carcinoma, on endometrial biopsy and hysterectomy specimens, over a 16 year period (1983 to 1999), were recorded in a computer and the case slides were reviewed. Using the computer software Foxpro, the patients who had come more than once for a subsequent or previous biopsy were identified. An attempt was made to look for progression, regression or a static nature of the lesion in the follow-up cases.Results:A total of 1778 cases were studied, and only 74 patients with endometrial hyperplasia and five cases of benign endometrial polyp had follow-up endometrial histopathology. Hyperplasia cases included 59 cases of simple hyperplasia, 10 cases of complex hyperplasia without atypia, and five cases with atypia. The predominant age for patients with all types of hyperplasias was 41 - 50 years. Progression to a higher grade was seen in 8.10%, regression to a lower grade was seen in 9.45%, lesions reverted to a normal pattern in 10.81 % cases, and lesions persisted in 70.27% of the cases. A mixed pattern was seen in 54 cases, with predominant coexistent lesion being simple and complex hyperplasia without atypia.Conclusion:The fate of the hyperplastic lesion of the endometrium showed a varied pattern. Follow-up cases predominantly showed persistence of the lesion, possibly resulting from a fluctuating but higher level of estrogenic stimulus. Hence, it was not only the high levels of estrogen that influenced the biology, but its sustenance for a prolonged period.
Keywords
Publication History
Article published online:
19 November 2021
© 2009. Indian Society of Medical and Paediatric Oncology. This is an open access article published by Thieme under the terms of the Creative Commons Attribution-NonDerivative-NonCommercial-License, permitting copying and reproduction so long as the original work is given appropriate credit. Contents may not be used for commercial purposes, or adapted, remixed, transformed or built upon. (https://creativecommons.org/licenses/by-nc-nd/4.0/.)
Thieme Medical and Scientific Publishers Pvt. Ltd.
A-12, 2nd Floor, Sector 2, Noida-201301 UP, India
Article published online:
19 November 2021
© 2009. Indian Society of Medical and Paediatric Oncology. This is an open access article published by Thieme under the terms of the Creative Commons Attribution-NonDerivative-NonCommercial-License, permitting copying and reproduction so long as the original work is given appropriate credit. Contents may not be used for commercial purposes, or adapted, remixed, transformed or built upon. (https://creativecommons.org/licenses/by-nc-nd/4.0/.)
Thieme Medical and Scientific Publishers Pvt. Ltd.
A-12, 2nd Floor, Sector 2, Noida-201301 UP, India
Background:
The biological behavior of endometrial carcinoma differs in epidemiology, presentation, and prognosis, suggesting that there are two fundamentally different pathogenic types of disease: type I (estrogen related, endometrioid type) and type II (non-estrogen related, non-endometrioid type). Untreated hyperplasia can develop into an endometrioid type of adenocarcinoma, hence, it is important to recognize the former type. In contrast to cervical cancers, there are limited studies with respect to the biology of hyperplastic lesions documented from India. This was a 16-year retrospective study, carried out to determine the nature and outcome of proliferative lesions of the endometrium in a referral center from south India.
Materials and Methods:
A histopathological diagnosis of the endometrial hyperplasia, polyp, and carcinoma, on endometrial biopsy and hysterectomy specimens, over a 16 year period (1983 to 1999), were recorded in a computer and the case slides were reviewed. Using the computer software Foxpro, the patients who had come more than once for a subsequent or previous biopsy were identified. An attempt was made to look for progression, regression or a static nature of the lesion in the follow-up cases.
Results:
A total of 1778 cases were studied, and only 74 patients with endometrial hyperplasia and five cases of benign endometrial polyp had follow-up endometrial histopathology. Hyperplasia cases included 59 cases of simple hyperplasia, 10 cases of complex hyperplasia without atypia, and five cases with atypia. The predominant age for patients with all types of hyperplasias was 41 – 50 years. Progression to a higher grade was seen in 8.10%, regression to a lower grade was seen in 9.45%, lesions reverted to a normal pattern in 10.81 % cases, and lesions persisted in 70.27% of the cases. A mixed pattern was seen in 54 cases, with predominant coexistent lesion being simple and complex hyperplasia without atypia.
Conclusion:
The fate of the hyperplastic lesion of the endometrium showed a varied pattern. Follow-up cases predominantly showed persistence of the lesion, possibly resulting from a fluctuating but higher level of estrogenic stimulus. Hence, it was not only the high levels of estrogen that influenced the biology, but its sustenance for a prolonged period.
INTRODUCTION
It was Recamier in 1850, who first recognized the condition of endometrial hyperplasia.[1] Endometrial hyperplasia is the result of a persistent, prolonged, estrogenic stimulation of the endometrium. The most common cause being repeated anovulatory cycles. Hyperplasia may also result from excessive endogenous production or exogenous administration of estrogens.[2] For many years, pathologists have been concerned about the malignant potential of various types of endometrial hyperplasias.
Almost 59 years ago, Hertig and Sommers, proposed the theory of progression of endometrial hyperplasia to adenocarcinoma, going through a stage of atypical changes.[1] Adenomatous and atypical hyperplasias are reported to be the common precursors of endometrial carcinoma.[3] Fox and Buckley drew our attention to the fact that these hyperplastic lesions represent a single disease spectrum.[4] However, most of the studies documented in literature are a reflection of western statistics. The present retrospective study was designed to determine the nature and outcome of proliferative lesions of the endometrium during a 16-year period in a referral hospital in South India.
MATERIALS AND METHODS
Endometrial biopsies or hysterectomy specimens with diagnosis of endometrial hyperplasia, endometrial polyp, and adenocarcinoma, from 1983 to 1999, were included in the study. The details of patients included in this study were derived from the histopathology requisition files and recorded in a structured proforma, which was then fed into the computer. Using the Foxpro software, patients with more than one endometrial biopsy or who had subsequent hysterectomy were identified. The histopathological status of the endometrium was reviewed and correlated with the clinical history and an attempt was made to look for progression, regression or a static nature of the lesion.
The endometrial hyperplasias were classified according to the World Health Organization (WHO) classification, as simple hyperplasia without atypia (SH), simple hyperplasia with atypia (SHA), complex hyperplasia without atypia (CH), and complex hyperplasia with atypia (CHA).
RESULTS
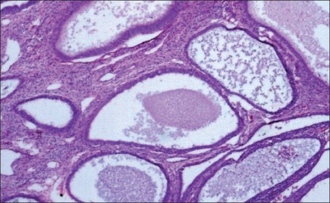
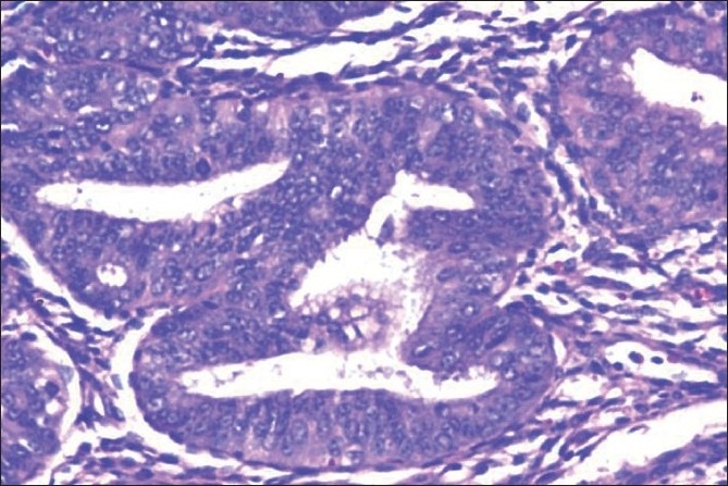
A total of 1778 cases of endometrial hyperplasia / polyp / carcinoma were studied. Out of these only 74 patients with endometrial hyperplasia and five cases of benign endometrial polyps came for subsequent follow-up. Patient with endometrial hyperplasia under follow up included 59 cases of SH [Figure 1], 10 cases of CH, and five cases of CHA [Figure 2] at their first visit [Table 1]. The overall follow-up of the study cases showed progression, regression, and persistence of lesion [Table 2]. A varied pattern was seen on follow-up of each subtype of hyperplasia and endometrial polyp [Table 3].
| Figure 1 Cystically dilated endometrial glands lined by a single layer of columnar epithelium (Hematoxylin and eosin stain, ×20)
| Figure 2 Closely packed endometrial glands with sparse intervening stroma and stratification of the lining epithelium. Epithelial cells show cytological atypia with high nucleocytoplasmic ratio, irregular clumping of nuclear chromatin, and mitotic figures (Hematoxylin and eosin stain, ×200)
| Type of hyperplasia | No. of cases (%) |
|---|---|
| Simple hyperplasia | 59 (79.72) |
| Simple hyperplasia with atypia | 0 |
| Complex hyperplasia without atypia | 10 (13.53) |
| Complex hyperplasia with atypia | 5 (6.75) |
| Total no. of cases | 74 |
| Endometrial hyperplasia | No. of cases (%) |
|---|---|
| Progression to higher grade | 6(8.10) |
| Regression to a lower grade | 7 (9 45) |
| Lesion persisted | 52 (70.27) |
| Reverted to normal pattern | 8 (10.81) |
| Could not be assessed (autolysis) | 1 (1.35) |
| Total cases (Nos.) | |
|---|---|
| Simple hyperplasia | (59) |
| Progression to complex hyperplasia without atypia | 3 |
| Progression to complex hyperplasia with atypia | 1 |
| Reversion to normal pattern | 4 |
| Lesion persisted | 50 |
| Could not be evaluated due to autolysis | 1 |
| Complex hyperplasia without atypia | (10) |
| Progression to complex hyperplasia with atypia | 1 |
| Lesion persisted | 1 |
| Regression to simple hyperplasia | 5 |
| Reversion to normal pattern | 3 |
| Complex hyperplasia with atypia | (5) |
| Progression to adenocarcinoma (in one month) | 1 |
| Regression to simple hyperplasia | 2 |
| Lesion persisted | 1 |
| Reversion to normal pattern | 1 |
| Benign endometrial polyp | (5) |
| Simple hyperplasia | 1 |
| Lesion persisted | 4 |
| Mixed pattern of lesions | No. of cases | Percentage |
|---|---|---|
| Simple hyperplasia and complex hyperplasia without atypia | 16 | 36.36 |
| Simple hyperplasia and complex hyperplasia with atypia | 3 | 6.81 |
| Simple hyperplasia with benign endometrial polyp | 7 | 15.94 |
| Complex hyperplasia without atypia and complex hyperplasia with atypia | 15 | 34.09 |
| Complex hyperplasia with benign endometrial polyp | 5 | 11.36 |
| Complex hyperplasia without atypia and adenocarcinoma | 6 | 13.63 |
| Complex hyperplasia with atypia and adenocarcinoma | 2 | 4.54 |
| Total no. mixed pattern of cases | 54 | 100 |
| Lesion | Age range (years) | Mean age group (years) | Common age group (years) |
|---|---|---|---|
| Simple hyperplasia | 12 – 72 | 39.13 | 41 – 50 (37.4) |
| Complex hyperplasia without atypia | 16 – 80 | 39.99 | 41 – 50 (38.8) |
| Complex hyperplasia with atypia | 23 – 69 | 42.15 | 41 – 50 (38.6) |
| Benign endometrial polyp | 20 – 65 | 42.20 | 31 – 40 (36.9) |
| 41 – 50 (36.9) | |||
| Adenocarcinoma | 17 – 84 | 51.43 | 41 – 50 (38.3) |
- O′Dowd MJ, Philipp EE. Cancer of the uterus. The history of Obstetrics and Gynaecology. 1 st ed. New York: Parthenon Publishing Group; 1994. p. 571-80.
- Ronnett BM, Kurman RJ. Precursor lesions of endometrial carcinoma. In: Kurman RJ, editor. Blaustein′s Pathology of the Female Genital Tract. 5 th ed. New York: Springer-Verlag; 2002. p. 467-500.
- Gusberg Sb, Moore Db, Martin F. Precursors of corpus cancer: A clinical and pathological study of adenomatous hyperplasia. Am J Obstet Gynecol 1954;68:1472-81.
- Fox H, Buckley CH. The endometrial hyperplasias and their relationship to endometrial neoplasia. Histopathology 1982;6:493-510.
- Horn LC, Meinel A, Handzel R, Einenkel J. Histopathology of endometrial hyperplasia and endometrial carcinoma: An update. Ann Diagn Pathol 2007;11:297-311.
- Lee KR, Scully RE. Complex endometrial hyperplasia and carcinoma in adolescents and young women 15 to 20 years of age: A report of 10 cases. Int J Gynecol Pathol 1989;8:201-13.
- Schroder R. Endometrial hyperplasia in relation to genital function. Am J Obstet Gynecol 1954;68:294-309.
- Whitehead MI, Townsend PT, Pryse-Davies J, Ryder TA, King RJ. Effects of estrogens and progestins on the biochemistry and morphology of the postmenopausal endometrium. N Engl J Med 1981;305:1599-605.
- Gusberg SB, Hall RE. Precursors of endometrial carcinoma. Obstet Gynecol 1961;17:397-412.
- Chamlian DL, Taylor HB. Endometrial hyperplasia in young women. Obstet Gynecol 1970;36:659-66.
- Koss LG. Proliferative disorders and carcinoma of the endometrium. Diagnostic Cytology and its histopathologic bases. 5 th ed. Philadelphia: Lippincott Williams & Wilkins, 1992:422-465.
- McBride JM. Premenopausal cystic hyperplasia and endometrial carcinoma. J Obstet Gynaecol Br Emp 1959;66:288-96.
- Tabata T, Yamawaki T, Yabana T, Ida M, Nishimura K, Nose Y. Natural history of endometrial hyperplasia: Study of 77 patients. Arch Gynecol Obstet 2001;265:85-8.
- Yokosuka K, Teshima H, Yamakawa Y, Hasumi K. Characteristic of cystic glandular hyperplasia as a precursor of endometrial carcinoma. Nippon Sanka Fujinka Gakkai Zasshi 1994;46:1241-6.
- Kurman RJ, Kaminski PF, Norris HJ. The behavior of endometrial hyperplasia. A long-term study of "untreated" hyperplasia in 170 patients. Cancer 1985;56:403-12.
- Trimble CL, Kauderer J, Zaino R, Silverberg S, Lim PC, Burke JJ 2 nd , et al. Concurrent endometrial carcinoma in women with a biopsy diagnosis of atypical endometrial hyperplasia: A Gynecologic Oncology Group study. Cancer 2006;106:812-9.
- Kistner RW. Histological effects of progestins on hyperplasia and carcinoma in situ of the endometrium. Cancer 1959;12:1106-22.
- Anderson MC. Endometrial hyperplasia. In: Anderson MC, Symmers WC, Fox H, editors. Female reproductive system, Systemic pathology. 3 rd ed. Edinburgh: Churchill Livingstone; 1991. p. 171-84.
- Kelly P, Dobbs SP, McCluggage WG. Endometrial hyperplasia involving endometrial polyps: Report of a series and discussion of the significance in an endometrial biopsy specimen. BJOG 2007;114:944-50.
- Antunes A Jr, Costa-Paiva L, Arthuso M, Costa JV, Pinto-Neto AM. Endometrial polyps in pre-and postmenopausal women: factors associated with malignancy. Maturitas 2007;57:415-21.
| Figure 1 Cystically dilated endometrial glands lined by a single layer of columnar epithelium (Hematoxylin and eosin stain, ×20)
| Figure 2 Closely packed endometrial glands with sparse intervening stroma and stratification of the lining epithelium. Epithelial cells show cytological atypia with high nucleocytoplasmic ratio, irregular clumping of nuclear chromatin, and mitotic figures (Hematoxylin and eosin stain, ×200)
- O′Dowd MJ, Philipp EE. Cancer of the uterus. The history of Obstetrics and Gynaecology. 1 st ed. New York: Parthenon Publishing Group; 1994. p. 571-80.
- Ronnett BM, Kurman RJ. Precursor lesions of endometrial carcinoma. In: Kurman RJ, editor. Blaustein′s Pathology of the Female Genital Tract. 5 th ed. New York: Springer-Verlag; 2002. p. 467-500.
- Gusberg Sb, Moore Db, Martin F. Precursors of corpus cancer: A clinical and pathological study of adenomatous hyperplasia. Am J Obstet Gynecol 1954;68:1472-81.
- Fox H, Buckley CH. The endometrial hyperplasias and their relationship to endometrial neoplasia. Histopathology 1982;6:493-510.
- Horn LC, Meinel A, Handzel R, Einenkel J. Histopathology of endometrial hyperplasia and endometrial carcinoma: An update. Ann Diagn Pathol 2007;11:297-311.
- Lee KR, Scully RE. Complex endometrial hyperplasia and carcinoma in adolescents and young women 15 to 20 years of age: A report of 10 cases. Int J Gynecol Pathol 1989;8:201-13.
- Schroder R. Endometrial hyperplasia in relation to genital function. Am J Obstet Gynecol 1954;68:294-309.
- Whitehead MI, Townsend PT, Pryse-Davies J, Ryder TA, King RJ. Effects of estrogens and progestins on the biochemistry and morphology of the postmenopausal endometrium. N Engl J Med 1981;305:1599-605.
- Gusberg SB, Hall RE. Precursors of endometrial carcinoma. Obstet Gynecol 1961;17:397-412.
- Chamlian DL, Taylor HB. Endometrial hyperplasia in young women. Obstet Gynecol 1970;36:659-66.
- Koss LG. Proliferative disorders and carcinoma of the endometrium. Diagnostic Cytology and its histopathologic bases. 5 th ed. Philadelphia: Lippincott Williams & Wilkins, 1992:422-465.
- McBride JM. Premenopausal cystic hyperplasia and endometrial carcinoma. J Obstet Gynaecol Br Emp 1959;66:288-96.
- Tabata T, Yamawaki T, Yabana T, Ida M, Nishimura K, Nose Y. Natural history of endometrial hyperplasia: Study of 77 patients. Arch Gynecol Obstet 2001;265:85-8.
- Yokosuka K, Teshima H, Yamakawa Y, Hasumi K. Characteristic of cystic glandular hyperplasia as a precursor of endometrial carcinoma. Nippon Sanka Fujinka Gakkai Zasshi 1994;46:1241-6.
- Kurman RJ, Kaminski PF, Norris HJ. The behavior of endometrial hyperplasia. A long-term study of "untreated" hyperplasia in 170 patients. Cancer 1985;56:403-12.
- Trimble CL, Kauderer J, Zaino R, Silverberg S, Lim PC, Burke JJ 2 nd , et al. Concurrent endometrial carcinoma in women with a biopsy diagnosis of atypical endometrial hyperplasia: A Gynecologic Oncology Group study. Cancer 2006;106:812-9.
- Kistner RW. Histological effects of progestins on hyperplasia and carcinoma in situ of the endometrium. Cancer 1959;12:1106-22.
- Anderson MC. Endometrial hyperplasia. In: Anderson MC, Symmers WC, Fox H, editors. Female reproductive system, Systemic pathology. 3 rd ed. Edinburgh: Churchill Livingstone; 1991. p. 171-84.
- Kelly P, Dobbs SP, McCluggage WG. Endometrial hyperplasia involving endometrial polyps: Report of a series and discussion of the significance in an endometrial biopsy specimen. BJOG 2007;114:944-50.
- Antunes A Jr, Costa-Paiva L, Arthuso M, Costa JV, Pinto-Neto AM. Endometrial polyps in pre-and postmenopausal women: factors associated with malignancy. Maturitas 2007;57:415-21.
PDF
Views
Share

