Concurrent Squamous-Cell Carcinoma Esophagus and Atypical Carcinoid Tumor: A Rare Case Report and Review of Literature
CC BY-NC-ND 4.0 · Indian J Med Paediatr Oncol 2019; 40(03): 456-460
DOI: DOI: 10.4103/ijmpo.ijmpo_32_18
Sir,
Carcinoma esophagus is very common malignancy which is usually managed with chemoradiation or chemoradiation plus surgery and squamous cell and adenocarcinoma are the two most common types. Very rarely, we can have neuroendocrine carcinoma or tumor of the esophagus. Here, we are presenting a very rare, probably first such case of concurrent squamous-cell carcinoma of the esophagus along with atypical carcinoid tumor which was incidentally detected in residual node postchemoradiation and surgery.
A 52 year-old nonsmoker, alcoholic male patient with spinocerebellar ataxia as comorbidity, presented in November 2016, with a complaint of progressive dysphagia of 2 months duration. Upper gastrointestinal endoscopy showed circumferential growth in lower-third of the esophagus with luminal narrowing. Computed tomography (CT) of thorax showed 13-mm thick circumferential mural thickening involving long segment of the lower esophagus causing marked luminal narrowing [Figure 1]. There was 3.5 cm × 2.5 cm mass in the subcarinal region, compressing esophageal lumen along with the few perigastric nodes [Figure 2]. Positron-emission tomography (PET)-CT showed intense fluoro-deoxy-glucose (FDG) avid thickening in the lower third of esophagus with FDG avid lower paratracheal, subcarinal, and perigastric nodes. Biopsy from the esophagus was done which was suggestive of moderately differentiated squamous-cell carcinoma [Figure 3]. The patient received neoadjuvant chemoradiation with 41.4Gy/23#/5 weeks by 3D-conformal radiation therapy technique along with five cycles of chemotherapy with injection paclitaxel 60 mg/m2 and injection carboplatin area under the curve 2 weekly. There was significant response to the treatment. Subsequently, the patient underwent thoracoscopic esophagectomy with gastric pull with feeding jejunostomy in February 2017. Histopathology showed minimal residual squamous-cell carcinoma of the esophagus with subcarinal node showing features of neuroendocrine tumor [Figure 4]. Subsequently, immunohistochemistry (IHC) was done to confirm the histopathological findings. IHC in esophageal blocks showed strong positivity for CK 5/6 [Figure 5], P63 [Figure 6], and epithelial membrane antigen [Figure 7] in tumor and surface epithelium with Ki67-30% [Figure 8], suggestive of residual small focus of squamous-cell carcinoma. IHC on subcarinal node was negative for CK5/6 and P63, strongly positive for synaptophysin [Figure 9] plus chromogranin [Figure 10], and weekly positive for CK7 [Figure 11], CK20 [Figure 12], and CDX2 [Figure 13]. Ki67 index was 4% [Figure 14], overall suggestive of atypical carcinoid tumor. There was no symptom related to endocrine overactivity or carcinoid syndrome. Follow-up PET-CT was normal, and hence the patient was kept on close follow-up, but at the time of writing the paper, the patient was untraceable.
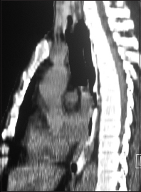
| Figure 1 Computed tomography of thorax sagittal view showing lower esophageal thickening with luminal compromise
| Figure 2 Computed tomography of thorax coronal view showing large subcarinal node
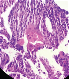
| Figure 3 Esophageal biopsy showing invasive tumor with features of squamoid differentiation (H and E, ×40)
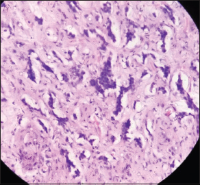
| Figure 4 Lymph node showing metastatic tumor with cells arranged in sheets, nests, and trabeculae in desmoplastic stroma (H and E, ×40)
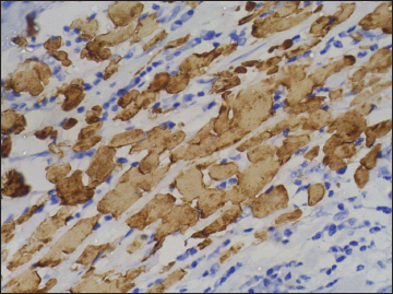
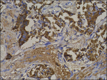
| Figure 5 Immunohistochemistry on esophageal specimen showing strong positivity for CK5/6
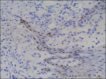
| Figure 6 Immunohistochemistry on esophageal specimen showing strong positivity for P63
| Figure 7 Immunohistochemistry on esophageal specimen showing strong positivity for epithelial membrane antigen
| Figure 8 Immunohistochemistry on esophageal specimen showing strong positivity for Ki-67
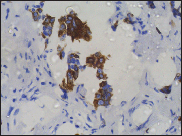
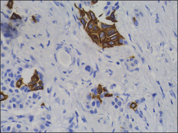
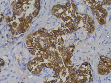
| Figure 9 Immunohistochemistry on subcarinal node showing strong positivity for synaptophysin
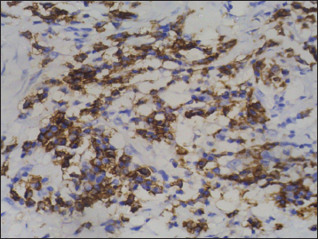
| Figure 10 Immunohistochemistry on subcarinal node showing strong positivity for chromogranin
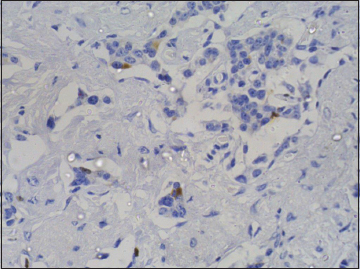
| Figure 11 Immunohistochemistry on subcarinal node showing weak positivity for CK7
| Figure 12 Immunohistochemistry on subcarinal node showing weak positivity for CK20
| Figure 13 Immunohistochemistry on subcarinal node showing weak positivity for CDX2
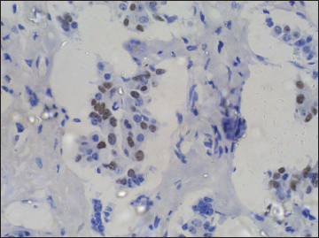
| Figure 14 Immunohistochemistry on subcarinal node showing weak positivity for Ki-67
Carcinoma esophagus with neuroendocrine carcinoma is a very rare entity. There are two types of mixed tumors, namely, collision and composite. Collision tumor is composed of two independent tumors growing very closely, which subsequently collide with each other, ultimately forming a single mass. The cells of origin are different, and histopathology too shows clear demarcation between the two tumors.[1] The second type is composite tumors in which one neoplastic clone diverges into different cell lineages. The origin is from one single pluripotent stem cell.[2] Histopathology, IHC analysis, microsatellite instability testing, and electron microscopy can help distinguish between these two tumor types.[2] Although some degree of focal neuroendocrine differentiation is common in squamous-cell carcinomas, its clinical relevance is not very clear. The neuroendocrine tumors are graded from Grade 1-3. Grade 1 is <2>20 mitosis/HPF or Ki 67 >20%. Grade 1 and 2 are called neuroendocrine tumors (Grade 1-typical carcinoid and Grade 2-atypical carcinoid). Grade 3 is called neuroendocrine carcinoma, which is further divided into small cell and large cell types.[3] There are no definite guidelines for the treatment of these colliding/composite tumors. But, whenever there is a high-grade neuroendocrine carcinoma then usually small-cell lung cancer guideline is followed. The outcome is generally poor.
Till now, only two cases of colliding tumor of the esophagus are reported. The first case by Dias et al. showed squamous cell and neuroendocrine carcinoma collision.[4] The second case by Wilson et al. showed the collision of large-cell neuroendocrine carcinoma with papillary carcinoma arising in Barrett's esophagus.[5] Till now, only seven cases of composite tumor of the esophagus are reported, and out of seven cases, five are in the squamous cell and neuroendocrine carcinoma combination.[6],[7],[8],[9],[10],[11],[12] Our case is different because we could not find any neuroendocrine component in the primary, that is, in esophageal biopsy as well as surgical specimen. We could find atypical carcinoid in subcarinal nodes only. The possible explanation could be because of neoadjuvant chemoradiation, which resolved carcinoid part along with minimal residual squamous component only left. Another explanation could be neuroendocrine primary from pancreato-biliary or colonic origin, in view of week positivity for CK7, CK20, and CDX2. However, distant metastasis from atypical carcinoid is very rare phenomenon, especially in the absence of obvious primary. Subsequent scans as well as colonoscopy could not find anything in the abdomen. Moreover, all cases reported so far are of high-grade neuroendocrine carcinoma with other histological types. However, our case showed morphologically as well as by IHC, features of atypical carcinoid (Ki67-4%) along with squamous-cell carcinoma. There is one-case report showing squamous-cell carcinoma converting to neuroendocrine carcinoma, on relapse after chemoradiation.[13] The combination of squamous-cell carcinoma and atypical carcinoid has been reported in the floor of the mouth by Yamagata et al.,[14] in the larynx by Davies-Husband et al.,[15] and in the lung by Okazaki et al.[16] Hence, to the best of our knowledge, this is the first such case of a combination of squamous-cell carcinoma esophagus with Grade 2 neuroendocrine tumor (atypical carcinoid).
Declaration of patient consent
The authors certify that they have obtained all appropriate patient consent forms. In the form the patient(s) has/have given his/her/their consent for his/her/their images and other clinical information to be reported in the journal. The patients understand that their names and initials will not be published and due efforts will be made to conceal their identity, but anonymity cannot be guaranteed.
Publication History
Received: 08 February 2018
Accepted: 29 November 2018
Article published online:
03 June 2021
© 2019. Indian Society of Medical and Paediatric Oncology. This is an open access article published by Thieme under the terms of the Creative Commons Attribution-NonDerivative-NonCommercial-License, permitting copying and reproduction so long as the original work is given appropriate credit. Contents may not be used for commercial purposes, or adapted, remixed, transformed or built upon. (https://creativecommons.org/licenses/by-nc-nd/4.0/).
Thieme Medical and Scientific Publishers Pvt. Ltd.
A-12, 2nd Floor, Sector 2, Noida-201301 UP, India
Sir,
Carcinoma esophagus is very common malignancy which is usually managed with chemoradiation or chemoradiation plus surgery and squamous cell and adenocarcinoma are the two most common types. Very rarely, we can have neuroendocrine carcinoma or tumor of the esophagus. Here, we are presenting a very rare, probably first such case of concurrent squamous-cell carcinoma of the esophagus along with atypical carcinoid tumor which was incidentally detected in residual node postchemoradiation and surgery.
A 52 year-old nonsmoker, alcoholic male patient with spinocerebellar ataxia as comorbidity, presented in November 2016, with a complaint of progressive dysphagia of 2 months duration. Upper gastrointestinal endoscopy showed circumferential growth in lower-third of the esophagus with luminal narrowing. Computed tomography (CT) of thorax showed 13-mm thick circumferential mural thickening involving long segment of the lower esophagus causing marked luminal narrowing [Figure 1]. There was 3.5 cm × 2.5 cm mass in the subcarinal region, compressing esophageal lumen along with the few perigastric nodes [Figure 2]. Positron-emission tomography (PET)-CT showed intense fluoro-deoxy-glucose (FDG) avid thickening in the lower third of esophagus with FDG avid lower paratracheal, subcarinal, and perigastric nodes. Biopsy from the esophagus was done which was suggestive of moderately differentiated squamous-cell carcinoma [Figure 3]. The patient received neoadjuvant chemoradiation with 41.4Gy/23#/5 weeks by 3D-conformal radiation therapy technique along with five cycles of chemotherapy with injection paclitaxel 60 mg/m2 and injection carboplatin area under the curve 2 weekly. There was significant response to the treatment. Subsequently, the patient underwent thoracoscopic esophagectomy with gastric pull with feeding jejunostomy in February 2017. Histopathology showed minimal residual squamous-cell carcinoma of the esophagus with subcarinal node showing features of neuroendocrine tumor [Figure 4]. Subsequently, immunohistochemistry (IHC) was done to confirm the histopathological findings. IHC in esophageal blocks showed strong positivity for CK 5/6 [Figure 5], P63 [Figure 6], and epithelial membrane antigen [Figure 7] in tumor and surface epithelium with Ki67-30% [Figure 8], suggestive of residual small focus of squamous-cell carcinoma. IHC on subcarinal node was negative for CK5/6 and P63, strongly positive for synaptophysin [Figure 9] plus chromogranin [Figure 10], and weekly positive for CK7 [Figure 11], CK20 [Figure 12], and CDX2 [Figure 13]. Ki67 index was 4% [Figure 14], overall suggestive of atypical carcinoid tumor. There was no symptom related to endocrine overactivity or carcinoid syndrome. Follow-up PET-CT was normal, and hence the patient was kept on close follow-up, but at the time of writing the paper, the patient was untraceable.
| Figure 1 Computed tomography of thorax sagittal view showing lower esophageal thickening with luminal compromise
| Figure 2 Computed tomography of thorax coronal view showing large subcarinal node
| Figure 3 Esophageal biopsy showing invasive tumor with features of squamoid differentiation (H and E, ×40)
| Figure 4 Lymph node showing metastatic tumor with cells arranged in sheets, nests, and trabeculae in desmoplastic stroma (H and E, ×40)
| Figure 5 Immunohistochemistry on esophageal specimen showing strong positivity for CK5/6
| Figure 6 Immunohistochemistry on esophageal specimen showing strong positivity for P63
| Figure 7 Immunohistochemistry on esophageal specimen showing strong positivity for epithelial membrane antigen
| Figure 8 Immunohistochemistry on esophageal specimen showing strong positivity for Ki-67
| Figure 9 Immunohistochemistry on subcarinal node showing strong positivity for synaptophysin
| Figure 10 Immunohistochemistry on subcarinal node showing strong positivity for chromogranin
| Figure 11 Immunohistochemistry on subcarinal node showing weak positivity for CK7
| Figure 12 Immunohistochemistry on subcarinal node showing weak positivity for CK20
| Figure 13 Immunohistochemistry on subcarinal node showing weak positivity for CDX2
| Figure 14 Immunohistochemistry on subcarinal node showing weak positivity for Ki-67
Carcinoma esophagus with neuroendocrine carcinoma is a very rare entity. There are two types of mixed tumors, namely, collision and composite. Collision tumor is composed of two independent tumors growing very closely, which subsequently collide with each other, ultimately forming a single mass. The cells of origin are different, and histopathology too shows clear demarcation between the two tumors.[1] The second type is composite tumors in which one neoplastic clone diverges into different cell lineages. The origin is from one single pluripotent stem cell.[2] Histopathology, IHC analysis, microsatellite instability testing, and electron microscopy can help distinguish between these two tumor types.[2] Although some degree of focal neuroendocrine differentiation is common in squamous-cell carcinomas, its clinical relevance is not very clear. The neuroendocrine tumors are graded from Grade 1-3. Grade 1 is <2>20 mitosis/HPF or Ki 67 >20%. Grade 1 and 2 are called neuroendocrine tumors (Grade 1-typical carcinoid and Grade 2-atypical carcinoid). Grade 3 is called neuroendocrine carcinoma, which is further divided into small cell and large cell types.[3] There are no definite guidelines for the treatment of these colliding/composite tumors. But, whenever there is a high-grade neuroendocrine carcinoma then usually small-cell lung cancer guideline is followed. The outcome is generally poor.
Till now, only two cases of colliding tumor of the esophagus are reported. The first case by Dias et al. showed squamous cell and neuroendocrine carcinoma collision.[4] The second case by Wilson et al. showed the collision of large-cell neuroendocrine carcinoma with papillary carcinoma arising in Barrett's esophagus.[5] Till now, only seven cases of composite tumor of the esophagus are reported, and out of seven cases, five are in the squamous cell and neuroendocrine carcinoma combination.[6],[7],[8],[9],[10],[11],[12] Our case is different because we could not find any neuroendocrine component in the primary, that is, in esophageal biopsy as well as surgical specimen. We could find atypical carcinoid in subcarinal nodes only. The possible explanation could be because of neoadjuvant chemoradiation, which resolved carcinoid part along with minimal residual squamous component only left. Another explanation could be neuroendocrine primary from pancreato-biliary or colonic origin, in view of week positivity for CK7, CK20, and CDX2. However, distant metastasis from atypical carcinoid is very rare phenomenon, especially in the absence of obvious primary. Subsequent scans as well as colonoscopy could not find anything in the abdomen. Moreover, all cases reported so far are of high-grade neuroendocrine carcinoma with other histological types. However, our case showed morphologically as well as by IHC, features of atypical carcinoid (Ki67-4%) along with squamous-cell carcinoma. There is one-case report showing squamous-cell carcinoma converting to neuroendocrine carcinoma, on relapse after chemoradiation.[13] The combination of squamous-cell carcinoma and atypical carcinoid has been reported in the floor of the mouth by Yamagata et al.,[14] in the larynx by Davies-Husband et al.,[15] and in the lung by Okazaki et al.[16] Hence, to the best of our knowledge, this is the first such case of a combination of squamous-cell carcinoma esophagus with Grade 2 neuroendocrine tumor (atypical carcinoid).
Declaration of patient consent
The authors certify that they have obtained all appropriate patient consent forms. In the form the patient(s) has/have given his/her/their consent for his/her/their images and other clinical information to be reported in the journal. The patients understand that their names and initials will not be published and due efforts will be made to conceal their identity, but anonymity cannot be guaranteed.
Conflict of Interest
There are no conflicts of interest.
References
- Pecorella I, Memeo L, Ciardi A, Rotterdam H. An unusual case of colonic mixed adenoendocrine carcinoma: Collision versus composite tumor. A case report and review of the literature. Ann Diagn Pathol 2007; 11: 285-90
- Fenoglio-Preiser CM. editor. Carcinomas and other epithelial and neuroendocrine tumors of the large intestine. In Gastrointestinal Pathology: An Atlas and Text. 2nd ed. Philadelphia: Lippincott-Raven; 1999: 909-10
- Faggiano A, Mansueto G, Ferolla P, Milone F, del Basso de Caro ML, Lombardi G. et al. Diagnostic and prognostic implications of the World Health Organization classification of neuroendocrine tumors. J Endocrinol Invest 2008; 31: 216-23
- Dias AR, Sallum RA, Zalc N, Ctenas BB, Ribeiro U, Cecconello I. Squamous cell carcinoma and neuroendocrine carcinoma colliding in the esophagus. Clinics (Sao Paulo) 2010; 65: 114-7
- Wilson CI, Summerall J, Willis I, Lubin J, Inchausti BC. Esophageal collision tumor (Large cell neuroendocrine carcinoma and papillary carcinoma) arising in a Barrett esophagus. Arch Pathol Lab Med 2000; 124: 411-5
- Yazıcı O, Aksoy S, Özhamam EU, Zengin N. Squamous cell and neuroendocrine carcinoma of esophagus: Collision versus composite tumor: A case report and review of literature. Indian J Cancer 2015; 52: 603-4
- Chong FK, Graham JH, Madoff IM. Mucin-producing carcinoid (“composite tumor”) of upper third of esophagus: A variant of carcinoid tumor. Cancer 1979; 44: 1853-9
- Nishimaki T, Nakagawa S, Aizawa K, Suzuki T, Hatakeyama K, Watanabe H. Composite tumor of the esophagus with tripartite differentiation. Dig Dis Sci 1997; 42: 1041-6
- Uǧraş S, Akpolat N, Er M, Yalçýnkaya I, Karaayvaz M. Primary composite tumour with bipartite differentiation of the esophagus. Acta Chir Belg 2000; 100: 39-43
- Nakagawa S, Nishimaki T, Kanda T, Suzuki T, Hatakeyama K. Composite tumor with papillary adenocarcinoma and squamous cell carcinoma of the esophagus: Report of a case. Surg Today 2000; 30: 364-7
- Lorenceau-Savale C, Pouzoulet J, Le Pessot F, Savoye G, Di Fiore F, Michel P. et al. Composite tumour of the oesophagus revealed by diffuse liver metastasis from its endocrine component. Dig Liver Dis 2006; 38: 861-2
- Bibeau F, Chateau MC, Guiu M, Assenat E, Azria D, Lavaill R. et al. Small cell carcinoma with concomitant adenocarcinoma arising in a Barrett's oesophagus: Report of a case with a favourable behaviour. Virchows Arch 2008; 452: 103-7
- Morita M, Saeki H, Nakaji YU, Zaitsu Y, Hirahashi M, Ohguri T. et al. Conversion to neuroendocrine carcinoma from squamous cell carcinoma of the esophagus after definitive chemoradiotherapy. Anticancer Res 2016; 36: 4045-9
- Yamagata K, Terada K, Uchida F, Kanno N, Hasegawa S, Yanagawa T. et al. Acase of primary combined squamous cell carcinoma with neuroendocrine (Atypical carcinoid) tumor in the floor of the mouth. Case Rep Dent 2016; 2016: 7532805
- Davies-Husband CR, Montgomery P, Premachandra D, Hellquist H. Primary, combined, atypical carcinoid and squamous cell carcinoma of the larynx: A new variety of composite tumour. J Laryngol Otol 2010; 124: 226-9
- Okazaki M, Sano Y, Soga Y, Katayama H, Sakao N, Shikatani Y. et al. Combined atypical carcinoid tumour and squamous cell carcinoma of the lung. Intern Med 2015; 54: 1385-8
Publication History
Received: 08 February 2018
Accepted: 29 November 2018
Article published online:
03 June 2021
© 2019. Indian Society of Medical and Paediatric Oncology. This is an open access article published by Thieme under the terms of the Creative Commons Attribution-NonDerivative-NonCommercial-License, permitting copying and reproduction so long as the original work is given appropriate credit. Contents may not be used for commercial purposes, or adapted, remixed, transformed or built upon. (https://creativecommons.org/licenses/by-nc-nd/4.0/).
Thieme Medical and Scientific Publishers Pvt. Ltd.
A-12, 2nd Floor, Sector 2, Noida-201301 UP, India
| Figure 1 Computed tomography of thorax sagittal view showing lower esophageal thickening with luminal compromise
| Figure 2 Computed tomography of thorax coronal view showing large subcarinal node
| Figure 3 Esophageal biopsy showing invasive tumor with features of squamoid differentiation (H and E, ×40)
| Figure 4 Lymph node showing metastatic tumor with cells arranged in sheets, nests, and trabeculae in desmoplastic stroma (H and E, ×40)
| Figure 5 Immunohistochemistry on esophageal specimen showing strong positivity for CK5/6
| Figure 6 Immunohistochemistry on esophageal specimen showing strong positivity for P63
| Figure 7 Immunohistochemistry on esophageal specimen showing strong positivity for epithelial membrane antigen
| Figure 8 Immunohistochemistry on esophageal specimen showing strong positivity for Ki-67
| Figure 9 Immunohistochemistry on subcarinal node showing strong positivity for synaptophysin
| Figure 10 Immunohistochemistry on subcarinal node showing strong positivity for chromogranin
| Figure 11 Immunohistochemistry on subcarinal node showing weak positivity for CK7
| Figure 12 Immunohistochemistry on subcarinal node showing weak positivity for CK20
| Figure 13 Immunohistochemistry on subcarinal node showing weak positivity for CDX2
| Figure 14 Immunohistochemistry on subcarinal node showing weak positivity for Ki-67
- Pecorella I, Memeo L, Ciardi A, Rotterdam H. An unusual case of colonic mixed adenoendocrine carcinoma: Collision versus composite tumor. A case report and review of the literature. Ann Diagn Pathol 2007; 11: 285-90
- Fenoglio-Preiser CM. editor. Carcinomas and other epithelial and neuroendocrine tumors of the large intestine. In Gastrointestinal Pathology: An Atlas and Text. 2nd ed. Philadelphia: Lippincott-Raven; 1999: 909-10
- Faggiano A, Mansueto G, Ferolla P, Milone F, del Basso de Caro ML, Lombardi G. et al. Diagnostic and prognostic implications of the World Health Organization classification of neuroendocrine tumors. J Endocrinol Invest 2008; 31: 216-23
- Dias AR, Sallum RA, Zalc N, Ctenas BB, Ribeiro U, Cecconello I. Squamous cell carcinoma and neuroendocrine carcinoma colliding in the esophagus. Clinics (Sao Paulo) 2010; 65: 114-7
- Wilson CI, Summerall J, Willis I, Lubin J, Inchausti BC. Esophageal collision tumor (Large cell neuroendocrine carcinoma and papillary carcinoma) arising in a Barrett esophagus. Arch Pathol Lab Med 2000; 124: 411-5
- Yazıcı O, Aksoy S, Özhamam EU, Zengin N. Squamous cell and neuroendocrine carcinoma of esophagus: Collision versus composite tumor: A case report and review of literature. Indian J Cancer 2015; 52: 603-4
- Chong FK, Graham JH, Madoff IM. Mucin-producing carcinoid (“composite tumor”) of upper third of esophagus: A variant of carcinoid tumor. Cancer 1979; 44: 1853-9
- Nishimaki T, Nakagawa S, Aizawa K, Suzuki T, Hatakeyama K, Watanabe H. Composite tumor of the esophagus with tripartite differentiation. Dig Dis Sci 1997; 42: 1041-6
- Uǧraş S, Akpolat N, Er M, Yalçýnkaya I, Karaayvaz M. Primary composite tumour with bipartite differentiation of the esophagus. Acta Chir Belg 2000; 100: 39-43
- Nakagawa S, Nishimaki T, Kanda T, Suzuki T, Hatakeyama K. Composite tumor with papillary adenocarcinoma and squamous cell carcinoma of the esophagus: Report of a case. Surg Today 2000; 30: 364-7
- Lorenceau-Savale C, Pouzoulet J, Le Pessot F, Savoye G, Di Fiore F, Michel P. et al. Composite tumour of the oesophagus revealed by diffuse liver metastasis from its endocrine component. Dig Liver Dis 2006; 38: 861-2
- Bibeau F, Chateau MC, Guiu M, Assenat E, Azria D, Lavaill R. et al. Small cell carcinoma with concomitant adenocarcinoma arising in a Barrett's oesophagus: Report of a case with a favourable behaviour. Virchows Arch 2008; 452: 103-7
- Morita M, Saeki H, Nakaji YU, Zaitsu Y, Hirahashi M, Ohguri T. et al. Conversion to neuroendocrine carcinoma from squamous cell carcinoma of the esophagus after definitive chemoradiotherapy. Anticancer Res 2016; 36: 4045-9
- Yamagata K, Terada K, Uchida F, Kanno N, Hasegawa S, Yanagawa T. et al. Acase of primary combined squamous cell carcinoma with neuroendocrine (Atypical carcinoid) tumor in the floor of the mouth. Case Rep Dent 2016; 2016: 7532805
- Davies-Husband CR, Montgomery P, Premachandra D, Hellquist H. Primary, combined, atypical carcinoid and squamous cell carcinoma of the larynx: A new variety of composite tumour. J Laryngol Otol 2010; 124: 226-9
- Okazaki M, Sano Y, Soga Y, Katayama H, Sakao N, Shikatani Y. et al. Combined atypical carcinoid tumour and squamous cell carcinoma of the lung. Intern Med 2015; 54: 1385-8
PDF
Views
Share

