Docetaxel-Induced Lung Injury: An Under-Recognized Complication of a Commonly Used Chemotherapeutic Agent
CC BY-NC-ND 4.0 · Indian J Med Paediatr Oncol 2019; 40(02): 208-211
DOI: DOI: 10.4103/ijmpo.ijmpo_59_18
Abstract
Background: Docetaxel-induced pneumonitis is a rare, but potentially serious complication of a commonly used chemotherapeutic agent. Methods: We performed an audit of patients with suspected docetaxel pneumonitis from the tertiary cancer center. Results: Out of 477 patients who received docetaxel over a 1 year period, eight patients (1.7%) developed lung injury. All patients (median age: 43 years [34–65]) had breast cancer (four metastatic on palliative docetaxel, two were on neoadjuvant, and two were on adjuvant therapy) and had received a median of three cycles of docetaxel 75 mg/m2 in a 3 weekly schedule (7 as single agent and 1 in combination with cyclophosphamide). One patient had the preexisting pulmonary disease (localized bronchiectasis), and four had received prior radiation to the chest wall or dorsal spine. The median time from administration of the last dose was 16 days (8–28). Most (n = 6/8, 75%) required hospitalization. Three patients with CTCAE Grade 3 pneumonitis required oxygen support. Radiology showed a pattern of interstitial pneumonitis in most patients. All the patients responded to steroids and follow-up imaging showed resolution of infiltrates. The median duration of hospital stay was 8.5 days (7–18 days). There was no mortality due to this condition. Conclusions: Drug-induced lung injury should be considered in patients presenting with respiratory symptoms after administration of docetaxel. Timely initiation of steroids could reduce complications.
Publication History
Article published online:
03 June 2021
© 2019. Indian Society of Medical and Paediatric Oncology. This is an open access article published by Thieme under the terms of the Creative Commons Attribution-NonDerivative-NonCommercial-License, permitting copying and reproduction so long as the original work is given appropriate credit. Contents may not be used for commercial purposes, or adapted, remixed, transformed or built upon. (https://creativecommons.org/licenses/by-nc-nd/4.0/).
Thieme Medical and Scientific Publishers Pvt. Ltd.
A-12, 2nd Floor, Sector 2, Noida-201301 UP, India
Abstract
Background: Docetaxel-induced pneumonitis is a rare, but potentially serious complication of a commonly used chemotherapeutic agent. Methods: We performed an audit of patients with suspected docetaxel pneumonitis from the tertiary cancer center. Results: Out of 477 patients who received docetaxel over a 1 year period, eight patients (1.7%) developed lung injury. All patients (median age: 43 years [34–65]) had breast cancer (four metastatic on palliative docetaxel, two were on neoadjuvant, and two were on adjuvant therapy) and had received a median of three cycles of docetaxel 75 mg/m2 in a 3 weekly schedule (7 as single agent and 1 in combination with cyclophosphamide). One patient had the preexisting pulmonary disease (localized bronchiectasis), and four had received prior radiation to the chest wall or dorsal spine. The median time from administration of the last dose was 16 days (8–28). Most (n = 6/8, 75%) required hospitalization. Three patients with CTCAE Grade 3 pneumonitis required oxygen support. Radiology showed a pattern of interstitial pneumonitis in most patients. All the patients responded to steroids and follow-up imaging showed resolution of infiltrates. The median duration of hospital stay was 8.5 days (7–18 days). There was no mortality due to this condition. Conclusions: Drug-induced lung injury should be considered in patients presenting with respiratory symptoms after administration of docetaxel. Timely initiation of steroids could reduce complications.
Introduction
Docetaxel is a chemotherapeutic agent widely used in medical oncology practice. Pulmonary toxicity in the form of interstitial pneumonitis has been associated with docetaxel and reported when used for lung, breast, and prostate cancer.[1] [2] Although rare, the identification of this complication is important as it has been associated with up to 40% mortality in certain series.[3] We present a descriptive audit of patients with suspected docetaxel associated lung injury from a single institute.
Methods
We reviewed the records 477 patients who received docetaxel over a 1 year period (June 2015 and 2016). Among these, patients who presented with respiratory symptoms within 4 weeks of administration of docetaxel were identified. After excluding patients with overt signs of infection (fever, productive cough, and preexisting upper respiratory symptoms) and those who had overt metastatic disease involving the lungs, we identified eight patients (all 8 had breast cancer) with possible drug-induced lung injury. The records of these were assessed for disease characteristics, details of chemotherapy, clinical presentation, laboratory and radiological features, treatment details, and outcomes.
Results
The indications for the use of docetaxel were breast cancer (n = 417, 87%), prostate cancer (n = 23, 5%), and lung cancer (n = 16, 3%). All patients received docetaxel 75 mg/m2 once in 3 weeks (with standard dose modifications for poor performance status/age/prior toxicity). Patients received premedications including dexamethasone as per institutional protocol and were continued on oral dexamethasone for three more days.
Clinical features
Among the 8 (1.7%) patients with possible docetaxel lung injury [Table 1], median age was 43 years (34–65 years). Four patients (50%) had metastatic disease (none had lung/pleural metastasis). Two patients (25%) were on neoadjuvant chemotherapy, and the other two (25%) were on adjuvant treatment. One patient had the preexisting pulmonary disease (localized bronchiectasis). Four patients had received prior radiation to the chest wall or dorsal spine as part of breast cancer treatment. One patient received docetaxel in combination with cyclophosphamide (600 mg/m2), and the other 7 received it as a single agent. Co-administered medications included pegylated granulocyte-colony-stimulating factor (n = 1) and zoledronic acid (n = 1).
|
Number |
Age |
Stage |
Rx setting |
Number of cyclesa |
Number of daysb |
Growth factorc |
Prior RT |
Major symptom |
Grade of pneumonitis |
In-patient duration (days) |
Outcome |
|---|---|---|---|---|---|---|---|---|---|---|---|
|
aNumber of cycles of docetaxel delivered before the occurrence of pulmonary toxicity; bNumber of days which had elapsed from the last dose of the docetaxel before the occurrence of pulmonary symptoms; cDuring the therapy with docetaxel. NACT - Neoadjuvant chemotherapy; RT - Radiation therapy |
|||||||||||
|
1 |
38 |
III |
NACT |
3 |
18 |
No |
Yes |
Dyspnea |
III |
18 |
Resolution |
|
2 |
65 |
IV |
Palliative |
3 |
23 |
No |
No |
Dyspnea |
II |
0 |
Resolution |
|
3 |
42 |
III |
NACT |
3 |
28 |
No |
No |
Dyspnea |
II |
0 |
Resolution |
|
4 |
40 |
IV |
Palliative |
4 |
17 |
No |
Yes |
Dyspnea |
III |
9 |
Resolution |
|
5 |
55 |
III |
Adjuvant |
4 |
8 |
Yes |
Yes |
Dyspnea |
III |
8 |
Resolution |
|
6 |
48 |
IV |
Palliative |
3 |
15 |
No |
Yes |
Cough |
II |
15 |
Resolution |
|
7 |
36 |
II |
NACT |
3 |
12 |
No |
Yes |
Dyspnea |
II |
8 |
Resolution |
|
8 |
45 |
IV |
Palliative |
3 |
15 |
No |
No |
Dyspnea |
II |
9 |
Resoluton |
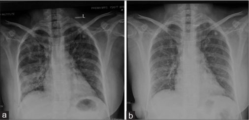
| Figure 1 Pretreatment X-ray showing interstitial infiltrates involving mid and lower zones (a) with significant resolution after treatment (b)
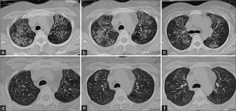
| Figure 2 Pretreatment computed tomography scan - axial high resolution sections in lung windows show diffuse perihilar groung glass haziness and peribronchial thickening in bilateral mid zones (a-c). The same patient’s posttreatment corresponding high resolution sections show marked resolution of the interstitial pneumonitis (d-f)
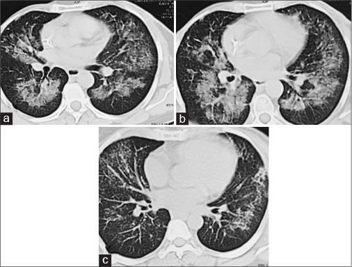
| Figure 3 Pretreatment computed tomography scan - axial high resolution sections in lung windows show diffuse perihilar groung glass haziness and peribronchial thickening in bilateral mid zones (a and b). Posttreatment high resolution sections show significant improvement in the interstitial pneumonitis with patchy residual ground glass haziness (c)
Management and outcomes
Most (n = 6/8, 75%) required initial hospitalization. Three patients with CTCAE Grade 3 pneumonitis required oxygen support. Bronchoscopy was done in six patients-no airway abnormalities, inflammation, or secretions were noted in any of the studies. Bronchoalveolar fluid (BAL) was negative for acid-fast bacillus and fungal stains in all six. Although there was no fever, all the patients underwent workup for infectious causes and received empiric broad-spectrum antibiotics considering the severity of the symptoms. Furthermore, none of the patients were neutropenic. There was no response to antibiotics in any of these patients and all of these patients had significant improvement in their symptoms only after treatment with steroids.
All the patients were started oral prednisolone at a dose of 1 mg/kg and were tapered over 2–3 weeks in responding patients. In all but the 3 patients requiring oxygen support, prednisolone was started after 2–3 days of antibiotics and after CT scan images were reviewed. High dose cotrimoxazole was used to cover pneumocystis in one patient (based on radiological suspicion), which was discontinued after the negative BAL. Two patients required early taper due to hyperglycemia and due to herpes Zoster reactivation but remained symptom-free. In one patient, Tablet Pirfenidone was also started as per the advice of the pulmonologist. The median duration of hospital stay was 8.5 days (7–18 days). There was no recurrence of symptoms in any of the patients during subsequent follow-up. Anti-cancer therapy was resumed wherever indicated, but none were rechallenged with taxanes.
Discussion
Our audit identified a series of eight patients over a period of 1 year with possible docetaxel-induced acute lung injury. Although this is a rare complication of a relatively commonly used chemotherapeutic agent, it is well-recognized. The largest number of cases with pneumonitis (18 cases) were reported in a series of patients with lung cancer from Japan.[1] Although one may suspect the diagnosis based on clinicoradiological information, the diagnosis of “docetaxel-induced pneumonitis” is a diagnosis of exclusion.[4] In our series, the timing of onset of symptoms, the interstitial pattern of infiltrates and response to steroids were the strong pointers toward the diagnosis of drug-induced lung injury. Although some patients did grow bacterial pathogens in the BAL fluid, lack of fever, the absence of response to antibiotics and radiology suggestive of an interstitial pattern of infiltration were all against a diagnosis of bacterial pneumonitis. Furthermore, there was no evidence to suggest pneumocystis infection after investigations including BAL.[5]
All our patients received 3 weekly cycles of docetaxel, and the overall incidence was 1.7%. In the largest published series of docetaxel-related lung injury in patients with lung cancer (n = 392) incidence was 4.6%.[1] However, more than two-third of patients in that series had preexisting lung abnormalities, unlike our patients. Combination of cyclophosphamide with docetaxel producing pneumonitis is also previously reported, and one of our patients had received this combination. Apart from prexisting lung diseases, use of drugs like gemcitabine and radiation exposure have also been associated with pneumonitis.[6] [7] In most of the series, patients develop pneumonitis 2–3 weeks after chemotherapy. However, there are case reports where this occurred as early as 3 days.[8] Most of the patients presented during second to the fourth cycle of docetaxel similar to our report. However, it can be as early as one cycle and as late as nine cycles.[6] To make sure this rare complication is not related to any particular brand, we checked the details of the batch number, brand and manufacturers which were different for each patient.
Although the exact mechanism of lung injury is debatable, the most common pattern of lung injury described is that of hypersensitivity pneumonitis.[9] Some studies have reported that bronchoscopy and bronchoalveolar lavage may give some evidence to support the diagnosis of drug-induced pneumonitis based on lymphocytic alveolitis, leukocytosis, and a low CD4/CD8 ratio.[4] Transbronchial lung biopsy may show nonspecific alveolar and interstitial edema with mononuclear cellular infiltrate.[10]
Docetaxel-induced pneumonitis is a potentially serious complication with high mortality rates.[6] In other reported cases also, prednisolone was the main drug used for treatment along with other supportive measures, and many of them required ventilatory support. In our series, all patients had a resolution of symptoms, and there was no mortality which was possibly due to early institution of steroids based on the atypical radiological findings. This is one of the largest series of possible docetaxel pneumonitis in patients with breast cancer.
Conclusions
Docetaxel-induced lung injury is a rare but well-described complication commonest form of presentation in interstitial pneumonitis. It is a diagnosis of exclusion and high index of suspicion is required to identify this uncommon problem. It should be considered as an important differential diagnosis in patients on docetaxel who presents with respiratory distress. Early detection and appropriate treatment including steroids are important to prevent mortality.
Conflict of Interest
There are no conflicts of interest.
- Tamiya A, Naito T, Miura S, Morii S, Tsuya A, Nakamura Y. et al. Interstitial lung disease associated with docetaxel in patients with advanced non-small cell lung cancer. Anticancer Res 2012; 32: 1103-6
- Merad M, Le Cesne A, Baldeyrou P, Mesurolle B, Le Chevalier T. Docetaxel and interstitial pulmonary injury. Ann Oncol 1997; 8: 191-4
- Read WL, Mortimer JE, Picus J. Severe interstitial pneumonitis associated with docetaxel administration. Cancer 2002; 94: 847-53
- Nagata S, Ueda N, Yoshida Y, Matsuda H, Maehara Y. Severe interstitial pneumonitis associated with the administration of taxanes. J Infect Chemother 2010; 16: 340-4
- Hasskarl J, Schroettner P, von den Berg A, Rueckert A, Frydrychowicz A, Kayser G. et al. Severe organizing pneumonia after two cycles of docetaxel as fourth-line chemotherapy for advanced non-small cell carcinoma of the lung. Case Rep Oncol 2009; 2: 12-9
- Ochoa R, Bejarano PA, Glück S, Montero AJ. Pneumonitis and pulmonary fibrosis in a patient receiving adjuvant docetaxel and cyclophosphamide for stage 3 breast cancer: A case report and literature review. J Med Case Rep 2012; 6: 413
- Kouroussis C, Mavroudis D, Kakolyris S, Voloudaki A, Kalbakis K, Souglakos J. et al. High incidence of pulmonary toxicity of weekly docetaxel and gemcitabine in patients with non-small cell lung cancer: Results of a dose-finding study. Lung Cancer 2004; 44: 363-8
- Wang CJ, Chang HT, Chang CY. Docetaxel-related interstitial pneumonitis. Ther Clin Risk Manag 2015; 11: 1813-6
- Pankowska-Supryn M, Załęska M, Roszkowska-Śliż B, Roszkowski-Śliż K. Interstitial lung disease associated with docetaxel in a patient treated for breast cancer – A case report. Pneumonol Alergol Pol 2015; 83: 378-82
- Min BD, Kang HW, Kim WT, Kim YJ, Yun SJ, Lee SC. et al. Docetaxel-induced fatal interstitial pneumonitis in a patient with castration-resistant prostate cancer. Korean J Urol 2012; 53: 371-4
Address for correspondence
Publication History
Article published online:
03 June 2021
© 2019. Indian Society of Medical and Paediatric Oncology. This is an open access article published by Thieme under the terms of the Creative Commons Attribution-NonDerivative-NonCommercial-License, permitting copying and reproduction so long as the original work is given appropriate credit. Contents may not be used for commercial purposes, or adapted, remixed, transformed or built upon. (https://creativecommons.org/licenses/by-nc-nd/4.0/).
Thieme Medical and Scientific Publishers Pvt. Ltd.
A-12, 2nd Floor, Sector 2, Noida-201301 UP, India
| Figure 1 Pretreatment X-ray showing interstitial infiltrates involving mid and lower zones (a) with significant resolution after treatment (b)
| Figure 2 Pretreatment computed tomography scan - axial high resolution sections in lung windows show diffuse perihilar groung glass haziness and peribronchial thickening in bilateral mid zones (a-c). The same patient’s posttreatment corresponding high resolution sections show marked resolution of the interstitial pneumonitis (d-f)
| Figure 3 Pretreatment computed tomography scan - axial high resolution sections in lung windows show diffuse perihilar groung glass haziness and peribronchial thickening in bilateral mid zones (a and b). Posttreatment high resolution sections show significant improvement in the interstitial pneumonitis with patchy residual ground glass haziness (c)
References
- Tamiya A, Naito T, Miura S, Morii S, Tsuya A, Nakamura Y. et al. Interstitial lung disease associated with docetaxel in patients with advanced non-small cell lung cancer. Anticancer Res 2012; 32: 1103-6
- Merad M, Le Cesne A, Baldeyrou P, Mesurolle B, Le Chevalier T. Docetaxel and interstitial pulmonary injury. Ann Oncol 1997; 8: 191-4
- Read WL, Mortimer JE, Picus J. Severe interstitial pneumonitis associated with docetaxel administration. Cancer 2002; 94: 847-53
- Nagata S, Ueda N, Yoshida Y, Matsuda H, Maehara Y. Severe interstitial pneumonitis associated with the administration of taxanes. J Infect Chemother 2010; 16: 340-4
- Hasskarl J, Schroettner P, von den Berg A, Rueckert A, Frydrychowicz A, Kayser G. et al. Severe organizing pneumonia after two cycles of docetaxel as fourth-line chemotherapy for advanced non-small cell carcinoma of the lung. Case Rep Oncol 2009; 2: 12-9
- Ochoa R, Bejarano PA, Glück S, Montero AJ. Pneumonitis and pulmonary fibrosis in a patient receiving adjuvant docetaxel and cyclophosphamide for stage 3 breast cancer: A case report and literature review. J Med Case Rep 2012; 6: 413
- Kouroussis C, Mavroudis D, Kakolyris S, Voloudaki A, Kalbakis K, Souglakos J. et al. High incidence of pulmonary toxicity of weekly docetaxel and gemcitabine in patients with non-small cell lung cancer: Results of a dose-finding study. Lung Cancer 2004; 44: 363-8
- Wang CJ, Chang HT, Chang CY. Docetaxel-related interstitial pneumonitis. Ther Clin Risk Manag 2015; 11: 1813-6
- Pankowska-Supryn M, Załęska M, Roszkowska-Śliż B, Roszkowski-Śliż K. Interstitial lung disease associated with docetaxel in a patient treated for breast cancer – A case report. Pneumonol Alergol Pol 2015; 83: 378-82
- Min BD, Kang HW, Kim WT, Kim YJ, Yun SJ, Lee SC. et al. Docetaxel-induced fatal interstitial pneumonitis in a patient with castration-resistant prostate cancer. Korean J Urol 2012; 53: 371-4
PDF
Views
Share

