Early-onset unusual second cancers – More nightmare in a resource-constrained setting: A report from Lagos, Nigeria
CC BY-NC-ND 4.0 · Indian J Med Paediatr Oncol 2019; 40(01): 137-140
DOI: DOI: 10.4103/ijmpo.ijmpo_244_17
Abstract
Second cancers are not quite common in the pediatric age group, and they are described as histologically distinct cancers from the initial cancer. This study aimed to report the occurrence of second cancers among a cohort of children treated for cancers in Lagos, Nigeria. The report was compiled from the Department of Pediatrics, Lagos University Teaching Hospital, between January 2015 and June 2017. Ethical approval was obtained from the hospital's Research and Ethics Committee. Parental consent was also obtained to publish the reports. A total of one hundred and seventy nine children were treated in the period under review for various malignancies and all those on follow up were included. Two children developed second cancers within 15 months of completing treatment. Extensive genetic testing and surveillance is advocated for children treated in resource-limited settings.
Publication History
Article published online:
08 June 2021
© 2019. Indian Society of Medical and Paediatric Oncology. This is an open access article published by Thieme under the terms of the Creative Commons Attribution-NonDerivative-NonCommercial-License, permitting copying and reproduction so long as the original work is given appropriate credit. Contents may not be used for commercial purposes, or adapted, remixed, transformed or built upon. (https://creativecommons.org/licenses/by-nc-nd/4.0/).
Thieme Medical and Scientific Publishers Pvt. Ltd.
A-12, 2nd Floor, Sector 2, Noida-201301 UP, India
Abstract
Second cancers are not quite common in the pediatric age group, and they are described as histologically distinct cancers from the initial cancer. This study aimed to report the occurrence of second cancers among a cohort of children treated for cancers in Lagos, Nigeria. The report was compiled from the Department of Pediatrics, Lagos University Teaching Hospital, between January 2015 and June 2017. Ethical approval was obtained from the hospital's Research and Ethics Committee. Parental consent was also obtained to publish the reports. A total of one hundred and seventy nine children were treated in the period under review for various malignancies and all those on follow up were included. Two children developed second cancers within 15 months of completing treatment. Extensive genetic testing and surveillance is advocated for children treated in resource-limited settings.
Keywords
Chemotherapy - early onset - radiotherapy - second cancerIntroduction
The chances of long-term survival for children treated for cancers in resource-constrained settings are quite low when compared to figures from the West. A second cancer is defined as a histologically distinct malignancy from the initial cancer diagnosis.[1]
The improved overall survival statistics for children with cancers can be attributed to the use of combination chemotherapy and radiotherapy.[2],[3],[4] Thus, the risk of complications following such intense interventions cannot be overemphasized. It is estimated that approximately 6%–10% of all cancer diagnoses in the United States are second cancers.[2] Furthermore, the second malignancies are more common following the treatment of mainly solid tumors that will require the use of both chemotherapy and radiotherapy.[2],[3] It is estimated that most second cancers will present between 8 and 13 years after primary treatment usually during follow-up.[3]
Second cancers confer a worse prognosis on the affected individual. It has been noticed that the second cancers are far more common among survivors of childhood cancers when compared to the general population.[3] It has also been postulated that the second cancers are somewhat dependent on the age of the first cancer, the dose of ionizing radiation used for treatment, and the chemotherapeutic agent used for treatment among other factors.[4],[5],[6] We report two patients who developed second cancers within a year of completing treatment.
Case 1
A 4-year-old boy was initially seen in February 2015 with 3-month complaint of right shoulder pain and swelling which was not post trauma. Swelling progressively increased in size until presentation. The swelling was said to have significantly increased in size following an attempt at incision and drainage. He also had weight loss and fever. There was no swelling in other parts of the body.
Examination at initial presentation showed a scapular swelling of size 10 cm × 6 cm which was firm and nontender with associated lymph nodes in the right axilla.
He had a computed tomography (CT) scan performed which suggested a rhabdomyosarcoma and an incisional biopsy with histology. Histology revealed small, round blue cells, and immunohistochemistry confirmed embryonal rhabdomyosarcoma. No cytogenetics was done, and bone marrow was clear.
He had six courses of vincristine, actinomycin D, and cyclophosphamide with wide local excision of the primary site. He was unable to have radiotherapy. Swelling disappeared, and repeat images showed no evidence of disease. He completed therapy at the end of 2015 and was placed on follow-up. A year after completing treatment, the patient's mother noticed a swelling in the right axilla which was initially the size of a lime but progressively increased to the size of an apple. No tenderness or fever was recorded. There was no history of weight loss. Examination revealed a firm swelling in the right axilla measuring 7 cm × 9 cm with an ulcerated tip. Discrete lymph nodes were palpated in the axilla, with the largest measuring 2.5 cm × 1.5 cm.
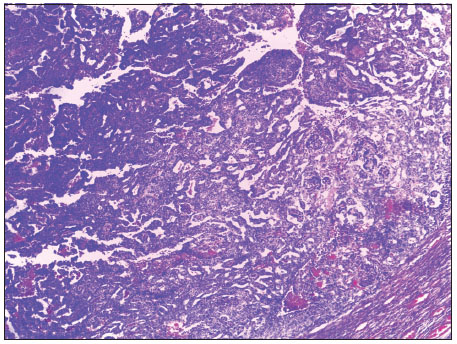
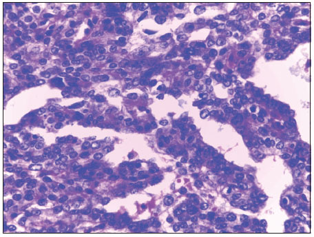
He had a wide local excisional biopsy which revealed porocarcinoma on histology. He has been treated for the new diagnosis and is now on follow-up. Pictorial representation is shown in [Figure 1], [Figure 2], [Figure 3].
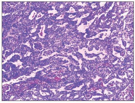
| Figure 1 Malignant adnexal skin tumor. Low‑power photomicrograph showing central cystic area with tumor cells. (H and E, ×40)
| Figure 2 Malignant adnexal skin tumor. Medium-power photomicrograph showing central cystic area with tumor cells. (H and E, ×100)
| Figure 3 Malignant adnexal skin tumor, High-power photomicrograph showing basaloid epithelial cells with frequent mitotic activity (arrows). (H and E, ×400)
Case 2
A 16-year-old boy was first seen in 2012 with complaints of weight loss, recurrent fever, and multiple lymph node enlargement. There was a history of chronic cough and occasional night sweats. He had repeated blood transfusion and progressively developed bone pain. Initial examination revealed multiple lymph node enlargements and hepatosplenomegaly. Chest radiograph did not show a mediastinal mass. He had lymph node biopsy, bone marrow aspirate, and trephine biopsy. Lymph node biopsy showed high-grade non-Hodgkin's lymphoma on histology, whereas the bone marrow aspirate and trephine confirmed lymphoblastic lymphoma which was confirmed by immunohistochemistry. Cytogenetics was not done. He was subsequently treated on the BFM-95 protocol, and he completed treatment in 2015. On completion of treatment, minimal residual disease done was as follows: (CD: 3%–5.5%, CD: 4%–3.0%, CD: 7%–3.4%, CD: 8%–2.2%, CD: 19%–1.1%, CD: 45%–26.8%, Kappa-0.5%, lambda-0.6%, and cytoplasmic CD: 3%–5.4%) 1% mature B-cell precursors are present, <0>
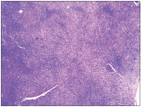
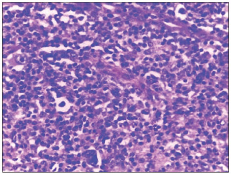
Eight months after completion of treatment, he developed right-sided neck swelling with a cough, progressive weight loss, and night sweats over 6 weeks. He had a chest CT scan which confirmed a mediastinal mass, and lymph node biopsy confirmed (lymphocyte rich) classical Hodgkin's lymphoma. He had a bone marrow aspirate and trephine biopsy which were clear of the disease. He subsequently received two courses of vincristine, etoposide, prednisolone, and doxorubicin (OEPA) and four courses of cyclophosphamide, vincristine, prednisolone, dacarbazine (COPDAC) and is currently on follow-up since completing treatment. Pictorial representation is shown in [Figure 4], [Figure 5], [Figure 6].
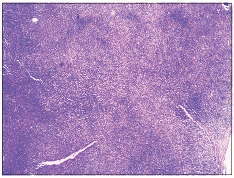
| Figure 4 Hodgkin’s lymphoma. Low-power photomicrograph showing parenchymal architectural disarray. (H and E, ×40)
| Figure 5 Hodgkin’s lymphoma. Medium-power photomicrograph showing predominant lymphocytic background with few eosinophils. (H and E, ×100)
| Figure 6 Hodgkin’s Lymphoma. High-power photomicrograph showing several RS cell variants in one field- mononuclear (down arrow), mummified (left arrow), and lacunar (double arrows) cell variants. (H and E, ×400)
Discussion
The treatment of cancers in children has evolved over the years with the use of combination chemotherapy and radiation, leading to improved outcomes. However, late effects have become a major issue with survivors, and second malignancies are the most severe. The cumulative incidence of second malignancies is over 3 % after two decades of follow-up.[2]
In a cohort of 9720 children treated for acute lymphoblastic leukemia (ALL) and followed up for 16 years, 2.5% of the cohort developed second cancers at a median time of 6 years from the initial diagnosis. Brain tumors accounted for 56% of second cancers while new leukemias and lymphomas were next. The overall pattern of risk of second cancers was 0.3%, 1.52%, and 2.53%, respectively, at 5, 10, and 15 years.[7] This finding is further corroborated by a more recent review which confirmed that brain tumors were still the most common second cancer following treatment for ALL; however, lymphomas were not as common as in the previous study.[2] The 20–30-year cumulative incidence for second cancer after ALL treatment ranged from 3.2% to 9.3%.[2],[8]
The patient presented developed a second cancer 4 years from initial diagnosis, and Hodgkin's disease is an unusual second cancer in survivors of ALL treatment. This may suggest a more complex interaction between host genetics and the environment.
Cohen et al.[9] reviewed 1499 children diagnosed with soft-tissue sarcoma over 27 years and reported that 28 of those treated developed a second cancer, with the risk of second cancer greatest among those with rhabdomyosarcoma. The risks were higher for those treated with radiotherapy and chemotherapy. The most prevalent second cancer was acute myeloid leukemia and melanomas. The patient reported had a porocarcinoma which is a rare eccrine gland tumor. The patient reported did not have the benefit of radiotherapy and had a short course of chemotherapy. However, he did receive etoposide which has been known to increase the risk of second cancer.[5]
Conclusion
The effect of genetics in the development of second cancers among survivors of childhood cancer treatment cannot be overemphasized. The complex interaction between genetics, cancer etiology, and response to therapy as well as the development of second cancers will need more intense review among African children. It is necessary to have cytogenetic analysis as a routine procedure in children treated with cancers as is the practice in the developed world.
Ethical approval
The authors received documented consent from the parents, and it is available for the editor-in-chief to view.
Declaration of patient consent
The authors would like to certify that they have obtained all appropriate patient consent forms. In the form, the patient's parents have given their consent for their child's images and other clinical information to be reported in the journal. The parents understands that their child's name and initials will not be published and due efforts will be made to conceal identity but anonymity cannot be guaranteed.
Conflict of Interest
There are no conflicts of interest.
- Neugut AT, Meadows AT, Robinson E. editors. Multiple Primary Cancers. Philadelphia: Lippincott Williams & Wilkins; 1999; p: 3-10
- Neglia JP, Friedman DL, Yasui Y, Mertens AC, Hammond S, Stovall M. et al. Second malignant neoplasms in five-year survivors of childhood cancer: Childhood cancer survivor study. J Natl Cancer Inst 2001; 93: 618-29
- Bhatia S, Robison LL, Oberlin O, Greenberg M, Bunin G, Fossati-Bellani F. et al. Breast cancer and other second neoplasms after childhood Hodgkin's disease. N Engl J Med 1996; 334: 745-51
- Meadows AT. Risk factors for second malignant neoplasms: Report from the late effects study group. Bull Cancer 1988; 75: 125-30
- Hawkins MM, Wilson LM, Stovall MA, Marsden HB, Potok MH, Kingston JE. et al. Epipodophyllotoxins, alkylating agents, and radiation and risk of secondary leukaemia after childhood cancer. BMJ 1992; 304: 951-8
- Nichols CR, Breeden ES, Loehrer PJ, Williams SD, Einhorn LH. Secondary leukemia associated with a conventional dose of etoposide: Review of serial germ cell tumor protocols. J Natl Cancer Inst 1993; 85: 36-40
- Neglia JP, Meadows AT, Robison LL, Kim TH, Newton WA, Ruymann FB. et al. Second neoplasms after acute lymphoblastic leukemia in childhood. N Engl J Med 1991; 325: 1330-6
- Mody R, Li S, Dover DC, Sallan S, Leisenring W, Oeffinger KC. et al. Twenty-five-year follow-up among survivors of childhood acute lymphoblastic leukemia: A report from the childhood cancer survivor study. Blood 2008; 111: 5515-23
- Cohen RJ, Curtis RE, Inskip PD, Fraumeni JFJr. The risk of developing second cancers among survivors of childhood soft tissue sarcoma. Cancer 2005; 103: 2391-6
Address for correspondence
Publication History
Article published online:
08 June 2021
© 2019. Indian Society of Medical and Paediatric Oncology. This is an open access article published by Thieme under the terms of the Creative Commons Attribution-NonDerivative-NonCommercial-License, permitting copying and reproduction so long as the original work is given appropriate credit. Contents may not be used for commercial purposes, or adapted, remixed, transformed or built upon. (https://creativecommons.org/licenses/by-nc-nd/4.0/).
Thieme Medical and Scientific Publishers Pvt. Ltd.
A-12, 2nd Floor, Sector 2, Noida-201301 UP, India
| Figure 1 Malignant adnexal skin tumor. Low‑power photomicrograph showing central cystic area with tumor cells. (H and E, ×40)
| Figure 2 Malignant adnexal skin tumor. Medium-power photomicrograph showing central cystic area with tumor cells. (H and E, ×100)
| Figure 3 Malignant adnexal skin tumor, High-power photomicrograph showing basaloid epithelial cells with frequent mitotic activity (arrows). (H and E, ×400)
| Figure 4 Hodgkin’s lymphoma. Low-power photomicrograph showing parenchymal architectural disarray. (H and E, ×40)
| Figure 5 Hodgkin’s lymphoma. Medium-power photomicrograph showing predominant lymphocytic background with few eosinophils. (H and E, ×100)
| Figure 6 Hodgkin’s Lymphoma. High-power photomicrograph showing several RS cell variants in one field- mononuclear (down arrow), mummified (left arrow), and lacunar (double arrows) cell variants. (H and E, ×400)
- Neugut AT, Meadows AT, Robinson E. editors. Multiple Primary Cancers. Philadelphia: Lippincott Williams & Wilkins; 1999; p: 3-10
- Neglia JP, Friedman DL, Yasui Y, Mertens AC, Hammond S, Stovall M. et al. Second malignant neoplasms in five-year survivors of childhood cancer: Childhood cancer survivor study. J Natl Cancer Inst 2001; 93: 618-29
- Bhatia S, Robison LL, Oberlin O, Greenberg M, Bunin G, Fossati-Bellani F. et al. Breast cancer and other second neoplasms after childhood Hodgkin's disease. N Engl J Med 1996; 334: 745-51
- Meadows AT. Risk factors for second malignant neoplasms: Report from the late effects study group. Bull Cancer 1988; 75: 125-30
- Hawkins MM, Wilson LM, Stovall MA, Marsden HB, Potok MH, Kingston JE. et al. Epipodophyllotoxins, alkylating agents, and radiation and risk of secondary leukaemia after childhood cancer. BMJ 1992; 304: 951-8
- Nichols CR, Breeden ES, Loehrer PJ, Williams SD, Einhorn LH. Secondary leukemia associated with a conventional dose of etoposide: Review of serial germ cell tumor protocols. J Natl Cancer Inst 1993; 85: 36-40
- Neglia JP, Meadows AT, Robison LL, Kim TH, Newton WA, Ruymann FB. et al. Second neoplasms after acute lymphoblastic leukemia in childhood. N Engl J Med 1991; 325: 1330-6
- Mody R, Li S, Dover DC, Sallan S, Leisenring W, Oeffinger KC. et al. Twenty-five-year follow-up among survivors of childhood acute lymphoblastic leukemia: A report from the childhood cancer survivor study. Blood 2008; 111: 5515-23
- Cohen RJ, Curtis RE, Inskip PD, Fraumeni JFJr. The risk of developing second cancers among survivors of childhood soft tissue sarcoma. Cancer 2005; 103: 2391-6
PDF
Views
Share

