Expression of human chorionic gonadotropin beta in gastric carcinoma: A retrospective immunohistochemical study
CC BY-NC-ND 4.0 · Indian J Med Paediatr Oncol 2009; 30(03): 99-102
DOI: DOI: 10.4103/0971-5851.64254
Abstract
Context:Beta Human Chorionic Gonadotropin (βHCG), a marker of the trophoblastic neoplasm, is also secreted by non-trophoblastic neoplasms including gastric carcinomas. Its role in disease progression remains unclear.Aim:To investigate the incidence of βHCG positivity in gastric carcinomas and correlate its presence with the biological behavior of the tumor.Setting and Design:A hospital-based, immunohistochemical study.Materials and Methods:One hundred and fifty formalin-fixed, paraffin-embedded tissue specimens from histopathologically confirmed cases of gastric carcinoma were immunostained using an indigenously developed antibody against βHCG. Tumors with diffuse reactivity to βHCG were considered as positive. Those with occasional, focal or no reactivity to βHCG were considered as negative.Statistical Analysis:Differences in βHCG staining were compared according to the histological grade and surgical stage using the χ2test. Using the Cox proportional hazards model, the time till the onset of development of an adverse outcome after surgery (defined as death, local or distant metastasis) was compared between the bHCG positive and negative tumors.Results:Twenty-eight (18.7%) of the 150 specimens were βHCG positive. No association was found between the histological grade (P=0.49) and the surgical stage (P=0.19) with βHCG positivity. The median disease-free survival after surgery was not different among bHCG positive and negative tumors. Risk of an adverse outcome after surgery was significantly associated with the stage of the tumor (Hazard ratio=2.9, 95% confidence interval: 1.1-7.4). No association was observed with grade or βHCG positivity.Conclusion:βHCG immunoreactivity was observed in about one-fifth of the gastric cancers. bHCG reactivity, however, played no role in the biological behavior.
Publication History
Article published online:
19 November 2021
© 2009. Indian Society of Medical and Paediatric Oncology. This is an open access article published by Thieme under the terms of the Creative Commons Attribution-NonDerivative-NonCommercial-License, permitting copying and reproduction so long as the original work is given appropriate credit. Contents may not be used for commercial purposes, or adapted, remixed, transformed or built upon. (https://creativecommons.org/licenses/by-nc-nd/4.0/.)
Thieme Medical and Scientific Publishers Pvt. Ltd.
A-12, 2nd Floor, Sector 2, Noida-201301 UP, India
Context:
Beta Human Chorionic Gonadotropin (βHCG), a marker of the trophoblastic neoplasm, is also secreted by non-trophoblastic neoplasms including gastric carcinomas. Its role in disease progression remains unclear.
Aim:
To investigate the incidence of βHCG positivity in gastric carcinomas and correlate its presence with the biological behavior of the tumor.
Setting and Design:
A hospital-based, immunohistochemical study.
Materials and Methods:
One hundred and fifty formalin-fixed, paraffin-embedded tissue specimens from histopathologically confirmed cases of gastric carcinoma were immunostained using an indigenously developed antibody against βHCG. Tumors with diffuse reactivity to βHCG were considered as positive. Those with occasional, focal or no reactivity to βHCG were considered as negative.
Statistical Analysis:
Differences in βHCG staining were compared according to the histological grade and surgical stage using the χ2 test. Using the Cox proportional hazards model, the time till the onset of development of an adverse outcome after surgery (defined as death, local or distant metastasis) was compared between the bHCG positive and negative tumors.
Results:
Twenty-eight (18.7%) of the 150 specimens were βHCG positive. No association was found between the histological grade (P=0.49) and the surgical stage (P=0.19) with βHCG positivity. The median disease-free survival after surgery was not different among βHCG positive and negative tumors. Risk of an adverse outcome after surgery was significantly associated with the stage of the tumor (Hazard ratio=2.9, 95% confidence interval: 1.1–7.4). No association was observed with grade or βHCG positivity.
Conclusion:
βHCG immunoreactivity was observed in about one-fifth of the gastric cancers. βHCG reactivity, however, played no role in the biological behavior.
INTRODUCTION
Human Chorionic Gonadotropin (HCG) is a glycoprotein hormone that biochemically consists of two polypeptide subunits (alpha and beta chains), with attached carbohydrate side chains.[1,2] The hormone is normally produced by a placental syncytiotrophoblast and also by neoplastic cells in the tumors of trophoblastic origin. However, it is wellestablished that production of HCG is not restricted to these tumors alone and this hormone is secreted by several non-trophoblastic neoplasms including colorectal, breast, gastric, bronchogenic, and bladder cancers.[3–6] Several studies have shown that HCG secreting neoplasms have a more aggressive behavior.[4,7]
A large proportion of gastrointestinal carcinomas have been shown to secrete HCG.[8] Few studies have reported Beta Human Chorionic Gonadotropin (βHCG) positivity in gastric carcinomas by immunohistochemical techniques.[7,9] However, its role in disease progression is not clear, with some studies showing a definite association of βHCG positive tumors with poor prognosis,[7] and some showing no such association.[9] In India, stomach cancer is the second most common cancer. Annually, more than 1000 cases of gastric carcinoma are seen in our institute, which is one of the largest oncology centers in India. However, very few undergo surgery with a curative intent, as the vast majority is too advanced for any curative approach. As no data is available on the βHCG reactivity among the gastric tumors from India, we conducted a study to investigate the incidence of βHCG positivity in gastric carcinomas, using an indigenously developed antibody against βHCG[10] and correlate its presence with the biological behavior of the tumor. Kabeer et al. had also reported membrane staining in some of the cancers that they had tested. This finding potentially offers the option of targeted therapy using a monoclonal antibody.[10]
MATERIALS AND METHODS
Tissue samples
Formalin-fixed and paraffin-embedded tissue specimens from 150 clinically diagnosed and histopathologically confirmed cases of gastric carcinoma admitted in our institute for surgery during 2003–2007 were included in the study. All these patients underwent distal / subtotal gastrectomy with nodal dissection and none had received chemotherapy prior to surgery.
Reagents
We used an indigenously developed chimeric, recombinant antibody, engineered from a mouse monoclonal, raised against βHCG (primary antibody). The antibody was a recombinant protein having human IgG1 as a constant heavy chain and human kappa as a constant light chain, fused with variable chains of mouse monoclonal antibody. The antibody is specific to HCG and does not recognize human TSH and FSH, both sharing the same alpha chain with HCG.[10] We used Horse Radish peroxidase (HRP)-conjugated goat anti-human IgG (Jackson Immunoresearch) as a secondary antibody. This indigenously produced antibody was found to be immunoreactive in both early and advanced stages of different types of cancers (Dr. Prem Chopra, Sir Ganga Ram Hospital, Personal communication)
Controls
We used sections of formalin-fixed, paraffin-embedded, normal human placenta as the control.
Immuno-staining procedure
We used a two-step peroxidase anti-peroxidase (PAP) procedure for immunostaining of the sections. Four-micron sections of a formalin-fixed tumor tissue were prepared. After de-paraffinization, the sections were treated with 3% hydrogen peroxide for 30 minutes at room temperature, to eliminate the endogenous peroxidase activity. No antigen retrieval was done. After washing in phosphate buffered saline (PBS), all specimens were incubated overnight with a primary antibody in 1:40 dilution. After washing thoroughly with tap water, sections were incubated with a secondary antibody in 1:400 dilution for 40 minutes at room temperature. 2-4 diamino benzidine (DAB, Sigma) was used as a substrate to develop the signal, and sections were counter-stained with hematoxylin, and dehydrated and mounted in DPX mounting medium. This immunostaining procedure was also followed for the formalin-fixed, paraffin-embedded, normal human placenta, which served as the positive control. The negative control sections of the normal human placenta were subjected to the same procedures, omitting the primary antibody. The stained slides were examined microscopically for the presence of stained tumor cells.
The βHCG reactivity in gastric tumors ranged from occasional (only few isolated reactive cells) to focal (clusters of positive cells in some areas of the tumor, but the other regions were negative) to diffuse reactivity (isolated and / or cluster of positive cells were found throughout most areas of the tumor). However, considering the potential biological relevance, we considered tumors with diffuse reactivity to βHCG as positive and those with occasional or focal βHCG reactive cells as negative.
Statistical analysis
We compared the histopathological grade, surgical stage, and biological behavior of the tumor among βHCG positive and negative tumors. The different grades and stages were compared for differences in staining using the χ2 test. We assessed the biological behavior of the tumor by comparing the time till the onset of development of an adverse outcome after surgery among the βHCG positive and negative tumors using the Cox proportional hazards regression model. Death of the patient or development of local or distant metastasis after surgery was considered as an adverse outcome. We calculated the hazards ratio and 95% confidence limits for βHCG reactive tumors as well other covariates (stage and grade of the tumor). Patients with stage IV tumors were excluded from this analysis. We analyzed the data using the Epi-Info software.
RESULTS
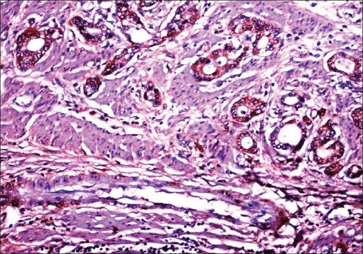
Tissue samples of gastric carcinoma from 150 patients were included in the study. The median age of the patients was 56 years (range: 25–75 years) and 113 (75%) were males. Histologically, 113 (75%) tumors were of grade-3 (poorly differentiated), whereas, 37 (25%) were of grade-2. According to the TNM classification, 18 (12%) were of stage-1, 31 (21%) were of stage-2, 88 (59%) were of stage-3, and 13 (9%) were of stage-4. Of the 150 tissue samples, 28 (18.7%) showed βHCG positivity. The immunoreactivity to βHCG was evidenced by a diffuse brown staining in the cytoplasm of the tumor cells [Figures [Figures11 and and2];2]; we did not observe any membrane staining in our cases.
| Figure 1 Grade-2 adenocarcinoma of the stomach showing βHCG positive cells (40×)
| Figure 2 Grade-3 adenocarcinoma of stomach showing βHCG positive cells (40×)
No association was found between the histological grade (χ2 = 0.47, P = 0.49) or the surgical stage (χ2 = 4.8, P = 0.19) with the βHCG positivity [Table 1]. The median disease-free survival among the βHCG positive and negative tumors after surgery was 537 (range: 84–2162) and 584 (range: 39–2078) days, respectively. Of the three independent variables included in the Cox proportional hazards model, the stage of the tumor was the only variable found to be significantly associated with an increased risk of adverse outcome after surgery (Hazard ratio=2.9, 95% confidence interval : 1.1–7.4). The risk of an adverse outcome was higher among βHCG reactive tumors (Hazard ratio=1.5, 95% confidence interval: 0.9–2.5), although the increase was not statistically significant [Table 2].
- Pierce JG, Parsons TF. Glycoprotein hormones: structure and function. Annu Rev Biochem 1981;50:465-95.
- Tyrey L. Human chorionic gonadotropin: structural, biologic and immunologic aspects. Semin Oncol 1982;9:163-73.
- Braunstein GD, Vaitukaitis JL, Carbone PP, Ross GT. Ectopic production of human chorionic gonadotropin by neoplasms. Ann Intern Med 1973;78:39-45.
- Bhalang K, Kafrawy AH, Miles DA. Immunohistochemical study of the expression of human chorionic gonadotropin-b in oral squamous cell carcinoma. Cancer 1999;85:757-62.
- Hattori M, Fukase M, Yoshimi H, Matsukura S, Imura H. Ectopic production of gonadotropins in malignant tumors. Cancer 1978;42:2328-33.
- Tormey DC, Waalkes TP, Snyder JJ, Simon RM. Biological markers in breast carcinoma III. Clinical correlations with carcinoembryonic antigen. Cancer 1977;39:2297-396.
- Webb A, Scott-Mackie P, Cunningham D, Norman A, Andreyev J, O′Brien M, et al. The prognostic value of serum and immunohistochemical tumor markers in advanced gastric cancer. Eur J Cancer 1996;32A:63-8.
- Wittekind C, Wachner R, Henke W, von Kleist S. Localization of CEA, HCG, lysozyme, alpha-1-antitrypsin, and alpha-1-antichymotrypsin in gastric cancer and prognosis. Virchows Arch A Pathol Anat Histopathol 1986;409:715-24.
- Yakeishi Y, Mori M, Enjoji M. The disribution of beta human chorionic gonadotropin positive cells in non-cancerous gastric mucosa and in malignant gastric tumors. Cancer 1990;66:695-701.
- Kabeer RS, Pal R, Talwar GP. Human acute lymphoblastic leukemia cells make human pregnancy hormone hCG and expose it on the membrane: A case for using recombinant antibody against hCG for selective delivery of drugs and/or radiations. Curr Sci 2005;89:1571-6.
| Figure 1 Grade-2 adenocarcinoma of the stomach showing βHCG positive cells (40×)
| Figure 2 Grade-3 adenocarcinoma of stomach showing βHCG positive cells (40×)
| Histological grade and stage | Number | No. (%) positive for βHCG | P |
|---|---|---|---|
| Grade | |||
| 2 | 37 | 5 (13.5) | 0.49 |
| 3 | 113 | 23 (20.4) | |
| Stage | |||
| 1 | 18 | 0 (0) | 0.19 |
| 2 | 31 | 6 (19.4) | |
| 4 | 13 | 3 (23.1) |
| Variables | Hazard ratio | 95% CI |
|---|---|---|
| βHCG positivity | 1.5 | 0.9 – 2.5 |
| Tumor stage (2 vs. 1) | 1.0 | 0.3 – 3.0 |
| Tumor stage (3 vs. 1) | 2.9 | 1.1 – 7.4 |
| Tumor grade | 1.0 | 0.6 – 1.8 |
- Pierce JG, Parsons TF. Glycoprotein hormones: structure and function. Annu Rev Biochem 1981;50:465-95.
- Tyrey L. Human chorionic gonadotropin: structural, biologic and immunologic aspects. Semin Oncol 1982;9:163-73.
- Braunstein GD, Vaitukaitis JL, Carbone PP, Ross GT. Ectopic production of human chorionic gonadotropin by neoplasms. Ann Intern Med 1973;78:39-45.
- Bhalang K, Kafrawy AH, Miles DA. Immunohistochemical study of the expression of human chorionic gonadotropin-b in oral squamous cell carcinoma. Cancer 1999;85:757-62.
- Hattori M, Fukase M, Yoshimi H, Matsukura S, Imura H. Ectopic production of gonadotropins in malignant tumors. Cancer 1978;42:2328-33.
- Tormey DC, Waalkes TP, Snyder JJ, Simon RM. Biological markers in breast carcinoma III. Clinical correlations with carcinoembryonic antigen. Cancer 1977;39:2297-396.
- Webb A, Scott-Mackie P, Cunningham D, Norman A, Andreyev J, O′Brien M, et al. The prognostic value of serum and immunohistochemical tumor markers in advanced gastric cancer. Eur J Cancer 1996;32A:63-8.
- Wittekind C, Wachner R, Henke W, von Kleist S. Localization of CEA, HCG, lysozyme, alpha-1-antitrypsin, and alpha-1-antichymotrypsin in gastric cancer and prognosis. Virchows Arch A Pathol Anat Histopathol 1986;409:715-24.
- Yakeishi Y, Mori M, Enjoji M. The disribution of beta human chorionic gonadotropin positive cells in non-cancerous gastric mucosa and in malignant gastric tumors. Cancer 1990;66:695-701.
- Kabeer RS, Pal R, Talwar GP. Human acute lymphoblastic leukemia cells make human pregnancy hormone hCG and expose it on the membrane: A case for using recombinant antibody against hCG for selective delivery of drugs and/or radiations. Curr Sci 2005;89:1571-6.
PDF
Views
Share

