First Report of Variant BCL6 Gene Rearrangement; Inversion 3: Clinical Presentation in a Rare Entity of Splenic B-Cell Lymphoma/Leukemia with Prominent Nucleoli
CC BY 4.0 · Indian J Med Paediatr Oncol 2026; 47(02): 155-159
DOI: DOI: 10.1055/s-0045-1814391
Abstract
Splenic B cell lymphoma/leukemia with prominent nucleoli (SBLPN), previously known as hairy cell leukemia variant (HCL-V), remains a rare and provisional entity within the spectrum of splenic B cell neoplasms. It demonstrates overlapping morphologic and immunophenotypic features with low-grade B cell lymphomas, posing diagnostic and therapeutic challenges. We report the first case of inversion 3q27 causing a variant BCL6 gene rearrangement within a complex clonal karyotype, characterized by multiple copy number alterations, that is, duplication 1q, deletion 7p, partial trisomy 8q, deletion 9q, deletion 10p, isochromosome 14q, trisomy 18, and trisomy X, indicative of marked genomic instability in a rare entity of SBLPN. The aggressive clinical course observed further emphasizes the need for comprehensive diagnostic workups for prognostication. As exact defining genetic alterations are not yet established for this entity, expanding the cytogenetic and molecular landscape is crucial for refining classification, prognostication, and therapeutic strategies. The case illustrates how genetic complexity may drive disease aggressiveness and management challenges, underscoring the need for early multidisciplinary interventions and individualized treatment strategies.
Keywords
HCLv - SBLPN - complex karyotype - chromosome 3q27 inversion - variant BCL6 gene rearrangement - fluorescence in situ hybridizationAuthors' Contributions
S.M.A.A.: Concept, design, experimental studies, data analysis, manuscript preparation, manuscript editing, and manuscript review.
A.P.: Concept, literature search, data analysis, manuscript preparation, manuscript editing, and manuscript review.
R.H.M.I.: Experimental studies, hematopathology study, data analysis, manuscript editing, and manuscript review.
U.Z. and N.M.B.: Clinical study, treatment, data analysis, manuscript editing, and manuscript review.
Publication History
Article published online:
22 December 2025
© 2025. The Author(s). This is an open access article published by Thieme under the terms of the Creative Commons Attribution License, permitting unrestricted use, distribution, and reproduction so long as the original work is properly cited. (https://creativecommons.org/licenses/by/4.0/)
Thieme Medical and Scientific Publishers Private Limited
A-13A, Graphix Tower 1, 6th floor, Sector 62, Noida 201309, Uttar Pradesh, India
We recommend
- Hairy Cell Leukemia: Morphological and Immunophenotypic Characteristics of Seven Cases and Cyclin D1 ExpressionShruti Neelamegam Ramesh, et al., VCOT Open, 2021
- Concurrent Hairy Cell Leukemia and Chronic Lymphocytic Leukemia: Diagnostic and Therapeutic ImplicationsParameswaran Anoop, TH Open
- Deceptive Presentation of Low-Grade Lymphoma with Grade 3 Marrow Fibrosis and Aplasia: Diagnostic and Clinical ConsiderationsSuvir Singh, et al., The Thoracic and Cardiovascular Surgeon, 2023
- PAX5 and TDT-Negative B-Acute Lymphoblastic Leukemia with Unusual Genetic Mutations: A Case ReportTariq N. Aladily, et al., VCOT Open, 2022
- PAX5 and TDT-Negative B-Acute Lymphoblastic Leukemia with Unusual Genetic Mutations: A Case ReportTariq N. Aladily, et al., The Thoracic and Cardiovascular Surgeon, 2022
- A rare case of hairy cell leukemia variant with ATM nonsense mutation and ATM deletion, resulting in complete loss of functionQ Wei, American Journal of Clinical Pathology, 2021
- An Unusual B-Cell Lymphoma Simulating Hairy Cell Leukemia<svg viewBox="0 0 24 24" fill="none" xmlns="http://www.w3.org/2000/svg">
</svg> Bjarni A. Agnarsson, American Journal of Clinical Pathology, 1987 - Primary splenic T-cell/histiocyte-rich B-cell lymphoma in a patient with recurrent hairy cell leukemia: a case reportTagrid Younes Ahmad, Oxford Medical Case Reports, 2022
- Composite Peripheral T-Cell Lymphoma and B-Cell Lymphoma With Immunophenotype of Hairy Cell Leukemia: Report of an Unusual CaseMonira Haque, American Journal of Clinical Pathology, 2018
- Hairy Cell Leukemia: An Elusive but Treatable DiseaseSam O. Wanko, The Oncologist, 2006
Abstract
Splenic B cell lymphoma/leukemia with prominent nucleoli (SBLPN), previously known as hairy cell leukemia variant (HCL-V), remains a rare and provisional entity within the spectrum of splenic B cell neoplasms. It demonstrates overlapping morphologic and immunophenotypic features with low-grade B cell lymphomas, posing diagnostic and therapeutic challenges. We report the first case of inversion 3q27 causing a variant BCL6 gene rearrangement within a complex clonal karyotype, characterized by multiple copy number alterations, that is, duplication 1q, deletion 7p, partial trisomy 8q, deletion 9q, deletion 10p, isochromosome 14q, trisomy 18, and trisomy X, indicative of marked genomic instability in a rare entity of SBLPN. The aggressive clinical course observed further emphasizes the need for comprehensive diagnostic workups for prognostication. As exact defining genetic alterations are not yet established for this entity, expanding the cytogenetic and molecular landscape is crucial for refining classification, prognostication, and therapeutic strategies. The case illustrates how genetic complexity may drive disease aggressiveness and management challenges, underscoring the need for early multidisciplinary interventions and individualized treatment strategies.
Keywords
HCLv - SBLPN - complex karyotype - chromosome 3q27 inversion - variant BCL6 gene rearrangement - fluorescence in situ hybridizationIntroduction
Hairy cell leukemia variant (HCL-V) is classified under the provisional category of splenic B cell lymphoma/leukemia with prominent nucleoli (SBLPN) in WHO-HAEM5. SBLPN is composed of medium to large mature B lymphoid cells with prominent nucleoli and is biologically distinct from both classical hairy cell leukemia (HCL) and other well-defined B cell non-Hodgkin lymphomas. Although it shares some morphologic and immunophenotypic features with HCL, it typically lacks CD5 expression, the BRAF V600E mutation, an aggressive clinical course, and resistance to standard HCL-directed therapies.[1]
Unlike other B-cell lymphomas, which often have well-defined genetic profiles, SBLPN lacks consistent prognostic genetic markers, largely due to its extreme rarity, estimated at just 0.03 cases per 100,000 individuals per year. Comprehensive genetic characterization is therefore essential for improving diagnostic accuracy, understanding disease biology, and refining prognostic assessment.
In HCL-V, limited studies have identified chromosomal abnormalities, most frequently involving complex karyotypes, 17p deletions, and various copy number alterations.[2] [3]
To our knowledge, this is the first documented case of a complex karyotype in SBLPN featuring a novel pericentric inversion of chromosome 3;inv(3)(p13q27), involving a variant BCL6 rearrangement (5′deletion) with 3p13 as the novel partner region, a finding not previously reported in this disease entity, additionally marked with unique copy number alterations.
We identified two divergent clonal populations: one harboring inv(3)(p13q27) leading to variant BCL6 rearrangement with 5′ deletion, and the other clone showing a 3q deletion, resulting in BCL6 loss. These findings reveal the underlying genetic heterogeneity of SBLPN and offer novel insights into the potential pathogenic role of BCL6 alterations in its evolution and aggressive clinical behavior.
Case Presentation
A 50-year-old female presented with fever, severe pancytopenia, large hematomas, low Glasgow Coma Scale, and intracranial hemorrhage, requiring ICU admission. CT brain showed acute subdural hematomas in bilateral frontal, left temporal, and left parietal regions, with the largest (11 mm) extending into the posterior interhemispheric fissure.
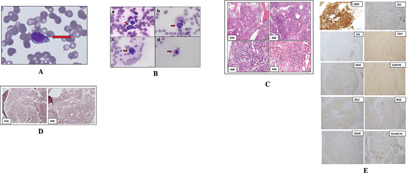
At presentation, complete blood count showed Hb 8.5 g/dL, TLC 2.28 ×109/L, PLT 03 ×109/L, and ANC 0.75 ×109/L; liver function tests revealed TB 23.2 µmol/L, DB 13.9 µmol/L, and ALT 60 U/L; and coagulation profile demonstrated PT 19 seconds, APTT 35 seconds, and INR 1.7. Peripheral smear findings showed severe pancytopenia with atypical lymphocytes and no circulating blasts ([Fig. 1A]).
Fig 1: (A) PB smear (×100). Lymphocytosis with many reactive and some atypical forms, the figure shows an atypical—spindle-shaped—lymphoid cell. (B) Bone marrow aspirate (Wright stain, ×100) BM with infiltrated approximately 80%. atypical lymphoid cells; small to medium-sized with occasional nucleoli, cytoplasmic blebs/spindle shaped (a) and/or vacuolations (b, c), and some showed fried-egg like morphology (d). (C) Bone marrow trephine biopsy (H&E stain). (D) BM trephine biopsy reticulin special stained slides showing normal pattern of reticulin fibers (Grade 0–1 MF). (E) BM trephine biopsy immuno-stained slides showing strong diffuse positive CD20, partial positive BCL2 and annexin A1, with negative CD3, CD5, CD23, CD10, cyclin D1 and BCL6.
Bone marrow aspirate was hypocellular and hemodiluted, with approximately 80%. infiltration by atypical small to medium-sized lymphoid cells exhibiting prominent nucleoli, cytoplasmic blebs, and occasional vacuoles ([Fig. 1A–D]). Trephine biopsy showed hypercellular marrow with similar diffuse atypical lymphoid infiltration and normal reticulin fibers (Grade 0–1 MF; [Fig. 1C, D]).
Bone marrow flow cytometry demonstrated 65.5%. lymphocytes, predominantly (70.3%) clonal CD19 +/CD20 +/sIgM +/lambda-restricted B-cells, negative for CD5, CD10, CD23, CD25, CD103, and other markers ([Fig. 1E]).
The immunophenotype was inconsistent with CLL or mantle cell lymphoma, and supported a diagnosis of a B-lymphoproliferative neoplasm, favoring a hairy cell leukaemia variant, that is, SBLPN.
Karyotype and FISH Analysis
Karyotype analysis from unstimulated culture revealed a complex clonal abnormal karyotype with structural alterations involving chromosomes 1, 3, 7, 8, 9, 10, and 15, resulting in copy number changes and numerical abnormalities with gains of chromosomes 3, 14, 18, and X. Composite karyotype as per ISCN nomenclature[4] was designated as:
47∼49,XXX,dup(1)(q25q42), + der(3)inv(3)(p13q27),del(3)(q12),del(7)(p15p13),iso(8)(q10),der(9;15)(p10;q10)del(9)(p11),del(10)(p13), + 14,iso(14)(q10), + 18, + 18[cp20] ([Fig. 2A]).
Fig 2 :(A) Representative karyotype image showing a complex karyotype with multiple clonal structural and numerical abnormalities. (B) FISH on interphase (a) and metaphase cells (b; inverted DAPI, d; DAPI) revealed a BCL6 rearrangement, with intact yellow fusion signals on two normal chromosome 3 and an inverted chromosome 3 showing loss of the spectrum orange (5′) signal and retention of the spectrum green (3′) signal, consistent with an inversion of BCL6 gene.
Fluorescence in situ hybridization (FISH) was performed using probes for MYC, BCL2, IGH/CCND1, and BCL6 genes (Cytocell, VYSIS, Downers Grove, Illinois, United States) that confirmed the karyotype findings.
An atypical variant BCL6 gene rearrangement was detected with three copies of the BCL6 gene, on two normal chromosome 3 and one on derivative 3 as a result of 3q27 inversion, resulting in BCL6 rearrangement with loss of the 5′Spectrum orange signal ([Fig. 2B]).
Molecular testing was negative for the BRAF mutation.
Based on the diagnosis, the patient was initiated on Rituximab and Bendamustine, planned for 6 monthly cycles. However, after the first cycle, she developed sepsis with disseminated intravascular coagulation, bilateral pleural effusion, persistent fever, and altered consciousness. CT brain showed progression of hemorrhages with new hemorrhagic foci due to severe thrombocytopenia at presentation and sepsis following chemotherapy. Advanced imaging could not be performed due to the patient's critical postchemotherapy condition and requirement for mechanical ventilation. Despite rituximab–bendamustine therapy and intensive supportive care, including ICU admission, oxygen support, transfusions, and antibiotics, the patient developed refractory cytopenias, recurrent sepsis, progression of intracranial bleed, and seizures requiring mechanical ventilation. Due to a complicated clinical course, she ultimately succumbed to sepsis with multiorgan failure, reflecting the aggressive nature of the disease that posed challenges in management.
Discussion
The diagnosis of SBLPN, newly classified as HCL-V, remains challenging due to overlapping features with other B-cell neoplasms.[5]
Considering the differential diagnosis of splenic marginal zone lymphoma versus SBLPN, the presence of large prolymphocytes, absence of BRAF V600E mutation, and lack of CD5 expression supported the diagnosis of SBLPN.
We identified a novel double-hit mechanism involving the BCL6 gene, with the presence of two distinct divergent BCL6-abnormal clones within a complex karyotype. One clone harbored an extra copy of derivative chromosome 3 with inv(3)(p13q27), leading to an atypical BCL6 rearrangement with 5′ deletion, while the other showed a 3q deletion encompassing the BCL6 locus with a separate pathogenic tumor suppressor mechanism. The karyotype revealed clonal evolution from a complex stemline clone of extra copy of chromosome 3 with inversion, 1q duplication, isochromosome 8q, deletions of 7p and 10p, a derivative chromosome 9 resulting from t(9;15) and 9p deletion, trisomy 18, and trisomy X. As illustrated in the figure ([Fig. 2A]), subclonal trajectories evolved from this stemline to acquire additional aberrations such as 3q deletion, trisomy 14, isochromosome 14q, trisomy 14 and 4q deletion reflecting genetic instability.
The copy number alterations in this case, that is, gain of 1q, trisomy 3, trisomy 18, partial trisomy 8q, and deletion of 7p that have been independently linked to disease progression and poor prognosis in aggressive lymphomas, such as diffuse large B cell lymphoma (DLBCL).[2]
Although complex karyotypes are frequently observed in SBLPN, the cytogenetic profile in the present case deviated from the classical alterations reported in HCLv, that is, abnormalities involving 5q, 14q32, 8q24, deletions of 17p and 7q, and trisomy 12.
We observed partial trisomies of 1q, and 8q and complete trisomies of chromosomes 3, 14, 18, and X, along with losses in 9p and 10p.
Chromosome 1 abnormalities are common in human cancers, with 1q gain (+1q) being the most frequent secondary aberration in Burkitt lymphoma, often associated with aggressive disease.
Notably, 1q gain has not been reported in classical or variant HCL, making its duplication in this case a novel finding with potential prognostic significance.[6]
Additionally, the presence of two distinct clones involving chromosome 14, one with trisomy 14 and the other with isochromosome 14q;i(14q), suggests parallel clonal evolution involving the same chromosomal region through different mechanisms, both resulting in increased gene dosage.
While 3q27 translocations are common in B-cell neoplasms, the present case represents the first reported SBLPN with a novel inversion, inv(3)(p13q27).
A similar inversion involving 3p24 and 3q27 has been described in only two cases according to the Mitelman database; one in follicular lymphoma and another in undifferentiated pleomorphic sarcoma. Thus, our finding expands the spectrum of 3q27 rearrangements in SLBPN and introduces 3p13 as a novel partner region.[7] [8]
BCL6 (3q27) is an oncogene encoding a transcriptional repressor critical for germinal center B cell development and immune responses. Rearrangements occur in 19 to 30%. of DLBCL, which deregulate BCL6 and drive lymphomagenesis.
The involvement of 3p13 in our case expands the spectrum of BCL6 partner loci, highlighting inversion 3 as a potential atypical mechanism of BCL6 dysregulation. To date, over twenty BCL6 translocation partners have been identified, typically involving immunoglobulin gene enhancers. Further investigation to define the unrecognized partner gene at 3p13 is warranted to elucidate its pathogenic role. Although this finding may have prognostic and therapeutic significance similar to BCL6's role in DLBCL, long-term follow-up is essential to inform clinical management.
Meta-analyses link BCL6 rearrangements to poor prognosis in DLBCL, particularly with rituximab-based therapy, underscoring the importance of reporting such findings in SBLPN for prognostic significance.[9] [10]
Subclonal BCL6 rearrangement with partial 5′ deletion is a novel disruption mechanism affecting BCL6 expression and pathogenesis.
BCL6 translocations in follicular lymphoma and DLBCL involve the major translocation cluster at the 5′ end, a hotspot for somatic hypermutation, causing balanced promoter substitutions, deregulating expression, and promoting lymphomagenesis by blocking differentiation and apoptosis. In the present case, the telomeric (5′) region of BCL6 was lost (absent orange FISH signal), while the centromeric (3′) region remained intact and rearranged. The intrachromosomal inversion, inv(3)(p13q27), represents an unusual unbalanced BCL6 rearrangement that repositions the 5′ promoter and exon 1 under the regulatory influence of a novel partner at 3p13, likely causing promoter substitution and transcriptional deregulation. Despite loss of the classical 5′ coding region, the retained 3′ segment may allow aberrant or chimeric expression, contributing to lymphomagenesis.
Another notable finding was the absence of BCL6 protein expression on immunohistochemistry (IHC). Such discordance, reported in rare DLBCL cases, may result from epigenetic silencing, nonfunctional fusion transcripts, or technical limitations of IHC.[11]
SBLPN typically follows an aggressive clinical course and shows resistance to Cladribine monotherapy, though improved responses have been reported with combination regimens such as Rituximab or Bendamustine.[12] [13]
Hence, this clinically aggressive and genetically complex case necessitated a comprehensive evaluation to clarify diagnosis, define prognosis, and guide treatment.
Conclusion
Given the ongoing debate surrounding the classification of SBLPN and its overlap with entities such as HCL-V and B cell neoplasms, an integrated diagnostic approach, encompassing clinical, morphological, histological, immunophenotypic, and genetic data, is essential for accurate diagnosis and effective management. Early multidisciplinary involvement and considering individualized treatment plans with potential modifications in chemotherapy could possibly improve outcomes, but salvage is often difficult in such advanced cases.
Incorporating such insights into diagnostic frameworks will be pivotal in advancing these entities from provisional status to well-defined categories in current guidelines with evidence-based, targeted treatment options.
Conflict of Interest
None declared.
Acknowledgment
The authors extend their gratitude to the Bahrain Oncology Center for providing the facilities necessary to conduct this study.
Authors' Contributions
S.M.A.A.: Concept, design, experimental studies, data analysis, manuscript preparation, manuscript editing, and manuscript review.
A.P.: Concept, literature search, data analysis, manuscript preparation, manuscript editing, and manuscript review.
R.H.M.I.: Experimental studies, hematopathology study, data analysis, manuscript editing, and manuscript review.
U.Z. and N.M.B.: Clinical study, treatment, data analysis, manuscript editing, and manuscript review.
References
- Naresh KN. Understanding splenic B-cell lymphoma/leukaemia with prominent nucleoli: diagnosis, underpinnings for disease classification and future directions. Br J Haematol 2024; 205 (06) 2142-2152
- Troussard X, Maitre E. Untangling hairy cell leukaemia (HCL) variant and other HCL-like disorders: diagnosis and treatment. J Cell Mol Med 2024; 28 (03) e18060
- Angelova EA, Medeiros LJ, Wang W. et al. Clinicopathologic and molecular features in hairy cell leukemia-variant: single institutional experience. Mod Pathol 2018; 31 (11) 1717-1732
- Hastings RJ, Moore S, Chia N. . ISCN 2024. An International System for Human Cytogenomic Nomenclature S. Karger AG.
- Matutes E, Wotherspoon A, Brito-Babapulle V, Catovsky D. The natural history and clinico-pathological features of the variant form of hairy cell leukemia. Leukemia 2001; 15 (01) 184-186
- Zhang R, Wu Y, Wang X. et al. Difference of genomic copy numbers alterations between hairy cell leukemia-variant and classical hairy cell leukemia: a pilot retrospective study in Chinese. Int J Med Sci 2020; 17 (03) 325-331
- Mitelman Database of Chromosome Aberrations and Gene Fusions in Cancer. . Accessed May 22, 2025 at: http://cgap.nci.nih.gov/chromosomes/mitelman
- Keller CE, Nandula S, Vakiani E, Alobeid B, Murty VV, Bhagat G. Intrachromosomal rearrangement of chromosome 3q27: an under recognized mechanism of BCL6 translocation in B-cell non-Hodgkin lymphoma. Hum Pathol 2006; 37 (08) 1093-1099
- Shustik J, Han G, Farinha P. et al. Correlations between BCL6 rearrangement and outcome in patients with diffuse large B-cell lymphoma treated with CHOP or R-CHOP. Haematologica 2010; 95 (01) 96-101
- Li S, Wang Z, Lin L. et al. BCL6 rearrangement indicates poor prognosis in diffuse large B-cell lymphoma patients: a meta-analysis of cohort studies. J Cancer 2019; 10 (02) 530-538
- Morton LD, Thieblemont C, Weisenburger D, Tubbs RR, McClure R, Pittaluga S. Chromosomal translocations involving BCL6 in MALT lymphoma: BCL6-positive translocation negative immunohistochemistry in most cases. Haematologica 2008; 93 (05) 738-745
- Shen MX, Li FL, Luo XS, Wang ZM. An effective treatment and suspicious adverse reaction to Ibrutinib in a patient diagnosed with splenic B-cell lymphoma/leukaemia with prominent nucleoli: a first case report. Medicine (Baltimore) 2023; 102 (52) e36022
- Alaggio R, Amador C, Anagnostopoulos I. et al. The 5th edition of the World Health Organization Classification of Haematolymphoid Tumours: Lymphoid Neoplasms. Leukemia 2022; 36 (07) 1720-1748
Address for correspondence
Publication History
Article published online:
22 December 2025
© 2025. The Author(s). This is an open access article published by Thieme under the terms of the Creative Commons Attribution License, permitting unrestricted use, distribution, and reproduction so long as the original work is properly cited. (https://creativecommons.org/licenses/by/4.0/)
Thieme Medical and Scientific Publishers Private Limited
A-13A, Graphix Tower 1, 6th floor, Sector 62, Noida 201309, Uttar Pradesh, India
We recommend
- Hairy Cell Leukemia: Morphological and Immunophenotypic Characteristics of Seven Cases and Cyclin D1 ExpressionShruti Neelamegam Ramesh, et al., Indian J Radiol Imaging, 2021
- Concurrent Hairy Cell Leukemia and Chronic Lymphocytic Leukemia: Diagnostic and Therapeutic ImplicationsParameswaran Anoop, TH Open
- Deceptive Presentation of Low-Grade Lymphoma with Grade 3 Marrow Fibrosis and Aplasia: Diagnostic and Clinical ConsiderationsSuvir Singh, et al., The Thoracic and Cardiovascular Surgeon, 2023
- PAX5 and TDT-Negative B-Acute Lymphoblastic Leukemia with Unusual Genetic Mutations: A Case ReportTariq N. Aladily, et al., VCOT Open, 2022
- PAX5 and TDT-Negative B-Acute Lymphoblastic Leukemia with Unusual Genetic Mutations: A Case ReportTariq N. Aladily, et al., The Thoracic and Cardiovascular Surgeon, 2022
- A rare case of hairy cell leukemia variant with ATM nonsense mutation and ATM deletion, resulting in complete loss of function<svg viewBox="0 0 24 24" fill="none" xmlns="http://www.w3.org/2000/svg">
</svg> Q Wei, American Journal of Clinical Pathology, 2021 - An Unusual B-Cell Lymphoma Simulating Hairy Cell LeukemiaBjarni A. Agnarsson, American Journal of Clinical Pathology, 1987
- Primary splenic T-cell/histiocyte-rich B-cell lymphoma in a patient with recurrent hairy cell leukemia: a case reportTagrid Younes Ahmad, Oxford Medical Case Reports, 2022
- BCL2 and BCL6 atypical/unbalanced gene rearrangements in diffuse large B-cell lymphoma are indicators of an aggressive clinical courseAlicia Tourneret, J Clin Pathol, 2021
- Composite Peripheral T-Cell Lymphoma and B-Cell Lymphoma With Immunophenotype of Hairy Cell Leukemia: Report of an Unusual CaseMonira Haque, American Journal of Clinical Pathology, 2018
Fig 1: (A) PB smear (×100). Lymphocytosis with many reactive and some atypical forms, the figure shows an atypical—spindle-shaped—lymphoid cell. (B) Bone marrow aspirate (Wright stain, ×100) BM with infiltrated approximately 80% atypical lymphoid cells; small to medium-sized with occasional nucleoli, cytoplasmic blebs/spindle shaped (a) and/or vacuolations (b, c), and some showed fried-egg like morphology (d). (C) Bone marrow trephine biopsy (H&E stain). (D) BM trephine biopsy reticulin special stained slides showing normal pattern of reticulin fibers (Grade 0–1 MF). (E) BM trephine biopsy immuno-stained slides showing strong diffuse positive CD20, partial positive BCL2 and annexin A1, with negative CD3, CD5, CD23, CD10, cyclin D1 and BCL6.
Fig 2 :(A) Representative karyotype image showing a complex karyotype with multiple clonal structural and numerical abnormalities. (B) FISH on interphase (a) and metaphase cells (b; inverted DAPI, d; DAPI) revealed a BCL6 rearrangement, with intact yellow fusion signals on two normal chromosome 3 and an inverted chromosome 3 showing loss of the spectrum orange (5′) signal and retention of the spectrum green (3′) signal, consistent with an inversion of BCL6 gene.
References
- Naresh KN. Understanding splenic B-cell lymphoma/leukaemia with prominent nucleoli: diagnosis, underpinnings for disease classification and future directions. Br J Haematol 2024; 205 (06) 2142-2152
- Troussard X, Maitre E. Untangling hairy cell leukaemia (HCL) variant and other HCL-like disorders: diagnosis and treatment. J Cell Mol Med 2024; 28 (03) e18060
- Angelova EA, Medeiros LJ, Wang W. et al. Clinicopathologic and molecular features in hairy cell leukemia-variant: single institutional experience. Mod Pathol 2018; 31 (11) 1717-1732
- Hastings RJ, Moore S, Chia N. . ISCN 2024. An International System for Human Cytogenomic Nomenclature S. Karger AG.
- Matutes E, Wotherspoon A, Brito-Babapulle V, Catovsky D. The natural history and clinico-pathological features of the variant form of hairy cell leukemia. Leukemia 2001; 15 (01) 184-186
- Zhang R, Wu Y, Wang X. et al. Difference of genomic copy numbers alterations between hairy cell leukemia-variant and classical hairy cell leukemia: a pilot retrospective study in Chinese. Int J Med Sci 2020; 17 (03) 325-331
- Mitelman Database of Chromosome Aberrations and Gene Fusions in Cancer. . Accessed May 22, 2025 at: http://cgap.nci.nih.gov/chromosomes/mitelman
- Keller CE, Nandula S, Vakiani E, Alobeid B, Murty VV, Bhagat G. Intrachromosomal rearrangement of chromosome 3q27: an under recognized mechanism of BCL6 translocation in B-cell non-Hodgkin lymphoma. Hum Pathol 2006; 37 (08) 1093-1099
- Shustik J, Han G, Farinha P. et al. Correlations between BCL6 rearrangement and outcome in patients with diffuse large B-cell lymphoma treated with CHOP or R-CHOP. Haematologica 2010; 95 (01) 96-101
- Li S, Wang Z, Lin L. et al. BCL6 rearrangement indicates poor prognosis in diffuse large B-cell lymphoma patients: a meta-analysis of cohort studies. J Cancer 2019; 10 (02) 530-538
- Morton LD, Thieblemont C, Weisenburger D, Tubbs RR, McClure R, Pittaluga S. Chromosomal translocations involving BCL6 in MALT lymphoma: BCL6-positive translocation negative immunohistochemistry in most cases. Haematologica 2008; 93 (05) 738-745
- Shen MX, Li FL, Luo XS, Wang ZM. An effective treatment and suspicious adverse reaction to Ibrutinib in a patient diagnosed with splenic B-cell lymphoma/leukaemia with prominent nucleoli: a first case report. Medicine (Baltimore) 2023; 102 (52) e36022
- Alaggio R, Amador C, Anagnostopoulos I. et al. The 5th edition of the World Health Organization Classification of Haematolymphoid Tumours: Lymphoid Neoplasms. Leukemia 2022; 36 (07) 1720-1748
PDF
Views
Share

