FOXO1 Rearranged Alveolar Rhabdomyosarcoma with Aberrant Strong and Diffuse NKX2.2 Expression: Diagnostic Pitfall with Distinct Therapeutic Implication
CC BY 4.0 · Indian J Med Paediatr Oncol 2026; 47(02): 143-145
DOI: DOI: 10.1055/s-0045-1814155
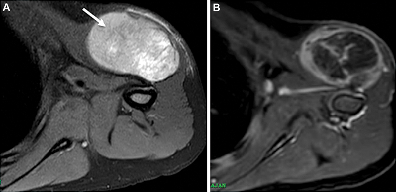
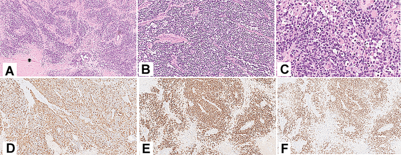
A 5-year-old male child presented with a gradually progressive mass lesion over the left shoulder region for the past 2 weeks. On local examination, there was a 4 × 5 cm mass over the anterior aspect of the shoulder, fixed to the deltoid muscle, as seen on the magnetic resonance imaging scan ([Fig. 1]). The patient underwent a needle biopsy, and histopathology showed a malignant small round cell tumor (MSRCT). On the first immunohistochemistry (IHC) panel, the tumor cells were diffusely positive for NKX2.2, CD99, Desmin, Myogenin, and MyoD1, while being negative for Pancytokeratin, LCA, Synaptophysin, and NKX3.1 ([Fig. 2]). In view of the ambiguous IHC findings, additional tests, including MUC-4 and ALK-1 ([Fig. 3]), were performed. Both showed diffuse positive expression, and a final diagnosis of Rhabdomyosarcoma (RMS) was rendered. Subsequently, break-apart fluorescence in situ hybridization (BA-FISH) revealed FOXO1 gene rearrangement in 75% of the tumor cells, clinching the diagnosis of Alveolar RMS (fusion positive) with aberrant diffuse NKX2.2 immunoexpression.
Fig 1:T2-weighted MRI showing a hyperintense soft tissue mass in the left shoulder with heterogeneous enhancement, involving the deltoid muscle (arrow). No erosion of underlying bone seen.
Fig 2 :(A–C) (10×, 20× 40×, H&E stain) Histopathology images showing a round cell tumor with extensive necrosis (*). (D−F) (20×, DAB stain) Immunohistochemistry images showing diffuse positivity for Desmin, Myogenin, and MyoD1, respectively.
Fig 3:(A) (20×, DAB stain): Tumor cells show diffuse and strong immunoreactivity for ALK-1 on immunohistochemistry. (B) (10×, DAB stain): immunohistochemistry images showing strong and diffuse NKX2.2 positivity and (C) MUC4 [removed]D) while being negative for CD 99. (E) FOXO1 rearrangement seen on BA FISH.
The case was discussed in the multispecialty tumor board meeting and in view of no underlying bone involvement, a wide local excision was performed, followed by adjuvant chemotherapy with vincristine, actinomycin-D, cyclophosphamide (VAC) alternating with vincristine, irinotecan. After four cycles of chemotherapy, radiotherapy to the tumor bed was administered. Currently the child is receiving the remaining adjuvant chemotherapy and remains disease free.
NKX2.2 is an established IHC marker that is highly sensitive and specific for Ewing sarcoma (ES), aiding in the diagnostic workup of MSRCTs.[1] [2] Alveolar RMS (ARMS) is an MSRCT with skeletal muscle differentiation, characterized by the presence of PAX3-FOXO1 or PAX7-FOXO1 gene fusions. Both of these entities have a similar clinical presentation, occurring in the deep soft tissues of children and young adults, but they differ widely in their therapeutic management. While ES is managed by neoadjuvant chemotherapy followed by surgery, RMS is treated with upfront surgery, reiterating the importance of an accurate diagnosis. On IHC, ARMS is immunopositive for Desmin, Myogenin, and MyoD1, while characteristically negative for NKX2.2. However, a few other MSRCTs can also show rhabdomyoblastic differentiation, as evidenced by positive myogenic markers, such as mesenchymal chondrosarcoma, which is also known to express NKX2.2.[3]
This makes additional IHC workup imperative when encountering an equivocal immunoprofile, as seen in this case. Recently, MUC4 has been described as a useful adjunct marker for the diagnosis of Alveolar RMS (fusion-positive),[4] which was also used in this case. Although not targetable, cytoplasmic overexpression of ALK protein is known to occur in the vast majority of ARMSs, making it another useful marker in the diagnostic armamentarium.[5]
The presented case highlights the significance of applying comprehensive IHC panel when dealing with MSRCTs of bone and soft tissue. MUC4 is ostensibly a very useful IHC marker and can be explored in further studies as a surrogate for fusion-positive alveolar RMS and to distinguish it from the fusion-negative embryonal RMS, due to distinct prognostic and therapeutic implications—especially in resource-limited centers where specialized molecular techniques, such as BA-FISH or next generation sequencing, are not available.
Authors' Contributions
S.P. and P.C. performed the histological examination. S.J. was involved with the treatment and follow-up of the patient. R.O. was responsible for the radiological workup. S.P. and P.C. wrote the main manuscript text. All authors reviewed and approved the final manuscript.
Patient Consent
Patient consent has been taken.
Publication History
Article published online:
15 December 2025
© 2025. The Author(s). This is an open access article published by Thieme under the terms of the Creative Commons Attribution License, permitting unrestricted use, distribution, and reproduction so long as the original work is properly cited. (https://creativecommons.org/licenses/by/4.0/)
Thieme Medical and Scientific Publishers Private Limited
A-13A, Graphix Tower 1, 6th floor, Sector 62, Noida 201309, Uttar Pradesh, India
We recommend
- Alveolar rhabdomyosarcoma of the sellar regionJ. Kreutzer, Aktuelle Traumatologie, 2006
- Alveolar Rhabdomyosarcoma in Nasal Cavity – Case ReportI Setic-Avdagic, Laryngo-Rhino-Otologie, 2018
- Alveolar Sinonasal Rhabdomyosarcoma in Adults: A Case ReportHomere Al Moutran, Journal of Neurological Surgery Part B: Skull Base, 2013
- Improving NK-cell immunotherapy against rhabdomyosarcomaLM Reindl, Klinische Pädiatrie, 2022
- NK cell immunotherapy against chemotherapy-resistant rhabdomyosarcomaL M Reindl, Klinische Pädiatrie, 2023
- Alveolar Rhabdomyosarcoma. A Distinctive Tumor Type.Horatio T. Enterline, American Journal of Clinical Pathology, 1958
- Study of a Spontaneous Mouse RhabdomyosarcomaJNCI: Journal of the National Cancer Institute, 1943
- Alveolar rhabdomyosarcoma with unusual cytogenetic findings: one more case and review of the literatureMaria Ioannou, Oxford Medical Case Reports, 2019
- Primary cutaneous embryonal rhabdomyosarcoma with desmoplastic growth pattern and anaplastic lymphoma kinase overexpression. Report of a case with special empha...<svg viewBox="0 0 24 24" fill="none" xmlns="http://www.w3.org/2000/svg">
</svg> V. Sabater‐Marco, Clinical and Experimental Dermatology, 2019 - Novel Gene Fusions in Rhabdomyosarcoma<svg viewBox="0 0 24 24" fill="none" xmlns="http://www.w3.org/2000/svg">
</svg> D M Montoya-Cerrillo, American Journal of Clinical Pathology, 2020
A 5-year-old male child presented with a gradually progressive mass lesion over the left shoulder region for the past 2 weeks. On local examination, there was a 4 × 5 cm mass over the anterior aspect of the shoulder, fixed to the deltoid muscle, as seen on the magnetic resonance imaging scan ([Fig. 1]). The patient underwent a needle biopsy, and histopathology showed a malignant small round cell tumor (MSRCT). On the first immunohistochemistry (IHC) panel, the tumor cells were diffusely positive for NKX2.2, CD99, Desmin, Myogenin, and MyoD1, while being negative for Pancytokeratin, LCA, Synaptophysin, and NKX3.1 ([Fig. 2]). In view of the ambiguous IHC findings, additional tests, including MUC-4 and ALK-1 ([Fig. 3]), were performed. Both showed diffuse positive expression, and a final diagnosis of Rhabdomyosarcoma (RMS) was rendered. Subsequently, break-apart fluorescence in situ hybridization (BA-FISH) revealed FOXO1 gene rearrangement in 75%. of the tumor cells, clinching the diagnosis of Alveolar RMS (fusion positive) with aberrant diffuse NKX2.2 immunoexpression.
Fig 1:T2-weighted MRI showing a hyperintense soft tissue mass in the left shoulder with heterogeneous enhancement, involving the deltoid muscle (arrow). No erosion of underlying bone seen.
Fig 2 :(A–C) (10×, 20× 40×, H&E stain) Histopathology images showing a round cell tumor with extensive necrosis (*). (D−F) (20×, DAB stain) Immunohistochemistry images showing diffuse positivity for Desmin, Myogenin, and MyoD1, respectively.
Fig 3:(A) (20×, DAB stain): Tumor cells show diffuse and strong immunoreactivity for ALK-1 on immunohistochemistry. (B) (10×, DAB stain): immunohistochemistry images showing strong and diffuse NKX2.2 positivity and (C) MUC4 [removed]D) while being negative for CD 99. (E) FOXO1 rearrangement seen on BA FISH.
The case was discussed in the multispecialty tumor board meeting and in view of no underlying bone involvement, a wide local excision was performed, followed by adjuvant chemotherapy with vincristine, actinomycin-D, cyclophosphamide (VAC) alternating with vincristine, irinotecan. After four cycles of chemotherapy, radiotherapy to the tumor bed was administered. Currently the child is receiving the remaining adjuvant chemotherapy and remains disease free.
NKX2.2 is an established IHC marker that is highly sensitive and specific for Ewing sarcoma (ES), aiding in the diagnostic workup of MSRCTs.[1] [2] Alveolar RMS (ARMS) is an MSRCT with skeletal muscle differentiation, characterized by the presence of PAX3-FOXO1 or PAX7-FOXO1 gene fusions. Both of these entities have a similar clinical presentation, occurring in the deep soft tissues of children and young adults, but they differ widely in their therapeutic management. While ES is managed by neoadjuvant chemotherapy followed by surgery, RMS is treated with upfront surgery, reiterating the importance of an accurate diagnosis. On IHC, ARMS is immunopositive for Desmin, Myogenin, and MyoD1, while characteristically negative for NKX2.2. However, a few other MSRCTs can also show rhabdomyoblastic differentiation, as evidenced by positive myogenic markers, such as mesenchymal chondrosarcoma, which is also known to express NKX2.2.[3]
This makes additional IHC workup imperative when encountering an equivocal immunoprofile, as seen in this case. Recently, MUC4 has been described as a useful adjunct marker for the diagnosis of Alveolar RMS (fusion-positive),[4] which was also used in this case. Although not targetable, cytoplasmic overexpression of ALK protein is known to occur in the vast majority of ARMSs, making it another useful marker in the diagnostic armamentarium.[5]
The presented case highlights the significance of applying comprehensive IHC panel when dealing with MSRCTs of bone and soft tissue. MUC4 is ostensibly a very useful IHC marker and can be explored in further studies as a surrogate for fusion-positive alveolar RMS and to distinguish it from the fusion-negative embryonal RMS, due to distinct prognostic and therapeutic implications—especially in resource-limited centers where specialized molecular techniques, such as BA-FISH or next generation sequencing, are not available.
Authors' Contributions
S.P. and P.C. performed the histological examination. S.J. was involved with the treatment and follow-up of the patient. R.O. was responsible for the radiological workup. S.P. and P.C. wrote the main manuscript text. All authors reviewed and approved the final manuscript.
Patient Consent
Patient consent has been taken.
References
- Pasricha S, Pahwa S, Pruthi M. et al. Correlation NKX2.2 IHC and EWSR1 break-apart FISH in the diagnosis of Ewing sarcoma: can combined NKX2.2 and CD99 immunoexpression obviate or minimize the need of FISH testing? First assessment study from Indian tertiary cancer care center. Indian J Pathol Microbiol 2023; 66 (01) 58-62
- Hung YP, Fletcher CD, Hornick JL. Evaluation of NKX2-2 expression in round cell sarcomas and other tumors with EWSR1 rearrangement: imperfect specificity for Ewing sarcoma. Mod Pathol 2016; 29 (04) 370-380
- Folpe AL, Graham RP, Martinez A, Schembri-Wismayer D, Boland J, Fritchie KJ. Mesenchymal chondrosarcomas showing immunohistochemical evidence of rhabdomyoblastic differentiation: a potential diagnostic pitfall. Hum Pathol 2018; 77: 28-34
- Forgó E, Hornick JL, Charville GW. MUC4 is expressed in alveolar rhabdomyosarcoma. Histopathology 2021; 78 (06) 905-908
- van Gaal JC, Flucke UE, Roeffen MH. et al. Anaplastic lymphoma kinase aberrations in rhabdomyosarcoma: clinical and prognostic implications. J Clin Oncol 2012; 30 (03) 308-315
Address for correspondence
Publication History
Article published online:
15 December 2025
© 2025. The Author(s). This is an open access article published by Thieme under the terms of the Creative Commons Attribution License, permitting unrestricted use, distribution, and reproduction so long as the original work is properly cited. (https://creativecommons.org/licenses/by/4.0/)
Thieme Medical and Scientific Publishers Private Limited
A-13A, Graphix Tower 1, 6th floor, Sector 62, Noida 201309, Uttar Pradesh, India
We recommend
- Alveolar rhabdomyosarcoma of the sellar regionJ. Kreutzer, Aktuelle Traumatologie, 2006
- Alveolar Rhabdomyosarcoma in Nasal Cavity – Case ReportI Setic-Avdagic, Laryngo-Rhino-Otologie, 2018
- Alveolar Sinonasal Rhabdomyosarcoma in Adults: A Case ReportHomere Al Moutran, Journal of Neurological Surgery Part B: Skull Base, 2013
- Improving NK-cell immunotherapy against rhabdomyosarcomaLM Reindl, Klinische Pädiatrie, 2022
- NK cell immunotherapy against chemotherapy-resistant rhabdomyosarcomaL M Reindl, Klinische Pädiatrie, 2023
- Thiostrepton Suppresses the Progression of Rhabdomyosarcoma by Inhibiting the PI3K-AKT Signaling PathwayYu Wang, Pediatric Discovery, 2025
- The recurrence or metastasis related gene predicts the prognosis of extremity and trunk soft tissue sarcomaDuo Wang, Precision Clinical Medicine, 2025
- Monocyte-lineage tumor infiltration predicts immunoradiotherapy response in advanced pretreated soft-tissue sarcoma: phase 2 trial resultsAntonin Levy, Signal Transduction and Targeted Therapy, 2025
- Integrative analysis of non-small cell lung cancer identifies Jumonji domain-containing 6/ETS homologous factor axis as a target to overcome radioresistance<svg viewBox="0 0 24 24" fill="none" xmlns="http://www.w3.org/2000/svg">
</svg> Manni Wang, Signal Transduction and Targeted Therapy, 2025 - Carcinosarcoma of the liver: A case reportJournal of Clinical Hepatology, 2022
Fig 1:T2-weighted MRI showing a hyperintense soft tissue mass in the left shoulder with heterogeneous enhancement, involving the deltoid muscle (arrow). No erosion of underlying bone seen.
Fig 2 :(A–C) (10×, 20× 40×, H&E stain) Histopathology images showing a round cell tumor with extensive necrosis (*). (D−F) (20×, DAB stain) Immunohistochemistry images showing diffuse positivity for Desmin, Myogenin, and MyoD1, respectively.
Fig 3:(A) (20×, DAB stain): Tumor cells show diffuse and strong immunoreactivity for ALK-1 on immunohistochemistry. (B) (10×, DAB stain): immunohistochemistry images showing strong and diffuse NKX2.2 positivity and (C) MUC4 [removed]D) while being negative for CD 99. (E) FOXO1 rearrangement seen on BA FISH.
References
- Pasricha S, Pahwa S, Pruthi M. et al. Correlation NKX2.2 IHC and EWSR1 break-apart FISH in the diagnosis of Ewing sarcoma: can combined NKX2.2 and CD99 immunoexpression obviate or minimize the need of FISH testing? First assessment study from Indian tertiary cancer care center. Indian J Pathol Microbiol 2023; 66 (01) 58-62
- Hung YP, Fletcher CD, Hornick JL. Evaluation of NKX2-2 expression in round cell sarcomas and other tumors with EWSR1 rearrangement: imperfect specificity for Ewing sarcoma. Mod Pathol 2016; 29 (04) 370-380
- Folpe AL, Graham RP, Martinez A, Schembri-Wismayer D, Boland J, Fritchie KJ. Mesenchymal chondrosarcomas showing immunohistochemical evidence of rhabdomyoblastic differentiation: a potential diagnostic pitfall. Hum Pathol 2018; 77: 28-34
- Forgó E, Hornick JL, Charville GW. MUC4 is expressed in alveolar rhabdomyosarcoma. Histopathology 2021; 78 (06) 905-908
- van Gaal JC, Flucke UE, Roeffen MH. et al. Anaplastic lymphoma kinase aberrations in rhabdomyosarcoma: clinical and prognostic implications. J Clin Oncol 2012; 30 (03) 308-315
PDF
Views
Share

