MUC2 and MUC5AC Expression in Colon Cancer: A Preliminary Report from South India
CC BY-NC-ND 4.0 · Indian J Med Paediatr Oncol 2019; 40(03): 402-405
DOI: DOI: 10.4103/ijmpo.ijmpo_33_18
Abstract
Background: There is scanty data from India regarding MUC protein expression from colorectal cancers (CRC) among Indian patients. Aim of the Study: The aim of this study is to assess the alterations in the expression of MUC2 and MUC5AC in 25 patients with CRC by site of the tumor location and differentiation at histology. Materials and Methods: Patients with proven adenocarcinoma of the colon alone were included for the study. Biopsy specimens obtained from tumorous lesions in the colon were classified based on histopathology as well differentiated, moderately, and poorly differentiated adenocarcinoma. Immunohistochemistry was done in the 4 μm thick sections to identify the expression of MUC2 and MUC5AC mucins. Results: MUC2 was uniformly expressed with near similar intensity while MUC5 was moderately (56%) to highly expressed (36%) in mucinous tumors. In nonmucinous tumors, MUC2 was least expressed (68%) with a significant expression on MUC5AC (88%). Except for rectosigmoid growth which had greater expression of MUC5AC (31%), both proximal and distal carcinomas had significant MUC2 and MUC5AC expression. Conclusion: MUC2 and MUC5AC are expressed in colonic cancers, the former showing mildtomoderate expression and the latter moderatetointense expression. The expression is more in mucinous adenocarcinoma.
Publication History
Received: 09 February 2018
Accepted: 12 September 2018
Article published online:
03 June 2021
© 2019. Indian Society of Medical and Paediatric Oncology. This is an open access article published by Thieme under the terms of the Creative Commons Attribution-NonDerivative-NonCommercial-License, permitting copying and reproduction so long as the original work is given appropriate credit. Contents may not be used for commercial purposes, or adapted, remixed, transformed or built upon. (https://creativecommons.org/licenses/by-nc-nd/4.0/).
Thieme Medical and Scientific Publishers Pvt. Ltd.
A-12, 2nd Floor, Sector 2, Noida-201301 UP, India
Abstract
Background: There is scanty data from India regarding MUC protein expression from colorectal cancers (CRC) among Indian patients. Aim of the Study: The aim of this study is to assess the alterations in the expression of MUC2 and MUC5AC in 25 patients with CRC by site of the tumor location and differentiation at histology. Materials and Methods: Patients with proven adenocarcinoma of the colon alone were included for the study. Biopsy specimens obtained from tumorous lesions in the colon were classified based on histopathology as well differentiated, moderately, and poorly differentiated adenocarcinoma. Immunohistochemistry was done in the 4 μm thick sections to identify the expression of MUC2 and MUC5AC mucins. Results: MUC2 was uniformly expressed with near similar intensity while MUC5 was moderately (56%) to highly expressed (36%) in mucinous tumors. In nonmucinous tumors, MUC2 was least expressed (68%) with a significant expression on MUC5AC (88%). Except for rectosigmoid growth which had greater expression of MUC5AC (31%), both proximal and distal carcinomas had significant MUC2 and MUC5AC expression. Conclusion: MUC2 and MUC5AC are expressed in colonic cancers, the former showing mildtomoderate expression and the latter moderatetointense expression. The expression is more in mucinous adenocarcinoma.
Introduction
One of the strongest prognostic parameter in colorectal cancer (CRC) is tumor node metastasis staging and is currently used as a guide to patient management. However, biological behavior of the tumor with same pathological grading may have different clinical outcomes, and hence, there is a need for identifying other prognostic markers that can stratify patients for different therapeutic and surveilance strategies.
Epithelial surfaces, including the colonic epithelium, are covered and protected by mucus, of which the major glycoprotein constituents are mucins, large carbohydrate-rich glycoproteins. Besides their protective function in the normal colon, alterations in mucin are a common feature of colonic neoplasia.[1] Expression profiles of mucin may play a role in prognosis and tumor phenotypes.[2]
Mucins are high-molecular-weight glycoproteins expressed by epithelial tissues and are synthesized throughout the gastrointestinal tract (GIT) by the epithelial cells and form a protective barrier on the surface. Constituents of mucin include clustered oligosaccharides. They form a mucosal protecting system on the surface of the GIT. Recent studies have characterized the mucin protein. Since the initial characterization of cDNA sequences of MUC1[3],[4],[5] and MUC2,[6] several genes encoding mucin proteins have been identified and named chronologically as MUC1 through MUC17.
Several types of MUC proteins have been described. These include secreted gel-forming mucins (MUC2, MUC5AC, and MUC6), transmembrane mucins (MUC1), and others that do not fit into either of the two classes. Organ-specific mucin has been identified. MUC1 is expressed in apices of most epithelial cells.[7] MUC2, for example, is present in the goblet cells of the small and large intestine, MUC5AC, and MUC6 are especially expressed in the gastric epithelium and rarely in the colon.[4],[5],[6]
During a neoplastic transformation or progression of a benign polyp to a malignant one, expression of specific mucins can be reduced or the organ specificity may be lost, and still more, there may be an aberrant expression of new mucins. For example, MUC5AC can be aberrantly expressed by colorectal polyps and carcinoma. It has been hypothesized that aberrant expression of MUC5AC in CRC tissues increased the overall survival of these patients. Mucin 2 (MUC2) is known to undergo significant changes during malignant transformation of colorectal tumor.[8] While MUC2 downregulation is noted in nonmucinous adenocarcinomas, there is upregulation of MUC2 in mucinous adenocarcinomas.
Our study aimed to assess the alterations in the expression of MUC2 and MUC5AC in 25 patients with CRC by site of the tumor location and differentiation at histology. These were compared with five healthy controls.
Materials and Methods
Patients with proven adenocarcinoma of the colon alone were included for the study. Biopsy specimens obtained from tumorous lesions in the colon were classified based on histopathology as well differentiated, moderately, and poorly differentiated adenocarcinoma. Immunohistochemistry was done in the 4 μm thick sections to identify the expression of MUC2 and MUC5AC mucins. The slides were dewaxed in xylene and treated in descending grades of ethanol (100%, 90%, 70%, 50%, and 30%). The sections were then treated with 3% hydrogen peroxide in methanol. Antigen retrieval was done in citrate buffer (pH-6.0) for 5 min followed by blocking with 3% bovine serum albumin in phosphate-buffered saline (PBS). The sections were probed with the respective primary antibodies for MUC2 and MUC5AC [Flowchart 1].
| Figure 1 Flowchart for the data flow
After an overnight incubation at 4°C, the tissues were washed in PBS and then incubated with Horseradish Peroxidase conjugated secondary antibody for 1 h at room temperature. The antigen-antibody reaction was visualized using 3,3'–diaminobenzidine chromogen in dim conditions. Counterstaining was done using hematoxylin. The slides were then dehydrated in an ascending series of ethanol (30%, 50%, 70%, 90%, and 100%), cleared in xylene and mounted. After drying, the sections were visualized in Axioscope Two Plus Microscope (Carl Zeiss).
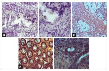
The results of the staining were semi-quantitatively evaluated for the percentage and intensity of the positive cells. An intensity value of −, +, ++, and +++ were classified as negative, mild, moderate, and intense, respectively [Figure 1a], [Figure 1b], [Figure 1c].
| Figure 2 Nonmucinous colorectal cancer probed for MUC2 and MUC5AC (b) Mucinous colorectal cancer showing MUC5AC [removed]c) Mucinous colorectal cancer MUC 2 expression
Ethics committee of the institution approved the study.
Results
The mean age of the 25 patients with CRC was 51 years. Men outnumbered the women in a ratio of 3:1. All had proven adenocarcinoma.
Immunohistochemical analysis of MUC2 and MUC5AC expression
Among healthy controls, all five participants showed MUC2 expression, and none showed MUC5AC expression. MUC2 was uniformly expressed with near similar intensity while MUC5 was moderately (56%) to highly expressed (36%) in mucinous tumors. In nonmucinous tumors, MUC2 was least expressed (68%) with significant expression on MUC5AC (88%) [Figure 1] and [Table 1].
|
Intensity of expression |
|||||
|---|---|---|---|---|---|
|
Type |
- |
+ |
++ |
+++ |
|
|
- - Negative; + - mild; ++ - moderate; +++ - intense |
|||||
|
Mucinous |
MUC 2 |
None |
7 (28) |
8 (32) |
10 (40) |
|
MUC 5AC |
None |
2 (8) |
14 (56) |
9 (36) |
|
|
Nonmucinous |
MUC 2 |
None |
17 (68) |
7 (28) |
1 (4) |
|
MUC 5AC |
None |
3 (12) |
14 (56) |
8 (32) |
|
|
Proximal colon (6) |
Distal colon (6) |
Rectosigmoid (13) |
|
|---|---|---|---|
|
MUC 2 (%) |
6 (100) |
4 (67) |
3 (23) |
|
MUC 5AC (%) |
6 (100) |
3 (50) |
4 (31) |
|
MUC2 + MUC5AC (%) |
4 (67) |
2 (33.3) |
2 (15) |
- Byrd JC, Bresalier RS. Mucins and mucin binding proteins in colorectal cancer. Cancer Metastasis Rev 2004; 23: 77-99
- Aksoy N, Corfield AP, Sheehan JK. Preliminary study pointing out a significant alteration in the biochemical composition of MUC2 in colorectal mucinous carcinoma. Clin Biochem 2000; 33: 167-73
- Gendler SJ, Lancaster CA, Taylor-Papadimitriou J, Duhig T, Peat N, Burchell J. et al. Molecular cloning and expression of human tumor-associated polymorphic epithelial mucin. J Biol Chem 1990; 265: 15286-93
- Lan MS, Batra SK, Qi WN, Metzgar RS, Hollingsworth MA. Cloning and sequencing of a human pancreatic tumor mucin cDNA. J Biol Chem 1990; 265: 15294-9
- Ligtenberg MJ, Vos HL, Gennissen AM, Hilkens J. Episialin, a carcinoma-associated mucin, is generated by a polymorphic gene encoding splice variants with alternative amino termini. J Biol Chem 1990; 265: 5573-8
- Gum JR, Byrd JC, Hicks JW, Toribara NW, Lamport DT, Kim YS. et al. Molecular cloning of human intestinal mucin cDNAs. Sequence analysis and evidence for genetic polymorphism. J Biol Chem 1989; 264: 6480-7
- Taylor CR. Standardization in immunohistochemistry: The role of antigen retrieval in molecular morphology. Biotech Histochem 2006; 81: 3-12
- Velcich A, Yang W, Heyer J, Fragale A, Nicholas C, Viani S. et al. Colorectal cancer in mice genetically deficient in the mucin muc2. Science 2002; 295: 1726-9
- Bu XD, Li N, Tian XQ, Li L, Wang JS, Yu XJ. et al. Altered expression of MUC2 and MUC5AC in progression of colorectal carcinoma. World J Gastroenterol 2010; 16: 4089-94
- Farhat MH, Barada KA, Tawil AN, Itani DM, Hatoum HA, Shamseddine AI. et al. Effect of mucin production on survival in colorectal cancer: A case-control study. World J Gastroenterol 2008; 14: 6981-5
- Voloshanenko O, Erdmann G, Dubash TD, Augustin I, Metzig M, Moffa G. et al. Wnt secretion is required to maintain high levels of Wnt activity in colon cancer cells. Nat Commun 2013; 4: 2610
- Ookawa K, Kudo T, Aizawa S, Saito H, Tsuchida S. Transcriptional activation of the MUC2 gene by p53. J Biol Chem 2002; 277: 48270-5
- Lugli A, Zlobec I, Baker K, Minoo P, Tornillo L, Terracciano L. et al. Prognostic significance of mucins in colorectal cancer with different DNA mismatch-repair status. J Clin Pathol 2007; 60: 534-9
- Kocer B, Soran A, Erdogan S, Karabeyoglu M, Yildirim O, Eroglu A. et al. Expression of MUC5AC in colorectal carcinoma and relationship with prognosis. Pathol Int 2002; 52: 470-7
- Walsh MD, Clendenning M, Williamson E, Pearson SA, Walters RJ, Nagler B. et al. Expression of MUC2, MUC5AC, MUC5B, and MUC6 mucins in colorectal cancers and their association with the cpG island methylator phenotype. Mod Pathol 2013; 26: 1642-56
- Betge J, Schneider NI, Harbaum L, Pollheimer MJ, Lindtner RA, Kornprat P. et al. MUC1, MUC2, MUC5AC, and MUC6 in colorectal cancer: Expression profiles and clinical significance. Virchows Arch 2016; 469: 255-65
Address for correspondence
Publication History
Received: 09 February 2018
Accepted: 12 September 2018
Article published online:
03 June 2021
© 2019. Indian Society of Medical and Paediatric Oncology. This is an open access article published by Thieme under the terms of the Creative Commons Attribution-NonDerivative-NonCommercial-License, permitting copying and reproduction so long as the original work is given appropriate credit. Contents may not be used for commercial purposes, or adapted, remixed, transformed or built upon. (https://creativecommons.org/licenses/by-nc-nd/4.0/).
Thieme Medical and Scientific Publishers Pvt. Ltd.
A-12, 2nd Floor, Sector 2, Noida-201301 UP, India
| Figure 1 Flowchart for the data flow
| Figure 2 Nonmucinous colorectal cancer probed for MUC2 and MUC5AC (b) Mucinous colorectal cancer showing MUC5AC [removed]c) Mucinous colorectal cancer MUC 2 expression
- Byrd JC, Bresalier RS. Mucins and mucin binding proteins in colorectal cancer. Cancer Metastasis Rev 2004; 23: 77-99
- Aksoy N, Corfield AP, Sheehan JK. Preliminary study pointing out a significant alteration in the biochemical composition of MUC2 in colorectal mucinous carcinoma. Clin Biochem 2000; 33: 167-73
- Gendler SJ, Lancaster CA, Taylor-Papadimitriou J, Duhig T, Peat N, Burchell J. et al. Molecular cloning and expression of human tumor-associated polymorphic epithelial mucin. J Biol Chem 1990; 265: 15286-93
- Lan MS, Batra SK, Qi WN, Metzgar RS, Hollingsworth MA. Cloning and sequencing of a human pancreatic tumor mucin cDNA. J Biol Chem 1990; 265: 15294-9
- Ligtenberg MJ, Vos HL, Gennissen AM, Hilkens J. Episialin, a carcinoma-associated mucin, is generated by a polymorphic gene encoding splice variants with alternative amino termini. J Biol Chem 1990; 265: 5573-8
- Gum JR, Byrd JC, Hicks JW, Toribara NW, Lamport DT, Kim YS. et al. Molecular cloning of human intestinal mucin cDNAs. Sequence analysis and evidence for genetic polymorphism. J Biol Chem 1989; 264: 6480-7
- Taylor CR. Standardization in immunohistochemistry: The role of antigen retrieval in molecular morphology. Biotech Histochem 2006; 81: 3-12
- Velcich A, Yang W, Heyer J, Fragale A, Nicholas C, Viani S. et al. Colorectal cancer in mice genetically deficient in the mucin muc2. Science 2002; 295: 1726-9
- Bu XD, Li N, Tian XQ, Li L, Wang JS, Yu XJ. et al. Altered expression of MUC2 and MUC5AC in progression of colorectal carcinoma. World J Gastroenterol 2010; 16: 4089-94
- Farhat MH, Barada KA, Tawil AN, Itani DM, Hatoum HA, Shamseddine AI. et al. Effect of mucin production on survival in colorectal cancer: A case-control study. World J Gastroenterol 2008; 14: 6981-5
- Voloshanenko O, Erdmann G, Dubash TD, Augustin I, Metzig M, Moffa G. et al. Wnt secretion is required to maintain high levels of Wnt activity in colon cancer cells. Nat Commun 2013; 4: 2610
- Ookawa K, Kudo T, Aizawa S, Saito H, Tsuchida S. Transcriptional activation of the MUC2 gene by p53. J Biol Chem 2002; 277: 48270-5
- Lugli A, Zlobec I, Baker K, Minoo P, Tornillo L, Terracciano L. et al. Prognostic significance of mucins in colorectal cancer with different DNA mismatch-repair status. J Clin Pathol 2007; 60: 534-9
- Kocer B, Soran A, Erdogan S, Karabeyoglu M, Yildirim O, Eroglu A. et al. Expression of MUC5AC in colorectal carcinoma and relationship with prognosis. Pathol Int 2002; 52: 470-7
- Walsh MD, Clendenning M, Williamson E, Pearson SA, Walters RJ, Nagler B. et al. Expression of MUC2, MUC5AC, MUC5B, and MUC6 mucins in colorectal cancers and their association with the cpG island methylator phenotype. Mod Pathol 2013; 26: 1642-56
- Betge J, Schneider NI, Harbaum L, Pollheimer MJ, Lindtner RA, Kornprat P. et al. MUC1, MUC2, MUC5AC, and MUC6 in colorectal cancer: Expression profiles and clinical significance. Virchows Arch 2016; 469: 255-65
PDF
Views
Share

