Pathologist’s Feast: Intranuclear Inclusions in Myeloma Patient
CC BY-NC-ND 4.0 · Indian J Med Paediatr Oncol 2019; 40(S 01): S196-S198
DOI: DOI: 10.4103/ijmpo.ijmpo_178_17
Sir,
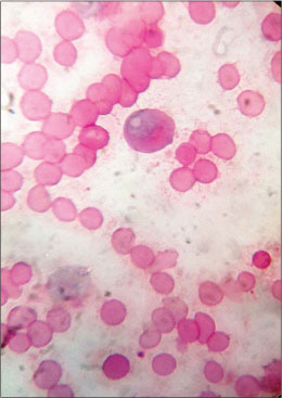
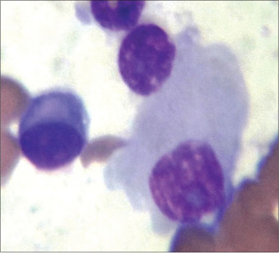
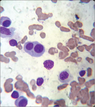
We present a case of a 36-year-old female admitted in hospital with complaints of pain in sacral region radiating toward right lower limb for 1 month. Laboratory examination revealed hemoglobin 8.1 g/dL, red blood cell count – 2.61 × 109/mm3, white blood cell count 16.16 × 103/mm3, and platelet count 299 × 109/mm3. The differential showed polymorphs – 74%, lymphocytes – 22%, eosinophils – 1%, and monocytes – 3%. Peripheral blood smear showed rouleaux formation in red blood cells. The serum biochemistry showed blood urea – 54 mg/dl and creatinine – 3.8 mg/dl, angiotensin converting enzyme level – 64.25 U/L, and serum calcium – 13.3 mg/dl. Liver function tests and serum electrolytes were normal and HIV and HBsAg were nonreactive. Urine examination was negative for Bence Jones protein. Serum total protein was 10.5 mg/dl with reversed albumin globulin ratio 0.61. On serum electrophoresis, there was presence of monoclonal (M) band in beta-2 regions [Figure 1]. X-ray skull was showing multiple punched-out lesion. USG findings were chronic cervicitis, uterine fibroid, and cholelithiasis. Bone marrow aspiration showed 70% of plasma cell having nucleocytoplasmic asynchrony, marked pleomorphism, and multinuclearity. There were bi- and tri-nucleated plasma cells also noted in the bone marrow aspiration [Figure 2]. Plasma cells showed Dutcher body in bone marrow aspiration [Figure 3] as periodic acid–Schiff positive intranuclear inclusion [Figure 4]. The bone marrow biopsy showed loss of normal architecture with packed marrow studded by plasma cells [Figure 5].
Multiple myeloma account for 1% of all cancers and approximately 10% of all hematological malignancies.[1] The peak incidence is seventh decade, and it is quite rare, below 40 years of age. The clinical and biological characteristics of multiple myeloma in young patients are similar to those in elderly as in literature in studies by Usha et al.[2] and Bladé et al.[3] The above case shows ditcher body inclusions in plasma cells on bone marrow aspiration.
Dutcher bodies were first described as intranuclear inclusion in a patient suffering from Waldenstrom macroglobulinemia.[4] Initially, they were thought to originate in the nucleus as an immunoglobulin accumulation. However later studies proved their origin from cytoplasm. They appear as immunoglobin accumulation in peri nuclear cistern by electron microscopy and latter get invaginate into or overlie nucleus.[5] They were termed as periodic acid–Schiff positive intranuclear pseudoinclusions by World health organization 2008 classification.[6] Russell bodies are another immunoglobulin intracytoplasmic inclusion when present as multiple body form, the so-called Mott cell.[7] Dutcher bodies, single Russell body, and multiple Russell bodies (Mott cells) are aspects of the same phenomena.[8] Dutcher bodies and Russell bodies can be seen in reactive and other B-cell neoplasms.[9] [10]
The case presents with all classical features of myeloma signs, symptoms, and laboratory findings including confirmation on bone marrow in spite of unusual younger age. One should rely on what eyes see and should consider myeloma in young patients based on clinical, radiological, and laboratory findings. The increased reliance on automation, flow cytometry, morphological examination of cells is losing its shine. We therefore present this fascinating morphology for young pathologists to inculcate interest and importance of morphology in hematology as well as clinical pathology correlation.
Declaration of patient consent
The authors certify that they have obtained all appropriate patient consent forms. In the form the patient(s) has/have given his/her/their consent for his/her/their images and other clinical information to be reported in the journal. The patients understand that their names and initials will not be published and due efforts will be made to conceal their identity, but anonymity cannot be guaranteed.
Publication History
Article published online:
24 May 2021
© 2019. Indian Society of Medical and Paediatric Oncology. This is an open access article published by Thieme under the terms of the Creative Commons Attribution-NonDerivative-NonCommercial-License, permitting copying and reproduction so long as the original work is given appropriate credit. Contents may not be used for commercial purposes, or adapted, remixed, transformed or built upon. (https://creativecommons.org/licenses/by-nc-nd/4.0/).
Thieme Medical and Scientific Publishers Pvt. Ltd.
A-12, 2nd Floor, Sector 2, Noida-201301 UP, India
Sir,
We present a case of a 36-year-old female admitted in hospital with complaints of pain in sacral region radiating toward right lower limb for 1 month. Laboratory examination revealed hemoglobin 8.1 g/dL, red blood cell count – 2.61 × 109/mm3, white blood cell count 16.16 × 103/mm3, and platelet count 299 × 109/mm3. The differential showed polymorphs – 74%, lymphocytes – 22%, eosinophils – 1%, and monocytes – 3%. Peripheral blood smear showed rouleaux formation in red blood cells. The serum biochemistry showed blood urea – 54 mg/dl and creatinine – 3.8 mg/dl, angiotensin converting enzyme level – 64.25 U/L, and serum calcium – 13.3 mg/dl. Liver function tests and serum electrolytes were normal and HIV and HBsAg were nonreactive. Urine examination was negative for Bence Jones protein. Serum total protein was 10.5 mg/dl with reversed albumin globulin ratio 0.61. On serum electrophoresis, there was presence of monoclonal (M) band in beta-2 regions [Figure 1]. X-ray skull was showing multiple punched-out lesion. USG findings were chronic cervicitis, uterine fibroid, and cholelithiasis. Bone marrow aspiration showed 70% of plasma cell having nucleocytoplasmic asynchrony, marked pleomorphism, and multinuclearity. There were bi- and tri-nucleated plasma cells also noted in the bone marrow aspiration [Figure 2]. Plasma cells showed Dutcher body in bone marrow aspiration [Figure 3] as periodic acid–Schiff positive intranuclear inclusion [Figure 4]. The bone marrow biopsy showed loss of normal architecture with packed marrow studded by plasma cells [Figure 5].
| Figure. 1 Serum protein electrophoresis
| Figure. 2 Bone marrow aspiration (Giemsa, ×40) binucleated cells
| Figure. 3 Bone marrow aspiration (Giemsa stain, ×100) intranuclear inclusion Dutcher body
| Figure. 4 Bone marrow aspiration (PAS, 100×)
| Figure. 5 Bone marrow biopsy (H & E, 10×)
Multiple myeloma account for 1% of all cancers and approximately 10% of all hematological malignancies.[1] The peak incidence is seventh decade, and it is quite rare, below 40 years of age. The clinical and biological characteristics of multiple myeloma in young patients are similar to those in elderly as in literature in studies by Usha et al.[2] and Bladé et al.[3] The above case shows ditcher body inclusions in plasma cells on bone marrow aspiration.
Dutcher bodies were first described as intranuclear inclusion in a patient suffering from Waldenstrom macroglobulinemia.[4] Initially, they were thought to originate in the nucleus as an immunoglobulin accumulation. However later studies proved their origin from cytoplasm. They appear as immunoglobin accumulation in peri nuclear cistern by electron microscopy and latter get invaginate into or overlie nucleus.[5] They were termed as periodic acid–Schiff positive intranuclear pseudoinclusions by World health organization 2008 classification.[6] Russell bodies are another immunoglobulin intracytoplasmic inclusion when present as multiple body form, the so-called Mott cell.[7] Dutcher bodies, single Russell body, and multiple Russell bodies (Mott cells) are aspects of the same phenomena.[8] Dutcher bodies and Russell bodies can be seen in reactive and other B-cell neoplasms.[9] [10]
The case presents with all classical features of myeloma signs, symptoms, and laboratory findings including confirmation on bone marrow in spite of unusual younger age. One should rely on what eyes see and should consider myeloma in young patients based on clinical, radiological, and laboratory findings. The increased reliance on automation, flow cytometry, morphological examination of cells is losing its shine. We therefore present this fascinating morphology for young pathologists to inculcate interest and importance of morphology in hematology as well as clinical pathology correlation.
Declaration of patient consent
The authors certify that they have obtained all appropriate patient consent forms. In the form the patient(s) has/have given his/her/their consent for his/her/their images and other clinical information to be reported in the journal. The patients understand that their names and initials will not be published and due efforts will be made to conceal their identity, but anonymity cannot be guaranteed.
Conflict of Interest
There are no conflicts of interest.
- Moreau P, San Miguel J, Sonneveld P, Mateos MV, Zamagni E, Avet-Loiseau H. et al., Buske multiple myeloma: ESMO clinical practice guidelines for diagnosis, treatment and follow-up. Ann Oncol 2017;28:1‑11. Available from: https://doi.org/10.1093/Annonc/mdx096. [Last accessed on 2018 Apr 27].
- Usha WG, Agarwal N, Kumar P, Rai M, Singh RG, Seth M. et al. Myeloma in young age. Indian J Pathol Microbiol 2005; 48: 314-7
- Bladé J, Kyle RA, Greipp PR. Multiple myeloma in patients younger than 30 years. Report of 10 cases and review of the literature. Arch Intern Med 1996; 156: 1463-8
- Dutcher TF, Fahey JL. The histopathology of the macroglobulinemia of waldenström. J Natl Cancer Inst 1959; 22: 887-917
- Brunning RD, Parkin J. Intranuclear inclusions in plasma cells and lymphocytes from patients with monoclonal gammopathies. Am J Clin Pathol 1976; 66: 10-21
- Swerdlow S, Campo E, Harris N. WHO Classification of Tumours of Haematopoietic and Lymphoid Tissues. Lyon, France: International Agency for Research on Cancer; 2008: 195
- Bain BJ. Russell bodies and mott cells. Am J Hematol 2009; 84: 516
- Zini G, Bain B, Bettelheim P, Cortez J, D’Onofrio G, Faber E. et al. A European consensus report on blood cell identification: Terminology utilized and morphological diagnosis concordance among 28 experts from 17 countries within the European leukemiaNet network WP10, on behalf of the ELN morphology faculty. Br J Haematol 2010; 151: 359-64
- Gray Y, Schwartz S. Dutcher bodies in chronic synovitis. Arch Pathol Lab Med 2002; 126: 199-201
- Metz KA, Bauer R, Schmidt U, Leder LD. Morphological and immunohistochemical findings on the frequency of intranuclear immunoglobulin inclusions (Dutcher bodies) in malignant B-cell lymphomas. Verh Der Deutsch Gesellsch Fur Pathol 1992; 76: 226-9
Address for correspondence
Publication History
Article published online:
24 May 2021
© 2019. Indian Society of Medical and Paediatric Oncology. This is an open access article published by Thieme under the terms of the Creative Commons Attribution-NonDerivative-NonCommercial-License, permitting copying and reproduction so long as the original work is given appropriate credit. Contents may not be used for commercial purposes, or adapted, remixed, transformed or built upon. (https://creativecommons.org/licenses/by-nc-nd/4.0/).
Thieme Medical and Scientific Publishers Pvt. Ltd.
A-12, 2nd Floor, Sector 2, Noida-201301 UP, India
| Figure. 1 Serum protein electrophoresis
| Figure. 2 Bone marrow aspiration (Giemsa, ×40) binucleated cells
| Figure. 3 Bone marrow aspiration (Giemsa stain, ×100) intranuclear inclusion Dutcher body
| Figure. 4 Bone marrow aspiration (PAS, 100×)
| Figure. 5 Bone marrow biopsy (H & E, 10×)
References
- Moreau P, San Miguel J, Sonneveld P, Mateos MV, Zamagni E, Avet-Loiseau H. et al., Buske multiple myeloma: ESMO clinical practice guidelines for diagnosis, treatment and follow-up. Ann Oncol 2017;28:1‑11. Available from: https://doi.org/10.1093/Annonc/mdx096. [Last accessed on 2018 Apr 27].
- Usha WG, Agarwal N, Kumar P, Rai M, Singh RG, Seth M. et al. Myeloma in young age. Indian J Pathol Microbiol 2005; 48: 314-7
- Bladé J, Kyle RA, Greipp PR. Multiple myeloma in patients younger than 30 years. Report of 10 cases and review of the literature. Arch Intern Med 1996; 156: 1463-8
- Dutcher TF, Fahey JL. The histopathology of the macroglobulinemia of waldenström. J Natl Cancer Inst 1959; 22: 887-917
- Brunning RD, Parkin J. Intranuclear inclusions in plasma cells and lymphocytes from patients with monoclonal gammopathies. Am J Clin Pathol 1976; 66: 10-21
- Swerdlow S, Campo E, Harris N. WHO Classification of Tumours of Haematopoietic and Lymphoid Tissues. Lyon, France: International Agency for Research on Cancer; 2008: 195
- Bain BJ. Russell bodies and mott cells. Am J Hematol 2009; 84: 516
- Zini G, Bain B, Bettelheim P, Cortez J, D’Onofrio G, Faber E. et al. A European consensus report on blood cell identification: Terminology utilized and morphological diagnosis concordance among 28 experts from 17 countries within the European leukemiaNet network WP10, on behalf of the ELN morphology faculty. Br J Haematol 2010; 151: 359-64
- Gray Y, Schwartz S. Dutcher bodies in chronic synovitis. Arch Pathol Lab Med 2002; 126: 199-201
- Metz KA, Bauer R, Schmidt U, Leder LD. Morphological and immunohistochemical findings on the frequency of intranuclear immunoglobulin inclusions (Dutcher bodies) in malignant B-cell lymphomas. Verh Der Deutsch Gesellsch Fur Pathol 1992; 76: 226-9
PDF
Views
Share

