Pediatric Primary Pleural Synovial Sarcoma: A Unique Case Report with Brief Review of Literature
CC BY-NC-ND 4.0 · Indian J Med Paediatr Oncol 2019; 40(03): 435-439
DOI: DOI: 10.4103/ijmpo.ijmpo_233_17
Abstract
Synovial sarcoma (SS) primary to the pleura is an extremely rare tumor. So far, only nine cases have been reported in pediatric patients. However, none of these patients was found to have a conglomeration of tumors. Here, we report a case of 16-year-old female with monophasic SS and synchronous occurrence of left paraspinal ganglioneuroma and a right paraovarian cystadenoma. A next-generation sequencing genetic panel revealed a novel variant of unknown significance in the MET gene. The occurrence of multiple different tumors in a young patient with a novel genetic variant in a known oncogene (MET) may suggest a possibility of a hitherto unknown cancer predisposition syndrome. We also present a brief review of primary pleural SS reported in pediatric patients.
Publication History
Received: 26 November 2017
Accepted: 23 March 2018
Article published online:
03 June 2021
© 2019. Indian Society of Medical and Paediatric Oncology. This is an open access article published by Thieme under the terms of the Creative Commons Attribution-NonDerivative-NonCommercial-License, permitting copying and reproduction so long as the original work is given appropriate credit. Contents may not be used for commercial purposes, or adapted, remixed, transformed or built upon. (https://creativecommons.org/licenses/by-nc-nd/4.0/).
Thieme Medical and Scientific Publishers Pvt. Ltd.
A-12, 2nd Floor, Sector 2, Noida-201301 UP, India
Abstract
Synovial sarcoma (SS) primary to the pleura is an extremely rare tumor. So far, only nine cases have been reported in pediatric patients. However, none of these patients was found to have a conglomeration of tumors. Here, we report a case of 16-year-old female with monophasic SS and synchronous occurrence of left paraspinal ganglioneuroma and a right paraovarian cystadenoma. A next-generation sequencing genetic panel revealed a novel variant of unknown significance in the MET gene. The occurrence of multiple different tumors in a young patient with a novel genetic variant in a known oncogene (MET) may suggest a possibility of a hitherto unknown cancer predisposition syndrome. We also present a brief review of primary pleural SS reported in pediatric patients.
Introduction
Synovial sarcoma (SS) constitutes 8%–10% of the total soft-tissue sarcoma (STS) and is the most common form of nonrhabdomyosarcoma STS in the pediatric population. As the name suggests, it usually occurs around the joints. However, these tumors can develop at other primary sites such as the head, neck, torso, and mediastinum.[1] Primary pleural SS is an extremely rare occurrence where SS originates in the pleura. It was first reported by Gaertner et al. in 1996 as a case series of 5 patients, out of which 3 were children.[2] It has never been reported in association with other tumors. Hence, a high index of suspicion is needed to differentiate metastasis of primary pleural SS from synchronous occurrence of multiple types of tumors secondary to an undiagnosed hereditary cancer predisposition syndrome (CPS) in a young patient with a strong family history of malignancy as illustrated by our case.
Case Report
A 16-year-old previously healthy Caucasian female, a product of nonconsanguineous marriage, presented to our clinic in June 2013 with 5 years of intermittent right-sided chest pain with acute exacerbation for 3 weeks before the presentation. Medical history was unremarkable for fever, cough, shortness of breath, weight loss, night sweats, or exposure to tobacco, radiation, and environmental toxins. Family history was significant for colorectal cancer in her paternal grandmother at the age of 40 years, laryngeal cancer in the paternal grandfather in his 60s, renal cancer in her maternal grandfather in his 60s, thyroid cancer in the maternal aunt at 55 years of age, renal cancer in another maternal aunt at 64 years of age, and leukemia in the maternal great-grandmother at the age of 82 years. Multiple females in the family including mother and two maternal aunts had a history of uterine fibroids requiring hysterectomy. One of the maternal aunts also had an unknown type of skin cancer and ovarian cysts requiring bilateral salpingo-oophorectomy. The pedigree is shown in [Figure 1].
| Figure 1 Pedigree chart of the patient’s family showing the age of the family members. Age at diagnosis of cancer is shown in the parenthesis. Ca – Cancer
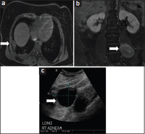
On physical examination, she had decreased air entry in the right lower lung base. Laboratory workup, including complete blood count, comprehensive metabolic panel, uric acid, and lactate dehydrogenase, was within normal limits. A chest X-ray showed pleural thickening along the lateral right lower lung base. Magnetic resonance imaging (MRI) of the chest, abdomen, and pelvis with contrast showed a 5.5 cm × 3.7 cm × 1.7 cm sharply demarcated pleural-based mass adjacent to the right sixth rib and a left mid-lumbar mass posterior and contiguous with the psoas muscle measuring 2.2 cm × 5 cm × 0.6 cm [Figure 2]a] and [Figure 2]b]. A small right pleural effusion with adjacent right basilar atelectasis was also noted. Imaging also revealed a left paraspinal mass in the lumbar region and an ovarian cyst in the right ovary. A full-body positron emission tomography scan demonstrated a mildly hypermetabolic lesion in the lower right pleura (standardized uptake value of 2.8). A computerized tomography scan-guided needle biopsy was nondiagnostic, and hence, she underwent a right thoracotomy with an en bloc resection of the right pleural mass and the adjacent sixth rib. The tumor was 5.8 cm in the longest dimension with no involvement of the lung or the rib. Histologically, the mass was encapsulated and composed of uniform spindle cells arranged in sheets and fascicles with alternating areas of relative hyper- and hypocellularity [Figure 3]a]. Mean mitotic count was 5/10 high-power field. Immunohistochemical studies (IHC) showed diffuse staining with TLE1, vimentin, and BCL 2 with focal EMA, CK AE1/AE3, CAM 5.2, CK7, and SMA. CD34, S100, ALK-1, p53, and HMB45 were negative [Figure 3]b-d]. Ki67 was moderately increased. Cytogenetic testing by FISH was positive for SYT (18q11) translocation. These findings were diagnostic of a monophasic SS arising from the pleura. Finally, the tumor was staged and graded as Intergroup Rhabdomyosarcoma Study Group, Group III, Stage III (T2b, N0, M0), Pediatric Oncology Group Grade III (high grade), and French Federation of Cancer Centers Sarcoma Group (FNCLCC) Grade II.
| Figure 2 Radiographic images of all three tumors (white arrows) in the patient. (a) Computed tomography scan of the chest showing primary pleural synovial sarcoma. (b) Magnetic resonance imaging of the spine showing left lumbar ganglioneuroblastoma. (c) Right paraovarian cystadenoma
| Figure 3 Histologic section showing uniform spindle cells with (a) storiform fascicular pattern and immunohistochemical expression of (b) BCL-2, (c) CK AE 1/3, and (d) TLE1
A computerized tomography-guided biopsy of the left lumbar soft-tissue mass revealed it to be a ganglioneuroma. Urine vanillylmandelic acid and homovanillic acid were within normal limits. A pelvic ultrasound (US) showed a paraovarian cyst measuring approximately 4.9 cm × 4.1 cm × 3.5 cm. It was followed overtime with a pelvic US every 6 months. Following surgical resection of the pleural mass, she received therapy as per Children's Oncology Group protocol ARST0332. She was given 6 cycles of ifosfamide (9 g/m2/cycle) and doxorubicin (75 mg/m2/cycle). She received a total of 55.8 Gray (Gy) in 1.8 Gy fractions of external beam radiation therapy to the right chest wall which was started 4 weeks after the first dose of chemotherapy. She completed the last cycle of chemotherapy in January 2014. Surveillance scans with MRI chest, abdomen, and pelvis every 6 months have revealed no local or systemic signs of relapse with a stable size of the ganglioneuroma. In August 2014, she developed right lower quadrant pain. Pelvic US was concerning for interval increase in the size of the paraovarian cyst (6.2 cm × 5.7 cm × 6 cm) with possible torsion of the right ovary [Figure 2]c]. She underwent right paraovarian cystectomy. Biopsy of the cyst was consistent with a serous cystadenoma. Due to the synchronous occurrence of two tumors at a young age and a significant family history of solid tumors, she underwent a genetic workup for hereditary CPS. Next-generation sequencing of an 18 gene panel (EPCAM, FH, FLON, MET, MITF, MLH1, MSH6, PMS2, PTEN, SDHA, SDHB, SDHC, SDHD, TP53, TSC1, TSC2, and VHL) detected a novel germline missense variant of unknown significance in the MET gene NM_001127500.2(MET):c.623A>G (p. Asp208Gly). At present, the patient remains in remission 3.5 years after completion of therapy.
Discussion
The true epidemiology, clinicopathological characteristics, treatment methodology, and outcomes of primary pleural SS remain unknown due to its rarity and paucity of literature.[1],[2],[3] Since its first description in 1997, only six additional pediatric cases have been reported. These cases are summarized in [Table 1].[2],[4],[5],[6],[7],[8],[9] Evidently, the surveillance, epidemiology, and results database reporting on the incidence of SS from 1983 to 2005, and only 2 out of 213 pediatric cases (0.9%) had the involvement of lung and/or pleura.[10] The median age of presentation of pleural SS is in the third decade of life with the most common chief complaint being chest pain. Patients may also have chronic dry cough, shortness of breath, and hemoptysis. Physical examination is mostly unremarkable but may be significant for decreased air entry in the area of lung under the lesion. Histologically, SS can be subclassified into biphasic and monophasic. Biphasic tumors have an epithelial as well as a spindle cell component with latter usually being the predominant component. Monophasic tumors are only composed of spindle cells without the epithelial component.[11]
|
Case number |
Author, year (reference) |
Age (years)/sex |
Histologic subtype |
Therapy |
Follow-up (at the time of Published) |
|---|---|---|---|---|---|
|
C - Cyclophosphamide; D - Doxorubicin; E - Etoposide; F - Female; I - Ifosfamide; M - Male; NR - Not reported; RT - Radiation therapy; V - Vincristine |
|||||
|
1 |
Gaertner et al, 1996[2] |
17/female |
Biphasic |
Complete resection with lobectomy + I + D and RT |
Died after 12 months |
|
2 |
Gaertner et al, 1996[2] |
17/female |
Biphasic |
Complete resection + I + D and RT |
Died after 18 months |
|
3 |
Gaertner et al, 1996[2] |
9/male |
Biphasic |
Complete resection + I + D and RT |
Alive with disease at 8 years |
|
4 |
Jawahar et al, 1997[4] |
18/female |
Biphasic |
Complete resection + I + D and RT |
Alive with disease at 16 months |
|
5 |
Ng et al, 2003[5] |
15/male |
Monophasic |
Complete resection + I + D and RT |
Alive with disease at 16 months |
|
6 |
Nishio et al, 2005[6] |
18/male |
Monophasic |
Complete resection + I + D and RT |
Alive with disease at 2 years |
|
7 |
Bégueret et al, 2005[7] |
16/female |
NR |
Complete resection + I + D and RT |
Alive with disease at 36 months |
|
8 |
Tailor et al, 2008[8] |
16/male |
Monophasic |
Complete resection + I + D and RT |
Died after 6 months |
|
9 |
Won et al, 2016[9] |
17/female |
Monophasic |
Complete resection + VDC + IE and RT |
Died after 37 months |
- Kerouanton A, Jimenez I, Cellier C, Laurence V, Helfre S, Pannier S. et al. Synovial sarcoma in children and adolescents. J Pediatr Hematol Oncol 2014; 36: 257-62
- Gaertner E, Zeren EH, Fleming MV, Colby TV, Travis WD. Biphasic synovial sarcomas arising in the pleural cavity. A clinicopathologic study of five cases. Am J Surg Pathol 1996; 20: 36-45
- Colwell AS, D'Cunha J, Vargas SO, Parker B, Dal Cin P, Maddaus MA. et al. Synovial sarcoma of the pleura: A clinical and pathologic study of three cases. J Thorac Cardiovasc Surg 2002; 124: 828-32
- Jawahar DA, Vuletin JC, Gorecki P, Persechino F, Macera M, Magazeh P. et al. Primary biphasic synovial sarcoma of the pleura. Respir Med 1997; 91: 568-70
- Ng SB, Ahmed Q, Tien SL, Sivaswaren C, Lau LC. Primary pleural synovial sarcoma. A case report and review of the literature. Arch Pathol Lab Med 2003; 127: 85-90
- Nishio J, Iwasaki H, Althof PA, Naumann S, Ishiguro M, Haraoka S. et al. Identification of a ring chromosome with spectral karyotyping in a pleural synovial sarcoma. Cancer Genet Cytogenet 2005; 160: 174-8
- Bégueret H, Galateau-Salle F, Guillou L, Chetaille B, Brambilla E, Vignaud JM. et al. Primary intrathoracic synovial sarcoma: A clinicopathologic study of 40 t(X; 18)-positive cases from the French Sarcoma Group and the Mesopath Group. Am J Surg Pathol 2005; 29: 339-46
- Tailor J, Roy PG, Bowker C, Lakhoo K. Primary pleural synovial sarcoma presenting as a multiloculated cyst in an adolescent. Pediatr Surg Int 2008; 24: 597-9
- Won JH, Chin S, Park JS, Paik SH, Lee H, Cha JG. et al. Primary pleural synovial sarcoma with metastatic cardiac involvement: A case report. Iran J Radiol 2016; 13: e41066
- Sultan I, Rodriguez-Galindo C, Saab R, Yasir S, Casanova M, Ferrari A. et al. Comparing children and adults with synovial sarcoma in the surveillance, epidemiology, and end results program, 1983 to 2005: An analysis of 1268 patients. Cancer 2009; 115: 3537-47
- Spunt SL, Million L, Coffin C. The nonrhabdomyosarcoma soft tissue sarcoma. In Pizzo PA, Poplack DG. editors Principles and Practice of Pediatric Oncology. 7th ed. Philadelphia, PA: Lippincott Williams & Wilkins; 2015: 827-54
- Nicholson AG, Goldstraw P, Fisher C. Synovial sarcoma of the pleura and its differentiation from other primary pleural tumours: A clinicopathological and immunohistochemical review of three cases. Histopathology 1998; 33: 508-13
- Aubry MC, Bridge JA, Wickert R, Tazelaar HD. Primary monophasic synovial sarcoma of the pleura: Five cases confirmed by the presence of SYT-SSX fusion transcript. Am J Surg Pathol 2001; 25: 776-81
- Okcu MF, Munsell M, Treuner J, Mattke A, Pappo A, Cain A. et al. Synovial sarcoma of childhood and adolescence: A multicenter, multivariate analysis of outcome. J Clin Oncol 2003; 21: 1602-11
- Ferrari A, Miceli R, Rey A, Oberlin O, Orbach D, Brennan B. et al. Non-metastatic unresected paediatric non-rhabdomyosarcoma soft tissue sarcomas: Results of a pooled analysis from United States and European Groups. Eur J Cancer 2011; 47: 724-31
- Ferrari A, Gronchi A, Casanova M, Meazza C, Gandola L, Collini P. et al. Synovial sarcoma: A retrospective analysis of 271 patients of all ages treated at a single institution. Cancer 2004; 101: 627-34
- ClinVar Database. https://www.ncbi.nlm.nih.gov/clinvar/variation/141889/ Available from: [Last accessed on 2018 Jul 04]
Address for correspondence
Publication History
Received: 26 November 2017
Accepted: 23 March 2018
Article published online:
03 June 2021
© 2019. Indian Society of Medical and Paediatric Oncology. This is an open access article published by Thieme under the terms of the Creative Commons Attribution-NonDerivative-NonCommercial-License, permitting copying and reproduction so long as the original work is given appropriate credit. Contents may not be used for commercial purposes, or adapted, remixed, transformed or built upon. (https://creativecommons.org/licenses/by-nc-nd/4.0/).
Thieme Medical and Scientific Publishers Pvt. Ltd.
A-12, 2nd Floor, Sector 2, Noida-201301 UP, India
| Figure 1 Pedigree chart of the patient’s family showing the age of the family members. Age at diagnosis of cancer is shown in the parenthesis. Ca – Cancer
| Figure 2 Radiographic images of all three tumors (white arrows) in the patient. (a) Computed tomography scan of the chest showing primary pleural synovial sarcoma. (b) Magnetic resonance imaging of the spine showing left lumbar ganglioneuroblastoma. (c) Right paraovarian cystadenoma
| Figure 3 Histologic section showing uniform spindle cells with (a) storiform fascicular pattern and immunohistochemical expression of (b) BCL-2, (c) CK AE 1/3, and (d) TLE1
- Kerouanton A, Jimenez I, Cellier C, Laurence V, Helfre S, Pannier S. et al. Synovial sarcoma in children and adolescents. J Pediatr Hematol Oncol 2014; 36: 257-62
- Gaertner E, Zeren EH, Fleming MV, Colby TV, Travis WD. Biphasic synovial sarcomas arising in the pleural cavity. A clinicopathologic study of five cases. Am J Surg Pathol 1996; 20: 36-45
- Colwell AS, D'Cunha J, Vargas SO, Parker B, Dal Cin P, Maddaus MA. et al. Synovial sarcoma of the pleura: A clinical and pathologic study of three cases. J Thorac Cardiovasc Surg 2002; 124: 828-32
- Jawahar DA, Vuletin JC, Gorecki P, Persechino F, Macera M, Magazeh P. et al. Primary biphasic synovial sarcoma of the pleura. Respir Med 1997; 91: 568-70
- Ng SB, Ahmed Q, Tien SL, Sivaswaren C, Lau LC. Primary pleural synovial sarcoma. A case report and review of the literature. Arch Pathol Lab Med 2003; 127: 85-90
- Nishio J, Iwasaki H, Althof PA, Naumann S, Ishiguro M, Haraoka S. et al. Identification of a ring chromosome with spectral karyotyping in a pleural synovial sarcoma. Cancer Genet Cytogenet 2005; 160: 174-8
- Bégueret H, Galateau-Salle F, Guillou L, Chetaille B, Brambilla E, Vignaud JM. et al. Primary intrathoracic synovial sarcoma: A clinicopathologic study of 40 t(X; 18)-positive cases from the French Sarcoma Group and the Mesopath Group. Am J Surg Pathol 2005; 29: 339-46
- Tailor J, Roy PG, Bowker C, Lakhoo K. Primary pleural synovial sarcoma presenting as a multiloculated cyst in an adolescent. Pediatr Surg Int 2008; 24: 597-9
- Won JH, Chin S, Park JS, Paik SH, Lee H, Cha JG. et al. Primary pleural synovial sarcoma with metastatic cardiac involvement: A case report. Iran J Radiol 2016; 13: e41066
- Sultan I, Rodriguez-Galindo C, Saab R, Yasir S, Casanova M, Ferrari A. et al. Comparing children and adults with synovial sarcoma in the surveillance, epidemiology, and end results program, 1983 to 2005: An analysis of 1268 patients. Cancer 2009; 115: 3537-47
- Spunt SL, Million L, Coffin C. The nonrhabdomyosarcoma soft tissue sarcoma. In Pizzo PA, Poplack DG. editors Principles and Practice of Pediatric Oncology. 7th ed. Philadelphia, PA: Lippincott Williams & Wilkins; 2015: 827-54
- Nicholson AG, Goldstraw P, Fisher C. Synovial sarcoma of the pleura and its differentiation from other primary pleural tumours: A clinicopathological and immunohistochemical review of three cases. Histopathology 1998; 33: 508-13
- Aubry MC, Bridge JA, Wickert R, Tazelaar HD. Primary monophasic synovial sarcoma of the pleura: Five cases confirmed by the presence of SYT-SSX fusion transcript. Am J Surg Pathol 2001; 25: 776-81
- Okcu MF, Munsell M, Treuner J, Mattke A, Pappo A, Cain A. et al. Synovial sarcoma of childhood and adolescence: A multicenter, multivariate analysis of outcome. J Clin Oncol 2003; 21: 1602-11
- Ferrari A, Miceli R, Rey A, Oberlin O, Orbach D, Brennan B. et al. Non-metastatic unresected paediatric non-rhabdomyosarcoma soft tissue sarcomas: Results of a pooled analysis from United States and European Groups. Eur J Cancer 2011; 47: 724-31
- Ferrari A, Gronchi A, Casanova M, Meazza C, Gandola L, Collini P. et al. Synovial sarcoma: A retrospective analysis of 271 patients of all ages treated at a single institution. Cancer 2004; 101: 627-34
- ClinVar Database. https://www.ncbi.nlm.nih.gov/clinvar/variation/141889/ Available from: [Last accessed on 2018 Jul 04]
PDF
Views
Share

