Pleurodesis in Pulmonary Langerhans Cell Histiocytosis in Children: A Life-Saving Measure
CC BY-NC-ND 4.0 · Indian J Med Paediatr Oncol 2019; 40(S 01): S160-S162
DOI: DOI: 10.4103/ijmpo.ijmpo_250_17
Abstract
Isolated pulmonary Langerhans cell histiocytosis (LCH) is uncommon in children. Often recurrent pneumothorax complicates therapy and contributes to morbidity. Chemotherapy does not always prevent the complications of pneumothorax. We report here a young girl with isolated pulmonary LCH who presented with respiratory failure, successfully treated with chemotherapy, and pleurodesis. We report this case to highlight the use of pleurodesis in this setting.
Publication History
Article published online:
24 May 2021
© 2019. Indian Society of Medical and Paediatric Oncology. This is an open access article published by Thieme under the terms of the Creative Commons Attribution-NonDerivative-NonCommercial-License, permitting copying and reproduction so long as the original work is given appropriate credit. Contents may not be used for commercial purposes, or adapted, remixed, transformed or built upon. (https://creativecommons.org/licenses/by-nc-nd/4.0/).
Thieme Medical and Scientific Publishers Pvt. Ltd.
A-12, 2nd Floor, Sector 2, Noida-201301 UP, India
Abstract
Isolated pulmonary Langerhans cell histiocytosis (LCH) is uncommon in children. Often recurrent pneumothorax complicates therapy and contributes to morbidity. Chemotherapy does not always prevent the complications of pneumothorax. We report here a young girl with isolated pulmonary LCH who presented with respiratory failure, successfully treated with chemotherapy, and pleurodesis. We report this case to highlight the use of pleurodesis in this setting.
Introduction
Langerhans cell histiocytosis (LCH) is a rare disease characterized by the accumulation of pathological histiocytes. It presents in children in several forms with the multisystem involvement of skeletal, skin, liver, spleen, and lung manifestations being the classical presentation. Isolated pulmonary LCH without other system involvement is uncommon in children.[1] Pulmonary LCH is characterized by initially nodules and progressively cystic lung disease with a tendency for spontaneous pneumothorax. We present here a child who presented with respiratory failure with a provisional diagnosis of miliary tuberculosis who was ultimately diagnosed with pulmonary LCH. The case is presented to highlight the challenges faced in the diagnosis and also to present the role of pleurodesis in the treatment of children with recurrent pneumothorax due to pulmonary LCH.
Case Report
A 5-year-old girl from rural South India presented to the Pediatric Intensive Care Unit (PICU) of our institution in respiratory failure. She had been treated at two other pediatric units for progressive respiratory distress and fever for the past 1 month. The symptoms of fever and respiratory distress had been insidious in onset and had progressed over 2-month interval. Short courses of antibiotics had not improved her symptoms. Based on her worsening respiratory distress and chest X-ray findings which were interpreted as miliary tuberculosis, she had been started on antitubercular treatment before referral. As her symptoms did not improve on antitubercular treatment and her respiratory distress worsened, she was referred to our PICU for ventilator support.
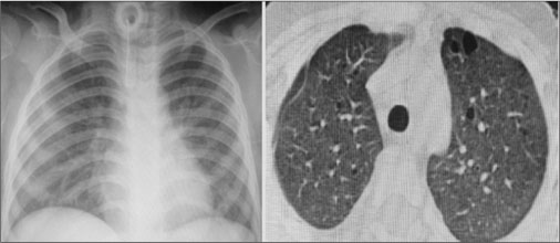
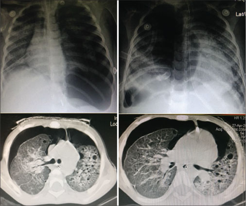
In the PICU, she was intubated and started on mechanical ventilation and supportive care. She developed bilateral pneumothoraces requiring intercostal drainage tubes. Following extubation considering the nonresolution of symptoms and unusual occurrence of pneumothorax in a child with miliary tuberculosis, a chest computed tomography (CT) was performed [Figure 1]. This revealed multiple nodules and thin-walled cysts all over both lungs. Many cysts were subpleural. This characteristic radiological picture suggested LCH. Closed lung biopsy was attempted, but the biopsy findings were noncontributory. The child continued to have respiratory distress and oxygen requirement with bilateral extensive coarse crepitations. She had multiple episodes of worsening of respiratory distress with increased oxygen requirement due to repeated episodes of fresh pneumothoraces on both sides. Besides her respiratory symptoms and signs, she had no other findings to suggest LCH of other organs. Evaluation of blood counts, skeletal survey, and liver function tests was all normal. Considering the typical radiological findings of LCH, the plan was to give her a trial of chemotherapy as per the LCH III protocol (Vinblastine and prednisolone). She was also started on intensive nutritional supplementation. After 2 weeks of therapy, her general condition had not significantly improved and she continued to have episodes of pneumothorax requiring new intercostal draining tubes. In consultation with pulmonary medicine, therapeutic pleurodesis was planned with povidone-iodine. She was given two doses of povidone-iodine on both sides and tolerated the treatment well. After 4 weeks of chemotherapy, her oxygen requirement had reduced and intercostal drain tubes were removed. She tolerated this well with no recurrence of pneumothorax. Her interval assessment at 6 weeks showed a significant improvement in the lung parenchyma but the persistence of few nodules and cysts [Figure 2]. A second 6-week induction course of chemotherapy was administered followed by maintenance chemotherapy for 6 months. She is currently well with no respiratory signs and symptoms with lung imaging showing no nodules or cysts. She has gained weight and has no active disease on follow-up.
| Figure. 1 Serial chest X-rays and chest computed tomography showing bilateral pneumothorax with multiple nodules and cysts on both lungs at diagnosis
| Figure. 2 X ray and CT chest post chemotherapy and bilateral povidone iodine pleurodesis showing residual cysts but complete resolution of pneumothorax. (Six weeks from diagnosis)
Discussion
Up to 50% of children with multisystem LCH will have lung involvement. However, isolated lung involvement in children is very uncommon.[1] Few case reports describe this entity.[2] [3] [4] [5] [6] Pulmonary LCH is often complicated by pneumothorax which can occur due to previously formed cysts when active LCH causes parenchymal tissue damage. The chemotherapy for systemic LCH does not prevent the occurrence of pneumothorax. The case presented here has the following interesting features.
This case had radiology suggestive of miliary mottling at presentation. Tuberculosis, a common concern in the developing world is a plausible clinical possibility for a child with chronic respiratory symptoms and signs who presents with a miliary pattern on chest X-ray. However, the differential diagnosis of miliary mottling is wide.[7] Other infective etiology besides tuberculosis such as histoplasmosis, blastomycosis, and mycoplasma could be considered. Sarcoidosis, pneumoconiosis, and pulmonary alveolar microlithiasis are some of the noninfective causes to be considered. The radiological findings of pulmonary LCH are varied.[8] The typical reticulonodular pattern with cysts may easily be missed on plain X-rays and better visualized on chest CT scans. The initial presentation with small nodules may mimic the radiology seen in miliary tuberculosis causing a delay in the diagnosis.[9] The characteristic finding of bilateral pneumothorax may point more toward LCH, but there are a few reports of miliary tuberculosis also presenting with pneumothorax, further complicating the clinical and radiological approach to diagnosis.[10] [11] [12] Coexistent pulmonary LCH and tuberculosis can occur and has been reported in adults but not in children.[13] Every effort should be made to prove the diagnosis of LCH by histopathological diagnosis, especially before starting chemotherapy. Although a biopsy was attempted in our case, it was noncontributory. Given the poor general condition of this child and the degree of respiratory compromise, it was decided to not attempt a second lung biopsy.
Besides the diagnostic challenges, this case also required the uncommon therapeutic intervention of pleurodesis. The need for pleurodesis is rare in children and limited to cases of spontaneous primary pneumothorax and chylothorax. While historically the chemicals used for pleurodesis were talc and tetracycline, more recently povidone-iodine has found favor with respiratory physicians for pleurodesis.[14] [15] It is well tolerated with no major complications. There are very few reports of chemical pleurodesis being performed for pulmonary LCH in children.[16] [17] Rarely, surgical pleurodesis has been performed.[18] Previous care reports from the literature have described how the treatment of pulmonary LCH with only chemotherapy and chest tubes is associated with a prolonged therapy often complicated by infections (including empyema).[19] Such long periods of treatment may be life-threatening in the developing countries. However given the rarity of this scenario, there are no standard guidelines regarding the optimal timing and choice of pleurodesis in children with pulmonary LCH. The rapid resolution of symptoms of recurrent pneumothorax after pleurodesis in our patient allowed for early removal of chest tubes and faster recovery.
The current chemotherapy protocols for LCH help in preventing further disease progression in the lungs. However, they do not help prevent frequent pneumothorax. Although lung is no longer considered a risk organ in Histiocyte Society protocols for treatment, the need for multiple chest tube insertions, and can contribute not only to morbidity but also to mortality in pulmonary LCH. Chemical pleurodesis with povidone-iodine is a simple and effective procedure, especially in children who have recurrent episodes of pneumothorax in LCH.
Declaration of patient consent
The authors certify that they have obtained all appropriate patient consent forms. In the form the patient(s) has/have given his/her/their consent for his/her/their images and other clinical information to be reported in the journal. The patients understand that their names and initials will not be published and due efforts will be made to conceal their identity, but anonymity cannot be guaranteed.
Conflict of Interest
There are no conflicts of interest.
- Ha SY, Helms P, Fletcher M, Broadbent V, Pritchard J. Lung involvement in Langerhans’ cell histiocytosis: Prevalence, clinical features, and outcome. Pediatrics 1992; 89: 466-9
- Al-Trabolsi HA, Alshehri M, Al-Shomrani A, Shabanah M, Al-Barki AA. “Primary” pulmonary langerhans cell histiocytosis in a two-year-old child: Case report and literature review. J Pediatr Hematol Oncol 2006; 28: 79-81
- Varkki S, Tergestina M, Bhonsle VS, Moses PD, Mathai J, Korula S. et al. Isolated pulmonary langerhans cell histiocytosis. Indian J Pediatr 2013; 80: 700-3
- Patra A, Bhattacharyay SK, Maji A, Mandal A. Pulmonary langerhans cell histiocytosis causing spontaneous bilateral pneumothorax in a child. Egypt J Int Med 2015; 27: 38-9
- Dejima H, Morita S, Takahashi Y, Matsutani N, Iinuma H, Kondo F. et al. A case of invasive langerhans cell histiocytosis localizing only in the lung and diagnosed as pneumothorax in an adolescent female. Int J Clin Exp Pathol 2015; 8: 3354-7
- Asilsoy S, Yazici N, Demir S, Erbay A, Koçer E, Sarıalioğlu F. et al. A different cause for respiratory disorder in children: Cases with pulmonary langerhans cell histiocytosis. Clin Respir J 2017; 11: 193-9
- Sharma BB. Miliary nodules on chest radiographs: A diagnostic dilemma. Lung India 2015; 32: 518-20
- Bano S, Chaudhary V, Narula MK, Anand R, Venkatesan B, Mandal S. et al. Pulmonary langerhans cell histiocytosis in children: A spectrum of radiologic findings. Eur J Radiol 2014; 83: 47-56
- Ko SM, Choe BK, Kim HS, Lee HJ, Kwon KY. Atypical radiological manifestations of pulmonary langerhans cell histiocytosis in a 12-year-old girl. Br J Radiol 2008; 81: e238-41
- Sharma N, Kumar P. Miliary tuberculosis with bilateral pneumothorax: A rare complication. Indian J Chest Dis Allied Sci 2002; 44: 125-7
- Wammanda RD, Ameh EA, Ali FU. Bilateral pneumothorax complicating miliary tuberculosis in children: Case report and review of the literature. Ann Trop Paediatr 2003; 23: 149-52
- Khan NA, Akhtar J, Baneen U, Shameem M, Ahmed Z, Bhargava R. et al. Recurrent pneumothorax: A rare complication of miliary tuberculosis. N Am J Med Sci 2011; 3: 428-30
- Gao L, Li H, Li G, Liu W, Li J, Zhang W. et al. Pulmonary langerhans cell histiocytosis with cervical lymph node involvement, and coexistence with pulmonary tuberculosis and right pneumothorax: A case report and review of literature. Int J Clin Exp Pathol 2015; 8: 2146-52
- Dey A, Bhuniya S, Datta Chaudhuri A, Pandit S, Saha-Dutta Chowdhury M, Sengupta A. et al. Iodopovidone pleurodesis: Experience of a tertiary hospital in Kolkata. Singapore Med J 2010; 51: 163-5
- Agarwal R, Khan A, Aggarwal AN, Gupta D. Efficacy and safety of iodopovidone pleurodesis: A systematic review & meta-analysis. Indian J Med Res 2012; 135: 297-304
- Valliani L, Kanwar VS, Schwartz A. Isolated pulmonary langerhans cell histiocytosis with recurrent bilateral pneumothoraces treated with chemotherapy and chemical pleurodesis. Pediatr Blood Cancer 2009; 53: 128-9
- Verma S, Jondhale S, Bansal D, Radotra BD, Singhi SC. Iodopovidone pleurodesis for isolated pulmonary langerhan’s cell histiocytosis in a two year old child. Indian J Pediatr 2014; 81: 715-8
- Abdul Aziz DA, Abdul Rahman NA, Tang SF, Abdul Latif H, Zaki FM, Annuar ZM. et al. Total pleurectomy as the surgical treatment for recurrent secondary spontaneous pneumothorax in a child with severe pulmonary langerhans cells histiocytosis. BMJ Case Rep 2011;2011. pii: bcr0920114734.
- Braier J, Latella A, Balancini B, Castaños C, Goldberg J. Isolated pulmonary langerhans cell histiocytosis presenting with recurrent pneumothorax. Pediatr Blood Cancer 2007; 48: 241-4
Address for correspondence
Publication History
Article published online:
24 May 2021
© 2019. Indian Society of Medical and Paediatric Oncology. This is an open access article published by Thieme under the terms of the Creative Commons Attribution-NonDerivative-NonCommercial-License, permitting copying and reproduction so long as the original work is given appropriate credit. Contents may not be used for commercial purposes, or adapted, remixed, transformed or built upon. (https://creativecommons.org/licenses/by-nc-nd/4.0/).
Thieme Medical and Scientific Publishers Pvt. Ltd.
A-12, 2nd Floor, Sector 2, Noida-201301 UP, India
References
- Ha SY, Helms P, Fletcher M, Broadbent V, Pritchard J. Lung involvement in Langerhans’ cell histiocytosis: Prevalence, clinical features, and outcome. Pediatrics 1992; 89: 466-9
- Al-Trabolsi HA, Alshehri M, Al-Shomrani A, Shabanah M, Al-Barki AA. “Primary” pulmonary langerhans cell histiocytosis in a two-year-old child: Case report and literature review. J Pediatr Hematol Oncol 2006; 28: 79-81
- Varkki S, Tergestina M, Bhonsle VS, Moses PD, Mathai J, Korula S. et al. Isolated pulmonary langerhans cell histiocytosis. Indian J Pediatr 2013; 80: 700-3
- Patra A, Bhattacharyay SK, Maji A, Mandal A. Pulmonary langerhans cell histiocytosis causing spontaneous bilateral pneumothorax in a child. Egypt J Int Med 2015; 27: 38-9
- Dejima H, Morita S, Takahashi Y, Matsutani N, Iinuma H, Kondo F. et al. A case of invasive langerhans cell histiocytosis localizing only in the lung and diagnosed as pneumothorax in an adolescent female. Int J Clin Exp Pathol 2015; 8: 3354-7
- Asilsoy S, Yazici N, Demir S, Erbay A, Koçer E, Sarıalioğlu F. et al. A different cause for respiratory disorder in children: Cases with pulmonary langerhans cell histiocytosis. Clin Respir J 2017; 11: 193-9
- Sharma BB. Miliary nodules on chest radiographs: A diagnostic dilemma. Lung India 2015; 32: 518-20
- Bano S, Chaudhary V, Narula MK, Anand R, Venkatesan B, Mandal S. et al. Pulmonary langerhans cell histiocytosis in children: A spectrum of radiologic findings. Eur J Radiol 2014; 83: 47-56
- Ko SM, Choe BK, Kim HS, Lee HJ, Kwon KY. Atypical radiological manifestations of pulmonary langerhans cell histiocytosis in a 12-year-old girl. Br J Radiol 2008; 81: e238-41
- Sharma N, Kumar P. Miliary tuberculosis with bilateral pneumothorax: A rare complication. Indian J Chest Dis Allied Sci 2002; 44: 125-7
- Wammanda RD, Ameh EA, Ali FU. Bilateral pneumothorax complicating miliary tuberculosis in children: Case report and review of the literature. Ann Trop Paediatr 2003; 23: 149-52
- Khan NA, Akhtar J, Baneen U, Shameem M, Ahmed Z, Bhargava R. et al. Recurrent pneumothorax: A rare complication of miliary tuberculosis. N Am J Med Sci 2011; 3: 428-30
- Gao L, Li H, Li G, Liu W, Li J, Zhang W. et al. Pulmonary langerhans cell histiocytosis with cervical lymph node involvement, and coexistence with pulmonary tuberculosis and right pneumothorax: A case report and review of literature. Int J Clin Exp Pathol 2015; 8: 2146-52
- Dey A, Bhuniya S, Datta Chaudhuri A, Pandit S, Saha-Dutta Chowdhury M, Sengupta A. et al. Iodopovidone pleurodesis: Experience of a tertiary hospital in Kolkata. Singapore Med J 2010; 51: 163-5
- Agarwal R, Khan A, Aggarwal AN, Gupta D. Efficacy and safety of iodopovidone pleurodesis: A systematic review & meta-analysis. Indian J Med Res 2012; 135: 297-304
- Valliani L, Kanwar VS, Schwartz A. Isolated pulmonary langerhans cell histiocytosis with recurrent bilateral pneumothoraces treated with chemotherapy and chemical pleurodesis. Pediatr Blood Cancer 2009; 53: 128-9
- Verma S, Jondhale S, Bansal D, Radotra BD, Singhi SC. Iodopovidone pleurodesis for isolated pulmonary langerhan’s cell histiocytosis in a two year old child. Indian J Pediatr 2014; 81: 715-8
- Abdul Aziz DA, Abdul Rahman NA, Tang SF, Abdul Latif H, Zaki FM, Annuar ZM. et al. Total pleurectomy as the surgical treatment for recurrent secondary spontaneous pneumothorax in a child with severe pulmonary langerhans cells histiocytosis. BMJ Case Rep 2011;2011. pii: bcr0920114734.
- Braier J, Latella A, Balancini B, Castaños C, Goldberg J. Isolated pulmonary langerhans cell histiocytosis presenting with recurrent pneumothorax. Pediatr Blood Cancer 2007; 48: 241-4
PDF
Views
Share

