Role of Morphology in the Diagnosis of Acute Leukemias: Systematic Review
CC BY 4.0 · Indian J Med Paediatr Oncol 2023; 44(05): 464-473
DOI: DOI: 10.1055/s-0043-1764369
Abstract
The role of hematopathologists in the diagnosis of acute leukemia (AL) starts with the morphological examination of either peripheral blood smear or bone marrow. The morphological hallmark for the myeloblast includes “Auer rods” and “Phi bodies.” The addition of cytochemical stains such as myeloperoxidase, Sudan Black B, periodic acid-Schiff stain, nonspecific esterase, and Perls' stain acts as an important adjunct to the morphological classification in the resource-constrained settings. The recent World Health Organization classification still endorses the utility of morphology which requires the presence of either ≥ 20-% lymphoblasts or myeloblasts/or its equivalents (monoblasts, promonocytes, or megakaryoblasts) and integrates it with the clinical features, immunophenotyping (IP), and molecular genetics for making the diagnosis of AL. Morphology can give clue to the specific diagnosis of acute myeloid leukemia (AML) with t(8:21), t(15:17), t(16:16), or inv(16) and this diagnosis can be made irrespective of blasts count if such translocations are demonstrated by molecular tests. There are some interesting findings such as blasts with “hand-mirror” morphology, nuclear cleavage, prominent cytoplasmic vacuoles, pseudo-Chediak-Higashi granules, cup-like nucleus, and other dysplastic features helping in differentiating lymphoid and myeloid leukemias. Transient abnormal myelopoiesis in Down syndrome and hypoplastic AL can be picked up on morphological examination. Bone marrow biopsy would be greatly beneficial and complementary to aspirate smears and is required for diagnosing exact cellularity, topography of cells, dyspoiesis, myelonecrosis, gelatinous marrow transformation, myelofibrosis, and IP can be performed using immunohistochemistry. Morphological examination in AL is not only helpful for diagnosis but also useful for predicting the prognosis in posttherapy cases, AML with myelodysplasia-related changes, therapy-related myeloid neoplasms, and mixed phenotype AL. Hematogones, blastoid mantle cell lymphoma, high grade B cell lymphoid with blastoid morphology, Burkitt leukemia, prolymphocytes in prolymphocytic leukemia, hairy cell leukemia variant, plasmablasts especially in plasmablastic leukemia, or plasma cell leukemia can mimic AL and IP is useful in these situations. Hence, morphology should be considered as a kind of “gold-standard” starting point for the analysis of AL cases. Morphological examination cannot be replaced and advanced tests cannot be used as surrogate for morphology.
Keywords
acute leukemia - lymphoblasts - myeloblasts - cytochemistry - blast equivalents - bone marrow biopsy - acute leukemia mimicsPublication History
Article published online:
17 April 2023
© 2023. The Author(s). This is an open access article published by Thieme under the terms of the Creative Commons Attribution License, permitting unrestricted use, distribution, and reproduction so long as the original work is properly cited. (https://creativecommons.org/licenses/by/4.0/)
Thieme Medical and Scientific Publishers Pvt. Ltd.
A-12, 2nd Floor, Sector 2, Noida-201301 UP, India
Abstract
The role of hematopathologists in the diagnosis of acute leukemia (AL) starts with the morphological examination of either peripheral blood smear or bone marrow. The morphological hallmark for the myeloblast includes “Auer rods” and “Phi bodies.” The addition of cytochemical stains such as myeloperoxidase, Sudan Black B, periodic acid-Schiff stain, nonspecific esterase, and Perls' stain acts as an important adjunct to the morphological classification in the resource-constrained settings. The recent World Health Organization classification still endorses the utility of morphology which requires the presence of either ≥ 20-% lymphoblasts or myeloblasts/or its equivalents (monoblasts, promonocytes, or megakaryoblasts) and integrates it with the clinical features, immunophenotyping (IP), and molecular genetics for making the diagnosis of AL. Morphology can give clue to the specific diagnosis of acute myeloid leukemia (AML) with t(8:21), t(15:17), t(16:16), or inv(16) and this diagnosis can be made irrespective of blasts count if such translocations are demonstrated by molecular tests. There are some interesting findings such as blasts with “hand-mirror” morphology, nuclear cleavage, prominent cytoplasmic vacuoles, pseudo-Chediak-Higashi granules, cup-like nucleus, and other dysplastic features helping in differentiating lymphoid and myeloid leukemias. Transient abnormal myelopoiesis in Down syndrome and hypoplastic AL can be picked up on morphological examination. Bone marrow biopsy would be greatly beneficial and complementary to aspirate smears and is required for diagnosing exact cellularity, topography of cells, dyspoiesis, myelonecrosis, gelatinous marrow transformation, myelofibrosis, and IP can be performed using immunohistochemistry. Morphological examination in AL is not only helpful for diagnosis but also useful for predicting the prognosis in posttherapy cases, AML with myelodysplasia-related changes, therapy-related myeloid neoplasms, and mixed phenotype AL. Hematogones, blastoid mantle cell lymphoma, high grade B cell lymphoid with blastoid morphology, Burkitt leukemia, prolymphocytes in prolymphocytic leukemia, hairy cell leukemia variant, plasmablasts especially in plasmablastic leukemia, or plasma cell leukemia can mimic AL and IP is useful in these situations. Hence, morphology should be considered as a kind of “gold-standard” starting point for the analysis of AL cases. Morphological examination cannot be replaced and advanced tests cannot be used as surrogate for morphology.
Keywords
acute leukemia - lymphoblasts - myeloblasts - cytochemistry - blast equivalents - bone marrow biopsy - acute leukemia mimicsHistory and Evolution of Morphological Classification for Acute Leukemia
The credit for the discovery of acute leukemia (AL) goes to the ancient Greeks, who recognized this disease in the 4th or 5th century BC. The term “leukemia” is derived from the Greek words “Leukos” meaning white and “Haima” meaning blood was first proposed by Rudolf Virchow in 1846.[1]
The earliest report was by the famous French physician Alfred Velpeau (1795–1867).[2] Later on, for the first time, pathologist at the Royal Infirmary Edinburgh, John Hughes Bennett, recognized AL as a distinct blood-related disease and published his 35 cases of suspected AL in 1852.[1] [2] Few years later, Henry Fuller, a physician at St George's Hospital in London described the first case of childhood AL and the first reported use of the microscope to diagnose AL.[3] Virchow (1856) was credited with concluding that the disorder was not the result of an infectious process but rather was caused by the tissue that produced the white blood cells.[1] [2] [3]
Neumann stated in 1872 that AL was a disease of the bone marrow (BM). Mosler introduced BM puncture as a means of antemortem diagnosis of AL. In 1900, the Swiss hematologist Naegeli described the presence of myeloblasts or lymphoblasts in the circulating blood which formed a basis for the classic diagnosis of AL. Monocytic leukemia was first described by Reschad, and leukemic cells recognized as unusual forms of myeloblasts.[1] [2]
The French-American-British (FAB) classification of hematological malignancies, which was first put forth in 1976, is mostly based on morphology with a few cytochemical stains.[4] The categorization was further improved by the changes put forth by the FAB group in 1985, including the suggestions made by a committee of the U.S. National Cancer Institute in 1990.[5] [6] [7]
In the year 2001, the diagnostic paradigm shifted based on the principles of the Revised European-American (REAL) classification of lymphoid neoplasm, the introduction of the World Health Organization (WHO) classification for hematological and lymphoid cancers (3rd edition) was made along with the incorporation of clinical features, morphology, immunophenotyping (IP), and molecular genetics for the categorization of AL.[8] [9] Prior to 2001, there were two editions of the WHO Classification of Tumors: the first (1967–1981) contained a list of acceptable terminology with brief histologic descriptions, and the second (1982–2001) included histologic and immunohistochemical (IHC) features as well as one image for each histologic type.[10]
Even though with the evolving classification of AL based on molecular genetics, still morphological examination and cytochemical staining of air-dried BM and peripheral blood smears (PBS) continue to form the basis for diagnosis and classification of AL. Recently, in 2017, revised WHO 4th edition was introduced and the upcoming WHO 5th edition expected to release in 2023 has still incorporated morphology in the classification of AL along with defining genetic abnormalities.[11]
Samples Encountered in Clinical Practice for Diagnosing AL
The complete hemogram sample received in ethylenediaminetetraacetic acid (EDTA) along with PBS is often the starting point, followed by a BM aspirate (BMA) or an imprint smear, or a trephine BM biopsy (BMB). The staining with Romanowsky stains such as Leishman- or Giemsa-based stains give excellent morphological details.[12] In most of the centers in India, either one of the stains is used, but they are complementary to each other if they are used in combination. It is always recommended to make extra smears from BMA or for imprint smears for IP using immunocytochemistry.[13] The multicolor flow cytometry (MFC) is an another commonly employed investigation for IP in AL because of its quicker turn-around-time and higher sensitivity.[14]
Both heparin and EDTA samples can be utilized for IP; however, EDTA has the advantage for morphological analysis of the sample prior to IP but antigenic preservation will be diminished when the sample is stored for more than 24 hours. Heparin samples, on the other hand, create background staining on blood smears that make morphological evaluation difficult, but these samples can be stored up to 48 to 72 hours still retaining antigenicity for IP using MFC and also used for cytogenetics evaluation. It is also generally recommended to perform BMB at the same time because both these techniques are complimentary to each other not only for morphological evaluation but also for ancillary studies such as special stains and IHC.[12] [15]
Role of Morphology in the Diagnosis and Classification of AL
ALs are characterized by the uncontrolled proliferation of either lymphoblasts or myeloblasts or both which are classically defined as ≥ 20-% in either PBS or BM.[1] [13] Classically, the complete hemogram and PBS in most of these cases show normocytic normochromic anemia, leukocytosis, and thrombocytopenia with the presence of ≥ 20-% circulating blasts. “Leucoerythroblastic blood picture” is the terminology quite often used when there is a presence of blasts along with polychromatophils, nucleated red cells, and left shifted myeloid cells. It is not uncommon in the clinical practice to come across AL cases where there are < 20-% blasts in PBS; however, BMA would show ≥ 20-% blasts. This is called as “subleukemic leukemia.” On the other end of the spectrum, one might not be able to find the blasts in the PBS, but BMA or imprint smear would show ≥ 20-% blasts which is called as “aleukemic leukemia.”[13] [16]
There are few instances where exception to this general rule applies because of the advances in the molecular genetics and WHO have defined certain cases of acute myeloid leukemia (AML) irrespective of blast count based on their molecular findings. It includes cases with translocations such as t(8:21), t(15:17) or inv(16) or t(16:16) and/or their respective transcripts demonstrated either by fluorescence in situ hybridization or molecular tests such as polymerase chain reaction.[17]
The starting point for the classification of AL is to differentiate whether the blasts are of either lymphoblasts or myeloblasts. The only morphological hallmark to identify the myeloblasts is the presence of “Auer rods,” which are the condensation of needle-like crystals comprised of azurophilic granules seen in the cytoplasm. “Phi bodies” are also considered specific for the myeloblasts which are unique fusiform or spindle-shaped structure seen in the cytoplasm with demonstrable myeloperoxidase (MPO) activity.[3] [13]
Blasts and its Equivalents in AL ([Fig. 1])
| Fig 1 : Morphology of blasts and its equivalents (Giemsa and Leishman stain). (A, B) Homogenous and heterogeneous lymphoblasts, respectively. (C) Myeloblast with Auer rods. (D, E) Hypergranular and microgranular promyelocytes, respectively. (F, G) Monoblasts and promonocytes, respectively. (H) Dyspoietic erythroid cells with increased proerythroblasts. (I) Megakaryoblasts.
Lymphoblasts are typically composed of small to medium sized blasts with high nuclear-cytoplasmic ratio, moderately condensed to dispersed chromatin, inconspicuous nucleoli, and scant basophilic and agranular cytoplasm. However, the presence of fine or coarse azurophilic granules, inclusions, or vacuoles in the cytoplasm does not exclude it as lymphoblasts if the cytochemistry or IP is compatible with their diagnosis. Auer rods are never present.[18]
For therapeutic purposes, acute lymphoblastic leukemia (ALL) is the terminology used if either PB or BM demonstrates ≥ 25-% lymphoblasts. On the other hand, if the clinical presentation is predominantly the involvement of lymph nodes with or without the involvement of extranodal sites with < 25-% lymphoblasts in either PB or BM, then it is called as lymphoblastic lymphoma (LBL) according to the WHO classification.[17]
Myeloblasts are characteristically large-sized blasts with high nuclear-cytoplasmic ratio, opened up nuclear chromatin, and presence of 2 to 3 prominent nucleoli. The cytoplasm is scant but shows the presence of azurophilic and secondary granules. The characteristic “Auer rods” or “Phi bodies” are seen confirming the myeloid nature of the blasts morphologically.[3] [17] There are few cells which are considered as “blasts equivalents” other than lymphoblasts or myeloblasts to make AL diagnosis and are described below as follows.[13] [19]
Abnormal promyelocytes often show either kidney-shaped or bilobed nucleus. The cytoplasmic granules may be so large and/or numerous that they totally obscure the nuclear-cytoplasmic margin. “Faggot cells” are bundles of Auer rods randomly distributed within the cytoplasm are present in majority of the cases of acute promyelocytic leukemia (APL). These cells are characteristically seen in “hypergranular variant” of APL.[20] [21] On the other hand, there is apparent paucity or absence of granules due to the submicroscopic size of the azurophilic granules and shows predominantly bilobed nuclei in abnormal promyelocytes. The leukocyte count is frequently markedly elevated in this variant which is called as “microgranular variant” of APL.[20] [21] [22]
Monoblasts are large cells having round nuclei with delicate lacy chromatin and one or more large prominent nucleoli with abundant cytoplasm. Scattered fine azurophilic granules, vacuoles, and hemophagocytosis may be present. Promonocytes have a more irregular and delicately convoluted nucleus, the cytoplasm is usually less basophilic and sometimes more obviously granulated with occasional large azurophilic granules and vacuoles.[19] [21]
The megakaryoblasts are usually medium to large sized blasts with a round, slightly irregular, or indented nucleus with fine reticular chromatin and 1 to 3 nucleoli. The cytoplasm is basophilic, often agranular, and may show distinct blebs or pseudopod formation.[3] [19] [21]
Significance of Cytochemistry in the Resource-Constrained Setting ([Fig. 2])
| Figure 2:Various cytochemical stains in acute leukemias. (A) Myeloperoxidase stain showing myeloblast with Auer rod. (B) Early T cell precursor acute lymphoblastic leukemia showing Sudan Black B positivity. (C) Lymphoblasts with typical block positivity in periodic acid-Schiff (PAS) stain. (D) Monoblasts showing nonspecific esterase positivity. (E) T-lymphoblast showing polar acid phosphatase activity. (F) Dyserythropoiesis with granular PAS positivity. (G and H) Perls' stain showing ring sideroblasts.
The use of cytochemistry has greatly helped in the discrimination of ALL from the various subtypes of AML. The single best cytochemical stain which acts as an adjunct to morphological confirmation of myeloblasts in the resource-constrained setting is the MPO stain because of its enzyme specificity. This fact has been endorsed by WHO in assigning the cells as myeloblasts. Even in myelodysplastic syndrome (MDS) with hypogranular myeloid cells, MPO stain could be useful because some amount of its enzymatic activity would still be demonstrated.[13] [19]
The other stain used as a surrogate for MPO is Sudan Black B (SBB) stain which is sensitive for myeloblasts help in identifying the cell membrane component. In all AL cases, one should look for at least 3-% of the blasts showing positivity to be taken as significant for both MPO and SBB stains. However, it should be noted that approximately 05-% of ALL cases do show the positivity for SBB stain.[23] [24] Hence, MPO is preferred over the use of SBB for distinguishing these blasts.[18] This SBB positivity in T-ALL cases would point toward myeloid differentiation which helps in identifying early T cell precursor (ETP) ALL cases.[25]
The nonspecific esterase (NSE) with either α-naphthyl acetate or α-naphthyl butyrate as substrate shows diffuse esterase activity in monocytic lineage; however, dot-like positivity can be seen in some cases of T-ALL. Chloroacetate esterase (CAE) stains the maturing granulocytic cells and NSE stains the monocytic series in double esterase stain and useful in diagnosing myelomonocytic leukemias. The significance of NSE stain is strongly recommended as one of the markers for monocytic lineage in WHO classification.[13] [19]
The evaluation of periodic acid-Schiff (PAS) activity is based on the pattern of the reaction such as coarse granularity or block positivity against a negative cytoplasmic background in ALL; and diffuse blush positivity is usually appreciated in APL cases.[13] The other stain that is highly correlated with T-ALL is acid-phosphatase (AP) positivity which generally shows polar positivity, however, focal AP positivity can also be found in 15-% of the cases of B-ALL.[26]
Perls' stain often used for evaluation of iron stores in the BM and its significance in AL cannot be overemphasized as it helps in identifying the ring sideroblasts. It is useful in cases of pure erythroleukemia and also points toward the origin of AL from the underlying MDS.[19]
| Figure 3:Specific morphological findings in acute leukemias (Giemsa and Leishman stain). (A) Lymphoblast with “hand-mirror” morphology. (B) T-lymphoblasts with nuclear cleavage. (C) Pseudo-Pelger-Huet neutrophil with Auer rod. (D) Myeloblast with Phi body. (E, F) Monoblasts with prominent cytoplasmic vacuoles and pseudo-Chediak-Higashi granules, respectively. (G) Myeloblasts with cup-like nucleus. (H) Mixed phenotype acute leukemia showing smaller lymphoblast and larger myeloblast.
With the advances in the molecular techniques, the diagnosis and classification for both ALL and AML have undergone remarkable changes over the past two decades. However, WHO classification still gives importance to the morphology and integrates these findings with the clinical features, IP, and cytogenetics/molecular genetics. This indicates that morphology cannot be completely replaced by the advanced tests and these techniques cannot be used as surrogate for morphology.[3]
It is not possible to differentiate morphologically the lymphoblasts seen in B-ALL/LBL from T-ALL/LBL. However, prominent nuclear cleavage along with mediastinal involvement is quite common with T-ALL/LBL. Occasionally, the lymphoblasts may resemble the mature lymphocytes in T-ALL and only IP would be helpful in confirming this finding.[25]
The classical lymphoblasts along with no specific morphological or cytochemical findings are seen in B-ALL associated with t(9:22)(q34.1;q11.2); BCR-ABL1, t(v;11q23.3); KMT2A- rearranged, t(12:21)(p13.2;q22.1); ETV6-RUNX1, hyperdiploidy, hypodiploidy, t(1;19)(q23;p13.3); TCF3-PBX1, BCR-ABL1 like, and iAMP21. In some case of B-ALL, especially associated with t(5;14)(q31.1;q32.1), IGH/IL3 shows typical morphology of lymphoblasts along with prominent eosinophilia which is a reactive population and not a part of the leukemic clone.[27] B-ALL with KMT2A rearrangement might show both lymphoblasts and monoblasts, such cases should be better considered as mixed phenotype ALs (MPAL) with t(v;11q23.3); KMT2A-rearranged. T-ALL with a mediastinal mass are associated with immature myeloid precursors, eosinophils, and also with recurring chromosomal abnormality, t(8,13)(p11;q12). No specific morphological findings are noted in ETP-ALL and near ETP-ALL.[25]
The presence of myeloblasts having an indented nucleus, representing the Golgi zone, and often there is a long thin or fusiform Auer rod sometimes within the nuclear “hof.”[21] Few blasts show very large granules suggesting an abnormal fusion called as pseudo-Chediak-Higashi granules. Neutrophils often show dysplastic features and Auer rods in their cytoplasm which are characteristically seen in AML with t(8;21)(q22;q22.1); RUNX1-RUNX1T1.[20] [21]
APL with PML-RARA (promyelocytic leukemia/retinoic acid receptor alpha) often presents with severe thrombocytopenia, leucopenia with presence of abnormal hypergranular promyelocytes with Faggot cells which shows strong positivity for MPO stain and red cells show polychromatophils, nucleated red blood cells, and schistocytes suggestive of disseminated intravascular coagulation. Its morphological variant includes microgranular type which usually presents with leukocytosis with bilobed abnormal promyelocytes poses difficulty in identifying the presence of Auer rods. The submicroscopic nature of these granules is very well highlighted by MPO stain.[20]
AML with inv(16)(p13.1q22) or t(16;16)(p13.1;q22); CBFB-MYH11 has features which are those of acute myelomonocytic leukemia with at least 5-% of cells showing dysplastic eosinophils at various stages of maturation (M4Eo variant). On the other hand, AML with t(9;11)(p21.3;q23.3); KMT2A-MLLT3 show features of either AML-M4 or M5. Some cases of AML often show dysplastic features with basophilic differentiation along with either M2 or M4 phenotype in AML with t(6;9)(p23;q34.1); DEK-NUP214.[19] [20] [21]
There are certain cases of AML which presents with normal or even an increased platelet count with dysplastic megakaryocytes often giving morphological clue toward AML with inv(3)(q21.3q26.2) or t(3;3)(q21.3;q26.2); GATA2-MECOM. The other entity typically occurs in infants and shows basophilic blast cells with cytoplasmic blebs giving strong clue for AML (megakaryoblastic) with t(1;22)(p13.3;q13.1); RBM15-MKL1.[20] [21] AML with cup-like nuclei is strongly associated with mutations involving NPM1 and FLT3[28] [29] [30]; and CEBPA-associated AML also show unique phenotypic profile.31AML with specific gene mutations are described in [Table 1].[20] [21]
|
S. no. |
Gene mutations |
Morphology |
Other findings |
|---|---|---|---|
|
1 |
Acute myeloid leukemia with mutated NPM1 |
Blast can resemble M1, M2, M4, or M5, but the distinctive morphological feature is the presence of cup-shaped nuclei[28] [29] |
CD34 and HLA-DR are negative and shows a good response to induction therapy[30] |
|
2 |
Acute myeloid leukemia with CEBPA mutation |
No distinguishing morphology and requires at least 20-% blasts, often associated with erythroid dysplasia |
CD34, CD117, and HLA-DR are positive; strong cMPO and asynchronous expression of CD15 and CD65; additionally, CD7 and CD56 are often expressed[31] |
Morphology in Predicting the Progression to AL from Other underlying Diseases
Transient abnormal myelopoiesis is classically encountered in 10-% of newborn with Down syndrome where there is a brief period of appearance of blasts mostly of megakaryocytic lineage at the age of 3 to 7 days and are completely asymptomatic clinically. Often it undergoes spontaneous remission within first 3 months of life and 20 to 30-% of these cases show progression after 1 to 3 years of life.[21] [38]
ARC and t-AML/MDS are already described. Myeloid sarcoma is described as extramedullary proliferation of blasts mostly of myeloid or monocytic lineage associated with tissue destruction. It may show progression or might coexist with AML.[21] [39] Similarly, the underlying MPN or MPN/MDS overlap category might show progression to blast crisis which are mostly of myeloid lineage and 10 to 20-% might show lymphoid lineage.[40] Inherited BM failure such as Fanconi anemia and acquired aplastic anemia with or without paroxysmal nocturnal hemoglobinuria show progression to AL in 5 to 10-% of cases.[41]
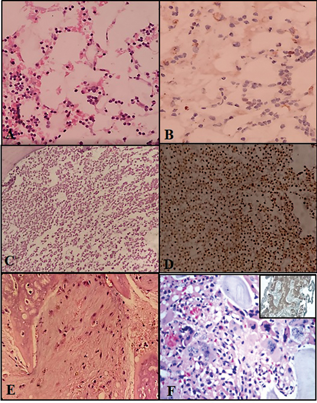
Role of BMB in AL ([Fig. 4])
| Figure 4:Bone marrow biopsy in acute leukemias (hematoxylin and eosin [H&E] stain). (A, B) Hypoplastic B-acute lymphoblastic leukemia (B-ALL) with CD34 positive immunohistochemistry (IHC), respectively. (C, D) Myelonecrosis in B-ALL with TdT positive IHC. (E) Gelatinous marrow transformation. (F) Primary myelofibrosis with inset showing increased reticulin fibrosis with progression to acute leukemia.
It is generally accepted fact that BMB is complimentary to BMA/imprint smear; however, BMB is better in accessing the overall cellularity, focal marrow involvement, stromal changes, and useful adjunct for IHC and molecular studies.[15]
Hypoplastic AL/MDS generally shows hypocellularity in BMB and generally associated with suppressed trilineage hematopoiesis. It is characterized by interstitial increase in immature cells and BMA might be hemodiluted. The use of immaturity and lineage-specific markers would be helpful in arriving at the final diagnosis.[17]
The stromal changes such as myelonecrosis may be extensive, and in such cases IHC would be useful as the antigens are better preserved even in the necrotic cells.[42] [43] Other changes include gelatinous transformation of marrow and myelofibrosis can be seen in AL in 1 to 2-% of cases.[44] Another rare condition called as acute panmyelosis with myelofibrosis in which PB shows pancytopenia with no or minimal anisopoikilocytosis, variable macrocytosis, and no teardrop cells. BMB is hypercellular and shows diffuse fibrosis in reticulin and Masson trichrome stain along with the proliferation of all lineage elements (panmyelosis) and foci of increased blasts with dysplastic megakaryocytes are the characteristic findings. Immunohistochemistry with all the three lineage markers would be very helpful in diagnosing this condition.[19]
Morphology Helps in Predicting the Prognosis in AL
Generally good prognosis is expected if the morphological clues to the underlying genetic abnormalities are present such as t(8:21), t(15:17), and t(16:16) in AML with eosinophilia.[21] Myeloid sarcoma, ARC, t-AML/MDS, and MPAL are associated with poor prognosis.[19]
Morphological Mimics of AL ([Fig. 5])
| Figure 5:Morphological mimics of acute leukemia (Giemsa and Leishman stain). (A) Hematogones, (B) Burkitt leukemia, (C) blastoid mantle cell lymphoma, (D) hairy cell leukemia variant, (E) T cell prolymphocytic leukemia, (F) plasmablasts, (G) megaloblastosis, (H) blastic plasmacytoid dendritic cell neoplasm, and (I) carcinocythemia from metastatic neuroblastoma..
Hematogones, which are normal B cell progenitors, can resemble lymphoblasts but typically have even greater nuclear-to-cytoplasmic ratio, more uniform chromatin, and discrete nucleoli. Blastoid variants of lymphoma like blastoid mantle cell lymphoma, high grade B cell lymphoma with blastoid morphology, Burkitt leukemia, prolymphocytes in prolymphocytic leukemia, and hairy cell leukemia variant can mimic AL and IP is useful in these situations. The plasmablasts especially in plasmablastic leukemia/plasma cell leukemia also mimic AL.[17]
MDS with excess blasts (EB2) and MDS/MPN overlap category such as chronic myelomonocytic leukemia in elderly and juvenile myelomonocytic leukemia in pediatric population are the most confusing mimicker of AML-M4/M5 and distinction must be made based on accurate blast and promonocyte counts.[44] Megaloblasts with open sieve-like nuclear chromatin could be confused with AML-M6; blastic plasmacytoid dendritic cell and circulating tumor cells called as “carcinocythemia” occurs in neuroblastoma and other adenocarcinoma would be easily confused with undifferentiated leukemia.[17] The advanced molecular research in the future will generate huge data that cannot be given by morphology; however, it should serve as complementary to each other.
Conclusion
The morphology as such can give clues for specific genetic abnormalities and mutations in AL even with the gaining importance to IP and molecular genetics. This endorsement by WHO classification gives boost to the morphologist/hematopathologist and should be considered as a kind of “gold-standard” starting point for the analysis of AL cases. Morphological examination cannot be replaced and advanced tests cannot be used as surrogate for morphology.
Conflict of Interest
None declared.
References
- 1 Kansal R. Toward integrated genomic diagnosis in routine diagnostic pathology by the World Health Organization classification of acute myeloid leukemia. J Clin Haematol. 2020; 1: 33-53
- 2 Piller G. Leukaemia - a brief historical review from ancient times to 1950. Br J Haematol 2001; 112 (02) 282-292
- 3 Ladines-Castro W, Barragán-Ibañez G, Luna-Pérez MA. et al. Morphology of leukaemias. Rev Med Hosp Gen (Mex) 2016; 79: 107-113
- 4 Bennett JM, Catovsky D, Daniel MT. et al. Proposals for the classification of the acute leukaemias. French-American-British (FAB) co-operative group. Br J Haematol 1976; 33 (04) 451-458
- 5 Bennett JM, Catovsky D, Daniel MT. et al. The morphological classification of acute lymphoblastic leukaemia: concordance among observers and clinical correlations. Br J Haematol 1981; 47 (04) 553-561
- 6 Bennett JM, Catovsky D, Daniel MT. et al. Proposed revised criteria for the classification of acute myeloid leukemia. A report of the French-American-British Cooperative Group. Ann Intern Med 1985; 103 (04) 620-625
- 7 Bennett JM, Catovsky D, Daniel MT. et al; French-American-British (FAB) Cooperative Group. Proposals for the classification of chronic (mature) B and T lymphoid leukaemias. J Clin Pathol 1989; 42 (06) 567-584
- 8 Jaffe ES, Harris NL, Stein H, Vardiman JW. eds. Pathology and Genetics: Tumours of Haematopoietic and Lymphoid Tissues (World Health Organization Classification of Tumours). Lyon, France: IARC Press; 2001
- 9 Kansal R. Classification of acute myeloid leukemia by the revised fourth edition World Health Organization criteria: a retrospective single-institution study with appraisal of the new entities of acute myeloid leukemia with gene mutations in NPM1 and biallelic CEBPA. Hum Pathol 2019; 90: 80-96
- 10 International Agency for Research on Cancer World Health Organization. . WHO Classification of Tumors. Accessed May 29, 2020, at: http://whobluebooks.iarc.fr/about/history.php
- 11 Alaggio R, Amador C, Anagnostopoulos I. et al. The 5th edition of the World Health Organization classification of haematolymphoid tumours: lymphoid neoplasms. Leukemia 2022:1–29
- 12 Lewis SM, Bain BJ, Bates I. eds. Dacie and Lewis. Practical Haematology. Preparation and Staining Methods for Blood and Bone Marrow Smears. Vol. 4. China: Elsevier; 2006:57–68
- 13 Singh T. . Atlas and Text of Hematology. New Delhi: Avichal Publishing Company; 2010:136
- 14 Morilla R, Morilla AM, Nadal-Melsió E. . Immunophenotyping by flow cytometry. In: Bain BJ, Bates I, Laffan MA, eds. Dacie and Lewis. Practical Hematology. China: Elsevier; 2017:330–348
- 15 Bain BJ, Clark DM, Wilkins BS. eds. Bone Marrow Pathology. Wiley-Blackwell, London: John Wiley & Sons; 2019
- 16 Bates I, Bain BJ. eds. Approach to the Diagnosis and Classification of Blood Diseases. Dacie and Lewis Practical Haematology. China: Elsevier; 2012:549
- 17 Swerdlow SH, Campo E, Harris NL. eds. WHO Classification of Tumours of Haematopoietic and Lymphoid Tissues. Lyon, France: IARC Press; 2017
- 18 Löffler H, Gassmann W. Morphology and cytochemistry of acute lymphoblastic leukaemia. Baillieres Clin Haematol 1994; 7 (02) 263-272
- 19 Brunning RD, Orazi A, Porwit A. et al. Acute myeloid leukaemia, NOS. In: Swerdlow SH, Campo E, Harris NL, eds. WHO Classification of Tumours of Haematopoietic and Lymphoid Tissues. Revised 4th ed. Lyon, France: IARC Press; 2017:156–166
- 20 Arber DA, Brunning RD, Le Beau MM. et al. Acute myeloid leukaemia with recurrent genetic abnormalities. In: Swerdlow SH, Campo E, Harris NL, eds. WHO Classification of Tumours of Haematopoietic and Lymphoid Tissues. Revised 4th ed. Lyon, France: IARC Press; 2017:130–145
- 21 Bain BJ, Béné MC. Morphological and immunophenotypic clues to the WHO categories of acute myeloid leukaemia. Acta Haematol 2019; 141 (04) 232-244
- 22 Neame PB, Soamboonsrup P, Leber B. et al. Morphology of acute promyelocytic leukemia with cytogenetic or molecular evidence for the diagnosis: characterization of additional microgranular variants. Am J Hematol 1997; 56 (03) 131-142
- 23 Tricot G, Broeckaert-Van Orshoven A, Van Hoof A, Verwilghen RL. Sudan Black B positivity in acute lymphoblastic leukaemia. Br J Haematol 1982; 51 (04) 615-621
- 24 Stass SA, Pui CH, Melvin S. et al. Sudan black B positive acute lymphoblastic leukaemia. Br J Haematol 1984; 57 (03) 413-421
- 25 Borowitz MJ, Chan JKC, Bene M, Arber DA. . Precursor lymphoid neoplasms. T-lymphoblastic leukaemia/ lymphoma. In: Swerdlow SH, Campo E, Harris NL, eds. WHO Classification of Tumours of Haematopoietic and Lymphoid Tissues. Revised 4th ed. Lyon, France: IARC Press; 2017:209–212
- 26 Löffler H, Kayser W, Schmitz N. et al. Morphological and cytochemical classification of adult acute leukemias in two multicenter studies in the Federal Republic of Germany. Haematol Blood Transfus 1987; 30: 21-27
- 27 Catovsky D, Bernasconi C, Verdonck PJ. et al. The association of eosinophilia with lymphoblastic leukaemia or lymphoma: a study of seven patients. Br J Haematol 1980; 45 (04) 523-534
- 28 Park BG, Chi HS, Jang S. et al. Association of cup-like nuclei in blasts with FLT3 and NPM1 mutations in acute myeloid leukemia. Ann Hematol 2013; 92 (04) 451-457
- 29 Bain BJ, Heller M, Toma S, Pavlů J. The cytological features of NPM1-mutated acute myeloid leukemia. Am J Hematol 2015; 90 (06) 560
- 30 Carluccio P, Mestice A, Pastore D. et al. Immunophenotypic and molecular features of ‘cuplike’ acute myeloid leukemias. Eur J Haematol 2014; 92 (02) 121-126
- 31 Mannelli F, Ponziani V, Bencini S. et al. CEBPA-double-mutated acute myeloid leukemia displays a unique phenotypic profile: a reliable screening method and insight into biological features. Haematologica 2017; 102 (03) 529-540
- 32 Gill PS, Meyer PR, Pavlova Z, Levine AM. B cell acute lymphocytic leukemia in adults. Clinical, morphologic, and immunologic findings. J Clin Oncol 1986; 4 (05) 737-743
- 33 Arber DA, Brunning RD, Orazi A. et al. Acute myeloid leukaemia with myelodysplasia-related changes. In: Swerdlow SH, Campo E, Harris NL, eds. WHO Classification of Tumours of Haematopoietic and Lymphoid Tissues. Revised 4th ed. Lyon, France: IARC Press; 2017:150–152
- 34 Vardiman JW, Arber DA, Brunning RD. et al. Therapy-related myeloid neoplasms. In: Swerdlow SH, Campo E, Harris NL, eds. WHO Classification of Tumours of Haematopoietic and Lymphoid Tissues. Revised 4th ed. Lyon, France: IARC Press; 2017:153–155
- 35 Giagounidis AA, Hildebrandt B, Heinsch M, Germing U, Aivado M, Aul C. Acute basophilic leukemia. Eur J Haematol 2001; 67 (02) 72-76
- 36 Borowitz MJ, Bene M, Harris NL, Porwit A, Matutes E, Arber DA. . Acute leukaemias of ambiguous lineage. In: Swerdlow SH, Campo E, Harris NL, eds. WHO Classification of Tumours of Haematopoietic and Lymphoid Tissues. Revised 4th ed. Lyon, France: IARC Press; 2017:180–187
- 37 Bene MC, Castoldi G, Knapp W. et al; European Group for the Immunological Characterization of Leukemias (EGIL). Proposals for the immunological classification of acute leukemias. Leukemia 1995; 9 (10) 1783-1786
- 38 Arber DA, Baumann I, Niemeyer CM, Brunning RD, Porwit A. . Myeloid proliferations associated with Down syndrome. In: Swerdlow SH, Campo E, Harris NL, eds. WHO Classification of Tumours of Haematopoietic and Lymphoid Tissues. Revised 4th ed. Lyon, France: IARC Press; 2017:169–171
- 39 Pileri SA, Orazi A, Falini B. . Myeloid sarcoma. In: Swerdlow SH, Campo E, Harris NL, eds. WHO Classification of Tumours of Haematopoietic and Lymphoid Tissues. Revised 4th ed. Lyon, France: IARC Press; 2017:167–168
- 40 Cazzola M, Malcovati L, Invernizzi R. Myelodysplastic/myeloproliferative neoplasms. Hematology (Am Soc Hematol Educ Program) 2011; 2011: 264-272
- 41 Chirnomas SD, Kupfer GM. The inherited bone marrow failure syndromes. Pediatr Clin North Am 2013; 60 (06) 1291-1310
- 42 Kalaivani S, Saranya GD, Kar R, Basu D. Role of immunohistochemistry in acute leukemias with myelonecrosis. Indian J Hematol Blood Transfus 2018; 34 (04) 643-647
- 43 Rekha JS, Kar R, Basu D. Myelonecrosis: a clinicopathological study from a tertiary care center in South India over a twelve-year period. Bone Marrow Res 2014; 2014: 890510
- 44 Saad AA. . “Juvenile Myelomonocytic Leukemia (JMML): A Mimicker of KMT2A-Rearranged Acute Myeloid Leukemia (AML).” Acute Leukemias. London: Intech Open; 2020
Address for correspondence
Publication History
Article published online:
17 April 2023
© 2023. The Author(s). This is an open access article published by Thieme under the terms of the Creative Commons Attribution License, permitting unrestricted use, distribution, and reproduction so long as the original work is properly cited. (https://creativecommons.org/licenses/by/4.0/)
Thieme Medical and Scientific Publishers Pvt. Ltd.
A-12, 2nd Floor, Sector 2, Noida-201301 UP, India
| Fig 1 : Morphology of blasts and its equivalents (Giemsa and Leishman stain). (A, B) Homogenous and heterogeneous lymphoblasts, respectively. (C) Myeloblast with Auer rods. (D, E) Hypergranular and microgranular promyelocytes, respectively. (F, G) Monoblasts and promonocytes, respectively. (H) Dyspoietic erythroid cells with increased proerythroblasts. (I) Megakaryoblasts.
| Figure 2:Various cytochemical stains in acute leukemias. (A) Myeloperoxidase stain showing myeloblast with Auer rod. (B) Early T cell precursor acute lymphoblastic leukemia showing Sudan Black B positivity. (C) Lymphoblasts with typical block positivity in periodic acid-Schiff (PAS) stain. (D) Monoblasts showing nonspecific esterase positivity. (E) T-lymphoblast showing polar acid phosphatase activity. (F) Dyserythropoiesis with granular PAS positivity. (G and H) Perls' stain showing ring sideroblasts.
| Figure 3:Specific morphological findings in acute leukemias (Giemsa and Leishman stain). (A) Lymphoblast with “hand-mirror” morphology. (B) T-lymphoblasts with nuclear cleavage. (C) Pseudo-Pelger-Huet neutrophil with Auer rod. (D) Myeloblast with Phi body. (E, F) Monoblasts with prominent cytoplasmic vacuoles and pseudo-Chediak-Higashi granules, respectively. (G) Myeloblasts with cup-like nucleus. (H) Mixed phenotype acute leukemia showing smaller lymphoblast and larger myeloblast.
| Figure 4:Bone marrow biopsy in acute leukemias (hematoxylin and eosin [H&E] stain). (A, B) Hypoplastic B-acute lymphoblastic leukemia (B-ALL) with CD34 positive immunohistochemistry (IHC), respectively. (C, D) Myelonecrosis in B-ALL with TdT positive IHC. (E) Gelatinous marrow transformation. (F) Primary myelofibrosis with inset showing increased reticulin fibrosis with progression to acute leukemia.
| Figure 5:Morphological mimics of acute leukemia (Giemsa and Leishman stain). (A) Hematogones, (B) Burkitt leukemia, (C) blastoid mantle cell lymphoma, (D) hairy cell leukemia variant, (E) T cell prolymphocytic leukemia, (F) plasmablasts, (G) megaloblastosis, (H) blastic plasmacytoid dendritic cell neoplasm, and (I) carcinocythemia from metastatic neuroblastoma..
References
- 1 Kansal R. Toward integrated genomic diagnosis in routine diagnostic pathology by the World Health Organization classification of acute myeloid leukemia. J Clin Haematol. 2020; 1: 33-53
- 2 Piller G. Leukaemia - a brief historical review from ancient times to 1950. Br J Haematol 2001; 112 (02) 282-292
- 3 Ladines-Castro W, Barragán-Ibañez G, Luna-Pérez MA. et al. Morphology of leukaemias. Rev Med Hosp Gen (Mex) 2016; 79: 107-113
- 4 Bennett JM, Catovsky D, Daniel MT. et al. Proposals for the classification of the acute leukaemias. French-American-British (FAB) co-operative group. Br J Haematol 1976; 33 (04) 451-458
- 5 Bennett JM, Catovsky D, Daniel MT. et al. The morphological classification of acute lymphoblastic leukaemia: concordance among observers and clinical correlations. Br J Haematol 1981; 47 (04) 553-561
- 6 Bennett JM, Catovsky D, Daniel MT. et al. Proposed revised criteria for the classification of acute myeloid leukemia. A report of the French-American-British Cooperative Group. Ann Intern Med 1985; 103 (04) 620-625
- 7 Bennett JM, Catovsky D, Daniel MT. et al; French-American-British (FAB) Cooperative Group. Proposals for the classification of chronic (mature) B and T lymphoid leukaemias. J Clin Pathol 1989; 42 (06) 567-584
- 8 Jaffe ES, Harris NL, Stein H, Vardiman JW. eds. Pathology and Genetics: Tumours of Haematopoietic and Lymphoid Tissues (World Health Organization Classification of Tumours). Lyon, France: IARC Press; 2001
- 9 Kansal R. Classification of acute myeloid leukemia by the revised fourth edition World Health Organization criteria: a retrospective single-institution study with appraisal of the new entities of acute myeloid leukemia with gene mutations in NPM1 and biallelic CEBPA. Hum Pathol 2019; 90: 80-96
- 10 International Agency for Research on Cancer World Health Organization. . WHO Classification of Tumors. Accessed May 29, 2020, at: http://whobluebooks.iarc.fr/about/history.php
- 11 Alaggio R, Amador C, Anagnostopoulos I. et al. The 5th edition of the World Health Organization classification of haematolymphoid tumours: lymphoid neoplasms. Leukemia 2022:1–29
- 12 Lewis SM, Bain BJ, Bates I. eds. Dacie and Lewis. Practical Haematology. Preparation and Staining Methods for Blood and Bone Marrow Smears. Vol. 4. China: Elsevier; 2006:57–68
- 13 Singh T. . Atlas and Text of Hematology. New Delhi: Avichal Publishing Company; 2010:136
- 14 Morilla R, Morilla AM, Nadal-Melsió E. . Immunophenotyping by flow cytometry. In: Bain BJ, Bates I, Laffan MA, eds. Dacie and Lewis. Practical Hematology. China: Elsevier; 2017:330–348
- 15 Bain BJ, Clark DM, Wilkins BS. eds. Bone Marrow Pathology. Wiley-Blackwell, London: John Wiley & Sons; 2019
- 16 Bates I, Bain BJ. eds. Approach to the Diagnosis and Classification of Blood Diseases. Dacie and Lewis Practical Haematology. China: Elsevier; 2012:549
- 17 Swerdlow SH, Campo E, Harris NL. eds. WHO Classification of Tumours of Haematopoietic and Lymphoid Tissues. Lyon, France: IARC Press; 2017
- 18 Löffler H, Gassmann W. Morphology and cytochemistry of acute lymphoblastic leukaemia. Baillieres Clin Haematol 1994; 7 (02) 263-272
- 19 Brunning RD, Orazi A, Porwit A. et al. Acute myeloid leukaemia, NOS. In: Swerdlow SH, Campo E, Harris NL, eds. WHO Classification of Tumours of Haematopoietic and Lymphoid Tissues. Revised 4th ed. Lyon, France: IARC Press; 2017:156–166
- 20 Arber DA, Brunning RD, Le Beau MM. et al. Acute myeloid leukaemia with recurrent genetic abnormalities. In: Swerdlow SH, Campo E, Harris NL, eds. WHO Classification of Tumours of Haematopoietic and Lymphoid Tissues. Revised 4th ed. Lyon, France: IARC Press; 2017:130–145
- 21 Bain BJ, Béné MC. Morphological and immunophenotypic clues to the WHO categories of acute myeloid leukaemia. Acta Haematol 2019; 141 (04) 232-244
- 22 Neame PB, Soamboonsrup P, Leber B. et al. Morphology of acute promyelocytic leukemia with cytogenetic or molecular evidence for the diagnosis: characterization of additional microgranular variants. Am J Hematol 1997; 56 (03) 131-142
- 23 Tricot G, Broeckaert-Van Orshoven A, Van Hoof A, Verwilghen RL. Sudan Black B positivity in acute lymphoblastic leukaemia. Br J Haematol 1982; 51 (04) 615-621
- 24 Stass SA, Pui CH, Melvin S. et al. Sudan black B positive acute lymphoblastic leukaemia. Br J Haematol 1984; 57 (03) 413-421
- 25 Borowitz MJ, Chan JKC, Bene M, Arber DA. . Precursor lymphoid neoplasms. T-lymphoblastic leukaemia/ lymphoma. In: Swerdlow SH, Campo E, Harris NL, eds. WHO Classification of Tumours of Haematopoietic and Lymphoid Tissues. Revised 4th ed. Lyon, France: IARC Press; 2017:209–212
- 26 Löffler H, Kayser W, Schmitz N. et al. Morphological and cytochemical classification of adult acute leukemias in two multicenter studies in the Federal Republic of Germany. Haematol Blood Transfus 1987; 30: 21-27
- 27 Catovsky D, Bernasconi C, Verdonck PJ. et al. The association of eosinophilia with lymphoblastic leukaemia or lymphoma: a study of seven patients. Br J Haematol 1980; 45 (04) 523-534
- 28 Park BG, Chi HS, Jang S. et al. Association of cup-like nuclei in blasts with FLT3 and NPM1 mutations in acute myeloid leukemia. Ann Hematol 2013; 92 (04) 451-457
- 29 Bain BJ, Heller M, Toma S, Pavlů J. The cytological features of NPM1-mutated acute myeloid leukemia. Am J Hematol 2015; 90 (06) 560
- 30 Carluccio P, Mestice A, Pastore D. et al. Immunophenotypic and molecular features of ‘cuplike’ acute myeloid leukemias. Eur J Haematol 2014; 92 (02) 121-126
- 31 Mannelli F, Ponziani V, Bencini S. et al. CEBPA-double-mutated acute myeloid leukemia displays a unique phenotypic profile: a reliable screening method and insight into biological features. Haematologica 2017; 102 (03) 529-540
- 32 Gill PS, Meyer PR, Pavlova Z, Levine AM. B cell acute lymphocytic leukemia in adults. Clinical, morphologic, and immunologic findings. J Clin Oncol 1986; 4 (05) 737-743
- 33 Arber DA, Brunning RD, Orazi A. et al. Acute myeloid leukaemia with myelodysplasia-related changes. In: Swerdlow SH, Campo E, Harris NL, eds. WHO Classification of Tumours of Haematopoietic and Lymphoid Tissues. Revised 4th ed. Lyon, France: IARC Press; 2017:150–152
- 34 Vardiman JW, Arber DA, Brunning RD. et al. Therapy-related myeloid neoplasms. In: Swerdlow SH, Campo E, Harris NL, eds. WHO Classification of Tumours of Haematopoietic and Lymphoid Tissues. Revised 4th ed. Lyon, France: IARC Press; 2017:153–155
- 35 Giagounidis AA, Hildebrandt B, Heinsch M, Germing U, Aivado M, Aul C. Acute basophilic leukemia. Eur J Haematol 2001; 67 (02) 72-76
- 36 Borowitz MJ, Bene M, Harris NL, Porwit A, Matutes E, Arber DA. . Acute leukaemias of ambiguous lineage. In: Swerdlow SH, Campo E, Harris NL, eds. WHO Classification of Tumours of Haematopoietic and Lymphoid Tissues. Revised 4th ed. Lyon, France: IARC Press; 2017:180–187
- 37 Bene MC, Castoldi G, Knapp W. et al; European Group for the Immunological Characterization of Leukemias (EGIL). Proposals for the immunological classification of acute leukemias. Leukemia 1995; 9 (10) 1783-1786
- 38 Arber DA, Baumann I, Niemeyer CM, Brunning RD, Porwit A. . Myeloid proliferations associated with Down syndrome. In: Swerdlow SH, Campo E, Harris NL, eds. WHO Classification of Tumours of Haematopoietic and Lymphoid Tissues. Revised 4th ed. Lyon, France: IARC Press; 2017:169–171
- 39 Pileri SA, Orazi A, Falini B. . Myeloid sarcoma. In: Swerdlow SH, Campo E, Harris NL, eds. WHO Classification of Tumours of Haematopoietic and Lymphoid Tissues. Revised 4th ed. Lyon, France: IARC Press; 2017:167–168
- 40 Cazzola M, Malcovati L, Invernizzi R. Myelodysplastic/myeloproliferative neoplasms. Hematology (Am Soc Hematol Educ Program) 2011; 2011: 264-272
- 41 Chirnomas SD, Kupfer GM. The inherited bone marrow failure syndromes. Pediatr Clin North Am 2013; 60 (06) 1291-1310
- 42 Kalaivani S, Saranya GD, Kar R, Basu D. Role of immunohistochemistry in acute leukemias with myelonecrosis. Indian J Hematol Blood Transfus 2018; 34 (04) 643-647
- 43 Rekha JS, Kar R, Basu D. Myelonecrosis: a clinicopathological study from a tertiary care center in South India over a twelve-year period. Bone Marrow Res 2014; 2014: 890510
- 44 Saad AA. . “Juvenile Myelomonocytic Leukemia (JMML): A Mimicker of KMT2A-Rearranged Acute Myeloid Leukemia (AML).” Acute Leukemias. London: Intech Open; 2020
PDF
Views
Share

