Unusual Renal and Colonic Mass: Description of a Rare Case
CC BY-NC-ND 4.0 · Indian J Med Paediatr Oncol 2019; 40(S 01): S154-S156
DOI: DOI: 10.4103/ijmpo.ijmpo_190_17
Abstract
Seminoma is a germ cell tumor which accounts for approximately 40% of all germ cell tumors. Testicular seminoma is usually localized to the testis, and in 25% of cases, lymph node metastasis is seen. However, rarely, it can metastasize to visceras. We report a rare case of metastatic seminoma in a 40-year-old male who presented with renal and intestinal mass 2 years after orchidectomy.
Publication History
Article published online:
24 May 2021
© 2019. Indian Society of Medical and Paediatric Oncology. This is an open access article published by Thieme under the terms of the Creative Commons Attribution-NonDerivative-NonCommercial-License, permitting copying and reproduction so long as the original work is given appropriate credit. Contents may not be used for commercial purposes, or adapted, remixed, transformed or built upon. (https://creativecommons.org/licenses/by-nc-nd/4.0/).
Thieme Medical and Scientific Publishers Pvt. Ltd.
A-12, 2nd Floor, Sector 2, Noida-201301 UP, India
Abstract
Seminoma is a germ cell tumor which accounts for approximately 40% of all germ cell tumors. Testicular seminoma is usually localized to the testis, and in 25% of cases, lymph node metastasis is seen. However, rarely, it can metastasize to visceras. We report a rare case of metastatic seminoma in a 40-year-old male who presented with renal and intestinal mass 2 years after orchidectomy.
Introduction
Visceral metastases of seminoma at presentation can be seen in <5 href="https://www.thieme-connect.com/products/ejournals/html/10.4103/ijmpo.ijmpo_190_17#JR_1" xss=removed>1] We report a rare case of metastatic seminoma in a 40-year-old male who presented with renal and intestinal mass 2 years after orchidectomy for seminoma.
Case Report
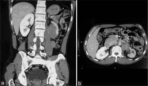
A 40-year-male was admitted with chief complaints of swelling in the left flank and abdominal discomfort for 2 years. The swelling was gradually increasing in size and was not associated with fever, hematuria, or constipation. The patient was a chronic smoker. Hematological and biochemical investigations were within normal limits. X-ray chest was normal. Ultrasonography abdomen suggested a left renal mass with tumor emboli in the left renal vein and inferior vena cava lumen. Computed tomography abdomen was done and showed left renal mass at the lower pole with complete encasement of ipsilateral ureter, renal artery, and vein. Tumor was extending medially up to the aorta with mild paravertebral extension at L2 into the para-aortic lymph nodes and infiltration of the psoas muscle and colon [Figure 1]. Fine needle aspiration cytology was done from outside which showed single and small groups of atypical cells with eccentric hyperchromatic nuclei and focally appreciable vacuolated cytoplasm against a hemorrhagic background. Cytological diagnosis was malignant tumor with a possibility of clear cell renal carcinoma.
| Figure. 1 (a) Magnetic resonance imaging showing a large relatively well-defined irregular shape, heterogeneously enhancing mass lesion with delayed filling seen in the perinephric and renal capsular region at the lower pole of the left kidney. (b) Mass is causing complete encasement of renal artery and vein
The patient underwent nephrectomy, adherent segmental colectomy along with left ureteric and para-aortic lymph node excision.
Histopathological Examination
The kidney measured 8.5 cm × 5 cm × 3 cm with adherent 9.5 cm of the colon. External surface of the kidney appeared gray-white and encapsulated except for the area where the segment of the intestine was adherent. Serial slicing revealed a poorly circumscribed firm white nodular lesion toward the lateral surface. Pelvicalyceal system was dilated with a clot in the hilar area. Two para-aortic lymph nodes were also identified measuring 3 cm × 2 cm × 1 cm and 2 cm × 1 cm × 1 cm. The tumor was infiltrating into the adherent large intestine.
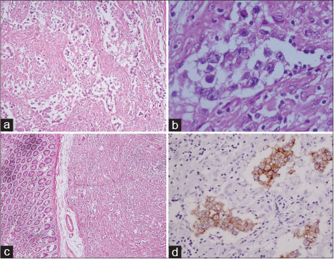
On microscopy, multiple sections from the renal mass showed prominent fibrohistiocytic proliferation [Figure 2a], confluent epithelioid cell granulomas, lymphocytic infiltrate, and giant cells. Intervening areas and the pelvis were infiltrated by single as well as nests of tumor cells. The cells were showed moderate nuclear pleomorphism, vesicular chromatin, prominent nucleoli, and scant-to-moderate amount of clear cytoplasm [Figure 2b]. Large areas of necrosis were also noted. The tumor was infiltrating the renal capsule. Ten para-aortic lymph nodes were identified, out of which five showed tumor deposits; however, the ureter was free of tumor. Multiple sections from the large intestine showed infiltration by the tumor [Figure 2c].
| Figure. 2 (a) Nests of tumor cells with intervening fibroblastic and histiocytic proliferation and infiltration by lymphocytes (H and E, ×100), (b) tumor cells showing moderate nuclear pleomorphism, vesicular chromatin, prominent nucleoli, and scant-to-moderate amount of cytoplasm with cytoplasmic clearance (H and E, ×400), (c) photomicrograph showing metastasis to the intestine (H and E, ×40), (d) CD117-positive tumor cells (IHC, ×400)
Considering the morphological features, differential diagnosis of clear cell renal carcinoma, lymphoma, and metastatic seminoma was kept, and immunohistochemical (IHC) panel was applied [Table 1]. Based on the histomorphology and IHC IHC [Figure 2a], [b], [c], [d], a diagnosis of metastatic seminoma with florid granulomatous reaction in the kidney, colon, and para-aortic lymph nodes was made.
PDF
Views
Share

