Metaplastic Carcinoma of Breast: Case Series with Cytohistological Correlation
CC BY-NC-ND 4.0 · Indian J Med Paediatr Oncol 2019; 40(03): 440-444
DOI: DOI: 10.4103/ijmpo.ijmpo_246_17
Abstract
Metaplastic carcinoma of breast (MCB) is a rare breast malignancy. It is important to differentiate metaplastic carcinoma from malignant phyllodes and primary breast sarcomas because of their differing biological behavior and prognosis. We report four cases of MCB diagnosed over the past 15 years. Retrospective review of patient records in a tertiary care setting to retrieve cases diagnosed as MCB. Patient records of the past 15 years (2002–2015) were retrieved. Four histopathologically diagnosed cases of metaplastic carcinoma out of a total of 880 archived cases of breast carcinoma were studied along with their cytopathology. Immunohistochemistry was performed on sections. MCB comprised 0.45% of all breast malignancies. The four cases of MCB included MCB with chondroid metaplasia, spindle cell carcinoma, adenosquamous carcinoma, and carcinosarcoma. All the tumors were invariably triple negative (estrogen receptor, progesterone receptor, and Her2/Neu negative) and expression of other epithelial and mesenchymal markers was variable. MCB is a rare breast malignancy. Differential diagnosis is related to the presence of heterologous elements and degree of atypia seen in the lesion. It is important to be aware of this entity as it carries a poor prognosis.
Keywords
Breast - carcinoma - fine-needle aspiration cytology - histopathology - immunohistochemistry - metaplasticPublication History
Received: 12 December 2017
Accepted: 19 April 2019
Article published online:
03 June 2021
© 2019. Indian Society of Medical and Paediatric Oncology. This is an open access article published by Thieme under the terms of the Creative Commons Attribution-NonDerivative-NonCommercial-License, permitting copying and reproduction so long as the original work is given appropriate credit. Contents may not be used for commercial purposes, or adapted, remixed, transformed or built upon. (https://creativecommons.org/licenses/by-nc-nd/4.0/).
Thieme Medical and Scientific Publishers Pvt. Ltd.
A-12, 2nd Floor, Sector 2, Noida-201301 UP, India
Abstract
Metaplastic carcinoma of breast (MCB) is a rare breast malignancy. It is important to differentiate metaplastic carcinoma from malignant phyllodes and primary breast sarcomas because of their differing biological behavior and prognosis. We report four cases of MCB diagnosed over the past 15 years. Retrospective review of patient records in a tertiary care setting to retrieve cases diagnosed as MCB. Patient records of the past 15 years (2002–2015) were retrieved. Four histopathologically diagnosed cases of metaplastic carcinoma out of a total of 880 archived cases of breast carcinoma were studied along with their cytopathology. Immunohistochemistry was performed on sections. MCB comprised 0.45% of all breast malignancies. The four cases of MCB included MCB with chondroid metaplasia, spindle cell carcinoma, adenosquamous carcinoma, and carcinosarcoma. All the tumors were invariably triple negative (estrogen receptor, progesterone receptor, and Her2/Neu negative) and expression of other epithelial and mesenchymal markers was variable. MCB is a rare breast malignancy. Differential diagnosis is related to the presence of heterologous elements and degree of atypia seen in the lesion. It is important to be aware of this entity as it carries a poor prognosis.
Keywords
Breast - carcinoma - fine-needle aspiration cytology - histopathology - immunohistochemistry - metaplasticIntroduction
The term metaplastic carcinoma of breast (MCB) was first introduced by Huvos et al.[1] It comprises of two components, the usual ductal adenocarcinoma and the metaplastic component.[2],[3] It is a rare and aggressive subtype of breast carcinoma, with poor prognosis having reported incidence of 0.2%–0.6% of all breast cancers. MCB is not chemosensitive due to tumor heterogeneity and are also unresponsive to hormonal therapy.[4],[5]
We report a series of four cases of MCB, diagnosed over a 15-year period. Their cytohistologic features and immunohistochemical findings are presented in [Table 1].
|
Case number |
Age |
Size and location of tumor |
FNAC findings |
Histopathology |
Immunohistochemistry |
|---|---|---|---|---|---|
|
FNAC - Fine-needle aspiration cytology; OGC - Osteoclast-like giant cells; ER - Estrogen receptor; PR - Progesterone receptor; EMA - Epithelial membrane antigen; CK - Cytokeratin; LIQ - Lower inner quandrant; UIQ - Upper inner quandrant; UOQ - Upper outer quandrant. Scoring of staining pattern of IHC |
|||||
|
1. |
40 |
3 cm, firm irregular mass, LIQ |
Large polyhedral to spindle pleomorphic cells with anisonucleosis lying in chondromyxoid background |
Cellular areas of spindle cells around osteochondroid matrix |
ER, PR, Her2/Neu negative |
|
2. |
39 |
7 cm, ulcerated mass, UOQ |
Dissociated pleomorphic spindle cells in an inflammatory background |
Admixture of plump ovoid to polygonal cells, bizarre spindle cells and tumor giant cells |
ER, PR, Her2/Neu negative |
|
3. |
25 |
5 cm, ulcerated mass, UOQ |
FNA not done |
Islands of large tumor cells separated by fibrous bands |
ER, PR, Her2/Neu negative |
|
4. |
28 |
3 cm, firm mass, UIQ |
Dissociated ovoid to spindle pleomorphic cells with coarse nuclear chromatin abundant cytoplasm |
Fascicles of pleomorphic spindle cells admixed with large epithelial cells |
ER, PR, Her2/Neu negative |
| Figure 1 Lobulated calcified mass (mammograph); (b) fine-needle aspiration smears showing chondroid matrix with peripheral spindle cells (arrow) Plump hyperchromatic cells with cytoplasmic vacuolization (c). (×100 Giemsa); (d) Gross excised firm mass measuring 3 × 3 cm; (e) Section showing lobulated masses of osteochondroid matrix (arrowhead) with peripheral osteoclastic giant cells (arrow) surrounded by pleomorphic ovoid to spindle-shaped cells. (×100); (f) High power view of the same. (×400); (g) Vimentin-positive spindle cells. (×100); (h) Focal cytokeratin 5 positivity. (×400); (i) CD 68 positivity of osteoclast-like giant cells (arrow). (×400)
Case 2
A 39-year-old female presented with 7 cm ulcerated mass in upper outer quadrant left breast. FNA was reported as high-grade ductal carcinoma, breast (not otherwise specified [NOS]). MRM specimen showed ulcerated skin with gray-white to brown mass with necrotic and cystic areas. Sections showed highly vascular tumor comprising of admixture of plump ovoid to polygonal neoplastic cells, bizarre spindle-shaped cells, and multinucleated tumor giant cells separated by hyalinized and hemorrhagic stroma. Frequent no heterologous elements were identified. No lymph node metastasis was seen in 12/12 lymph nodes dissected from the tumor. The tumor was triple negative but was strongly positive for vimentin and focally positive for EMA and CK. The final diagnosis of MCB, sarcomatoid variant was offered [Figure 2].
| Figure 2 Fine-needle aspiration smear showing proliferation of hyperchromatic spindle cells (arrow) in background of stroma and inflammatory cells. (×400); (b) Section showing proliferation of spindle cells and necrosis with rich vascularity. (×100); (c-e) spindle shaped cells with moderate to marked anisonucleosis and rich vascularity. (×400); (d) focal matrix and stromal hyalinization (arrow). (×400); (f) strong cytokeratin cytoplasmic expression. (×400); (g) Epithelial membrane antigen positivity with internal control (×100); (h) strong vimentin positivity. (×400)
Case 3
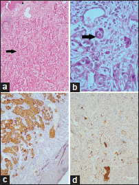
A 25-year-old female presented with an ulcerated mass measuring 5 cm in diameter, in upper outer quadrant of the right breast. FNA was not available in this case. Sections from MRM specimen showed ulcerated skin with subepithelium infiltrated by tumor cells with high nucleo-cytoplasmic ratio, moderate anisonucleosis, and abundant pale to dense eosinophilic cytoplasm (squamous differentiation). Overlying epidermis was free of tumor. All the lymph nodes (10) isolated from the axillary tail were free of tumor. The tumor was triple negative. The glandular component showed expression of CK7, and the squamoid component expressed pan-keratin and CK 5. Vimentin was not expressed in the tumor cells. The case was reported as adenosquamous carcinoma [Figure 3].
| Figure 3 (a) Neoplastic cells (arrow) in nests with interspersed areas of squamous differentiation with overlying normal skin (arrowhead). (×100); (b) keratin pearls (arrow). (×400); (c) Strong cytokeratin 7 positivity. (×400); (d) Strong cytokeratin 5/6 positivity of squamous component. (×400)
Case 4
A 28-year-old female presented with firm 3 cm mass in upper inner quadrant left breast. FNAC smears were signed out as “suggestive of a high-grade carcinoma.” Sections from the gray-white mass on MRM specimen showed proliferation of pleomorphic spindle-shaped cells in bundles and fascicles with interspersed large hyperchromatic epithelial cells. Tumor giant cells and multinucleated OGCs were also present. Only one out of 12 axillary lymph nodes showed metastatic carcinoma deposits. The tumor was triple negative on IHC. The final diagnosis of carcinosarcoma was given in [Figure 4].
| Figure 4 Scattered and clustered neoplastic cells with hyperchromasia,anisonucleosis and spindly cytoplasm (×100); (b) higher magnification (×400); (c) Sections Show proliferation of pleomorphic spindle-shaped cells in bundles and fascicles with interspersed large hyperchromatic epithelial cells; (d) Tumor giant cells and multinucleated OGCs; (e) strong vimentin [removed]x400); (f) CD68 expression in giant cells (×400)
Discussion
MCB is a rare heterogeneous tumor having areas of spindle, squamous, chondroid, or osseous elements in addition to the features of usual breast adenocarcinoma.[1],[4],[6] Due to its heterogeneous nature, precise histological categorization has always been difficult, and these lesions have been given various confusing names.[4],[6] Five variants of MCB were suggested by Wargotz and Norris.[7] Subsequently, the World Health Organization laid down the defining criteria for these variants[2],[8] [Table 2].
|
Broad categories |
Subtypes |
Diagnostic criteria |
|---|---|---|
|
Purely epithelial |
Squamous |
Squamous component must be >90% |
|
Large cell nonkeratinizing |
It should not arise from skin, nipple or any skin adnexal elements |
|
|
Spindle cell |
There should be no other primary Squamous cell carcinoma |
|
|
Acantholytic |
There should be no other ductal/mesenchymal neoplastic component |
|
|
Adenocarcinoma with spindle cell differentiation |
Invasive adenocarcinoma with abundant spindle cells CK7 positive negative |
|
|
Adenosquamous including mucoepidermoid |
Adenocarcinomas with interspersed areas of squamous differentiation |
|
|
Mixed epithelial mesenchymal |
Carcinoma with chondroid metaplasia |
Infiltrating carcinoma with often heterologous mesenchymal component (e.g., chondroid, osteoid) |
|
Carcinoma with osseous metaplasia |
||
|
Carcinosarcoma |
Carcinosarcoma: When mesenchymal element is malignant |
- Huvos AG, Lucas Jr. JC, Foote Jr. FW. Metaplastic breast carcinoma. Rare form of mammary cancer. N Y State J Med 1973; 73: 1078-82
- Ellis IO, Schnitt SJ, Sastre-Garau X, Bussolati G, Tavassoli FA, Eusebi V. et al. Invasive breast carcinoma. In Tavassoli FA, Devilee P. editors WHO Classification of Tumors of the Breast. Lyon, France: IARC; 2003: 37-40
- Tavassoli FA. Classification of metaplastic carcinomas of the breast. Pathol Annu 1992; 27 Pt 2 89-119
- Al Sayed AD, El Weshi AN, Tulbah AM, Rahal MM, Ezzat AA. Metaplastic carcinoma of the breast clinical presentation, treatment results and prognostic factors. Acta Oncol 2006; 45: 188-95
- Rossi L, Paglicci C, Caprio G, Barberi S, Ranieri E, Zancla S. et al. Matrix-producing carcinoma of the breast: A case report. Case Rep Oncol 2013; 6: 245-9
- Rungta S, Kleer CG. Metaplastic carcinomas of the breast: Diagnostic challenges and new translational insights. Arch Pathol Lab Med 2012; 136: 896-900
- Wargotz ES, Norris HJ. Metaplastic carcinomas of the breast: V. Metaplastic carcinoma with osteoclastic giant cells. Hum Pathol 1990; 21: 1142-50
- Graziano L, Filho GP, Bitencourt AG, Soto DB, Hiro A, Nunes CC. et al. Metaplastic squamous cell carcinoma of the breast: A case report and literature review. Rev Assoc Med Bras (1992) 2016; 62: 618-21
- Joshi D, Singh P, Zonunfawni Y, Gangane N. Metaplastic carcinoma of the breast: Cytological diagnosis and diagnostic pitfalls. Acta Cytol 2011; 55: 313-8
- Papazian M, Kalantzis I, Galanopoulos G, Mani I, Tzaida O, Iacovidou I. et al. Malignant myoepithelioma of the breast: A case report and review of the literature. Mol Clin Oncol 2016; 4: 723-7
- Niu Y, Liao X, Li X, Zhao L. Breast carcinoma with osteoclastic giant cells: Case report and review of the literature. Int J Clin Exp Pathol 2014; 7: 1788-91
- Neelam S, Sanjay G. Invasive duct carcinoma of the breast with multinucleated osteoclast-like giant cells: A rare case diagnosed on fine needle aspiration cytology. Breast J 2012; 18: 596-7
- Adem C, Reynolds C, Ingle JN, Nascimento AG. Primary breast sarcoma: Clinicopathologic series from the mayo clinic and review of the literature. Br J Cancer 2004; 91: 237-41
- Tse GM, Tan PH, Putti TC, Lui PC, Chaiwun B, Law BK. et al. Metaplastic carcinoma of the breast: A clinicopathological review. J Clin Pathol 2006; 59: 1079-83
- Altaf FJ, Mokhtar GA, Emam E, Bokhary RY, Mahfouz NB, Al Amoudi S. et al. Metaplastic carcinoma of the breast: An immunohistochemical study. Diagn Pathol 2014; 9: 139
Address for correspondence
Publication History
Received: 12 December 2017
Accepted: 19 April 2019
Article published online:
03 June 2021
© 2019. Indian Society of Medical and Paediatric Oncology. This is an open access article published by Thieme under the terms of the Creative Commons Attribution-NonDerivative-NonCommercial-License, permitting copying and reproduction so long as the original work is given appropriate credit. Contents may not be used for commercial purposes, or adapted, remixed, transformed or built upon. (https://creativecommons.org/licenses/by-nc-nd/4.0/).
Thieme Medical and Scientific Publishers Pvt. Ltd.
A-12, 2nd Floor, Sector 2, Noida-201301 UP, India
| Figure 1 Fine-needle aspiration smear showing proliferation of hyperchromatic spindle cells (arrow) in background of stroma and inflammatory cells. (×400); (b) Section showing proliferation of spindle cells and necrosis with rich vascularity. (×100); (c-e) spindle shaped cells with moderate to marked anisonucleosis and rich vascularity. (×400); (d) focal matrix and stromal hyalinization (arrow). (×400); (f) strong cytokeratin cytoplasmic expression. (×400); (g) Epithelial membrane antigen positivity with internal control (×100); (h) strong vimentin positivity. (×400)
| Figure 2 (a) Neoplastic cells (arrow) in nests with interspersed areas of squamous differentiation with overlying normal skin (arrowhead). (×100); (b) keratin pearls (arrow). (×400); (c) Strong cytokeratin 7 positivity. (×400); (d) Strong cytokeratin 5/6 positivity of squamous component. (×400)
| Figure 3 (a) Neoplastic cells (arrow) in nests with interspersed areas of squamous differentiation with overlying normal skin (arrowhead). (×100); (b) keratin pearls (arrow). (×400); (c) Strong cytokeratin 7 positivity. (×400); (d) Strong cytokeratin 5/6 positivity of squamous component. (×400)
| Figure 4 Scattered and clustered neoplastic cells with hyperchromasia,anisonucleosis and spindly cytoplasm (×100); (b) higher magnification (×400); (c) Sections Show proliferation of pleomorphic spindle-shaped cells in bundles and fascicles with interspersed large hyperchromatic epithelial cells; (d) Tumor giant cells and multinucleated OGCs; (e) strong vimentin [removed]x400); (f) CD68 expression in giant cells (×400)
- Huvos AG, Lucas Jr. JC, Foote Jr. FW. Metaplastic breast carcinoma. Rare form of mammary cancer. N Y State J Med 1973; 73: 1078-82
- Ellis IO, Schnitt SJ, Sastre-Garau X, Bussolati G, Tavassoli FA, Eusebi V. et al. Invasive breast carcinoma. In Tavassoli FA, Devilee P. editors WHO Classification of Tumors of the Breast. Lyon, France: IARC; 2003: 37-40
- Tavassoli FA. Classification of metaplastic carcinomas of the breast. Pathol Annu 1992; 27 Pt 2 89-119
- Al Sayed AD, El Weshi AN, Tulbah AM, Rahal MM, Ezzat AA. Metaplastic carcinoma of the breast clinical presentation, treatment results and prognostic factors. Acta Oncol 2006; 45: 188-95
- Rossi L, Paglicci C, Caprio G, Barberi S, Ranieri E, Zancla S. et al. Matrix-producing carcinoma of the breast: A case report. Case Rep Oncol 2013; 6: 245-9
- Rungta S, Kleer CG. Metaplastic carcinomas of the breast: Diagnostic challenges and new translational insights. Arch Pathol Lab Med 2012; 136: 896-900
- Wargotz ES, Norris HJ. Metaplastic carcinomas of the breast: V. Metaplastic carcinoma with osteoclastic giant cells. Hum Pathol 1990; 21: 1142-50
- Graziano L, Filho GP, Bitencourt AG, Soto DB, Hiro A, Nunes CC. et al. Metaplastic squamous cell carcinoma of the breast: A case report and literature review. Rev Assoc Med Bras (1992) 2016; 62: 618-21
- Joshi D, Singh P, Zonunfawni Y, Gangane N. Metaplastic carcinoma of the breast: Cytological diagnosis and diagnostic pitfalls. Acta Cytol 2011; 55: 313-8
- Papazian M, Kalantzis I, Galanopoulos G, Mani I, Tzaida O, Iacovidou I. et al. Malignant myoepithelioma of the breast: A case report and review of the literature. Mol Clin Oncol 2016; 4: 723-7
- Niu Y, Liao X, Li X, Zhao L. Breast carcinoma with osteoclastic giant cells: Case report and review of the literature. Int J Clin Exp Pathol 2014; 7: 1788-91
- Neelam S, Sanjay G. Invasive duct carcinoma of the breast with multinucleated osteoclast-like giant cells: A rare case diagnosed on fine needle aspiration cytology. Breast J 2012; 18: 596-7
- Adem C, Reynolds C, Ingle JN, Nascimento AG. Primary breast sarcoma: Clinicopathologic series from the mayo clinic and review of the literature. Br J Cancer 2004; 91: 237-41
- Tse GM, Tan PH, Putti TC, Lui PC, Chaiwun B, Law BK. et al. Metaplastic carcinoma of the breast: A clinicopathological review. J Clin Pathol 2006; 59: 1079-83
- Altaf FJ, Mokhtar GA, Emam E, Bokhary RY, Mahfouz NB, Al Amoudi S. et al. Metaplastic carcinoma of the breast: An immunohistochemical study. Diagn Pathol 2014; 9: 139
PDF
Views
Share

