Primary transitional cell carcinoma of the Fallopian tube in a premenopausal woman: A case report and review of literature
CC BY-NC-ND 4.0 · Indian J Med Paediatr Oncol 2009; 30(01): 35-38
DOI: DOI: 10.4103/0971-5851.56335
Abstract
Transitional carcinomas are extremely rare in the fallopian tube. A 41-year-old premenopausal lady presented with colicky abdominal pain and was found to have a left-sided pelvic mass on examination. In view of the elevated CA-125 and imaging findings suggestive of ovarian mass, she underwent staging laparotomy. Pathological examination confirmed a primary transitional cell carcinoma of the left fallopian tube. Review of available literature suggested that the primary transitional cell carcinoma is probably less aggressive compared to classical adenocarcinoma of the fallopian tube, and it has to be distinguished from the recently recognized entity, parafallopian tube transitional cell carcinoma.
Publication History
Article published online:
19 November 2021
© 2009. Indian Society of Medical and Paediatric Oncology. This is an open access article published by Thieme under the terms of the Creative Commons Attribution-NonDerivative-NonCommercial-License, permitting copying and reproduction so long as the original work is given appropriate credit. Contents may not be used for commercial purposes, or adapted, remixed, transformed or built upon. (https://creativecommons.org/licenses/by-nc-nd/4.0/.)
Thieme Medical and Scientific Publishers Pvt. Ltd.
A-12, 2nd Floor, Sector 2, Noida-201301 UP, India
Abstract
Transitional carcinomas are extremely rare in the fallopian tube. A 41-year-old premenopausal lady presented with colicky abdominal pain and was found to have a left-sided pelvic mass on examination. In view of the elevated CA-125 and imaging findings suggestive of ovarian mass, she underwent staging laparotomy. Pathological examination confirmed a primary transitional cell carcinoma of the left fallopian tube. Review of available literature suggested that the primary transitional cell carcinoma is probably less aggressive compared to classical adenocarcinoma of the fallopian tube, and it has to be distinguished from the recently recognized entity, parafallopian tube transitional cell carcinoma.
INTRODUCTION
Primary fallopian tube carcinoma (PFTC), first described by Renaud in 1847, is the least common gynecological malignancy encountered in practice. Though histologically and clinically, fallopian tube carcinoma resembles epithelial ovarian cancer (EOC), transitional cell carcinoma of the fallopian tube is a very rare histological variant, with only around 20 cases having been reported worldwide so far.[1,2]
CASE REPORT
A 41-year-old lady presented with intermittent colicky lower abdominal pain of 1-month duration. Her menstrual cycles were regular, 2-3/28 days. She had two vaginal deliveries in the past. There was no history of breast or ovarian cancer in her family. Her bladder and bowel habits were normal.
On examination, she was of average build with good performance status. Her vitals were stable, with no pallor, edema or lymphadenopathy. Abdominal palpation showed a supra-pubic mass of 12 cm diameter, arising from the pelvis, towards the left side. The mass was of variable consistency, with restricted mobility. On vaginal examination, a left adnexal mass of about 14 cm diameter, adherent to the uterus, was felt. However, per rectal examination did not reveal any mass in the Pouch of Douglas (POD).
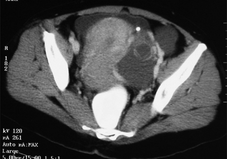
Patient was evaluated with routine blood investigations, tumor markers and imaging, including ultrasound and a CT scan of the abdomen and pelvis[Figure 1]. The investigation reports are summarized in Table 1.
| Figure 2 Contrast-enhanced CT scan showing tumor with increased vascularity in the periphery
| Investigation | Result |
|---|---|
| Hemoglobin | 13.2 g/dL |
| Random blood sugar | 125 mg/dL |
| Liver and renal functions | Normal |
| CA-125 | 1391 IU/L (normal, <35> |
| CEA | 1-88 ng/mL (normal, <3> |
| Pap smear | Normal |
| Chest X-ray | Normal |
| USG abdomen and pelvis | Left adnexal mass with solid and cystic areas |
| CT abdomen and pelvis | A mixed-density lesion of 12 cm in the left adnexal region with enhancing solid and cystic components. Tortuous enlarged vessels noted in the periphery of the lesion. Moderate ascites. Right ovary normal. Left ovary not visualized separately. Uterus bulky with no focal lesions |
| Figure 2 Mass arising from the left fallopian tube. Both ovaries appear free of disease
Intraoperative frozen section from the tumor was reported as malignant epithelial tumor. In view of this, a total abdominal hysterectomy, bilateral salpingo-oophorectomy, infra-colic omentectomy, appendicectomy, bilateral pelvic and para-aortic lymphadenectomy, along with multiple peritoneal biopsies, were performed. Final histopathologic examination showed transitional cell carcinoma of the left fallopian tube with marked desmoplastic reaction, papillary fronds and areas of necrosis and invasion of the muscular wall[Figures wall[Figures33 and and4].4]. Both ovaries and uterus were free of disease. Retroperitoneal nodes, omentum and appendix showed no evidence of metastasis. Ascitic fluid cytology was negative for malignant cells. Hence a final diagnosis of transitional cell carcinoma of left fallopian tube, FIGO stage IC, was made.
| Figure 3 Microscopy - neoplastic cells in sheets and trabeculae. Necrotic cells can also be seen, H and E, ×100
| Figure 4 Microscopy-cells arranged around a central vascular core. Many mitotic figures are also seen, H and E, ×200
Postoperatively she received 6 cycles of adjuvant chemotherapy with paclitaxel (175 mg/ m2) and Carboplatin (AUC – 6). At the time of completion of treatment, her CA-125 was 13.3 IU/L. She was disease-free after 1 year and remains to be so and is on regular follow-up since then. The latest CA-125 at the time of last follow-up was normal, and a CT scan of the abdomen and pelvis showed no evidence of disease.
DISCUSSION
Fallopian tube carcinoma is often preoperatively misdiagnosed as ovarian carcinoma. Accurate diagnosis and differentiation of PFTC from lesions that have spread from the ipsilateral ovary by direct extension or from the contralateral ovary by trans-coelomic route are important for monitoring trends in incidence, for better characterization of prognostic features and possibly for improved management. Criteria for establishing the diagnosis of primary fallopian tube carcinoma, first suggested by Hu et al., later modified by Sedlis[3] in 1978, include all of the following:
- The tumor arises from the endosalpinx.
- The histological pattern reproduces the epithelium of the tubal mucosa.
- Transition from benign to malignant epithelium is found.
- The ovaries are either normal or with tumor smaller than that of the tube.
PFTC is more commonly seen in postmenopausal women, but it is not clear whether the same is true about primary transitional carcinoma.
Patients with primary fallopian tube cancer appear to have a shorter history of symptoms compared to those with epithelial ovarian cancer (EOC). About 50% to 60% of patients present with vaginal bleeding or spotting, abdominal and/or pelvic mass; and 30% to 40% of patients present with colicky or dull abdominal pain.[4] Latzke triad of symptoms, consisting of intermittent profuse serosanguinous vaginal discharge, abdominal and/or pelvic pain, is reported in 15% of cases.
Between 0% and 23% of cases of PFTC may have abnormal cervical cytology suggestive of adenocarcinoma.[4] Pap smear was negative in the present case as well. There is an isolated case report of transitional cell carcinoma of the fallopian tube diagnosed after a total abdominal hysterectomy with salpingo-oophorectomy done for repeated Pap smear reports suggestive of squamous cell carcinoma.[1]
The reported rate of preoperative diagnosis in fallopian tube carcinoma is low. Baekelandt et al., have reported a preoperative diagnosis rate of 2%.[5] Both the USG and the CT scan could not suggest a diagnosis of PFTC in this case because the ovary on the left side was not seen separately from the adnexal mass.
In this case, a color Doppler was not done; but the CT scan finding of tortuous enlarged vessels, noted in the periphery of the mass with ascites, and the markedly elevated CA-125 level were strongly suggestive of malignancy.
The pretreatment CA-125 level is an independent prognostic factor of disease-free survival and overall survival (OS) in patients with PFTC. CA-125 is also found to be a good marker for post-treatment follow-up, similar to ovarian carcinoma.[4]
Primary adenocarcinoma constitutes more than 90% of the malignant tumors of the fallopian tube. Other less common histological types include clear cell carcinoma, squamous cell carcinoma, endometrioid carcinoma, transitional cell carcinoma, mixed carcinoma and sarcoma. Transitional cell carcinoma of the fallopian tube is a very rare histological pattern of fallopian tube carcinoma. The morphology of transitional carcinoma is similar to that of tumors of the urothelium. There is a newly recognized entity known as parafallopian tube carcinoma, where the tumor is closely attached to the extraluminal portion of the tube. It is presumed to arise from Walthard's rest, paratubal cyst or directly from the tubal serosa.[6] Hence it is important to distinguish PTCC of fallopian tube from parafallopian tube transitional cell carcinoma to identify any difference in clinical characteristics.
Surgery is the treatment of choice, as in cases of ovarian tumors. A staging laparotomy through a generous midline vertical incision is recommended, as in cases of ovarian cancer. Studies suggest that patients with PFTC have higher rates of retroperitoneal and distant nodal metastases than those with epithelial ovarian cancer.[7] Hence a systematic pelvic and para-aortic lymphadenectomy is preferred to selective lymph node sampling.
Patients with stage I disease without risk factors like involvement of the muscularis layer were reported to have 100% 5-year survival and need not be treated with adjuvant chemotherapy. In contrast, stage I with invasion of the muscularis layer or tumor in the fimbria and higher stages should receive adjuvant chemotherapy.[7,8] Adjuvant chemotherapy with a combination of carboplatin and paclitaxel, which is the gold standard of chemotherapy in epithelial ovarian cancer, is now increasingly being used in PFTC.[9] Our literature search did not reveal any report of conservative management in the form of unilateral salpingectomy or salpingo-oophorectomy for early-stage PTCC of the fallopian tube.
Uehira et al., in a study comparing transitional cell (TC)–predominant PFTC with non–TC-predominant PFTC found that TC-predominant tumors tended to relapse later (mean, 31.2 months after diagnosis) than non–TC-predominant tumors (mean, 14.4 months after diagnosis), resulting in a significant difference in the 2-year disease-free survival rate. Hence he concluded that TC pattern and non-TC pattern are considered to be worthy of distinction in PFTC.[10]
CONCLUSION
Most of our experience regarding PFTC is either extrapolation from the more common ovarian carcinoma or from isolated case series and retrospective studies over a long period of time. It appears that it tends to present earlier than EOC and has a higher incidence of lymphatic spread, necessitating routine evaluation of lymph nodes. But our knowledge of rare histological types like transitional cell carcinoma is still limited.
Footnotes
Source of Support: Nil
Conflict of Interest: None declared.
References
- Gupta N, Srinivasan R, Nijhawan R, Dhaliwal LK. Primary fallopian tube carcinoma with exfoliation of malignant cells in cervical pap smear. Cytojournal 2005;2:20.
- Chin H, Matsui H, Mitsuhashi A, Nagao K, Sekiya S. Primary transitional cell carcinoma of the fallopian tube: A case report and review of literature. Gynecol Oncol 1998;71:469-75.
- Sedlis A. Carcinoma of the fallopian tube. Surg Clin North Am 1978;58:121-9.
- Pectasides D, Pectasides E, Economopoulos T. Fallopian tube carcinoma: A review. Oncologist 2006;11:902-12.
- Baekelandt M, Kockx M, Wesling F, Gerris J. Primary adenocarcinoma of the fallopian tube. Review of literature. Int J Gynecol Cancer 1993;3:65-71
- Paner GP, Gonzalez M, Al-Masri H, Smith DM, Husain AN. Parafallopian tube transitional cell carcinoma. Gynecol Oncol 2002;86:379-83.
- Maxson WZ, Stehman FB, Ulbright TM, Sutton GP, Ehrlich CE. Primary carcinoma of the fallopian tube: Evidence for activity of cisplatin combination therapy. Gynecol Oncol 1987;26:305-13.
- Alvarado-Cabrero I, Young RH, Vamvakas EC, Scully RE. Carcinoma of the fallopian tube: A clinicopathological study of 105 cases with observations on staging and prognostic factors. Gynecol Oncol 1999;72:367-79.
- Gemignani ML, Hensley ML, Cohen R, Venkatraman E, Saigo PE, Barakat RR. Paclitaxel-based chemotherapy in carcinoma of the fallopian tube. Gynecol Oncol 2001;80:16-20.
- Uehira K, Hashimoto H, Tsuneyoshi M, Enjoji M. Transitional cell carcinoma pattern in primary carcinoma of the fallopian tube. Cancer 1993;72:2447-56.
| Figure 2 Contrast-enhanced CT scan showing tumor with increased vascularity in the periphery
| Figure 2 Mass arising from the left fallopian tube. Both ovaries appear free of disease
| Figure 3 Microscopy - neoplastic cells in sheets and trabeculae. Necrotic cells can also be seen, H and E, ×100
| Figure 4 Microscopy-cells arranged around a central vascular core. Many mitotic figures are also seen, H and E, ×200
- Gupta N, Srinivasan R, Nijhawan R, Dhaliwal LK. Primary fallopian tube carcinoma with exfoliation of malignant cells in cervical pap smear. Cytojournal 2005;2:20.
- Chin H, Matsui H, Mitsuhashi A, Nagao K, Sekiya S. Primary transitional cell carcinoma of the fallopian tube: A case report and review of literature. Gynecol Oncol 1998;71:469-75.
- Sedlis A. Carcinoma of the fallopian tube. Surg Clin North Am 1978;58:121-9.
- Pectasides D, Pectasides E, Economopoulos T. Fallopian tube carcinoma: A review. Oncologist 2006;11:902-12.
- Baekelandt M, Kockx M, Wesling F, Gerris J. Primary adenocarcinoma of the fallopian tube. Review of literature. Int J Gynecol Cancer 1993;3:65-71
- Paner GP, Gonzalez M, Al-Masri H, Smith DM, Husain AN. Parafallopian tube transitional cell carcinoma. Gynecol Oncol 2002;86:379-83.
- Maxson WZ, Stehman FB, Ulbright TM, Sutton GP, Ehrlich CE. Primary carcinoma of the fallopian tube: Evidence for activity of cisplatin combination therapy. Gynecol Oncol 1987;26:305-13.
- Alvarado-Cabrero I, Young RH, Vamvakas EC, Scully RE. Carcinoma of the fallopian tube: A clinicopathological study of 105 cases with observations on staging and prognostic factors. Gynecol Oncol 1999;72:367-79.
- Gemignani ML, Hensley ML, Cohen R, Venkatraman E, Saigo PE, Barakat RR. Paclitaxel-based chemotherapy in carcinoma of the fallopian tube. Gynecol Oncol 2001;80:16-20.
- Uehira K, Hashimoto H, Tsuneyoshi M, Enjoji M. Transitional cell carcinoma pattern in primary carcinoma of the fallopian tube. Cancer 1993;72:2447-56.
PDF
Views
Share

