Successful Usage of External Beam Radiation to Myeloma Cutaneous Lesions in Patient with Refractory, Relapsed Multiple Myeloma
CC BY-NC-ND 4.0 ? Indian J Med Paediatr Oncol 2019; 40(S 01): S136-S138
DOI: DOI: 10.4103/ijmpo.ijmpo_140_17
Abstract
Cutaneous myeloma lesions are rare. External beam radiation is effective in inducing remission in cutaneous myeloma lesions.
Publication History
Article published online:
24 May 2021
? 2019. Indian Society of Medical and Paediatric Oncology. This is an open access article published by Thieme under the terms of the Creative Commons Attribution-NonDerivative-NonCommercial-License, permitting copying and reproduction so long as the original work is given appropriate credit. Contents may not be used for commercial purposes, or adapted, remixed, transformed or built upon. (https://creativecommons.org/licenses/by-nc-nd/4.0/).
Thieme Medical and Scientific Publishers Pvt. Ltd.
A-12, 2nd Floor, Sector 2, Noida-201301 UP, India
Abstract
Cutaneous myeloma lesions are rare. External beam radiation is effective in inducing remission in cutaneous myeloma lesions.
Introduction
Direct cutaneous involvement in multiple myeloma (MM) is rare and usually associated with clinically aggressive behavior.[1] It has been associated with advanced stage, a high-tumor burden, and poor prognosis.[1] Clinically, it appears as a nodular skin lesions that involve a well-demarcated area of the skin. Here, we report the case of a 73-year-old male patient with MM who developed cutaneous lesions on the leg and was treated successfully, with radiation therapy (RT).
Case Report
In July 2013, a 73-year-old, elderly, frail male with performance status ECOG III, presented to us, postvertebroplasty. We confirmed the diagnosis of MM, Stage IIIA, based on bone marrow plasmacytosis, M spike on serum protein electrophoresis (SPE), and multiple osteolytic lesions. He had normal creatinine, calcium, and uric acid.
He was initiated on bortezomib and dexamethasone weekly induction and after 4 weeks, as he improved clinically, switched to monthly triple induction regimen (Bortezomib, Melphalan, and Prednisone). Complete remission was seen after 12 cycles of treatment, by the absence of M spike on SPE.
At this point of time, he developed symptomatic triple-vessel coronary disease and underwent five-graft coronary bypass surgery successfully in June 2014.
After he recovered completely from the surgery, he was kept on lenalidomide maintenance for another 12 months and stopped afterward.
In May 2016, relapse of myeloma was confirmed on fine-needle cytology from right clavicular swelling and reemergence of M spike on SPE. He received radiation to the clavicular lesion and was initiated on monthly bortezomib, oral cyclophosphamide, and prednisone. Clavicular lesion regressed completely, and M spike showed a partial response, after 6 months of treatment.
In December 2016, he developed multiple painless, nonpruritic, firm, variegated, purplish colored, and papulonodular lesions approximately 3?12 mm in maximum diameter forming a conglomeration of 16 cm ? 5 cm cutaneous lesions on his right anterior leg below the right knee [Figure 1]. He denied the history of allergic reactions, skin infection, inflammatory disease, or trauma to the affected region of the leg. The rest of his physical examination was within normal limits.
|?Figure. 1? The Skin lesions on the leg
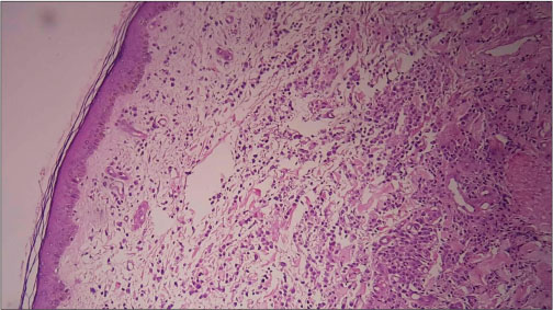
A punch biopsy of the lesion revealed myelomatous plasma cells in the dermis and deep dermis confirming cutaneous involvement [Figure 2] and [3].
|?Figure. 2? Biopsy from the lesion ?10 power
|?Figure. 3? Infiltrating plasma cells ?100
On radiological evaluation with computed tomography (CT), the underlying bone below the skin lesions was uninvolved.
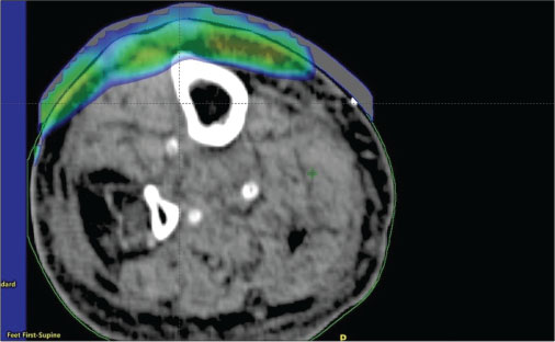
He was commenced on external beam RT (EBRT). We selected electron beam therapy as the cutaneous lesions were mostly superficial (involving the dermis and deep dermis). CT-based RT simulation was done in the supine position with left leg abducted and slightly externally rotated to keep the contralateral leg away from the electron beam. Thin axial sections CT images were acquired after intravenous contrast injection from mid-thigh to foot. Images were transferred to treatment planning system, and three-dimensional reconstruction was done. A single enface portal with 6 MeV, energy electron beam, was selected ensuring adequate coverage of the affected skin. A tissue-equivalent bolus of 5-mm thickness was also kept over the skin to deliver adequate dose to the skin lesions. Dosimetric plan evaluation with different parameters was done ensuring adequate coverage of the targets [Figure 4] and [5]. He received a total dose of 33 Gy in 11 daily fractions over 13 days. He tolerated the treatment without significant acute RT toxicity. On follow-up after 6 weeks, complete regressions of the lesions were observed without any late RT toxicity except mild hyperpigmentations over the affected area.
|?Figure. 4? Axial view
|?Figure. 5? Sagittal view
Subsequently, as pomalidomide has become available in India, he was commenced on pomalidomide 4 mg daily. He could undergo cataract surgery with intraocular lens placement without any complications.
He is doing well at the time of submission of this manuscript with well-maintained blood counts and good quality of life.
Discussion
This patient exemplifies the changing paradigm in the clinical and natural course of MM. Hitherto rare sites of involvement may get involved more frequently. This case also demonstrates that interleaving of multimodality myeloma treatments can improve the outcomes significantly, more importantly, other life-threatening comorbid diseases can be approached as in nonMM patients.
MM, which comprises of 10% of all hematological malignancies, is known to affect directly various organs such as bones, kidneys, and peripheral nerves. Involvement of skin, directly by MM is rare and known to occur in 5%?10%.[1] Although cutaneous MM has been seen at the end of natural course of the disease; rarely, it can be an initial presentation and even precede the development of MM.[2] Furthermore, a case series of eight patients showed that the prognosis of patients with cutaneous MM is poor, despite aggressive treatment, with average overall survival of 1 year.[1] This study also showed deletion of RB-1 gene may identify high-risk myeloma patients. Although trunk and abdomen are most frequent sites to get affected these lesions can affect skin anywhere in the body. They take the form of papules or nodules either cutaneous or subcutaneous nodules with an average size of 1?5 cm having a firm consistency, smooth surface, and red or violaceous color.[3] Few other patterns of skin lesions have been reported.[4] Molecular basis for skin-homing of MM has been poorly understood. Various theories have been postulated like the concept of ecotaxis which describes the migration and subsequent proliferation of circulating tumor cells into tissues with an appropriate microenvironment supporting its further growth. Others include, mutual interactions between leukemic cells expressed lymphocyte function-associated antigen 1 and vascular endothelium expressed intercellular adhesion molecule 1.[5]
RT treatment has been a proven modality in reducing the bulk of the disease as well as the pain associated with it.[6]
Our patient, an elderly, frail male with MM, in the first relapse, and with partial response to second-line treatment, developed cutaneous myeloma lesions, without underlying bone involvement. EBRT using 6Mev has been effective, in clearing them completely. Radiation plays an important, selective role in targeting MM locally and results in a prompt response; however, MM needs a systemic treatment as the main pillar. As pomalidomide has been made available in India around this time, he has been initiated and presently doing well, on pomalidomide, even underwent cataract surgery uneventfully.
Conclusion
Cutaneous involvement in MM is rare and is known to have a poor prognosis. Radiation treatment of such skin lesions is an effective modality in controlling the local disease and as well as providing good palliation. This case illustrates the successful usage of limited field electron RT treatment for metastatic cutaneous lesions of MM. Furthermore, elderly, frail MM patients can undergo major surgical interventions for other life-threatening comorbid conditions in them, such as coronary disease as in nonMM persons.
Conflict of Interest
There are no conflicts of interest.
- Reuena L, Kutzner H, Palmedo G, Calonje E, Requena C, P?rez G. et al.?Cutaneous involvement in multiplemyeloma: A clinicopathologic, immunohistochemical and cytogeneticstudy of 8 cases. Arch Dermatol 2003; 139: 475-89
- Shah A, Klimo P, Worth A.?Multiple Myeloma first observed as multiple cutaneous plasmacytoma. Arch Dermal 1982; 118: 922-4
- Patterson JW, Parsons JM, White RM, Fitzpatrick JE, Kohout-Dutz E.?Cutaneous involvement of multiple myeloma and extramedullary plasmacytoma. J Am Acad Dermatol 1988; 19: 879-90
- Behera B, Pattnaik M, Sahu B, Mohanty P, Jena S, Mohapatra L. et al.?Cutaneous manifestations of multiple myeloma. Indian J Dermatol 2016; 61: 668-71
- Tsutani H, Sugiyama T, Shimizu S, Iwasaki H, Ueda T, Ozaki K. et al.?Discordant LFA-1/ICAM-1 expression in a case of secondary plasma cell leukemia associated with subcutaneous plasmacytoma. Am J Hematol 1993; 42: 299-304
- Nguyen SK, Dagnault A.?Radiotherapy for multiple myeloma with skin involvement. Curr Oncol 2010; 17: 74-7
Address for correspondence
Publication History
Article published online:
24 May 2021
? 2019. Indian Society of Medical and Paediatric Oncology. This is an open access article published by Thieme under the terms of the Creative Commons Attribution-NonDerivative-NonCommercial-License, permitting copying and reproduction so long as the original work is given appropriate credit. Contents may not be used for commercial purposes, or adapted, remixed, transformed or built upon. (https://creativecommons.org/licenses/by-nc-nd/4.0/).
Thieme Medical and Scientific Publishers Pvt. Ltd.
A-12, 2nd Floor, Sector 2, Noida-201301 UP, India
|?Figure. 1? The Skin lesions on the leg
|?Figure. 2? Biopsy from the lesion ?10 power
|?Figure. 3? Infiltrating plasma cells ?100
|?Figure. 4? Axial view
|?Figure. 5? Sagittal view
References
- Reuena L, Kutzner H, Palmedo G, Calonje E, Requena C, P?rez G. et al.?Cutaneous involvement in multiplemyeloma: A clinicopathologic, immunohistochemical and cytogeneticstudy of 8 cases. Arch Dermatol 2003; 139: 475-89
- Shah A, Klimo P, Worth A.?Multiple Myeloma first observed as multiple cutaneous plasmacytoma. Arch Dermal 1982; 118: 922-4
- Patterson JW, Parsons JM, White RM, Fitzpatrick JE, Kohout-Dutz E.?Cutaneous involvement of multiple myeloma and extramedullary plasmacytoma. J Am Acad Dermatol 1988; 19: 879-90
- Behera B, Pattnaik M, Sahu B, Mohanty P, Jena S, Mohapatra L. et al.?Cutaneous manifestations of multiple myeloma. Indian J Dermatol 2016; 61: 668-71
- Tsutani H, Sugiyama T, Shimizu S, Iwasaki H, Ueda T, Ozaki K. et al.?Discordant LFA-1/ICAM-1 expression in a case of secondary plasma cell leukemia associated with subcutaneous plasmacytoma. Am J Hematol 1993; 42: 299-304
- Nguyen SK, Dagnault A.?Radiotherapy for multiple myeloma with skin involvement. Curr Oncol 2010; 17: 74-7
PDF
Views
Share

