A Case Report and Literature Review of Primary Central Nervous System Lymphoma in a Patient with Crigler–Najjar Syndrome: How We Managed
CC BY 4.0 · Indian J Med Paediatr Oncol 2024; 45(01): 080-082
DOI: DOI: 10.1055/s-0043-1770926
Abstract
Primary central nervous system lymphoma (PCNSL) is a rare form of CNS tumor that can be managed with curative intent using high-dose chemotherapeutic drugs. High-dose methotrexate is an essential drug for the management of PCNSL. We present a case of a 26-year-old man with a known comorbidity of Crigler–Najjar syndrome type II and a baseline bilirubin of 13.5 mg/dL, presented with somnolence and ataxia. In view of hyperbilirubinemia, the optimal treatment for CNS lymphoma, the De Angelis protocol, was modified for this patient. The patient tolerated the chemotherapy well with manageable fluctuations in bilirubin levels, followed by consolidation with whole-brain radiotherapy. He remains asymptomatic 6 months after the onset of the symptoms with the disease in complete remission. We highlight here this unusual case of PCNSL where high-dose methotrexate was used with close observation of liver function in view of hyperbilirubinemia in a known case of Crigler–Najjar syndrome.
Patient's Consent
Informed consent was obtained from all individual participants included in the study.
Publication History
Article published online:
22 September 2023
© 2023. The Author(s). This is an open access article published by Thieme under the terms of the Creative Commons Attribution License, permitting unrestricted use, distribution, and reproduction so long as the original work is properly cited. (https://creativecommons.org/licenses/by/4.0/)
Thieme Medical and Scientific Publishers Pvt. Ltd.
A-12, 2nd Floor, Sector 2, Noida-201301 UP, India
Abstract
Primary central nervous system lymphoma (PCNSL) is a rare form of CNS tumor that can be managed with curative intent using high-dose chemotherapeutic drugs. High-dose methotrexate is an essential drug for the management of PCNSL. We present a case of a 26-year-old man with a known comorbidity of Crigler–Najjar syndrome type II and a baseline bilirubin of 13.5 mg/dL, presented with somnolence and ataxia. In view of hyperbilirubinemia, the optimal treatment for CNS lymphoma, the De Angelis protocol, was modified for this patient. The patient tolerated the chemotherapy well with manageable fluctuations in bilirubin levels, followed by consolidation with whole-brain radiotherapy. He remains asymptomatic 6 months after the onset of the symptoms with the disease in complete remission. We highlight here this unusual case of PCNSL where high-dose methotrexate was used with close observation of liver function in view of hyperbilirubinemia in a known case of Crigler–Najjar syndrome.
Keywords
Crigler–Najjar syndrome - DeAngelis protocol - hyperbilirubinemia - primary CNS lymphomaIntroduction
A rare form of non-Hodgkin lymphoma, primary central nervous system lymphoma (PCNSL) is confined to the CNS. Around 90%-of PCNSLs consist of B-cell lymphomas that account for 2 to 3%-of all brain tumors and less than 1%-of all non-Hodgkin lymphomas.[1] PCNSL is a curable malignancy with a 5-year survival rate of 30%, and standard chemotherapy regimens consisting of high-dose methotrexate and high-dose cytarabine are used for its treatment.[2] Hepatic dysfunction in such patients could be detrimental, as high-dose methotrexate has been associated with a range of liver-related adverse effects that may lead to progressive fibrosis and cirrhosis.[3] Crigler–Najjar is a syndrome wherein indirect bilirubin is high with no liver dysfunction. Our present report elucidates a case of PCNSL in a known case of Crigler–Najjar syndrome with a baseline bilirubin of 13.5 mg/dL, and we highlight modifications in the treatment protocol of this curable malignancy.
Case Report
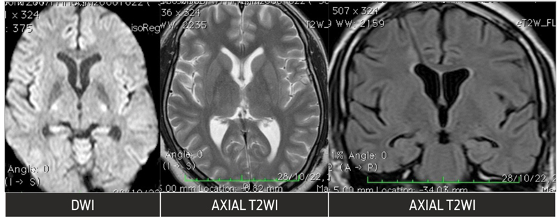
A 26-year-old man with a history of the consanguineous marriage of parents presented with somnolence, ataxia, and forgetfulness for a duration of 4 weeks, which was progressing. His medical history included a diagnosis of Crigler–Najjar syndrome, type II, and on examination icterus was present with vital signs being in the normal range. Magnetic resonance imaging (MRI) scan of the brain demonstrated a lesion in the bilateral medial thalami extending along the posterior wall of the third ventricle and proximal aqueduct of Sylvius measuring 2.7 × 1.8 × 2.5 cm with mild perilesional edema ([Fig. 1]). This was followed by an endoscopic third ventriculostomy and a biopsy of the space-occupying lesion, which was suggestive of diffuse B-cell lymphoma of the CNS. No atypical or malignant cells were detected on cerebrospinal fluid cytology. Whole-body positron emission tomography–computed tomography (PET-CT) scan was done to exclude systemic diffuse large B-cell lymphoma.
| Fig 1 :Pretreatment MRI shows mass lesion in the region of the third ventricle with involvement of bilateral thalami, with perilesional edema in the thalami showing restricted diffusion with diffuse T2, fluid-attenuated inversion recovery (FLAIR) hyperintensity, and postcontrast enhancement and dilatation of the lateral ventricles with periventricular hyperintensity.
Given his present history of Crigler–Najjar syndrome and a raised indirect bilirubin, magnetic resonance elastography was done to evaluate the status of the liver before starting the treatment for PCNSL. It demonstrated hepatomegaly with diffuse hepatic steatosis with a fat fraction of 12 to 17% (normal range: <5 xss=removed>2) at weeks 1 and 3 to begin with. After the first cycle of cytarabine, the patient's bilirubin increased to 20 mg/dL with normal direct bilirubin, SGOT, and SGPT. The bilirubin levels over the period of 2 weeks dropped to 11.5 mg/dL, and the second cycle of high-dose cytarabine was given. The patient had responded very well clinically, and further decision of continuing with high-dose methotrexate (3,500 mg/m2 at weeks 7, 9, 11, 16, 18), vincristine, and procarbazine was taken. The patient's creatinine and estimated glomerular filtration rate values before high-dose methotrexate administration were 1.09 and 147, respectively; he tolerated high-dose methotrexate well with no clinically significant deterioration of the liver function and also no added hematological toxicity was seen. Whole-brain radiotherapy (36 Gy/20 fractions) was later given as a consolidation therapy. He remains asymptomatic 6 months after the onset of the symptoms with a clinically well-responding disease and improving functional status with MRI scan suggestive of signal intensity in the right middle cerebellar peduncle without postcontrast enhancement with a new area of gliosis ([Fig. 2]).
| Figure 2:Posttreatment MRI shows complete resolution of the mass lesion in the region of the third ventricle and bilateral thalami.
Discussion
PCNSLs are unusual tumors and are recorded as 0.7 to 0.9%-of all lymphomas, with only 0.3 to 1.5%-of all intracranial tumors. These are diagnosed in immunocompromised as well as immunocompetent individuals, with a more common occurrence in men than women, in a ratio of 3:2.[4] Intracranial lesions in the brain parenchyma are the most observed imaging of PCNSL, with the common presentation of neuropsychiatric and behavior changes in 43%-of patients,[5] corroborating with the clinical presentation in the present case. The present-day treatment of PCNSL includes two phases: induction and consolidation; however, age and performance status are important prognostic factors and other details, such as comorbidity, frailty, organ function, and risk of neurotoxicity, should be considered in the selection of the better treatment.
The present case had a baseline diagnosis of Crigler–Najjar syndrome, type II, which is a rare genetic disorder, and an inborn error of bilirubin metabolism noticeable by persistent rising of unconjugated bilirubin. It is an autosomal recessive disorder, where the fundamental pathogenesis of partial mutation in the UGTA1 gene, which contains instructions for encoding liver enzyme, if characterized by type II is less severe and has good prognosis.[6] Crigler–Najjar syndrome presents with persistent jaundice and is exacerbated by intercurrent illness, stress, or drug use and the bilirubin level could go as high as 40 mg/dL.[7] Similarly, our patient presented with a bilirubin of 13.5 mg/dL and a normal direct bilirubin with subsequent rise to 20 mg/dL following the first cycle of chemotherapy; however, there was no derangement of the functional status of the liver. High-dose cytarabine has negligible hepatotoxicity and hence was chosen to begin the therapy.[8] Drugs that displace bilirubin from albumin such as penicillin,, salicylates, furosemide, sulfonamides, and ceftriaxone were avoided as they can affect bilirubin levels.[7]
High-dose methotrexate or long-term use of methotrexate leads to hepatotoxicity and hence there is significant restriction on its use in the doses desired and as a consequence is avoided in patients with hepatotoxicity[3]; however, in the present case, after hepatology consult and MRI elastography report and in view of the curable nature of the disease in a young patient, we started with high-dose methotrexate following two cycles of cytarabine as per the DeAngelis protocol (intravenous methotrexate, leucovorin, vincristine, procarbazine, dexamethasone, intrathecal methotrexate), and the patient tolerated chemotherapy well and was able to complete the whole course of treatment with significant clinical and radiological improvement and without any significant hepatotoxicity or hematological toxicity. The patient was later consolidated with whole-brain radiotherapy and now continues to stay in complete remission. There is paucity of data for the use of high-dose methotrexate in patients with Crigler–Najjar syndrome and hence this experience can help in taking the treatment decisions in such challenging clinical scenarios. However, the limitation of this study is that it is a single case–based report and not a case series. The major outcome is we could give all the drugs safely. Furthermore case series and research would help in future to establish the benefit of using high-dose methotrexate in patients with Crigler–Najjar syndrome.
onclusion
PCNSL is a curable malignancy and hence completing treatment especially in younger patients is imperative. Comorbidities such as Crigler–Najjar syndrome with hyperbilirubinemia can affect the treatment decisions in view of dearth of data on the use of high-dose chemotherapy in such patients. Based on the current case, we suggest the use of standard chemotherapeutic drugs for PCNSL in Crigler–Najjar syndrome is safe; however, it requires close observation on liver function and involvement of a multidisciplinary team.
Conflicts of Interest
None declared.
Patient's Consent
Informed consent was obtained from all individual participants included in the study.
References
- Zeng X, Lu X, Li X, Peng L, Chen L. A case report of primary central nervous system lymphoma. J Int Med Res 2020; 48 (07) 300060520937839
- Green K, Hogg JP. Central Nervous System Lymphoma. StatPearls Publishing; 2022. Accessed December 5, 2022 at: https://www.ncbi.nlm.nih.gov/books/NBK545145/
- Kumari S. Methotrexate induced hepatotoxicity and its management. Int J Sci Res 2013; 5 (09) 1477-1481
- Sasani M, Bayhan M, Sasani H. et al. Primary central nervous system lymphoma presenting as a pure third ventricular lesion: a case report. J Med Case Reports 2011; 5 (01) 213
- Song KW, Issa S, Batchelor T. Primary central nervous system lymphoma: epidemiology and clinical presentation. Ann Lymphoma 2021; 5: 16
- Rahman MA, Islam MSU, Tasnim N. Crigler Najjar syndrome type 2: a case of unexplained jaundice in an adult. Faridpur Med Coll J 2020; 15 (01) 43-45
- Kumar P, Sasmal G, Gupta S, Saxena R, Kohli S. Crigler Najjar syndrome type 2 (CNS type 2): an unwonted cause of jaundice in adults. J Clin Diagn Res 2017; 11 (07) OD05-OD06
- Barker JA, Marini BL, Bixby D, Perissinotti AJ. Successful use of high-dose cytarabine in a patient with acute myeloid leukemia and severe hepatic dysfunction. J Oncol Pharm Pract 2016; 22 (06) 811-815
Address for correspondence
Publication History
Article published online:
22 September 2023
© 2023. The Author(s). This is an open access article published by Thieme under the terms of the Creative Commons Attribution License, permitting unrestricted use, distribution, and reproduction so long as the original work is properly cited. (https://creativecommons.org/licenses/by/4.0/)
Thieme Medical and Scientific Publishers Pvt. Ltd.
A-12, 2nd Floor, Sector 2, Noida-201301 UP, India
| Fig 1 :Pretreatment MRI shows mass lesion in the region of the third ventricle with involvement of bilateral thalami, with perilesional edema in the thalami showing restricted diffusion with diffuse T2, fluid-attenuated inversion recovery (FLAIR) hyperintensity, and postcontrast enhancement and dilatation of the lateral ventricles with periventricular hyperintensity.
| Figure 2:Posttreatment MRI shows complete resolution of the mass lesion in the region of the third ventricle and bilateral thalami.
References
- Zeng X, Lu X, Li X, Peng L, Chen L. A case report of primary central nervous system lymphoma. J Int Med Res 2020; 48 (07) 300060520937839
- Green K, Hogg JP. Central Nervous System Lymphoma. StatPearls Publishing; 2022. Accessed December 5, 2022 at: https://www.ncbi.nlm.nih.gov/books/NBK545145/
- Kumari S. Methotrexate induced hepatotoxicity and its management. Int J Sci Res 2013; 5 (09) 1477-1481
- Sasani M, Bayhan M, Sasani H. et al. Primary central nervous system lymphoma presenting as a pure third ventricular lesion: a case report. J Med Case Reports 2011; 5 (01) 213
- Song KW, Issa S, Batchelor T. Primary central nervous system lymphoma: epidemiology and clinical presentation. Ann Lymphoma 2021; 5: 16
- Rahman MA, Islam MSU, Tasnim N. Crigler Najjar syndrome type 2: a case of unexplained jaundice in an adult. Faridpur Med Coll J 2020; 15 (01) 43-45
- Kumar P, Sasmal G, Gupta S, Saxena R, Kohli S. Crigler Najjar syndrome type 2 (CNS type 2): an unwonted cause of jaundice in adults. J Clin Diagn Res 2017; 11 (07) OD05-OD06
- Barker JA, Marini BL, Bixby D, Perissinotti AJ. Successful use of high-dose cytarabine in a patient with acute myeloid leukemia and severe hepatic dysfunction. J Oncol Pharm Pract 2016; 22 (06) 811-815
PDF
Views
Share

