A Man with Headache
CC BY-NC-ND 4.0 · Indian J Med Paediatr Oncol 2019; 40(02): 282
DOI: DOI: 10.4103/ijmpo.ijmpo_169_19
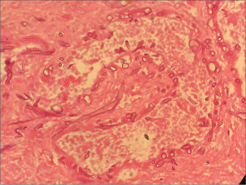
A 49-year-old male presented with intermittent headache and fever. He is a diagnosed case of acute myeloid leukemia posthaploidentical allogenic stem cell transplantation with graft-versus-host disease, cytomegalovirus infection, and pancytopenia secondary to gancyclovir and ruxolitinib. There was tenderness over right maxillary, frontal, and ethmoidal regions. Magnetic resonance imaging showed enhancing soft tissue thickening along medial wall of right orbit with thinning of medial wall of right orbit and right cribriform plate. Black crust was found in nasal cavity and sinuses.
[Figure 1] shows hematoxylin and eosin-stained section of the crust with ×100 magnification.
| Figure 1 Histology H and E stain
Supplementary Material
Publication History
Article published online:
03 June 2021
© 2019. Indian Society of Medical and Paediatric Oncology. This is an open access article published by Thieme under the terms of the Creative Commons Attribution-NonDerivative-NonCommercial-License, permitting copying and reproduction so long as the original work is given appropriate credit. Contents may not be used for commercial purposes, or adapted, remixed, transformed or built upon. (https://creativecommons.org/licenses/by-nc-nd/4.0/).
Thieme Medical and Scientific Publishers Pvt. Ltd.
A-12, 2nd Floor, Sector 2, Noida-201301 UP, India
A 49-year-old male presented with intermittent headache and fever. He is a diagnosed case of acute myeloid leukemia posthaploidentical allogenic stem cell transplantation with graft-versus-host disease, cytomegalovirus infection, and pancytopenia secondary to gancyclovir and ruxolitinib. There was tenderness over right maxillary, frontal, and ethmoidal regions. Magnetic resonance imaging showed enhancing soft tissue thickening along medial wall of right orbit with thinning of medial wall of right orbit and right cribriform plate. Black crust was found in nasal cavity and sinuses.
[Figure 1] shows hematoxylin and eosin-stained section of the crust with ×100 magnification.
| Figure 1 Histology H and E stain
Supplementary Material
What is the Diagnosis?
Answer
For answer to the above question, please refer to [page no. 317].
Conflict of Interest
There are no conflicts of interest.
Publication History
Article published online:
03 June 2021
© 2019. Indian Society of Medical and Paediatric Oncology. This is an open access article published by Thieme under the terms of the Creative Commons Attribution-NonDerivative-NonCommercial-License, permitting copying and reproduction so long as the original work is given appropriate credit. Contents may not be used for commercial purposes, or adapted, remixed, transformed or built upon. (https://creativecommons.org/licenses/by-nc-nd/4.0/).
Thieme Medical and Scientific Publishers Pvt. Ltd.
A-12, 2nd Floor, Sector 2, Noida-201301 UP, India
| Figure 1 Histology H and E stain
PDF
Views
Share

