Acinic Cell Carcinoma of Parotid Gland Presenting as Disseminated Cutaneous and Subcutaneous Metastasis after 20 Years of Initial Presentation
CC BY-NC-ND 4.0 ? Indian J Med Paediatr Oncol 2019; 40(S 01): S126-S129
DOI: DOI: 10.4103/ijmpo.ijmpo_167_17
Abstract
Acinic cell carcinoma (ACC) is an uncommon variety of salivary gland neoplasms, constituting about 17% of all salivary gland malignancies. Although ACC is a low-grade tumor, approximately 35% of patients experience recurrence and 16% have distant metastasis, often decades after the initial presentation. We report a rare case of disseminated metastatic ACC in skin and subcutaneous tissue in a 50-year-old male, with a history of surgery in parotid region 20 years back. After thorough search of literature, this is the second case being reported, to the best of our knowledge.
Publication History
Article published online:
24 May 2021
? 2019. Indian Society of Medical and Paediatric Oncology. This is an open access article published by Thieme under the terms of the Creative Commons Attribution-NonDerivative-NonCommercial-License, permitting copying and reproduction so long as the original work is given appropriate credit. Contents may not be used for commercial purposes, or adapted, remixed, transformed or built upon. (https://creativecommons.org/licenses/by-nc-nd/4.0/).
Thieme Medical and Scientific Publishers Pvt. Ltd.
A-12, 2nd Floor, Sector 2, Noida-201301 UP, India
Abstract
Acinic cell carcinoma (ACC) is an uncommon variety of salivary gland neoplasms, constituting about 17% of all salivary gland malignancies. Although ACC is a low-grade tumor, approximately 35% of patients experience recurrence and 16% have distant metastasis, often decades after the initial presentation. We report a rare case of disseminated metastatic ACC in skin and subcutaneous tissue in a 50-year-old male, with a history of surgery in parotid region 20 years back. After thorough search of literature, this is the second case being reported, to the best of our knowledge.
Introduction
Acinic cell carcinoma (ACC) is a low-grade malignant neoplasm of the salivary gland that constitutes approximately 17% of all primary salivary gland malignancies, parotid gland being the most common site (80%).[1] [2] It affects a large population in the second to seventh decade of life, with a slight female preponderance. Despite being a low grade and slow growing malignancy, a recurrence rate of 35% is reported. Distant metastasis of 16% has been reported, often many years after the initial presentation. We report, here, a case of widespread cutaneous and subcutaneous metastatic ACC of the parotid gland, occurring 20 years after the primary resection.
Case Report
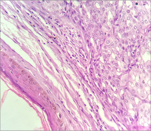
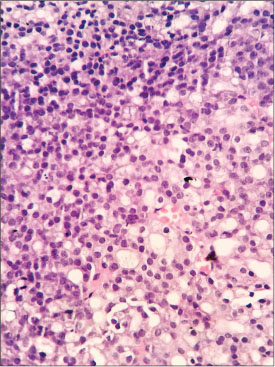
A 50-year-old male presented with two rapidly enlarging tender nodules on the scalp and distal finger of the hand. On physical examination, they were crusted erythematous nodules with focal areas of alopecia on the scalp. Multiple other cutaneous and subcutaneous nodules were evident on the right and left hand and left foot and calf. [Figure 1], [2], [3], [4] show the cutaneous nodules on scalp, both hands, and left foot and calf on further examination of the patient. Core biopsies of the scalp and hand nodules were sent for histopathological examination (HPE). Hematoxylin and eosin (H and E) stained sections showed tumor cells arranged in a lobular, microcystic, and acinar pattern. [Figure 5] and [6] show the low power and high power view (?10 and ?40, respectively), of round to polygonal tumor cells with basophilic granular to clear cytoplasm, and hyperchromatic nucleus and an inconspicuous to single nucleoli. Acini were comprised of cuboidal cells with clear to vacuolated cytoplasm showing PAS-positive cytoplasmic granules and pleomorphic, hyperchromatic nuclei with frequent atypical mitosis. A diagnosis of low-grade metastatic carcinoma was offered. The primary sites under consideration were the salivary gland, kidney, GIT, and the thyroid gland. Immunohistochemistry (IHC) revealed positive staining for AE1/AE3 [Figure 7], CK7, and DOG1 [Figure 8] and were negative for CK20, vimentin [Figure 9], p63, CDX2, CEA, TTF, PAX8, and S100. PAX8-negative immunostaining ruled out thyroid and renal origin of the metastatic tumor. CK7 positivity and CK20 negativity favored salivary gland origin. p63-negative staining ruled out myoepithelial salivary gland tumor. Further, DOG1 membranous and cytoplasmic positivity and P63 negativity favored ACC. The patient was reexamined clinically after the pathological diagnosis, and a preauricular scar was noted on the patient?s face, confirming a prior parotid surgery 20 years back. Thus, with a history of a previous surgery in the parotid region, HPE and IHC, a diagnosis of metastatic ACC was offered.
|?Figure. 1? Cutaneous nodule on the scalp
|?Figure. 2? Nodules on both hands
|?Figure. 3? Cutaneous nodule on foot
|?Figure. 4? Cutaneous nodule on the calf
|?Figure. 5? Low power (?10) view of hematoxylin- and eosin-stained section of round to polygonal tumor cells with basophilic granular cytoplasm with hyperchromatic nucleus and inconspicuous single nucleoli
|?Figure. 6? 40X view of Haematoxylin & Eosin stained section showing nests of tumor cells beneath the epidermis of skin
|?Figure. 7? AE1 positivity
|?Figure. 8? DOG1 positivity
|?Figure. 9? Vimentin negativity
Discussion
ACC is an uncommon salivary gland tumor. Among the salivary glands, parotid gland is most commonly affected. A single case report with widespread cutaneous metastasis has been reported.[3] In spite of being a low-grade malignant tumor, ACC has a propensity for late recurrence and metastasis, often many years after initial presentation. Most common sites of metastasis are the lungs, brain, and lymph nodes.[4] Case reports of isolated concurrent cutaneous involvement have been reported.[5] [6] Miki?et al. have suggested a minimum 10-year follow-up for patients with ACC in view of its propensity for late recurrences.[7] According to the World Health Organization classification, ACC is a malignant epithelial neoplasm of the salivary gland in which, at least some of the neoplastic cells demonstrate serous acinar cell differentiation, characterized by cytoplasmic zymogen secretory granules. Histomorphologically, ACC can display various growth patterns such as solid, microcystic, papillary, cystic, follicular, or various combinations of the above. Tumor cells in ACC usually resemble the serous acinar cells which are round to polygonal. The cytoplasm is fine or coarsely granular or may be clear. Cytoplasmic zymogen granules are the key to diagnosis which are positive to special stains such as PAS. Nucleus is eccentric with inconspicuous nucleoli. IHC shows focal positive or negative CK7 staining. Recent studies show that DOG1 is a promising marker in the diagnosis of ACC. DOG1 positivity and p63 negativity show 93%?100% sensitivity in the diagnosis of ACC.[8] [9]
Conclusion
Possibility of metastasis from ACC should be considered in differential diagnosis of new cutaneous nodules in a patient with a history of salivary gland neoplasm. Combination of HPE and IHC can lead to the confirmation of the diagnosis. Although it is a low-grade and slow-growing tumor, it can present with disseminated cutaneous metastasis, even after decades of the primary presentation. Hence, it requires very long-term follow-ups as early diagnosis can lead to prompt investigations and early interventions.
Declaration of patient consent
The authors certify that they have obtained all appropriate patient consent forms. In the form the patient(s) has/have given his/her/their consent for his/her/their images and other clinical information to be reported in the journal. The patients understand that their names and initials will not be published and due efforts will be made to conceal their identity, but anonymity cannot be guaranteed.
Conflict of Interest
There are no conflicts of interest.
References
- Al-Zaher N, Obeid A, Al-Salam S, Al-Kayyali BS.?Acinic cell carcinoma of the salivary glands: A literature review. Hematol Oncol Stem Cell Ther 2009; 2: 259-64
- Barnes L, Eveson JW, Reichart P, Sidransky D.?Pathology and Genetics of Head and Neck Tumours. World health organization classification of tumours. 3rd edition. 2005: 216-9
- Varsegi MF, Ravis SM, Hattab EM, Henley JD, Billings SD.?Widespread cutaneous metastases from acinic cell carcinoma 20 years after primary presentation. J Cutan Pathol 2008; 35: 591-3
- Perzin KH, Livolsi VA.?Acinic cell carcinoma arising in ectopic salivary gland tissue. Cancer 1980; 45: 967-72
- Whang SW, Chang SN, Park WH, Kim SC.?A case of acinic cell adenocarcinoma on the left hemifacial area. J Dermatol 2000; 27: 788-93
- Platt AJ, Wilson GR, Piggot TA.?Acinic cell carcinoma of the parotid in a child presenting as a pre-auricular cyst. Br J Hosp Med 1995; 54: 529-30
- Miki H, Masuda E, Ohata S, Komaki K, Hirokawa M, Uehara H. et al.?Late recurrence of acinic cell carcinoma of the parotid gland. J Med Invest 1999; 46: 213-6
- Zhu S, Schuerch C, Hunt J.?Review and updates of immunohistochemistry in selected salivary gland and head and neck tumors. Arch Pathol Lab Med 2015; 139: 55-66
- Abd Raboh NM, Hakim SA.?Diagnostic role of DOG1 and p63 immunohistochemistry in salivary gland carcinomas. Int J Clin Exp Pathol 2015; 8: 9214-22
Address for correspondence
Publication History
Article published online:
24 May 2021
? 2019. Indian Society of Medical and Paediatric Oncology. This is an open access article published by Thieme under the terms of the Creative Commons Attribution-NonDerivative-NonCommercial-License, permitting copying and reproduction so long as the original work is given appropriate credit. Contents may not be used for commercial purposes, or adapted, remixed, transformed or built upon. (https://creativecommons.org/licenses/by-nc-nd/4.0/).
Thieme Medical and Scientific Publishers Pvt. Ltd.
A-12, 2nd Floor, Sector 2, Noida-201301 UP, India
|?Figure. 1? Cutaneous nodule on the scalp
|?Figure. 2? Nodules on both hands
|?Figure. 3? Cutaneous nodule on foot
|?Figure. 4? Cutaneous nodule on the calf
|?Figure. 5? Low power (?10) view of hematoxylin- and eosin-stained section of round to polygonal tumor cells with basophilic granular cytoplasm with hyperchromatic nucleus and inconspicuous single nucleoli
|?Figure. 6? 40X view of Haematoxylin & Eosin stained section showing nests of tumor cells beneath the epidermis of skin
|?Figure. 7? AE1 positivity
|?Figure. 8? DOG1 positivity
|?Figure. 9? Vimentin negativity
References
- Al-Zaher N, Obeid A, Al-Salam S, Al-Kayyali BS.?Acinic cell carcinoma of the salivary glands: A literature review. Hematol Oncol Stem Cell Ther 2009; 2: 259-64
- Barnes L, Eveson JW, Reichart P, Sidransky D.?Pathology and Genetics of Head and Neck Tumours. World health organization classification of tumours. 3rd edition. 2005: 216-9
- Varsegi MF, Ravis SM, Hattab EM, Henley JD, Billings SD.?Widespread cutaneous metastases from acinic cell carcinoma 20 years after primary presentation. J Cutan Pathol 2008; 35: 591-3
- Perzin KH, Livolsi VA.?Acinic cell carcinoma arising in ectopic salivary gland tissue. Cancer 1980; 45: 967-72
- Whang SW, Chang SN, Park WH, Kim SC.?A case of acinic cell adenocarcinoma on the left hemifacial area. J Dermatol 2000; 27: 788-93
- Platt AJ, Wilson GR, Piggot TA.?Acinic cell carcinoma of the parotid in a child presenting as a pre-auricular cyst. Br J Hosp Med 1995; 54: 529-30
- Miki H, Masuda E, Ohata S, Komaki K, Hirokawa M, Uehara H. et al.?Late recurrence of acinic cell carcinoma of the parotid gland. J Med Invest 1999; 46: 213-6
- Zhu S, Schuerch C, Hunt J.?Review and updates of immunohistochemistry in selected salivary gland and head and neck tumors. Arch Pathol Lab Med 2015; 139: 55-66
- Abd Raboh NM, Hakim SA.?Diagnostic role of DOG1 and p63 immunohistochemistry in salivary gland carcinomas. Int J Clin Exp Pathol 2015; 8: 9214-22
PDF
Views
Share

