Acute Appendicitis in Children with Hematological Malignancies: The Need for Early Diagnosis and Prompt Treatment—A Single-Center Case Series
CC BY 4.0 · Indian J Med Paediatr Oncol 2024; 45(05): 402-409
DOI: DOI: 10.1055/s-0044-1786679
Abstract
Introduction Appendicitis in patients with hematological malignancies presents with vague symptoms, thus requiring a high degree of suspicion for early diagnosis and treatment to prevent complications.
Objectives The aim of this article was to describe the demographic, clinicoradiological, operative findings, and outcomes in patients with acute appendicitis with underlying hematological malignancies.
Materials and Methods A retrospective review of pediatric patients with hematological malignancy who developed acute appendicitis was conducted. Medical records of patients were reviewed for patient demographics, disease status, signs, and symptoms at the time of diagnosis of acute appendicitis, and outcome. The laboratory, radiological, and histological findings were retrieved from the hospital records.
Results Six (2.4%) patients developed acute appendicitis over the past 8 years among a total of 254 patients treated for hematological malignancies in the unit. Five patients had underlying acute lymphoblastic leukemia (ALL) and one had acute myeloid leukemia (AML). Of the five patients, three were in postremission consolidation, one each in the delayed intensification and maintenance phase of chemotherapy. The child with AML was on induction chemotherapy for the first relapse at the time of diagnosis. Fever and abdominal pain were the common presenting symptoms. Diagnosis was made on ultrasound abdomen in five patients, and one patient was diagnosed on computed tomography. All patients underwent open appendectomy. Two patients had evidence of appendiceal perforation. Three patients had neutropenia at the time of developing appendicitis and underwent appendectomy regardless of the absolute neutrophil count (ANC). Five patients recovered well, and chemotherapy was restarted within 2 weeks of appendectomy. One patient developed a superficial surgical site infection. and one patient with relapsed AML expired due to refractory septic shock.
Conclusion Acute appendicitis in patients with hematological malignancies can present with subtle signs and symptoms. Appendectomy can be safely performed irrespective of the ANC.
Keywords
acute appendicitis - hematological malignancies - neutropenia
Ethical Statement
Ethics approval has been obtained with their letter number DMCH/IEC/2023/216 dated 18/7/2023. All procedures performed in studies involving human participants were in accordance with the ethical standards of the institutional and/or national research committee and with the 1964 Helsinki Declaration and its later amendments or comparable ethical standards mentioned in the Helsinki Declaration.
Authors' Contributions
S.K., S.B., and A.G. conceptualized the study. S.K., S.B., A.G., and A.J. designed the study. S.K., S.B., A.G., A.J., C.K., and A.G. contributed to definition of intellectual content. A.G., C.K., E.J., A.J., and N.K. helped in literature search. S.K., S.B., A.G., A.J., A.G., C.K., E.J., An.J., and N.K. were involved in clinical studies and manuscript review. E.J., An.J., and N.K. were involved in data acquisition, data analysis, statistical analysis, and manuscript editing. A.G., E.J., An.J., and N.K. contributed to manuscript preparation.
Patient's/Guardian's Consent
Not applicable.
Source of Support
None.
Publication History
Article published online:
24 May 2024
© 2024. The Author(s). This is an open access article published by Thieme under the terms of the Creative Commons Attribution License, permitting unrestricted use, distribution, and reproduction so long as the original work is properly cited. (https://creativecommons.org/licenses/by/4.0/)
Thieme Medical and Scientific Publishers Pvt. Ltd.
A-12, 2nd Floor, Sector 2, Noida-201301 UP, India
We recommend
Advancements in the Diagnosis of Acute Appendicitis in Children and Adolescents
E. Blab, Aktuelle Traumatologie, 2004
Advancements in the Diagnosis of Acute Appendicitis in Children and Adolescents
E. Blab, European Journal of Pediatric Surgery-1, 2004
Advancements in the Diagnosis of Acute Appendicitis in Children and Adolescents
E. Blab, European Journal of Pediatric Surgery, 2004
Relative Value of Clinical, Laboratory and Imaging Tools in Diagnosing Pediatric Acute Appendicitis
I. Gendel, European Journal of Pediatric Surgery-1, 2011
Relative Value of Clinical, Laboratory and Imaging Tools in Diagnosing Pediatric Acute Appendicitis
I. Gendel, European Journal of Pediatric Surgery, 2011
Was It Something I Ate?
Maytal Firnberg, Oxford Academic Books-4, 2020
Appendicitis in children with acute abdominal pain in primary care, a retrospective cohort study
Guus C G H Blok, Family Practice, 2021
Acute appendicitis
Bian Wu, Oxford Academic Books-4, 2021
Evaluating Pediatric Appendicitis Score and Alvarado Scoring System for Detecting Acute Appendicitis in Pediatric Population
Eid Ali, QJM: An International Journal of Medicine, 2024
Some Observations on Acute Appendicitis
Cameron MacLeod, Postgraduate Medical Journal, 1937
Abstract
Introduction Appendicitis in patients with hematological malignancies presents with vague symptoms, thus requiring a high degree of suspicion for early diagnosis and treatment to prevent complications.
Objectives The aim of this article was to describe the demographic, clinicoradiological, operative findings, and outcomes in patients with acute appendicitis with underlying hematological malignancies.
Materials and Methods A retrospective review of pediatric patients with hematological malignancy who developed acute appendicitis was conducted. Medical records of patients were reviewed for patient demographics, disease status, signs, and symptoms at the time of diagnosis of acute appendicitis, and outcome. The laboratory, radiological, and histological findings were retrieved from the hospital records.
Results Six (2.4%) patients developed acute appendicitis over the past 8 years among a total of 254 patients treated for hematological malignancies in the unit. Five patients had underlying acute lymphoblastic leukemia (ALL) and one had acute myeloid leukemia (AML). Of the five patients, three were in postremission consolidation, one each in the delayed intensification and maintenance phase of chemotherapy. The child with AML was on induction chemotherapy for the first relapse at the time of diagnosis. Fever and abdominal pain were the common presenting symptoms. Diagnosis was made on ultrasound abdomen in five patients, and one patient was diagnosed on computed tomography. All patients underwent open appendectomy. Two patients had evidence of appendiceal perforation. Three patients had neutropenia at the time of developing appendicitis and underwent appendectomy regardless of the absolute neutrophil count (ANC). Five patients recovered well, and chemotherapy was restarted within 2 weeks of appendectomy. One patient developed a superficial surgical site infection. and one patient with relapsed AML expired due to refractory septic shock.
Conclusion Acute appendicitis in patients with hematological malignancies can present with subtle signs and symptoms. Appendectomy can be safely performed irrespective of the ANC.
Keywords
acute appendicitis - hematological malignancies - neutropenia
Introduction
The gastrointestinal tract is one of the most common sources of infective complications in children with hematological malignancies, with a specific predilection to the ileocecal region. Acute appendicitis is the most common surgical emergency in children with a lifetime cumulative incidence rate of 9%- in the general population. Younger children are at an increased risk of complicated appendicitis.[1] [2] The reported incidence of appendicitis is as low as 0.5%- in children with leukemia and most children present with vague abdominal signs requiring a high index of suspicion for early diagnosis and treatment. The presence of neutropenia and/or thrombocytopenia, along with underlying disease conditions, has led to controversy over whether to opt for medical or surgical management in these patients.[3] [4] Here we present the data of six children with underlying hematological malignancy managed for acute appendicitis at our center.
Materials and Methods
Study Design
A retrospective observational study was conducted in the Pediatric Hematology Oncology unit of the Department of Pediatrics, Dayanand Medical College and Hospital, Ludhiana.
Sample Size
All pediatric patients undergoing treatment for a hematological malignancy who developed acute appendicitis from August 2014 to December 2022 were included in the study. The data regarding the patient's age, gender, anthropometry, underlying disease status, signs and symptoms, laboratory, radiological, and histopathological data, treatment modalities, and outcomes at the time of development of acute appendicitis were retrieved from the hospital records. The diagnosis of acute appendicitis was made radiologically on an ultrasound (US) or computed tomography (CT) scan in the presence of blind-ending incompressible tubular structure in the right lower quadrant with an overall diameter of more than 6 mm and raised echogenicity of surrounding mesenteric fat.[5] It may or may not be associated with free fluid or abscess in the abdominal cavity.
The patients with ALL are treated as ALL-BFM 1995 protocol and patients with acute myeloid leukemia (AML) receive one to two courses of (7 + 3) induction followed by three courses of high-dose cytarabine.[6] [7]
Inclusion and Exclusion Criteria
All patients less than 18 years of age who developed acute appendicitis while on treatment for an underlying hematological malignancy were included in the study. Nonavailability of data/incomplete data regarding any of the studied variables was considered an exclusion criterion.
Primary and Secondary Outcomes
Primary Outcome
Outcome of patients with hematological malignancies who developed acute appendicitis.
Secondary
A) To describe clinical, laboratory, and radiological findings.
B) To describe the operative findings.
C) The time taken to start oral feed/duration of hospital stay.
D) The time taken to reinitiate chemotherapy.
Statistical Analysis
The data collected was tabulated in Excel sheets and statistical analysis was performed using descriptive methods. Data were described in terms of range; mean ± standard deviation (±standard deviation), frequencies (number of cases), and relative frequencies (percentages) as appropriate.
|
Patient no. |
1 |
2 |
3 |
4 |
5 |
6 |
|
Age in years |
9 |
4 |
15 |
7 |
8 |
7 |
|
Gender |
Male |
Male |
Male |
Male |
Male |
Male |
|
Weight (kg) and Z score as per CDC weight for age. |
25 (−0.9) |
17 (0.34) |
30 (−4.33) |
23 (−0.05) |
25 (−0.19) |
19.7 (−1.22) |
|
Height (cm) and Z score as per CDC height for age. |
128 (−0.9) |
107 (1.1) |
157 (−1.6) |
121 (−0.2) |
125 (−0.5) |
115 (−1.3) |
|
Diagnosis |
Pre-B ALL |
Pre-B ALL |
Pre-B ALL |
Pre-B ALL |
Pre-B ALL |
Relapsed AML |
|
Disease status |
Remission |
Remission |
Remission |
Remission |
Remission |
Relapse |
|
Phase of treatment |
Delayed intensification |
Consolidation |
Consolidation |
Consolidation |
Maintenance |
Reinduction |
|
Duration of symptoms before surgery (days) |
2 |
2 |
2 |
18 |
7 |
7 |
|
ANC at admission (cells/µL) |
1,278 |
1,239 |
456 |
7,040 |
140 |
10 |
|
ANC at surgery(cells/µL) |
4,268 |
2,059 |
540 |
7,921 |
480 |
10 |
|
Platelet count at admission (cells/µL) |
4,00,000 |
1,10,000 |
2,04,000 |
3,21,000 |
15,000 |
15,000 |
|
Platelet count at surgery (cells/µL) |
1,17,000 |
2,28,000 |
1,50,000 |
7,19,000 |
31,000 |
11,000 |
|
Hemoglobin at admission (g/dL) |
11.6 |
8.6 |
7.6 |
9.7 |
8.2 |
8.7 |
|
Hemoglobin at surgery (g/dL) |
7.9 |
8.7 |
9.3 |
8.1 |
9.6 |
9.7 |
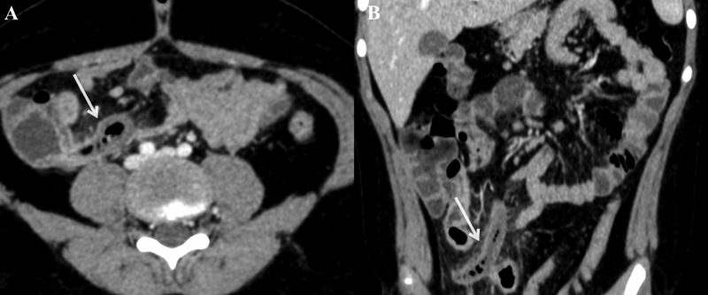
Fig. 1 (A, B)Axial and coronal postcontrast images showing a dilated appendix (arrow) in the right iliac fossa with significant peri-appendiceal fat stranding in keeping with acute appendicitis.
Five patients recovered well and were started on an oral diet at a mean duration of 35 hours after surgery (range: 24–48 hours). Chemotherapy was restarted after a mean duration of 11.2 days (4–17 days) from the onset of symptoms. Patients were discharged after a mean postoperative stay of 7 days (range: 5–10 days). One patient had a delay in diagnosis due to inconclusive US findings. The patient had persistent fever with neutropenia on day 4 of admission; hence, antibiotics were upgraded, and antifungal therapy was added empirically as per the institutional policy. A CT scan conducted on day 5 due to clinical worsening and development of abdominal distension revealed the presence of appendicular perforation, which necessitated surgical intervention. The patient developed features of septic shock on postoperative day 4 requiring inotropic (norepinephrine and dobutamine infusion) support and died on postoperative day 8 due to refractory septic shock ([Table 2]). All six patients had histology-proven appendicitis with no specimen showing leukemic infiltration on hematoxylin-eosin staining and immunohistochemistry ([Fig. 2]).
|
Patient no. |
Radiological findings |
Operative findings |
HPE findings |
Time taken to initiate oral soft diet (days) |
Time taken to restart chemotherapy (days) |
Postoperative hospital stay (days) |
Outcome |
Perioperative complications |
|---|---|---|---|---|---|---|---|---|
|
1 |
Dilated inflamed appendix (caliber 7 mm) |
Retrocecal inflamed appendix |
Acute appendicitis |
1 |
17 |
4 |
Recovered |
None |
|
2 |
Inflamed edematous appendix (12 mm) Raised peri-appendiceal echogenicity |
Retrocecal inflamed appendix |
Acute appendicitis |
1 |
10 |
6 |
Recovered |
None |
|
3 |
Inflamed edematous appendix (6.7 mm) Raised peri-appendiceal echogenicity (subhepatic location) |
Retrocecal inflamed appendix with the tip in subhepatic region |
Acute appendicitis |
2 |
14 |
6 |
Recovered |
Superficial surgical site |
|
4 |
Dilated appendix with peri-appendiceal collection (4.7 × 6.6 cm)[b] |
Retrocecal appendix with sloughed-off tip Densely adherent omentum in right iliac fossa & pelvis |
Acute suppurative appendicitis |
2 |
10 |
10 |
Recovered |
None |
|
5 |
Inflamed edematous appendix (10 mm) raised peri-appendiceal echogenicity |
5 cm long appendix, retrocecal in location Distal ⅔ inflamed and edematous |
Acute appendicitis |
1 |
7 |
5 |
Recovered |
None |
|
6 |
No signs of inflammation on US[c] |
Inflamed retrocecal appendix wrapped in the omentum Inflamed ileocecal junction |
Acute gangrenous appendicitis |
Not started |
Not started |
8 |
Expired |
Septic shock |
Fig. 2Histopathological examination of the surgical specimen. (A, B) Scanner view showing mucosal ulceration (black arrow) with transmural infiltration by neutrophils along with serosal congestion in two different areas shown with normal mucosa (orange arrowhead; hematoxylin and eosin [H&E] 40X). (C) Low power view showing ulceration of mucosa (black arrow; H&E 100X). (D) High-power view showing the presence of neutrophils (black arrow) in muscularis propria of appendix (H&E 400X).
Discussion
Acute appendicitis is a rare gastrointestinal complication in children being treated for hematological cancers. The reported incidence of acute appendicitis in children with hematological malignancy is 0.5 to 4.5%- as shown in multiple studies ([Table 3]).[8] [9] [10] This study revealed an incidence rate of 2.4%- among these children ([Table 3]). There are multiple causes of the acute surgical abdomen in children undergoing treatment for leukemia but the most common are acute appendicitis and typhlitis.[9] Typhlitis is characterized by the cecal or terminal ileal wall thickness of more than 3 mm on US for a variable length of the bowel segment. Mucosal injuries from chemotherapy, bacterial overgrowth, and neutropenia contribute to typhlitis.[11] The most probable etiology of appendicitis in children with leukemia is luminal obstruction by a fecolith, which is similar to patients with appendicitis in the general population. Other causes of appendicitis may include lymphoid hyperplasia secondary to a viral infection, enterocolitis in a neutropenic patient, or leukemic infiltration of the appendix. The incidence of leukemic infiltration of the appendix is negligible as shown by others; none of the patients had leukemic infiltration of appendix in our cohort ([Table 3]).[12] [13] [14] It is difficult to diagnose appendicitis in immune-compromised patients with leukemia due to the absence of typical signs and symptoms.[8] [9] [15] Timely diagnosis of appendicitis is key to improving overall survival in these children.[16] Several studies have confirmed that US and contrast-enhanced CT aid in establishing the diagnosis for this group of children as highlighted in [Table 3].[4] [9] [17] [18] In our cohort, US successfully diagnosed appendicitis in all patients except for one, who later underwent a CT scan for confirmation.
|
Study/ year |
Study center |
Total patients |
No. of patients with appendicitis |
Underlying diagnosis |
Treatment |
Leukemic infiltration on HPE |
Outcome |
||||||
|---|---|---|---|---|---|---|---|---|---|---|---|---|---|
|
ALL |
AML |
Others |
Medical |
Appendectomy |
Recovered |
Mortality |
Complications |
||||||
|
Open |
Laparoscopic |
||||||||||||
|
Ver Steeg et al, 1979 [21] |
Multicenter |
NK |
5 |
4 |
1 |
0 |
0 |
1 |
0 |
None |
1 |
1 |
2 |
|
Angel et al, 1992 [9] |
Single |
2794 |
14 |
10 |
4 |
0 |
1 |
8 + 5[a] |
None |
11 |
3 |
0 |
|
|
Hobson et al, 2005 [17] |
NK |
464 |
7 |
5 |
1 |
1 |
0 |
6 |
1 |
None |
7 |
0 |
0 |
|
Wiegering et al, 2008 [4] |
Single |
113 |
5 |
1 |
3 |
1 |
5 |
0 |
0 |
Unknown |
5 |
0 |
0 |
|
Mortellaro et al, 2011[22] |
Multicenter |
NK |
10 |
5 |
4 |
1 |
0 |
10 |
0 |
Unknown |
9 |
1 |
0 |
|
Kim et al, 2012 [10] |
Single |
1209 |
7 |
3 |
4 |
0 |
0 |
2 |
5 |
None |
7 |
0 |
0 |
|
Warad et al, 2015 [12] |
Single |
154 |
3 |
1 |
2 |
0 |
0 |
2 |
1 |
1 |
2 |
0 |
1 |
|
Wang et al, 2019 [14] |
Single |
NK |
23 |
3 |
2 |
18 |
0 |
17 |
6 |
2 |
22 |
1 |
9 |
|
Von Mersi et al, 2021 [13] |
Single |
2341 |
21(23 episodes) |
Acute leukemia 15 |
6 |
0 |
15 |
0 |
1 |
1 |
|||
|
This study |
Single |
254 |
6 |
5 |
1 |
0 |
6 |
0 |
None |
5 |
1 |
||
- Almaramhy HH. Acute appendicitis in young children less than 5 years: review article. Ital J Pediatr 2017; 43 (01) 15
- Zavras N, Vaos G. Management of complicated acute appendicitis in children: still an existing controversy. World J Gastrointest Surg 2020; 12 (04) 129-137
- Many BT, Lautz TB, Dobrozsi S. et al; PEDIATRIC SURGICAL ONCOLOGY RESEARCH COLLABORATIVE. Appendectomy versus observation for appendicitis in neutropenic children with cancer. Pediatrics 2021; 147 (02) e2020027797
- Wiegering VA, Kellenberger CJ, Bodmer N. et al. Conservative management of acute appendicitis in children with hematologic malignancies during chemotherapy-induced neutropenia. J Pediatr Hematol Oncol 2008; 30 (06) 464-467
- Park NH, Oh HE, Park HJ, Park JY. Ultrasonography of normal and abnormal appendix in children. World J Radiol 2011; 3 (04) 85-91
- Möricke A, Reiter A, Zimmermann M. et al; German-Austrian-Swiss ALL-BFM Study Group. Risk-adjusted therapy of acute lymphoblastic leukemia can decrease treatment burden and improve survival: treatment results of 2169 unselected pediatric and adolescent patients enrolled in the trial ALL-BFM 95. Blood 2008; 111 (09) 4477-4489
- Gibson BES, Wheatley K, Hann IM. et al. Treatment strategy and long-term results in paediatric patients treated in consecutive UK AML trials. Leukemia 2005; 19 (12) 2130-2138
- Hsiao PJ, Kuo SM, Chen JH. et al. Acute myelogenous leukemia and acute leukemic appendicitis: a case report. World J Gastroenterol 2009; 15 (44) 5624-5625
- Angel CA, Rao BN, Wrenn Jr E, Lobe TE, Kumar AP. Acute appendicitis in children with leukemia and other malignancies: still a diagnostic dilemma. J Pediatr Surg 1992; 27 (04) 476-479
- Kim EY, Lee JW, Chung NG, Cho B, Kim HK, Chung JH. Acute appendicitis in children with acute leukemia: experiences of a single institution in Korea. Yonsei Med J 2012; 53 (04) 781-787
- McCarville MB, Adelman CS, Li C. et al. Typhlitis in childhood cancer. Cancer 2005; 104 (02) 380-387
- Warad D, Kohorst MA, Altaf S. et al. Acute appendicitis in acute leukemia and the potential role of decitabine in the critically ill patient. Leuk Res Rep 2015; 4 (01) 21-23
- von Mersi H, Benkö T, Boztug H. et al. Diagnosis and management of acute appendicitis in 21 pediatric hematology and oncology patients at a tertiary care cancer center. Sci Rep 2021; 11 (01) 12170
- Wang C, Huang H-Z, Yu Y-J, Han SL. Acute appendicitis in patients with leukemia: a dilemma in diagnosis and surgical treatment OPEN ACCESS citation Remedy Publications LLC, |http://clinicsinsurgery.com/
- Sbragia Neto L, Oliveira-Filho AG, Epelman S, Koeller HF, Bustorff-Silva JM, Brandalise SR. Selective surgical indication in the management of neutropenic children presenting with acute abdomen. Pediatr Hematol Oncol 2000; 17 (06) 483-487
- Kim KU, Kim JK, Won JH, Hong DS, Park HS. Acute appendicitis in patients with acute leukemia. Korean J Intern Med (Korean Assoc Intern Med) 1993; 8 (01) 40-45
- Hobson MJ, Carney DE, Molik KA. et al. Appendicitis in childhood hematologic malignancies: analysis and comparison with typhlitis. J Pediatr Surg 2005; 40 (01) 214-219 , discussion 219–220
- Ozyurek E, Arda S, Ozkiraz S, Alioglu B, Arikan U, Ozbek N. Febrile neutropenia as the presenting sign of appendicitis in an adolescent with acute myelogenous leukemia. Pediatr Hematol Oncol 2006; 23 (03) 269-273
- Wade DS, Douglass Jr H, Nava HR, Piedmonte M. Abdominal pain in neutropenic patients. Arch Surg 1990; 125 (09) 1119-1127
- Exelby PR, Ghandchi A, Lansigan N, Schwartz I. Management of the acute abdomen in children with leukemia. Cancer 1975; 35 (03) 826-829
- Ver Steeg K, LaSalle A, Ratner I. Appendicitis in acute leukemia. Arch Surg 1979; 114 (05) 632-633
- Mortellaro VE, Juang D, Fike FB. et al. Treatment of appendicitis in neutropenic children. J Surg Res 2011; 170 (01) 14-16
Address for correspondence
Publication History
Article published online:
24 May 2024
© 2024. The Author(s). This is an open access article published by Thieme under the terms of the Creative Commons Attribution License, permitting unrestricted use, distribution, and reproduction so long as the original work is properly cited. (https://creativecommons.org/licenses/by/4.0/)
Thieme Medical and Scientific Publishers Pvt. Ltd.
A-12, 2nd Floor, Sector 2, Noida-201301 UP, India
We recommend
Advancements in the Diagnosis of Acute Appendicitis in Children and Adolescents
E. Blab, Aktuelle Traumatologie, 2004
Advancements in the Diagnosis of Acute Appendicitis in Children and Adolescents
E. Blab, European Journal of Pediatric Surgery-1, 2004
Advancements in the Diagnosis of Acute Appendicitis in Children and Adolescents
E. Blab, European Journal of Pediatric Surgery, 2004
Relative Value of Clinical, Laboratory and Imaging Tools in Diagnosing Pediatric Acute Appendicitis
I. Gendel, European Journal of Pediatric Surgery-1, 2011
Relative Value of Clinical, Laboratory and Imaging Tools in Diagnosing Pediatric Acute Appendicitis
I. Gendel, European Journal of Pediatric Surgery, 2011
Ultrasound features of secondary appendicitis in pediatric patients
Lyo Min Kwon, Ultrasonography, 2017
Ultrasound Findings of Lymphoid Hyperplasia of the Appendix in Children: Differentiation from Acute Appendicitis.
Bong Jae Kim, Ultrasonography, 2009
Recognizing the signs of acute appendicitis
Jean Watkins, British Journal of School Nursing, 2010
Detection of appendicoliths in patients with acute appendicitis: comparative study with US and plain radiography.
Chang Sik Lim, Ultrasonography, 2001
Multisystem inflammatory syndrome in children presenting with symptoms of acute appendicitis
Rekha Khaund Borkotoky, British Journal of Hospital Medicine, 2022
Fig. 1 (A, B)Axial and coronal postcontrast images showing a dilated appendix (arrow) in the right iliac fossa with significant peri-appendiceal fat stranding in keeping with acute appendicitis.
Fig. 2 Histopathological examination of the surgical specimen. (A, B) Scanner view showing mucosal ulceration (black arrow) with transmural infiltration by neutrophils along with serosal congestion in two different areas shown with normal mucosa (orange arrowhead; hematoxylin and eosin [H&E] 40X). (C) Low power view showing ulceration of mucosa (black arrow; H&E 100X). (D) High-power view showing the presence of neutrophils (black arrow) in muscularis propria of appendix (H&E 400X).
- Almaramhy HH. Acute appendicitis in young children less than 5 years: review article. Ital J Pediatr 2017; 43 (01) 15
- Zavras N, Vaos G. Management of complicated acute appendicitis in children: still an existing controversy. World J Gastrointest Surg 2020; 12 (04) 129-137
- Many BT, Lautz TB, Dobrozsi S. et al; PEDIATRIC SURGICAL ONCOLOGY RESEARCH COLLABORATIVE. Appendectomy versus observation for appendicitis in neutropenic children with cancer. Pediatrics 2021; 147 (02) e2020027797
- Wiegering VA, Kellenberger CJ, Bodmer N. et al. Conservative management of acute appendicitis in children with hematologic malignancies during chemotherapy-induced neutropenia. J Pediatr Hematol Oncol 2008; 30 (06) 464-467
- Park NH, Oh HE, Park HJ, Park JY. Ultrasonography of normal and abnormal appendix in children. World J Radiol 2011; 3 (04) 85-91
- Möricke A, Reiter A, Zimmermann M. et al; German-Austrian-Swiss ALL-BFM Study Group. Risk-adjusted therapy of acute lymphoblastic leukemia can decrease treatment burden and improve survival: treatment results of 2169 unselected pediatric and adolescent patients enrolled in the trial ALL-BFM 95. Blood 2008; 111 (09) 4477-4489
- Gibson BES, Wheatley K, Hann IM. et al. Treatment strategy and long-term results in paediatric patients treated in consecutive UK AML trials. Leukemia 2005; 19 (12) 2130-2138
- Hsiao PJ, Kuo SM, Chen JH. et al. Acute myelogenous leukemia and acute leukemic appendicitis: a case report. World J Gastroenterol 2009; 15 (44) 5624-5625
- Angel CA, Rao BN, Wrenn Jr E, Lobe TE, Kumar AP. Acute appendicitis in children with leukemia and other malignancies: still a diagnostic dilemma. J Pediatr Surg 1992; 27 (04) 476-479
- Kim EY, Lee JW, Chung NG, Cho B, Kim HK, Chung JH. Acute appendicitis in children with acute leukemia: experiences of a single institution in Korea. Yonsei Med J 2012; 53 (04) 781-787
- McCarville MB, Adelman CS, Li C. et al. Typhlitis in childhood cancer. Cancer 2005; 104 (02) 380-387
- Warad D, Kohorst MA, Altaf S. et al. Acute appendicitis in acute leukemia and the potential role of decitabine in the critically ill patient. Leuk Res Rep 2015; 4 (01) 21-23
- von Mersi H, Benkö T, Boztug H. et al. Diagnosis and management of acute appendicitis in 21 pediatric hematology and oncology patients at a tertiary care cancer center. Sci Rep 2021; 11 (01) 12170
- Wang C, Huang H-Z, Yu Y-J, Han SL. Acute appendicitis in patients with leukemia: a dilemma in diagnosis and surgical treatment OPEN ACCESS citation Remedy Publications LLC, |http://clinicsinsurgery.com/
- Sbragia Neto L, Oliveira-Filho AG, Epelman S, Koeller HF, Bustorff-Silva JM, Brandalise SR. Selective surgical indication in the management of neutropenic children presenting with acute abdomen. Pediatr Hematol Oncol 2000; 17 (06) 483-487
- Kim KU, Kim JK, Won JH, Hong DS, Park HS. Acute appendicitis in patients with acute leukemia. Korean J Intern Med (Korean Assoc Intern Med) 1993; 8 (01) 40-45
- Hobson MJ, Carney DE, Molik KA. et al. Appendicitis in childhood hematologic malignancies: analysis and comparison with typhlitis. J Pediatr Surg 2005; 40 (01) 214-219 , discussion 219–220
- Ozyurek E, Arda S, Ozkiraz S, Alioglu B, Arikan U, Ozbek N. Febrile neutropenia as the presenting sign of appendicitis in an adolescent with acute myelogenous leukemia. Pediatr Hematol Oncol 2006; 23 (03) 269-273
- Wade DS, Douglass Jr H, Nava HR, Piedmonte M. Abdominal pain in neutropenic patients. Arch Surg 1990; 125 (09) 1119-1127
- Exelby PR, Ghandchi A, Lansigan N, Schwartz I. Management of the acute abdomen in children with leukemia. Cancer 1975; 35 (03) 826-829
- Ver Steeg K, LaSalle A, Ratner I. Appendicitis in acute leukemia. Arch Surg 1979; 114 (05) 632-633
- Mortellaro VE, Juang D, Fike FB. et al. Treatment of appendicitis in neutropenic children. J Surg Res 2011; 170 (01) 14-16
PDF
Views
Share

