ALK-Negative Anaplastic Large-Cell Lymphoma Diagnosed on Liver Biopsy in a Child Presenting with Nonresolving Pyrexia
CC BY-NC-ND 4.0 · Indian J Med Paediatr Oncol 2019; 40(S 01): S169-S172
DOI: DOI: 10.4103/ijmpo.ijmpo_153_17
Abstract
ALK-negative anaplastic large-cell lymphoma (ALCL) is a rare non-Hodgkin lymphoma occurring in adulthood. We report a case of a 13-year-old boy who presented with a 6-month history of fever with jaundice and pancytopenia. Computed tomography abdomen showed multiple hypodense lesions in the liver. Bone marrow biopsy revealed necrotizing granulomas. The patient was treated with antitubercular treatment but failed to show a response. Liver biopsy performed subsequently showed features of ALK-negative ALCL. Extranodal involvement in ALK-negative ALCL can have unusual clinical presentations. This case highlights the utility of timely tissue diagnosis in patients with nonresolving pyrexia and organ lesions on imaging.
Publication History
Article published online:
24 May 2021
© 2019. Indian Society of Medical and Paediatric Oncology. This is an open access article published by Thieme under the terms of the Creative Commons Attribution-NonDerivative-NonCommercial-License, permitting copying and reproduction so long as the original work is given appropriate credit. Contents may not be used for commercial purposes, or adapted, remixed, transformed or built upon. (https://creativecommons.org/licenses/by-nc-nd/4.0/).
Thieme Medical and Scientific Publishers Pvt. Ltd.
A-12, 2nd Floor, Sector 2, Noida-201301 UP, India
Abstract
ALK-negative anaplastic large-cell lymphoma (ALCL) is a rare non-Hodgkin lymphoma occurring in adulthood. We report a case of a 13-year-old boy who presented with a 6-month history of fever with jaundice and pancytopenia. Computed tomography abdomen showed multiple hypodense lesions in the liver. Bone marrow biopsy revealed necrotizing granulomas. The patient was treated with antitubercular treatment but failed to show a response. Liver biopsy performed subsequently showed features of ALK-negative ALCL. Extranodal involvement in ALK-negative ALCL can have unusual clinical presentations. This case highlights the utility of timely tissue diagnosis in patients with nonresolving pyrexia and organ lesions on imaging.
Introduction
ALK-negative anaplastic large cell lymphoma (ALCL) is a rare high-grade non-Hodgkin lymphoma (NHL) of adulthood.[1] While majority of patients present with lymphadenopathy, extranodal disease is rare, making the diagnosis difficult.
Case Report
A 13-year-old boy presented with a history of fever for 6 months, which was high grade, with chills and rigors, and multiple spikes per day. Loss of appetite and weight loss were present, but there were no localizing respiratory, cardiovascular, gastrointestinal, or genitourinary symptoms at the onset. Three months later, he developed gradually progressive yellowish discoloration of eyes and skin, yellowish discoloration of urine, clay colored stools, and generalized pruritus, along with generalized swelling of his body 1 month later. There was no associated right upper abdominal pain, lump, or altered bowel habits.
On examination, he was febrile, with mild pallor and deep icterus. Pitting pedal edema and abdominal distension were present. No peripheral lymph nodes were palpable. The liver was palpable 7 cm below right costal margin and spleen 2 cm below subcostal margin. Investigations showed pancytopenia and deranged liver function tests, with bilirubin 5 mg/dl, serum albumin 2.5 g/dl, aspartate aminotransferase 64 U/l, alanine transaminase 48 U/l, and alkaline phosphatase 1028 U/l. Contrast-enhanced computed tomography abdomen revealed multiple hypodense lesions in the liver. No intra-abdominal lymphadenopathy was seen. Cytological examination of ascitic fluid showed many neutrophils. Ascitic fluid adenosine deaminase was 15 U/l. Bone marrow biopsy performed in view of pancytopenia showed necrotizing epithelioid cell granulomas, based on which a presumptive diagnosis of tuberculosis was made. The child was started on antitubercular treatment. However, his condition continued to deteriorate.
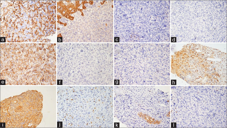
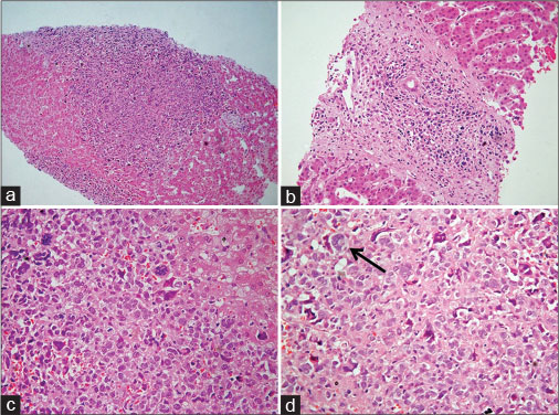
Subsequent liver biopsy showed distortion of architecture by multiple cellular nodules within the hepatic parenchyma [Figure 1a] and [b]. These nodules comprised large cells with moderate-to-abundant cytoplasm, large nuclei with irregular contours and vesicular chromatin, and some with prominent nucleoli [Figure 1c]. Few cells had bizarre, hyperchromatic nuclei, and multinucleated wreath-like cells were also seen. Frequent mitoses were present. Occasional “hallmark” cells with eccentric horseshoe-or kidney-shaped nuclei were identified [Figure 1d]. Similar cells were infiltrating portal tracts and were also present within hepatic sinusoids. Few eosinophils were seen interspersed between the abnormal cells. Histopathological diagnosis of a hematolymphoid neoplasm was considered, possibly infiltration by myeloid leukemia, prompted by irregular nuclear contours of neoplastic cells, and sprinkling of eosinophils. Other possibilities included NHL, rhabdomyosarcoma, or germ cell tumor (GCT). On immunohistochemistry [Figure 2], neoplastic cells were negative for myeloperoxidase and CD117, ruling out infiltration by myeloid leukemia. SALL4 and desmin were negative, excluding GCT and rhabdomyosarcoma, respectively. Leukocyte common antigen was strongly positive. The next panel showed immunonegativity for CD3, CD20, and CD15, while CD30 was strongly positive, suggesting the possibility of ALCL. However, ALK and epithelial membrane antigen were negative, excluding ALK-positive ALCL. A final panel revealed immunopositivity for CD4 and clusterin, while CD8 and EBV-LMP1 were negative. Thus, a final diagnosis of ALK-negative ALCL was made. However, the child succumbed to his illness before the diagnosis was rendered and further workup could not be performed.
| Figure. 1 Liver biopsy shows a tumor forming nodules ([a] H and E, ×100) and infiltrating portal tracts ([b] H and E, ×200); tumor cells have moderate-to-abundant cytoplasm, large hyperchromatic nuclei with irregular contours, and vesicular chromatin ([c] H and E, ×400); and frequent mitoses and occasional hallmark cells (arrow) ([d] H and E, ×400) are seen
| Figure. 2 Neoplastic cells are positive for leukocyte common antigen ([a] ×400) but negative for CK ([b] ×400), CD3 ([c] ×400), and CD20 ([d] ×400); CD30 is strongly positive ([e] ×400), while CD15 ([f] ×400) and ALK ([g] ×400) are negative; focal CD4 positivity is present ([h] ×200); and clusterin is strongly positive ([i] ×200), while CD8 ([j] ×400), EMA ([k] ×200), and MPO ([l] ×400) are negative
Discussion
ALCL is a T-cell NHL seen in children and young adults, with the majority occurring in the first three decades of life. It accounts for approximately 20% of all childhood lymphomas.[1] ALCL is characterized by immunopositivity for ALK protein and ALK gene rearrangements. A morphologically and immunohistochemically similar neoplasm that differs from ALCL only in the lack of ALK rearrangement and ALK protein expression, termed ALK-negative ALCL, was first included as a provisional entity in the WHO 2008 classification of hematolymphoid neoplasms.[1] Accounting for only 0.8%–1.5% of all NHLs, this entity has a poorer clinical outcome from ALK-positive ALCL, thus necessitating their separation.[2] However, the outcome is better as compared to peripheral T-cell lymphoma, not otherwise specified (PTCL, NOS).[3] Various extranodal locations, although less commonly involved than in ALK-positive ALCL, have been reported.[4] [5] [6] However, pyrexia of unknown origin and sepsis have only rarely been described as unusual presentations of extranodal ALK-negative ALCL.[7]
While ALK-positive ALCL is characterized by recurrent translocations involving ALK gene permitting easy diagnosis by anti-ALK immunohistochemistry, the same is not true for ALK-negative ALCL, as it lacks well-characterized genetic alterations and specific immunophenotypic features. The most important differential diagnosis of ALK-negative ALCL is PTCL, NOS. A recent study identified a 3-gene panel that aids in distinguishing ALK-negative ALCL from PTCL, NOS.[3] However, this requires the application of techniques like real-time polymerase chain reaction, which may not always give reliable results on formalin-fixed tissue. Thus, the distinction of ALK-negative ALCL from PTCL, NOS remains a challenge in routine clinical practice. While PTCL, NOS may show focal variable CD30 immunopositivity, CD30 is always strong and diffuse in ALK-negative ALCL. Clusterin, positive in ALK-negative ALCL, and T-cell Receptor Protein, positive in PTCL, NOS but negative in ALK-negative ALCL, are two other markers that are of help.[8] [9] Another differential diagnosis is classical Hodgkin lymphoma (HL), particularly syncytial variant of nodular sclerosis HL and lymphocyte-depleted HL. Immunopositivity for various T-cell markers favors the diagnosis of ALK-negative ALCL over HL. Finally, ALCL can mimic a carcinoma or melanoma and cytokeratin and HMB-45 staining should be performed to rule out these possibilities, respectively.
In a country like India where tuberculosis is endemic, finding incidental epithelioid cell granulomas along with other diseases is not uncommon. While granulomas can be seen in association with HL, ALCL, PTCL-NOS, as well as certain carcinomas, the granulomas associated with these conditions usually do not show necrosis. The presence of necrotizing granulomas in the current case led to a provisional diagnosis of tuberculosis, misleading from the actual diagnosis.
The prognosis of ALK-negative ALCL is highly variable.[10] A recent multi-institutional study reported a 5-year overall survival (OS) of 49%, which was intermediate between that of ALK-positive ALCL (5-year OS 70%) and PTCL, NOS (5-year OS 32%).[11] The International Prognostic Index is an independent prognostic marker for this disease.[10] Presence of increased activated cytotoxic T-lymphocytes within the tumor has also been associated with worse outcome.[10]
Thus, extranodal involvement by ALK-negative ALCL at unusual sites may have an atypical clinical presentation and requires a high index of suspicion for arriving at the right diagnosis. An appropriate immunohistochemical panel aids in this, as summarized in [Table 1]. The present case also highlights the utility of timely tissue diagnosis in patients with nonresolving pyrexia and organ lesions on imaging. Finally, granulomas can often coexist with a lymphoma and sampling error may mislead from the primary diagnosis, resulting in delay in instituting appropriate therapy.
|
Immunohistochemical marker |
ALK -negative ALCL |
Peripheral T-cell lymphoma (NOS) |
Classical Hodgkin lymphoma |
|---|---|---|---|
|
CD30 |
+ |
+/− |
+ |
|
T-cell markers (CD3, CD2, CD5) |
+ |
+ |
− |
|
PAX-5 |
− |
− |
Dim + |
|
EBER and EBV-LMP1 |
− |
− |
+ |
|
CD15 |
− |
−/+ |
+ |
|
Cytotoxic-associated markers (TIA1, perforin, granzyme B) |
+ |
+/− |
− |
|
Clusterin |
+ |
− |
− |
|
T-cell receptor protein |
− |
+ |
− |
- Mason DY, Harris NL, Delsol G, Stein H, Campo E, Kinney MC. et al. Anaplastic large cell lymphoma, ALK-negative. In: Swerdlow SH, Campo E, Harris NL, Jaffe ES, Pileri SA, Stein H. et al. editors WHO Classification of Tumors of Haematopoietic and Lymphoid Tissues. 4th ed. Lyon: IARC; 2008: 317-9
- Ferreri AJ, Govi S, Pileri SA, Savage KJ. Anaplastic large cell lymphoma, ALK-negative. Crit Rev Oncol Hematol 2013; 85: 206-15
- Agnelli L, Mereu E, Pellegrino E, Limongi T, Kwee I, Bergaggio E. et al. Identification of a 3-gene model as a powerful diagnostic tool for the recognition of ALK-negative anaplastic large-cell lymphoma. Blood 2012; 120: 1274-81
- Xu X. ALK-negative anaplastic large cell lymphoma primarily involving the bronchus: A case report and literature review. Int J Clin Exp Pathol 2014; 7: 460-3
- Tsavari A, Koulia K, Skafida E, Myoteri D, Zisi A, Grammatoglou X. et al. Primary anaplastic large-cell lymphoma, ALK1 negative, of the liver: A case report. OA Case Rep 2013; 2: 20
- Mishra P, Dang M, Gajendra S, Lipi L, Sachdev R. Primary pancreatic ALK negative anaplastic large cell lymphoma. Pathology 2015; 47: 85-6
- Mosunjac MB, Sundstrom JB, Mosunjac MI. Unusual presentation of anaplastic large cell lymphoma with clinical course mimicking fever of unknown origin and sepsis: Autopsy study of five cases. Croat Med J 2008; 49: 660-8
- Wellmann A, Thieblemont C, Pittaluga S, Sakai A, Jaffe ES, Siebert P. et al. Detection of differentially expressed genes in lymphomas using cDNA arrays: Identification of clusterin as a new diagnostic marker for anaplastic large-cell lymphomas. Blood 2000; 96: 398-404
- Bonzheim I, Geissinger E, Roth S, Zettl A, Marx A, Rosenwald A. et al. Anaplastic large cell lymphomas lack the expression of T-cell receptor molecules or molecules of proximal T-cell receptor signaling. Blood 2004; 104: 3358-60
- ten Berge RL, Oudejans JJ, Ossenkoppele GJ, Meijer CJ. ALK-negative systemic anaplastic large cell lymphoma: Differential diagnostic and prognostic aspects – A review. J Pathol 2003; 200: 4-15
- Savage KJ, Harris NL, Vose JM, Ullrich F, Jaffe ES, Connors JM. et al. ALK-anaplastic large-cell lymphoma is clinically and immunophenotypically different from both ALK+ALCL and peripheral T-cell lymphoma, not otherwise specified: Report from the international peripheral T-cell lymphoma project. Blood 2008; 111: 5496-504
Address for correspondence
Publication History
Article published online:
24 May 2021
© 2019. Indian Society of Medical and Paediatric Oncology. This is an open access article published by Thieme under the terms of the Creative Commons Attribution-NonDerivative-NonCommercial-License, permitting copying and reproduction so long as the original work is given appropriate credit. Contents may not be used for commercial purposes, or adapted, remixed, transformed or built upon. (https://creativecommons.org/licenses/by-nc-nd/4.0/).
Thieme Medical and Scientific Publishers Pvt. Ltd.
A-12, 2nd Floor, Sector 2, Noida-201301 UP, India
References
- Mason DY, Harris NL, Delsol G, Stein H, Campo E, Kinney MC. et al. Anaplastic large cell lymphoma, ALK-negative. In: Swerdlow SH, Campo E, Harris NL, Jaffe ES, Pileri SA, Stein H. et al. editors WHO Classification of Tumors of Haematopoietic and Lymphoid Tissues. 4th ed. Lyon: IARC; 2008: 317-9
- Ferreri AJ, Govi S, Pileri SA, Savage KJ. Anaplastic large cell lymphoma, ALK-negative. Crit Rev Oncol Hematol 2013; 85: 206-15
- Agnelli L, Mereu E, Pellegrino E, Limongi T, Kwee I, Bergaggio E. et al. Identification of a 3-gene model as a powerful diagnostic tool for the recognition of ALK-negative anaplastic large-cell lymphoma. Blood 2012; 120: 1274-81
- Xu X. ALK-negative anaplastic large cell lymphoma primarily involving the bronchus: A case report and literature review. Int J Clin Exp Pathol 2014; 7: 460-3
- Tsavari A, Koulia K, Skafida E, Myoteri D, Zisi A, Grammatoglou X. et al. Primary anaplastic large-cell lymphoma, ALK1 negative, of the liver: A case report. OA Case Rep 2013; 2: 20
- Mishra P, Dang M, Gajendra S, Lipi L, Sachdev R. Primary pancreatic ALK negative anaplastic large cell lymphoma. Pathology 2015; 47: 85-6
- Mosunjac MB, Sundstrom JB, Mosunjac MI. Unusual presentation of anaplastic large cell lymphoma with clinical course mimicking fever of unknown origin and sepsis: Autopsy study of five cases. Croat Med J 2008; 49: 660-8
- Wellmann A, Thieblemont C, Pittaluga S, Sakai A, Jaffe ES, Siebert P. et al. Detection of differentially expressed genes in lymphomas using cDNA arrays: Identification of clusterin as a new diagnostic marker for anaplastic large-cell lymphomas. Blood 2000; 96: 398-404
- Bonzheim I, Geissinger E, Roth S, Zettl A, Marx A, Rosenwald A. et al. Anaplastic large cell lymphomas lack the expression of T-cell receptor molecules or molecules of proximal T-cell receptor signaling. Blood 2004; 104: 3358-60
- ten Berge RL, Oudejans JJ, Ossenkoppele GJ, Meijer CJ. ALK-negative systemic anaplastic large cell lymphoma: Differential diagnostic and prognostic aspects – A review. J Pathol 2003; 200: 4-15
- Savage KJ, Harris NL, Vose JM, Ullrich F, Jaffe ES, Connors JM. et al. ALK-anaplastic large-cell lymphoma is clinically and immunophenotypically different from both ALK+ALCL and peripheral T-cell lymphoma, not otherwise specified: Report from the international peripheral T-cell lymphoma project. Blood 2008; 111: 5496-504
PDF
Views
Share

