An Uncommon Case Report of Malignant Epithelial Ovarian Neoplasm in the Pediatric Age Group with a Brief Literature Review
CC BY 4.0 · Indian J Med Paediatr Oncol 2025; 46(03): 342-346
DOI: DOI: 10.1055/s-0045-1802636
Abstract
Epithelial ovarian neoplasm is the most common gynecological malignancy causing mortality in adults, but is a rare diagnosis in children and adolescents. The majority of the malignancies found in adolescents are of germ cell origin. Low-grade serous ovarian malignancies may arise de novo or may follow already diagnosed case of serous borderline tumor. Clinically, patients present with nonspecific symptoms like lower abdominal pain. Apart from radiology, it is equally important to carry out histopathology, which shows numerous micropapillary structures having scant fibrovascular cores. We report a rare case of low-grade papillary serous ovarian neoplasm in a 5-year-old girl, wherein we discuss the need to do thorough clinical, radiological, pathological, and biochemical investigations for all women despite age category so as to provide adequate management on time.
Keywords
case report - epithelial ovarian neoplasm - low grade - pediatric - serous cystadenocarcinomaAuthors' Contributions
P.M. made significant contributions to literature search, data acquisition, and manuscript preparation. S.K.H. made significant contributions to concepts, design, definition of intellectual content, and manuscript review, and is a guarantor. S.S. made significant contributions to concepts, design, definition of intellectual content, and manuscript review. R.N.M. has made contribution to intellectual content and manuscript review. P.N. made significant contributions to manuscript review and concepts.
Patient Consent
Informed consent was taken from the patient party.
Publication History
Article published online:
03 March 2025
© 2025. The Author(s). This is an open access article published by Thieme under the terms of the Creative Commons Attribution License, permitting unrestricted use, distribution, and reproduction so long as the original work is properly cited. (https://creativecommons.org/licenses/by/4.0/)
Thieme Medical and Scientific Publishers Pvt. Ltd.
A-12, 2nd Floor, Sector 2, Noida-201301 UP, India
- Atypical Teratoid/Rhabdoid Tumor of the Pineal Region in a Young Adult Male Patient: Case Report and Review of the LiteratureAxel Florschütz, Journal of Pediatric Biochemistry, 2016
- Pancreatic Adenocarcinoma with Primary Tumor Calcification and Calcified Liver Metastasis: Report of a Rare Case and Review of LiteratureJoydeep Ghosh, Indian Journal of Medical and Paediatric Oncology, 2020
- Concordance of Frozen Section Diagnosis of Epithelial Ovarian Neoplasm and Discussing the Diagnostic Pitfalls: An Institutional ExperienceJagannath D. Sharma, South Asian Journal of Cancer
- Cervical Hibernoma: A Very Rare Tumor of Childhood – Case Report with Review of LiteratureAdvait Prakash, Indian Journal of Medical and Paediatric Oncology, 2020
- Synchronous Endometrial Malignant Mixed Mullerian Tumor and Ovarian High-Grade Serous Carcinoma: A Case Report and Review of LiteratureFelix E. Menkiti, VCOT Open
- Ovarian Cysts: A Review<svg viewBox="0 0 24 24" fill="none" xmlns="http://www.w3.org/2000/svg">
</svg>Cheryl Horlen, US Pharmacist, 2010 - Ovarian Cancer: A Review<svg viewBox="0 0 24 24" fill="none" xmlns="http://www.w3.org/2000/svg">
</svg>Allison A. Baxley, US Pharmacist, 2013 - Doxycycline-Associated Tooth Staining in Young Children<svg viewBox="0 0 24 24" fill="none" xmlns="http://www.w3.org/2000/svg">
</svg>Stephanie Nieves, US Pharmacist, 2019 - Managing Pediatric Pain<svg viewBox="0 0 24 24" fill="none" xmlns="http://www.w3.org/2000/svg">
</svg>Yvette C. Terrie, US Pharmacist, 2023 - Tamoxifen Increases Risk of Endometrial, Uterine Cancers<svg viewBox="0 0 24 24" fill="none" xmlns="http://www.w3.org/2000/svg">
</svg>By staff, US Pharmacist, 2022
Abstract
Epithelial ovarian neoplasm is the most common gynecological malignancy causing mortality in adults, but is a rare diagnosis in children and adolescents. The majority of the malignancies found in adolescents are of germ cell origin. Low-grade serous ovarian malignancies may arise de novo or may follow already diagnosed case of serous borderline tumor. Clinically, patients present with nonspecific symptoms like lower abdominal pain. Apart from radiology, it is equally important to carry out histopathology, which shows numerous micropapillary structures having scant fibrovascular cores. We report a rare case of low-grade papillary serous ovarian neoplasm in a 5-year-old girl, wherein we discuss the need to do thorough clinical, radiological, pathological, and biochemical investigations for all women despite age category so as to provide adequate management on time.
Keywords
case report - epithelial ovarian neoplasm - low grade - pediatric - serous cystadenocarcinomaIntroduction
Ovarian neoplasms are a significant cause of mortality among malignancies in developed countries, ranking just after breast cancers in females.[1] [2] While epithelial ovarian neoplasms predominantly affect adults, germ cell tumors are more frequently observed in children and adolescents. Epithelial ovarian neoplasms are exceedingly rare in females below the age of 17 years.[3] Among these, low-grade serous carcinomas (LGSCs) are seen in only 2 to 5%-of all ovarian tumors and 5 to 10%-of all ovarian cancers.[4] In this report, we present an exceptionally rare case of low-grade papillary serous cystadenocarcinoma of the ovary in a 5-year-old girl.
Case Report
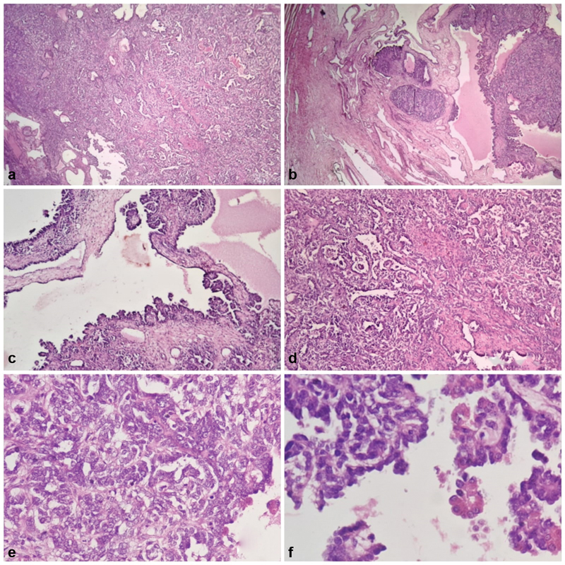
A 5-year-old girl presented to the pediatric outpatient department (OPD) with periumbilical abdominal pain for 9 months. Recently, she also experienced loss of appetite and few episodes of nonprojectile vomiting; however, she denied history of fever. Her bowel and urine habits were normal. Family history was unremarkable. General examination revealed no abnormality. She showed normal growth and development according to her age and sex. On per abdominal examination, there was mild abdominal distension with tenderness in the periumbilical region. The rest of the systemic examinations were within normal limits. With the clinical differential of persistent chronic infection, she was referred for ultrasonography (USG) of the abdomen and pelvis, which showed the presence of a 15 × 10 cm complex abdominal mass suspicious of ovarian neoplasm. The rest of her basic biochemical parameters were within normal parameters. All the serological markers performed were within normal limits, including Alpha fetoprotein (AFP), Lactate dehydrogenase (LDH), Human chorionic gonadotrophin (β-HCG), Cancer antigen 125 (CA125) preoperatively. Computed tomography (CT) scan of the abdomen and pelvis revealed a hypodense solid-cystic mass coming from the pelvis measuring 15 × 10 cm possibly indicative of malignant ovarian neoplasm. With a radiographic diagnosis of right-sided complex tubo-ovarian mass, exploratory laparotomy was planned. Contralateral left side ovary was normal. Excised tubo-ovarian mass was then sent for histopathological examination. No nodal involvement was seen intraoperatively. Grossly, we received an ovoid mass measuring 18 × 15 × 10 cm. The cut section showed clear fluid with complex cysts and focal warty areas ([Fig. 1]). Microsection from the solid and cystic areas showed focal papillary projections lined by neoplastic epithelial cells with the surrounding fibrocollagenous stroma ([Fig. 2a, b]). Solid nodular areas showed hyperchromatic pleomorphic neoplastic epithelial cells, with mild to moderate nuclear pleomorphism having prominent central nucleoli at few places ([Fig. 2c–f]). The mitotic index was 10/10 HPFs (high power fields). However, there was no evidence of necrosis, or high-grade nuclear features, hence indicative of a low-grade neoplasm. With the above histomorphological features, a diagnosis of low-grade papillary serous cystadenocarcinoma was made. Immunohistochemistry (IHC) was done for confirmation of the same findings. It showed nuclear positivity for Wilms tumor protein (WT1), estrogen receptor (ER) and wild type expression of P53 ([Fig. 3a–c]) and negative P16 [removed][Fig. 3d]). The patient was referred to a higher oncology center for further treatment; however, she was lost to follow-up.
| Fig 1 : (a, b) Gross image shows an ovarian mass measuring 18 × 15 × 10 cm, with the cut section showing clear cystic areas and focal solid areas.
| Figure 2: (a, b) Microphotograph shows tumor cells arranged in diffuse sheets surrounded by fibrocollagenous stroma and some areas showing pale eosinophilic cystic areas in between (hematoxylin and eosin [H&E], 40x). (c, d) Micropapillary architecture with low mitotic rates less than 12/10 high-power fields (HPFs; H&E, 40x,100x). (e, f) Individual tumor cells are cuboidal to polygonal in shape, with scant eosinophilic cytoplasm, centrally placed round nucleus with prominent nucleoli at few places with no features of stromal invasion (H&E, 400x).
| Figure 3: (a) Estrogen receptor (ER) shows strong nuclear positivity in tumor cells (immunohistochemistry [IHC], 400x). (b) p53 shows wildtype expression in tumor cells (IHC, 400x). (c) WT1 shows strong nuclear positivity in tumor cells (IHC, 100x). (d) p16 shows negative in tumor cells (IHC, 400x).
Discussion
Epithelial ovarian cancers represent 90%-of all the ovarian tumors.[3] According to the latest fifth edition of the WHO classification of ovarian malignancies, epithelial ovarian malignancies are broadly categorized into serous tumors, mucinous tumors, endometrioid tumors, clear cell tumors, and seromucinous and Brenner's tumors. Serous tumors are further subcategorized into serous cystadenomas, adenofibromas, serous borderline tumors, LGSCs, and high-grade serous carcinomas (HGSCs). LGSCs have a unique clinical presentation and molecular behavior and distinguishes them from their close counterpart, that is, HGSCs. LGSCs usually present at a young age and may show gradual progression with resistance to chemotherapy. They usually get detected at a later stage. Identification of risk factors apart from genetic mutation is too difficult to assess because of its presentation at the young age.
Shih and Kurman, in 2004, gave a “two-pathway theory” of ovarian neoplasms based on the histopathological, clinical, and genetic analysis.[5] Type 1 ovarian neoplasms associated with K-RAS and BRAF mutations show the benign nature of progression as seen in our case. In contrast, type 2 ovarian neoplasms associated with BRCA 1/2 present aggressively.[3] Malpica et al described a two-tier system that differentiates LGSCs from HGSCs based on categories of nuclear pleomorphism and mitotic activity/HPFs. LGSCs show mild to moderate nuclear pleomorphism and have mitosis up to 12/10 HPFs.[6]
Papillary serous cystadenocarcinoma of the ovary is most commonly seen among all ovarian neoplasms, constituting nearly 50%-of all malignant ovarian tumors. They usually show bilateral involvement of the ovaries.[7] Few case reports have been documented in adolescents, and none have been reported in a child as young as 5 years. The most common site of metastases includes the contralateral ovary, peritoneum, and para-aortic and pelvic lymph nodes.[8] Whenever ovarian neoplasm suspected, it is ideal to carry out nonspecific markers like CA-125, which acts as an adjunct to the diagnosis.[4]
Macroscopically, LGSCs are bilateral and exhibits a papillary growth. Microscopically, the noninvasive subtypes show a nonhierarchial architecture having micropapillae and a cribriform pattern in an expansile growth. Micropapillary papillary projections have a length at least five times the width with scant fibrovascular cores. Individual tumor cells are cuboidal to polygonal in shape, having scant eosinophilic cytoplasm, high nucleocytoplasmic ratio, with mild to moderate nuclear pleomorphism and small centrally placed atypical nuclei.[9] Invasive subtypes are seen with noninvasive components based on the absence of destructive infiltrative growth like either serous adenofibroma or serous borderline tumors.[3] Numerous psammoma bodies are commonly seen in LGSCs. The differentials include serous borderline tumor, which does not show invasion or prominent nucleoli.[10] HGSCs, according to Malpica et al, show increased nuclear pleomorphism with moderate to severe nuclear pleomorphism, and mitosis more than 12/10 HPFs.[6]
Apart from radiological investigations, IHC plays a crucial role in making the final diagnosis and differentiating from other ovarian neoplasms. On IHC, LGSCs show strong nuclear positivity for WT1, a marker of serous differentiation, PAX-8 which ensures mullerian origin, ER, PR, Her2neu, P16 is diffusely positive in high grade serous ovarian cancers, whereas it is negative or patchy positive in low grade serous cancer cases. P53 shows a wild-type pattern in LGSCs in contrast to HGSCs, which show an aberrant heterogenous pattern.[11] So the characteristic feature of this entity is diagnosis at comparatively young age and relative chemoresistance in comparison to high-grade serous ovarian neoplasms.[12]
Nasioudis et al conducted a study on females below the age of 19 years between 1988 and 2013 to assess the diagnosis of 114 cases of borderline and 140 cases of malignant epithelial ovarian cancer (EOC). Their study showed a median age of 17 years, with the majority diagnosed as mucinous neoplasms followed by serous neoplasms. Most of them had undergone fertility-sparing surgery and had grade I neoplasm.[13]
However, malignant epithelial tumors, especially, serous cystadenocarcinomas, are rarely present in the literature. Gupta et al[14] conducted a systematic search of literature from 1980 onward from the PubMed database including the following words: “ovarian tumor,” “epithelial,” and “children/pediatric groups.” Their search showed the majority of epithelial tumors occurred alone in all age groups, with 0.04%-of epithelial neoplasms in children, most of which were cystadenomas followed by malignant adenocarcinomas, small cell carcinomas, and squamous cell carcinoma with two case reports of papillary serous cystadenocarcinomas (one in a15-year-old adolescent girl and another in a 4-year-old girl).[15] In the past 10 years, only one case of serous papillary cystadenocarcinoma in 17-year-old adolescent girl has been reported in the literature.[3]
Among adolescents, the prognosis is favorable, so a conservative approach can be followed to preserve the fertility.[4] The role of chemotherapy is limited although it is ideal to be given along with surgical debulking. Singer et al[9] suggests MEK enzyme inhibitors as target therapy for the mitogen-activated protein kinase pathway (MAPK), which is the known pathway involved in the causation of low-grade serous ovarian neoplasms.[12] However, surgical debulking along with a combination of cisplatin and paclitaxel chemotherapy is an ideal management approach for a case of low-grade serous cystadenocarcinoma of the ovary according to Babaier et al.[16] Schmeler et al tried six cycles of platinum-based neoadjuvant chemotherapy in 25 patients, of which 88%-were stable following six cycles.[17]
Conclusion
The rarity of such cases in the literature poses challenges in studying disease frequency and prognosis. Furthermore, to date, no other cases of LGSC have been diagnosed in children aged 2 to 5 years. This case underscores the critical need for comprehensive clinical examination, including proper history taking, thorough physical examination, and meticulous analysis of radiological, biochemical, and histopathological investigations. IHC studies should also be considered essential, regardless of the patient's age. Early diagnosis and proper decision regarding surgery and additional chemotherapy methods provide a good life to the patient.
Conflict of Interest
None declared.
Acknowledgments
The authors thank Prof. Niranjan Rout, Dr. Snehalata Pattnaik, and Prof. Lity Mohanty for their support and guidance throughout the preparation of the manuscript.
Authors' Contributions
P.M. made significant contributions to literature search, data acquisition, and manuscript preparation. S.K.H. made significant contributions to concepts, design, definition of intellectual content, and manuscript review, and is a guarantor. S.S. made significant contributions to concepts, design, definition of intellectual content, and manuscript review. R.N.M. has made contribution to intellectual content and manuscript review. P.N. made significant contributions to manuscript review and concepts.
Patient Consent
Informed consent was taken from the patient party.
References
- Sung H, Ferlay J, Siegel RL. et al. Global Cancer Statistics 2020: GLOBOCAN estimates of incidence and mortality worldwide for 36 cancers in 185 countries. CA Cancer J Clin 2021; 71 (03) 209-249
- Oluwasola TA, Abdus-Salam RA, Okolo CA, Odukogbe AT. Bilateral ovarian serous cystadenocarcinoma in a teenager: a case report. Pan Afr Med J 2017; 28 (01) 18
- Rickards J, Brooks BA, Rivera-Betancourt A, Velasquez D. A rare case of low-grade serous cystadenocarcinoma of the ovary in a seventeen-year-old woman. Cureus 2022; 14 (08) e28086
- Matsuo K, Machida H, Grubbs BH, Sood AK, Gershenson DM. Trends of low-grade serous ovarian carcinoma in the United States. J Gynecol Oncol 2018; 29 (01) e15
- Shih IeM, Kurman RJ. Ovarian tumorigenesis: a proposed model based on morphological and molecular genetic analysis. Am J Pathol 2004; 164 (05) 1511-1518
- Malpica A, Deavers MT, Lu K. et al. Grading ovarian serous carcinoma using a two-tier system. Am J Surg Pathol 2004; 28 (04) 496-504
- Okoye E, Euscher ED, Malpica A. Ovarian low-grade serous carcinoma: a clinicopathologic study of 33 cases with primary surgery performed at a single institution. Am J Surg Pathol 2016; 40 (05) 627-635
- Nguyen L, Cardenas-Goicoechea SJ, Gordon P. et al. Biomarkers for early detection of ovarian cancer. Womens Health (Lond) 2013; 9 (02) 171-185
- Singer G, Oldt 3rd R, Cohen Y. et al. Mutations in BRAF and KRAS characterize the development of low-grade ovarian serous carcinoma. J Natl Cancer Inst 2003 Mar 19; 95 (06) 484-6
- Moen MD, Cliby WA, Wilson TO. Stage III papillary serous cystadenocarcinoma of the ovary in a 15-year-old female. Gynecol Oncol 1994; 53 (02) 274-276
- Zhou S, Guo Y, Wen L. et al. Comparison of the diagnostic efficiency between the O-RADS US risk stratification system and doctors' subjective judgment. BMC Med Imaging 2023; 23 (01) 190
- Alcid J, Shahin MS. Low-grade serous carcinoma of the ovary: a case series and literature review. J Case Rep Images Oncology 2018; 4: 100052Z10JA2018
- Nasioudis D, Alevizakos M, Holcomb K, Witkin SS. Malignant and borderline epithelial ovarian tumors in the pediatric and adolescent population. Maturitas 2017; 96: 45-50
- Gupta R, Bal A, Das A, Kumar Marwah R. Serous cystadenocarcinoma of the ovary in an 11-year-old girl with extensive dissemination and chylothorax: a case report and a brief review of literature. J Pediatr Hematol Oncol 2009; 31 (07) 533-535
-
Raney Jr RB, Sinclair L, Uri A, Schnaufer L, Cooper A, Littman P. Malignant ovarian tumors in children and adolescents. Cancer 1987; 59 (06) 1214-1220
3.0.CO;2-Z" data-id="CrossRef" data-target="CrossRef" target="linkout" href="https://doi.org/10.1002/1097-0142(19870315)59:6<1214>3.0.CO;2-Z" class="linkFunction" style="color: rgb(1, 52, 118); outline-width: 0px; outline-color: transparent !important; padding-right: 10px;">CrossrefPubMedSearch in Google Scholar
- Babaier A, Mal H, Alselwi W, Ghatage P. Low-grade serous carcinoma of the ovary: the current status. Diagnostics (Basel) 2022; 12 (02) 458
- Schmeler KM, Pareja R, Lopez Blanco A. et al. ConCerv: a prospective trial of conservative surgery for low-risk early-stage cervical cancer. Int J Gynecol Cancer 2021; 31 (10) 1317-1325
Address for correspondence
Publication History
Article published online:
03 March 2025
© 2025. The Author(s). This is an open access article published by Thieme under the terms of the Creative Commons Attribution License, permitting unrestricted use, distribution, and reproduction so long as the original work is properly cited. (https://creativecommons.org/licenses/by/4.0/)
Thieme Medical and Scientific Publishers Pvt. Ltd.
A-12, 2nd Floor, Sector 2, Noida-201301 UP, India
- Atypical Teratoid/Rhabdoid Tumor of the Pineal Region in a Young Adult Male Patient: Case Report and Review of the LiteratureAxel Florschütz, Journal of Pediatric Biochemistry, 2016
- Pancreatic Adenocarcinoma with Primary Tumor Calcification and Calcified Liver Metastasis: Report of a Rare Case and Review of LiteratureJoydeep Ghosh, Indian Journal of Medical and Paediatric Oncology, 2020
- Concordance of Frozen Section Diagnosis of Epithelial Ovarian Neoplasm and Discussing the Diagnostic Pitfalls: An Institutional ExperienceJagannath D. Sharma, South Asian Journal of Cancer
- Synchronous Endometrial Malignant Mixed Mullerian Tumor and Ovarian High-Grade Serous Carcinoma: A Case Report and Review of LiteratureFelix E. Menkiti, Asian Journal of Oncology
- Synchronous Endometrial Malignant Mixed Mullerian Tumor and Ovarian High-Grade Serous Carcinoma: A Case Report and Review of LiteratureFelix E. Menkiti, VCOT Open
- EP1287 A unique case report: postoperative palmar digital thrombophlebitis in a young primer Sjögren’s syndrome patient with high grade serous ovarian cancer<svg viewBox="0 0 24 24" fill="none" xmlns="http://www.w3.org/2000/svg">
</svg>E Keles, International Journal of Gynecological Cancer, 2019 - 311 Combination of ovarian endometrioid carcinoma and yolk sac tumor in postmenopausal women: a case report<svg viewBox="0 0 24 24" fill="none" xmlns="http://www.w3.org/2000/svg">
</svg>S Gon Ribeiro, International Journal of Gynecological Cancer, 2019 - Primary ovarian leiomyosarcoma in a woman with uterovaginal prolapse<svg viewBox="0 0 24 24" fill="none" xmlns="http://www.w3.org/2000/svg">
</svg>Anupama Bahadur, BMJ Case Reports, 2022 - Brenner’s tumour of the ovary<svg viewBox="0 0 24 24" fill="none" xmlns="http://www.w3.org/2000/svg">
</svg>Madhumitha Ravichandran, BMJ Case Reports, 2022 - #75 Primary adenocarcinoma of the tube about a case and review of the literature<svg viewBox="0 0 24 24" fill="none" xmlns="http://www.w3.org/2000/svg">
</svg>Mohamed Abdellahi El Moctar, International Journal of Gynecological Cancer, 2023
| Fig 1 : (a, b) Gross image shows an ovarian mass measuring 18 × 15 × 10 cm, with the cut section showing clear cystic areas and focal solid areas.
| Figure 2: (a, b) Microphotograph shows tumor cells arranged in diffuse sheets surrounded by fibrocollagenous stroma and some areas showing pale eosinophilic cystic areas in between (hematoxylin and eosin [H&E], 40x). (c, d) Micropapillary architecture with low mitotic rates less than 12/10 high-power fields (HPFs; H&E, 40x,100x). (e, f) Individual tumor cells are cuboidal to polygonal in shape, with scant eosinophilic cytoplasm, centrally placed round nucleus with prominent nucleoli at few places with no features of stromal invasion (H&E, 400x).
| Figure 3: (a) Estrogen receptor (ER) shows strong nuclear positivity in tumor cells (immunohistochemistry [IHC], 400x). (b) p53 shows wildtype expression in tumor cells (IHC, 400x). (c) WT1 shows strong nuclear positivity in tumor cells (IHC, 100x). (d) p16 shows negative in tumor cells (IHC, 400x).
References
- Sung H, Ferlay J, Siegel RL. et al. Global Cancer Statistics 2020: GLOBOCAN estimates of incidence and mortality worldwide for 36 cancers in 185 countries. CA Cancer J Clin 2021; 71 (03) 209-249
- Oluwasola TA, Abdus-Salam RA, Okolo CA, Odukogbe AT. Bilateral ovarian serous cystadenocarcinoma in a teenager: a case report. Pan Afr Med J 2017; 28 (01) 18
- Rickards J, Brooks BA, Rivera-Betancourt A, Velasquez D. A rare case of low-grade serous cystadenocarcinoma of the ovary in a seventeen-year-old woman. Cureus 2022; 14 (08) e28086
- Matsuo K, Machida H, Grubbs BH, Sood AK, Gershenson DM. Trends of low-grade serous ovarian carcinoma in the United States. J Gynecol Oncol 2018; 29 (01) e15
- Shih IeM, Kurman RJ. Ovarian tumorigenesis: a proposed model based on morphological and molecular genetic analysis. Am J Pathol 2004; 164 (05) 1511-1518
- Malpica A, Deavers MT, Lu K. et al. Grading ovarian serous carcinoma using a two-tier system. Am J Surg Pathol 2004; 28 (04) 496-504
- Okoye E, Euscher ED, Malpica A. Ovarian low-grade serous carcinoma: a clinicopathologic study of 33 cases with primary surgery performed at a single institution. Am J Surg Pathol 2016; 40 (05) 627-635
- Nguyen L, Cardenas-Goicoechea SJ, Gordon P. et al. Biomarkers for early detection of ovarian cancer. Womens Health (Lond) 2013; 9 (02) 171-185
- Singer G, Oldt 3rd R, Cohen Y. et al. Mutations in BRAF and KRAS characterize the development of low-grade ovarian serous carcinoma. J Natl Cancer Inst 2003 Mar 19; 95 (06) 484-6
- Moen MD, Cliby WA, Wilson TO. Stage III papillary serous cystadenocarcinoma of the ovary in a 15-year-old female. Gynecol Oncol 1994; 53 (02) 274-276
- Zhou S, Guo Y, Wen L. et al. Comparison of the diagnostic efficiency between the O-RADS US risk stratification system and doctors' subjective judgment. BMC Med Imaging 2023; 23 (01) 190
- Alcid J, Shahin MS. Low-grade serous carcinoma of the ovary: a case series and literature review. J Case Rep Images Oncology 2018; 4: 100052Z10JA2018
- Nasioudis D, Alevizakos M, Holcomb K, Witkin SS. Malignant and borderline epithelial ovarian tumors in the pediatric and adolescent population. Maturitas 2017; 96: 45-50
- Gupta R, Bal A, Das A, Kumar Marwah R. Serous cystadenocarcinoma of the ovary in an 11-year-old girl with extensive dissemination and chylothorax: a case report and a brief review of literature. J Pediatr Hematol Oncol 2009; 31 (07) 533-535
-
Raney Jr RB, Sinclair L, Uri A, Schnaufer L, Cooper A, Littman P. Malignant ovarian tumors in children and adolescents. Cancer 1987; 59 (06) 1214-1220
3.0.CO;2-Z" data-id="CrossRef" data-target="CrossRef" target="linkout" href="https://doi.org/10.1002/1097-0142(19870315)59:6<1214>3.0.CO;2-Z" class="linkFunction" style="color: rgb(1, 52, 118); outline-width: 0px; outline-color: transparent !important; padding-right: 10px;">CrossrefPubMedSearch in Google Scholar
- Babaier A, Mal H, Alselwi W, Ghatage P. Low-grade serous carcinoma of the ovary: the current status. Diagnostics (Basel) 2022; 12 (02) 458
- Schmeler KM, Pareja R, Lopez Blanco A. et al. ConCerv: a prospective trial of conservative surgery for low-risk early-stage cervical cancer. Int J Gynecol Cancer 2021; 31 (10) 1317-1325
PDF
Views
Share

