Atypical Presentation of Ewing’s Sarcoma
CC BY-NC-ND 4.0 ? Indian J Med Paediatr Oncol 2019; 40(S 01): S109-S113
DOI: DOI: 10.4103/ijmpo.ijmpo_176_17
Abstract
Background:?Ewing?s sarcoma (ES) is an osseous malignancy of small round blue cells which may manifest even in soft tissue. It is the second most common primary tumor of bone in childhood. The common areas of occurrence are the diaphyses of femur followed by tibia, humerus, pelvis, and clavicle. However, there are many unusual presentations of ES on the basis of the site, e.g., craniofacial bones, paravertebral mass, and visceral organs. Chemotherapy with radiation therapy and cytoreductive surgery/limb salvage surgery is the mainstay treatment along with a strict patient compliance and counseling, critically being important for long-term survival. This study depicts presentations of ES who either presented with some unusuality at the time of diagnosis or developed peculiar features uncharacteristic of ES during their course of treatment.?Context:?This study provides an insight into the patterns of unusual presentation of ES and prognosis of such patients with current line of management. Multiple sites of metastases have a very poor dismal outlook.?Aims:?This study purports the importance of considering ES as a systemic disease rather an osseous malignancy and reviews the pattern of unusual sites of presentation.?Setting and Design:?This observational study was carried out in the Department of Radiotherapy, Gandhi Medical College, Bhopal. Only patients with unusual patterns of metastases were included in the study cohort.?Materials and Methods:?We systematically reviewed patients with confirmed and immunohistochemistry-proven ES from July 2014 to July to 2017. A total of 69 patients were registered within the time frame. Of the 69 patients, 36 (52.2%) were males and 33 (47.8%) were females. Of the 11 (16%) unusual presentations, 8 were males and 3 were females. The mean age of presentation was 22.5 (3?52 years). All patients received chemotherapy as per treatment guidelines. Each patient was individually followed up and metastatic workup was performed in a systematic manner.?Statistical Analysis:?Since the pattern of metastasis was observed, no significant statistical analysis was required for this study.?Results:?Of the 11 patients, six succumbed during the course of treatment, one patient was lost to follow-up, while four patients are on regular follow-up. Of the six patients who succumbed, four had multiple metastases at the time of presentation to our outpatient department, while the other two patients had paraspinal ES with paraplegia. Two patients, one male and one female, had associated comorbidities with spherocytosis and bronchial asthma. The youngest patient was a 3-year-old child with paraspinal ES, while the oldest was a 52-year-old with extraosseous ES of the right thigh who presented with lung, liver, and supraclavicular metastases.?Conclusion:?In our study, pattern of metastases determined the patients? survival. Those patients who presented with multiple metastases at the time of presentation had a very poor prognosis, with death occurring within 2?3 months. The chemotherapy protocols were neither modified nor changed. They were evaluated after every cycle. Those patients who had developed multiple metastases at the time of admission to our outpatient clinic fared the worst. Those who had metastases to the brain and lung also succumbed to the malignancy. It is time we consider ES as an osseo-systemic malignancy and incorporate newer techniques such as circulating tumor cells in the investigation and evaluation portfolio for better and aggressive management. A multidisciplinary tumor board is absolutely essential and weekly meetings mandatory to individualize the treatment scenario. In our study, uncustomary as it may seem, their metastatic sites demand a certain degree of limelight in the Annals of Oncology.
Publication History
Article published online:
24 May 2021
? 2019. Indian Society of Medical and Paediatric Oncology. This is an open access article published by Thieme under the terms of the Creative Commons Attribution-NonDerivative-NonCommercial-License, permitting copying and reproduction so long as the original work is given appropriate credit. Contents may not be used for commercial purposes, or adapted, remixed, transformed or built upon. (https://creativecommons.org/licenses/by-nc-nd/4.0/).
Thieme Medical and Scientific Publishers Pvt. Ltd.
A-12, 2nd Floor, Sector 2, Noida-201301 UP, India
Abstract
Background:?Ewing?s sarcoma (ES) is an osseous malignancy of small round blue cells which may manifest even in soft tissue. It is the second most common primary tumor of bone in childhood. The common areas of occurrence are the diaphyses of femur followed by tibia, humerus, pelvis, and clavicle. However, there are many unusual presentations of ES on the basis of the site, e.g., craniofacial bones, paravertebral mass, and visceral organs. Chemotherapy with radiation therapy and cytoreductive surgery/limb salvage surgery is the mainstay treatment along with a strict patient compliance and counseling, critically being important for long-term survival. This study depicts presentations of ES who either presented with some unusuality at the time of diagnosis or developed peculiar features uncharacteristic of ES during their course of treatment.?Context:?This study provides an insight into the patterns of unusual presentation of ES and prognosis of such patients with current line of management. Multiple sites of metastases have a very poor dismal outlook.?Aims:?This study purports the importance of considering ES as a systemic disease rather an osseous malignancy and reviews the pattern of unusual sites of presentation.?Setting and Design:?This observational study was carried out in the Department of Radiotherapy, Gandhi Medical College, Bhopal. Only patients with unusual patterns of metastases were included in the study cohort.?Materials and Methods:?We systematically reviewed patients with confirmed and immunohistochemistry-proven ES from July 2014 to July to 2017. A total of 69 patients were registered within the time frame. Of the 69 patients, 36 (52.2%) were males and 33 (47.8%) were females. Of the 11 (16%) unusual presentations, 8 were males and 3 were females. The mean age of presentation was 22.5 (3?52 years). All patients received chemotherapy as per treatment guidelines. Each patient was individually followed up and metastatic workup was performed in a systematic manner.?Statistical Analysis:?Since the pattern of metastasis was observed, no significant statistical analysis was required for this study.?Results:?Of the 11 patients, six succumbed during the course of treatment, one patient was lost to follow-up, while four patients are on regular follow-up. Of the six patients who succumbed, four had multiple metastases at the time of presentation to our outpatient department, while the other two patients had paraspinal ES with paraplegia. Two patients, one male and one female, had associated comorbidities with spherocytosis and bronchial asthma. The youngest patient was a 3-year-old child with paraspinal ES, while the oldest was a 52-year-old with extraosseous ES of the right thigh who presented with lung, liver, and supraclavicular metastases.?Conclusion:?In our study, pattern of metastases determined the patients? survival. Those patients who presented with multiple metastases at the time of presentation had a very poor prognosis, with death occurring within 2?3 months. The chemotherapy protocols were neither modified nor changed. They were evaluated after every cycle. Those patients who had developed multiple metastases at the time of admission to our outpatient clinic fared the worst. Those who had metastases to the brain and lung also succumbed to the malignancy. It is time we consider ES as an osseo-systemic malignancy and incorporate newer techniques such as circulating tumor cells in the investigation and evaluation portfolio for better and aggressive management. A multidisciplinary tumor board is absolutely essential and weekly meetings mandatory to individualize the treatment scenario. In our study, uncustomary as it may seem, their metastatic sites demand a certain degree of limelight in the Annals of Oncology.
Introduction
Ewing?s sarcoma (ES) was discovered in 1921 by James Ewing as ?perivascular endothelial myeloma.?[1] [2] The cell of origin of ES is not completely understood and consists of primitive neuroectodermal cells in varying stages of differentiation. ES is a malignant small round blue cell tumor in which the cancer cells are found in the bone or soft tissue. It is the second most common primary tumor of the bone in childhood. The most common areas of occurrence are the diaphyses of femur followed by tibia, humerus, pelvis, and clavicle. However, there are many patterns of unusual presentations of ES on the basis of the site of presentation, e.g., craniofacial bones, paravertebral mass, and visceral organs. The symptomatology depends on the primary site, but systemic symptoms with pain, fever, and weight loss are also seen. This study mainly focuses on the patterns of unusual spread in ES and provides an insight into the unwonted and unprecedented sites with which our patients symptomatically endured. Various literatures on ES focus mainly on rare sites such as craniofacial, hands and feet, gastrointestinal organs, and spinal masses. There have been case reports on ES on the ovary,[3] kidney,[4] and phalanges of hand.[5]
Materials and Methods
A total of 69 patients had been registered under our department with confirmed biopsy and immunohistochemistry (IHC)-proven ES from July 2014 to July 2017. Among them, 11 patients were seen to have unfamiliar patterns during presentation. They were marked for study and therapy initiated on the same lines of other ES patients. The patients involved in the study and their caregivers were informed through oral and written consent in their own language. Guarded prognosis was explained to the caregivers in view of the aggressive nature of the disease. Doses were calculated based on body surface area in adults and per kilogram in children. Of the 11 patients, eight were males and three were females. The age of patients ranged from a 3-year-old child to a 52-year-old male. The median age was 22.5 years. A detailed baseline and biochemical workup including lactate dehydrogenase levels were assessed pretherapeutically. Thorough history and physical examinations were performed.
Results
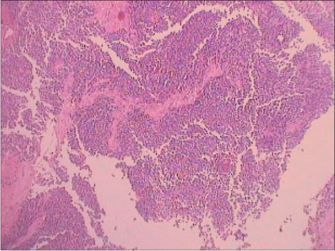
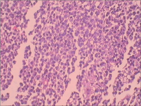
Of the 11 patients, four patients had ES, five extraosseous Ewing?s sarcoma (EES), one with primitive neuroectodermal tumor (PNET), and one with Askin?s tumor. Two had associated comorbidities, spherocytosis and bronchial asthma. The patient with Askin?s tumor developed scalp and leptomeningeal metastasis and succumbed. All 11 patients were IHC proven, and all of them were CD99 positive [Figure 1], [2]. Five patients were vimentin positive and two were neuron-specific enolase positive along with CD99 (MIC-2). Five patients had multiple metastases at the time of presentations, of which four poorly responded to chemotherapy and succumbed very early during the course inspite of compliant treatment, while one patient still continues to follow-up. The two patients who had paraspinal ES developed acute-onset paraparesis and incontinence which progressed to paraplegia within a couple of weeks. Among them, the child was lost to treatment follow-up, while the other patient underwent debulking surgery and was initiated on adjuvant chemotherapy but died after 2 weeks. There were two patients who had a lag time of >2 years to develop metastasis who are still on regular review [Table 1]. Of the 11 patients, only four continue to review in our outpatient clinic while six succumbed and one patient was lost to treatment follow-up. Of the 11 patients, only one patient received radiation to primary site after six courses of chemotherapy, but yet after 3 months, he developed orbital metastases which were cytologically proven.
|?Figure. 1? Low-power image of H and E stain
|?Figure. 2? High-power view of H and E stain
|
Age |
Sex |
Diagnosis |
IHC |
Primary site |
Associated comorbidity |
Metastatic site |
Time of detection |
Deceased/ survive/follow-up |
|---|---|---|---|---|---|---|---|---|
|
L ? Left; R ? Right; D ? Deceased; LTF ? Lost to follow-up; FU ? On follow-up; 0 ? Metastasis detected at the time of presentation; ES ? Ewing's sarcoma; EES ? Extraosseous ES; AT -Askin's tumor; PNET ? Primitive neuroectodermal tumor; NSE ? Neuron-specific enolase; IHC ? Immunohistochemistry |
||||||||
|
23 |
Male |
EES |
MIC-2, vimentin |
L inguinal |
Hereditary spherocytosis |
Lungs |
0 |
D |
|
24 |
Female |
ES |
MIC-2 |
Nasal cavity |
Asthma |
Brain |
0 |
D |
|
21 |
Male |
EES |
MIC-2, vimentin, desmin |
Paraspinal + paraplegia |
Nil |
Nil |
D |
|
|
3 |
Male |
EES |
MIC-2 |
Paraspinal + paraplegia |
Nil |
Nil |
LTF |
|
|
18 |
Male |
AT |
MIC-2 |
L chest wall |
Nil |
Scalp + leptomeningeal |
0 |
D |
|
12 |
Female |
ES |
MIC-2, vimentin |
L ulna |
Nil |
Scalp + orbit + parotid + lungs |
0 |
D |
|
8 |
Female |
ES |
MIC-2, vimentin |
R tibia |
Nil |
Orbit + lungs |
6 months |
D |
|
11 |
Male |
EES |
MIC-2 |
Anterior abdominal wall |
Nil |
Nil |
FU |
|
|
22 |
Male |
PNET |
MIC-2, NSE, KI67 |
L kidney |
Nil |
Liver, lung |
FU |
|
|
52 |
Male |
EES |
MIC-2, FLI-1, synaptophysin, CD56 |
L thigh |
Nil |
Liver, supraclavicular |
3 years |
FU |
|
18 |
Male |
ES |
MIC-2, vimentin |
R femur |
Nil |
Orbit, lungs |
2 years |
FU |
|?Figure. 3? Immunostain showing diffuse positivity of MIC-2
|?Figure. 4? Extraosseous Ewing?s sarcoma of the left inguinal region (prior consent taken from patient)
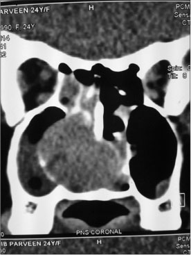
|?Figure. 5? Computed tomography scan showing a mass lesion in the right side of nasal cavity; further biopsy and immunohistochemistry confirmed it as Ewing?s sarcoma
|?Figure. 6? Child with Ewing?s sarcoma of right tibia with orbital metastasis. (Prior consent taken from parents.)
Conclusion
Our study shows that patterns of metastasis can determine the patients? survival. Those who presented with multiple metastasis at the time of presentation to our department had a very dismal outlook with death occurring within the following 2-3 months. A multidisciplinary tumor boad is mandatory to evaluate such patients and newer ancilliary techniques to be incorporated in the investigation portfolio for aggressive management on an individual basis.
Informed consent
Prior written informed consent was taken from the patients and bystanders in their own language and either left thumbprint or signature was taken and collected.
Declaration of patient consent
The authors certify that they have obtained all appropriate patient consent forms. In the form, the patient has given his consent for his images and other clinical information to be reported in the journal. The patient understands that name and initials will not be published and due efforts will be made to conceal identity, but anonymity cannot be guaranteed.
Conflict of Interest
There are no conflicts of interest.
- Ewing J.?Diffuse endothelioma of bone. Proc N Y Pathol Soc 1921; 21: 17-24
- Ewing J.?Further report on endothelial myeloma of bone. Proc N Y Pathol Soc 1924; 24: 93-101
- Kuk JY, Yoon SY, Kim MJ, Lee JW, Kim BG, Bae DS.?A case of primitive neuroectodermal tumor of the ovary. Korean J Obstet Gynecol 2012; 55: 777-81
- Hakky TS, Gonzalvo AA, Lockhart JL, Rodriguez AR.?Primary Ewing sarcoma of the kidney: A symptomatic presentation and review of the literature. Ther Adv Urol 2013; 5: 153-9
- Gopalakrishnan CV, Shrivastava A, Easwer HV, Nair S.?Primary Ewing?s sarcoma of the spine presenting as acute paraplegia. J Pediatr Neurosci 2012; 7: 64-6
- Toomey EC, Schiffman JD, Lessnick SL.?Recent advances in the molecular pathogenesis of Ewing?s sarcoma. Oncogene 2010; 29: 4504-16
- Craft A, Cotterill S, Malcolm A, Spooner D, Grimer R, Souhami R. et al.?Ifosfamide-containing chemotherapy in Ewing?s sarcoma: The second United Kingdom children?s cancer study group and the medical research council Ewing?s tumor study. J Clin Oncol 1998; 16: 3628-33
- Womer RB, West DC, Krailo MD, Dickman PS, Pawel BR, Grier HE. et al.?Randomized controlled trial of interval-compressed chemotherapy for the treatment of localized Ewing sarcoma: a report from the Children?s Oncology Group. J Clin Oncol 2012; 30: 4148-54
- Ozaki T, Hillmann A, Hoffmann C, R?be C, Blasius S, Dunst J. et al.?Significance of surgical margin on the prognosis of patients with Ewing?s sarcoma. A report from the cooperative Ewing?s sarcoma study. Cancer 1996; 78: 892-900
- Schuck A, Ahrens S, von Schorlemer I, Kuhlen M, Paulussen M, Hunold A. et al.?Radiotherapy in Ewing tumors of the vertebrae: treatment results and local relapse analysis of the CESS 81/86 and EICESS 92 trials. Int J Radiat Oncol Biol Phys 2005; 63: 1562-7
- Lisanne G, Johan VR, Verswijvel G, Kurt van der S.?An unusual location of extra osseous Ewing?s sarcoma. Case Rep Oncol 2013; 6: 293-302
Address for correspondence
Publication History
Article published online:
24 May 2021
? 2019. Indian Society of Medical and Paediatric Oncology. This is an open access article published by Thieme under the terms of the Creative Commons Attribution-NonDerivative-NonCommercial-License, permitting copying and reproduction so long as the original work is given appropriate credit. Contents may not be used for commercial purposes, or adapted, remixed, transformed or built upon. (https://creativecommons.org/licenses/by-nc-nd/4.0/).
Thieme Medical and Scientific Publishers Pvt. Ltd.
A-12, 2nd Floor, Sector 2, Noida-201301 UP, India
|?Figure. 1? Low-power image of H and E stain
|?Figure. 2? High-power view of H and E stain
|?Figure. 3? Immunostain showing diffuse positivity of MIC-2
|?Figure. 4? Extraosseous Ewing?s sarcoma of the left inguinal region (prior consent taken from patient)
|?Figure. 5? Computed tomography scan showing a mass lesion in the right side of nasal cavity; further biopsy and immunohistochemistry confirmed it as Ewing?s sarcoma
|?Figure. 6? Child with Ewing?s sarcoma of right tibia with orbital metastasis. (Prior consent taken from parents.)
References
- Ewing J.?Diffuse endothelioma of bone. Proc N Y Pathol Soc 1921; 21: 17-24
- Ewing J.?Further report on endothelial myeloma of bone. Proc N Y Pathol Soc 1924; 24: 93-101
- Kuk JY, Yoon SY, Kim MJ, Lee JW, Kim BG, Bae DS.?A case of primitive neuroectodermal tumor of the ovary. Korean J Obstet Gynecol 2012; 55: 777-81
- Hakky TS, Gonzalvo AA, Lockhart JL, Rodriguez AR.?Primary Ewing sarcoma of the kidney: A symptomatic presentation and review of the literature. Ther Adv Urol 2013; 5: 153-9
- Gopalakrishnan CV, Shrivastava A, Easwer HV, Nair S.?Primary Ewing?s sarcoma of the spine presenting as acute paraplegia. J Pediatr Neurosci 2012; 7: 64-6
- Toomey EC, Schiffman JD, Lessnick SL.?Recent advances in the molecular pathogenesis of Ewing?s sarcoma. Oncogene 2010; 29: 4504-16
- Craft A, Cotterill S, Malcolm A, Spooner D, Grimer R, Souhami R. et al.?Ifosfamide-containing chemotherapy in Ewing?s sarcoma: The second United Kingdom children?s cancer study group and the medical research council Ewing?s tumor study. J Clin Oncol 1998; 16: 3628-33
- Womer RB, West DC, Krailo MD, Dickman PS, Pawel BR, Grier HE. et al.?Randomized controlled trial of interval-compressed chemotherapy for the treatment of localized Ewing sarcoma: a report from the Children?s Oncology Group. J Clin Oncol 2012; 30: 4148-54
- Ozaki T, Hillmann A, Hoffmann C, R?be C, Blasius S, Dunst J. et al.?Significance of surgical margin on the prognosis of patients with Ewing?s sarcoma. A report from the cooperative Ewing?s sarcoma study. Cancer 1996; 78: 892-900
- Schuck A, Ahrens S, von Schorlemer I, Kuhlen M, Paulussen M, Hunold A. et al.?Radiotherapy in Ewing tumors of the vertebrae: treatment results and local relapse analysis of the CESS 81/86 and EICESS 92 trials. Int J Radiat Oncol Biol Phys 2005; 63: 1562-7
- Lisanne G, Johan VR, Verswijvel G, Kurt van der S.?An unusual location of extra osseous Ewing?s sarcoma. Case Rep Oncol 2013; 6: 293-302
PDF
Views
Share

