Correlation of Gleason Grading and Prognostic Immunohistochemistry Markers (Human Epidermal Growth Factor Receptor 2/neu and Androgen Receptor) in Prostatic Core Needle Biopsy: A Study in a Tertiary Care Center
CC BY-NC-ND 4.0 · Indian J Med Paediatr Oncol 2019; 40(02): 201-207
DOI: DOI: 10.4103/ijmpo.ijmpo_139_17
Abstract
Background: Worldwide prostate cancer is the most common cause of cancer and the second leading cause of cancer death among men. Transrectal ultrasound-guided core needle biopsies are the diagnostic modalities which help in proper categorization and grading of prostatic carcinoma, thus facilitating individualized treatment. These biopsies are the primary source for performance of additional diagnostic immunohistochemical testing for basal cell-associated markers to rule out the morphological mimicker and prognostic markers such as androgen receptor (AR) and human epidermal growth factor receptor 2 (HER2)/neu. Materials and Methods: A prospective, observational study was conducted in the department of pathology in collaboration with department of urosurgery of a tertiary care hospital. One hundred and nineteen patients diagnosed with prostatic nodules were included in this study. Values of serum prostate-specific antigen were recorded. Tissue for histopathological study was obtained in the form of core needle biopsy, and Gleason grade was calculated in all malignant cases. Immunohistochemistry for p63 and alpha-methylacyl-CoA racemase was performed as an additional test in premalignant cases. Prognostication of the prostate cancer cases was done using AR and HER2/neu. Results: A total of 119 cases aged between 20 and 90 years were included in this study. Malignant lesions reveal an increase in the percentage of AR staining in comparison to the benign glandular structure. The Gleason score with higher value (8–9) showed increased expression of HER2/neu receptor. Conclusion: Critical histopathological analysis of core needle biopsy along with immunohistochemical evaluation maximizes the diagnostic accuracy in prostate cancer cases and also helps in prognosis assessment.
Keywords
Androgen receptor - human epidermal growth factor receptor 2/neu - prostatic cancer - serum prostatic-specific antigen - transrectal ultrasound-guided core needle biopsiesPublication History
Article published online:
03 June 2021
© 2019. Indian Society of Medical and Paediatric Oncology. This is an open access article published by Thieme under the terms of the Creative Commons Attribution-NonDerivative-NonCommercial-License, permitting copying and reproduction so long as the original work is given appropriate credit. Contents may not be used for commercial purposes, or adapted, remixed, transformed or built upon. (https://creativecommons.org/licenses/by-nc-nd/4.0/).
Thieme Medical and Scientific Publishers Pvt. Ltd.
A-12, 2nd Floor, Sector 2, Noida-201301 UP, India
Abstract
Background: Worldwide prostate cancer is the most common cause of cancer and the second leading cause of cancer death among men. Transrectal ultrasound-guided core needle biopsies are the diagnostic modalities which help in proper categorization and grading of prostatic carcinoma, thus facilitating individualized treatment. These biopsies are the primary source for performance of additional diagnostic immunohistochemical testing for basal cell-associated markers to rule out the morphological mimicker and prognostic markers such as androgen receptor (AR) and human epidermal growth factor receptor 2 (HER2)/neu. Materials and Methods: A prospective, observational study was conducted in the department of pathology in collaboration with department of urosurgery of a tertiary care hospital. One hundred and nineteen patients diagnosed with prostatic nodules were included in this study. Values of serum prostate-specific antigen were recorded. Tissue for histopathological study was obtained in the form of core needle biopsy, and Gleason grade was calculated in all malignant cases. Immunohistochemistry for p63 and alpha-methylacyl-CoA racemase was performed as an additional test in premalignant cases. Prognostication of the prostate cancer cases was done using AR and HER2/neu. Results: A total of 119 cases aged between 20 and 90 years were included in this study. Malignant lesions reveal an increase in the percentage of AR staining in comparison to the benign glandular structure. The Gleason score with higher value (8–9) showed increased expression of HER2/neu receptor. Conclusion: Critical histopathological analysis of core needle biopsy along with immunohistochemical evaluation maximizes the diagnostic accuracy in prostate cancer cases and also helps in prognosis assessment.
Keywords
Androgen receptor - human epidermal growth factor receptor 2/neu - prostatic cancer - serum prostatic-specific antigen - transrectal ultrasound-guided core needle biopsiesIntroduction
Prostate cancer is the most common cancer of men in the Western countries, accounting for the second most common cause of death. It follows an aggressive course, but most tumors remain asymptomatic, presenting with only mild urinary complaints, and diagnosed by digital rectal examination (DRE) or viewed on transrectal ultrasound. Prostatic-specific antigen (PSA) is usually raised in all cases. Previously, PSA level was used for prognostication and guidance for the management of prostate cancer.[1] [2] Now, PSA is considered to have low sensitivity and specificity [3] [4] [5] as high values obtained in several nonmalignant condition which led to unnecessary surgical intervention. Thus, facilitating individualized treatment, prostate core needle biopsy is the main diagnostic modality. Cancer cases are graded by Gleason scoring system. However, in practice, small foci of cancer and several morphological mimickers of different Gleason grades were encountered leading to diagnostic difficulty. To overcome these pitfalls, the International Society of Urological Pathology recommended the use of high molecular weight cytokeratin (HMWCK) (34bE12 or CK 5/6 or others) or p63 or a combination of these two with alpha-methylacyl-CoA racemase (AMACR) in a double or triple cocktail.[6] [7] [8] [9] [10]
In the early stage of the disease, patients are treated with local surgery and radiotherapy, but even then, 40% recurrence occur and it has been attributed to the micrometastasis occurring in the early stage which remains undetected. Therefore, much effort is being made for the identification of the prognostic markers in advancing cancer, and the men who are prone to develop advanced prostate cancer.[11]
This led to the discovery of a biomarker human epidermal growth factor receptor 2 (HER2)/neu, which can act as a prognostic marker.[12] As it is derived from epidermal growth factor receptor family, various biological processes such as cell proliferation, migration, and apoptosis are regulated by it. The normal epithelial cells including the prostatic epithelial have a low expression of HER2/neu.[13] [14] [15] In recent years, a number of studies have been conducted and found overexpression of HER2/neu in prostate cancer and lead to poor prognosis due to resistant to normal treatment and subsequent reduced survival.[16]
Another marker used for prognostication is the androgen receptor (AR). Androgen, mainly 5-alpha dihydrotestosterone, plays an important role in growth maintenance and differentiation of prostatic tissue. Their action is mediated through a nuclear receptor known as AR. AR immunoreactivity not only stains the neoplastic tumor cells but also the nonneoplastic cells including glandular epithelial cells and stromal cells, especially peritumoral and interglandular.[17]
The present study was conducted in a tertiary care hospital where core needle biopsy from prostate was done in patients who were diagnosed with prostatomegaly. The histopathological diagnosis was given in corroboration with immunohistochemical finding.
Materials and Methods
After obtaining ethical committee approval, this prospective and observational study was conducted in the department of pathology in collaboration with department of urology.
The patients
From June 2014 to May 2015, this study was done taking 119 patients who presented to the department of urology with urinary symptoms and was diagnosed with prostatomegaly, either on transrectal ultrasonography or on DRE. The PSA level was done in all these cases.
The biopsy materials
After proper consent, core needle biopsy of the prostate was performed in the department of urology. From each patient, twelve cores were taken from different sites with few exceptions. The biopsy specimens were sent for histopathological examination. Average six blocks were made in each case and all blocks were sectioned and stained with H and E stain.
Blinded histological examination
Two pathologists conducted the histopathological and immunohistochemical interpretation blindly without knowing the clinical diagnosis. All slides were examined under the light microscope by two observers. The most important part of the prostate needle biopsy reporting was whether the lesion was benign or malignant. The malignant diagnosis was made mainly on low power, but sometimes, it had to be based on a limited number of atypical glands with minimal atypia. In these conditions, diagnosis was based on the combination of morphological criteria. The tumors were graded using the Gleason grading system [18] (Gleason and Mellinger, 1974). The primary (predominant) and the secondary (second most prevalent) architectural patterns are Grade from 1 to 5, with 5 being the least differentiated and 1 being the most differentiated. In some special cases, a tertiary pattern was also reported. In core needle biopsy, to avoid unnecessary low scoring, scores of 2–4 were not given.[19]
Considering perineural invasion as an individual risk factor, all cores were thoroughly examined. Circumferential involvement of a nerve by atypical glands was defined as perineural invasion.
Unblinding and comparing with immunohistochemical findings
Diagnostic markers
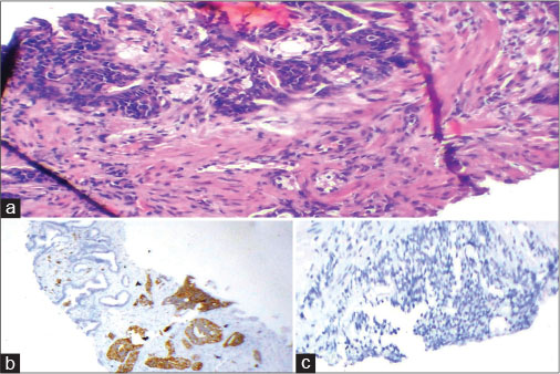
Four cases with less representative tissue were excluded from the comparative study. Unequivocal cases of adenocarcinoma were diagnosed on the basis of histopathological findings. Final histological diagnosis of 14 equivocal and premalignant cases was considered for the immunohistological evaluation. p63 (Novocastra-Lyophilized NCL-p63; clone 7JUL) and AMACR (Dako- FLEX Monoclonal Rabbit Anti-Human AMACR, Clone 13H4) were done to confirm the diagnosis. Cases with Gleason Score 8 (4 + 4) and cases having benign prostatic tissue [Figure 1] were considered as positive and negative control for AMACR, respectively, and vice versa for P63. Benign gland within the same biopsy was examined as internal control.
| Figure 1 Photomicrograph of basal cell hyperplasia. (H and E, ×400) (b) Photomicrograph showing P63 positivity of basal cell nucleus. (×400) (c) Photomicrograph showing alpha-methylacyl-CoA-racemase negativity. (×400)
Prognostic marker
For prognostication of adenocarcinoma of the prostate two immunohistochemical staining was done; AR and HER2/neu. Immunohistochemical staining of AR was performed in the entire 115 paraffin-embedded tissue specimen. The poly-L-lysine-coated slides were incubated with primary monoclonal antihuman AR antibody AR318 (Novocastra). Positive and negative controls were run side by side. In reference to a previous article, AR was graded counting the immunoreactive nuclei without any knowledge of the clinical data by two observers, because of the heterogeneous content of positive staining cells in the tumor each slides were scanned at ×40 to find the dense staining area. For grading the AR, at least 1000 epithelial cells within the highest staining areas were counted using an integration grid (×400). The number of positive-staining nuclei was expressed as a percentage of total number of counted nuclei.[17]
For HER2/neu immunostaining, only the cases diagnosed as malignant were considered. The slides were examined by two pathologists without any clinical knowledge of the cases. According to the instruction provided by the DAKO company, the membrane staining intensity, which was indication of expression of HER2/neu receptor, was scored as 0, +1, +2, or + 3 equivalent in all the 38 malignant cases. In statistical analysis, score of + 2 and + 3 was considered as overexpression of HER2/neu according to the scoring criteria provided by the DAKO company.[20]
Statistical analysis
Statistical calculations were performed using the GraphPad and GraphPad Prism 5 software.
Results
Clinical profile
A total of 119 cases were included in this study. The age ranged was from 20 to 90 years, with a median age (50th percentile) of 65 years. Majority of the patients presented with urinary symptoms and enlargement of prostate were assessed by DRE or on transrectal ultrasonography with proper grading. In this study, majority of the cases were Grade 3 (30.65%). Only one patient presented with pancytopenia and bone pain was subsequently diagnosed as a case of prostatic carcinoma.
Biochemical profile
The PSA level was noted in all the cases, and its correlation with prostatitis, BHP, premalignant lesion, and malignant lesion was deduced. The mean PSA value for prostatitis was found to be 22.02; in BHP, it was 7.88; in premalignant lesion, it was 21.49; and malignant lesion, it was 163.16 [Figure 2]. Significant P value was found between BHP and malignant lesion (P < 0 class="i" xss=removed>P < 0>20 [Figure 3].
| Figure 2 Relation of prostatic-specific antigen values with prostatic lesions
| Figure 3 Correlation of prostatic-specific antigen and Gleason Score
Histological profile
Of the 119 cases, in four cases, no opinions were possible because of insufficient biopsy material and were excluded from the statistical analysis. Of the rest 115 cases, 32.17% of cases were prostatitis, 28.70% were BHP, 6.08% were premalignant lesions, and 33.04% were malignant lesion. The age range for negative core for malignancy was 20–84 years with a median of 65 years, and the age range of positive core for malignancy was 40–90 years with the median age of 63.5 years. The prostatic cores from the youngest patient presented with urgency and frequency of urination, and PSA value 18 ng/dl revealed histological features of granulomatous prostatitis.
The Gleason Scores were calculated in all cases of prostatic carcinoma [Figure 4] and Score 7 was found to be the most common one accounting for 47.37% of all malignant cases. One core with score of 5 + 5 = 10 showed periprostatic fat involvement indicating T3 stage. Perineural invasion was identified in 11 (28.9%) malignant cases. Seven cases (18.45%) of infiltrating carcinoma revealed association with high-grade prostatic intraepithelial lesion, and three cases were diagnosed as isolated high-grade intraepithelial neoplasia (HGPIN).
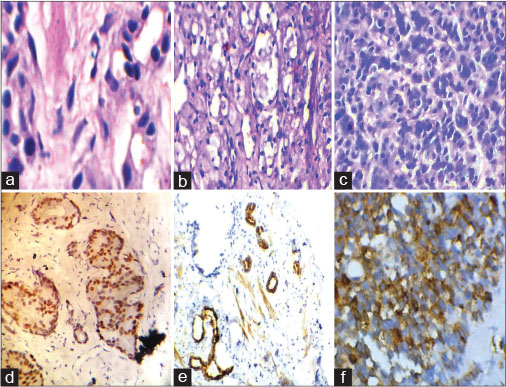
| Figure 4 Photomicrograph showing prostatic adenocarcinoma – Gleason Grade 3 (H and E, ×400), (b) Photomicrograph showing prostatic adenocarcinoma – GleasonGrade 4 (H and E, ×400), (c) Photomicrograph showing prostatic adenocarcinoma – Gleason Grade 5 (H and E, ×400), (d) Androgen receptor nuclear positivity of malignant epithelial cells (×400), (e) Androgen receptor positivity of stromal cells (×400), (f) human epidermal growth factor receptor 2/neu membrane positivity of malignant epithelial cells (×400)
Immunohistochemistry expression of p63 and alpha-methylacyl-CoA-racemase in the suspicious cases
In this study, Group 14 equivocal cases [Figure 5] were considered for immunohistochemistry (IHC). These 14 cases were further subdivided into three groups.
| Figure 5 Photomicrograph showing atypical small acinar cell proliferation (H and E, ×400), (b) Photomicrograph showing high-grade prostatic intraepithelial neoplasia (H and E, ×400), (c) Photomicrograph showing atypical adenomatous hyperplasia (H and E, ×400), (d) Photomicrograph showing morphology camouflaged with inflammation (H and E, ×400)
Group 1: This group constituted seven cases having foci suspicious of malignancy, of which IHC studies gave the final diagnosis of BHP in two cases, two cases showed atypical adenomatous hyperplasia, and two cases showed HGPIN. Moreover, a single case of adenocarcinoma was diagnosed
Group 2: This group was further subdivided into
Group 2a: Two cases of atypical small acinar proliferation (ASAP) were diagnosed on histopathology which had foci of crowed gland showing architectural and cytological atypia but could not be labeled as malignancy. On IHC, diagnosis of HGPIN was made
Group 2b: This included two cases where the morphology was camouflaged with inflammation.
Group 2c: Two cases of adenocarcinoma showed foci of coexisting atypical foci which later was found to be associated with HGPIN
Group 3: In this group, the final diagnosis was considered after complete workup with histology and IHC finding. In this study, a single case was finally given diagnosis of BHP with atypical adenomatous hyperplasia.
Immunohistochemistry for prognostication
On all the 38 cases, AR staining was done. The percentage of staining of AR in adjacent benign areas ranged from 74% to 89% with the mean of 82.84%, and in malignant areas, it ranged from 76% to 99% with the mean of 89.16%, thus showing an increase in the percentage of staining of malignant areas [Figure 4] in comparison to the adjacent benign glandular structure [Figure 6]. The two-tailed P < 0>
| Figure 6 Expression of androgen receptor of benign and malignant areas of adenocarcinoma cases
On 38 malignant cases, HER2/neu staining was done [Figure 4] and [7]. Overexpression and negative expression of HER2/neu was compared with respect to age, Gleason score, and the PSA value [Figure 8]. In this study, it was found that younger prostatic cancer patient (<60>10 showed overexpression of HER2/neu.
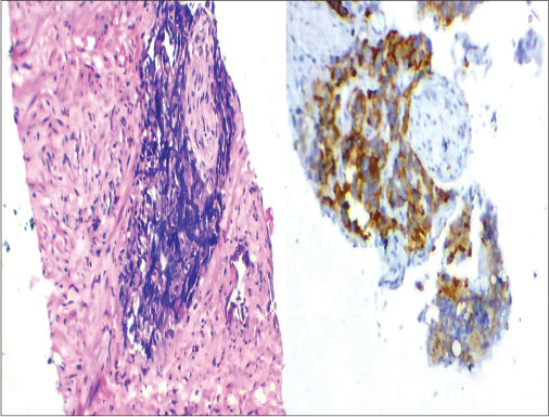
| Figure 7 Photomicrograph showing perineural invasion (H and E, ×400) (b) Photomicrograph showing human epidermal growth factor receptor 2/neu membrane positivity of malignant epithelial cells (×400)
| Figure 8 Human epidermal growth factor receptor 2/neu with respect to age, Gleason Score, and the prostatic-specific antigen value
Discussion
Prostate cancer is the most common cancer among men and the second most leading cause of death. The use of PSA and DRE for screening followed by core needle biopsy examination has resulted in the early detection of prostate cancer within small prostate gland, and at times, detection of pseudoneoplastic changes such as ASAP, prostatic atrophy, and basal cell hyperplasia.[21] Double-cocktail IHC using P63 and AMACR in adjunct to histological findings is essential for diagnosis of benign mimickers and premalignant lesions. For prognostication, sensitive immunohistochemical markers such as AR and HER2/neu are used to identify clinically indolent but potentially aggressive tumors.
Histological diagnosis of adenocarcinoma of prostate is based on the presence of the major and minor criteria [Table 1].[22]
In this study, diagnosis was based on the above-mentioned histopathological criteria. The adenocarcinoma was graded using the modified Gleason's score postulated by the International Society for Urological Pathologists in 2005. The cases which were diagnosed in the category of premalignant lesion were confirmed using IHC. The basal cell markers commonly used are HMWCK (34bE12, cytokeratin [CK] 5/6)[23] [24] and p63,[25] which are cytoplasmic and nuclear antibodies, respectively. In this study, we used p63 which was present in all the basal cells of normal gland and was focally present in some of the premalignant lesions. AMACR is upregulated in prostate cancer. Antibodies (P504S) are developed against this protein.[26] Immunohistochemically, this antibody stains the prostatic cancer cells and its sensitivity varies from 82% to 100%.[27] [28] [29] [30] [31] [32] In the premalignant lesions of this cases, the malignant prostatic epithelial cells were positive for the marker.
For prognostication of the prostatic carcinoma, we have used two immunohistochemical markers. The AR marker stained both the benign and the malignant gland. Prognostication was done by calculating the percentage of staining of the cells. In this study, it was found that in every case, there was an intense staining of benign and malignant epithelial component of prostate, but the percentage of staining was significantly lower in the benign glands as compared to the malignant glands, which was consistent with the finding of the previous studies.[17] Takeda et al.[33] and Segawa et al.[34] found that higher AR values are associated with good prognosis. Inoue et al.[35] and Li et al.[36] found poor prognosis with higher value of AR.
The other prognostic marker used in this study was HER2/neu, and its relation to age, Gleason Score, and the PSA value was studied. It was found that patients who presented with adenocarcinoma at a younger age showed overexpression of HER2/neu receptor, which was in concordance with the previous studies.[20]
The relation of the HER2/neu receptor expression with the Gleason's score showed a slight overexpression in staining of the adenocarcinoma with higher Gleason score (≥7). A similar result was also found in the study conducted in a hospital in Shanghai China in 2007.[37] In 2010, a group of researchers found a consistent relationship between HER2/neu score and the Gleason score which showed an increased in the rate of morbidity and mortality in patients with low Gleason score of <7 href="https://www.thieme-connect.com/products/ejournals/html/10.4103/ijmpo.ijmpo_139_17#JR_38" xss=removed>38]
Siampanopoulou et al.[39] in his study showed that an initial increased level of PSA is associated with poor prognosis having early bone and distant metastasis and also overexpression of HER2/neu. Several other studies have also concluded with similar findings. In this study, elevated levels of PSA were found to be associated with more overexpression of HER2/neu, which was in concordance with the previous studies.
Histological evaluation is the mainstay in diagnosing prostatic adenocarcinoma. The premalignant lesions are confirmed using immunohistochemical markers which also help in identifying small foci of atypical cells. Prostatic neoplasm, being an aggressive cancer, is needed to be prognosticated for better patient management and survival.
- Emerging biomarkers for the detection and management of prostate carcinoma. chapter 19, Biopsy Interpretation Series. Biopsy Interpretation of the Prostate. In: Epstein JI, Netto GJ. editors 4th ed. USA: Lippincott Williams and Wilkins; 2008: 330-9
- Epstein JI, Potter SR. The pathologic interpretation and significance of prostate needle biopsy findings: Implications and current controversies. J Urol 2001; 166: 402-10
- Stamey TA, Caldwell M, McNeal JE, Nolley R, Hemenez M, Downs J. The prostate specific antigen era in the United States is over for prostate cancer: What happened in the last 20 years?. J Urol 2004; 172: 1297-301
- Polascik TJ, Oesterling JE, Partin AW. Prostate specific antigen: A decade of discovery-what we have learned and where we are going. J Urol 1999; 162: 293-306
- Sardana G, Dowell B, Diamandis EP. Emerging biomarkers for the diagnosis and prognosis of prostate cancer. ClinChem 2008; 54: 1951-60
- Molinié V, Fromont G, Sibony M, Vieillefond A, Vassiliu V, Cochand-Priollet B. et al. Baglin. Diagnostic utility of a p63/alpha-methyl-CoA-racemase (p504s) cocktail in atypical foci in the prostate Mod Pathol 2004; 17: 1180-90
- Hameed O, Sublett J, Humphrey PA. Immunohistochemical stains for p63 and alpha-methylacyl-CoA racemase, versus a cocktail comprising both, in the diagnosis of prostatic carcinoma: a comparison of the immunohistochemical staining of 430 foci in radical prostatectomy and needle biopsy tissues. Am J SurgPathol 2005; 29: 579-87
- Sanderson SO, Sebo TJ, Murphy LM. et al. An analysis of the p63/ alpha-methylacyl coenzyme A racemaseimmunohistochemical cocktail stain in prostate needle biopsy specimens and tissue microarrays. Am J ClinPathol 2004; 121: 220-5
- Browne TJ, Hirsch MS, Brodsky G, Welch WR, Loda MF, Rubin MA. Prospective evaluation of - AMACR (P504S) and basal cell markers in the assessment of routine prostate needle biopsy specimens. Hum Pathol 2004; 35: 1462-8
- Jiang Z, Li C, Fischer A, Dresser K, Woda BA. Using an AMACR (P504S)/34betaE12/p63 cocktail for the detection of small focal prostate carcinoma in needle biopsy specimens. Am J ClinPathol 2005; 123: 231-6
- Neto AS, Tobias-Machado M, Wroclawski ML. Molecular oncogenesis of prostate adenocarcinoma: role of the human epidermal growth factor receptor 2 (HER-2/neu). Tumori 2010; 96: 645-9
- Baek KH, Hong ME, Jung YY. et al. Correlation of AR, EGFR, and HER-2 expression levels in prostate cancer: Immunohistochemical analysis and chromogenic in situ hybridization. Cancer Res Treat 2012; 44: 50-6
- Montironi R, Mazzucchelli R, Barbisan F. HER-2 expression and gene amplification in pT2a Gleason score 6 prostate cancer incidentally detected in cyst prostatectomies: Comparison with clinically detected androgen-dependent and androgen-independent cancer. Hum Pathol 2006; 37: 1137-44
- Ali NahitSendur M, Aksoy S, Ozdemir NY, Zengin N, Altundaǧ K. What is the mechanism of progression with Trastuzumab treatment - escape or resistance?. Asian Pac J Cancer Prev 2012; 13: 5915-6
- Carrión-Salip D, Panosa C, Menendez JA. Androgen-independent prostate cancer cells circumvent EGFR inhibition by overexpression of alternative HER receptors and ligands. Int J Oncol 2012; 41: 1128-38
- Gates JD, Carmichael MG, Benavides LC, Holmes JP, Hueman MT, Woll MM. Long term follow up assessment of a HER-2/neu peptide (E75) vaccine for prevention of recurrence in high-risk prostate cancer patients. J Coll Surg 2009; 208: 193-201
- Qiu YQ, Leuschner I, Braun PN. Androgen receptor expression in clinically localized prostatecancer: Immunohistochemistry study and literature review. Asian J Androl 2008; 10: 855-63
- Gleason DF, Mellinger GT. Prediction of prognosis for prostatic adenocarcinoma by combined histological grading and clinical staging. J Urol 1974; 11: 58-64
- Allsbrook Jr WC, Mangold KA, Johnson MH, Lane RB, Lane CG, Amin B. et al. Interobserver reproducibility of Gleasons grading of prostatic carcinoma: Urologic pathologists. Hum Pathol 2001; 32: 74-80
- Zahir ST, Tafti HF, Rahmani K. Overexpression of HER-2/neu in Patients with Prostatic Adenocarcinoma. Asian Pac J Cancer Prev 2014; 15: 6425-8
- Iczkowski KA, Maclennan GT. Atypical small acinar proliferation suspicious for malignancy in prostate needle biopsies. Am J Surg Pathol 1997; 21: 1489-95
- Algaba F, Epstein JI, Aldape HC, Farrow GM, Lopez-Beltran A, Maksem J. et al. Assessment of prostate carcinoma in core needle biopsy-definition of minimal criteria for the diagnosis of cancer in biopsy material. Cancer 1996; 78: 376-81
- Goldstein NS, Underhill J, Roszka J, Neill JS. Cytokeratin 34 beta E-12 immunoreactivity in benign prostatic acini. Quantitation, pattern assessment, and electron microscopic study. Am J Clin Pathol 1999; 112: 69-74
- Wojno KJ, Epstein JI. The utility of basal cell-specific anticytokeratin antibody (34 beta E12) in the diagnosis of prostate cancer. A review of 228 cases. Am J Surg Pathol 1995; 19: 251-60
- Weinstein MH, Signoretti S, Loda M. Diagnostic utility of immunohistochemical staining for p63, a sensitive marker of prostatic basal cells. Mod Pathol 2002; 15: 1302-8
- Zhou M, Chinnaiyan AM, Kleer CG, Lucas PC, Rubin MA. Alpha-MethylacylCoA racemase: A novel tumor marker over-expressed in several human cancers and their precursor lesions. Am J Surg Pathol 2002; 26: 926-31
- Jiang Z, Woda BA, Rock KL, Xu Y, Savas L, Khan A. et al. P504S: A new molecular marker for the detection of prostate carcinoma. Am J Surg Pathol 2001; 25: 1397-140
- Jiang Z, Wu CL, Woda BA, Dresser K, Xu J, Fanger GR. et al. P504S/alpha-methylacyl-CoA racemase: A useful marker for diagnosis of small foci of prostatic carcinoma on needle biopsy. Am J Surg Pathol 2002; 26: 1169-74
- Jiang Z, Wu CL, Woda BA, Iczkowski KA, Chu PG, Tretiakova MS. et al. Alpha-methylacyl-CoA racemase: A multi-institutional study of a new prostate cancer marker. Histopathology 2004; 45: 218-25
- Beach R, Gown AM, De Peralta-Venturina MN, Folpe AL, Yaziji H, Salles PG. et al. P504S immunohistochemical detection in 405 prostatic specimens including 376 18-gauge needle biopsies. Am J Surg Pathol 2002; 26: 1588-96
- Magi-Galluzzi C, Luo J, Isaacs WB, Hicks JL, de Marzo AM, Epstein JI. Alpha-methylacylCoA racemase: A variably sensitive immunohistochemical marker for the diagnosis of small prostate cancer foci on needle biopsy. Am J Surg Pathol 2003; 27: 1128-33
- Kunju LP, Rubin MA, Chinnaiyan AM, Shah RB. Diagnostic usefulness of monoclonal antibody P504S in the workup of atypical prostatic glandular proliferations. Am J Clin Pathol 2003; 120: 737-45
- Takeda H, Akakura K, Masai M, Akimoto S, Yatani R, Shimazaki J. Androgen receptor content of prostate carcinoma cells estimated by immunohistochemistry is related to prognosis of patients with stage D2 prostate carcinoma. Cancer 1996; 77: 934-40
- Segawa N, Mori I, Utsunomiya H, Nakamura M, Nakamura Y, Shan L. et al. Prognostic significance of neuroendocrine differentiation, proliferation activity and androgen receptor expression in prostate cancer. Pathol Int 2001; 51: 452-9
- Inoue T, Segawa T, Shiraishi T, Yoshida T, Toda Y, Yamada T. et al. Androgen receptor, Ki67, and P53 expression in radical prostatectomy specimens predict treatment failure in Japanese population. Urology 2005; 66: 332-7
- Li R, Wheeler T, Dai H, Frolov A, Thompson T, Ayala G. High level of androgen receptor is associated with aggressive clinicopathologic features and decreased biochemical recurrence-free survival in prostate. Am J Surg Pathol 2004; 28: 928-34
- Bai Q, Chen F, Qi J. et al. Relationship between HER-2/ neu overexpression and androgen independent prostate cancer. Zhonghua Nan Ke Xue 2007; 13: 414-6
- Neto AS, Tobias-Machado M, Wroclawski ML, Fonseca FL, Teixeira GK, Amarante RD. et al. Her-2/neu expression in prostate adenocarcinoma: A systematic review and meta-analysis. J Urol 2010; 184: 842-50
- Siampanopoulou M, Galaktidou G, Dimasis N, Gotzamani- Psarrakou A. Profiling serum HER-2/NEU in prostate cancer. Hippokratia 2013; 17: 108-112
Address for correspondence
Publication History
Article published online:
03 June 2021
© 2019. Indian Society of Medical and Paediatric Oncology. This is an open access article published by Thieme under the terms of the Creative Commons Attribution-NonDerivative-NonCommercial-License, permitting copying and reproduction so long as the original work is given appropriate credit. Contents may not be used for commercial purposes, or adapted, remixed, transformed or built upon. (https://creativecommons.org/licenses/by-nc-nd/4.0/).
Thieme Medical and Scientific Publishers Pvt. Ltd.
A-12, 2nd Floor, Sector 2, Noida-201301 UP, India
| Figure 1 Photomicrograph of basal cell hyperplasia. (H and E, ×400) (b) Photomicrograph showing P63 positivity of basal cell nucleus. (×400) (c) Photomicrograph showing alpha-methylacyl-CoA-racemase negativity. (×400)
| Figure 2 Relation of prostatic-specific antigen values with prostatic lesions
| Figure 3 Correlation of prostatic-specific antigen and Gleason Score
| Figure 4 Photomicrograph showing prostatic adenocarcinoma – Gleason Grade 3 (H and E, ×400), (b) Photomicrograph showing prostatic adenocarcinoma – GleasonGrade 4 (H and E, ×400), (c) Photomicrograph showing prostatic adenocarcinoma – Gleason Grade 5 (H and E, ×400), (d) Androgen receptor nuclear positivity of malignant epithelial cells (×400), (e) Androgen receptor positivity of stromal cells (×400), (f) human epidermal growth factor receptor 2/neu membrane positivity of malignant epithelial cells (×400)
| Figure 5 Photomicrograph showing atypical small acinar cell proliferation (H and E, ×400), (b) Photomicrograph showing high-grade prostatic intraepithelial neoplasia (H and E, ×400), (c) Photomicrograph showing atypical adenomatous hyperplasia (H and E, ×400), (d) Photomicrograph showing morphology camouflaged with inflammation (H and E, ×400)
| Figure 6 Expression of androgen receptor of benign and malignant areas of adenocarcinoma cases
| Figure 7 Photomicrograph showing perineural invasion (H and E, ×400) (b) Photomicrograph showing human epidermal growth factor receptor 2/neu membrane positivity of malignant epithelial cells (×400)
| Figure 8 Human epidermal growth factor receptor 2/neu with respect to age, Gleason Score, and the prostatic-specific antigen value
References
- Emerging biomarkers for the detection and management of prostate carcinoma. chapter 19, Biopsy Interpretation Series. Biopsy Interpretation of the Prostate. In: Epstein JI, Netto GJ. editors 4th ed. USA: Lippincott Williams and Wilkins; 2008: 330-9
- Epstein JI, Potter SR. The pathologic interpretation and significance of prostate needle biopsy findings: Implications and current controversies. J Urol 2001; 166: 402-10
- Stamey TA, Caldwell M, McNeal JE, Nolley R, Hemenez M, Downs J. The prostate specific antigen era in the United States is over for prostate cancer: What happened in the last 20 years?. J Urol 2004; 172: 1297-301
- Polascik TJ, Oesterling JE, Partin AW. Prostate specific antigen: A decade of discovery-what we have learned and where we are going. J Urol 1999; 162: 293-306
- Sardana G, Dowell B, Diamandis EP. Emerging biomarkers for the diagnosis and prognosis of prostate cancer. ClinChem 2008; 54: 1951-60
- Molinié V, Fromont G, Sibony M, Vieillefond A, Vassiliu V, Cochand-Priollet B. et al. Baglin. Diagnostic utility of a p63/alpha-methyl-CoA-racemase (p504s) cocktail in atypical foci in the prostate Mod Pathol 2004; 17: 1180-90
- Hameed O, Sublett J, Humphrey PA. Immunohistochemical stains for p63 and alpha-methylacyl-CoA racemase, versus a cocktail comprising both, in the diagnosis of prostatic carcinoma: a comparison of the immunohistochemical staining of 430 foci in radical prostatectomy and needle biopsy tissues. Am J SurgPathol 2005; 29: 579-87
- Sanderson SO, Sebo TJ, Murphy LM. et al. An analysis of the p63/ alpha-methylacyl coenzyme A racemaseimmunohistochemical cocktail stain in prostate needle biopsy specimens and tissue microarrays. Am J ClinPathol 2004; 121: 220-5
- Browne TJ, Hirsch MS, Brodsky G, Welch WR, Loda MF, Rubin MA. Prospective evaluation of - AMACR (P504S) and basal cell markers in the assessment of routine prostate needle biopsy specimens. Hum Pathol 2004; 35: 1462-8
- Jiang Z, Li C, Fischer A, Dresser K, Woda BA. Using an AMACR (P504S)/34betaE12/p63 cocktail for the detection of small focal prostate carcinoma in needle biopsy specimens. Am J ClinPathol 2005; 123: 231-6
- Neto AS, Tobias-Machado M, Wroclawski ML. Molecular oncogenesis of prostate adenocarcinoma: role of the human epidermal growth factor receptor 2 (HER-2/neu). Tumori 2010; 96: 645-9
- Baek KH, Hong ME, Jung YY. et al. Correlation of AR, EGFR, and HER-2 expression levels in prostate cancer: Immunohistochemical analysis and chromogenic in situ hybridization. Cancer Res Treat 2012; 44: 50-6
- Montironi R, Mazzucchelli R, Barbisan F. HER-2 expression and gene amplification in pT2a Gleason score 6 prostate cancer incidentally detected in cyst prostatectomies: Comparison with clinically detected androgen-dependent and androgen-independent cancer. Hum Pathol 2006; 37: 1137-44
- Ali NahitSendur M, Aksoy S, Ozdemir NY, Zengin N, Altundaǧ K. What is the mechanism of progression with Trastuzumab treatment - escape or resistance?. Asian Pac J Cancer Prev 2012; 13: 5915-6
- Carrión-Salip D, Panosa C, Menendez JA. Androgen-independent prostate cancer cells circumvent EGFR inhibition by overexpression of alternative HER receptors and ligands. Int J Oncol 2012; 41: 1128-38
- Gates JD, Carmichael MG, Benavides LC, Holmes JP, Hueman MT, Woll MM. Long term follow up assessment of a HER-2/neu peptide (E75) vaccine for prevention of recurrence in high-risk prostate cancer patients. J Coll Surg 2009; 208: 193-201
- Qiu YQ, Leuschner I, Braun PN. Androgen receptor expression in clinically localized prostatecancer: Immunohistochemistry study and literature review. Asian J Androl 2008; 10: 855-63
- Gleason DF, Mellinger GT. Prediction of prognosis for prostatic adenocarcinoma by combined histological grading and clinical staging. J Urol 1974; 11: 58-64
- Allsbrook Jr WC, Mangold KA, Johnson MH, Lane RB, Lane CG, Amin B. et al. Interobserver reproducibility of Gleasons grading of prostatic carcinoma: Urologic pathologists. Hum Pathol 2001; 32: 74-80
- Zahir ST, Tafti HF, Rahmani K. Overexpression of HER-2/neu in Patients with Prostatic Adenocarcinoma. Asian Pac J Cancer Prev 2014; 15: 6425-8
- Iczkowski KA, Maclennan GT. Atypical small acinar proliferation suspicious for malignancy in prostate needle biopsies. Am J Surg Pathol 1997; 21: 1489-95
- Algaba F, Epstein JI, Aldape HC, Farrow GM, Lopez-Beltran A, Maksem J. et al. Assessment of prostate carcinoma in core needle biopsy-definition of minimal criteria for the diagnosis of cancer in biopsy material. Cancer 1996; 78: 376-81
- Goldstein NS, Underhill J, Roszka J, Neill JS. Cytokeratin 34 beta E-12 immunoreactivity in benign prostatic acini. Quantitation, pattern assessment, and electron microscopic study. Am J Clin Pathol 1999; 112: 69-74
- Wojno KJ, Epstein JI. The utility of basal cell-specific anticytokeratin antibody (34 beta E12) in the diagnosis of prostate cancer. A review of 228 cases. Am J Surg Pathol 1995; 19: 251-60
- Weinstein MH, Signoretti S, Loda M. Diagnostic utility of immunohistochemical staining for p63, a sensitive marker of prostatic basal cells. Mod Pathol 2002; 15: 1302-8
- Zhou M, Chinnaiyan AM, Kleer CG, Lucas PC, Rubin MA. Alpha-MethylacylCoA racemase: A novel tumor marker over-expressed in several human cancers and their precursor lesions. Am J Surg Pathol 2002; 26: 926-31
- Jiang Z, Woda BA, Rock KL, Xu Y, Savas L, Khan A. et al. P504S: A new molecular marker for the detection of prostate carcinoma. Am J Surg Pathol 2001; 25: 1397-140
- Jiang Z, Wu CL, Woda BA, Dresser K, Xu J, Fanger GR. et al. P504S/alpha-methylacyl-CoA racemase: A useful marker for diagnosis of small foci of prostatic carcinoma on needle biopsy. Am J Surg Pathol 2002; 26: 1169-74
- Jiang Z, Wu CL, Woda BA, Iczkowski KA, Chu PG, Tretiakova MS. et al. Alpha-methylacyl-CoA racemase: A multi-institutional study of a new prostate cancer marker. Histopathology 2004; 45: 218-25
- Beach R, Gown AM, De Peralta-Venturina MN, Folpe AL, Yaziji H, Salles PG. et al. P504S immunohistochemical detection in 405 prostatic specimens including 376 18-gauge needle biopsies. Am J Surg Pathol 2002; 26: 1588-96
- Magi-Galluzzi C, Luo J, Isaacs WB, Hicks JL, de Marzo AM, Epstein JI. Alpha-methylacylCoA racemase: A variably sensitive immunohistochemical marker for the diagnosis of small prostate cancer foci on needle biopsy. Am J Surg Pathol 2003; 27: 1128-33
- Kunju LP, Rubin MA, Chinnaiyan AM, Shah RB. Diagnostic usefulness of monoclonal antibody P504S in the workup of atypical prostatic glandular proliferations. Am J Clin Pathol 2003; 120: 737-45
- Takeda H, Akakura K, Masai M, Akimoto S, Yatani R, Shimazaki J. Androgen receptor content of prostate carcinoma cells estimated by immunohistochemistry is related to prognosis of patients with stage D2 prostate carcinoma. Cancer 1996; 77: 934-40
- Segawa N, Mori I, Utsunomiya H, Nakamura M, Nakamura Y, Shan L. et al. Prognostic significance of neuroendocrine differentiation, proliferation activity and androgen receptor expression in prostate cancer. Pathol Int 2001; 51: 452-9
- Inoue T, Segawa T, Shiraishi T, Yoshida T, Toda Y, Yamada T. et al. Androgen receptor, Ki67, and P53 expression in radical prostatectomy specimens predict treatment failure in Japanese population. Urology 2005; 66: 332-7
- Li R, Wheeler T, Dai H, Frolov A, Thompson T, Ayala G. High level of androgen receptor is associated with aggressive clinicopathologic features and decreased biochemical recurrence-free survival in prostate. Am J Surg Pathol 2004; 28: 928-34
- Bai Q, Chen F, Qi J. et al. Relationship between HER-2/ neu overexpression and androgen independent prostate cancer. Zhonghua Nan Ke Xue 2007; 13: 414-6
- Neto AS, Tobias-Machado M, Wroclawski ML, Fonseca FL, Teixeira GK, Amarante RD. et al. Her-2/neu expression in prostate adenocarcinoma: A systematic review and meta-analysis. J Urol 2010; 184: 842-50
- Siampanopoulou M, Galaktidou G, Dimasis N, Gotzamani- Psarrakou A. Profiling serum HER-2/NEU in prostate cancer. Hippokratia 2013; 17: 108-112
PDF
Views
Share

