Deceptive Presentation of Low-Grade Lymphoma with Grade 3 Marrow Fibrosis and Aplasia: Diagnostic and Clinical Considerations
CC BY 4.0 · Indian J Med Paediatr Oncol 2025; 46(05): 517-520
DOI: DOI: 10.1055/s-0043-1771264
Abstract
Bone marrow fibrosis with lymphoproliferative disorders is rare with the exception of hairy cell leukemia and nodular sclerosis Hodgkin's lymphoma. We report the case of a 63-year-old gentleman with indolent B-cell lymphoma presenting with myelofibrosis and aplasia. He was evaluated for pancytopenia with no organomegaly or lymphadenopathy. Bone marrow aspiration was a dry tap and biopsy revealed a hypocellular marrow with a cellularity of 10 to 20% with absent megakaryocytes and grade 2 to 3 reticulin fibrosis. Myeloproliferative neoplasms were ruled out based on morphology and absence of myeloid mutations on next-generation sequencing. Further sections revealed interstitial infiltrates of lymphoid cells with round, clumped chromatin and inconspicuous nucleoli, which on immunohistochemistry (IHC) were positive for CD20 and BCL2, and negative for CD5, CD10, BCL6, annexin A1, cyclin D1, and TdT. The final diagnosis was thus confirmed as CD5-negative low-grade B-cell lymphoma and he was initiated on therapy with a combination of Bendamustine and Rituximab. He had resolution of symptoms and cytopenia after six cycles of the same. Presence of significant myelofibrosis on the background of a hypocellular marrow can mimic several subtypes of myeloproliferative neoplasms or myelodysplastic syndromes, providing a diagnostic challenge. IHC is essential in determining the exact subtype to decide further therapy. Based on literature search, only a handful of patients with this presentation have been described and this case will be a valuable addition to the same.
Keywords
Author's Contributions
S.S., R.S. and J.S. wrote the manuscript. P.P. evaluated the morphological images, reviewed the manuscript, and approved the final version.
Patient's Consent
The authors certify that they have obtained all appropriate patient consent forms. In the form, the patient has given her consent for images and other clinical information to be reported in the journal. The patient understands that name and initials will not be published and due efforts will be made to conceal the identity, but anonymity cannot be guaranteed.
Publication History
Article published online:
07 August 2023
© 2023. The Author(s). This is an open access article published by Thieme under the terms of the Creative Commons Attribution License, permitting unrestricted use, distribution, and reproduction so long as the original work is properly cited. (https://creativecommons.org/licenses/by/4.0/)
Thieme Medical and Scientific Publishers Pvt. Ltd.
A-12, 2nd Floor, Sector 2, Noida-201301 UP, India
- Clinicopathological Study of Marrow Infiltration by Lymphoproliferative Disorders: A 2-year Experience from a Cancer InstituteSai Mallikarjun, Asian Journal of Oncology
- Clinicopathological Study of Marrow Infiltration by Lymphoproliferative Disorders: A 2-year Experience from a Cancer InstituteSai Mallikarjun, Asian Journal of Oncology
- Primary Pulmonary AIDS-Related Lymphoma (PPL)J Jochum, Ultraschall in der Medizin - European Journal of Ultrasound, 2013
- A 32-Year-Old Man with Hepatitis C Who Developed Progressive Liver Failure after a Bone Marrow TransplantAndre C. Lyra, Seminars in Liver Disease, 2002
- A 32-Year-Old Man with Hepatitis C Who Developed Progressive Liver Failure after a Bone Marrow TransplantAndre C. Lyra, Seminars in Liver Disease, 2002
- Blocking common γ chain cytokine signaling ameliorates T cell–mediated pathogenesis in disease models<svg viewBox="0 0 24 24" fill="none" xmlns="http://www.w3.org/2000/svg">
</svg>Audrey Le Floc’h, Sci Transl Med, 2023 - Acquired pure red cell aplasia: unraveling the immune pathogenesis<svg viewBox="0 0 24 24" fill="none" xmlns="http://www.w3.org/2000/svg">
</svg>Mengyuan Liu Tian Zhang Xifeng Dong Huaquan Wang, Journal of Bio-X Research AAAS, 2023 - Papers of note in Science Translational Medicine 9 (396)<svg viewBox="0 0 24 24" fill="none" xmlns="http://www.w3.org/2000/svg">
</svg>Leslie K. Ferrarelli, Sci Signal, 2017 - Elafin Is a Biomarker of Graft-Versus-Host Disease of the Skin<svg viewBox="0 0 24 24" fill="none" xmlns="http://www.w3.org/2000/svg">
</svg>Sophie Paczesny, Thomas M. Braun, John E. Levine, et al., Sci Transl Med, 2010 - Checkpoint Therapy to the Rescue<svg viewBox="0 0 24 24" fill="none" xmlns="http://www.w3.org/2000/svg">
</svg>Bishoy M. Faltas, Sci Transl Med, 2014
Abstract
Bone marrow fibrosis with lymphoproliferative disorders is rare with the exception of hairy cell leukemia and nodular sclerosis Hodgkin's lymphoma. We report the case of a 63-year-old gentleman with indolent B-cell lymphoma presenting with myelofibrosis and aplasia. He was evaluated for pancytopenia with no organomegaly or lymphadenopathy. Bone marrow aspiration was a dry tap and biopsy revealed a hypocellular marrow with a cellularity of 10 to 20% with absent megakaryocytes and grade 2 to 3 reticulin fibrosis. Myeloproliferative neoplasms were ruled out based on morphology and absence of myeloid mutations on next-generation sequencing. Further sections revealed interstitial infiltrates of lymphoid cells with round, clumped chromatin and inconspicuous nucleoli, which on immunohistochemistry (IHC) were positive for CD20 and BCL2, and negative for CD5, CD10, BCL6, annexin A1, cyclin D1, and TdT. The final diagnosis was thus confirmed as CD5-negative low-grade B-cell lymphoma and he was initiated on therapy with a combination of Bendamustine and Rituximab. He had resolution of symptoms and cytopenia after six cycles of the same. Presence of significant myelofibrosis on the background of a hypocellular marrow can mimic several subtypes of myeloproliferative neoplasms or myelodysplastic syndromes, providing a diagnostic challenge. IHC is essential in determining the exact subtype to decide further therapy. Based on literature search, only a handful of patients with this presentation have been described and this case will be a valuable addition to the same.
Keywords
Introduction
Indolent B-cell lymphoproliferative disorders are associated with bone marrow involvement in a majority of patients.[1] The extent of marrow involvement and resultant cytopenias are variable, which are most significant in hairy cell leukemia. Several other subtypes of lymphoproliferative disorders can present with varying degrees of fibrosis, which is usually grade 1 to 2 and the primary pathology is typically evident. More severe degrees of fibrosis can mimic myeloproliferative disorders or myelodysplastic syndromes (MDS) and lead to diagnostic delays. Reports from the pre-Rituximab era have indicated inferior outcomes in patients presenting with marrow fibrosis, indicating a potential prognostic impact that needs to be validated in the current era.[2] We report a patient with low-grade B-cell lymphoma who presented with uncommon findings of bone marrow aplasia and grade 2 to 3 fibrosis and provide a short summary of diagnostic and clinical correlates.
Case Report
Mr. H, a 63-year-old gentleman with no prior comorbidities, presented with anorexia and generalized weakness for 1 month. On evaluation elsewhere, he was noted to have bicytopenia with a hemoglobin concentration of 7.9 g/dL, white blood cell (WBC) count of 1,400/µL (N70%, L19%), and platelet count of 87,000/µL with no atypical cells on peripheral smear. A bone marrow aspiration resulted in a dry tap, and biopsy revealed the presence of a hypocellular marrow (∼20%. cellularity) with grade 3 reticulin fibrosis. Due to persistent cytopenia, he was referred to us for further evaluation.
Initial examination was unremarkable except palpable hepatomegaly 2 cm below the right costal margin. There was no lymphadenopathy or other significant findings. Preliminary investigations were similar to outside reports, with no abnormal cells noted on peripheral smear. Liver and renal function tests and autoimmune markers were negative. A bone marrow examination was repeated, which again resulted in a dry tap. Trephine biopsy revealed a hypocellular marrow with a cellularity of 10 to 20%. associated with absent megakaryocytes and grade 2 to 3 reticulin fibrosis ([Figs. 1] and [2]). On further sections, interstitial infiltrates of small-sized lymphoid cells with round, clumped chromatin and inconspicuous nucleoli were noted. These cells were positive for CD20 and BCL2, and negative for CD5, CD10, BCL6, annexin A1, cyclin D1, and TdT on immunohistochemistry (IHC). Fluorescent in situ hybridization (FISH) panel for MDS and next-generation sequencing (NGS) for myeloid mutations were initially sent, both of which were negative.
Fig 1: Bone marrow trephine biopsy showing a hypocellular marrow with approximately 10
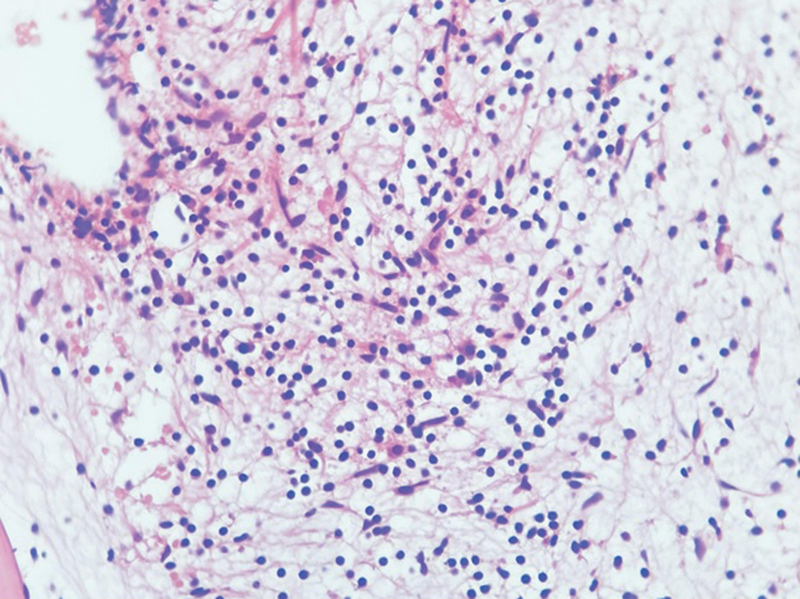
Fig. 2 High power view of bone marrow trephine biopsy showing small lymphoid cells and grade 2–3 fibrosis. H&E, 400X.
Fluorodeoxyglucose positron emission tomography (FDG-PET) scan showed faint diffuse skeletal uptake with a maximum standardized uptake value (SUV max) of 2.5, with no other focal lesions. He was thus diagnosed as CD5/CD10-negative indolent-grade B-cell lymphoma, likely marginal zone lymphoma.
He was initiated on chemotherapy with Bendamustine–Rituximab, which was associated with significant symptomatic improvement. After 3 cycles, Hb was 10 g/dL, WBC 2,500/µL (N52%, L18%), and platelets 126,000/µL. A bone marrow examination repeated after 3 months to assess any change in fibrosis and cellularity was again a dry tap. Biopsy demonstrated minimal improvement in cellularity (∼30%) with an increase in myeloid precursors.
Chemotherapy was continued for another three cycles, following which his WBC count stabilized at 2,500 to 2,700/µL. Repeat FDG-PET scan did not show any lesions. He continues to be free of symptoms and is on regular follow-up
Discussion
Bone marrow fibrosis occurring along with indolent B-cell lymphoma has been observed in 5 to 10% patients in various series.[3] [4] Although marrow fibrosis is a prominent finding with several subtypes of lymphoma, including hairy cell leukemia and nodular sclerosis Hodgkin's lymphoma, grade 2 to 3 fibrosis with marrow aplasia at presentation is uncommon and can potentially mask the underlying diagnosis. Our patient demonstrates the above phenomenon and provides several important teaching points.
The presence of organomegaly, marrow fibrosis, and a dry bone marrow aspirate can mimic several subtypes of myeloproliferative neoplasms (MPNs). In our patient, initial evaluation was directed toward the same. Both these were ruled out by the absence of myeloid mutations by NGS and later by the finding of lymphoid aggregates. It is important to remember that up to 10% of patients with MPNs can be triple negative (without a JAK2/CALR or c-MPL driver mutation), and must be carefully ruled out based on morphology and IHC.[5] NGS is the most sensitive test in routine practice to detect myeloid mutations and must be used wherever possible.
Once indolent lymphoma is suspected, IHC offers the best method of further subclassification. A CD5-negative/CD10-negative phenotype can be observed in marginal zone lymphoma, hairy cell leukemia, lymphoplasmacytic lymphoma, chronic lymphocytic leukemia, and certain subsets of follicular lymphoma.[6] From a clinical standpoint, this differentiation is essential for determining therapeutic options and expected outcomes.
Approximately 100% of patients with hairy cell leukemia demonstrate positive staining for annexin A1, which was negative in our patient.[7] Annexin A1 also stains background T cells and myeloid cells, and negative staining is a significant finding. We also noted negative staining for cyclin D1 and CD5, which makes mantle cell lymphoma extremely unlikely. Rarely patients with mantle cell lymphoma may be CD5 negative, but still demonstrate positive staining for cyclin D1.[8] Based on these findings, our patient likely had marginal zone lymphoma with isolated marrow involvement and with no other lesions noted on PET scan. Only a handful of reports with similar presentation are available on literature search, and we summarize two reports of two patients with marginal zone lymphoma with very similar findings to our patient ([Table 1]).[9] [10]
|
Tsutsui et al[10] |
Matsunaga et al[9] |
Our patient |
|
|---|---|---|---|
|
Age (y) |
71 |
73 |
63 |
|
Initial symptoms |
Splenomegaly |
Fever and malaise |
Fever and malaise |
|
Hb (g/dL) |
6.9 |
8.4 |
7.9 |
|
TLC (cells/µL) |
1,000 |
N/A |
1,400 |
|
Differential count |
N 20, L45 |
ALC 5,600/µL |
N70, L19 |
|
Platelets (cells/µL) |
91,000 |
84,000 |
87,000 |
|
Others |
Peripheral blood flow cytometry positive for CD19, CD20, HLA-DR, IgM, IgD, and lambda, and negative for CD5, CD10, and CD43 |
||
|
BM aspirate |
Dry tap |
Dry tap |
Dry tap |
|
BM biopsy |
MF-2 with increased megakaryocytes |
Diffuse fibrosis with atypical lymphocytes |
Fibrosis grade 2–3 with markedly hypocellular marrow and interstitial infiltrates of atypical lymphoid cells |
|
Mutations |
JAK2/CALR/MPL: negative |
N/A |
JAK2/CALR/MPL and myeloid mutations negative on NGS panel |
|
Other biopsy |
Splenic biopsy |
Splenic biopsy |
|
|
IHC pattern |
Positive for CD20 and negative for CD5, CD10, CD23, cyclin D1, SOX11, and LEF1 |
Positive for CD20, and negative for CD5, CD10, CD43, bcl-2, and cyclin D1 |
Positive for CD20, and negative for CD5, CD10, annexin A1, BCL6, cyclin D1, and Tdt |
|
Treatment |
Rituximab 375 mg/m2 weekly for six wk followed by maintenance |
Cyclophosphamide and fludarabine for six cycles |
Bendamustine–Rituximab for six cycles |
|
Outcome |
Resolution of splenomegaly and counts |
Resolution of counts and symptoms. Died of CMV pneumonitis after 13 mo |
Resolution of counts with mild leucopenia (TLC 2,700/µL) and resolution of symptoms |
Abbreviations: ALC, absolute lymphocyte count; BM, bone marrow; CALR, calreticulin; CMV, cytomegalovirus; Hb, hemoglobin; HLA-DR, human leukocyte antigen-DR; IHC, immunohistochemistry; JAK2, Janus kinase 2; MPL, myeloproliferative leukemia virus oncogene; TLC, total leukocyte count.
Several cell types contribute to the pathogenesis of fibrosis in patients with lymphoma. Along with the tumor cells, mast cells, T-helper cells, and megakaryocytes are shown to contribute to the production of profibrotic cytokines.[11] Transforming growth factor-β (TGF-β) plays a major role in mediating the final phenotype, by activating myofibroblasts and modifying the extracellular matrix in the bone marrow.[12] One of the cases cited above demonstrated increased immunohistochemical staining with anti-TGF-β antibodies in the marrow, lending support to this mechanism. A possible link between myelofibrosis and lymphoma has been observed with the finding of an increased incidence of lymphoproliferative disorders in patients with myelofibrosis, which may be increased after treatment with JAK1/2 inhibitors.[13]
The prognostic impact of fibrosis in patients with lymphoma is debatable. Older studies reported inferior outcomes in patients presenting with fibrosis, but the significance of the same in the current treatment era is debatable.[2] Our patient was treated with a combination of Bendamustine and Rituximab, which is associated with significant responses and is well tolerated, even in elderly patients.[14] Our patient had improvement in all three cell lines and continues to be asymptomatic. He is on regular follow-up with a plan to reinstitute Rituximab-based treatment in case of disease relapse.
A prospective evaluation of patients with lymphoproliferative diseases presenting with bone marrow fibrosis would enable identification of any prognostic impact of the same.
Conflict of Interest
None declared.
Acknowledgments
The authors thank Dr. Marie Therese, CMC Vellore, for providing expert inputs on morphologic findings.
Author's Contributions
S.S., R.S. and J.S. wrote the manuscript. P.P. evaluated the morphological images, reviewed the manuscript, and approved the final version.
Patient's Consent
The authors certify that they have obtained all appropriate patient consent forms. In the form, the patient has given her consent for images and other clinical information to be reported in the journal. The patient understands that name and initials will not be published and due efforts will be made to conceal the identity, but anonymity cannot be guaranteed.
References
- Lee WI, Lee JH, Kim IS, Lee KN, Kim SH. Bone marrow involvement by non-Hodgkin's lymphoma. J Korean Med Sci 1994; 9 (05) 402-408
- Ishibashi M, Hisano S, Kimura N. et al. Clinical evaluation of bone marrow fibrosis in non-Hodgkin's lymphomas. Rinsho Ketsueki 1992; 33 (03) 297-302
- Duarte ÍX, Domeny-Duarte P, Wludarski SCL, Natkunam Y, Bacchi CE. Follicular lymphoma in young adults: a clinicopathological and molecular study of 200 patients. Mod Pathol 2013; 26 (09) 1183-1196
- Etienne A, Gruson B, Chatelain D. et al. Myelofibrosis-associated lymphoproliferative disease: retrospective study of 16 cases and literature review. Adv Hematol 2009; 2009: 179847
- Langabeer SE. Chasing down the triple-negative myeloproliferative neoplasms: Implications for molecular diagnostics. JAK-STAT 2016; 5 (2-4): e1248011
- Wang H-Y, Zu Y. Diagnostic algorithm of common mature B-cell lymphomas by immunohistochemistry. Arch Pathol Lab Med 2017; 141 (09) 1236-1246
- Falini B, Tiacci E, Liso A. et al. Simple diagnostic assay for hairy cell leukaemia by immunocytochemical detection of annexin A1 (ANXA1). Lancet 2004; 363 (9424) 1869-1870
- Miao Y, Lin P, Saksena A. et al. CD5-negative mantle cell lymphoma: clinicopathologic correlations and outcome in 58 patients. Am J Surg Pathol 2019; 43 (08) 1052-1060
- Matsunaga T, Takemoto N, Miyajima N. et al. Splenic marginal zone lymphoma presenting as myelofibrosis associated with bone marrow involvement of lymphoma cells which secrete a large amount of TGF-beta. Ann Hematol 2004; 83 (05) 322-325
- Tsutsui M, Yasuda H, Ota Y, Komatsu N. Splenic marginal zone lymphoma with prominent myelofibrosis mimicking triple-negative primary myelofibrosis. Case Rep Oncol 2019; 12 (03) 834-837
- Nakayama S, Yokote T, Hiraoka N. et al. Role of mast cells in fibrosis of classical Hodgkin lymphoma. Int J Immunopathol Pharmacol 2016; 29 (04) 603-611
- Tataroglu C, Sarioglu S, Kargi A, Özkal S, Aydin O. Fibrosis in Hodgkin and non-Hodgkin lymphomas. Pathol Res Pract 2007; 203 (10) 725-730
- Rumi E, Zibellini S, Boveri E. et al. Ruxolitinib treatment and risk of B-cell lymphomas in myeloproliferative neoplasms. Am J Hematol 2019; 94 (07) E185-E188
- Iannitto E, Bellei M, Amorim S. et al. Efficacy of Bendamustine and Rituximab in splenic marginal zone lymphoma: results from the phase II BRISMA/IELSG36 study. Br J Haematol 2018; 183 (05) 755-765
Address for correspondence
Publication History
Article published online:
07 August 2023
© 2023. The Author(s). This is an open access article published by Thieme under the terms of the Creative Commons Attribution License, permitting unrestricted use, distribution, and reproduction so long as the original work is properly cited. (https://creativecommons.org/licenses/by/4.0/)
Thieme Medical and Scientific Publishers Pvt. Ltd.
A-12, 2nd Floor, Sector 2, Noida-201301 UP, India
- Sai Mallikarjun, Asian Journal of Oncology
- Clinicopathological Study of Marrow Infiltration by Lymphoproliferative Disorders: A 2-year Experience from a Cancer InstituteSai Mallikarjun, Asian Journal of Oncology
- Primary Pulmonary AIDS-Related Lymphoma (PPL)J Jochum, Ultraschall in der Medizin - European Journal of Ultrasound, 2013
- A 32-Year-Old Man with Hepatitis C Who Developed Progressive Liver Failure after a Bone Marrow TransplantAndre C. Lyra, Seminars in Liver Disease, 2002
- A 32-Year-Old Man with Hepatitis C Who Developed Progressive Liver Failure after a Bone Marrow TransplantAndre C. Lyra, Seminars in Liver Disease, 2002
- Pediatric Lymphoma<svg viewBox="0 0 24 24" fill="none" xmlns="http://www.w3.org/2000/svg">
</svg>Ilia N. Buhtoiarov, Pediatr Rev, 2017 - An Elusive Case of Acute Lymphoblastic Leukemia Initially Presenting as Myelofibrosis<svg viewBox="0 0 24 24" fill="none" xmlns="http://www.w3.org/2000/svg">
</svg>Sridhi M. Patel, Pediatrics, 2022 - Aplastic and Hypoplastic Anemias<svg viewBox="0 0 24 24" fill="none" xmlns="http://www.w3.org/2000/svg">
</svg>Suzie A. Noronha, Pediatr Rev, 2018 - A Challenging Presentation of Graves' Disease<svg viewBox="0 0 24 24" fill="none" xmlns="http://www.w3.org/2000/svg">
</svg>Kevin W. Tien, Pediatrics, 2019 - Evaluation and Management of Chronic Pancytopenia<svg viewBox="0 0 24 24" fill="none" xmlns="http://www.w3.org/2000/svg">
</svg>Richa Sharma, Pediatr Rev, 2016
Fig 1: Bone marrow trephine biopsy showing a hypocellular marrow with approximately 10

Fig. 2 High power view of bone marrow trephine biopsy showing small lymphoid cells and grade 2–3 fibrosis. H&E, 400X.
References
- Lee WI, Lee JH, Kim IS, Lee KN, Kim SH. Bone marrow involvement by non-Hodgkin's lymphoma. J Korean Med Sci 1994; 9 (05) 402-408
- Ishibashi M, Hisano S, Kimura N. et al. Clinical evaluation of bone marrow fibrosis in non-Hodgkin's lymphomas. Rinsho Ketsueki 1992; 33 (03) 297-302
- Duarte ÍX, Domeny-Duarte P, Wludarski SCL, Natkunam Y, Bacchi CE. Follicular lymphoma in young adults: a clinicopathological and molecular study of 200 patients. Mod Pathol 2013; 26 (09) 1183-1196
- Etienne A, Gruson B, Chatelain D. et al. Myelofibrosis-associated lymphoproliferative disease: retrospective study of 16 cases and literature review. Adv Hematol 2009; 2009: 179847
- Langabeer SE. Chasing down the triple-negative myeloproliferative neoplasms: Implications for molecular diagnostics. JAK-STAT 2016; 5 (2-4): e1248011
- Wang H-Y, Zu Y. Diagnostic algorithm of common mature B-cell lymphomas by immunohistochemistry. Arch Pathol Lab Med 2017; 141 (09) 1236-1246
- Falini B, Tiacci E, Liso A. et al. Simple diagnostic assay for hairy cell leukaemia by immunocytochemical detection of annexin A1 (ANXA1). Lancet 2004; 363 (9424) 1869-1870
- Miao Y, Lin P, Saksena A. et al. CD5-negative mantle cell lymphoma: clinicopathologic correlations and outcome in 58 patients. Am J Surg Pathol 2019; 43 (08) 1052-1060
- Matsunaga T, Takemoto N, Miyajima N. et al. Splenic marginal zone lymphoma presenting as myelofibrosis associated with bone marrow involvement of lymphoma cells which secrete a large amount of TGF-beta. Ann Hematol 2004; 83 (05) 322-325
- Tsutsui M, Yasuda H, Ota Y, Komatsu N. Splenic marginal zone lymphoma with prominent myelofibrosis mimicking triple-negative primary myelofibrosis. Case Rep Oncol 2019; 12 (03) 834-837
- Nakayama S, Yokote T, Hiraoka N. et al. Role of mast cells in fibrosis of classical Hodgkin lymphoma. Int J Immunopathol Pharmacol 2016; 29 (04) 603-611
- Tataroglu C, Sarioglu S, Kargi A, Özkal S, Aydin O. Fibrosis in Hodgkin and non-Hodgkin lymphomas. Pathol Res Pract 2007; 203 (10) 725-730
- Rumi E, Zibellini S, Boveri E. et al. Ruxolitinib treatment and risk of B-cell lymphomas in myeloproliferative neoplasms. Am J Hematol 2019; 94 (07) E185-E188
- Iannitto E, Bellei M, Amorim S. et al. Efficacy of Bendamustine and Rituximab in splenic marginal zone lymphoma: results from the phase II BRISMA/IELSG36 study. Br J Haematol 2018; 183 (05) 755-765
PDF
Views
Share

