Ectopic Non-gestational Pure Choriocarcinoma of the Urinary Bladder in a Young Nulliparous Female: A Diagnostic Challenge
CC BY-NC-ND 4.0 · Indian J Med Paediatr Oncol 2020; 41(03): 423-426
DOI: DOI: 10.4103/ijmpo.ijmpo_71_19
Abstract
Choriocarcinoma can occur at ectopic extragenital locations such as lungs, mediastinum, retroperitoneum, and even in the brain (nongestational choriocarcinoma). Choriocarcinoma arising in the urinary bladder is extremely uncommon with only a few cases reported worldwide. It is important to recognize and give comprehensive diagnosis of this entity, as it has poorer prognosis as compared to the conventional gestational choriocarcinoma and requires stepped-up chemotherapy. Here, we present such a case in a 19-year-old girl and the diagnostic conundrum associated with it.
Publication History
Received: 09 March 2019
Accepted: 06 February 2020
Article published online:
28 June 2021
© 2020. Indian Society of Medical and Paediatric Oncology. This is an open access article published by Thieme under the terms of the Creative Commons Attribution-NonDerivative-NonCommercial-License, permitting copying and reproduction so long as the original work is given appropriate credit. Contents may not be used for commercial purposes, or adapted, remixed, transformed or built upon. (https://creativecommons.org/licenses/by-nc-nd/4.0/.)
Thieme Medical and Scientific Publishers Pvt. Ltd.
A-12, 2nd Floor, Sector 2, Noida-201301 UP, India
Abstract
Choriocarcinoma can occur at ectopic extragenital locations such as lungs, mediastinum, retroperitoneum, and even in the brain (nongestational choriocarcinoma). Choriocarcinoma arising in the urinary bladder is extremely uncommon with only a few cases reported worldwide. It is important to recognize and give comprehensive diagnosis of this entity, as it has poorer prognosis as compared to the conventional gestational choriocarcinoma and requires stepped-up chemotherapy. Here, we present such a case in a 19-year-old girl and the diagnostic conundrum associated with it.
Introduction
Choriocarcinoma is a malignant tumor of trophoblastic cells arising not only in the uterus (gestational choriocarcinoma) but also rarely in extragenital locations such as lungs, mediastinum, retroperitoneum, and in other ectopic sites (nongestational choriocarcinoma). Choriocarcinoma arising in the urinary bladder is extremely rare with only a handful of cases reported worldwide. Of these reported cases, very few are “pure” choriocarcinoma with most of them being either poorly differentiated (high grade) transitional cell carcinoma mixed with components of choriocarcinoma or mixed germ cell tumor of the bladder.[1] Most of the nongestational choriocarcinomas described in the literature have been found in either infants and young children or males. It is important to recognize and give comprehensive diagnosis of primary nongestational “pure” choriocarcinoma in comparison to conventional gestational choriocarcinoma, as they have poorer prognosis and require stepped-up chemotherapy.[2] We, herein, report a case of primary “pure” choriocarcinoma of the urinary bladder which was diagnosed in an unmarried, nulliparous, young girl who presented with the history of recurrent hematuria.
Case Report
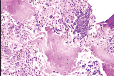
A 19-year-old female presented with the chief complaints of recurrent and painless gross hematuria for the past 6 months with a single acute episode of gross hematuria and pain in the hypogastrium before her admission to the gynecological outpatient department. Her medical history revealed that she had been taking treatment from a private center and was on and off on antibiotics throughout this period owing to her clinical findings, although most of her culture reports were sterile. Her past as well as her family history of any cancer was non-contributory. On general physical examination, she was thin built and anemic. Per abdomen examination revealed mild tenderness in the hypogastrium with no evidence of ascites or any organomegaly. She had attained menarche at the age of 13 years and had regular cycles with an average flow. Her gynecological examination was unremarkable. Her subsequent ultrasound pelvis showed a nongravid everted uterus and unremarkable adnexa. On per rectal examination, the rectal mucosa was free. All other systemic examinations were within the normal limits. Her routine hematological investigations revealed microcytic hypochromic blood picture. Urine and blood cultures were negative. Kidney and liver function tests were normal. Serum antibodies to human immunodeficiency virus, hepatitis B surface antigen, and syphilis were negative. X-ray chest was normal. To investigate the cause of hematuria, cystoscopy was planned, which revealed hemorrhagic, polypoidal masses located at the roof of the urinary bladder with extension toward the vaginal vault. During the cystoscopy, a diagnostic biopsy was taken and was sent for histopathological examination. Microscopic sections showed a deep infiltrative tumor showing sheets of trimorphic cells which appeared highly bizarre exhibiting plexiform pattern with numerous giant cells. Sections, in addition, showed marked central hemorrhage and striking atypia with numerous mitotic figures [Figure 1]. On the basis of these findings, a differential diagnosis of extragonadal mixed germ cell tumor with a predominant choriocarcinomatous component, undifferentiated transitional cell carcinoma, and malignant mesenchymal tumor (sarcoma) of the urinary bladder was made.
| Figure 1:Microphotography exhibiting trophoblastic neoplasia with areas of necrosis (H and E; ×200)
Immunohistochemistry (IHC) was advised. On IHC, the tumor was of epithelial cell origin (pancytokeratin and high-molecular weight cytokeratin positivity and negativity for desmin and vimentin) [Figure 2]a and b]. Epithelial membrane antigen (EMA), carcinoembryonic antigen (CEA), cytokeratin 20 (CK20), and uroplakin II were negative which excluded the diagnosis of de novo high-grade (undifferentiated) urothelial carcinoma of the bladder [Figure 2]c. A further panel of markers proved it to be of germ cell origin (predominantly choriocarcinomatous) as the tumor was positive for beta human chorionic gonadotropin (β hCG), cytokeratin 7, p40, GATA-3, and p63 with high Ki-67 proliferation index of 80%-[Figure 2]d and [Figure 3]. Other germ cell tumors were excluded from the study, on the basis of negative alpha-fetoprotein (AFP), placental alkaline phosphatase (PLAP), CD-30, and CD-99 immunoexpression.
| Figure.2:(a) Cytokeratin positivity (immunohistochemistry; ×400) (b) Vimentin negativity (immunohistochemistry; ×400) (c) Uroplakin II negativity (immunohistochemistry; ×100) (d) Ki-67 brisk positivity (immunohistochemistry; ×200)
| Figure.3:(a) Beta human chorionic gonadotropin positivity (immunohistochemistry; ×400) (b) GATA-3 positivity (immunohistochemistry; ×400) (c) Focal p40 positivity (immunohistochemistry; ×100) (d) Focal p63 positivity (immunohistochemistry; ×200)
To correlate the histopathological and immunohistochemical findings, serum β hCG levels were advised which turned out to be very high (5000 IU/ml). Hence, a final diagnosis of primary nongestational “pure” choriocarcinoma was rendered. The patient was referred to higher apex center for further management. Unfortunately, she died 4 months after the commencement of treatment with methotrexate and cisplatin, etoposide, bleomycin (PEB) regimen due to pulmonary metastasis.
Discussion
Although the diagnosis of choriocarcinoma is easily established in females of reproductive age group due to its strong association with pregnancy and higher β hCG levels, it can cause diagnostic dilemma when it is associated with ectopic sites, children, unmarried young girls, postmenopausal women, or in males where it is called as nongestational choriocarcinoma.[3]
Embryologically, primitive germ cells migrate to gonadal ridge; hence, most of the germ cells occur in gonads. However, germ cells can also aberrantly migrate to extragonadal sites such as retroperitoneum, mediastinum, or in the present case, urinary bladder as well. These germ cells have propensity to differentiate along different lines leading to the presence of different elements in different stages of development which is the hallmark of germ cell tumor.[4],[5] Several histogenetic mechanisms have been proposed to explain extragonadal origin of choriocarcinoma with the most acceptable theory of migration failure by the remnant population of germ cells in embryologically equivalent urogenital ridge.[6],[7]
The diagnosis of choriocarcinoma is usually based on the morphological assessment of syncytiotrophoblasts and cytotrophoblasts such as elements and presence of high β hCG levels. However, sometimes, this may not be sufficient for reaching the diagnosis owing to the ambivalent clinical history and unusual tumor location.[8] In such situations, IHC plays a dynamic role in clinching the diagnosis.
IHC is to be interpreted accordingly so that there is no information overload leading to generalized confusion. The algorithm in the present case was adopted where first the mesenchymal origin was ruled out (negative immunoexpression for vimentin and desmin). The epithelial cell origin was confirmed due to the presence of pancytokeratin and high-molecular weight cytokeratin positivity. The next logical step was to ascertain the tissue of origin where transitional cell (urothelial) was proved not to be the histogenetic tumor epithelium as EMA, CEA, CK20, and uroplakin II were negative (excluding the diagnosis of undifferentiated urothelial carcinoma). A further panel of germ cell tumor markers was negative for AFP, PLAP, CD-30, and CD-99. Tumor cells, however, were strongly positive for β hCG, thus confirming the initial suspicion of trophoblastic origin of the tumor. An ancillary novel marker, GATA-3 was also employed which showed positive immunoexpression. GATA-3 is a new molecule which is frequently expressed in normal and trophoblastic lesions. In a recent study, it was shown to be strongly expressed in trophoblastic neoplasms as well, and it was proposed that its expression, if present, could be very helpful in differential diagnosis such as suspected metastatic deposits in bladder or breast carcinoma involving the gestational organs.[9],[10] It is now thought to be very useful in diagnosing challenging neoplasms of trophoblastic origin. Other positive ancillary markers p63 and p40 (which are employed to diagnose squamous cell carcinoma) along with highly elevated serum β hCG levels corroborated the final diagnosis of primary nongestational “pure” choriocarcinoma of the urinary bladder. The final diagnosis included the term “pure” choriocarcinoma as no other germ cell tumor component was identified on both light microscopy and on IHC as nongestational choriocarcinoma may also have the germ cell components in 60%-of the cases.[11]
In literature, most of the reported cases of primary choriocarcinoma of the urinary bladder are highly aggressive and fatal presenting with early distant metastasis and fast progression. Nongestational choriocarcinoma does not respond to conventional methotrexate and PEB regimen which is usually given for cytoreduction but even with this, response is seen in 73.3%-of the patients and partial response in 11.1%-of the patients. That is why, in nongestational choriocarcinoma, quick diagnosis and aggressive treatment are imperative.[12] In our case, although the tumor was confined to the bladder without any regional or distant metastasis and the patient was started with aggressive chemotherapy at a higher apex center, she later had pulmonary metastasis and the unfortunate demise of the patient could not be prevented.
Conclusion
The case is worth reporting because of its rare clinical presentation and highlights the role of IHC, especially the new/novel biomarkers such as GATA-3, p40, and p63 in reaching a conclusive diagnosis which might be diagnostically challenging for the pathologists. This case report also proposes a probable algorithm of IHC markers in all bizarre tumors of the urinary bladder revealed on light microscopy and one should be aware of a possibility of primary choriocarcinoma arising in the urinary bladder.
Declaration of patient consent
The authors certify that they have obtained all appropriate patient consent forms. In the form the patient(s) has/have given his/her/their consent for his/her/their images and other clinical information to be reported in the journal. The patients understand that their names and initials will not be published and due efforts will be made to conceal their identity, but anonymity cannot be guaranteed.
Conflict of Interest
There are no conflicts of interest.
References
- 1 Cho JH, Yu E, Kim KH, Lee I. Primary choriocarcinoma of the urinary bladder – A case report. J Korean Med Sci 1992; 7: 369-72
- 2 Pradjatmo H. Choriocarcionoma in an infantile patient. Gen Med (Los Angel) 2016; 3: 217
- 3 Patel D, Patel H, Patel P. et al. Choriocarcinoma - A rare tumour in a 15 year female. Int J Adv Case Rep 2015; 2: 1064-6
- 4 Sharma S, Singh M, Bhuyan G, Mandal AK. Extragonadal dysgerminoma presenting as neck metastasis and masquerading as thyroid swelling. Clin Cancer Investig J 2016; 5: 43-5
- 5 Sharma S, Dawson L, Mandal AK. Primary retroperitoneal teratoma with predominant neurogenic elements masquerading as adrenal tumor. Turk Patoloji Derg 2019; 35: 69-73
- 6 Jindrak K, Bochetto JF, Alpert LI. Primary gastric choriocarcinoma: Case report with review of world literature. Hum Pathol 1976; 7: 595-604
- 7 Fine G, Smith RWJr, Pachter MR. Primary extragenital choriocarcinoma in the male subject. Case report and review of the literature. Am J Med 1962; 32: 776-94
- 1 Minei S, Matsui T, Obinata D, Yamaguchi K, Hirano D, Takahashi S, Sarin YK. Primary choriocarcinoma of the urinary bladder. Hinyokika Kiyo 2008; 54: 293-6
- 9 Mirkovic J, Elias K, Drapkin R, Barletta JA, Quade B, Hirsch MS. GATA3 expression in gestational trophoblastic tissues and tumours. Histopathology 2015; 67: 636-44
- 10 Banet N, Gown AM, Shih IeM, Kay LiQ, Roden RB, Nucci MR. et al GATA-3 expression in trophoblastic tissues: An immunohistochemical study of 445 cases, including diagnostic utility. Am J Surg Pathol 2015; 39: 101-8
- 11 Schneider DT, Calaminus G, Gobel U. Diagnostic value of alpha1-fetoprotein and beta-human chorionic gonadotropin in infancy and childhood. Pediatric Hematol and Oncol 2011; 18: 11-26
- 12 Matei D, Brown J, Frazier L. Updates in the management of ovarian germ cell tumors. Am Soc Clin Oncol Educ Book 2013; p: 210-216
Address for correspondence
Dr. Sonam SharmaDepartment of Pathology, Kalpana Chawla Government Medical CollegeKarnal, HaryanaIndiaEmail: drsonamsharma@gmail.comPublication History
Received: 09 March 2019
Accepted: 06 February 2020
Article published online:
28 June 2021© 2020. Indian Society of Medical and Paediatric Oncology. This is an open access article published by Thieme under the terms of the Creative Commons Attribution-NonDerivative-NonCommercial-License, permitting copying and reproduction so long as the original work is given appropriate credit. Contents may not be used for commercial purposes, or adapted, remixed, transformed or built upon. (https://creativecommons.org/licenses/by-nc-nd/4.0/.)
Thieme Medical and Scientific Publishers Pvt. Ltd.
A-12, 2nd Floor, Sector 2, Noida-201301 UP, India
| Figure 1:Microphotography exhibiting trophoblastic neoplasia with areas of necrosis (H and E; ×200)
| Figure.2:(a) Cytokeratin positivity (immunohistochemistry; ×400) (b) Vimentin negativity (immunohistochemistry; ×400) (c) Uroplakin II negativity (immunohistochemistry; ×100) (d) Ki-67 brisk positivity (immunohistochemistry; ×200)
| Figure.3:(a) Beta human chorionic gonadotropin positivity (immunohistochemistry; ×400) (b) GATA-3 positivity (immunohistochemistry; ×400) (c) Focal p40 positivity (immunohistochemistry; ×100) (d) Focal p63 positivity (immunohistochemistry; ×200)
References
- 1 Cho JH, Yu E, Kim KH, Lee I. Primary choriocarcinoma of the urinary bladder – A case report. J Korean Med Sci 1992; 7: 369-72
- 2 Pradjatmo H. Choriocarcionoma in an infantile patient. Gen Med (Los Angel) 2016; 3: 217
- 3 Patel D, Patel H, Patel P. et al. Choriocarcinoma - A rare tumour in a 15 year female. Int J Adv Case Rep 2015; 2: 1064-6
- 4 Sharma S, Singh M, Bhuyan G, Mandal AK. Extragonadal dysgerminoma presenting as neck metastasis and masquerading as thyroid swelling. Clin Cancer Investig J 2016; 5: 43-5
- 5 Sharma S, Dawson L, Mandal AK. Primary retroperitoneal teratoma with predominant neurogenic elements masquerading as adrenal tumor. Turk Patoloji Derg 2019; 35: 69-73
- 6 Jindrak K, Bochetto JF, Alpert LI. Primary gastric choriocarcinoma: Case report with review of world literature. Hum Pathol 1976; 7: 595-604
- 7 Fine G, Smith RWJr, Pachter MR. Primary extragenital choriocarcinoma in the male subject. Case report and review of the literature. Am J Med 1962; 32: 776-94
- 1 Minei S, Matsui T, Obinata D, Yamaguchi K, Hirano D, Takahashi S, Sarin YK. Primary choriocarcinoma of the urinary bladder. Hinyokika Kiyo 2008; 54: 293-6
- 9 Mirkovic J, Elias K, Drapkin R, Barletta JA, Quade B, Hirsch MS. GATA3 expression in gestational trophoblastic tissues and tumours. Histopathology 2015; 67: 636-44
- 10 Banet N, Gown AM, Shih IeM, Kay LiQ, Roden RB, Nucci MR. et al GATA-3 expression in trophoblastic tissues: An immunohistochemical study of 445 cases, including diagnostic utility. Am J Surg Pathol 2015; 39: 101-8
- 11 Schneider DT, Calaminus G, Gobel U. Diagnostic value of alpha1-fetoprotein and beta-human chorionic gonadotropin in infancy and childhood. Pediatric Hematol and Oncol 2011; 18: 11-26
- 12 Matei D, Brown J, Frazier L. Updates in the management of ovarian germ cell tumors. Am Soc Clin Oncol Educ Book 2013; p: 210-216
PDF
Views
Share

