Histopathological Study of Gastric Adenocarcinoma with Special Reference to Expression of HER2/neu and Ki-67 Assessed by Immunohistochemistry
CC BY 4.0 · Indian J Med Paediatr Oncol 2024; 45(05): 422-429
DOI: DOI: 10.1055/s-0044-1788308
Abstract
Introduction Gastric cancer has become the third leading cause of cancer deaths globally. It accounts for 5.7%- of cancer around the world, with a rate of mortality around 8.2%. Evaluation of human epidermal growth factor receptor 2 (HER2)/neu overexpression for targeted therapies is presently the mainstay of treatment in gastric cancer. High Ki-67 index expression in gastric cancer is an indicator of poor prognosis.
Objectives To study the prevalence of HER2/neu expression and Ki-67 index in various types, sites, grade, and stage of gastric adenocarcinoma and to determine the correlation between HER2/neu expression and Ki-67 index.
Materials and Methods This is a prospective study in a tertiary care hospital, Kolkata from January 2019 to June 2020. Gastrectomy and endoscopic biopsy of gastric adenocarcinoma were studied for histopathology and immunohistochemistry (HER2/neu and Ki-67 index). Statistical analysis used: SPSS (version 21.0, IBM, Chicago, Illinois, United States) for windows software.
Results Among 54 cases, most of them were intestinal type, antral, moderately differentiated, stage III cases. HER2 expression and high Ki-67 index were observed in 28.0 and 40.75%- cases, respectively. Statistically significant correlation was found in both HER2 expression and high Ki-67 index with location of the tumor and pathological nodal (pN) stage. A positive correlation was found between HER2/neu score and Ki-67 index (p = 0.007) (correlation coefficient = 0.4).
Conclusion A positive correlation was found between HER2/neu positivity and high Ki-67 index, both were associated with higher pathological tumor stage and pN stage. So, advanced cases may be considered for targeted therapy using trastuzumab.
Keywords
gastric adenocarcinoma - HER2/neu - Ki-67 index - trastuzumab
Publication History
Article published online:
18 July 2024
© 2024. The Author(s). This is an open access article published by Thieme under the terms of the Creative Commons Attribution License, permitting unrestricted use, distribution, and reproduction so long as the original work is properly cited. (https://creativecommons.org/licenses/by/4.0/)
Thieme Medical and Scientific Publishers Pvt. Ltd.
A-12, 2nd Floor, Sector 2, Noida-201301 UP, India
We recommend
CDX2 Expression in Gastric Carcinoma: A Clinicopathological Study
Aniket Halder, Indian Journal of Medical and Paediatric Oncology, 2018
Detection and Significance of Human Epidermal Growth Factor Receptor 2 Expression in Gastric Adenocarcinoma
Sutapa Halder, Indian Journal of Medical and Paediatric Oncology, 2017
Clinicopathological Significance and Prognostic Role of Her2neu Protein Expression in Patients with Carcinoma Stomach: A Prospective Study from Northern India
Abhilash V. B., South Asian Journal of Cancer
The correlation between Ki-67 with other prognostic factors in breast cancer: A study in Iranian patients
Seyed-Hamid Madani, Indian Journal of Medical and Paediatric Oncology, 2016
Minimum biopsy set for HER2 evaluation in gastric and gastro-esophageal junction cancer
Irene Gullo, EIO, 2015
Impact of HER‐2 Overexpression/Amplification on the Prognosis of Gastric Cancer Patients Undergoing Resection: A Single‐Center Study of 1,036 Patients
Jun‐Te Hsu, The Oncologist, 2011
PS02.092: HER2 EXPRESSION AND GENE AMPLIFICATION CORRELATES WITH BETTER SURVIVAL IN ESOPHAGEAL ADENOCARCINOMA
Heike Loeser, Diseases of the Esophagus, 2018
Assessment of Ki67 in Breast Cancer: Updated Recommendations From the International Ki67 in Breast Cancer Working Group
Torsten O Nielsen, JNCI: Journal of the National Cancer Institute, 2021
Meta-Analysis of Predictive Value of Ki-67 before Neoadjuvant Chemotherapy in Breast Cancer Patients
El Rahman, QJM: An International Journal of Medicine, 2024
Systematic Literature Review and Meta-Analysis of HER2 Amplification, Overexpression, and Positivity in Colorectal Cancer
Harshabad Singh, JNCI Cancer Spectrum
Abstract
Introduction Gastric cancer has become the third leading cause of cancer deaths globally. It accounts for 5.7%- of cancer around the world, with a rate of mortality around 8.2%. Evaluation of human epidermal growth factor receptor 2 (HER2)/neu overexpression for targeted therapies is presently the mainstay of treatment in gastric cancer. High Ki-67 index expression in gastric cancer is an indicator of poor prognosis.
Objectives To study the prevalence of HER2/neu expression and Ki-67 index in various types, sites, grade, and stage of gastric adenocarcinoma and to determine the correlation between HER2/neu expression and Ki-67 index.
Materials and Methods This is a prospective study in a tertiary care hospital, Kolkata from January 2019 to June 2020. Gastrectomy and endoscopic biopsy of gastric adenocarcinoma were studied for histopathology and immunohistochemistry (HER2/neu and Ki-67 index). Statistical analysis used: SPSS (version 21.0, IBM, Chicago, Illinois, United States) for windows software.
Results Among 54 cases, most of them were intestinal type, antral, moderately differentiated, stage III cases. HER2 expression and high Ki-67 index were observed in 28.0 and 40.75%- cases, respectively. Statistically significant correlation was found in both HER2 expression and high Ki-67 index with location of the tumor and pathological nodal (pN) stage. A positive correlation was found between HER2/neu score and Ki-67 index (p = 0.007) (correlation coefficient = 0.4).
Conclusion A positive correlation was found between HER2/neu positivity and high Ki-67 index, both were associated with higher pathological tumor stage and pN stage. So, advanced cases may be considered for targeted therapy using trastuzumab.
Keywords
gastric adenocarcinoma - HER2/neu - Ki-67 index - trastuzumab
ntroduction
Gastric cancer ranks third globally in terms of overall cancer mortality, trailing only colorectal and lung cancer, according to GLOBOCAN[a] 2018 data. Among all cancers, gastric cancer has the fifth highest incidence, accounting for 5.7%- of newly diagnosed cases.[1] [2] Ten percent of deaths caused by cancer globally are attributable to gastric carcinoma (GC), which has a 70%- case fatality rate.[3]
Males are more likely to develop gastric cancer. In developed countries, men have 2.2 times greater likelihood than women to get diagnosed with stomach cancer. The ratio in developing countries is 1.83.[1] Although most patients are older than 50 years, rare cases arise in younger individuals and even children.[4]
Early-stage cancers are typically treated with surgical resection; however, the majority of patients get diagnosed when the disease has advanced and is frequently incurable. Despite chemotherapy, the outcome for patients with advanced resectable stomach cancer is still pathetic. Therefore, early tumor detection and the use of molecular targeted therapy can increase patient survival by reducing the risk of recurrence and metastasis.[2] [3]
In gastric cancer, overexpression of human epidermal growth factor receptor 2 (HER2)/neu plays a pathogenetic, therapeutic, and predictive role. One of the mainstays of treatment is presently to assess HER2/neu overexpression along with other biomarkers for targeted treatments.[5] HER2/neu oncogene overexpression and amplification has emerged as a critical indicator for determining patient's response to HER2/neu targeted therapy.
There has been some evidence that Ki-67 can be correlated with outcome in stomach cancer.[6]
This study aimed to investigate the clinicopathological spectrum of gastric cancer, and to assess HER2/neu and the Ki-67 index using immunohistochemistry (IHC) techniques on diagnosed cases of adenocarcinoma. This study tried to find correlation of HER2/neu expression and the Ki-67 index with various histomorphological variations and grade of gastric adenocarcinoma.
This study was undertaken to diagnose the cases of gastric adenocarcinoma by histopathology, determine its incidence, and study the prevalence of HER2/neu expression and Ki-67 index according to location, histopathological types, grading, and staging. The correlation between HER2/neu and Ki-67 was also determined.
Objectives
The objectives were to study the prevalence of HER2/neu expression and Ki-67 index in various types, sites, grade, and stage of gastric adenocarcinoma and to determine the correlation between HER2/neu expression and Ki-67 index.
Materials and Methods
Study Design
This is a prospective study done in a tertiary care hospital, Kolkata, West Bengal from January 2019 to June 2020.
Primary Outcome
To study the prevalence of HER2/neu expression and Ki-67 index in various types, sites, grade, and stage of gastric adenocarcinoma.
Secondary Outcome
To study the correlation between HER2/neu expression and Ki-67 index.
Inclusion Criteria
Patients clinically diagnosed with gastric adenocarcinoma and who underwent gastric endoscopic biopsy or gastrectomy for the same.
Exclusion Criteria
Patients with a history of gastric adenocarcinoma, treated with chemotherapy and gastric cancer cases diagnosed other than gastric adenocarcinoma were excluded. Detailed history, clinical features, and radiological investigation were evaluated.
The specimens were processed for histopathological and immunohistochemical study. Hematoxylin and eosin stain was used to stain the sections for histopathological study and cases diagnosed as gastric adenocarcinoma were evaluated for immunohistochemical study with HER2/neu and Ki-67.
The three authors independently scored HER2/neu IHC using the Gastric Cancer Scoring System for surgical specimens.[7] The cases were examined with standard HER2/neu positive criteria. Brown staining of malignant cell membrane was used to assess positivity. A score of 3+ was considered positive for HER2/neu.
HER2 IHC Pattern in Surgical Specimen
Score 0 negative: No reactivity or membranous reactivity in <10>
Score 1+ negative: Faint or barely perceptible membranous reactivity in ≥10%- of cancer cells; cells are reactive only in part of their membrane.
Score 2+ equivocal: Weak to moderate complete, basolateral or lateral membranous reactivity in ≥10%- of tumor cells.
Score 3+ positive: Strong complete, basolateral or lateral membranous reactivity in ≥10%- of cancer cells.
HER2 IHC Pattern in Biopsy Specimen
Score 0 negative: No reactivity or no membranous reactivity in any cancer cell.
Score 1+ negative: Cancer cell cluster[b] with a faint or barely perceptible membranous reactivity irrespective of percentage of cancer cells positive.
Score 2+ equivocal: Cancer cell cluster[b] with a weak to moderate complete, basolateral, or lateral membranous reactivity irrespective of percentage of cancer cells positive.
Score 3+ positive: Cancer cell cluster[b] with a strong complete basolateral, or lateral membranous reactivity irrespective of percentage of cancer cells positive.
Ki-67 IHC scoring was performed in accordance with the International Ki-67 in Breast Cancer Working Group[8] criteria, with Ki-67 positive staining defined as positive nuclear staining only, irrespective of intensity of staining. At least 1,000 nuclei counted at high power (×40 objective) was required for scoring.
The Ki-67 score/index or proliferation index was calculated as percentage of positively stained nuclei in the area scored out of total number of nuclei.
Cases were then divided into two groups for suitable grouping of results: GCs having high Ki-67 score (>20%) and GCs having low Ki-67 score (≤20%).
Statistical Analysis
Available data were statistically evaluated with SPSS (version 21.0, IBM, Chicago, Illinois, United States) for windows software.
Ethics
All procedures performed in studies involving human participants were in accordance with the ethical standards of the institutional and/or national research committee and with the 1964 Declaration of Helsinki and its later amendments or comparable ethical standards. We began our research only after receiving approval from the ethical committee. This work has been approved by our institution's proper ethical committee. Ethical approval number is EC-CNMC/2019/220, date January 11, 2019, Institutional Ethics Committee, Calcutta National Medical College.
Results
In our study, the patient's mean age was 59.1 ± 10.9 years, having a range from 32 to 83 years, with male preponderance (3:1). We studied 38 (70%) specimens of gastrectomy, whereas gastric biopsies account 16 (30%) cases. Antrum (48.15%) was the most frequent location followed by pylorus (24.07%).
Intestinal variant was higher (87.04%) than the diffuse variant and majority of gastric adenocarcinoma cases were moderately differentiated (grade 2) (62.96%) ([Fig. 1]), followed by poorly differentiated (grade 3) (27.78%) and few cases were well differentiated (grade 1) (9.26%).
Fig. 1 Moderately differentiated gastric adenocarcinoma; hematoxylin and eosin stain ×40 and inset showing gross specimen of radical gastrectomy showing diffuse infiltrative growth involving whole of the specimen.
The majority of gastrectomy patients (65.78%) had stage III disease according to TNM staging ([Table 1]).
|
Characteristics |
Number of patients (n = 54) (%) |
|---|---|
|
Age |
|
|
Range |
32–83 |
|
Mean |
59.1 ± 10.9 |
|
Sex |
|
|
Male |
40 (74.07) |
|
Female |
14 (25.93) |
|
Type of specimen |
|
|
Gastrectomy |
38 (70.37) |
|
Gastric biopsy |
16 (29.63) |
|
Location of tumor |
|
|
GE junction |
2 (3.7) |
|
Fundus |
1 (1.85) |
|
Body |
9 (16.67) |
|
Incisura |
3 (5.56) |
|
Antrum |
26 (48.15) |
|
Pylorus |
13 (24.07) |
|
Lauren's classification |
|
|
Intestinal |
47 (87.04) |
|
Diffuse |
7 (12.96) |
|
Grade of tumor |
|
|
Well differentiated |
5 (9.26) |
|
Moderately differentiated |
34 (62.96) |
|
Poorly differentiated |
15 (27.78) |
|
Pathological tumor stage |
|
|
T1 |
16 (29.63) |
|
T2 |
5 (9.26) |
|
T3 |
25 (46.30) |
|
T4 |
8 (14.81) |
|
Pathological nodal stage |
|
|
Nx |
16 (29.63) |
|
N0 |
6 (11.11) |
|
N1 |
6 (11.11) |
|
N2 |
16 (29.63) |
|
N3 |
10 (18.52) |
|
TNM stage |
|
|
I |
3 (7.90) |
|
II |
10 (26.32) |
|
III |
25 (65.78) |
|
IV |
0 (0) |
|
HER2/neu score |
|
|
0 |
19 (35) |
|
1+ |
6 (11) |
|
2+ |
14 (26) |
|
3+ |
15 (28) |
|
Ki-67 proliferation index |
|
|
High |
22 (40.75) |
|
Low |
32 (59.25) |
Fig. 2 Bar diagram showing distribution of gastric adenocarcinoma cases according to HER2/neu score. HER2, human epidermal growth factor receptor 2.
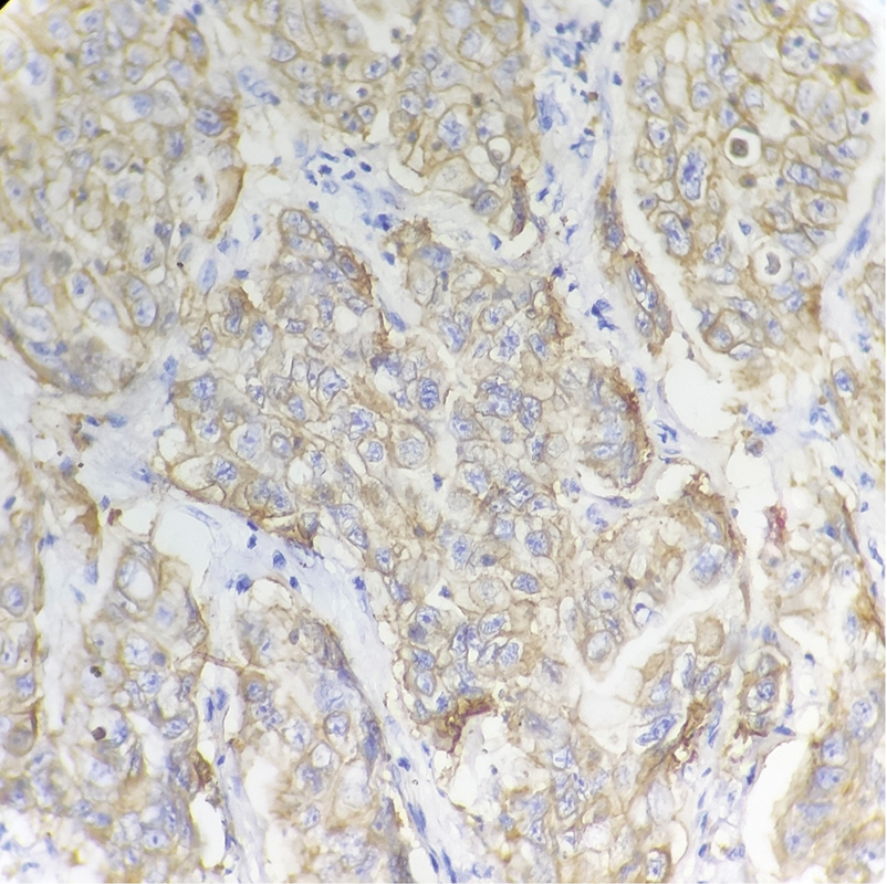
Adenocarcinoma with moderate differentiation (grade 2) displayed highest HER2/neu positivity (score 3 + ) ([Fig. 3]) followed by poor differentiation (grade 3).
Fig. 3 Moderately differentiated gastric adenocarcinoma showing positive membranous staining for HER2/neu; immunohistochemistry ×40. HER2, human epidermal growth factor receptor 2.
No significant association (p = 0.06) was noted among positive expression of HER2/neu and pathological tumor (pT) stage, but a statistically significant association (p = 0.009) noted among positive expression of HER2/neu and pathological nodal (pN) stage ([Table 2]).
|
Clinicopathological parameters |
HER2/neu score |
p-Value |
|||
|---|---|---|---|---|---|
|
0 |
1+ |
2+ |
3+ |
||
|
Site |
|||||
|
Proximal (GE junction, incisura, fundus, body) (n = 15) |
7 |
0 |
7 |
1 |
0.02 |
|
Distal (antrum, pylorus) (n = 39) |
12 |
6 |
7 |
14 |
|
|
Type |
|||||
|
Intestinal (n = 47) |
18 |
5 |
10 |
14 |
0.23 |
|
Diffuse (n = 7) |
1 |
1 |
4 |
1 |
|
|
Grade |
|||||
|
Well differentiated (grade 1) (n = 5) |
3 |
2 |
0 |
0 |
0.09 |
|
Moderately differentiated (grade 2) (n = 34) |
12 |
2 |
8 |
12 |
|
|
Poorly differentiated (grade 3) (n = 15) |
4 |
2 |
6 |
3 |
|
|
Pathological tumor stage |
|||||
|
T1 (n = 16) |
9 |
2 |
5 |
0 |
0.06 |
|
T2 (n = 5) |
3 |
2 |
0 |
0 |
|
|
T3 (n = 25) |
7 |
1 |
7 |
10 |
|
|
T4 (n = 8) |
0 |
1 |
2 |
5 |
|
|
Pathological nodal stage |
|||||
|
Nx (n = 16) |
9 |
2 |
5 |
0 |
0.009 |
|
N0 (n = 6) |
5 |
1 |
0 |
0 |
|
|
N1 (n = 6) |
2 |
1 |
3 |
0 |
|
|
N2 (n = 16) |
3 |
1 |
4 |
8 |
|
|
N3 (n = 10) |
0 |
1 |
2 |
7 |
|
Fig. 4 Pie chart showing distribution of gastric adenocarcinoma cases according to Ki-67 proliferation index.
A significant correlation was noted between Ki-67 index and site of gastric adenocarcinoma (p = 0.05).
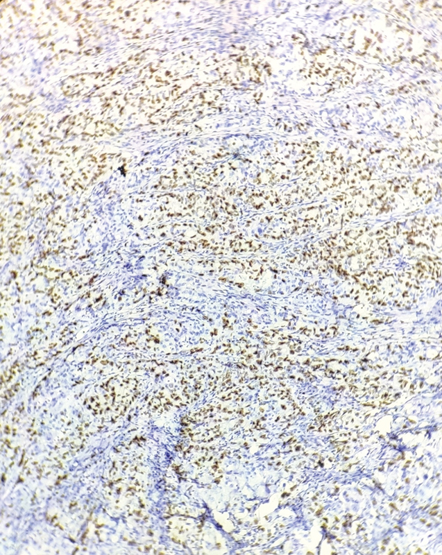
The diffuse type (57%) had high Ki-67 score and poorly differentiated adenocarcinoma (53%) had high Ki-67 score ([Fig. 5]).
Fig. 5 Poorly differentiated gastric adenocarcinoma showing score 3+ positive nuclear staining for Ki-67 marker; immunohistochemistry ×10.
A statistically significant correlation was noted between Ki-67 score and pN stage (p = 0.002). pN3 gastric adenocarcinoma (90%) cases showed high Ki-67 score ([Table 3]).
|
Clinicopathological parameters |
Ki-67 index |
p-Value |
|
|---|---|---|---|
|
Low |
High |
||
|
Site |
|||
|
Proximal (GE junction, incisura, fundus, body) (n = 15) |
12 |
3 |
0.05 |
|
Distal (antrum, pylorus) (n = 39) |
20 |
19 |
|
|
Type |
|||
|
Intestinal (n = 47) |
29 |
18 |
0.34 |
|
Diffuse (n = 7) |
3 |
4 |
|
|
Grade |
|||
|
Well differentiated (grade 1) (n = 5) |
4 |
1 |
0.37 |
|
Moderately differentiated (grade 2) (n = 34) |
21 |
13 |
|
|
Poorly differentiated (grade 3) (n = 15) |
7 |
8 |
|
|
Pathological tumor stage |
|||
|
T1 (n = 16) |
12 |
4 |
0.19 |
|
T2 (n = 5) |
4 |
1 |
|
|
T3 (n = 25) |
13 |
12 |
|
|
T4 (n = 8) |
3 |
5 |
|
|
Pathological nodal stage |
|||
|
Nx (n = 16) |
12 |
4 |
0.002 |
|
N0 (n = 6) |
6 |
0 |
|
|
N1 (n = 6) |
5 |
1 |
|
|
N2 (n = 16) |
8 |
8 |
|
|
N3 (n = 10) |
1 |
9 |
|
|
HER2/neu score |
Ki-67 +ve |
Ki-67 −ve |
|---|---|---|
|
HER2/neu +ve (n = 15) |
13 (87%) |
2 (13%) |
|
HER2/neu −ve (n = 39) |
9 (23%) |
30 (27%) |
|
Total (n = 54) |
22 (41%) |
32 (59%) |
- Bray F, Ferlay J, Soerjomataram I, Siegel RL, Torre LA, Jemal A. Global cancer statistics 2018: GLOBOCAN estimates of incidence and mortality worldwide for 36 cancers in 185 countries. CA Cancer J Clin 2018; 68 (06) 394-424
- Ferlay J, Ervik M, Lam F. et al. Global Cancer Observatory: Cancer Today. Lyon, France: International Agency for Research on Cancer; 2018
- Guggenheim DE, Shah MA. Gastric cancer epidemiology and risk factors. J Surg Oncol 2013; 107 (03) 230-236
- Brooks-Wilson AR, Kaurah P, Suriano G. et al. Germline E-cadherin mutations in hereditary diffuse gastric cancer: assessment of 42 new families and review of genetic screening criteria. J Med Genet 2004; 41 (07) 508-517
- Ieni A, Barresi V, Rigoli L, Caruso RA, Tuccari G. HER2 status in premalignant, early, and advanced neoplastic lesions of the stomach. Dis Markers 2015; 2015: 234851
- Tzanakis NE, Peros G, Karakitsos P. et al. Prognostic significance of p53 and Ki67 proteins expression in Greek gastric cancer patients. Acta Chir Belg 2009; 109 (05) 606-611
- Hofmann M, Stoss O, Shi D. et al. Assessment of a HER2 scoring system for gastric cancer: results from a validation study. Histopathology 2008; 52 (07) 797-805
- Dowsett M, Nielsen TO, A'Hern R. et al; International Ki-67 in Breast Cancer Working Group. Assessment of Ki67 in breast cancer: recommendations from the International Ki67 in Breast Cancer Working Group. J Natl Cancer Inst 2011; 103 (22) 1656-1664
- Amrani HJ, Marchoudi N, Sadaoui I. et al. Ki-67 expression in gastric cancer and correlation with clinico-pathological characteristics. . Int J Sci Res Publ 2018;4(06) ISSN: 2250-3153
- Ahadi M, Moradi A, Musavinejad L, Movafagh A, Moradi A. The Expression of p53, CD44, Ki-67, and HER-2/neu markers in gastric cancer and its association with histopathological indicators: a retrospective study. Asian Pac J Cancer Prev 2020; 21 (06) 1607-1614
- Aditi R, Aarathi R, Pradeep R, Hemalatha L, Akshatha C, Amar K. HER2 expression in gastric adenocarcinoma—a study in a tertiary care centre in south India. Indian J Surg Oncol 2016; 7 (01) 18-24
- Mohapatra D, Chakraborty K, Das D. et al. Significance of HER 2/neu in gastric adenocarcinomas, a clinicopathological correlation. JMSCR 2020; 08 (04) 481-487
- Shah K, Bamanikar S, Pathak P, Chandan Wale SS, Bamanikar A. Immunohistochemical testing of HER2/neu protein overexpression in gastric cancer specimens and its clinicopathological correlation. IP J Diagn Pathol Oncol 2019; 4 (01) 9-15
- Shabbir A, Qureshi MA, Khalid AB, Mirza T, Shaikh A, Hasan SM. Gastric adenocarcinoma expressing human epidermal growth factor receptor in South Asian population. Saudi J Gastroenterol 2018; 24 (05) 289-293
- Raj N, Verma D, Kumar A, Rai P, Rao RN. HER2 oncogene amplification and immunohistochemical profiling in gastric adenocarcinoma. Discoveries (Craiova) 2018; 6 (04) e83
- Pramanik P, Sarkar R, Maity M. Study of HER2/NEU and Ki-67 expression in gastric and esophagogastric junction adenocarcinoma and their correlation with grade and stage. . Int J Sci Res 2020;9(02)
- Ghosh P, Chakraborty I, Bhowmick S. et al. Overexpression of HER2/neu in gastric carcinoma: association with histological type, tumor grade an H. pylori
- Dawa SK, Zedan EMS. Human epidermal growth factor 2 status in gastric adenocarcinoma. Egypt J Pathol 2018; 38 (01) 126-130
- El-Gendi S, Talaat I, Abdel-Hadi M. HER-2/neu status in gastric carcinomas in a series of Egyptian patients and its relation to Ki-67 expression. Open J Pathol 2015; 5 (04) 101
- Fradique AC, Da Costa LB, Pupo P. et al. The prognostic value of Ki-67 in gastric cancer. J Clin Oncol 2013; 31: e15172-e15172
- Lazăr D, Tăban S, Sporea I. et al. Ki-67 expression in gastric cancer. Results from a prospective study with long-term follow-up. Rom J Morphol Embryol 2010; 51 (04) 655-661
- Ahmed A, Al-Tamimi DM. Incorporation of p-53 mutation status and Ki-67 proliferating index in classifying Her2-neu positive gastric adenocarcinoma. Libyan J Med 2018; 13 (01) 1466573
References
Address for correspondence
Publication History
Article published online:
18 July 2024
© 2024. The Author(s). This is an open access article published by Thieme under the terms of the Creative Commons Attribution License, permitting unrestricted use, distribution, and reproduction so long as the original work is properly cited. (https://creativecommons.org/licenses/by/4.0/)
Thieme Medical and Scientific Publishers Pvt. Ltd.
A-12, 2nd Floor, Sector 2, Noida-201301 UP, India
We recommend
CDX2 Expression in Gastric Carcinoma: A Clinicopathological Study
Aniket Halder, Indian Journal of Medical and Paediatric Oncology, 2018
Detection and Significance of Human Epidermal Growth Factor Receptor 2 Expression in Gastric Adenocarcinoma
Sutapa Halder, Indian Journal of Medical and Paediatric Oncology, 2017
Clinicopathological Significance and Prognostic Role of Her2neu Protein Expression in Patients with Carcinoma Stomach: A Prospective Study from Northern India
Abhilash V. B., South Asian Journal of Cancer
The correlation between Ki-67 with other prognostic factors in breast cancer: A study in Iranian patients
Seyed-Hamid Madani, Indian Journal of Medical and Paediatric Oncology, 2016
Minimum biopsy set for HER2 evaluation in gastric and gastro-esophageal junction cancer
Irene Gullo, EIO, 2015
Overexpression and relationships of HER-2/neu, epidermal growth factor receptor, p53, Ki-67, and tumor necrosis factor α in epithelial ovarian cancer
B. A. Goff, European Journal of Gynaecological Oncology, 1996
Predictive value of proliferative cellular nuclear antigen (PCNA) and Ki-67 antigen in advanced stage serous papilliferous ovarian cancer
G. Altavilla, European Journal of Gynaecological Oncology, 1996
Immunohistochemical expression of CK20, CK7, and CDX2 in colorectal carcinoma in correlation with pathomorphological characteristics
Nevena Ilieva, Folia Medica, 2022
Oncologists, Pathologists Issue HER2 Testing Guidance for Gastroesophageal Cancer Patients
staff reporter, 360Dx, 2016
Enhertu Could Benefit Heavily Pretreated HER2-Positive GI Cancer Patients, ASCO Data Suggests
Caroline Hopkins, Precision Medicine Online, 2020
Fig. 1 Moderately differentiated gastric adenocarcinoma; hematoxylin and eosin stain ×40 and inset showing gross specimen of radical gastrectomy showing diffuse infiltrative growth involving whole of the specimen.
Fig. 2 Bar diagram showing distribution of gastric adenocarcinoma cases according to HER2/neu score. HER2, human epidermal growth factor receptor 2.
Fig. 3 Moderately differentiated gastric adenocarcinoma showing positive membranous staining for HER2/neu; immunohistochemistry ×40. HER2, human epidermal growth factor receptor 2.
Fig. 4 Pie chart showing distribution of gastric adenocarcinoma cases according to Ki-67 proliferation index.
Fig. 5 Poorly differentiated gastric adenocarcinoma showing score 3+ positive nuclear staining for Ki-67 marker; immunohistochemistry ×10.
- Bray F, Ferlay J, Soerjomataram I, Siegel RL, Torre LA, Jemal A. Global cancer statistics 2018: GLOBOCAN estimates of incidence and mortality worldwide for 36 cancers in 185 countries. CA Cancer J Clin 2018; 68 (06) 394-424
- Ferlay J, Ervik M, Lam F. et al. Global Cancer Observatory: Cancer Today. Lyon, France: International Agency for Research on Cancer; 2018
- Guggenheim DE, Shah MA. Gastric cancer epidemiology and risk factors. J Surg Oncol 2013; 107 (03) 230-236
- Brooks-Wilson AR, Kaurah P, Suriano G. et al. Germline E-cadherin mutations in hereditary diffuse gastric cancer: assessment of 42 new families and review of genetic screening criteria. J Med Genet 2004; 41 (07) 508-517
- Ieni A, Barresi V, Rigoli L, Caruso RA, Tuccari G. HER2 status in premalignant, early, and advanced neoplastic lesions of the stomach. Dis Markers 2015; 2015: 234851
- Tzanakis NE, Peros G, Karakitsos P. et al. Prognostic significance of p53 and Ki67 proteins expression in Greek gastric cancer patients. Acta Chir Belg 2009; 109 (05) 606-611
- Hofmann M, Stoss O, Shi D. et al. Assessment of a HER2 scoring system for gastric cancer: results from a validation study. Histopathology 2008; 52 (07) 797-805
- Dowsett M, Nielsen TO, A'Hern R. et al; International Ki-67 in Breast Cancer Working Group. Assessment of Ki67 in breast cancer: recommendations from the International Ki67 in Breast Cancer Working Group. J Natl Cancer Inst 2011; 103 (22) 1656-1664
- Amrani HJ, Marchoudi N, Sadaoui I. et al. Ki-67 expression in gastric cancer and correlation with clinico-pathological characteristics. . Int J Sci Res Publ 2018;4(06) ISSN: 2250-3153
- Ahadi M, Moradi A, Musavinejad L, Movafagh A, Moradi A. The Expression of p53, CD44, Ki-67, and HER-2/neu markers in gastric cancer and its association with histopathological indicators: a retrospective study. Asian Pac J Cancer Prev 2020; 21 (06) 1607-1614
- Aditi R, Aarathi R, Pradeep R, Hemalatha L, Akshatha C, Amar K. HER2 expression in gastric adenocarcinoma—a study in a tertiary care centre in south India. Indian J Surg Oncol 2016; 7 (01) 18-24
- Mohapatra D, Chakraborty K, Das D. et al. Significance of HER 2/neu in gastric adenocarcinomas, a clinicopathological correlation. JMSCR 2020; 08 (04) 481-487
- Shah K, Bamanikar S, Pathak P, Chandan Wale SS, Bamanikar A. Immunohistochemical testing of HER2/neu protein overexpression in gastric cancer specimens and its clinicopathological correlation. IP J Diagn Pathol Oncol 2019; 4 (01) 9-15
- Shabbir A, Qureshi MA, Khalid AB, Mirza T, Shaikh A, Hasan SM. Gastric adenocarcinoma expressing human epidermal growth factor receptor in South Asian population. Saudi J Gastroenterol 2018; 24 (05) 289-293
- Raj N, Verma D, Kumar A, Rai P, Rao RN. HER2 oncogene amplification and immunohistochemical profiling in gastric adenocarcinoma. Discoveries (Craiova) 2018; 6 (04) e83
- Pramanik P, Sarkar R, Maity M. Study of HER2/NEU and Ki-67 expression in gastric and esophagogastric junction adenocarcinoma and their correlation with grade and stage. . Int J Sci Res 2020;9(02)
- Ghosh P, Chakraborty I, Bhowmick S. et al. Overexpression of HER2/neu in gastric carcinoma: association with histological type, tumor grade an H. pylori
- Dawa SK, Zedan EMS. Human epidermal growth factor 2 status in gastric adenocarcinoma. Egypt J Pathol 2018; 38 (01) 126-130
- El-Gendi S, Talaat I, Abdel-Hadi M. HER-2/neu status in gastric carcinomas in a series of Egyptian patients and its relation to Ki-67 expression. Open J Pathol 2015; 5 (04) 101
- Fradique AC, Da Costa LB, Pupo P. et al. The prognostic value of Ki-67 in gastric cancer. J Clin Oncol 2013; 31: e15172-e15172
- Lazăr D, Tăban S, Sporea I. et al. Ki-67 expression in gastric cancer. Results from a prospective study with long-term follow-up. Rom J Morphol Embryol 2010; 51 (04) 655-661
- Ahmed A, Al-Tamimi DM. Incorporation of p-53 mutation status and Ki-67 proliferating index in classifying Her2-neu positive gastric adenocarcinoma. Libyan J Med 2018; 13 (01) 1466573
PDF
Views
Share

