Hodgkin Lymphoma Presenting as Immune Thrombocytopenia
CC BY-NC-ND 4.0 · Indian J Med Paediatr Oncol 2019; 40(02): 289-290
DOI: DOI: 10.4103/ijmpo.ijmpo_238_17
Abstract
Immune thrombocytopenia (ITP) in lymphoid malignancies has been observed primarily in relation to chronic lymphoproliferative disorders. ITP in Hodgkin lymphoma (HL) is a rare presentation, most often reported at follow-up. We report a case of a 12-year-old female presenting with symptomatic thrombocytopenia at the time of diagnosis of HL. The patient had stage III B bulky disease with HL mixed cellularity subtype on histology. The patient was treated with adriamycin, bleomycin, vinblastine, and dacarbazine regime along with local radiation therapy and is in complete remission at 18 months of follow-up. The treatment of underlying lymphoma in such cases resolves thrombocytopenia.
Publication History
Article published online:
03 June 2021
© 2019. Indian Society of Medical and Paediatric Oncology. This is an open access article published by Thieme under the terms of the Creative Commons Attribution-NonDerivative-NonCommercial-License, permitting copying and reproduction so long as the original work is given appropriate credit. Contents may not be used for commercial purposes, or adapted, remixed, transformed or built upon. (https://creativecommons.org/licenses/by-nc-nd/4.0/).
Thieme Medical and Scientific Publishers Pvt. Ltd.
A-12, 2nd Floor, Sector 2, Noida-201301 UP, India
Abstract
Immune thrombocytopenia (ITP) in lymphoid malignancies has been observed primarily in relation to chronic lymphoproliferative disorders. ITP in Hodgkin lymphoma (HL) is a rare presentation, most often reported at follow-up. We report a case of a 12-year-old female presenting with symptomatic thrombocytopenia at the time of diagnosis of HL. The patient had stage III B bulky disease with HL mixed cellularity subtype on histology. The patient was treated with adriamycin, bleomycin, vinblastine, and dacarbazine regime along with local radiation therapy and is in complete remission at 18 months of follow-up. The treatment of underlying lymphoma in such cases resolves thrombocytopenia.
Introduction
Approximately 30% of secondary immune thrombocytopenia (ITP) cases are associated with lymphoid tumors.[1] ITP in Hodgkin lymphoma (HL) is reported rarely accounting for only 0.2%–1% of all the LDPs-ITP.[2] We report a case of HL presenting with thrombocytopenia at diagnosis.
Case Report
A 12-year-old girl presented with epistaxis, gum bleeding, and hematuria for 1 month. She had no history of fever, joint pain, and diarrhea. Her menarche was not achieved. She had received 3 units of platelet transfusion from outside hospital. On examination, she had pallor. In the left cervical region multiple firm, mobile nontender nodes were palpable largest measuring 4 cm × 3 cm. Systemic examination was unremarkable (no organomegaly was observed). As per the patient's mother, the lymph nodes were enlarged for the past 6 months; however, no investigations or treatment was done.
Her hemoglobin was 10 g/dl, white blood cell count was 11 × 109/L with predominance of neutrophils (75%), and platelet count was 20 × 109/L. No immature cells were observed in peripheral smear. Her lactate dehydrogenase was raised to 459 IU/L. Other serological tests including liver function, renal function, viral marker (Epstein–Barr virus [EBV], HIV, hepatitis B surface antigen, and hepatitis C virus) and autoimmune markers were unremarkable. Her prothrombin time, activated thromboplastin time was within the reference range. Fine-needle aspiration cytology (FNAC) smears from cervical lymph node showed a fair number of mononuclear Hodgkin cell and occasional binucleate and multinucleate Reed–Sternberg cell in a background of lymphocytes, plasma cells, neutrophils, and eosinophil. In view of FNAC findings, lymph node biopsy was done which confirmed HL of mixed cellularity type [Figure 1]. Staging work including imaging and bone marrow examination was done. Noncontrast computerized tomography scan of neck, thorax, and abdomen revealed multiple level II/III lymph nodes in the left cervical region largest measuring 5 cm × 2.5 cm. Also noted were hepatosplenomegaly along with multiple enlarged lymph nodes in perigastric, paracaval, aortocaval, and perisplenic region. Bone marrow examination did not show infiltration by Reed–Sternberg cells. In addition, the megakaryocytes were increased, in clusters, with predominance of early forms [compensatory response to thrombocytopenia, [Figure 2].[3] A final diagnosis of HL mixed cellularity stage III B bulky disease with ITP was made.
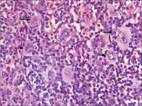
| Figure 1 Cervical lymph node biopsy (H and E, ×400): multiple Reed–Sternberg cells (arrow) along with background population of eosinophil, lymphocyte, and histiocytes
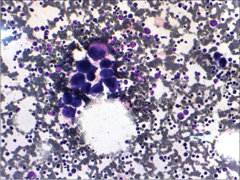
| Figure 2 CerBone marrow aspirate (Leishman stain × 200): Megakaryocyte cluster, with increased early forms
The patient was given 6 cycles of adriamycin, bleomycin, vinblastine, and dacarbazine (ABVD) followed by local radiation to the neck. Her platelet count further improved to 240 × 109/L after the first cycle of ABVD. The patient is now in remission 18 months after the end of treatment.
Discussion
Autoimmune disorders have been previously associated with HL.[4] In an analysis of 1029 patients of HL 3 had ITP.[5] ITP may occur before, concurrent with, at the time of recurrence of lymphoma or in complete remission after treatment. In HL majority cases have been reported at follow-up.[2] [5] Few cases have presented with thrombocytopenia at diagnosis.[4] [5] [6] [7] Our case presented with symptomatic thrombocytopenia at the diagnosis of HL. The patients with cytopenia (thrombocytopenia or anemia) at diagnosis have been shown to be older, with advanced disease and nonnodular sclerosis histology as compared to patients without cytopenia at diagnosis.[5] [8] Our case was stage III B with mixed cellularity histology in concordance with the previous reports. ABVD combination therapy effectively controlled both HL and autoimmune condition in our patient as in previous reports. Immunomodulation with steroid or immunoglobulins has also been used in management.[7]
ITP and HL may be linked as a part of paraneoplastic disorder, an uncontrolled immune response to the malignant cell proliferation or simultaneous but unrelated disease. The immune destruction of platelets may result from IgG autoantibodies that coat platelet, complement-mediated destruction of platelet by IgM, direct inhibition of megakaryocytopoiesis by cytotoxic T cell and inhibitory cytokines. The points in favor of immune destruction of platelets were increased proliferative megakaryocyte response and failure to respond to platelet transfusion. In addition, the improvement of platelet count after the first cycle of ABVD supports a causative association between the two.
Our case highlights the clinical heterogeneity of HL. The initiation of definitive therapy for the lymphoma is the best way to restore the platelet counts.
Declaration of patient consent
The authors certify that they have obtained all appropriate patient consent forms. In the form the patient(s) has/have given his/her/their consent for his/her/their images and other clinical information to be reported in the journal. The patients understand that their names and initials will not be published and due efforts will be made to conceal their identity, but anonymity cannot be guaranteed.
- Visco C, Rodeghiero F. Immune thrombocytopenia in lymphoproliferative disorders. Hematol Oncol Clin North Am 2009; 23: 1261-74
- Cines DB, Bussel JB, Liebman HA, Luning Prak ET. The ITP syndrome: Pathogenic and clinical diversity. Blood 2009; 113: 6511-21
- Jain M, Oberoi G, Kumar R, Kumar A. Erythrovirus B19 induced persistent bicytopenia in a healthy child. Rev Bras Hematol Hemoter 2017; 39: 278-80
- Landgren O, Engels EA, Pfeiffer RM, Gridley G, Mellemkjaer L, Olsen JH. et al. Autoimmunity and susceptibility to Hodgkin lymphoma: A population-based case-control study in Scandinavia. J Natl Cancer Inst 2006; 98: 1321-30
- Dimou M, Angelopoulou MK, Pangalis GA, Georgiou G, Kalpadakis C, Pappi V. et al. Autoimmune hemolytic anemia and autoimmune thrombocytopenia at diagnosis and during follow-up of Hodgkin lymphoma. Leuk Lymphoma 2012; 53: 1481-7
- Dahlqvist C, Betomvuko P, Verdebout JM, Mineur P. Immune thrombocytopenic purpura at the diagnosis of Hodgkin disease. Acta Clin Belg 2010; 65: 41-3
- Ertem M, Uysal Z, Yavuz G, Gözdaşoǧlu S. Immune thrombocytopenia and hemolytic anemia as a presenting manifestation of Hodgkin disease. Pediatr Hematol Oncol 2000; 17: 181-5
- Lechner K, Chen YA. Paraneoplastic autoimmune cytopenias in Hodgkin lymphoma. Leuk Lymphoma 2010; 51: 469-74
Address for correspondence
Publication History
Article published online:
03 June 2021
© 2019. Indian Society of Medical and Paediatric Oncology. This is an open access article published by Thieme under the terms of the Creative Commons Attribution-NonDerivative-NonCommercial-License, permitting copying and reproduction so long as the original work is given appropriate credit. Contents may not be used for commercial purposes, or adapted, remixed, transformed or built upon. (https://creativecommons.org/licenses/by-nc-nd/4.0/).
Thieme Medical and Scientific Publishers Pvt. Ltd.
A-12, 2nd Floor, Sector 2, Noida-201301 UP, India
| Figure 1 Cervical lymph node biopsy (H and E, ×400): multiple Reed–Sternberg cells (arrow) along with background population of eosinophil, lymphocyte, and histiocytes
| Figure 2 CerBone marrow aspirate (Leishman stain × 200): Megakaryocyte cluster, with increased early forms
- Visco C, Rodeghiero F. Immune thrombocytopenia in lymphoproliferative disorders. Hematol Oncol Clin North Am 2009; 23: 1261-74
- Cines DB, Bussel JB, Liebman HA, Luning Prak ET. The ITP syndrome: Pathogenic and clinical diversity. Blood 2009; 113: 6511-21
- Jain M, Oberoi G, Kumar R, Kumar A. Erythrovirus B19 induced persistent bicytopenia in a healthy child. Rev Bras Hematol Hemoter 2017; 39: 278-80
- Landgren O, Engels EA, Pfeiffer RM, Gridley G, Mellemkjaer L, Olsen JH. et al. Autoimmunity and susceptibility to Hodgkin lymphoma: A population-based case-control study in Scandinavia. J Natl Cancer Inst 2006; 98: 1321-30
- Dimou M, Angelopoulou MK, Pangalis GA, Georgiou G, Kalpadakis C, Pappi V. et al. Autoimmune hemolytic anemia and autoimmune thrombocytopenia at diagnosis and during follow-up of Hodgkin lymphoma. Leuk Lymphoma 2012; 53: 1481-7
- Dahlqvist C, Betomvuko P, Verdebout JM, Mineur P. Immune thrombocytopenic purpura at the diagnosis of Hodgkin disease. Acta Clin Belg 2010; 65: 41-3
- Ertem M, Uysal Z, Yavuz G, Gözdaşoǧlu S. Immune thrombocytopenia and hemolytic anemia as a presenting manifestation of Hodgkin disease. Pediatr Hematol Oncol 2000; 17: 181-5
- Lechner K, Chen YA. Paraneoplastic autoimmune cytopenias in Hodgkin lymphoma. Leuk Lymphoma 2010; 51: 469-74
PDF
Views
Share

