Interstitial Lung Disease Associated with Chemotherapy Treatment of Metastatic Adenocarcinoma of Colon
CC BY-NC-ND 4.0 · Indian J Med Paediatr Oncol 2019; 40(02): 298-300
DOI: DOI: 10.4103/ijmpo.ijmpo_23_18
Sir,
Colorectal cancer (CRC) is a formidable health problem worldwide. It is the third most common cancer in men (663,000 cases, 10.0% of all cancer cases) and the second most common in women (571,000 cases, 9.4% of all cancer cases). It is also one of the most common causes of cancer death worldwide. Approximately 50%–60% of patients diagnosed with localized disease later develop metastatic disease. Surgical treatment is the usual initial treatment modality in localized disease followed by adjuvant chemotherapy depending upon the stage of the disease. Chemotherapy is the primary modality of therapy in all the patients with metastatic disease.
Over the years, oxaliplatin- and fluorouracil (5-FU or capecitabine)-based chemotherapy has become the standard of care for both localized and metastatic colorectal adenocarcinoma, which have shown significant disease-free survival 78.2% at 3 years,[1] [2] progression-free survival, and overall survival advantage in selected patients.[3] These drugs are usually well tolerated, and the usual adverse effects are myelosuppression, neurotoxicity, and mucositis which are self-resolving. Interstitial lung disease (ILD) has been very rarely associated with folinic acid, 5-FU, and oxaliplatin or capecitabine chemotherapies, both in adjuvant and in metastatic settings, which may take a virulent form, resulting in life-threatening complications of therapy.
Here, we report a case of a nonsmoker elderly patient with a probable history of ILD in remission for many years, which was precipitated with palliative chemotherapy for his metastatic right colon adenocarcinoma.
An elderly 73 years old diabetic, hypertensive man with coronary artery disease presented to our hospital with perforation peritonitis. He was evaluated and was diagnosed with an ascending colon mass with perforation. He underwent exploratory laparotomy with extended right hemicolectomy. Histopathology report was suggestive of poorly differentiated adenocarcinoma of caecum and ileocolic junction, pT4N2Mx. Contrast-enhanced computed tomography (CT) scan of the abdomen, pelvis, and chest done in postoperative period showed multiple varying sized hypodense lesions in both lobes of the liver. Fine-needle aspiration cytology from hypodense hepatic lesions was suggestive of metastatic adenocarcinoma.
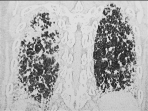
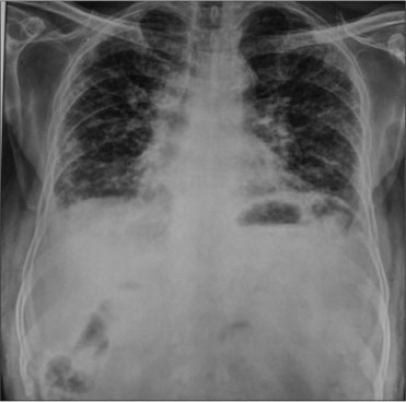
CT scans of the chest and radiograph of the chest [Figures 1], [2], [3] showed inter- and intralobular septal thickenings in the bilateral lung parenchyma predominantly in the lower lobes with peribronchial and fissural nodularity, suggestive of either sarcoidosis or ILD. The patient had a history of chronic cough till few months back which was self-limiting. There was no history of breathlessness, and he was moderately physically active before the present episode. His serum calcium and angiotensin-converting enzyme levels were normal, thus excluding sarcoidosis.
| Figure 1 Pretreatment computed tomography scan chest, coronal view
| Figure 2 Pretreatment chest X-ray
| Figure 3 Pretreatment computed tomography scan chest, lateral sagittal view
He was started on capecitabine-oxaliplatin-based palliative chemotherapy after operative recovery. Cetuximab was added to the regimen after two cycles of chemotherapy when Rat Sarcoma gene (RAS) wild status was proved. His Eastern Cooperative Oncology Group performance status was 2 after two cycles of chemotherapy and 0 after four cycles. Response evaluation was done after four cycles of chemotherapy which showed significant reduction in size of hepatic metastatic lesions and no changes in lung lesions. Chemo-immunotherapy was continued for three more cycles without any toxicity.
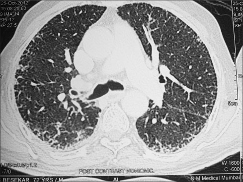
After seven cycles of chemotherapy, the patient presented with weakness, cough, and exertional dyspnea. On examination, the patient was dyspneic on rest and there were bilateral basal crackles in the chest. Initial blood gases were within normal limits. He was started on supportive care with broad-spectrum antibiotics, bronchodilators, and later antifungals. When there was no response to therapy, CT scan of the chest [Figure 4] and [5] and abdomen was done which showed extensive areas of intra- and interlobular septal thickening with fine reticulation in the bilateral lung parenchyma, particularly peripherally and basal. Abdominal films showed further improvement in liver lesions which were only subcentimeter in size. His blood and bronchial cultures were negative for any pathologic organisms. Despite aggressive supportive care, the patient expired after 2 weeks of admission.
| Figure 4 Post treatment computed tomography scan chest, coronal view
| Figure 5 Post treatment computed tomography scan chest, lateral sagittal view
Pulmonary toxicity associated with chemotherapeutic agents is not uncommon, and a variety of drugs from almost all classes have been implicated. Pulmonary toxicity has been intensively studied with bleomycin and nitrosoureas. Antimetabolites are notorious for this toxicity, but oxaliplatin has not been fully evaluated for this toxicity. Early safety trials evaluating oxaliplatin treatment found no significant increase in pulmonary complications, except for dyspnea which may occur in the setting of infusion and hypersensitivity reaction.[3] [4] Not much data are available regarding its pulmonary toxicity, although few isolated case reports of respiratory insufficiency associated with pulmonary infiltrates evolving to pulmonary fibrosis have been documented.[5] [6] [7] There is no objective evidence of direct injury to lung parenchyma by oxaliplatin, but depletion of glutathione resulting in oxidative damage has been proposed as a cause of hepatic and pulmonary toxicity caused by this drug.[8]
Shorter duration between the last dose of chemotherapy and the ILD-related episode tends to be associated with worse outcomes.[9] Early diagnosis and treatment of ILD is thus crucial. Interruption of the culprit agent and systemic corticosteroid has been widely accepted as therapy for drug-induced ILD, though no randomized controlled trial has been done.[10] Treatments should depend on the severity of ILD follow-up or low-dose corticosteroid for less severe ILD patients and steroid pulse therapy using methylprednisolone for severe ILD patients.
5-FU or its oral congener capecitabine has also been rarely associated with pulmonary toxicity in the form of ILD.
ILD is uncommon but may be a life-threatening complication after chemotherapy. The severity of underlying disease may increase while on chemotherapy. Hence, patients with known history of ILD must be closely observed for early symptoms and signs of deterioration, for which early intervention can be life-saving. Clinicians need to be aware of the possibility of ILD not only during but also after chemotherapy for CRC.
Declaration of patient consent
The authors certify that they have obtained all appropriate patient consent forms. In the form the patient(s) has/have given his/her/their consent for his/her/their images and other clinical information to be reported in the journal. The patients understand that their names and initials will not be published and due efforts will be made to conceal their identity, but anonymity cannot be guaranteed.
Publication History
Article published online:
03 June 2021
© 2019. Indian Society of Medical and Paediatric Oncology. This is an open access article published by Thieme under the terms of the Creative Commons Attribution-NonDerivative-NonCommercial-License, permitting copying and reproduction so long as the original work is given appropriate credit. Contents may not be used for commercial purposes, or adapted, remixed, transformed or built upon. (https://creativecommons.org/licenses/by-nc-nd/4.0/).
Thieme Medical and Scientific Publishers Pvt. Ltd.
A-12, 2nd Floor, Sector 2, Noida-201301 UP, India
Sir,
Colorectal cancer (CRC) is a formidable health problem worldwide. It is the third most common cancer in men (663,000 cases, 10.0% of all cancer cases) and the second most common in women (571,000 cases, 9.4% of all cancer cases). It is also one of the most common causes of cancer death worldwide. Approximately 50%–60% of patients diagnosed with localized disease later develop metastatic disease. Surgical treatment is the usual initial treatment modality in localized disease followed by adjuvant chemotherapy depending upon the stage of the disease. Chemotherapy is the primary modality of therapy in all the patients with metastatic disease.
Over the years, oxaliplatin- and fluorouracil (5-FU or capecitabine)-based chemotherapy has become the standard of care for both localized and metastatic colorectal adenocarcinoma, which have shown significant disease-free survival 78.2% at 3 years,[1] [2] progression-free survival, and overall survival advantage in selected patients.[3] These drugs are usually well tolerated, and the usual adverse effects are myelosuppression, neurotoxicity, and mucositis which are self-resolving. Interstitial lung disease (ILD) has been very rarely associated with folinic acid, 5-FU, and oxaliplatin or capecitabine chemotherapies, both in adjuvant and in metastatic settings, which may take a virulent form, resulting in life-threatening complications of therapy.
Here, we report a case of a nonsmoker elderly patient with a probable history of ILD in remission for many years, which was precipitated with palliative chemotherapy for his metastatic right colon adenocarcinoma.
An elderly 73 years old diabetic, hypertensive man with coronary artery disease presented to our hospital with perforation peritonitis. He was evaluated and was diagnosed with an ascending colon mass with perforation. He underwent exploratory laparotomy with extended right hemicolectomy. Histopathology report was suggestive of poorly differentiated adenocarcinoma of caecum and ileocolic junction, pT4N2Mx. Contrast-enhanced computed tomography (CT) scan of the abdomen, pelvis, and chest done in postoperative period showed multiple varying sized hypodense lesions in both lobes of the liver. Fine-needle aspiration cytology from hypodense hepatic lesions was suggestive of metastatic adenocarcinoma.
CT scans of the chest and radiograph of the chest [Figures 1], [2], [3] showed inter- and intralobular septal thickenings in the bilateral lung parenchyma predominantly in the lower lobes with peribronchial and fissural nodularity, suggestive of either sarcoidosis or ILD. The patient had a history of chronic cough till few months back which was self-limiting. There was no history of breathlessness, and he was moderately physically active before the present episode. His serum calcium and angiotensin-converting enzyme levels were normal, thus excluding sarcoidosis.
| Figure 1 Pretreatment computed tomography scan chest, coronal view
| Figure 2 Pretreatment chest X-ray
| Figure 3 Pretreatment computed tomography scan chest, lateral sagittal view
He was started on capecitabine-oxaliplatin-based palliative chemotherapy after operative recovery. Cetuximab was added to the regimen after two cycles of chemotherapy when Rat Sarcoma gene (RAS) wild status was proved. His Eastern Cooperative Oncology Group performance status was 2 after two cycles of chemotherapy and 0 after four cycles. Response evaluation was done after four cycles of chemotherapy which showed significant reduction in size of hepatic metastatic lesions and no changes in lung lesions. Chemo-immunotherapy was continued for three more cycles without any toxicity.
After seven cycles of chemotherapy, the patient presented with weakness, cough, and exertional dyspnea. On examination, the patient was dyspneic on rest and there were bilateral basal crackles in the chest. Initial blood gases were within normal limits. He was started on supportive care with broad-spectrum antibiotics, bronchodilators, and later antifungals. When there was no response to therapy, CT scan of the chest [Figure 4] and [5] and abdomen was done which showed extensive areas of intra- and interlobular septal thickening with fine reticulation in the bilateral lung parenchyma, particularly peripherally and basal. Abdominal films showed further improvement in liver lesions which were only subcentimeter in size. His blood and bronchial cultures were negative for any pathologic organisms. Despite aggressive supportive care, the patient expired after 2 weeks of admission.
| Figure 4 Post treatment computed tomography scan chest, coronal view
| Figure 5 Post treatment computed tomography scan chest, lateral sagittal view
Pulmonary toxicity associated with chemotherapeutic agents is not uncommon, and a variety of drugs from almost all classes have been implicated. Pulmonary toxicity has been intensively studied with bleomycin and nitrosoureas. Antimetabolites are notorious for this toxicity, but oxaliplatin has not been fully evaluated for this toxicity. Early safety trials evaluating oxaliplatin treatment found no significant increase in pulmonary complications, except for dyspnea which may occur in the setting of infusion and hypersensitivity reaction.[3] [4] Not much data are available regarding its pulmonary toxicity, although few isolated case reports of respiratory insufficiency associated with pulmonary infiltrates evolving to pulmonary fibrosis have been documented.[5] [6] [7] There is no objective evidence of direct injury to lung parenchyma by oxaliplatin, but depletion of glutathione resulting in oxidative damage has been proposed as a cause of hepatic and pulmonary toxicity caused by this drug.[8]
Shorter duration between the last dose of chemotherapy and the ILD-related episode tends to be associated with worse outcomes.[9] Early diagnosis and treatment of ILD is thus crucial. Interruption of the culprit agent and systemic corticosteroid has been widely accepted as therapy for drug-induced ILD, though no randomized controlled trial has been done.[10] Treatments should depend on the severity of ILD follow-up or low-dose corticosteroid for less severe ILD patients and steroid pulse therapy using methylprednisolone for severe ILD patients.
5-FU or its oral congener capecitabine has also been rarely associated with pulmonary toxicity in the form of ILD.
ILD is uncommon but may be a life-threatening complication after chemotherapy. The severity of underlying disease may increase while on chemotherapy. Hence, patients with known history of ILD must be closely observed for early symptoms and signs of deterioration, for which early intervention can be life-saving. Clinicians need to be aware of the possibility of ILD not only during but also after chemotherapy for CRC.
Declaration of patient consent
The authors certify that they have obtained all appropriate patient consent forms. In the form the patient(s) has/have given his/her/their consent for his/her/their images and other clinical information to be reported in the journal. The patients understand that their names and initials will not be published and due efforts will be made to conceal their identity, but anonymity cannot be guaranteed.
Conflict of Interest
There are no conflicts of interest.
References
- André T, Boni C, Mounedji-Boudiaf L, Navarro M, Tabernero J, Hickish T. et al. Oxaliplatin, fluorouracil, and leucovorin as adjuvant treatment for colon cancer. N Engl J Med 2004; 350: 2343-51
- André T, Tournigand C, Achille E, Tubiana-Mathieu N, Lledo G, Raoul Y. et al. Adjuvant treatment of colon cancer MOSAIC study's main results. Bull Cancer 2006; 93 (01) S5-9
- Ramanathan RK, Clark JW, Kemeny NE, Lenz HJ, Gococo KO, Haller DG. et al. Safety and toxicity analysis of oxaliplatin combined with fluorouracil or as a single agent in patients with previously treated advanced colorectal cancer. J Clin Oncol 2003; 21: 2904-11
- Pasetto LM, Monfardini S. Is acute dyspnea related to oxaliplatin administration?. World J Gastroenterol 2006; 12: 5907-8
- Garrido M, O'Brien A, González S, Clavero JM, Orellana E. Cryptogenic organizing pneumonitis during oxaliplatin chemotherapy for colorectal cancer: Case report. Chest 2007; 132: 1997-9
- Yagüe XH, Soy E, Marino BQ, Puig J, Fabregat MB, Colomer R. et al. Interstitial pneumonitis after oxaliplatin treatment in colorrectal cancer. Clin Transl Oncol 2006; 8: 624
- Arévalo Lobera S, Sagastibeltza Mariñelarena N, Elejoste Echeberría I, Melé Olivé M, Egaña Otaño L, Basterretxea Badiola L. et al. Fatal pneumonitis induced by oxaliplatin. Clin Transl Oncol 2008; 10: 764-7
- Wilcox BE, Ryu JH, Kalra S. Exacerbation of pre-existing interstitial lung disease after oxaliplatin therapy: A report of three cases. Respir Med 2008; 102: 273-9
- Shimura T, Fuse N, Yoshino T, Minashi K, Tahara M, Doi T. et al. Clinical features of interstitial lung disease induced by standard chemotherapy (FOLFOX or FOLFIRI) for colorectal cancer. Ann Oncol 2010; 21: 2005-10
- Vahid B, Marik PE. Pulmonary complications of novel antineoplastic agents for solid tumors. Chest 2008; 133: 528-38
Publication History
Article published online:
03 June 2021
© 2019. Indian Society of Medical and Paediatric Oncology. This is an open access article published by Thieme under the terms of the Creative Commons Attribution-NonDerivative-NonCommercial-License, permitting copying and reproduction so long as the original work is given appropriate credit. Contents may not be used for commercial purposes, or adapted, remixed, transformed or built upon. (https://creativecommons.org/licenses/by-nc-nd/4.0/).
Thieme Medical and Scientific Publishers Pvt. Ltd.
A-12, 2nd Floor, Sector 2, Noida-201301 UP, India
| Figure 1 Pretreatment computed tomography scan chest, coronal view
| Figure 2 Pretreatment chest X-ray
| Figure 3 Pretreatment computed tomography scan chest, lateral sagittal view
| Figure 4 Post treatment computed tomography scan chest, coronal view
| Figure 5 Post treatment computed tomography scan chest, lateral sagittal view
- André T, Boni C, Mounedji-Boudiaf L, Navarro M, Tabernero J, Hickish T. et al. Oxaliplatin, fluorouracil, and leucovorin as adjuvant treatment for colon cancer. N Engl J Med 2004; 350: 2343-51
- André T, Tournigand C, Achille E, Tubiana-Mathieu N, Lledo G, Raoul Y. et al. Adjuvant treatment of colon cancer MOSAIC study's main results. Bull Cancer 2006; 93 (01) S5-9
- Ramanathan RK, Clark JW, Kemeny NE, Lenz HJ, Gococo KO, Haller DG. et al. Safety and toxicity analysis of oxaliplatin combined with fluorouracil or as a single agent in patients with previously treated advanced colorectal cancer. J Clin Oncol 2003; 21: 2904-11
- Pasetto LM, Monfardini S. Is acute dyspnea related to oxaliplatin administration?. World J Gastroenterol 2006; 12: 5907-8
- Garrido M, O'Brien A, González S, Clavero JM, Orellana E. Cryptogenic organizing pneumonitis during oxaliplatin chemotherapy for colorectal cancer: Case report. Chest 2007; 132: 1997-9
- Yagüe XH, Soy E, Marino BQ, Puig J, Fabregat MB, Colomer R. et al. Interstitial pneumonitis after oxaliplatin treatment in colorrectal cancer. Clin Transl Oncol 2006; 8: 624
- Arévalo Lobera S, Sagastibeltza Mariñelarena N, Elejoste Echeberría I, Melé Olivé M, Egaña Otaño L, Basterretxea Badiola L. et al. Fatal pneumonitis induced by oxaliplatin. Clin Transl Oncol 2008; 10: 764-7
- Wilcox BE, Ryu JH, Kalra S. Exacerbation of pre-existing interstitial lung disease after oxaliplatin therapy: A report of three cases. Respir Med 2008; 102: 273-9
- Shimura T, Fuse N, Yoshino T, Minashi K, Tahara M, Doi T. et al. Clinical features of interstitial lung disease induced by standard chemotherapy (FOLFOX or FOLFIRI) for colorectal cancer. Ann Oncol 2010; 21: 2005-10
- Vahid B, Marik PE. Pulmonary complications of novel antineoplastic agents for solid tumors. Chest 2008; 133: 528-38
PDF
Views
Share

