Is High Altitude an Emergent Occupational Hazard for Primary Malignant Brain Tumors in Young Adults? A Hypothesis
CC BY-NC-ND 4.0 · Indian J Med Paediatr Oncol 2019; 40(03): 374-380
DOI: DOI: 10.4103/ijmpo.ijmpo_72_18
Abstract
Introduction: Brain cancer accounts for approximately 1.4% of all cancers and 2.3% of all cancer-related deaths. Although relatively rare, the associated morbidity and mortality affecting young- and middle-aged individuals has a major bearing on the death-adjusted life years compared to other malignancies. Over the years, we have observed an increase in the incidence of primary malignant brain tumors (PMBTs) in young adults. This observational analysis is to study the prevalence and pattern of brain tumors in young population and find out any occupational correlation. Materials and Methods: The data were obtained from our tertiary care cancer institute's malignant diseases treatment center registry from January 2008 to January 2018. A total of 416 cases of PMBT were included in this study. Results: Our analysis suggested an overall male predominance with most PMBTs occurring at ages of 20–49 years. The glial tumors constituted 94.3% while other histology identified were gliosarcoma (1) gliomatosis cerebri (1), hemangiopericytoma (3), and pineal tumors (3). In our institute, PMBT constituted 1% of all cancers while 2/416 patients had secondary glioblastoma multiforme with 40% showing positivity for O-6-methylguanine-DNA-methyltransferase promoter methylation. Conclusions: Most patients belonged to a very young age group without any significant family history. A probable hypothesis could be excessive cosmic radiation exposure to persons staying at high altitude areas due to occupational exigencies for which in-depth case–control epidemiological studies are required to reach any conclusion.
Publication History
Received: 30 March 2018
Accepted: 21 June 2018
Article published online:
03 June 2021
© 2019. Indian Society of Medical and Paediatric Oncology. This is an open access article published by Thieme under the terms of the Creative Commons Attribution-NonDerivative-NonCommercial-License, permitting copying and reproduction so long as the original work is given appropriate credit. Contents may not be used for commercial purposes, or adapted, remixed, transformed or built upon. (https://creativecommons.org/licenses/by-nc-nd/4.0/).
Thieme Medical and Scientific Publishers Pvt. Ltd.
A-12, 2nd Floor, Sector 2, Noida-201301 UP, India
Abstract
Introduction: Brain cancer accounts for approximately 1.4% of all cancers and 2.3% of all cancer-related deaths. Although relatively rare, the associated morbidity and mortality affecting young- and middle-aged individuals has a major bearing on the death-adjusted life years compared to other malignancies. Over the years, we have observed an increase in the incidence of primary malignant brain tumors (PMBTs) in young adults. This observational analysis is to study the prevalence and pattern of brain tumors in young population and find out any occupational correlation. Materials and Methods: The data were obtained from our tertiary care cancer institute's malignant diseases treatment center registry from January 2008 to January 2018. A total of 416 cases of PMBT were included in this study. Results: Our analysis suggested an overall male predominance with most PMBTs occurring at ages of 20–49 years. The glial tumors constituted 94.3% while other histology identified were gliosarcoma (1) gliomatosis cerebri (1), hemangiopericytoma (3), and pineal tumors (3). In our institute, PMBT constituted 1% of all cancers while 2/416 patients had secondary glioblastoma multiforme with 40% showing positivity for O-6-methylguanine-DNA-methyltransferase promoter methylation. Conclusions: Most patients belonged to a very young age group without any significant family history. A probable hypothesis could be excessive cosmic radiation exposure to persons staying at high altitude areas due to occupational exigencies for which in-depth case–control epidemiological studies are required to reach any conclusion.
Introduction
Brain tumors are a mixed group of neoplasms varying from benign to malignant which originates from the intracranial tissues and meninges. The most common malignant neoplasms in the brain are metastatic lesions while primary malignant brain tumors (PMBTs) are relatively uncommon. Gliomas account for >70% of all brain tumors and of these, glioblastoma multiforme (GBM WHO Grade IV) is the most frequent and malignant histologic type.[1] There is a tendency toward a higher incidence of gliomas in developed, industrialized countries. Some reports indicate that Caucasians have a higher incidence than African or Asian populations. The development of intracranial malignancy is also associated with several hereditary diseases such as Neurofibromatosis Type-1 and Type-2, but the prevalence of these syndromes is very low. Many environmental, occupational, and dietary factors have been reported to be associated with an elevated risk of central nervous system (CNS) tumors. Farmers and petrochemical workers have been shown to have a higher incidence of PMBTs, but the only factor unequivocally associated with an increased risk is therapeutic X-ray-irradiation.[1] In particular, children treated with X-ray-irradiation for acute lymphoblastic leukemia show a significantly elevated risk of developing gliomas and primitive neuroectodermal tumors, often within 10 years after exposure.[2]
Many analyses have examined the incidence rate of gliomas to assess whether rates are increasing. The results of these have generally shown the incidence of glioma overall and glioma subtypes to be fairly stable over the time periods assessed.[3],[4],[5],[6] An examination of the annual age-adjusted incidence in Nordic countries between 1979 and 2008 found no clear trend in glioma incidence rates during this period although there was a slight increase in brain tumor incidence rates overall. Various Indian studies have quoted that there has been a rising trend in the intracranial neoplasms in both males and females in Indian population.[7] After a detailed retrospective analysis over the years, we have also observed a relative increase in the incidence of PMBTs in our younger population. There have been various studies world over to find out the correlation between PMBT and various etiological factors such as ionizing radiation. In our study, subset analysis for the possible etiology for high prevalence in young population has not been done; however, a probable hypothesis for increase in the incidence of PMBTs in the young people staying at high altitude areas for a definite duration due to occupational exigencies could be continuous exposure to cosmic radiation at high altitudes. Apart from the possible etiological factors, we have also tried to find out various other epidemiological parameters such as age, gender distribution, topography, and histopathological distribution of PMBTs in the young population.
Materials and Methods
The data on PMBTs were obtained from the database of our tertiary cancer care hospital's malignant diseases treatment center (MDTC) registry. A total of 416 cases of PMBTs were identified for the present analysis which included young men and women who reported at our institute. In this study, we have excluded the data of benign brain tumors, metastatic lesions, spinal cord tumors, meningeal tumors (excluding mesenchymal tumors), lymphomas, and tumors of sellar region.
While handling the data about patient particulars and their disease characteristics, utmost confidentiality of information was maintained. The data utilized for this study covers the period from January 2008 to January 2018, with topography of PMBTs identified by coding according to the International Statistical Classification of Diseases –10 (C71.0–C71.9) and histopathological type of PMBTs was identified as per the WHO classification of tumors of the CNS, 2007.[2]
Results
Overall 39,437 cases of various malignancies that were registered by hospital MDTC registry over this duration and a total of 416 cases of PMBTs fulfilling the criteria of our study were identified. The chronological distribution of patients reported at our institute from the afore-mentioned study period has been shown in [Table 1]. Our analysis suggested an overall male preponderance with males constituting 91.83% (382/416) and females 8.17% (34/416). The incidence of PMBTs was observed to be highest in 30–39 years of the age group in males (116/382) as well as females (7/34) [Table 2]. The age of the patients ranged from 22 months to 78 years the median age of males was 39.44 years, and for females, it was 41.02 years. [Table 3] shows the distribution of patients according to their gender and age in relation to altitude. 183/416 (43.99%) of young males had a history of living at high altitude at some point of time due to occupational exigencies. Since no females were staying at these altitudes over varied duration as these stations are not family stations, hence this relation cannot be demonstrated in their dependents and females.
|
Age group (years) |
PMBTs reported (n) in males at high altitude |
PMBTs reported (n) in females at high altitude (no females were staying at high altitude areas) |
|---|---|---|
|
PMBT - Primary malignant brain tumors |
||
|
0-4 |
- |
- |
|
5-9 |
- |
- |
|
10-14 |
- |
- |
|
15-19 |
- |
- |
|
20-24 |
16 |
0 |
|
25-29 |
27 |
0 |
|
30-34 |
48 |
0 |
|
35-39 |
38 |
0 |
|
40-44 |
30 |
0 |
|
45-49 |
19 |
0 |
|
50-54 |
5 |
0 |
|
55-59 |
- |
- |
|
>60 |
- |
- |
|
Total |
183 |
00 |
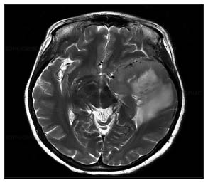
| Figure 1 Magnetic resonance imaging of glioblastoma multiforme
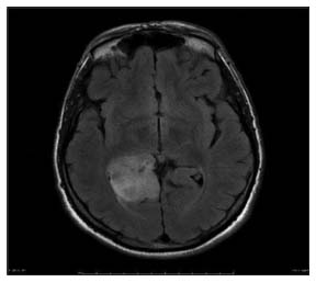
| Figure 2 Magnetic resonance imaging of diffuse astrocytoma Grade II
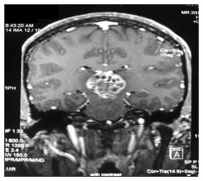
| Figure 3 Magnetic resonance imaging of hemangiopericytoma
| Figure 4 Magnetic resonance imaging of pineal tumor
|
Altitude (feet) |
Duration of stay (years) |
Duration wise PMBTs reported (n) |
Altitude wise histological distribution (n) |
|---|---|---|---|
|
GBM - Glioblastoma multiforme; PMBT - Primary malignant brain tumors |
|||
|
High (8000-12,000) |
<1> |
23 |
Diffuse astrocytoma (31) |
|
1-2 |
31 |
Anaplastic astrocytoma (2) |
|
|
>2 |
33 |
Oligodendroglioma (9) |
|
|
Oligoastrocytoma (5) |
|||
|
GBM (37) |
|||
|
Pineoblastoma (1) |
|||
|
Hemangiopericytoma (2) |
|||
|
Very high |
<1> |
37 |
Diffuse astrocytoma (28) |
|
(12,000-18,000) |
1-2 |
31 |
Anaplastic astrocytoma (3) |
|
>2 |
26 |
Oligodendroglioma (5) |
|
|
Anaplastic oligodendroglioma (1) |
|||
|
Oligoastrocytoma (2) |
|||
|
Anaplastic oligoastrocytoma (2) |
|||
|
GBM (53) |
|||
|
Extremely high |
<1> |
2 |
GBM (2) |
|
(>18,000) |
1-2 |
||
|
>2 |
|||
- Siker ML, Donahue BR, Vogelbaum MA, Tome WA, Gilbert HR, Mehta MP. Primary intracranial neoplasms. In: Parez CA, Brady LW. editors. Principles and Practice of Radiation Oncology. Philadelphia: Lippincott-Raven; 2006: 719
- Kleinerman RA. Cancer risks following diagnostic and therapeutic radiation exposure in children. Pediatr Radiol 2006; 36 Suppl 2 121-5
- Barchana M, Margaliot M, Liphshitz I. Changes in brain glioma incidence and laterality correlates with use of mobile phones – A nationwide population based study in Israel. Asian Pac J Cancer Prev 2012; 13: 5857-63
- Deltour I, Auvinen A, Feychting M, Johansen C, Klaeboe L, Sankila R. et al. Mobile phone use and incidence of glioma in the nordic countries 1979-2008: Consistency check. Epidemiology 2012; 23: 301-7
- Nielsen MS, Christensen HC, Kosteljanetz M, Johansen C. Incidence of and survival from oligodendroglioma in Denmark, 1943–2002. Neuro Oncol 2009; 11: 311-7
- Little MP, Rajaraman P, Curtis RE, Devesa SS, Inskip PD, Check DP. et al. Mobile phone use and glioma risk: Comparison of epidemiological study results with incidence trends in the United States. BMJ 2012; 344: e1147
- Yeole BB. Trends in the brain cancer incidence in India. Asian Pac J Cancer Prev 2008; 9: 267-70
- McKinney PA. Brain tumours: Incidence, survival, and aetiology. J Neurol Neurosurg Psychiatry 2004; 75 Suppl 2 ii12-7
- Wrensch M, Minn Y, Chew T, Bondy M, Berger MS. Epidemiology of primary brain tumors: Current concepts and review of the literature. Neuro Oncol 2002; 4: 278-99
- Ostrom QT, Gittleman H, Xu J, Kromer C, Wolinsky Y, Kruchko C. et al. CBTRUS statistical report: Primary brain and other central nervous system tumors diagnosed in the United States in 2009-2013. Neuro Oncol 2016; 18: v1-75
- Gousias K, Markou M, Voulgaris S, Goussia A, Voulgari P, Bai M. et al. Descriptive epidemiology of cerebral gliomas in northwest Greece and study of potential predisposing factors, 2005-2007. Neuroepidemiology 2009; 33: 89-95
- Dasgupta A, Gupta T, Jalali R. Indian data on central nervous tumors: A summary of published work. South Asian J Cancer 2016; 5: 147-53
- Ostrom QT, Bauchet L, Davis FG, Deltour I, Fisher JL, Langer CE. et al. The epidemiology of glioma in adults: A “state of the science” review. Neuro Oncol 2014; 16: 896-913
- Wertheimer N, Leeper E. Electrical wiring configurations and childhood cancer. Am J Epidemiol 1979; 109: 273-84
- Kyrylenkos S, Chekhu V, Sidorik E, Yokymenku J. Long term exposure to microwave radiation provokes cancer growth: Evidences from radars and mobile communication system. Exp Oncol 2011; 33: 62-70
- Williamson CE, Stemberger KS, Morris DP, Formst TM, Paulsen SG. Ultraviolet radiation in North American lakes: Attenuation estimates from DOC measurements and implications for plankton communities. Limnol Oceanogr 1996; 41: 1024-34
- Grayson JK. Radiation exposure, socioeconomic status, and brain tumor risk in the US air force: A nested case-control study. Am J Epidemiol 1996; 143: 480-6
- Berger T, Hajek M, Bilski P, Körner C, Vanhavere F, Reitz G. et al. Cosmic radiation exposure of biological test systems during the EXPOSE-E mission. Astrobiology 2012; 12: 387-92
- Hammer GP, Blettner M, Zeeb H. Epidemiological studies of cancer in aircrew. Radiat Prot Dosimetry 2009; 136: 232-9
- Zeeb H, Hammer GP, Blettner M. Epidemiological investigations of aircrew: An occupational group with low-level cosmic radiation exposure. J Radiol Prot 2012; 32: N15-9
- Bondy M, Wiencke J, Wrensch M, Kyritsis AP. Genetics of primary brain tumors: A review. J Neurooncol 1994; 18: 69-81
- Hodges LC, Smith JL, Garrett A, Tate S. Prevalence of glioblastoma multiforme in subjects with prior therapeutic radiation. J Neurosci Nurs 1992; 24: 79-83
- Gundestrup M, Storm HH. Radiation-induced acute myeloid leukaemia and other cancers in commercial jet cockpit crew: A population-based cohort study. Lancet 1999; 354: 2029-31
- Radiation at Altitude Harmful. The Mail Today (30 Jan 2017). http://www.mailtoday.in Available from: [Last accessed on 2018 Mar 18]
Address for correspondence
Publication History
Received: 30 March 2018
Accepted: 21 June 2018
Article published online:
03 June 2021
© 2019. Indian Society of Medical and Paediatric Oncology. This is an open access article published by Thieme under the terms of the Creative Commons Attribution-NonDerivative-NonCommercial-License, permitting copying and reproduction so long as the original work is given appropriate credit. Contents may not be used for commercial purposes, or adapted, remixed, transformed or built upon. (https://creativecommons.org/licenses/by-nc-nd/4.0/).
Thieme Medical and Scientific Publishers Pvt. Ltd.
A-12, 2nd Floor, Sector 2, Noida-201301 UP, India
| Figure 1 Magnetic resonance imaging of glioblastoma multiforme
| Figure 2 Magnetic resonance imaging of diffuse astrocytoma Grade II
| Figure 3 Magnetic resonance imaging of hemangiopericytoma
| Figure 4 Magnetic resonance imaging of pineal tumor
- Siker ML, Donahue BR, Vogelbaum MA, Tome WA, Gilbert HR, Mehta MP. Primary intracranial neoplasms. In: Parez CA, Brady LW. editors. Principles and Practice of Radiation Oncology. Philadelphia: Lippincott-Raven; 2006: 719
- Kleinerman RA. Cancer risks following diagnostic and therapeutic radiation exposure in children. Pediatr Radiol 2006; 36 Suppl 2 121-5
- Barchana M, Margaliot M, Liphshitz I. Changes in brain glioma incidence and laterality correlates with use of mobile phones – A nationwide population based study in Israel. Asian Pac J Cancer Prev 2012; 13: 5857-63
- Deltour I, Auvinen A, Feychting M, Johansen C, Klaeboe L, Sankila R. et al. Mobile phone use and incidence of glioma in the nordic countries 1979-2008: Consistency check. Epidemiology 2012; 23: 301-7
- Nielsen MS, Christensen HC, Kosteljanetz M, Johansen C. Incidence of and survival from oligodendroglioma in Denmark, 1943–2002. Neuro Oncol 2009; 11: 311-7
- Little MP, Rajaraman P, Curtis RE, Devesa SS, Inskip PD, Check DP. et al. Mobile phone use and glioma risk: Comparison of epidemiological study results with incidence trends in the United States. BMJ 2012; 344: e1147
- Yeole BB. Trends in the brain cancer incidence in India. Asian Pac J Cancer Prev 2008; 9: 267-70
- McKinney PA. Brain tumours: Incidence, survival, and aetiology. J Neurol Neurosurg Psychiatry 2004; 75 Suppl 2 ii12-7
- Wrensch M, Minn Y, Chew T, Bondy M, Berger MS. Epidemiology of primary brain tumors: Current concepts and review of the literature. Neuro Oncol 2002; 4: 278-99
- Ostrom QT, Gittleman H, Xu J, Kromer C, Wolinsky Y, Kruchko C. et al. CBTRUS statistical report: Primary brain and other central nervous system tumors diagnosed in the United States in 2009-2013. Neuro Oncol 2016; 18: v1-75
- Gousias K, Markou M, Voulgaris S, Goussia A, Voulgari P, Bai M. et al. Descriptive epidemiology of cerebral gliomas in northwest Greece and study of potential predisposing factors, 2005-2007. Neuroepidemiology 2009; 33: 89-95
- Dasgupta A, Gupta T, Jalali R. Indian data on central nervous tumors: A summary of published work. South Asian J Cancer 2016; 5: 147-53
- Ostrom QT, Bauchet L, Davis FG, Deltour I, Fisher JL, Langer CE. et al. The epidemiology of glioma in adults: A “state of the science” review. Neuro Oncol 2014; 16: 896-913
- Wertheimer N, Leeper E. Electrical wiring configurations and childhood cancer. Am J Epidemiol 1979; 109: 273-84
- Kyrylenkos S, Chekhu V, Sidorik E, Yokymenku J. Long term exposure to microwave radiation provokes cancer growth: Evidences from radars and mobile communication system. Exp Oncol 2011; 33: 62-70
- Williamson CE, Stemberger KS, Morris DP, Formst TM, Paulsen SG. Ultraviolet radiation in North American lakes: Attenuation estimates from DOC measurements and implications for plankton communities. Limnol Oceanogr 1996; 41: 1024-34
- Grayson JK. Radiation exposure, socioeconomic status, and brain tumor risk in the US air force: A nested case-control study. Am J Epidemiol 1996; 143: 480-6
- Berger T, Hajek M, Bilski P, Körner C, Vanhavere F, Reitz G. et al. Cosmic radiation exposure of biological test systems during the EXPOSE-E mission. Astrobiology 2012; 12: 387-92
- Hammer GP, Blettner M, Zeeb H. Epidemiological studies of cancer in aircrew. Radiat Prot Dosimetry 2009; 136: 232-9
- Zeeb H, Hammer GP, Blettner M. Epidemiological investigations of aircrew: An occupational group with low-level cosmic radiation exposure. J Radiol Prot 2012; 32: N15-9
- Bondy M, Wiencke J, Wrensch M, Kyritsis AP. Genetics of primary brain tumors: A review. J Neurooncol 1994; 18: 69-81
- Hodges LC, Smith JL, Garrett A, Tate S. Prevalence of glioblastoma multiforme in subjects with prior therapeutic radiation. J Neurosci Nurs 1992; 24: 79-83
- Gundestrup M, Storm HH. Radiation-induced acute myeloid leukaemia and other cancers in commercial jet cockpit crew: A population-based cohort study. Lancet 1999; 354: 2029-31
- Radiation at Altitude Harmful. The Mail Today (30 Jan 2017). http://www.mailtoday.in Available from: [Last accessed on 2018 Mar 18]
PDF
Views
Share

