Isolated Splenic Recurrence of Treated Jejunal Cancer: A Case Report with Brief Review of Literature
CC BY-NC-ND 4.0 · Indian J Med Paediatr Oncol 2019; 40(S 01): S163-S165
DOI: DOI: 10.4103/ijmpo.ijmpo_242_17
Abstract
Spleen is a very infrequent site of metastasis despite the fact that it is the most vascular organ in the body. Even if systemic metastasis occurs, splenic metastasis largely remained asymptomatic due to its large functional reserve, and most often, the metastasis is detected incidentally on follow-up scan. Many cases of asymptomatic splenic metastasis detected on follow-up scans are reported in literature from different primary sites. Herein, we report a similar case of a 33-year-old male who presented with isolated splenic recurrence after a long treatment-free interval following curative treatment of adenocarcinoma jejunum. As stated, there are few previous reports of isolated splenic metastasis from carcinoma colon, but considering small intestinal adenocarcinoma, this is the first unique case reported to the best of our knowledge. Due to rarity of clinical scenario and lack of established guidelines, the treatment of such cases varies from patient to patient, and the knowledge, whatever we owe, is on the basis of case reports only.
Publication History
Article published online:
24 May 2021
© 2019. Indian Society of Medical and Paediatric Oncology. This is an open access article published by Thieme under the terms of the Creative Commons Attribution-NonDerivative-NonCommercial-License, permitting copying and reproduction so long as the original work is given appropriate credit. Contents may not be used for commercial purposes, or adapted, remixed, transformed or built upon. (https://creativecommons.org/licenses/by-nc-nd/4.0/).
Thieme Medical and Scientific Publishers Pvt. Ltd.
A-12, 2nd Floor, Sector 2, Noida-201301 UP, India
Abstract
Spleen is a very infrequent site of metastasis despite the fact that it is the most vascular organ in the body. Even if systemic metastasis occurs, splenic metastasis largely remained asymptomatic due to its large functional reserve, and most often, the metastasis is detected incidentally on follow-up scan. Many cases of asymptomatic splenic metastasis detected on follow-up scans are reported in literature from different primary sites. Herein, we report a similar case of a 33-year-old male who presented with isolated splenic recurrence after a long treatment-free interval following curative treatment of adenocarcinoma jejunum. As stated, there are few previous reports of isolated splenic metastasis from carcinoma colon, but considering small intestinal adenocarcinoma, this is the first unique case reported to the best of our knowledge. Due to rarity of clinical scenario and lack of established guidelines, the treatment of such cases varies from patient to patient, and the knowledge, whatever we owe, is on the basis of case reports only.
Introduction
Splenic involvement as a part of metastatic disease is usually seen in cases of diffusely metastatic disease. Splenic metastasis usually occurs in late course of illness, usually asymptomatic, and therefore rarely draws attention of treating oncologist in an advanced case and hence very infrequently reported. The most common primary sites for splenic metastasis are usually lungs, gastrointestinal tract, breast, ovary, and melanoma.[1] However, isolated splenic metastasis as a clinical presentation is a very rare occurrence although few such case reports have been previously described in literature from common primary sources being colon, breast, lung, and even renal cell carcinoma.[2] [3] [4] Although very rare, 4 cases of solitary splenic metastasis from nasopharyngeal carcinoma have also been reported.[5] In this communication, we describe a 33-year-old male who initially underwent curative treatment for carcinoma jejunum and presented with isolated asymptomatic splenic recurrence without any evidence of disease elsewhere after a long treatment-free interval.
Case Report
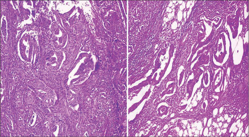
A 33-year-old male patient with no prior known medical or surgical comorbidities or any drug allergy presented with complaints of abdominal pain, anorexia, recurrent episodes of vomiting, and in view of obstructive pathology underwent resection anastomosis for the same at a peripheral hospital. At our institute, he was further evaluated where review of outside slide and blocks of excised jejunal growth was done which was suggestive of moderately differentiated adenocarcinoma infiltrating through the wall of jejunum [Figure 1]. His routine blood investigations including compete blood counts, liver function tests, and kidney function tests were normal. Postoperative positron emission tomography (PET) scan was normal without any metabolically active lesion in the body. He received 12 cycles of adjuvant FOLFOX4 chemotherapy followed by observation. After 2 years of treatment-free period while on follow-up, with patient remained asymptomatic, PET scan revealed focal fluorodeoxyglucose (FDG) avid solitary splenic lesion (3.1 cm × 2 cm size) without any evidence of disease elsewhere in the body [Figure 2]. Fine needle aspiration cytology (FNAC) from splenic lesion was done which showed cluster of atypical epithelial cells showing acinar formation [Figure 3] confirming the diagnosis of metastasis from small intestinal primary. In view of oligometastatic recurrence, case was discussed in multispecialty clinics and the patient is offered splenectomy and second-line chemotherapy after surgery; however, the patient denied surgery and wished to follow a more stringent follow-up with splenectomy/further medical treatment on further progression disease or development of new symptoms. Presently patient is on active follow up and symptom free.
| Figure. 1 Moderately differentiated adenocarcinoma infiltrating through the wall of the jejunum (H and E, ×100)
| Figure. 2 Maximum intensity projection (a and c) and axial (b and d) positron emission tomography-computed tomography images depicting focal fluorodeoxyglucose avid splenic lesion (arrow) in follow-up study
| Figure. 3 Panel A showing computed tomography-guided fine needle aspiration cytology from splenic lesion showing cluster of atypical epithelial cells with acinar formation (Giemsa, ×100). Panel B showing computed tomography-guided fine needle aspiration cytology from splenic lesion showing cluster of atypical epithelial cells with acinar formation (Pap, ×200)
Discussion
Despite the fact that small intestines contain 75% of length of alimentary tract with 90% of its mucosal area, the malignancies arising primarily from small intestines are rare. These are one of the rarest cancers accounting for 2% of all gastrointestinal tract cancers.[6] Various common histological subtypes that usually physicians come across are adenocarcinoma, lymphomas, and neuroendocrine tumors. The most common clinical picture is that of recurrent abdominal pain, palpable abdominal mass, intestinal obstruction, and gastrointestinal hemorrhage.[7] Most common sites of metastatic disease from small intestinal adenocarcinoma include liver followed by peritoneum, pelvis, and lungs.[8] Majority of the cases present with diffusely metastatic disease with very limited numbers of those with oligometastatic disease presentation.
Isolated splenic metastases are rare entity as spleen is usually involved as a process in cases of diffusely metastatic diseases. There is no plausible explanation for the rarity of splenic metastasis; however, it could be due to characteristic splenic anatomical position and its blood stream state or may be due to splenic immunological functions that may prevent tumor cell proliferation.[9] Spleen is considered inappropriate soil for metastatic disease due to these peculiar and unique anatomical, histological, and functional characteristics.[10] Most of the times, patients are asymptomatic and solitary metastasis is usually detected on follow-up scans; however, sometimes, the patient can present with nonspecific symptoms such as weight loss, splenomegaly, or epigastric pain. Different primary sites of splenic metastases have been reported previously.[1] [2] [3] Genova et al. reported isolated splenic metastasis from nasopharyngeal primary and the patient survived after laparoscopic splenectomy followed by chemotherapy.[5] Abdou et al. reported small series of isolated splenic metastasis from colonic carcinoma in which few patients were diagnosed on the basis of FNAC and few required biopsy; however, all patients underwent splenectomy after confirmation of metastatic disease.[11] In our patient also, splenectomy was advised after confirmation of splenic metastasis but the patient refused for surgery in view of asymptomatic disease and wished to continue on more stringent follow-up. We encourage reporting such rare cases to facilitate keeping more differentials on follow-up scans after curable malignancies, especially rare one like jejunal carcinoma in this case.
Conclusion
Isolated splenic metastasis after curative treatment of primary cancer is a very rare entity although splenic involvement as a part of diffuse metastasis is very common
Majority of patients are asymptomatic due to large splenic reserve
Diagnosis needs FNAC/biopsy confirmation before splenectomy
Splenectomy followed by adjuvant treatment seems to be the optimal way of management which improves survival; although this is experienced only from case reports and smaller series, it requires further larger studies for validated options.
Declaration of patient consent
The authors certify that they have obtained all appropriate patient consent forms. In the form the patient(s) has/have given his/her/their consent for his/her/their images and other clinical information to be reported in the journal. The patients understand that their names and initials will not be published and due efforts will be made to conceal their identity, but anonymity cannot be guaranteed.
Conflict of Interest
There are no conflicts of interest.
- Lam KY, Tang V. Metastatic tumors to the spleen: A 25-year clinicopathologic study. Arch Pathol Lab Med 2000; 124: 526-30
- Tang H, Huang H, Xiu Q, Shi Z. Isolated splenic metastasis from lung cancer: Ringleader of continuous fever. Eur Respir Rev 2010; 19: 253-6
- Pailoor K, Fernandes H, D’Souza C. Rare case of isolated splenic metastasis from the breast. Basic Appl Pathol 2012; 5: 76-8
- Agrawal A, Jatale P, Purandare N, Shah S, Rangarajan V. Rare splenic metastasis of renal cell carcinoma detected on (99m) Tc-MDP bone scan. Indian J Nucl Med 2014; 29: 60-1
- Genova P, Brunetti F, Bequignon E, Landi F, Lizzi V, Esposito F. et al. Solitary splenic metastasis from nasopharyngeal carcinoma: A case report and systematic review of the literature. World J Surg Oncol 2016; 14: 184
- Abrahams NA, Halverson A, Fazio VW, Rybicki LA, Goldblum JR. Adenocarcinoma of the small bowel: A study of 37 cases with emphasis on histologic prognostic factors. Dis Colon Rectum 2002; 45: 1496-502
- Reynolds I, Healy P, Mcnamara DA. Malignant tumours of the small intestine. Surgeon 2014; 12: 263-70
- Dabaja BS, Suki D, Pro B, Bonnen M, Ajani J. Adenocarcinoma of the small bowel: Presentation, prognostic factors, and outcome of 217 patients. Cancer 2004; 101: 518-26
- O’Riordan BG, Vilor M, Herrera L. Small bowel tumors: An overview. Dig Dis 1996; 14: 245-57
- Arber DA, Strickler JG, Weiss LM. Splenic mesothelial cysts mimicking lymphagiomas. Am J Surg Pathol 1997; 21: 334-8
- Abdou J, Omor Y, Boutayeb S, Elkhannoussi B, Errihani H. Isolated splenic metastasis from colon cancer: Case report. World J Gastroenterol 2016; 22: 4610-4
Address for correspondence
Publication History
Article published online:
24 May 2021
© 2019. Indian Society of Medical and Paediatric Oncology. This is an open access article published by Thieme under the terms of the Creative Commons Attribution-NonDerivative-NonCommercial-License, permitting copying and reproduction so long as the original work is given appropriate credit. Contents may not be used for commercial purposes, or adapted, remixed, transformed or built upon. (https://creativecommons.org/licenses/by-nc-nd/4.0/).
Thieme Medical and Scientific Publishers Pvt. Ltd.
A-12, 2nd Floor, Sector 2, Noida-201301 UP, India
| Figure. 1 Moderately differentiated adenocarcinoma infiltrating through the wall of the jejunum (H and E, ×100)
| Figure. 2 Maximum intensity projection (a and c) and axial (b and d) positron emission tomography-computed tomography images depicting focal fluorodeoxyglucose avid splenic lesion (arrow) in follow-up study
| Figure. 3 Panel A showing computed tomography-guided fine needle aspiration cytology from splenic lesion showing cluster of atypical epithelial cells with acinar formation (Giemsa, ×100). Panel B showing computed tomography-guided fine needle aspiration cytology from splenic lesion showing cluster of atypical epithelial cells with acinar formation (Pap, ×200)
References
- Lam KY, Tang V. Metastatic tumors to the spleen: A 25-year clinicopathologic study. Arch Pathol Lab Med 2000; 124: 526-30
- Tang H, Huang H, Xiu Q, Shi Z. Isolated splenic metastasis from lung cancer: Ringleader of continuous fever. Eur Respir Rev 2010; 19: 253-6
- Pailoor K, Fernandes H, D’Souza C. Rare case of isolated splenic metastasis from the breast. Basic Appl Pathol 2012; 5: 76-8
- Agrawal A, Jatale P, Purandare N, Shah S, Rangarajan V. Rare splenic metastasis of renal cell carcinoma detected on (99m) Tc-MDP bone scan. Indian J Nucl Med 2014; 29: 60-1
- Genova P, Brunetti F, Bequignon E, Landi F, Lizzi V, Esposito F. et al. Solitary splenic metastasis from nasopharyngeal carcinoma: A case report and systematic review of the literature. World J Surg Oncol 2016; 14: 184
- Abrahams NA, Halverson A, Fazio VW, Rybicki LA, Goldblum JR. Adenocarcinoma of the small bowel: A study of 37 cases with emphasis on histologic prognostic factors. Dis Colon Rectum 2002; 45: 1496-502
- Reynolds I, Healy P, Mcnamara DA. Malignant tumours of the small intestine. Surgeon 2014; 12: 263-70
- Dabaja BS, Suki D, Pro B, Bonnen M, Ajani J. Adenocarcinoma of the small bowel: Presentation, prognostic factors, and outcome of 217 patients. Cancer 2004; 101: 518-26
- O’Riordan BG, Vilor M, Herrera L. Small bowel tumors: An overview. Dig Dis 1996; 14: 245-57
- Arber DA, Strickler JG, Weiss LM. Splenic mesothelial cysts mimicking lymphagiomas. Am J Surg Pathol 1997; 21: 334-8
- Abdou J, Omor Y, Boutayeb S, Elkhannoussi B, Errihani H. Isolated splenic metastasis from colon cancer: Case report. World J Gastroenterol 2016; 22: 4610-4
PDF
Views
Share

