Large Plaque Parapsoriasis in a Child: A Rare Entity in Pediatric Oncology
CC BY-NC-ND 4.0 · Indian J Med Paediatr Oncol 2019; 40(S 01): S157-S159
DOI: DOI: 10.4103/ijmpo.ijmpo_229_17
Abstract
Parapsoriasis is exceedingly rare in children. The presentation, course, and prognosis of parapsoriasis in children have not yet been completely elucidated. Here, a case of large plaque parapsoriasis in 10-year-old boy is reported who was diagnosed recalcitrant pediatrics eczema for about 5 years. Other clinicians had previously treated him with emollients and topical corticosteroids with temporary relief but without improvement. The erythematous scaly patches were situated on the trunk and flank. On skin biopsy, the lymphocytic infiltrate was composed mainly of CD4+ and CD45RO+ lymphocytes. No T-cell receptor gene rearrangements were found. The paucity of knowledge about the evolution of this entity in childhood and its relationship to mycosis fungoides makes follow-up critical.
Publication History
Article published online:
24 May 2021
© 2019. Indian Society of Medical and Paediatric Oncology. This is an open access article published by Thieme under the terms of the Creative Commons Attribution-NonDerivative-NonCommercial-License, permitting copying and reproduction so long as the original work is given appropriate credit. Contents may not be used for commercial purposes, or adapted, remixed, transformed or built upon. (https://creativecommons.org/licenses/by-nc-nd/4.0/).
Thieme Medical and Scientific Publishers Pvt. Ltd.
A-12, 2nd Floor, Sector 2, Noida-201301 UP, India
Abstract
Parapsoriasis is exceedingly rare in children. The presentation, course, and prognosis of parapsoriasis in children have not yet been completely elucidated. Here, a case of large plaque parapsoriasis in 10-year-old boy is reported who was diagnosed recalcitrant pediatrics eczema for about 5 years. Other clinicians had previously treated him with emollients and topical corticosteroids with temporary relief but without improvement. The erythematous scaly patches were situated on the trunk and flank. On skin biopsy, the lymphocytic infiltrate was composed mainly of CD4+ and CD45RO+ lymphocytes. No T-cell receptor gene rearrangements were found. The paucity of knowledge about the evolution of this entity in childhood and its relationship to mycosis fungoides makes follow-up critical.
Introduction
Parapsoriasis is a group of uncommon disorders, characterized by persistent, scaly, and inflammatory eruptions. There are two main types: small plaque parapsoriasis and large plaque parapsoriasis (LPP).[1] Clinically, LPP lesions are oval-shaped or irregular-shaped asymptomatic or mildly pruritic patches or very thin plaques, with most lesions bigger than 5 cm in diameter, fine wrinkles, and scanty scales; telangiectasia and mottled pigmentation may also be observed. They are found mostly on the bathing trunk, flexural areas, extremities, and upper trunk, especially breasts in women.[2]
Parapsoriasis is more common in middle-aged and elderly individuals; it peaks during the fifth decade of life and occurs in all racial groups and geographic regions.[1] [2] Moreover, younger adults with parapsoriasis report onset of symptoms during adolescence.[2] The literature regarding parapsoriasis in childhood is limited.
There is an unresolved controversy whether LPP is precursor of mycosis fungoides (MF) or early MF from the outset,[3] [4] and association between MF and parapsoriasis in children has not yet been completely elucidated. Here, a case of parapsoriasis in 10-year-old boy was reported.
Case Report
A 10-year-old boy presented with pruritic erythematous patch and plaques over lower trunk, flank, and buttocks from 5 years ago [Figure 1]. He was initially diagnosed with recalcitrant pediatrics eczema for about 5 years and was treated with topical steroids and emollient by his family physician that was with minimal improvement. Topical steroids, urea, and emollients gave temporary relief. Review of systems was otherwise negative. The patient’s past medical history has otherwise been unremarkable. On examination, he had some irregular erythematous scaly patches on the lower trunk and buttocks and a well-defined erythematous 8 cm × 6 cm patch over left flank [Figure 2], involving <10 href="https://www.thieme-connect.com/products/ejournals/html/10.4103/ijmpo.ijmpo_229_17#FI_3" xss=removed>Figure 3]; no atypical cells were seen. Lymphocytes were CD3 and CD4 positive and negative for CD8, CD20, and CD30. No T-Cell receptor gene rearrangements were found.
| Figure. 1 (a) Large plaque parapsoriasis. Erythematous scaly patches on the lower trunk and buttocks
| Figure. 2 (a) Large plaque parapsoriasis. Erythematous scaly patches over the left flank (site of skin biopsy)
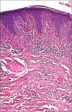
| Figure. 3 (a) Histopathological feature of large plaque parapsoriasis. Sporadic epidermotropism of lymphocytes, mostly in basal layer and dermis and mild interstitial infiltrate of small lymphocytes (H and E, ×100)
Although our patient fulfilled the clinical criteria of early diagnosis of MF illustrated by the International Society of Cutaneous Lymphoma, histopathological criteria were not met.[5] Thus, on the basis of clinical, histopathological, and immunophenotypical findings, a diagnosis of LPP was made.
He was treated with topical carmustine for 3 months which resulted in good response [Figure 4]. We advised our patient to return regularly for follow-up.
| Figure. 4 (a) Large plaque parapsoriasis. After treatment with topical carmustine for 3 months
Discussion
It is now well established that at least some cases of LPP and its variants are manifestations of the patch stage of MF. The possibility of cases presenting clinically as LPP to progress to malignant end, i.e., to MF, is about 10% per decade to 35% in some studies.[6]
Even in patients with very early stage disease with lesions clinicopathologically consistent with LPP, trafficking of MF tumor cells has been detected. Hence, at least in some cases, LPP is a monoclonal proliferation of T-cells having the capacity to traffic between skin and extracutaneous sites.[7] [8] [9]
This progress often takes place over many years; hence, the need of prolonged and careful follow-up in all cases of LPP.[1] Patients with LPP require a close clinical monitoring because of the substantial risk of evolution to MF.[6] [10]
There are no guidelines suggesting how often patients with LPP should be rebiopsied to detect a possible progression to MF; however, significant clinical change (e.g., thicker plaques, increased atrophy, nodules, ulceration, an “ugly duckling” lesion) is an indication for biopsy.[6]
This is well documented in adults; however, this progression rarely occurs in the pediatric population. Menni et al. reported a boy aged 15 years and a girl aged 8 years with different clinical features of parapsoriasis who were followed clinically and histologically for about 4 years. The infiltrate was composed mainly of CD4+ and CD45+ lymphocytes in the first patient such as our case and conversely of CD8+ and CD45+ in the second.[11] Das et al. also reported a 5-year-old female child presented with LPP with extensive erythematous slightly itchy scaly small macules developing for the past 4 years.[12]
LPP treatment options include topical steroids, topical bexarotene, phototherapy, and nitrogen mustard. Treatment options for children with parapsoriasis are generally the same as that of classic parapsoriasis. All therapeutic approaches are based primarily on uncontrolled case series, case reports, or anecdotal evidence.[2] The use of topical corticosteroids for the treatment of LPP has not been evaluated in randomized trials. Indirect evidence of efficacy in inducing lesion regression is derived from observational studies of patients with patch stage MF.[13] [14] If no response is observed after 12 weeks of treatment with topical corticosteroids, it should be stopped. Such as our case that the use of topical corticosteroids stopped to potential adverse effects. Patients who do not respond to topical corticosteroids may be treated with another options.[14]
Although there is good prognosis for LPP with treatment modalities and a low mortality rate, progression to MF is possible.[3] Hence, prolonged follow-up is needed in patients with parapsoriasis association between MF.
Awareness of the association between MF and parapsoriasis by clinicians and pathologists may lead to improved diagnosis, treatment, and follow-up.
The paucity of knowledge about the evolution of parapsoriasis in childhood and its relationship to aggressive form of MF requires treatment and long-term carful follow-up.
Conclusion
Persistent or unusual erythematous scaly patch lesions should be subjected to biopsy to avoid delay in the diagnosis of parapsoriasis in children to lead to improved diagnosis, treatment, and follow-up.
Declaration of patient consent
The authors certify that they have obtained all appropriate patient consent forms. In the form the patient(s) has/have given his/her/their consent for his/her/their images and other clinical information to be reported in the journal. The patients understand that their names and initials will not be published and due efforts will be made to conceal their identity, but anonymity cannot be guaranteed.
Conflict of Interest
There are no conflicts of interest.
- Salava A, Pereira P, Aho V, Väkevä L, Paulin L, Auvinen P. et al. Skin microbiome in small- and large-plaque parapsoriasis. Acta Derm Venereol 2017; 97: 685-91
- Simon M, Flaig MJ, Kind P, Sander CA, Kaudewitz P. Large plaque parapsoriasis: Clinical and genotypic correlations. J Cutan Pathol 2000; 27: 57-60
- Nag F, Ghosh A, Biswas P, Chatterjee G, Biswas S. Ichthyosiform large plaque parapsoriasis: Report of a rare entity. Indian J Dermatol 2013; 58: 385-7
- Fatemi Naeini F, Sadeghiyan H, Pourazizi M, Najafian J, Abtahi-Naeini B. Characteristics of primary cutaneous T-cell lymphoma in Iran: A 10-year retrospective study. Int Sch Res Notices 2014; 2014: 820921
- Olsen E, Vonderheid E, Pimpinelli N, Willemze R, Kim Y, Knobler R. et al. Revisions to the staging and classification of mycosis fungoides and Sezary syndrome: A proposal of the International Society for Cutaneous Lymphomas (ISCL) and the cutaneous lymphoma task force of the European Organization of Research and Treatment of Cancer (EORTC). Blood 2007; 110: 1713-22
- Väkevä L, Sarna S, Vaalasti A, Pukkala E, Kariniemi AL, Ranki A. et al. A retrospective study of the probability of the evolution of parapsoriasis en plaques into mycosis fungoides. Acta Derm Venereol 2005; 85: 318-23
- Naeini FF, Abtahi-Naeini B, Pourazizi M, Sadeghiyan H, Najafian J. Primary cutaneous lymphomas: A clinical and histological study of 99 cases in Isfahan, Iran. J Res Med Sci 2015; 20: 827-31
- Haeffner AC, Smoller BR, Zepter K, Wood GS. Differentiation and clonality of lesional lymphocytes in small plaque parapsoriasis. Arch Dermatol 1995; 131: 321-4
- Fatemi Naeini F, Abtahi-Naeini B, Najafian J, Saffaei A, Pourazizi M. Correlation between mycosis fungoides and pregnancy. Saudi Med J 2016; 37: 968-72
- Lazar AP, Caro WA, Roenigk Jr. HH, Pinski KS. Parapsoriasis and mycosis fungoides: The Northwestern University experience, 1970 to 1985. J Am Acad Dermatol 1989; 21: 919-23
- Menni S, Piccinno R, Crosti L, Berti E. Parapsoriasis in two children: A clinical, immunophenotypic, and immunogenotypic study. Pediatr Dermatol 1994; 11: 151-5
- Das JK, Gangopadhyay AK. Large plaque parapsoriasis in a child. Indian J Dermatol 2005; 50: 221-3
- Zackheim HS, Kashani-Sabet M, Amin S. Topical corticosteroids for mycosis fungoides. Experience in 79 patients. Arch Dermatol 1998; 134: 949-54
- Zackheim HS. Treatment of patch-stage mycosis fungoides with topical corticosteroids. Dermatol Ther 2003; 16: 283-7
Address for correspondence
Publication History
Article published online:
24 May 2021
© 2019. Indian Society of Medical and Paediatric Oncology. This is an open access article published by Thieme under the terms of the Creative Commons Attribution-NonDerivative-NonCommercial-License, permitting copying and reproduction so long as the original work is given appropriate credit. Contents may not be used for commercial purposes, or adapted, remixed, transformed or built upon. (https://creativecommons.org/licenses/by-nc-nd/4.0/).
Thieme Medical and Scientific Publishers Pvt. Ltd.
A-12, 2nd Floor, Sector 2, Noida-201301 UP, India
References
- Salava A, Pereira P, Aho V, Väkevä L, Paulin L, Auvinen P. et al. Skin microbiome in small- and large-plaque parapsoriasis. Acta Derm Venereol 2017; 97: 685-91
- Simon M, Flaig MJ, Kind P, Sander CA, Kaudewitz P. Large plaque parapsoriasis: Clinical and genotypic correlations. J Cutan Pathol 2000; 27: 57-60
- Nag F, Ghosh A, Biswas P, Chatterjee G, Biswas S. Ichthyosiform large plaque parapsoriasis: Report of a rare entity. Indian J Dermatol 2013; 58: 385-7
- Fatemi Naeini F, Sadeghiyan H, Pourazizi M, Najafian J, Abtahi-Naeini B. Characteristics of primary cutaneous T-cell lymphoma in Iran: A 10-year retrospective study. Int Sch Res Notices 2014; 2014: 820921
- Olsen E, Vonderheid E, Pimpinelli N, Willemze R, Kim Y, Knobler R. et al. Revisions to the staging and classification of mycosis fungoides and Sezary syndrome: A proposal of the International Society for Cutaneous Lymphomas (ISCL) and the cutaneous lymphoma task force of the European Organization of Research and Treatment of Cancer (EORTC). Blood 2007; 110: 1713-22
- Väkevä L, Sarna S, Vaalasti A, Pukkala E, Kariniemi AL, Ranki A. et al. A retrospective study of the probability of the evolution of parapsoriasis en plaques into mycosis fungoides. Acta Derm Venereol 2005; 85: 318-23
- Naeini FF, Abtahi-Naeini B, Pourazizi M, Sadeghiyan H, Najafian J. Primary cutaneous lymphomas: A clinical and histological study of 99 cases in Isfahan, Iran. J Res Med Sci 2015; 20: 827-31
- Haeffner AC, Smoller BR, Zepter K, Wood GS. Differentiation and clonality of lesional lymphocytes in small plaque parapsoriasis. Arch Dermatol 1995; 131: 321-4
- Fatemi Naeini F, Abtahi-Naeini B, Najafian J, Saffaei A, Pourazizi M. Correlation between mycosis fungoides and pregnancy. Saudi Med J 2016; 37: 968-72
- Lazar AP, Caro WA, Roenigk Jr. HH, Pinski KS. Parapsoriasis and mycosis fungoides: The Northwestern University experience, 1970 to 1985. J Am Acad Dermatol 1989; 21: 919-23
- Menni S, Piccinno R, Crosti L, Berti E. Parapsoriasis in two children: A clinical, immunophenotypic, and immunogenotypic study. Pediatr Dermatol 1994; 11: 151-5
- Das JK, Gangopadhyay AK. Large plaque parapsoriasis in a child. Indian J Dermatol 2005; 50: 221-3
- Zackheim HS, Kashani-Sabet M, Amin S. Topical corticosteroids for mycosis fungoides. Experience in 79 patients. Arch Dermatol 1998; 134: 949-54
- Zackheim HS. Treatment of patch-stage mycosis fungoides with topical corticosteroids. Dermatol Ther 2003; 16: 283-7
PDF
Views
Share

